Reproductive Structures of Female Phytoseiulus persimilis (Acari: Phytoseiidae) and the Development of Egg and Embryo in the Body
Abstract
1. Introduction
2. Materials and Methods
2.1. Rearing Conditions for Phytoseiulus persimilis
2.2. Sample Collection
2.3. Paraffin Section Sample Preparation (HE Staining) [15]
- Tissue Fixation: Fixed the mite samples in 4% formaldehyde solution for 24 h.
- Ethanol Dehydration: Dehydrated the mite tissue stepwise by soaking it in ethanol solutions (Sinopharm Chemical Reagent Co., Ltd., Shangai, China) of increasing concentrations (70%, 80%, 90%, 95%, 95%, 100%, and 100%) for 40 min each.
- Tissue Clearing: Immersed the mite tissue in three glass jars filled with xylene (Beijing Chemical Works, Beijing, China), soaking in each jar for 1 h.
- Wax Impregnation: Immersed the mite tissue in three glass jars filled with paraffin (Beijing Rhawn Chemical Reagent, Beijing, China), soaking in each jar for 1 h.
- Embedding: Poured melted paraffin into a metal mold, then placed the wax-impregnated tissue flat at the bottom of the mold, ensuring the cutting surface is facing downward. After the paraffin solidifies, removed the embedding mold. Once the paraffin was completely cooled and hardened, trimmed the wax block, leaving an appropriate amount of paraffin around the tissue for sectioning.
- Sectioning: Fixed the pre-cooled wax block onto a microtome (Zhejiang Jinhua Kedee Instrumental Equipment Co., Ltd., Jinhua, China). Aligned the cutting surface of the wax block parallel to the blade. Rotated the wheel to advance the block, adjusting the section thickness to 5 µm, and cut uniform sections, which were then placed into a slide flotation bath with water at about 45 °C. Spread the section flat on the water surface before mounting.
- Mounting Sections: Picked up the section on the slide and air-dried slightly. The sections were placed in a 60 °C oven (Shanghai Jinghong Instrument Equipment Co., Ltd., Shanghai, China) for 3 h.
- Deparaffinization: Gradually deparaffinized the sections by soaking them in the following solutions in sequence for the indicated times: xylene for 5 min, xylene for 5 min, absolute ethanol for 5 min, absolute ethanol for 5 min, 95% ethanol for 5 min, and 75% ethanol for 5 min, followed by washing the sections in water.
- HE Staining: Immersed the deparaffinized sections in hematoxylin-staining solution (Sinopharm Chemical Reagent Co., Ltd., Shanghai, China) for 10 min, then rinsed them with tap water. Differentiated the staining by immersing the sections in 1% hydrochloric acid alcohol (Beyotime Biotechnology, Shanghai, China) for a few seconds to remove excess hematoxylin from the cytoplasm. Rinsed again with tap water. After rinsing, immersed the sections in a bluing solution for 5–10 min. After bluing, immersed the sections in eosin-staining solution (Sinopharm Chemical Reagent Co., Ltd., Shanghai, China) for 3 min, and, finally, rinsed with tap water to complete the staining.
- Dehydration and Mounting: Cleared the stained sections by immersing them in the following solutions in sequence: 75% ethanol for 1 min, 95% ethanol for 1 min, absolute ethanol for 5 min, absolute ethanol for 5 min, xylene for 5 min, and xylene for 5 min. After clearing, mounted the sections with neutral resin (Shanghai Macklin Biochemical Technology Co., Ltd., Shanghai, China).
2.4. Sample Preparation for Scanning Electron Microscopy (SEM) [16]
- Tissue Fixation: Fixed the mites in 2.5% glutaraldehyde solution (Sigma-Aldrich, Shanghai branch, Shanghai, China) at 4 °C for 12 h.
- Buffer Washing: Washed the samples three times with 0.1 M phosphate-buffered saline (pH 7.4) (Sinopharm Chemical Reagent Co., Ltd., Shanghai, China), with each wash lasting 10 min.
- Gradient Dehydration: Dehydrated the samples sequentially using ethanol solutions of increasing concentrations (50%, 70%, 80%, 90%, 95%, and 100%) for 10 min each.
- Drying: Dried the samples using a critical point dryer (Leica EM, CPD300, Berlin, Germany).
- Removing the Dorsal Plate: Used a #0 insect needle under a microscope to remove the dorsal plate of the female mites (Chongqing Optec Instrument Co., Ltd., Chongqing, China).
