Abstract
In vivo doubled haploid (DH) production based on crossing heterozygous germplasm with mtl haploid inducer lines promises to transform modern rice (Oryza sativa) breeding. However, this technology is limited, as haploid inducers and pollen acceptors have asynchronous heading dates. To address this obstacle, we developed a panel of multiple-heading-date mtl haploid inducer lines that produce pollen for more than 35 days. We edited the MTL gene in a hybrid rice with the CRISPR-Cas9 system. We then selected transgene-free homozygous mutants in the T1 generation and reproduced to T4 generation by single-seed descent method. We obtained 547 mtl haploid inducers with diverse heading dates (from 73 to 110 days) and selected 16 lines comprising a core population with continuous flowering. The seed-setting rate and haploid induction rate (HIR) of the core panel were 4.0–12.7% and 2.8–12.0%, respectively. Thus, our strategy of using multiple-heading-date mtl haploid inducers could accelerate the use of in vivo DH technology in rice breeding.
1. Introduction
Generation of pure lines is an important component of crop breeding programs [1]. Breeders usually develop such breeding materials via 6–10 generations of recurrent selfing and selection after crossing [2]. However, this process is time-consuming and laborious, and the final inbred products still have residual heterozygosity, which might delay variety registration due to the distinctness, uniformity and stability criteria [3]. Doubled haploid (DH) technology provides a rapid alternative for producing pure lines, allowing completely homozygous lines to be reproduced in a single year. Besides this advantage, DH lines offer opportunities for increasing genetic gain [4]. Compared to the former conventional approach, DH technology shows great promise for crop breeding.
Haploid induction is the critical step of DH technology. Both in vivo (inter- and intraspecific hybridization; centromere-mediated haploidization) and in vitro (culture of immature male or female gametophytes) methods are available to generate haploids. The in vivo technology of haploid production has more advantages in breeding development compared with in vitro methods, which can avoid the waste of labor force and resources during haploid induction. In vivo haploid induction has become a hot spot in the development of DH breeding. However, there are still many problems to be solved with respect to this technology [5,6]. It is difficult to produce enough DH lines for breeding programs by using in vitro methods [3,7]. For example, the anther culture, a common method used for haploid production in crops, is restricted by genetic factors of different rice varieties [8]. In contrast, haploidization via intraspecific hybridization using haploid inducers has been proven to be efficient for the large-scale production of DH lines and is widely used in maize (Zea mays) breeding programs [3,4]. To date, hundreds of commercial maize varieties have been developed based on this method [3]. However, maize is the only successful crop to be bred with DH technology because of the development of high-HIR haploid inducers.
The genetic basis of high-haploid induction in maize has recently been elucidated. Prigge et al. [2] identified two major quantitative traits loci (QTLs), qhir1 and qhir8, for haploid induction rate (HIR), which explain 66% and 20% of the genotypic variation in this trait, respectively. Later, qhir1 was cloned as ZmMTL (also named as NLD or ZmPLA1), which encodes a pollen-specific phospholipase. Loss of function of this gene triggers haploid induction in maize [9,10,11]. MTL is conserved in cereals, and genome-edited lines of its homologous genes in rice and wheat (Triticum aestivum) can also be used as haploid inducers [7,12,13,14]. qhir8 was ultimately identified as ZmDMP by map-based cloning [15]. ZmDMP acts as an enhancer of haploid induction, and it significantly increases HIR (by twofold to threefold) in the presence of ZmMTL [15]. However, ZmDMP has no highly homologous gene in rice.
The successful development of a haploid induction system by genome editing of OsMTL makes DH technology promising in rice breeding programs [7,12]. However, this emerging system in rice has several barriers, such as the low HIR and seed set of haploid inducers, the inefficiency of haploid identification, chromosomal doubling of rice haploids, etc. [7]. Here, we report the development of multiple-heading-date mtl haploid inducers that can solve the problem of asynchronous heading dates between haploid inducers and pollen acceptors. The pollen from the 16 investigated mtl haploid inducers is available for more than 35 days, making it possible to perform field crossing for an extended period.
