Arrhythmogenic Cardiomyopathy and Biomarkers: A Promising Perspective?
Abstract
1. Introduction
2. Current Diagnostic Criteria
3. “Damage, Congestion, and Inflammation”: Widespread, Easy-to-Use, but Lacking Specificity
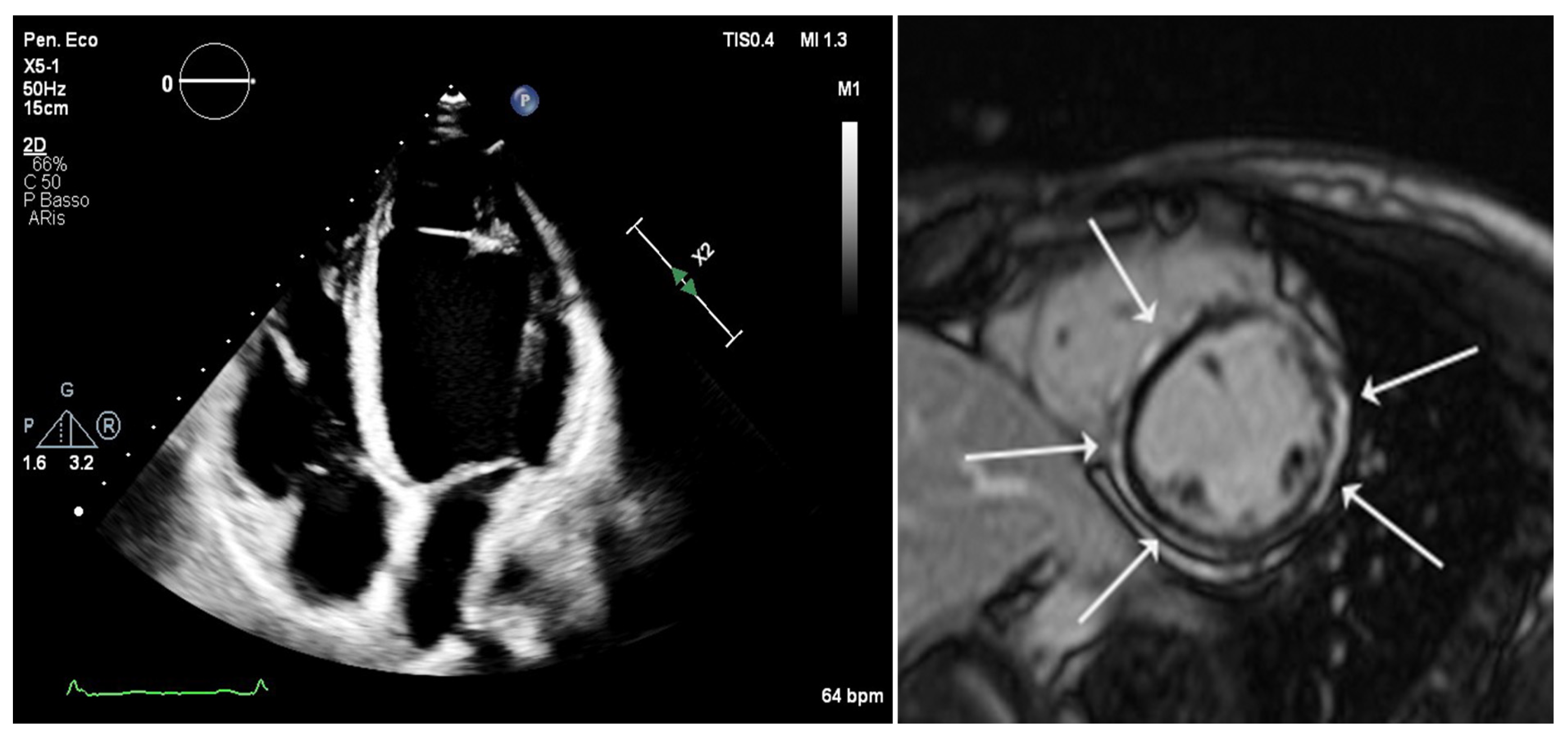
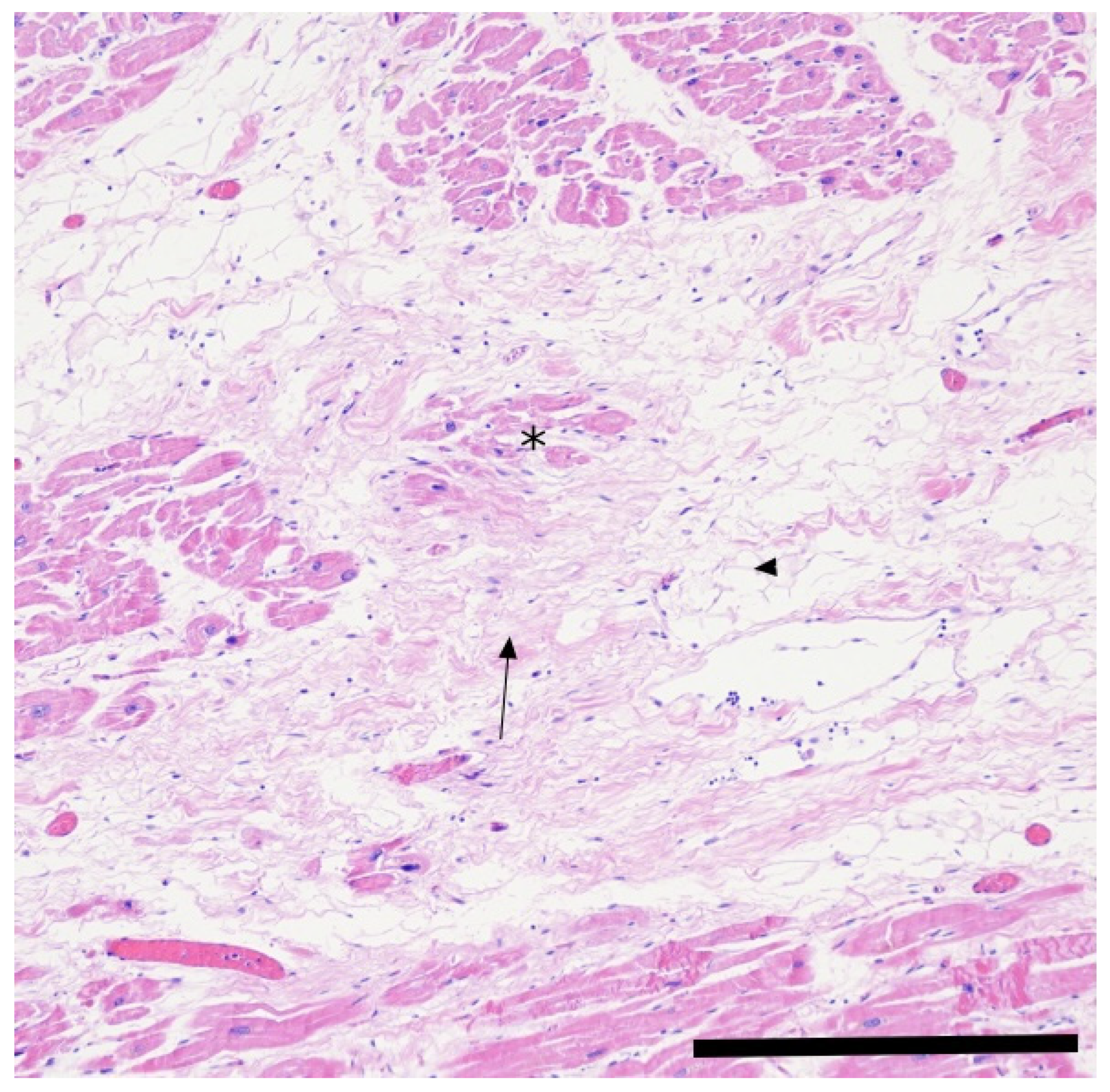
4. “Fibrosis: Early Signs, Not Just Damage”
5. “Novel Plasmatic Molecules”
