Abstract
Background: Infection of orthopaedic implants after internal fixation of bone fractures remains a major complication with occasionally devastating consequences. Recent studies have reported that the use of absorbable materials, instead of metallic ones, may lead to a lower incidence of postoperative infection. In this experimental pre-clinical animal study, we compared the infection rate between absorbable implants consisting of copolymers composed from trimethylene carbonate, L-polylactic acid, and D, L-polylactic acid monomers, and titanium implants after the inoculation of a pathogenic microorganism. Material and Methods: We used an experimental implant-related infection model in rabbits. Sixty animals were randomly and equally divided into two groups. In all animals, the right femur was exposed via a lateral approach and a 2.5 mm two-hole titanium plate with screws (Group A), or a two-hole absorbable plate and screws (Group B), were applied in the femoral shaft. Afterwards, the implant surface was inoculated with Pseudomonas Aeruginosa at a concentration of 2 × 108 CFU/mL. The primary outcome was the comparison of the incidence of developed infection between the two groups. The wound condition was monitored on a daily basis and radiographies were obtained at 12 weeks postoperatively. Infection-related laboratory markers (white blood cell count, erythrocyte sedimentation rate, and C-reactive protein values) were assessed at 3, 6, and 16 weeks postoperatively. Histologic analysis and cultures of tissue samples were also performed to evaluate the presence of infection. Results: Clinical and laboratory signs of infection were evident in 11 rabbits in Group A (36.7%), and 4 in Group B (13.3%). The difference between the groups was statistically significant (p = 0.04). Five animals in Group B (16.7%) had clinical and histologic signs of a foreign-body reaction with significantly elevated CRP and ESR values but no simultaneous presence of infection was identified (p = 0.04). Bone remodelling with thickening of the periosteum and surrounding sclerosis was demonstrated radiologically in animals developing infection or foreign-body reactions. Conclusions: Absorbable plates and screws show lower susceptibility to infection compared to titanium ones. However, their application is associated with foreign-body reaction and the potential need for a second surgical intervention.
1. Introduction
Infection remains a major complication after operative treatment of fracture fixation with metallic plates and screws [1,2,3,4,5]. These implant-associated infections usually lead to prolonged treatment times, additional surgical procedures, and poor functional outcomes [5]. Further complicating the issue, the formation of biofilm on orthopaedic implants increases antimicrobial resistance and tolerance to a broad range of antibiotics [6]. Biofilm can be defined as a structured microbial community of cells that are attached to a substratum and embedded in a self-produced matrix of extracellular polymeric substances [6]. The formation and maturation of biofilm on implant surfaces reduces the antibiotic action, impedes the phagocytosis and killing of bacteria by neutrophils, and increases the colonization of germs [1,2,3,7]. The bacterial biofilm thus encourages the persistence of infection, which could lead to implant failure, non-union, and osteomyelitis [5]. Infective non-union is a challenging and difficult condition to treat with often devastating consequences for patients’ health and quality of life [3]. Therefore, effective preventive and therapeutic measures to reduce the risks of implant-associated infections are necessary. Improvements in implant manufacturing and properties, the application of less invasive and tissue sparing surgical techniques, and perioperative local and systemic antibiotic prophylaxis have been considered to decrease the likelihood of infection development [1,2,3,5,7].
Bacterial colonization and proliferation are complicated processes influenced by many factors, including bacterial properties, implanted material characteristics, and environmental conditions [8,9]. The choice of the material used can affect the susceptibility to local infection [10,11,12]. Titanium plates are more biocompatible and confer greater resistance to infection than stainless steel [13]. Arens et al. have investigated the predisposition to infection after a local bacterial challenge using dynamic compression plates made of either stainless steel or titanium in rabbit tibiae. Under otherwise identical experimental conditions, the rate of infection for steel plates (75%) was significantly higher than that for titanium plates (35%) (p < 0.05) [11]. Likewise, absorbable plates used in fractures, osteotomies, and joint fusions have been also associated with lower rates of infection compared to metallic implants [14,15,16,17].
During the past decades, new absorbable plates and screws have been introduced as a reliable alternative option for treating bone fractures and lesions [18]. In the hand and wrist, absorbable pins and screws were used successfully for the fixation of fractures [19,20], osteotomies [20], and fusions [21]. Moreover, several series of operatively fixed ankle fractures have shown similar clinical and functional results between absorbable and metallic implants [22,23]. Absorbable implants, theoretically, eliminate the need for a secondary procedure for material removal after fracture healing [24,25]. The main disadvantage of absorbable materials is that the degradation process after their introduction could lead to a foreign-body reaction requiring surgical debridement and further operative procedures [26,27]. This adverse event has been gradually decreased with the evolution of the materials used to manufacture absorbable implants. First-generation absorbable implants, which appeared in the 1990s, were manufactured mainly with polyglycolic acid. However, they were associated with high rates of inflammatory reactions [28]. Second-generation implants consisted of poly-L-lactic acid, and showed a considerable improvement regarding the foreign-body reactions [27]. Even better results were achieved with the current third-generation implants consisting of copolymers composed from trimethylene carbonate, L-polylactic acid, and D, L-polylactic acid monomers [29].