2. Materials and Methods
2.1. CRISPR/Cas9 Vector Construction and Plant Transformation
Two target sites, labeled as BJF and BJG, were selected within the OsMTL gene, and their targeting specificity was confirmed according to the method described by Hsu et al. [16]. The double-stranded overhangs of MTLBJF and MTLBJG oligonucleotides (Supplementary Table S1) were separately ligated into the SK-sgRNA vectors digested with AarI. Subsequently, the sgRNAs for MTLBJF (digested with KpnI/BglII) and MTLBJG (digested with KpnI/BglII) were assembled into pC1300-Actin:Cas9 binary vectors (digested with KpnI/BamHI) using T4 ligase. The final constructed vectors were named pC1300-Actin:Cas9-sgRNABJF and pC1300-Actin:Cas9-sgRNABJG.
The indica-japonica hybrid rice variety ‘Chunyou 84′ (CY84) was used for genetic transformation. The constructed vectors, pC1300-Actin:Cas9-sgRNABJF and pC1300-Actin:Cas9-sgRNABJG, were separately introduced into CY84 via the Agrobacterium-mediated transformation (strain EHA105) method described by Hangzhou Biogle Co., Ltd. (Hangzhou, China). The T0 transgene plants were grown in a greenhouse maintained at average day and night temperatures of 30 °C and 25 °C, respectively, with 75% relative humidity.
2.2. Detection of Mutations
Approximately 100 mg of young leaf tissue of transgenic plants was ground into a power by a tissuelyser (Jingxin, Shanghai, China). Genomic DNA was extracted from the samples using the CTAB method. KOD FX DNA polymerase (Toyobo, Osaka, Japan) was used to amplify the fragments surrounding the two target sites. The PCR products were sequenced by the Sanger method and analyzed by the degenerate sequence decoding method [17]. Primers used for amplification are listed in Supplementary Table S1.
2.3. Field Experiments
The mtl haploid inducer plants were grown annually at the experimental farms of China National Rice Research Institute in Hangzhou (119°54′ E, 30°04′ N) and Lingshui (110°00′ E, 18°31′ N), China. They were reproduced to the next generation by single-seed descent method. Paddy water management, fertilization and crop protection followed the local farming practices.
To measure heading date, seeds of the mtl haploid inducers (T4 generation) were soaked in water for two days and sown in a seed bed in Hangzhou on 30 May. Twenty-five-day-old seedlings of each line were transplanted into a four-row plot with six plants per row. The heading date was defined as the date when more than 50% of individuals had reached the heading stage.
2.4. HIR Measurement
The haploid inducers (used as the male parent) were crossed with ZhongguangA (used as the female parent) to investigate their HIR. The female parent was a cytoplasmic male sterile line commonly used in three-line hybrid rice breeding. The hybrid seeds were harvested and germinated in the laboratory, and the seedlings were cultured in a hydroponic solution as described by Liu et al. [18]. Genomic DNA was extracted from these plants, and their BJF or BJG target sites were genotyped by Hi-TOM technology [19]. The homozygote lines without mutation were classified as haploids or double haploids. The Hi-TOM primers used for amplification are shown in Supplementary Table S1.
2.5. DNA Ploidy Analysis
Approximately 2 cm2 of fresh leaf tissue was used for DNA ploidy analysis. Samples were prepared according to a previously described method [12]. The ploidy of leaf cells was determined by estimating the nuclear DNA content using flow cytometry. All procedures were performed at 4 °C or on ice.
3. Results
3.1. Strategy for Obtaining Asynchronous Flowering Time
Seed-based haploid induction based on mtl is a promising approach for rice breeding, but large-scale hybridizations are required to produce enough DH lines for phenotypic selection [7]. When performing crosses, it is important to choose haploid inducers with a suitable flowering time for the pollen-accepted materials. To address this problem, we employed a strategy that allows pollen to be available for a long period of time by generating multiple-heading-date mtl haploid inducers. A brief flow chart was drawn before starting the work (Figure 1). We planned to knock out the OsMTL gene in hybrid rice using the CRISPR-Cas9 system. The goal was to produce offspring with diverse flowering times due to the separation and recombination of genetic material. In the T0 and T1 generations, homozygous mtl mutant lines were screened, and their exogenous components were be removed. Then, the selected lines were reproduced to advanced generation by single-seed descent method. Finally, multiple-heading-date mtl haploid inducers were developed, and their HIR was detected.