5.1. Growth/Differentiation Factor-15 (GDF-15)
5.2. Soluble Suppressor of Tumorigenicity-2
6. Autoimmunity Unveiling the Pathology
7. Genetic Testing and Familiar Predisposition
8. The “miRNA Era”?
| Biomarkers | Type of Biomarkers | N. Patients with ACM | Main Findings in Affected Patients | Reference |
|---|---|---|---|---|
| miR-320a | miRNA (circulating) | 36 | miR-320a in ACM | Sommariva et al. [86] |
| miR-144-3p, miR-145-5p, miR-185-5p, miR-494 | miRNA (circulating) | 28 (definite ACM) 8 (borderline ACM) 3 (possible ACM) | miR-144-3p, 145-5p, 185-5p, and 494 were ↑ in patients with definite ARVC. | Yamada et al. [87] |
| miR-185-5p | miRNA (circulating) | 37 | miR-185-5p significantly ↑ in the plasma of ARVC patients | Sacchetto et al. [88] |
| miR-122-5p, miR-182-5p, miR-183-5p, miR-133a-3p, miR-133b, miR-142-3p | miRNA (myocardial sample and circulating) | 106 | miRNAs showed high discriminatory diagnostic power In plasma miR-122-5p, miR-182-5p, miR-183-5p were ↑ in ACM patients, while miR-133a-3p, miR-133b, and miR-142-3p were in ACM patients | Marinas et al. [89] |
| miR-1183 miR-29b-3p | miRNA (myocardial sample) | 8 | Potential role of miR-29b-3p to ACM pathogenesis or phenotype maintenance | Rainer et al. [91] |
| 21 microRNAs as distinctive signatures of ARVC, in particular miR-21-5p and miR-135b | miRNA (myocardial sample) | 24 | 11 upregulated in ACM patients (including miR-21-5p) 10 downregulated in ACM patients (including miR-135b) | Zhang et al. [90] |
| miR-135a-5p, miR-140-3p, miR-145-5p miR-486-5p, miR-486-3p, miR-125a-5p, let-7e-5p, let-7d-3p | miRNA (myocardial sample) | 4 | miR-135a-5p, miR-140-3p, miR-145-5p were ↑ in ACM patients miR-486-5p, miR-486-3p, miR-125a-5p, let-7e-5p, let-7d-3p were in ACM patients | Bonet et. al. [80] |
9. Clinical Applications, Limitations, and Future Directions
10. Conclusions
Author Contributions
Funding
Institutional Review Board Statement
Informed Consent Statement
Data Availability Statement
Conflicts of Interest
Abbreviations
| AAbs | Autoantibodies |
| ACM | Arrhythmogenic Cardiomyopathy |
| AHA | Anti-Heart Autoantibodies |
| AIDAs | Anti-Intercalated Disk Autoantibodies |
| ARVC | Arrhythmogenic Right Ventricular Cardiomyopathy |
| ATF4 | Activating Transcription Factor 4 |
| AUC | Area Under the Curve |
| BNP | Brain Natriuretic Peptide |
| cMRI | Cardiac Magnetic Resonance Imaging |
| CRP | C-Reactive Protein |
| DCM | Dilated Cardiomyopathy |
| DNA | Deoxyribonucleic Acid |
| DSC2 | Desmocollin-2 |
| DSG2 | Desmoglein-2 |
| DSP | Desmoplakin |
| ECM | Extracellular Matrix |
| EDV | End-Diastolic Volume |
| ESC | European Society of Cardiology |
| ESV | End-Systolic Volume |
| FLNC | Filamin-C |
| GAL3 | Galectin-3 |
| GDF-15 | Growth Differentiation Factor 15 |
| GWAS | Genome-Wide Association Studies |
| HC | Healthy Control |
| HCM | Hypertrophic Cardiomyopathy |
| HF | Heart Failure |
| HSP70 | Heat Shock Protein 70 |
| HTx | Heart Transplantation |
| ICD | Implantable Cardioverter Defibrillator |
| ICTP | Collagen Type-I Carboxy-Terminal Telopeptide |
| IHD | Ischemic Heart Disease |
| IVT | Idiopathic Ventricular Tachycardia |
| JUP | Plakoglobin |
| LGE | Late Gadolinium Enhancement |
| LMNA | Lamin A/C |
| LV | Left Ventricle |
| LVEF | Left Ventricular Ejection Fraction |
| miRNA | MicroRNA |
| MMPs | Matrix Metalloproteinases |
| mRNA | messenger RNA |
| NDLVC | Non-Dilated Left Ventricular Cardiomyopathy |
| NICD | Noninflammatory Cardiac Disease |
| NT-proBNP | N-terminal pro-B-type natriuretic peptide |
| NYHA | New York Heart Association |
| PICP | Procollagen Type-I Carboxy-Terminal Propeptides |
| PKP2 | Plakophilin-2 |
| PLN | Phospholamban |
| PVCs | Premature Ventricular Contractions |
| RNA | Ribonucleic Acid |
| RV | Right Ventricle |
| RVEF | Right Ventricular Ejection Fraction |
| RVOT | Right Ventricular Outflow Tract |
| RYR2 | Ryanodine-2 |
| SCD | Sudden Cardiac Death |
| SCN5A | Sodium Voltage-gated Channel Alpha subunit 5 |
| sST2 | Soluble Suppression of Tumorigenicity 2 |
| TGF-β1 | Transforming Growth Factor Beta 1 |
| TMEM43 | Transmembrane protein-43 |
| TTN | Titin |
| TWI | T wave inversion |
| UKBB | United Kingdom Biobank |
| VA | Ventricular Arrhythmias |
| VoUS | Variants of Uncertain Significance |
| VF | Ventricular Fibrillation |
| VT | Ventricular Tachycardia |
References
- Mattesi, G.; Cipriani, A.; Bauce, B.; Rigato, I.; Zorzi, A.; Corrado, D. Arrhythmogenic Left Ventricular Cardiomyopathy: Genotype-Phenotype Correlations and New Diagnostic Criteria. J. Clin. Med. 2021, 10, 2212. [Google Scholar] [CrossRef]
- Mattesi, G.; Zorzi, A.; Corrado, D.; Cipriani, A. Natural History of Arrhythmogenic Cardiomyopathy. J. Clin. Med. 2020, 9, 878. [Google Scholar] [CrossRef]