- Mounting: Mounted the samples in an appropriate orientation on a black double-sided conductive adhesive, ensuring that the dorsal side of the mite is facing up.
- Gold Coating and Observation: Placed the prepared samples in a small ion sputter coater (Leica EM, ACE600, Germany) and applied a 4 nm layer of platinum. After coating, observed the samples under a scanning electron microscope (Hitachi, Regulus 8100, Tokyo, Japan) at 3 kV voltage.
2.5. Sample Preparation for Transmission Electron Microscopy (TEM) [17]
- Tissue Fixation: Prepared a fixative solution by adding Tween 100 (600 µL per 1 L) (Sinopharm Chemical Reagent Co., Ltd., China) and sodium chloride (0.9 g per 1 L) (Sinopharm Chemical Reagent Co., Ltd., China) to a 3.5% glutaraldehyde solution with pH 7.2. Placed 5 mL of this fixative solution in a centrifuge tube and fixed the mite samples for 48 h.
- Washing: Washed the samples with 0.2 M phosphate buffer, changing the buffer every 15 min, and repeated the wash 15 times.
- Osmium Tetroxide Fixation: Fixed the tissue with 1% osmium tetroxide (Structure Probe, Inc., West Chester, PA, USA) for 2 h.
- Washing: Performed continuous washes with 0.2 M phosphate buffer, 3–4 times.
- Dehydration: Dehydrated the samples sequentially in ethanol solutions of increasing concentrations (30%, 50%, 60%, 70%, 80%, 90%, 95%, and 100%), with each step lasting 5–8 min.
- Ethanol-Acetone Substitution: Substituted ethanol with acetone (Sinopharm Chemical Reagent Co., Ltd., China), 4–5 times, each for 15 min. Retained a small amount of acetone solution.
- Resin Embedding: Added pure resin to the acetone, mixed thoroughly with a toothpick, and soaked the samples for 12 h.
- Polymerization: Placed the resin-embedded samples in an oven at 35 °C and baked for 2–3 weeks.
- Sectioning: Cut the samples into thin sections of approximately 80–100 nm using a microtome (Leica, EM UC7, Tokyo, Japan).
- Staining: Stained the sections with uranyl acetate (Sigma-Aldrich, Shanghai branch, China) and led citrate (Sigma-Aldrich, Shanghai branch, China) for about 1 h.
3. Results
3.1. Female Reproductive Structures
3.1.1. Solenostome, Major Duct, Embolus, Calyx, and Vesicle
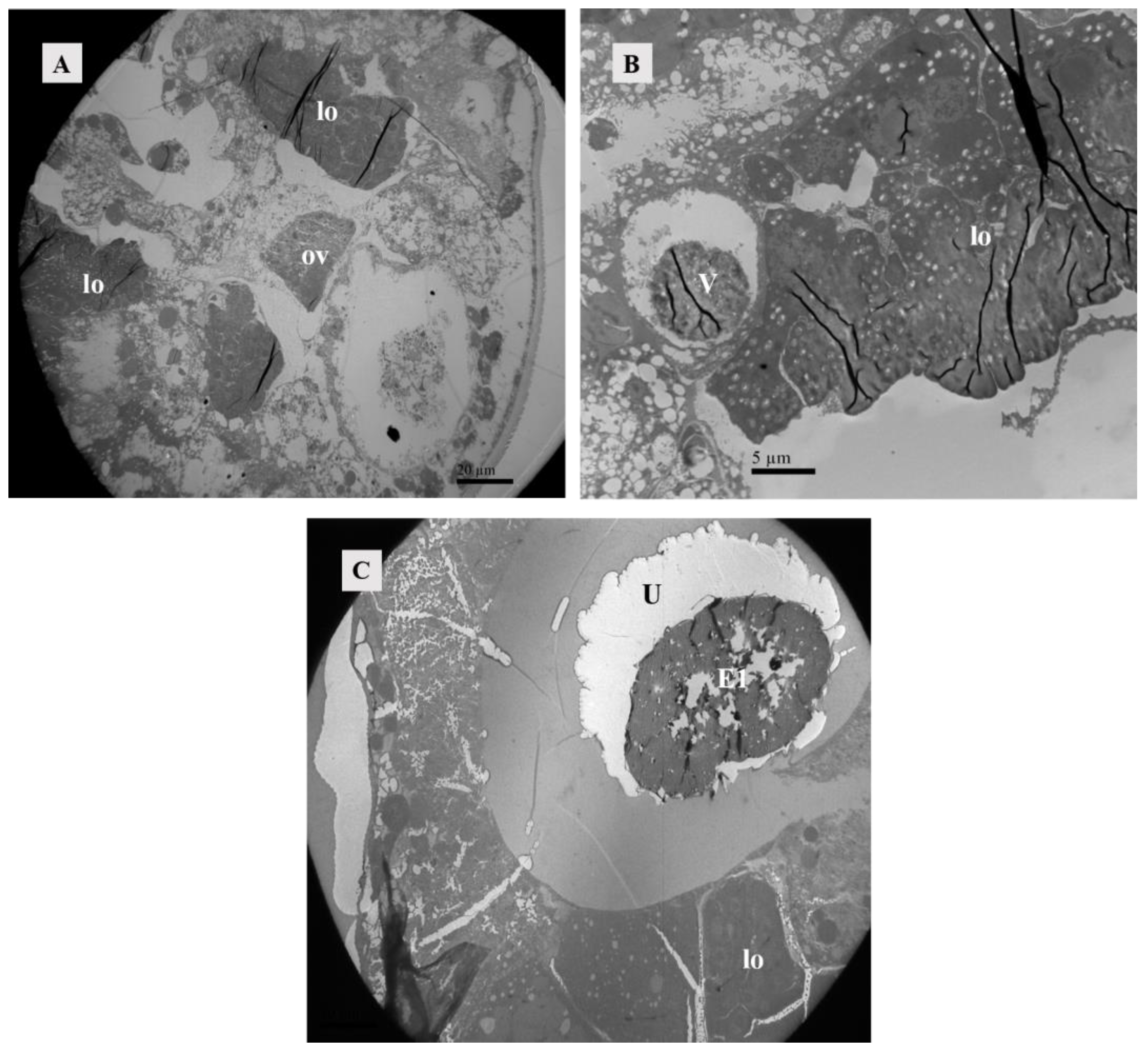
3.1.2. Lyrate Organ and Ovaries
3.1.3. Uterus, Vagina, and Genital Pore
3.2. Spatial Relationships between Structures
3.3. The Development of Oocytes at Different Mating Times
3.4. Egg Formation
3.4.1. Development of the First Egg (Figure 14)
3.4.2. Development of the Second Egg
3.5. Embryonic Development
4. Discussion
Author Contributions
Funding
Institutional Review Board Statement
Data Availability Statement
Conflicts of Interest
References
- Van Lenteren, J.C. The state of commercial augmentative biological control: Plenty of natural enemies, but a frustrating lack of uptake. BioControl 2012, 57, 1–20. [Google Scholar] [CrossRef]