Figure 1.
Flow chart of the method used to develop multiple-heading-date mtl haploid inducer lines in rice.
3.2. Knockout of OsMTL in Chunyou84
To generate mtl haploid inducers, we constructed vectors targeting the OsMTL gene (Figure 2a) with the CRISPR/Cas9 genome editing system [20]. The guide RNAs targeted BJF and BJG sites located in exon 1 and exon 4 of OsMTL, respectively (Figure 2b). We chose Chunyou84 (CY84) for transformation, as the progeny of this typical indica-japonica hybrid rice variety segregate into lines with widely variable heading dates [21]. Four homozygous mutants were obtained in the T0 generation: lines #1 (4-bp deletion) and #2 (1-bp insertion) at the BJF site and lines #3 (1-bp deletion) and #4 (1-bp insertion) at the BJG site (Figure 2b). These mutant lines were grown in a greenhouse, and their seeds were harvested. We investigated the HIR of these haploid inducers and found that the HIR value showed no significant differences between BJF- (10/238 = 4.2%) and BJG- (8/194 = 4.1%) targeted lines.
Figure 2.
Knockout of OsMTL in Chunyou84 by the CRISPR-Cas9 system. (a) Schematic diagram of the structure of the CRISPR-Cas9 vector targeting OsMTL. (b) Targeted sites in OsMTL gene and mutations at the BJF and BJG loci in T0 generation plants. Mutations with 1 bp insertions are indicated by red letters, and the deleted sequences are indicated by red hyphens.
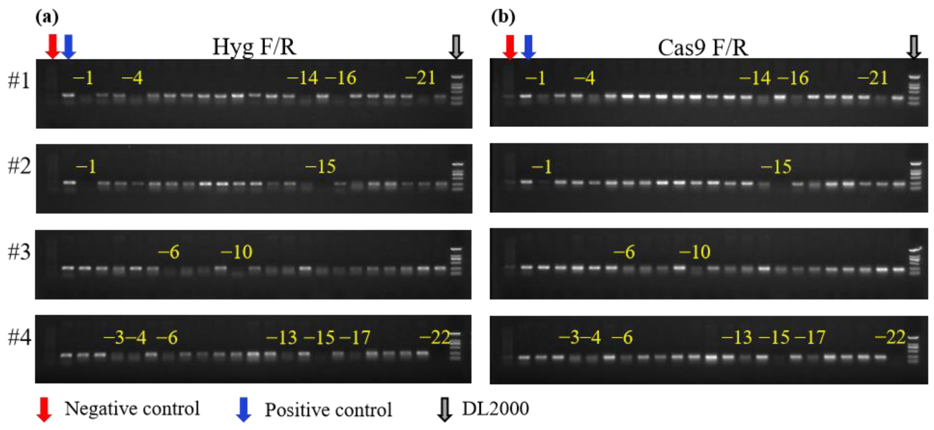
In the T1 generation, we used two pairs of primers, Hyg F/R and Cas9 F/R, that target hygromycin and Cas9, respectively, to screen transgene-free lines. We obtained 22 independent lines of each type of mutant line, the PCR products of which were amplified using the above two primers; lines that generated no simultaneous electrophoretic band were considered transgene-free lines. A total of 16 lines were confirmed to have no exogenous T-DNA elements: five lines for line #1, two lines for line #2, two lines for line #3 and seven lines for line #4 (Figure 3). We used these transgene-free lines to generate offspring.
Figure 3.
Screening of transgene-free haploid inducers. Genomic DNA from 22 T1 progeny plants of lines #1, #2, #3 and #4 was amplified with primers Hyg F/R (a) and Cas9 F/R (b). Transgene-free haploid inducers are indicated by yellow numbers.
