The Effect of the Modification of Perioperative Anti-Rheumatic Medications on Early Complications After Total Ankle Arthroplasty for Severe Rheumatoid Arthritis
Abstract
1. Introduction
2. Materials and Methods
2.1. Study Design
2.2. Study Subjects
2.3. Modification of Perioperative Anti-Rheumatic Medications
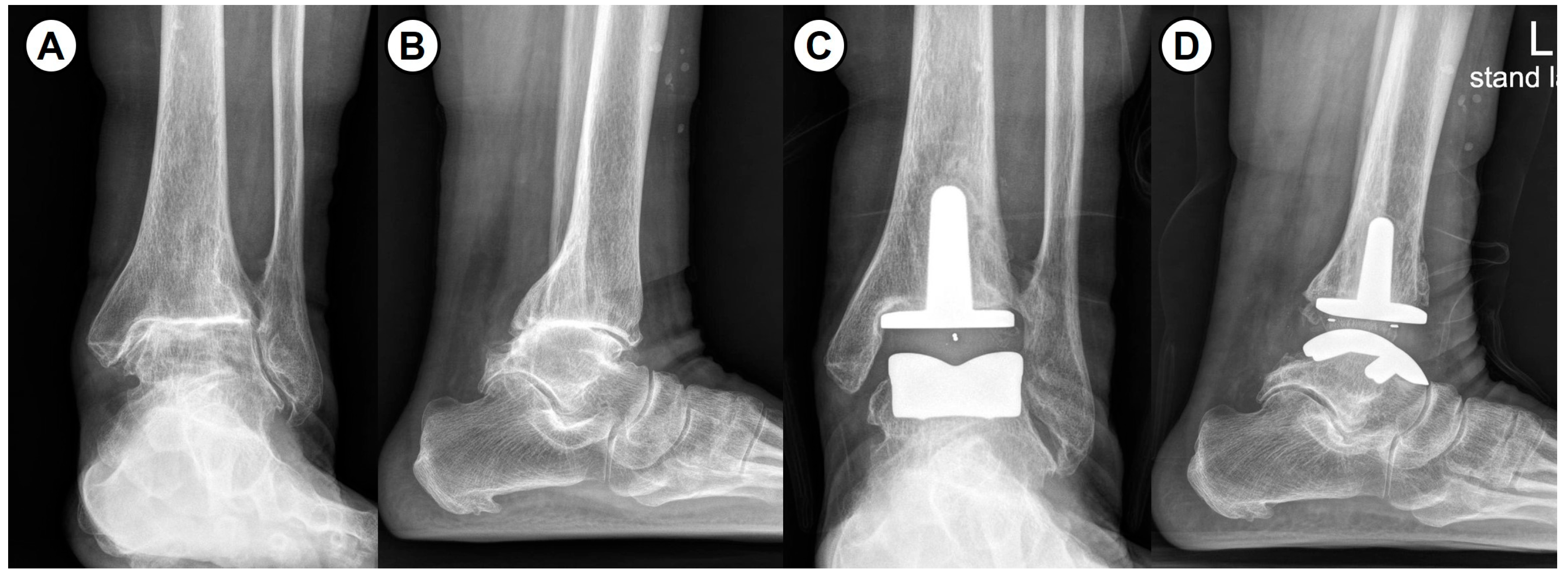
2.4. Clinical and Radiological Evaluation Methods
2.5. Postoperative Wound Assessment
2.6. Statistical Analysis
3. Results
3.1. Comparison of Demographic Characteristics and Operative Procedures
3.2. Comparison of Clinical Outcomes
3.3. Comparison of Postoperative Complications
3.4. Comparison of Postoperative Wound Healing
4. Discussion
5. Conclusions
Author Contributions
Funding
Institutional Review Board Statement
Informed Consent Statement
Data Availability Statement
Conflicts of Interest
Abbreviations
| RA | Rheumatoid arthritis |
| TAA | Total ankle arthroplasty |
| AOFAS | American Orthopaedic Foot and Ankle Society |
| FAOS | Foot and Ankle Outcome Score |
References
- Hintermann, B.; Valderrabano, V. Total ankle replacement. Foot Ankle Clin. 2003, 8, 375–405. [Google Scholar] [CrossRef] [PubMed]
- Ahmad, J.; Raikin, S.M. Ankle arthrodesis: The simple and the complex. Foot Ankle Clin. 2008, 13, 381–400. [Google Scholar] [CrossRef] [PubMed]
- Gross, C.E.; Hsu, A.R.; Scott, D.J.; Palanca, A. Design rational for total ankle arthroplasty: An update. J. Am. Acad. Orthop. Surg. 2024, 33, 890–898. [Google Scholar] [CrossRef]
- Zhang, Y.; Zhang, J.; Chen, Z.; Zhao, D.; Liu, Y.; Jin, Z.; Liu, P.; Si, H. A comparative study of INBONE II, INFINITY, and an anatomical-design prosthesis by a patient-specific wear prediction framework within total ankle replacement. Comput. Methods Programs Biomed. 2025, 269, 108897. [Google Scholar] [CrossRef]
- Morash, J.; Walton, D.M.; Glazebrook, M. Ankle arthrodesis versus total ankle arthroplasty. Foot Ankle Clin. 2017, 22, 251–266. [Google Scholar] [CrossRef]
- Pedowitz, D.I.; Kane, J.M.; Smith, G.M.; Saffel, H.L.; Comer, C.; Raikin, S.M. Total ankle arthroplasty versus ankle arthrodesis: A comparative analysis of arc of movement and functional outcomes. Bone Joint J. 2016, 98-B, 634–640. [Google Scholar] [CrossRef]
- Singer, S.; Klejman, S.; Pinsker, E.; Houck, J.; Daniels, T. Ankle arthroplasty and ankle arthrodesis: Gait analysis compared with normal controls. J. Bone Joint Surg. Am. 2013, 95, e191. [Google Scholar] [CrossRef]
- Guyer, A.J.; Richardson, G. Current concepts review: Total ankle arthroplasty. Foot Ankle Int. 2008, 29, 256–264. [Google Scholar] [CrossRef]