- Corrado, D.; Zorzi, A.; Cipriani, A.; Bauce, B.; Bariani, R.; Beffagna, G.; De Lazzari, M.; Migliore, F.; Pilichou, K.; Rampazzo, A.; et al. Evolving Diagnostic Criteria for Arrhythmogenic Cardiomyopathy. J. Am. Heart Assoc. 2021, 10, e021987. [Google Scholar] [CrossRef]
- Corrado, D.; Perazzolo Marra, M.; Zorzi, A.; Beffagna, G.; Cipriani, A.; Lazzari, M.D.; Migliore, F.; Pilichou, K.; Rampazzo, A.; Rigato, I.; et al. Diagnosis of Arrhythmogenic Cardiomyopathy: The Padua Criteria. Int. J. Cardiol. 2020, 319, 106–114. [Google Scholar] [CrossRef]
- Arbelo, E.; Protonotarios, A.; Gimeno, J.R.; Arbustini, E.; Barriales-Villa, R.; Basso, C.; Bezzina, C.R.; Biagini, E.; Blom, N.A.; de Boer, R.A.; et al. 2023 ESC Guidelines for the Management of Cardiomyopathies. Eur. Heart J. 2023, 44, 3503–3626. [Google Scholar] [CrossRef]
- Corrado, D.; Graziano, F.; Bauce, B.; Bueno Marinas, M.; Calore, C.; Celeghin, R.; Cipriani, A.; De Gaspari, M.; De Lazzari, M.; Migliore, F.; et al. The ‘Padua Classification’ of Cardiomyopathies into Three Groups: Hypertrophic/Restrictive, Dilated/Hypokinetic, and Scarring/Arrhythmogenic. Eur. Heart J. Suppl. 2025, 27, i73–i82. [Google Scholar] [CrossRef]
- Corrado, D.; Zorzi, A.; Cipriani, A.; Bauce, B.; Bariani, R.; Brunetti, G.; Graziano, F.; De Lazzari, M.; Mattesi, G.; Migliore, F.; et al. Scarring/Arrhythmogenic Cardiomyopathy. Eur. Heart J. Suppl. 2023, 25, C144–C154. [Google Scholar] [CrossRef]
- Corrado, D.; Basso, C.; Judge, D.P. Arrhythmogenic Cardiomyopathy. Circ. Res. 2017, 121, 784–802. [Google Scholar] [CrossRef] [PubMed]
- Setti, M.; De Luca, A.; Paldino, A.; Del Mestre, E.; Bassetto, G.; Perotto, M.; Radesich, C.; Merro, E.; Rossi, M.; Girotto, G.; et al. Fenotypic Expressions and Clinical Manifestations of Arrhythmogenic Cardiomyopathy. Eur. Heart J. Suppl. 2025, 27, iii143–iii149. [Google Scholar] [CrossRef] [PubMed]
- Bariani, R.; Cipriani, A.; Rizzo, S.; Celeghin, R.; Bueno Marinas, M.; Giorgi, B.; De Gaspari, M.; Rigato, I.; Leoni, L.; Zorzi, A.; et al. ‘Hot Phase’ Clinical Presentation in Arrhythmogenic Cardiomyopathy. EP Eur. 2021, 23, 907–917. [Google Scholar] [CrossRef] [PubMed]
- Bariani, R.; Rigato, I.; Cipriani, A.; Bueno Marinas, M.; Celeghin, R.; Basso, C.; Corrado, D.; Pilichou, K.; Bauce, B. Myocarditis-like Episodes in Patients with Arrhythmogenic Cardiomyopathy: A Systematic Review on the So-Called Hot-Phase of the Disease. Biomolecules 2022, 12, 1324. [Google Scholar] [CrossRef]
- Bassetto, G.; Angriman, F.; Gava, C.P.L.d.; Paldino, A.; Perotto, M.; Bordignon, L.; Gigli, M.; Ferro, M.D.; Massa, L.; Altinier, A.; et al. Hot Phases Cardiomyopathy: Pathophysiology, Diagnostic Challenges, and Emerging Therapies. Curr. Cardiol. Rep. 2025, 27, 11. [Google Scholar] [CrossRef]
- Gerull, B.; Klaassen, S.; Brodehl, A. The Genetic Landscape of Cardiomyopathies. In Genetic Causes of Cardiac Disease; Springer: Cham, Switzerland, 2019; pp. 45–91. [Google Scholar]
- Gerull, B.; Brodehl, A. Insights Into Genetics and Pathophysiology of Arrhythmogenic Cardiomyopathy. Curr. Heart Fail. Rep. 2021, 18, 378–390. [Google Scholar] [CrossRef]
- Ortiz-Genga, M.F.; Cuenca, S.; Dal Ferro, M.; Zorio, E.; Salgado-Aranda, R.; Climent, V.; Padrón-Barthe, L.; Duro-Aguado, I.; Jiménez-Jáimez, J.; Hidalgo-Olivares, V.M.; et al. Truncating FLNC Mutations Are Associated with High-Risk Dilated and Arrhythmogenic Cardiomyopathies. J. Am. Coll. Cardiol. 2016, 68, 2440–2451. [Google Scholar] [CrossRef] [PubMed]
- Quarta, G.; Syrris, P.; Ashworth, M.; Jenkins, S.; Zuborne Alapi, K.; Morgan, J.; Muir, A.; Pantazis, A.; McKenna, W.J.; Elliott, P.M. Mutations in the Lamin A/C Gene Mimic Arrhythmogenic Right Ventricular Cardiomyopathy. Eur. Heart J. 2012, 33, 1128–1136. [Google Scholar] [CrossRef]
- Bermudez-Jimenez, F.J.; Protonotarios, A.; García-Hernández, S.; Pérez Asensio, A.; Rampazzo, A.; Zorio, E.; Brodehl, A.; Arias, M.A.; Macías-Ruiz, R.; Fernández-Armenta, J.; et al. Phenotype and Clinical Outcomes in Desmin-Related Arrhythmogenic Cardiomyopathy. JACC Clin. Electrophysiol. 2024, 10, 1178–1190. [Google Scholar] [CrossRef] [PubMed]
- Stadiotti, I.; Pompilio, G.; Maione, A.S.; Pilato, C.A.; D’Alessandra, Y.; Sommariva, E. Arrhythmogenic Cardiomyopathy: What Blood Can Reveal? Heart Rhythm 2019, 16, 470–477. [Google Scholar] [CrossRef]
- Califf, R.M. Biomarker Definitions and Their Applications. Exp. Biol. Med. 2018, 243, 213–221. [Google Scholar] [CrossRef] [PubMed]
- Byrnes, S.A.; Weigl, B.H. Selecting Analytical Biomarkers for Diagnostic Applications: A First Principles Approach. Expert Rev. Mol. Diagn. 2018, 18, 19–26. [Google Scholar] [CrossRef]