3.3. Generation of mtl Haploid Inducers with Multiple Heading Dates
To date, we have reproduced the mtl haploid inducers to the T4 generation via self-fertilization. We generated 547 haploid inducers, the heading dates of which varied from 73 to 110 days (Figure 4a). However, this population was too large, as intensive labor and field resources would be required to maintain it each year. As the flowering time of a single line could last for 3–5 days, we selected two lines every five days based on heading date time to compose a minimum continuous flowering population. Ultimately, we obtained a panel of 16 mtl haploid inducers, the pollen of which was available for more than 35 days (Figure 4b).
Figure 4.
Multiple-heading-date mtl haploid inducers. (a) Heading date frequency distribution in the 547 RILs derived from transgene-free haploid inducer lines #1, #2, #3 and #4. (b) Plant morphology and heading date of 16 mtl haploid inducers. Seeds were sown on 30 May, and plants were grown in Hangzhou, China. Bar = 20 cm.
HIR is an important trait of inducers that is related to the proportion of haploid seeds obtained in induction crosses [22]. To rapidly investigate the HIR of the selected haploid inducers, we crossed cytoplasmic male sterile lines with the haploid inducers due to the convenience of field crossing and the lack of self-setting seeds. In the hybrid seeds, we detected the MTL target mutation sites to screen haploids (or double haploids). Similar to previous reports [7,12], the induced rice haploid plants were smaller than the diploid plants, with reduced plant height, as well as decreased panicle length and glume size (Figure 5). The HIR of these 16 mtl haploid inducers varied from 2.8 to 12.0%, with an average of 6.8% (Table 1). Their seed-setting rates were also investigated, which were 4.0~12.7% (Table 1). These results confirmed the inference that introducing mtl into diverse genetic backgrounds might yield inducers with a higher or lower HIR and seed-setting rate [7].
Figure 5.
Characterization of a rice haploid line. (a) Whole plants of diploid and haploid rice. (b) Panicles and glumes of diploid and haploid rice. Bar = 20 cm (a), 3 cm ((b), upper panel) and 2 cm ((b), lower panel). (c) Ploidy analysis of diploid (D; black) and haploid (H; red) lines by flow cytometry. The haploid lines were generated by crossing ZhongguangA with mtl haploid inducers. Plants were grown in Hangzhou, China.
Table 1.
Seed-setting rate and haploid induction rate of selected mtl haploid inducers in Hangzhou.
The relationship between HIR and heading date or seed-setting rate in rice remains unclear. Thus, performed a correlation analysis of these traits using the 16 mtl haploid inducers. We found that HIR exhibited a weak correlation with heading date, with a correlation coefficient of 0.22 (p = 0.41) (Figure 6a). In contrast, a highly negative correlation was observed between HIR and seed-setting rate (r = −0.45, p = 0.08) (Figure 6b).
Figure 6.
Correlation analysis between haploid induction rate (HIR) and heading date (a) and between HIR and seed-setting rate (b).
4. Discussion
4.1. Approaches for Solving the Problem of Asynchronous Heading Date
The discovery of haploids in higher plants led to the use of DH technology in plant breeding. DH can accelerate plant breeding and genetic research based on the 100% homozygosity genotype after haploid induction in one generation. Efficient haploid induction is the first barrier. Knockout MTL genes can cause rice to induce haploids. However, its 2–6% hybridization induction rate limits the acquisition of a large number of haploid seeds [7], which requires a large number of hybridizations. In this study, we selected sterile lines as pollen recipients to make field work more efficient. However, the problem of asynchronous heading date must be solved when a large number of cross combinations are needed. Several approaches can be considered to solve this problem. The solution of sowing at different dates is commonly used to arrive at the same flowering date with different materials [23]. We sowed mtl haploid inducer seeds at different times to generate inducers with different flowering dates. However, the mtl mutants never have enough seeds because of the low seed-setting rate [12] (Table 1). In addition, different sowing dates mean tedious work is required in the field. Progenies of hybrid rice exhibit various phenotypes due to the segregation and recombination of genetic material [24]. Therefore, in this study, we introduced mtl in hybrid rice to generate haploid inducers with multiple heading dates to solve the problem of synchronous heading dates.