- Doets, H.C.; Brand, R.; Nelissen, R.G. Total ankle arthroplasty in inflammatory joint disease with use of two mobile-bearing designs. J. Bone Joint Surg. Am. 2006, 88, 1272–1284. [Google Scholar] [CrossRef]
- den Broeder, A.A.; Creemers, M.C.; Fransen, J.; de Jong, E.; de Rooij, D.J.; Wymenga, A.; de Waal-Malefijt, M.; van den Hoogen, F.H.J. Risk factors for surgical site infections and other complications in elective surgery in patients with rheumatoid arthritis with special attention for anti-tumor necrosis factor: A large retrospective study. J. Rheumatol. 2007, 34, 689–695. [Google Scholar]
- Sindhu, K.; Cohen, B.; Gil, J.A. Perioperative management of rheumatoid medications in orthopedic surgery. Orthopedics 2017, 40, 282–286. [Google Scholar] [CrossRef] [PubMed][Green Version]
- Stengel, D.; Bauwens, K.; Ekkernkamp, A.; Cramer, J. Efficacy of total ankle replacement with meniscal-bearing devices: A systematic review and meta-analysis. Arch. Orthop. Trauma Surg. 2005, 125, 109–119. [Google Scholar] [CrossRef] [PubMed]
- Jennison, T.; Ukoumunne, O.C.; Lamb, S.; Sharpe, I.; Goldberg, A. Risk factors for failure of total ankle replacements: A data linkage study using the national joint registry and NHS digital. Foot Ankle Int. 2023, 44, 596–603. [Google Scholar] [CrossRef]
- Dougherty, C.D.; Hung, Y.Y.; Weintraub, M.L.R.; Patel, S.; King, C.M. Osseous and soft tissue complications associated with foot and ankle surgery in patients with rheumatoid arthritis taking a variety of antirheumatic medications. J. Foot Ankle Surg. 2019, 58, 508–513. [Google Scholar] [CrossRef]
- Ravi, B.; Croxford, R.; Hollands, S.; Paterson, J.M.; Bogoch, E.; Kreder, H.; Hawker, G.H. Increased risk of complications following total joint arthroplasty in patients with rheumatoid arthritis. Arthritis Rheumatol. 2014, 66, 254–263. [Google Scholar] [CrossRef]
- Arshad, Z.; Haq, I.I.; Bhatia, M. Patient-related risk factors associated with poorer outcomes following total ankle arthroplasty. Bone Joint J. 2023, 105, 985–992. [Google Scholar] [CrossRef]
- Goodman, S.M.; Springer, B.; Guyatt, G.; Abdel, M.P.; Dasa, V.; George, M.; Gewurz-Singer, O.; Giles, J.T.; Johnson, B.; Lee, S.; et al. 2017 American College of Rheumatology/American Association of Hip and Knee Surgeons Guideline for the perioperative management of antirheumatic medication in patients with rheumatic diseases undergoing elective total hip or total knee arthroplasty. J. Arthroplasty. 2017, 32, 2628–2638. [Google Scholar] [CrossRef]
- Roos, E.M.; Brandsson, S.; Karlsson, J. Validation of the foot and ankle outcome score for ankle ligament reconstruction. Foot Ankle Int. 2001, 22, 788–794. [Google Scholar] [CrossRef]