- Marcus, F.I.; McKenna, W.J.; Sherrill, D.; Basso, C.; Bauce, B.; Bluemke, D.A.; Calkins, H.; Corrado, D.; Cox, M.G.P.J.; Daubert, J.P.; et al. Diagnosis of Arrhythmogenic Right Ventricular Cardiomyopathy/Dysplasia. Circulation 2010, 121, 1533–1541. [Google Scholar] [CrossRef]
- Towbin, J.A.; McKenna, W.J.; Abrams, D.J.; Ackerman, M.J.; Calkins, H.; Darrieux, F.C.C.; Daubert, J.P.; de Chillou, C.; DePasquale, E.C.; Desai, M.Y.; et al. 2019 HRS Expert Consensus Statement on Evaluation, Risk Stratification, and Management of Arrhythmogenic Cardiomyopathy. Heart Rhythm 2019, 16, e301–e372. [Google Scholar] [CrossRef]
- Corrado, D.; Anastasakis, A.; Basso, C.; Bauce, B.; Blomström-Lundqvist, C.; Bucciarelli-Ducci, C.; Cipriani, A.; De Asmundis, C.; Gandjbakhch, E.; Jiménez-Jáimez, J.; et al. Proposed Diagnostic Criteria for Arrhythmogenic Cardiomyopathy: European Task Force Consensus Report. Int. J. Cardiol. 2024, 395, 131447. [Google Scholar] [CrossRef]
- Ibrahim, N.E.; Gaggin, H.K.; Konstam, M.A.; Januzzi, J.L. Established and Emerging Roles of Biomarkers in Heart Failure Clinical Trials. Circ. Heart Fail. 2016, 9, 1–10. [Google Scholar] [CrossRef]
- Matsuo, K.; Nishikimi, T.; Yutani, C.; Kurita, T.; Shimizu, W.; Taguchi, A.; Suyama, K.; Aihara, N.; Kamakura, S.; Kangawa, K.; et al. Diagnostic Value of Plasma Levels of Brain Natriuretic Peptide in Arrhythmogenic Right Ventricular Dysplasia. Circulation 1998, 98, 2433–2440. [Google Scholar] [CrossRef]
- Cheng, H.; Lu, M.; Hou, C.; Chen, X.; Wang, J.; Yin, G.; Chu, J.; Zhang, S.; Prasad, S.K.; Pu, J.; et al. Relation Between N-Terminal Pro-Brain Natriuretic Peptide and Cardiac Remodeling and Function Assessed by Cardiovascular Magnetic Resonance Imaging in Patients with Arrhythmogenic Right Ventricular Cardiomyopathy. Am. J. Cardiol. 2015, 115, 341–347. [Google Scholar] [CrossRef]
- Van Der Voorn, S.M.; Bourfiss, M.; Muller, S.A.; Çimen, T.; Saguner, A.M.; Duru, F.; Te Riele, A.S.J.M.; Remme, C.A.; Van Veen, T.A.B. Circulating Biomarkers of Fibrosis Formation in Patients with Arrhythmogenic Cardiomyopathy. Biomedicines 2023, 11, 813. [Google Scholar] [CrossRef]
- Satoh, M.; Shimoda, Y.; Akatsu, T.; Ishikawa, Y.; Minami, Y.; Nakamura, M. Elevated Circulating Levels of Heat Shock Protein 70 Are Related to Systemic Inflammatory Reaction through Monocyte Toll Signal in Patients with Heart Failure after Acute Myocardial Infarction. Eur. J. Heart Fail. 2006, 8, 810–815. [Google Scholar] [CrossRef]
- Wei, Y.-J.; Huang, Y.-X.; Shen, Y.; Cui, C.-J.; Zhang, X.-L.; Zhang, H.; Hu, S.-S. Proteomic Analysis Reveals Significant Elevation of Heat Shock Protein 70 in Patients with Chronic Heart Failure Due to Arrhythmogenic Right Ventricular Cardiomyopathy. Mol. Cell. Biochem. 2009, 332, 103–111. [Google Scholar] [CrossRef] [PubMed]
- Bonny, A.; Lellouche, N.; Ditah, I.; Hidden-Lucet, F.; Yitemben, M.T.; Granger, B.; Larrazet, F.; Frank, R.; Fontaine, G. C-Reactive Protein in Arrhythmogenic Right Ventricular Dysplasia/Cardiomyopathy and Relationship with Ventricular Tachycardia. Cardiol. Res. Pract. 2010, 2010, 919783. [Google Scholar] [CrossRef] [PubMed]
- Asimaki, A.; Tandri, H.; Duffy, E.R.; Winterfield, J.R.; Mackey-Bojack, S.; Picken, M.M.; Cooper, L.T.; Wilber, D.J.; Marcus, F.I.; Basso, C.; et al. Altered Desmosomal Proteins in Granulomatous Myocarditis and Potential Pathogenic Links to Arrhythmogenic Right Ventricular Cardiomyopathy. Circ. Arrhythmia Electrophysiol. 2011, 4, 743–752. [Google Scholar] [CrossRef] [PubMed]
- Campian, M.E.; Verberne, H.J.; Hardziyenka, M.; de Groot, E.A.A.; van Moerkerken, A.F.; van Eck-Smit, B.L.F.; Tan, H.L. Assessment of Inflammation in Patients with Arrhythmogenic Right Ventricular Cardiomyopathy/Dysplasia. Eur. J. Nucl. Med. Mol. Imaging 2010, 37, 2079–2085. [Google Scholar] [CrossRef]
- van der Voorn, S.M.; Bourfiss, M.; te Riele, A.S.J.M.; Taha, K.; Vos, M.A.; de Brouwer, R.; Verstraelen, T.E.; de Boer, R.A.; Remme, C.A.; van Veen, T.A.B. Exploring the Correlation Between Fibrosis Biomarkers and Clinical Disease Severity in PLN p.Arg14del Patients. Front. Cardiovasc. Med. 2022, 8, 802998. [Google Scholar] [CrossRef] [PubMed]
- Oz, F.; Onur, I.; Elitok, A.; Ademoglu, E.; Altun, I.; Bilge, A.K.; Adalet, K. Galectin-3 Correlates with Arrhythmogenic Right Ventricular Cardiomyopathy and Predicts the Risk of Ventricular arrhythmias in Patients with Implantable Defibrillators. Acta Cardiol. 2017, 72, 453–459. [Google Scholar] [CrossRef]
- Maione, A.S.; Pilato, C.A.; Casella, M.; Gasperetti, A.; Stadiotti, I.; Pompilio, G.; Sommariva, E. Fibrosis in Arrhythmogenic Cardiomyopathy: The Phantom Thread in the Fibro-Adipose Tissue. Front. Physiol. 2020, 11, 279. [Google Scholar] [CrossRef]