- Helle, W.; Sabelis, M.W. Spider mites, their biology, natural enemies and control. Exp. Appl. Acarol. 1986, 2, 277–281. [Google Scholar]
- Sabelis, M.W.; Harmsen, R. Special Issue Population dynamics of plant-inhabiting mites. Exp. Appl. Acarol. 1992, 14, ii. [Google Scholar] [CrossRef]
- Sabelis, M.W.; Janssen, A. Evolution of Life-History Patterns in the Phytoseiidae. In Mites; Houck, M.A., Ed.; Springer: Boston, MA, USA, 1994; pp. 70–98. [Google Scholar]
- Alberti, G. Genital system of Gamasida and its bearing on phylogeny. In Progress in Acarology; ChannaBasavanna, G.P., Viraktamath, C.A., Eds.; Oxford & IBH Publishing: New Delhi, India, 1988; Volume 1, pp. 197–204. [Google Scholar]
- Nuzzaci, G.; Di Palma, A.; Aldini, P. Functional morphology of the female genital system in Typhlodromus spp. (Acari: Phytoseiidae). In Acarology: Proceedings of the 10th International Congress; Walter, D.E., Proctor, H., Norton, R.A., Colloff, M., Halliday, R.B., Eds.; CSIRO Publishing: Melbourne, Australia, 2001; pp. 196–202. [Google Scholar]
- Di Palma, A.; Alberti, G. Fine structure of the female genital system in phytoseiid mites with remarks on egg nutrimentary development, sperm-access system, sperm transfer, and capacitation (Acari, Gamasida, Phytoseiidae). Exp. Appl. Acarol. 2001, 25, 525–591. [Google Scholar] [CrossRef] [PubMed]
- Evans, G.O.; Till, W.M. Mesostigmatic mites of Britain and Ireland (Chelicerata: Acari-Parasitiformes): An introduction to their external morphology and classification. Trans. Zool. Soc. Lond. 1979, 35, 139–262. [Google Scholar] [CrossRef]
- Helle, W.; Bolland, H.R.; Van Arendonk, R.; De Boer, R.; Schulten, G.G.M.; Russell, V.M. Genetic evidence for biparental males in haplo-diploid predator mites (Acarina: Phytoseiidae). Genetica 1978, 49, 165–171. [Google Scholar] [CrossRef]
- Hoy, M.A. Parahaploidy of the “arrhenotokous” predator, Metaseiulus occidentalis (Acarina: Phytoseiidae), demonstrated by x-irradiation of males. Entomol. Exp. Appl. 1979, 26, 97–104. [Google Scholar] [CrossRef]
- Hoy, M.A. Genetics and genetic improvement of the Phytoseiidae. Ann. Rev. Entomol. 1985, 30, 345–370. [Google Scholar] [CrossRef]
- Zhang, B. Reproductive Mechanism of Phytoseiulus persimilis by Gamma Irradiation. Master’s Thesis, Graduate School of Chinese Academy of Agricultural Sciences, Beijing, China, 2016. [Google Scholar]
- Toyoshima, S.; Nakamura, M.; Nagahama, Y.; Amano, H. Process of Egg Formation in the Female Body Cavity and Fertilization in Male Eggs of Phytoseiulus Persimilis (Acari: Phytoseiidae). Exp. Appl. Acarol. 2000, 24, 441–451. [Google Scholar] [CrossRef]
- Yan, H.; Wang, E. Both host and diet shape bacterial communities of predatory mites. Insect Sci. 2024, 31, 551–561. [Google Scholar] [CrossRef]