- Hintermann, B.; Valderrabano, V.; Dereymaeker, G.; Dick, W. The HINTEGRA ankle: Rationale and short-term results of 122 consecutive ankles. Clin. Orthop. Relat. Res. 2004, 424, 57–68. [Google Scholar] [CrossRef]
- Byrne, D.J.; Malek, M.M.; Davey, P.G.; Cuschieri, A. Postoperative wound scoring. Biomed. Pharmacother. 1989, 43, 669–673. [Google Scholar] [CrossRef] [PubMed]
- Tada, M.; Inui, K.; Okano, T.; Koike, T. Comparison of clinical and radiographic results of mobile-bearing total ankle arthroplasty between osteoarthritis and rheumatoid arthritis. Mod. Rheumatol. 2023, 33, 1104–1109. [Google Scholar] [CrossRef]
- Wixted, C.M.; Anastasio, A.T.; Kim, B.I.; DeOrio, J.K.; Nunley, J.A.; Easley, M.E.; Adams, S.B. Complication rates and functional outcomes after total ankle arthroplasty in patients with rheumatoid arthritis. J. Bone Joint Surg. Am. 2025, 107, 1480–1488. [Google Scholar] [CrossRef] [PubMed]
- Lee, D.M.; Weinblatt, M.E. Rheumatoid arthritis. Lancet 2001, 358, 903–911. [Google Scholar] [CrossRef]
- Somayaji, R.; Barnabe, C.; Martin, L. Risk factors for infection following total joint arthroplasty in rheumatoid arthritis. Open Rheumatol. J. 2013, 7, 119–124. [Google Scholar] [CrossRef]
- Grennan, D.M.; Gray, J.; Loudon, J.; Fear, S. Methotrexate and early postoperative complications in patients with rheumatoid arthritis undergoing elective orthopaedic surgery. Ann. Rheum. Dis. 2001, 60, 214–217. [Google Scholar] [CrossRef]
- Diaper, R.; Wong, E.; Metcalfe, S.A. The implications of biologic therapy for elective foot and ankle surgery in patients with rheumatoid arthritis. Foot 2017, 30, 53–58. [Google Scholar] [CrossRef]
- Weinreb, J.H.; Cote, M.P.; O’Sullivan, M.B.; Mazzocca, A.D. Shoulder arthroplasty: Disposition and perioperative outcomes in patients with and without rheumatoid arthritis. Am. J. Orthop. 2016, 45, E204–E210. [Google Scholar]
- Newton, S.E., 3rd. Total ankle arthroplasty. Clinical study of fifty cases. J. Bone Joint Surg. Am. 1982, 64, 104–111. [Google Scholar] [CrossRef]
- Ng, S.Y.; Crevoisier, X.; Assal, M. Total ankle replacement for rheumatoid arthritis of the ankle. Foot Ankle Clin. 2012, 17, 555–564. [Google Scholar] [CrossRef]
- Jeong, B.O.; Jung, H. Severe ankle osteoarthritis: Treatment with total ankle arthroplasty. J. Korean Foot Ankle Soc. 2018, 22, 8–15. [Google Scholar] [CrossRef][Green Version]
- Anderson, T.; Montgomery, F.; Carlsson, A. Uncemented STAR total ankle prostheses. Three to eight-year follow-up of fifty-one consecutive ankles. J. Bone Joint Surg. Am. 2003, 85, 1321–1329. [Google Scholar]
- Clough, T.M.; Ring, J. Total ankle arthroplasty. Bone Joint J. 2021, 103, 696–703. [Google Scholar]