- Akdis, D.; Chen, L.; Saguner, A.M.; Zhang, N.; Gawinecka, J.; Saleh, L.; Von Eckardstein, A.; Ren, J.; Matter, C.M.; Hu, Z.; et al. Novel Plasma Biomarkers Predicting Biventricular Involvement in Arrhythmogenic Right Ventricular Cardiomyopathy. Am. Heart J. 2022, 244, 66–76. [Google Scholar] [CrossRef]
- Broch, K.; Leren, I.S.; Saberniak, J.; Ueland, T.; Edvardsen, T.; Gullestad, L.; Haugaa, K.H. Soluble ST2 Is Associated with Disease Severity in Arrhythmogenic Right Ventricular Cardiomyopathy. Biomarkers 2017, 22, 367–371. [Google Scholar] [CrossRef] [PubMed]
- Borowiec, K.; Woźniak, O.; Wróbel, A.; Śmigielski, W.; Skrzypczyńska-Banasik, U.; Kowalik, E.; Lutyńska, A.; Hoffman, P.; Biernacka, E.K. NT-ProBNP Is Superior to Novel Plasma Biomarkers for Predicting Adverse Outcome in Arrhythmogenic Right Ventricular Cardiomyopathy. Pol. Arch. Intern. Med. 2023, 133, 16443. [Google Scholar] [CrossRef]
- Chatterjee, D.; Fatah, M.; Akdis, D.; Spears, D.A.; Koopmann, T.T.; Mittal, K.; Rafiq, M.A.; Cattanach, B.M.; Zhao, Q.; Healey, J.S.; et al. An Autoantibody Identifies Arrhythmogenic Right Ventricular Cardiomyopathy and Participates in Its Pathogenesis. Eur. Heart J. 2018, 39, 3932–3944. [Google Scholar] [CrossRef] [PubMed]
- Caforio, A.L.P.; Re, F.; Avella, A.; Marcolongo, R.; Baratta, P.; Seguso, M.; Gallo, N.; Plebani, M.; Izquierdo-Bajo, A.; Cheng, C.-Y.; et al. Evidence From Family Studies for Autoimmunity in Arrhythmogenic Right Ventricular Cardiomyopathy. Circulation 2020, 141, 1238–1248. [Google Scholar] [CrossRef]
- de Jong, S.; van Veen, T.A.B.; van Rijen, H.V.M.; de Bakker, J.M.T. Fibrosis and Cardiac Arrhythmias. J. Cardiovasc. Pharmacol. 2011, 57, 630–638. [Google Scholar] [CrossRef]
- Amirrah, I.N.; Lokanathan, Y.; Zulkiflee, I.; Wee, M.F.M.R.; Motta, A.; Fauzi, M.B. A Comprehensive Review on Collagen Type I Development of Biomaterials for Tissue Engineering: From Biosynthesis to Bioscaffold. Biomedicines 2022, 10, 2307. [Google Scholar] [CrossRef]
- Kanoupakis, E.M.; Manios, E.G.; Kallergis, E.M.; Mavrakis, H.E.; Goudis, C.A.; Saloustros, I.G.; Milathianaki, M.E.; Chlouverakis, G.I.; Vardas, P.E. Serum Markers of Collagen Turnover Predict Future Shocks in Implantable Cardioverter-Defibrillator Recipients with Dilated Cardiomyopathy on Optimal Treatment. J. Am. Coll. Cardiol. 2010, 55, 2753–2759. [Google Scholar] [CrossRef]
- Marcus, G.M. Can Serologic Markers of Fibrosis Reveal an Arrhythmogenic Ventricular Substrate in Nonischemic Dilated Cardiomyopathy? J. Am. Coll. Cardiol. 2010, 55, 2760–2761. [Google Scholar] [CrossRef]
- Ho, J.E.; Liu, C.; Lyass, A.; Courchesne, P.; Pencina, M.J.; Vasan, R.S.; Larson, M.G.; Levy, D. Galectin-3, a Marker of Cardiac Fibrosis, Predicts Incident Heart Failure in the Community. J. Am. Coll. Cardiol. 2012, 60, 1249–1256. [Google Scholar] [CrossRef]
- Lok, D.J.A.; Van Der Meer, P.; de la Porte, P.W.B.-A.; Lipsic, E.; Van Wijngaarden, J.; Hillege, H.L.; van Veldhuisen, D.J. Prognostic Value of Galectin-3, a Novel Marker of Fibrosis, in Patients with Chronic Heart Failure: Data from the DEAL-HF Study. Clin. Res. Cardiol. 2010, 99, 323–328. [Google Scholar] [CrossRef]
- Baccouche, B.M.; Mahmoud, M.A.; Nief, C.; Patel, K.; Natterson-Horowitz, B. Galectin-3 Is Associated with Heart Failure Incidence: A Meta-Analysis. Curr. Cardiol. Rev. 2023, 19, e171122211004. [Google Scholar] [CrossRef]
- Schindler, E.I.; Szymanski, J.J.; Hock, K.G.; Geltman, E.M.; Scott, M.G. Short- and Long-Term Biologic Variability of Galectin-3 and Other Cardiac Biomarkers in Patients with Stable Heart Failure and Healthy Adults. Clin. Chem. 2016, 62, 360–366. [Google Scholar] [CrossRef] [PubMed]
- Cason, M.; Celeghin, R.; Marinas, M.B.; Beffagna, G.; Della Barbera, M.; Rizzo, S.; Remme, C.A.; Bezzina, C.R.; Tiso, N.; Bauce, B.; et al. Novel Pathogenic Role for Galectin-3 in Early Disease Stages of Arrhythmogenic Cardiomyopathy. Heart Rhythm 2021, 18, 1394–1403. [Google Scholar] [CrossRef]
- Frangogiannis, N.G. Transforming Growth Factor–β in Tissue Fibrosis. J. Exp. Med. 2020, 217, e20190103. [Google Scholar] [CrossRef] [PubMed]
- Frangogiannis, N.G. Cardiac Fibrosis. Cardiovasc. Res. 2021, 117, 1450–1488. [Google Scholar] [CrossRef] [PubMed]
- Maione, A.S.; Stadiotti, I.; Pilato, C.A.; Perrucci, G.L.; Saverio, V.; Catto, V.; Vettor, G.; Casella, M.; Guarino, A.; Polvani, G.; et al. Excess TGF-Β1 Drives Cardiac Mesenchymal Stromal Cells to a Pro-Fibrotic Commitment in Arrhythmogenic Cardiomyopathy. Int. J. Mol. Sci. 2021, 22, 2673. [Google Scholar] [CrossRef]
- Schinner, C.; Xu, L.; Franz, H.; Zimmermann, A.; Wanuske, M.-T.; Rathod, M.; Hanns, P.; Geier, F.; Pelczar, P.; Liang, Y.; et al. Defective Desmosomal Adhesion Causes Arrhythmogenic Cardiomyopathy by Involving an Integrin-AVβ6/TGF-β Signaling Cascade. Circulation 2022, 146, 1610–1626. [Google Scholar] [CrossRef] [PubMed]