CY84 is a typical indica-japonica hybrid rice variety [21]; thus, its progeny, which are derived from self-fertilization, show large variation in heading date. Here, we knocked out the OsMTL gene in the CY84 variety and advanced the homozygous mutants for three generations. We obtained 547 mtl haploid inducers with heading dates ranging from 73 to 110 days (Figure 4a). These inducers provided pollen for more than one month, thereby solving the problem of asynchronous heading date. However, it is unnecessary to maintain such a large population only to provide inducers with pollen. Thus, we developed a minimal continuous flowering population composed of 16 mtl lines (Figure 4b). This minimal population not only provides inducers with pollen for an extended period but also simplifies the field work. In addition, correlation analysis revealed a low correlation between HIR and heading date (Figure 6a), indicating that heading date has no significant effects on HIR.
4.2. Advantages of the mtl Haploid Inducer Population
Besides solving the problem of asynchronous heading dates, the mtl haploid inducer population has other possible uses for either applied or basic research. To produce large numbers of DH lines, it is necessary to generate an inducer with an acceptable HIR (usually ≥6%) [3]. Yao et al. [7] proposed introducing mtl in diverse rice varieties to generate inducers with a higher HIR. As our mtl haploid inducers were derived from a hybrid rice, CY84, they also exhibited variation in HIR traits (Table 1), indicating that other genetic factors, such as ZmDMP, affect HIR. Among the detected mtl inducers, two lines had HIR >10%, showing great promise in DH technology and are also likely to have higher HIR among the 547 mtl haploid inducers.
OsMTL is a component gene of the Fix strategy, which can fix heterosis in hybrid rice [12]. However, the low fertility resulting from the mutation of OsMTL limits the production of clonal seeds when using the Fix strategy [12,25]. Improvements in fertility are required to enable the technology to be commercialized [12]. According to our results, the mtl inducers had low seed set but showed variations in their genetic backgrounds (Table 1). Thus, other genetic factors must also be involved in this process. To identify the underling genetic mechanism for high fertility, as well as high HIR, we plan to sequence the mtl haploid inducer population and clone the candidate genes in the future.
5. Conclusions
Asynchronous heading dates between haploid inducers and pollen acceptors represent a troublesome barrier to DH technology. Here, we provided a convenient and rapid method to solve this problem by generating multiple-heading-date mtl haploid inducers in rice. Based on our strategy, the application of DH technology could be accelerated in rice breeding programs.
Supplementary Materials
The following are available online at https://www.mdpi.com/article/10.3390/agriculture12060806/s1, Table S1: Primers used in this study.
Author Contributions
K.W. and C.L. managed the project. J.W., C.L. and Y.C. performed the experiments. C.L. and J.W. analyzed the data. J.W. and C.L. wrote the manuscript. K.W. revised the manuscript. All authors have read and agreed to the published version of the manuscript.
Funding
This work was supported by the National Natural Science Foundation of China (32001527, 32188102 and 32025028) and the Earmarked Fund for China Agriculture Research System.
Institutional Review Board Statement
Not applicable.
Informed Consent Statement
Not applicable.
Data Availability Statement
All datasets used in this study are included in the manuscript and the supplementary file.
Conflicts of Interest
The authors declare that the research was conducted in the absence of any commercial or financial relationships that could be construed as a potential conflict of interest.