- Althoff, A.; Cancienne, J.M.; Cooper, M.T.; Werner, B.C. Patient-related risk factors for periprosthetic ankle joint infection: An analysis of 6977 total ankle arthroplasties. J. Foot Ankle Surg. 2018, 57, 269–272. [Google Scholar] [CrossRef] [PubMed]
- Kofoed, H.; Sørensen, T.S. Ankle arthroplasty for rheumatoid arthritis and osteoarthritis: Prospective long-term study of cemented replacements. J. Bone Joint Surg. Br. 1998, 80, 328–332. [Google Scholar] [CrossRef] [PubMed]
- Karasu, A.; Kuşcu, Y.; Kayikci, C.; Yildirim, S.; Kuşcu, O.; Kiliçlioğlu, M. Effect of low- and high-dose methotrexate on wound healing in rats. Acta Cir. Bras. 2025, 40, e202500103. [Google Scholar] [CrossRef] [PubMed]
- McDonald, J.; Stewart, A.; Marley, J. Effect of methotrexate on bone and wound healing: A systematic review. Int. Wound J. 2017, 14, 12–21. [Google Scholar]
- Busti, A.J.; Hooper, J.S.; Amaya, C.J.; Kazi, S. Effects of perioperative antiinflammatory and immunomodulating therapy on surgical wound healing. Pharmacotherapy 2005, 25, 1566–1591. [Google Scholar]
- Albrecht, K.; Poddubnyy, D.; Leipe, J.; Sewerin, P.; Iking-Konert, C.; Scholz, R.; Krüger, K. Perioperative management of patients with inflammatory rheumatic diseases: Updated recommendations of the German Society for Rheumatology. Z. Rheumatol. 2023, 82 (Suppl. S1), 1–11. [Google Scholar]
- Valderrabano, V.; Pagenstert, G.; Horisberger, M.; Knupp, M.; Hintermann, B. Sports and recreation activity of ankle arthritis patients before and after total ankle replacement. Am. J. Sports Med. 2006, 34, 993–999. [Google Scholar] [CrossRef]
- Kim, B.S.; Knupp, M.; Zwicky, L.; Lee, J.W.; Hintermann, B. Total ankle replacement in association with hindfoot fusion: Outcome and complications. J. Bone Joint Surg. Br. 2010, 92, 1540–1547. [Google Scholar] [CrossRef]
- Fevang, B.T.; Lie, S.A.; Havelin, L.I.; Brun, J.G.; Skredderstuen, A.; Furnes, O. 257 ankle arthroplasties performed in Norway between 1994 and 2005. Acta Orthop. 2007, 78, 575–583. [Google Scholar] [CrossRef]
- San Giovanni, T.P.; Keblish, D.J.; Thomas, W.H.; Wilson, M.G. Eight-year results of a minimally constrained total ankle arthroplasty. Foot Ankle Int. 2006, 27, 418–426. [Google Scholar] [CrossRef]
- Gougoulias, N.; Khanna, A.; Maffulli, N. How successful are current ankle replacements?: A systematic review of the literature. Clin. Orthop. Relat. Res. 2010, 468, 199–208. [Google Scholar] [CrossRef]


| Controlled Group (n = 18) | Uncontrolled Group (n = 16) | p-Value | |
|---|---|---|---|
| Sex (no. [%]) | |||
| Female | 16 (88.9) | 15 (93.7) | 0.615 |
| Male | 2 (11.1) | 1 (6.3) | |