- Brodehl, A.; Belke, D.D.; Garnett, L.; Martens, K.; Abdelfatah, N.; Rodriguez, M.; Diao, C.; Chen, Y.-X.; Gordon, P.M.K.; Nygren, A.; et al. Transgenic Mice Overexpressing Desmocollin-2 (DSC2) Develop Cardiomyopathy Associated with Myocardial Inflammation and Fibrotic Remodeling. PLoS ONE 2017, 12, e0174019. [Google Scholar] [CrossRef] [PubMed]
- Zhang, B.; Wu, Y.; Zhou, C.; Xie, J.; Zhang, Y.; Yang, X.; Xiao, J.; Wang, D.W.; Shan, C.; Zhou, X.; et al. Hyperactivation of ATF4/TGF-Β1 Signaling Contributes to the Progressive Cardiac Fibrosis in Arrhythmogenic Cardiomyopathy Caused by DSG2 Variant. BMC Med. 2024, 22, 361. [Google Scholar] [CrossRef]
- Boogerd, C.J.; Lacraz, G.P.A.; Vértesy, Á.; van Kampen, S.J.; Perini, I.; de Ruiter, H.; Versteeg, D.; Brodehl, A.; van der Kraak, P.; Giacca, M.; et al. Spatial Transcriptomics Unveils ZBTB11 as a Regulator of Cardiomyocyte Degeneration in Arrhythmogenic Cardiomyopathy. Cardiovasc. Res. 2023, 119, 477–491. [Google Scholar] [CrossRef]
- Emmerson, P.J.; Duffin, K.L.; Chintharlapalli, S.; Wu, X. GDF15 and Growth Control. Front. Physiol. 2018, 9, 1712. [Google Scholar] [CrossRef]
- Kanagala, P.; Arnold, J.R.; Singh, A.; Chan, D.C.S.; Cheng, A.S.H.; Khan, J.N.; Gulsin, G.S.; Yang, J.; Zhao, L.; Gupta, P.; et al. Characterizing Heart Failure with Preserved and Reduced Ejection Fraction: An Imaging and Plasma Biomarker Approach. PLoS ONE 2020, 15, e0232280. [Google Scholar] [CrossRef] [PubMed]
- Netala, V.R.; Hou, T.; Wang, Y.; Zhang, Z.; Teertam, S.K. Cardiovascular Biomarkers: Tools for Precision Diagnosis and Prognosis. Int. J. Mol. Sci. 2025, 26, 3218. [Google Scholar] [CrossRef]
- Lok, S.I.; Winkens, B.; Goldschmeding, R.; van Geffen, A.J.P.; Nous, F.M.A.; van Kuik, J.; van der Weide, P.; Klöpping, C.; Kirkels, J.H.; Lahpor, J.R.; et al. Circulating Growth Differentiation Factor-15 Correlates with Myocardial Fibrosis in Patients with Non-ischaemic Dilated Cardiomyopathy and Decreases Rapidly after Left Ventricular Assist Device Support. Eur. J. Heart Fail. 2012, 14, 1249–1256. [Google Scholar] [CrossRef]
- May, B.M.; Kochi, A.N.; Magalhães, A.P.A.; Scolari, F.; Zimerman, A.; Andrades, M.; Zimerman, L.I.; Rohde, L.E.; Pimentel, M. Growth/Differentiation Factor-15 (GDF-15) as a Predictor of Serious Arrhythmic Events in Patients with Nonischemic Dilated Cardiomyopathy. J. Electrocardiol. 2022, 70, 19–23. [Google Scholar] [CrossRef]
- Riccardi, M.; Myhre, P.L.; Zelniker, T.A.; Metra, M.; Januzzi, J.L.; Inciardi, R.M. Soluble ST2 in Heart Failure: A Clinical Role beyond B-Type Natriuretic Peptide. J. Cardiovasc. Dev. Dis. 2023, 10, 468. [Google Scholar] [CrossRef]
- Sciatti, E.; Merlo, A.; Scangiuzzi, C.; Limonta, R.; Gori, M.; D’Elia, E.; Aimo, A.; Vergaro, G.; Emdin, M.; Senni, M. Prognostic Value of SST2 in Heart Failure. J. Clin. Med. 2023, 12, 3970. [Google Scholar] [CrossRef]
- Kakkar, R.; Lee, R.T. The IL-33/ST2 Pathway: Therapeutic Target and Novel Biomarker. Nat. Rev. Drug Discov. 2008, 7, 827–840. [Google Scholar] [CrossRef]
- Lotierzo, M.; Dupuy, A.M.; Kalmanovich, E.; Roubille, F.; Cristol, J.P. SST2 as a Value-Added Biomarker in Heart Failure. Clin. Chim. Acta 2020, 501, 120–130. [Google Scholar] [CrossRef]
- Yancy, C.W.; Jessup, M.; Bozkurt, B.; Butler, J.; Casey, D.E.; Drazner, M.H.; Fonarow, G.C.; Geraci, S.A.; Horwich, T.; Januzzi, J.L.; et al. 2013 ACCF/AHA Guideline for the Management of Heart Failure: Executive Summary. Circulation 2013, 128, 1810–1852. [Google Scholar] [CrossRef]
- Stege, N.M.; de Boer, R.A.; van den Berg, M.P.; Silljé, H.H.W. The Time Has Come to Explore Plasma Biomarkers in Genetic Cardiomyopathies. Int. J. Mol. Sci. 2021, 22, 2955. [Google Scholar] [CrossRef]
- McLendon, P.M.; Robbins, J. Desmin-Related Cardiomyopathy: An Unfolding Story. Am. J. Physiol.-Heart Circ. Physiol. 2011, 301, H1220–H1228. [Google Scholar] [CrossRef] [PubMed]
- Wang, X.; Osinska, H.; Klevitsky, R.; Gerdes, A.M.; Nieman, M.; Lorenz, J.; Hewett, T.; Robbins, J. Expression of R120G–AB-Crystallin Causes Aberrant Desmin and AB-Crystallin Aggregation and Cardiomyopathy in Mice. Circ. Res. 2001, 89, 84–91. [Google Scholar] [CrossRef] [PubMed]
- te Rijdt, W.P.; van Tintelen, J.P.; Vink, A.; van der Wal, A.C.; de Boer, R.A.; van den Berg, M.P.; Suurmeijer, A.J.H. Phospholamban p.Arg14del Cardiomyopathy Is Characterized by Phospholamban Aggregates, Aggresomes, and Autophagic Degradation. Histopathology 2016, 69, 542–550. [Google Scholar] [CrossRef] [PubMed]
- Padrón-Barthe, L.; Villalba-Orero, M.; Gómez-Salinero, J.M.; Domínguez, F.; Román, M.; Larrasa-Alonso, J.; Ortiz-Sánchez, P.; Martínez, F.; López-Olañeta, M.; Bonzón-Kulichenko, E.; et al. Severe Cardiac Dysfunction and Death Caused by Arrhythmogenic Right Ventricular Cardiomyopathy Type 5 Are Improved by Inhibition of Glycogen Synthase Kinase-3β. Circulation 2019, 140, 1188–1204. [Google Scholar] [CrossRef]