The application of absorbable implants offers obvious clinical advantages by avoiding the presence of permanent foreign material in the body, provided that they could guarantee secure and stable fixation for an adequate time period. Third-generation absorbable implants were designed to overcome the problems of rapidly diminishing strength by extending the degradation time period [29]. According to the experimental studies, they lose most of their strength within 18–36 weeks, and complete bio-resorption takes place within two to four years [30]. Biomechanical studies have demonstrated that the primary fixation rigidity achieved with absorbable pins, screws, and miniplates for small bone osteotomies and fractures is close to that obtained with metallic fixation devices [19,31].
The Inion OTPSTM Biodegradable Plating System is a third-generation absorbable implant system consisting of copolymers composed from trimethylene carbonate, L-polylactic acid, and D, L-polylactic acid monomers. The aim of the current experimental animal trial was to compare the incidences of infection and local tissue reaction between conventional titanium and Inion OTPSTM absorbable fracture fixation materials after the inoculation of the implant interface with a pathogenic microorganism.
2. Material and Methods
The species chosen for this in vivo study were white New Zealand rabbits > 2500 kg. The choice of the animal model was based on the fact that in terms of anatomy and physiology the rabbits are comparable to humans and have similar skeletal growth patterns [32]. Furthermore, their size and strength make them suitable for surgical operations [33]. The largest long bone, namely the femora, was selected for the study to sufficiently accommodate the fixation implants.
Sixty male white New Zealand rabbits were used for this study (‘A. Trompetas’ Rabbit Farms, Athens, Greece). All rabbits were raised under standard farm management conditions and were routinely vaccinated. Ordinary physical and laboratory examinations was performed before housing in the facility of the provider, ensuring that the animals were healthy and pathogen free. The experiment was conducted in the laboratory of the Experimental Research Center ELPEN, which held an official permission for animal experiments (Registration number: 1-Ε.Π-05-1). Approval for the experiment was obtained from the Institutional Animal Care and Use Committee (IACUC) of Veterinary Directorate of the Prefecture of Athens (Approval Number: 56/10.12.18), according to Greek legislation and in conformance with the Council Directive 160/81 of the European Union.
The animals were accommodated in individual metal cages, fed with a standard pellet diet, and had free access to fresh water. Their mean weight at the beginning of the study was 3.32 kg (SD: 0.34 kg). Standard housing conditions with a temperature range between 18 °C and 22 °C, relative humidity between 55% and 65%, and day/night alteration at 6 am with the lights on to 6 pm with the lights off were applied. The cages were cleaned twice a week, and two veterinarians assessed the housing conditions, as well as the physiological condition and health status of the animals daily.
The rabbits were randomized into two groups using a software-generated list (www.randomizer.org, accessed on 17 December 2018). In the first group, a titanium plate and screws were implanted at the middle third of the femur (Group A: n = 30). In the second group, an absorbable plate and screws were introduced under the same setting (Group B: n = 30). A suspension of Pseudomonas Aeruginosa was inoculated into the examined femur of all animals, according to the experimental model described by Kälicke et al. [34].
2.1. Bacterial Suspension
A strain of P. Aeruginosa was obtained from a patient with chronic osteomyelitis. It was resistant to bacteriolysis when tested with fresh serum of five normal individuals. After overnight growth, an inoculum suspension of 2 × 108 CFU/mL was prepared, according to the model by Kanellakopoulou et al. [35].
P. Aeruginosa microorganism was selected because it was capable to develop biofilms on prosthetic surfaces [35,36,37]. Moreover, Norden et al. reported that P. Aeruginosa osteomyelitis in rabbits presented with pathological and radiological changes that closely resembled those described in humans, and suggested that the model could be used for investigations of bone infection pathogenesis and therapy [38]. Just as importantly, P. Aeruginosa was associated with less severe symptoms in rabbits compared to the more common pathogens of osteomyelitis such as Staphylococcus Aureus or Epidermidis with respect to mortality, clinical illness, and formation of sequestra [38]. Therefore, postoperative monitoring of the animals could be more effectively facilitated.
2.2. Inoculation Method
There are three described methods of inoculation of implant interface that reflect the mechanisms of infection in the clinical settings [39]:
- In vitro inoculation; inoculation of the implant before implantation [40].