| Age at surgery (year) * | 62.3 ± 10.1 | 64.1 ± 9.7 | 0.784 |
| Body mass index (kg/m2) * | 25.5 ± 2.8 | 24.7 ± 2.9 | 0.695 |
| Bone mineral density (g/cm2) * | 1.05 ± 0.4 | 1.03 ± 0.5 | 0.851 |
| Smoking (no. [%]) | |||
| Never | 10 (55.6) | 8 (50) | 0.232 |
| Former | 6 (33.3) | 7 (43.8) | |
| Smoker | 2 (11.1) | 1 (6.3) | |
| Diabetes (no. [%]) | 3 (16.7) | 2 (12.5) | 0.565 |
| Peripheral neuropathy | 1 (5.6) | 1 (6.3) | 0.894 |
| Peripheral vascular disease | 1 (5.6) | 1 (6.3) | 0.894 |
| Hypertension | 5 (27.8) | 4 (25) | 0.902 |
| Osteoporosis (T-score ≤ −2.5) | 4 (22.2) | 4 (25) | 0.631 |
| Controlled Group (n = 18) | Uncontrolled Group (n = 16) | p-Value | |
|---|---|---|---|
| Tourniquet time (minutes) * | 87.8 ± 22.6 | 90.1 ± 22.1 | 0.793 |
| Total ankle replacement only | 14 (77.8) | 13 (81.3) | 0.661 |
| Additional procedures (no. [%]) | |||
| Autologous bone graft | 3 (16.7) | 2 (12.5) | 0.565 |
| Lateral ligaments stabilization | 2 (11.1) | 1 (6.3) | 0.427 |
| Gastrocnemius recession | 1 (5.6) | 0 | 0.315 |
| Achilles tendon lengthening | 1 (5.6) | 1 (6.3) | 0.894 |
| Calcaneal sliding osteotomy | 0 | 1 (6.3) | 0.221 |
| Fixation for malleolar fracture | 1 (5.6) | 1 (6.3) | 0.894 |
| Controlled Group | Uncontrolled Group | p-Value † | |||
|---|---|---|---|---|---|
| Preoperative | PO 2 Years | Preoperative | PO 2 Years | ||
| AOFAS * | |||||
| Pain | 16.1 ± 6.4 | 35.6 ± 8.5 | 15.8 ± 6.6 | 35.7 ± 8.3 | 0.981 |
| Function | 15.4 ± 7.2 | 37.2 ± 9.8 | 15.1 ± 6.9 | 36.5 ± 9.1 | 0.709 |
| Alignment | 6.1 ± 2.4 | 9.5 ± 3.7 | 6.6 ± 2.5 | 9.6 ± 3.4 | 0.935 |
| Total scores | 37.6 ± 12.5 | 82.3 ± 16.1 | 37.5 ± 12.2 | 81.8 ± 17.4 | 0.722 |
| FAOS * | |||||
| Pain | 38.7 ± 10.4 | 84.8 ± 10.4 | 39.5 ± 10.6 | 85.1 ± 10.9 | 0.887 |
| Other symptoms | 44.5 ± 12.2 | 84.4 ± 10.9 | 43.1 ± 11.5 | 83.8 ± 11.8 | 0.721 |
| Daily living | 47.8 ± 14.9 | 84.9 ± 13.7 | 48.4 ± 15.5 | 82.8 ± 13.2 | 0.314 |
| Sports and leisure | 30.9 ± 9.3 | 58.2 ± 16.2 | 29.7 ± 9.4 | 55.6 ± 15.9 | 0.225 |
| Quality of life | 31.5 ± 9.9 | 85.1 ± 10.1 | 30.1 ± 9.8 | 84.5 ± 10.4 | 0.708 |
| Total scores | 38.9 ± 11.3 | 79.5 ± 17.2 | 38.2 ± 10.8 | 78.4 ± 16.1 | 0.546 |
| Controlled Group (n = 18) | Uncontrolled Group (n = 16) | p-Value | |
|---|---|---|---|
| Marginal skin necrosis (no. [%]) | 1 (5.6%) | 2 (12.5%) | 0.116 |
| Delayed wound healing > 4 weeks | 0 | 4 (25%) | 0.039 |
| Medial malleolar fracture | 1 (5.6%) | 1 (6.3%) | 0.838 |
| Superficial wound infection | 0 | 1 (6.3%) | 0.275 |
| Deep wound infection | 0 | 0 | N/A |
| Deep peroneal nerve injury | 1 (5.6%) | 0 | 0.403 |
| Malalignment of the implants ≥ 10° | |||
| Tibial component | 1 (5.6%) | 1 (6.3%) | 0.838 |