- Paldino, A.; De Angelis, G.; Merlo, M.; Gigli, M.; Dal Ferro, M.; Severini, G.M.; Mestroni, L.; Sinagra, G. Genetics of Dilated Cardiomyopathy: Clinical Implications. Curr. Cardiol. Rep. 2018, 20, 83. [Google Scholar] [CrossRef]
- Hershberger, R.E.; Jordan, E. LMNA-Related Dilated Cardiomyopathy. In GeneReviews®; Adam, M.P., Feldman, J., Mirzaa, G.M., Pagon, R.A., Wallace, S.E., Amemiya, A., Eds.; University of Washington: Seattle, WA, USA, 1993. [Google Scholar]
- Protonotarios, A.; Bariani, R.; Cappelletto, C.; Pavlou, M.; García-García, A.; Cipriani, A.; Protonotarios, I.; Rivas, A.; Wittenberg, R.; Graziosi, M.; et al. Importance of Genotype for Risk Stratification in Arrhythmogenic Right Ventricular Cardiomyopathy Using the 2019 ARVC Risk Calculator. Eur. Heart J. 2022, 43, 3053–3067. [Google Scholar] [CrossRef]
- Hu, Y.; Chen, Z.; Shi, A.; Li, Z.; Chen, Z.; Zheng, Y.; Zhao, X.; Dai, S.; Lin, Y.; Li, Y.; et al. China Multi-Center Cohort Study on Risk Evaluation of Arrhythmogenic Cardiomyopathy. JACC Asia 2025, 5, 914–923. [Google Scholar] [CrossRef]
- Paldino, A.; Dal Ferro, M.; Stolfo, D.; Gandin, I.; Medo, K.; Graw, S.; Gigli, M.; Gagno, G.; Zaffalon, D.; Castrichini, M.; et al. Prognostic Prediction of Genotype vs Phenotype in Genetic Cardiomyopathies. J. Am. Coll. Cardiol. 2022, 80, 1981–1994. [Google Scholar] [CrossRef] [PubMed]
- Asatryan, B.; Shah, R.A.; Sharaf Dabbagh, G.; Landstrom, A.P.; Darbar, D.; Khanji, M.Y.; Lopes, L.R.; van Duijvenboden, S.; Muser, D.; Lee, A.M.; et al. Predicted Deleterious Variants in Cardiomyopathy Genes Prognosticate Mortality and Composite Outcomes in the UK Biobank. JACC Heart Fail. 2024, 12, 918–932. [Google Scholar] [CrossRef] [PubMed]
- Harper, A.R.; Goel, A.; Grace, C.; Thomson, K.L.; Petersen, S.E.; Xu, X.; Waring, A.; Ormondroyd, E.; Kramer, C.M.; Ho, C.Y.; et al. Common Genetic Variants and Modifiable Risk Factors Underpin Hypertrophic Cardiomyopathy Susceptibility and Expressivity. Nat. Genet. 2021, 53, 135–142. [Google Scholar] [CrossRef]
- Tadros, R.; Francis, C.; Xu, X.; Vermeer, A.M.C.; Harper, A.R.; Huurman, R.; Kelu Bisabu, K.; Walsh, R.; Hoorntje, E.T.; te Rijdt, W.P.; et al. Shared Genetic Pathways Contribute to Risk of Hypertrophic and Dilated Cardiomyopathies with Opposite Directions of Effect. Nat. Genet. 2021, 53, 128–134. [Google Scholar] [CrossRef]
- Bonet, F.; Campuzano, O.; Córdoba-Caballero, J.; Alcalde, M.; Sarquella-Brugada, G.; Braza-Boïls, A.; Brugada, R.; Hernández-Torres, F.; Quezada-Feijoo, M.; Ramos, M.; et al. Role of MiRNA–MRNA Interactome in Pathophysiology of Arrhythmogenic Cardiomyopathy. Biomedicines 2024, 12, 1807. [Google Scholar] [CrossRef] [PubMed]
- Small, E.M.; Olson, E.N. Pervasive Roles of MicroRNAs in Cardiovascular Biology. Nature 2011, 469, 336–342. [Google Scholar] [CrossRef]
- Krol, J.; Loedige, I.; Filipowicz, W. The Widespread Regulation of MicroRNA Biogenesis, Function and Decay. Nat. Rev. Genet. 2010, 11, 597–610. [Google Scholar] [CrossRef]
- Divakaran, V.; Mann, D.L. The Emerging Role of Micrornas in Cardiac Remodeling and Heart Failure. Circ. Res. 2008, 103, 1072–1083. [Google Scholar] [CrossRef]
- Samanta, S.; Balasubramanian, S.; Rajasingh, S.; Patel, U.; Dhanasekaran, A.; Dawn, B.; Rajasingh, J. MicroRNA: A New Therapeutic Strategy for Cardiovascular Diseases. Trends Cardiovasc. Med. 2016, 26, 407. [Google Scholar] [CrossRef]
- Alcalde, M.; Toro, R.; Bonet, F.; ordoba-Caballero, J.C.; Martínez-Barrios, E.; Antonio Ranea, J.; Vallverd u-Prats, M.; Brugada, R.; Campuzano, O. Role of MicroRNAs in Arrhythmogenic Cardiomyopathy: Translation as Biomarkers into Clinical Practice. Ga. Sarquella-Brugada 2023, 12, 11. [Google Scholar] [CrossRef]
- Sommariva, E.; D’Alessandra, Y.; Farina, F.M.; Casella, M.; Cattaneo, F.; Catto, V.; Chiesa, M.; Stadiotti, I.; Brambilla, S.; Dello Russo, A.; et al. MiR-320a as a Potential Novel Circulating Biomarker of Arrhythmogenic CardioMyopathy. Sci. Rep. 2017, 7, 4802. [Google Scholar] [CrossRef] [PubMed]
- Yamada, S.; Hsiao, Y.W.; Chang, S.L.; Lin, Y.J.; Lo, L.W.; Chung, F.P.; Chiang, S.J.; Hu, Y.F.; Tuan, T.C.; Chao, T.F.; et al. Circulating MicroRNAs in Arrhythmogenic Right Ventricular Cardiomyopathy with Ventricular Arrhythmia. Europace 2018, 20, f37–f45. [Google Scholar] [CrossRef]
- Sacchetto, C.; Mohseni, Z.; Colpaert, R.M.W.; Vitiello, L.; Bortoli, M.D.; Vonhögen, I.G.C.; Xiao, K.; Poloni, G.; Lorenzon, A.; Romualdi, C.; et al. Circulating MiR-185-5p as a Potential Biomarker for Arrhythmogenic Right Ventricular Cardiomyopathy. Cells 2021, 10, 2578. [Google Scholar] [CrossRef]