- Li, M. Study on the Reproductive Process and Reproductive Related Gene of Phytoseiulus persimilis. Master’s Thesis, Graduate School of Chinese Academy of Agricultural Sciences, Beijing, China, 2023. [Google Scholar]
- Su, Y. The Study on Chemosensory Function of Three Phytoseiid Mites in the Process of Prey Recognition. Master’s Thesis, Graduate School of Chinese Academy of Agricultural Sciences, Beijing, China, 2021. [Google Scholar]
- Jiang, X. Reproductive and Sperm Transfer Structures of Phytoseiulus persimilis. Doctoral Thesis, Graduate School of Chinese Academy of Agricultural Sciences, Beijing, China, 2019. [Google Scholar]
- Michael, A.D. On the variations in the internal anatomy of the Gamasina especially in that of the genital organs, and their mode of coition. Trans. Linn. Soc. Lond. 1892, 5, 281–317. [Google Scholar] [CrossRef]
- Alberti, G.; Hänel, H. Fine structure of the genital system in the bee parasite, Varroa jacobsoni (Gamasida: Dermanyssina) with remarks on spermiogenesis, spermatozoa and capacitation. Exp. Appl. Acarol. 1986, 2, 63–104. [Google Scholar] [CrossRef]
- Wei, H.; Geng, T.; Wu, H.; Lou, D.; Wu, C.; Xie, Y.; Lu, F.; Wang, C. Morphological characteristics of inner reproductive system of Microcephalus sangensis and its changes in different developmental stages. J. Trop. Crops 2023, 44, 1023–1029. [Google Scholar]
- Xiao, P.; Ma, Y.; Li, H.; Han, Q. Morphological changes of inner reproductive system of Psyllid in Asian citrus. Chin. J. Environ. Entomol. 2017, 39, 1207–1213. [Google Scholar]
- Amano, H.; Chant, D.A. Mating behaviour and reproductive mechanisms of two species of predacious mites, Phytoseiulus persimilis Athias-Henriot and Amblyseius andersoni (Chant) (Acarina: Phytoseiidae). Acarologia 1979, 20, 196–213. [Google Scholar]
- Schulten, G.G.; Pseudoarrhenotoky, M. Spider Mites, Their Biology, Natural Enemies and Control; Helle, W., Sabelis, M.W., Eds.; Elsevier: Amsterdam, The Netherlands, 1985; Volume 1B, pp. 67–71. [Google Scholar]
- Dosse, G. Über den Kopulationsvorgang bei Raubmilben aus der Gattung Typhlodromus (Acari, Phytoseiidae). Pflanzenschutzberichte 1959, 22, 125–133. [Google Scholar]
- Alberti, G.; Coons, L.B. Acari—Mites. In Microscopic Anatomy of Invertebrates; Harrison, F.W., Ed.; Wiley-Liss: New York, NY, USA, 1999; Volume 8, pp. 515–1265. [Google Scholar]
- Gustafsson, J.K.; Johansson, M.E.V. The role of goblet cells and mucus in intestinal homeostasis. Nat. Rev. Gastroenterol. Hepatol. 2022, 19, 785–803. [Google Scholar] [CrossRef]
- Zhang, T.; Li, K.; Zhang, L.; Wang, B. Histological study of ovulation in Propylea japonica (Thunberg). J. Northwest A & F Univ. 2009, 37, 175–180. [Google Scholar]
- Kelly, T.J.; Telfer, W.H. The function of the follicular epithelium in vitellogenic Oncopeltus follicles. Tissue Cell 1979, 114, 663–672. [Google Scholar] [CrossRef]