| Talar component | 0 | 0 | N/A |
| Loosening of the implants | |||
| Tibial (position change > 2°) | 0 | 0 | N/A |
| Talar (position change > 5°) | 0 | 0 | N/A |
| Subsidence into the talus > 5 mm | 1 (5.6%) | 1 (6.3%) | 0.838 |
| Osteolysis (radiolucent line > 2 mm) | 0 | 0 | N/A |
| Subluxation of polyethylene insert | 0 | 0 | N/A |
| Heterotopic ossification | 1 (5.6%) | 1 (6.3%) | 0.838 |
| Soft tissue or spur impingement | 2 (11.1%) | 1 (6.3%) | 0.365 |
| Progressive arthritis in adjacent joint | 1 (5.6%) | 0 | 0.403 |
| ASEPSIS Score * | PO 1 Week | PO 2 Weeks | PO 3 Weeks | PO 4 Weeks |
|---|---|---|---|---|
| Controlled group | 19.5 ± 8.8 | 13.8 ± 6.5 | 9.2 ± 4.4 | 3.1 ± 1.6 |
| Uncontrolled group | 20.3 ± 9.1 | 17.1 ± 8.4 | 14.7 ± 6.9 | 6.8 ± 3.5 |
| p-value | 0.891 | 0.014 | <0.001 | 0.003 |
Disclaimer/Publisher’s Note: The statements, opinions and data contained in all publications are solely those of the individual author(s) and contributor(s) and not of MDPI and/or the editor(s). MDPI and/or the editor(s) disclaim responsibility for any injury to people or property resulting from any ideas, methods, instructions or products referred to in the content. |
© 2025 by the authors. Licensee MDPI, Basel, Switzerland. This article is an open access article distributed under the terms and conditions of the Creative Commons Attribution (CC BY) license (https://creativecommons.org/licenses/by/4.0/).
Share and Cite
Yi, J.W.; Kim, S.-H.; Bang, S.-M.; Cho, B.-K. The Effect of the Modification of Perioperative Anti-Rheumatic Medications on Early Complications After Total Ankle Arthroplasty for Severe Rheumatoid Arthritis. J. Clin. Med. 2025, 14, 7280. https://doi.org/10.3390/jcm14207280
Yi JW, Kim S-H, Bang S-M, Cho B-K. The Effect of the Modification of Perioperative Anti-Rheumatic Medications on Early Complications After Total Ankle Arthroplasty for Severe Rheumatoid Arthritis. Journal of Clinical Medicine. 2025; 14(20):7280. https://doi.org/10.3390/jcm14207280
Chicago/Turabian StyleYi, Jin Woong, Sung-Hoo Kim, Seung-Min Bang, and Byung-Ki Cho. 2025. "The Effect of the Modification of Perioperative Anti-Rheumatic Medications on Early Complications After Total Ankle Arthroplasty for Severe Rheumatoid Arthritis" Journal of Clinical Medicine 14, no. 20: 7280. https://doi.org/10.3390/jcm14207280
APA StyleYi, J. W., Kim, S.-H., Bang, S.-M., & Cho, B.-K. (2025). The Effect of the Modification of Perioperative Anti-Rheumatic Medications on Early Complications After Total Ankle Arthroplasty for Severe Rheumatoid Arthritis. Journal of Clinical Medicine, 14(20), 7280. https://doi.org/10.3390/jcm14207280