References
- Yan, G.; Liu, H.; Wang, H.; Lu, Z.; Wang, Y.; Mullan, D.; Hamblin, J.; Liu, C. Accelerated generation of selfed pure line plants for gene identification and crop breeding. Front. Plant Sci. 2017, 8, 1786. [Google Scholar] [CrossRef] [PubMed] [Green Version]
- Prigge, V.; Xu, X.; Li, L.; Babu, R.; Chen, S.; Atlin, G.N.; Melchinger, A.E. New insights into the genetics of in vivo induction of maternal haploids, the backbone of doubled haploid technology in maize. Genetics 2012, 190, 781–793. [Google Scholar] [CrossRef] [PubMed] [Green Version]
- Chaikam, V.; Molenaar, W.; Melchinger, A.E.; Boddupalli, P.M. Doubled haploid technology for line development in maize: Technical advances and prospects. Theor. Appl. Genet. 2019, 132, 3227–3243. [Google Scholar] [CrossRef] [PubMed] [Green Version]
- Ren, J.; Wu, P.; Trampe, B.; Tian, X.; Lubberstedt, T.; Chen, S. Novel technologies in doubled haploid line development. Plant Biotechnol. J. 2017, 15, 1361–1370. [Google Scholar] [CrossRef] [Green Version]
- Dwivedi, S.L.; Britt, A.B.; Tripathi, L.; Sharma, S.; Upadhyaya, H.D.; Ortiz, R. Haploids: Constraints and opportunities in plant breeding. Biotechnol. Adv. 2015, 33, 812–829. [Google Scholar] [CrossRef]
- Kyum, M.; Kaur, H.; Kamboj, A.; Goyal, L.; Bhatia, D. Strategies and prospects of haploid induction in rice (Oryza sativa). Plant Breed. 2021, 141, 1–11. [Google Scholar] [CrossRef]
- Yao, L.; Zhang, Y.; Liu, C.; Liu, Y.; Wang, Y.; Liang, D.; Liu, J.; Sahoo, G.; Kelliher, T. OsMATL mutation induces haploid seed formation in indica rice. Nat. Plants 2018, 4, 530–533. [Google Scholar] [CrossRef]
- Premvaranon, P.; Vearasilp, S.; Thanapornpoonpong, S.-n.; Karladee, D.; Gorinstein, S. In vitro studies to produce double haploid in Indica hybrid rice. Biologia 2011, 66, 1074–1081. [Google Scholar] [CrossRef]
- Liu, C.; Li, X.; Meng, D.; Zhong, Y.; Chen, C.; Dong, X.; Xu, X.; Chen, B.; Li, W.; Li, L.; et al. A 4-bp Insertion at ZmPLA1 encoding a putative phospholipase A generates haploid induction in maize. Mol. Plant 2017, 10, 520–522. [Google Scholar] [CrossRef] [Green Version]
- Gilles, L.M.; Khaled, A.; Laffaire, J.B.; Chaignon, S.; Gendrot, G.; Laplaige, J.; Berges, H.; Beydon, G.; Bayle, V.; Barret, P.; et al. Loss of pollen-specific phospholipase NOT LIKE DAD triggers gynogenesis in maize. EMBO J. 2017, 36, 707–717. [Google Scholar] [CrossRef] [Green Version]
- Kelliher, T.; Starr, D.; Richbourg, L.; Chintamanani, S.; Delzer, B.; Nuccio, M.L.; Green, J.; Chen, Z.; McCuiston, J.; Wang, W.; et al. MATRILINEAL, a sperm-specific phospholipase, triggers maize haploid induction. Nature 2017, 542, 105–109. [Google Scholar] [CrossRef] [PubMed]
- Wang, C.; Liu, Q.; Shen, Y.; Hua, Y.; Wang, J.; Lin, J.; Wu, M.; Sun, T.; Cheng, Z.; Mercier, R.; et al. Clonal seeds from hybrid rice by simultaneous genome engineering of meiosis and fertilization genes. Nat. Biotechnol. 2019, 37, 283–286. [Google Scholar] [CrossRef] [PubMed]
- Liu, H.; Wang, K.; Jia, Z.; Gong, Q.; Lin, Z.; Du, L.; Pei, X.; Ye, X. Efficient induction of haploid plants in wheat by editing of TaMTL using an optimized Agrobacterium-mediated CRISPR system. J. Exp. Bot. 2020, 71, 1337–1349. [Google Scholar] [CrossRef] [PubMed]