- Nan, G. Study on the Relationship between Oocyte Entry and Oocyte Uptake of Vitelline Proteinogen by Brown Planthopper Yeast Symbiotic Bacteria. Master’s Thesis, China Jiliang University, Hangzhou, China, 2016. [Google Scholar]
- Di Palma, A.; Seeman, O.D.; Alberti, G. Complexity, adaptations and variations in the secondary insemination system of female Dermanyssina mites (Acari: Anactinothrichida: Gamasida): The case of Afrocypholaelaps africana. Exp. Appl. Acarol. 2017, 72, 191–203. [Google Scholar] [CrossRef]
- Zhao, C. Effects of Mating Behavior and Symbiotic Bacteria on Preembryonic Development of Planococcus fusococcus. Master’s Thesis, Zhejiang Normal University, Jinhua, China, 2016. [Google Scholar]
- Peterson, J.S.; Timmons, A.K.; Mondragon, A.A.; McCall, K. The End of the Beginning: Cell Death in the Germline. Curr. Top. Dev. Biol. 2015, 114, 93–119. [Google Scholar] [PubMed]
- Nezis, I.P.; Stravopodis, D.J.; Papassideri, I.; Robert-Nicoud, M.; Margaritis, L.H. Stage-specific apoptotic patterns during Drosophila oogenesis. Eur. J. Cell Biol. 2000, 79, 610–620. [Google Scholar] [CrossRef] [PubMed]



















Disclaimer/Publisher’s Note: The statements, opinions and data contained in all publications are solely those of the individual author(s) and contributor(s) and not of MDPI and/or the editor(s). MDPI and/or the editor(s) disclaim responsibility for any injury to people or property resulting from any ideas, methods, instructions or products referred to in the content. |
© 2024 by the authors. Licensee MDPI, Basel, Switzerland. This article is an open access article distributed under the terms and conditions of the Creative Commons Attribution (CC BY) license (https://creativecommons.org/licenses/by/4.0/).
Share and Cite
Huang, B.; Li, M.; Jiang, X.; Zhang, B.; Huang, Y.; Xu, X. Reproductive Structures of Female Phytoseiulus persimilis (Acari: Phytoseiidae) and the Development of Egg and Embryo in the Body. Agriculture 2024, 14, 1647. https://doi.org/10.3390/agriculture14091647
Huang B, Li M, Jiang X, Zhang B, Huang Y, Xu X. Reproductive Structures of Female Phytoseiulus persimilis (Acari: Phytoseiidae) and the Development of Egg and Embryo in the Body. Agriculture. 2024; 14(9):1647. https://doi.org/10.3390/agriculture14091647
Chicago/Turabian StyleHuang, Binting, Mingxia Li, Xiaohuan Jiang, Bo Zhang, Yong Huang, and Xuenong Xu. 2024. "Reproductive Structures of Female Phytoseiulus persimilis (Acari: Phytoseiidae) and the Development of Egg and Embryo in the Body" Agriculture 14, no. 9: 1647. https://doi.org/10.3390/agriculture14091647
APA StyleHuang, B., Li, M., Jiang, X., Zhang, B., Huang, Y., & Xu, X. (2024). Reproductive Structures of Female Phytoseiulus persimilis (Acari: Phytoseiidae) and the Development of Egg and Embryo in the Body. Agriculture, 14(9), 1647. https://doi.org/10.3390/agriculture14091647