- Marinas, M.B.; Celeghin, R.; Cason, M.; Bariani, R.; Frigo, A.C.; Jager, J.; Syrris, P.; Elliott, P.M.; Bauce, B.; Thiene, G.; et al. A MicroRNA Expression Profile as Non-Invasive Biomarker in a Large Arrhythmogenic Cardiomyopathy Cohort. Int. J. Mol. Sci. 2020, 21, 1536. [Google Scholar] [CrossRef] [PubMed]
- Zhang, H.; Liu, S.; Dong, T.; Yang, J.; Xie, Y.; Wu, Y.; Kang, K.; Hu, S.; Gou, D.; Wei, Y. Profiling of Differentially Expressed MicroRNAs in Arrhythmogenic Right Ventricular Cardiomyopathy. Sci. Rep. 2016, 6, 28101. [Google Scholar] [CrossRef]
- Rainer, J.; Meraviglia, V.; Blankenburg, H.; Piubelli, C.; Pramstaller, P.P.; Paolin, A.; Cogliati, E.; Pompilio, G.; Sommariva, E.; Domingues, F.S.; et al. The Arrhythmogenic Cardiomyopathy-Specific Coding and Non-Coding Transcriptome in Human Cardiac Stromal Cells. BMC Genom. 2018, 19, 491. [Google Scholar] [CrossRef] [PubMed]



| Biomarkers | Type of Biomarkers | N. Patients with ACM | Main Findings in Affected Patients | Reference |
|---|---|---|---|---|
| BNP | Congestion and HF | 17 | BNP ↑ | Matsuo et al. [25] |
| NT-proBNP | Congestion and HF | 56 | NT-proBNP ↑ in patients with RV dysfunction | Cheng et al. [26] |
| HSP70 | Myocardial damage | 8 | Tissue HSP70 ↑ (1.64-fold) in ARVC with HF HSP70 ↑ in serum samples of ARVC with HF | Wei et al. [29] |
| CRP | Inflammation | 60 | CRP ↑ in ARVC patients CRP ↑ within 24 h of VT episodes | Bonny et al. [30] |
| PICP, ICTP, PICP/ICTP ratio | Fibrosis | 12 | PICP/ICTP ratio moderately correlated with LV and RV EDV/ESV | van der Voorn et al. [33] |
| PICP, ICTP, PICP/ICTP ratio | Fibrosis | 35 | PICP/ICTP ratio ↑ in ACM PICP ↑ in ACM | van der Voorn et al. [27] |
| Galectin-3 | Fibrosis | 29 | GAL3 ↑ in ARVC Independently predicted VT/VF episodes | Oz et al. [34] |
| TGF-beta 1 | Fibrosis | 52 | TGF-beta 1 ↑ in ACM | Maione et al. [35] |
| GDF-15 sST2 | Novel biomarkers | 108 (discovery cohort) 47 (validation cohort) | GDF-15 ↑ in LV involvement GDF-15 correlates with LGE GDF-15 + sST2 + NT-proBNP predicts BiV involvement sST2 ↑ in LV involvement sST2 correlates with LGE sST2 + GDF-15 + NT-proBNP predicts BiV involvement | Akdis et al. [36] |
| sST2 | Novel biomarkers | 44 | sST2 ↑ correlates with: RV and LV dysfunction, VT | Broch et al. [37] |
| sST2 | Novel biomarkers | 91 | sST2 ↑ prognostic factor of death or HTx | Borowiec et al. [38] |
| Anti-DSG2 | Autoantibodies | 20 (original cohort) 25 (validation cohort) | Anti-DSG2 was present in all 37 patients with definite ARVC Antibody density at Western blot or ELISA correlates with disease severity | Chatterjee et al. [39] |
| AHAs + AIDAs | Autoantibodies | 42 ARVC + 37 ARs + 96 HRs | AHAs and AIDAs ↑ in ARVC, ARs, and HRs than the control population In ARVC and ARs, they were associated with features of disease severity (lower RVEF and LVEF) | Caforio et al. [40] |
Disclaimer/Publisher’s Note: The statements, opinions and data contained in all publications are solely those of the individual author(s) and contributor(s) and not of MDPI and/or the editor(s). MDPI and/or the editor(s) disclaim responsibility for any injury to people or property resulting from any ideas, methods, instructions or products referred to in the content. |
© 2025 by the authors. Licensee MDPI, Basel, Switzerland. This article is an open access article distributed under the terms and conditions of the Creative Commons Attribution (CC BY) license (https://creativecommons.org/licenses/by/4.0/).
Share and Cite
Barocelli, F.; Pasini, N.; Bettella, A.; Crocamo, A.; Ambrosini, E.; Gurgoglione, F.L.; Canu, E.; Torlai Triglia, L.; Russo, F.; Guidorossi, A.; et al. Arrhythmogenic Cardiomyopathy and Biomarkers: A Promising Perspective? J. Clin. Med. 2025, 14, 7046. https://doi.org/10.3390/jcm14197046
Barocelli F, Pasini N, Bettella A, Crocamo A, Ambrosini E, Gurgoglione FL, Canu E, Torlai Triglia L, Russo F, Guidorossi A, et al. Arrhythmogenic Cardiomyopathy and Biomarkers: A Promising Perspective? Journal of Clinical Medicine. 2025; 14(19):7046. https://doi.org/10.3390/jcm14197046
Chicago/Turabian StyleBarocelli, Federico, Nicolò Pasini, Alberto Bettella, Antonio Crocamo, Enrico Ambrosini, Filippo Luca Gurgoglione, Eleonora Canu, Laura Torlai Triglia, Francesca Russo, Angela Guidorossi, and et al. 2025. "Arrhythmogenic Cardiomyopathy and Biomarkers: A Promising Perspective?" Journal of Clinical Medicine 14, no. 19: 7046. https://doi.org/10.3390/jcm14197046
APA StyleBarocelli, F., Pasini, N., Bettella, A., Crocamo, A., Ambrosini, E., Gurgoglione, F. L., Canu, E., Torlai Triglia, L., Russo, F., Guidorossi, A., Notarangelo, F. M., Corradi, D., Percesepe, A., & Niccoli, G. (2025). Arrhythmogenic Cardiomyopathy and Biomarkers: A Promising Perspective? Journal of Clinical Medicine, 14(19), 7046. https://doi.org/10.3390/jcm14197046