- Liu, C.; Zhong, Y.; Qi, X.; Chen, M.; Liu, Z.; Chen, C.; Tian, X.; Li, J.; Jiao, Y.; Wang, D.; et al. Extension of the in vivo haploid induction system from diploid maize to hexaploid wheat. Plant Biotechnol. J. 2020, 18, 316–318. [Google Scholar] [CrossRef] [Green Version]
- Zhong, Y.; Liu, C.; Qi, X.; Jiao, Y.; Wang, D.; Wang, Y.; Liu, Z.; Chen, C.; Chen, B.; Tian, X.; et al. Mutation of ZmDMP enhances haploid induction in maize. Nat. Plants 2019, 5, 575–580. [Google Scholar] [CrossRef]
- Hsu, P.D.; Scott, D.A.; Weinstein, J.A.; Ran, F.A.; Konermann, S.; Agarwala, V.; Li, Y.; Fine, E.J.; Wu, X.; Shalem, O.; et al. DNA targeting specificity of RNA-guided Cas9 nucleases. Nat. Biotechnol. 2013, 31, 827–832. [Google Scholar] [CrossRef]
- Ma, X.; Chen, L.; Zhu, Q.; Chen, Y.; Liu, Y.G. Rapid decoding of sequence-specific nuclease-induced heterozygous and biallelic mutations by direct sequencing of PCR products. Mol. Plant 2015, 8, 1285–1287. [Google Scholar] [CrossRef] [Green Version]
- Liu, C.L.; Gao, Z.Y.; Shang, L.G.; Yang, C.H.; Ruan, B.P.; Zeng, D.L.; Guo, L.B.; Zhao, F.J.; Huang, C.F.; Qian, Q. Natural variation in the promoter of OsHMA3 contributes to differential grain cadmium accumulation between Indica and Japonica rice. J. Integr. Plant Biol. 2020, 62, 314–329. [Google Scholar] [CrossRef] [Green Version]
- Liu, Q.; Wang, C.; Jiao, X.; Zhang, H.; Song, L.; Li, Y.; Gao, C.; Wang, K. Hi-TOM: A platform for high-throughput tracking of mutations induced by CRISPR/Cas systems. Sci. China Life Sci. 2019, 62, 1–7. [Google Scholar] [CrossRef]
- Wang, C.; Shen, L.; Fu, Y.; Yan, C.; Wang, K. A simple CRISPR/Cas9 system for multiplex genome editing in rice. J. Genet. Genom. 2015, 42, 703–706. [Google Scholar] [CrossRef]
- Fu, X.; Xu, J.; Zhou, M.; Chen, M.; Shen, L.; Li, T.; Zhu, Y.; Wang, J.; Hu, J.; Zhu, L.; et al. Enhanced expression of QTL qLL9/DEP1 facilitates the improvement of leaf morphology and grain yield in rice. Int. J. Mol. Sci. 2019, 20, 866. [Google Scholar] [CrossRef] [PubMed] [Green Version]
- Liu, C.; Li, W.; Zhong, Y.; Dong, X.; Hu, H.; Tian, X.; Wang, L.; Chen, B.; Chen, C.; Melchinger, A.E.; et al. Fine mapping of qhir8 affecting in vivo haploid induction in maize. Theor. Appl. Genet. 2015, 128, 2507–2515. [Google Scholar] [CrossRef] [PubMed]
- El-Namaky, R.; van Oort, P.A.J. Phenology, sterility and inheritance of two environment genic male sterile (EGMS) lines for hybrid rice. Rice 2017, 10, 31. [Google Scholar] [CrossRef] [PubMed] [Green Version]
- Matsubara, K.; Ando, T.; Yano, M. Late flowering in F1 hybrid rice brought about by the complementary effect of quantitative trait loci. Genetica 2019, 147, 351–358. [Google Scholar] [CrossRef] [PubMed]
- Xie, E.; Li, Y.; Tang, D.; Lv, Y.; Shen, Y.; Cheng, Z. A strategy for generating rice apomixis by gene editing. J. Integr. Plant Biol. 2019, 61, 911–916. [Google Scholar] [CrossRef] [Green Version]
Publisher’s Note: MDPI stays neutral with regard to jurisdictional claims in published maps and institutional affiliations. |
© 2022 by the authors. Licensee MDPI, Basel, Switzerland. This article is an open access article distributed under the terms and conditions of the Creative Commons Attribution (CC BY) license (https://creativecommons.org/licenses/by/4.0/).