- Implant site inoculation; a pre-determined concentration of the bacterium is directly inserted into the implant site, either prior or after the implantation procedure [41,42].
- Intravenous injection of the inoculum; a pre-determined concentration of the bacteria is injected to replicate hematogenous spread [43].
The intravenous injection of the inoculum method was ruled out because the concentrations required to induce implant-related infection were often very large, and only low rates of contamination could be achieved [39]. Of the two remaining models, we chose the implant site inoculation method. The direct inoculation of exogenous bacteria on the plate bed during the operation was the best option to simulate a clinically relevant contamination and trigger infection [34].
2.3. Implants
In Group A, we used standard phalangeal 2.3 mm two-hole titanium plates (Stryker, Portage, MI, USA) fixed with two bicortical titanium screws. In Group B, we introduced 2.5 mm absorbable plates consisting of copolymers composed from trimethylene carbonate, L-polylactic acid, and D, L-polylactic acid monomers, which were fixed with two bicortical screws of the same material (Inion OTPSTM Biodegradable Mini Plating System, INION, Tampere, Finland).
2.4. Surgical Procedure
All rabbits were operated on by two surgeons (PS, PG). Initially, the animals were anesthetized by intramuscular injection of a mixture of ketamine 50 mg/kg and xylazine 5 mg/kg. After successful induction of anesthesia, the animals’ right hind limb was shaved from the hip to the ankle, and it was placed onto the operating table. The surgeon then scrubbed in the conventional manner and gowned and gloved as per normal operative procedures. After sterile cleansing, the limb was wrapped using aperture drapes in an aseptic fashion. Using a simple sterile set of surgical instruments, a 6 cm long skin incision was utilized at the lateral aspect of the right femoral mid-diaphysis of each animal. Careful layer by layer dissection of all soft tissues facilitated adequate exposure of the femoral diaphysis.
After completing the approach, the metallic and absorbable implants were accordingly introduced. Each plate was placed in direct contact with the bone and stabilized with two cortex screws after bicortical drilling of the bone.
Subsequently, the experimental model of implant-related infection was established according to the model described by Kälicke et al. [34]. A sterile 18-gauge puncture needle was inserted over the surface of the plate and exited above the proximal wound margin. The wound closure took place in two layers; the deep fascia was closed with 2/0 polyglactin absorbable sutures and the skin with 2/0 silk non-absorbable interrupted stiches (Ethicon, Raritan, NJ, USA). After skin closure, 0.5 mL of bacterial inoculum suspension was inserted directly into the plate bed through the needle, followed by 0.1 mL of sterile saline to ensure complete entry of the suspension material. The needle was then withdrawn, and the wound was dabbed with a povidone iodine-soaked swab. Sterile dressings and elastic bandages were applied.
2.5. Postoperative Care
One preoperative antibiotic dose of subcutaneous enrofloxacin 10 mg/kg and oral carprofen 5 mg/kg/24 h for pain control during the first two days were administered. Acetaminophen suppositories were also used for one week to reduce animal pain and suffering thereafter. Suture removal took place at two weeks, under sedation, with intramuscular ketamine.
2.6. Clinical Assessment
The animals were monitored for a time period of 16 weeks. The wounds were examined on a daily basis and any local or systemic complications were recorded in a blinded manner. Wound redness, swelling, and drainage were assessed and recorded without knowledge of the experimental condition of any given animal.
2.7. Radiographic Assessment
Radiographs were obtained after 12 weeks under sedation with intramuscular ketamine 10 mg/kg and medetomidine hydrochloride 0.2 mg/kg. The reversal of the sedation was accomplished with administration of atipamezole 0.5 mg/kg. Any bone reactions including cortical destruction, lytic lesions, sequestrum formation, and soft tissue extension were monitored and evaluated.
2.8. Laboratory Testing
Complete blood count (CBC), erythrocyte sedimentation rate (ESR), and C-reactive protein (CRP) were measured preoperatively and at 3 weeks, 6 weeks, and 16 weeks postoperatively.
2.9. Histology
At 16 weeks, the animals were sacrificed under general anesthesia by a lethal injection of phenobarbital. Peri-implant samples from bone, periosteum, and soft tissues were received under sterile conditions and sent for histopathology. The tissue fragments were processed using routine histological procedures and embedded in paraffin. Each paraffin block was sectioned and stained with hematoxylin and eosin. The specimens were evaluated by one observer (AC) without knowledge of the group of the animals.
2.10. Stains and Cultures
The implants as well as the tissue samples including the bone, periosteum, and soft tissues around the plates were sent for Gram and modified Gram stains and culture examination in the same blinded fashion. Quantitative microbiological evaluation was performed under standardized test conditions. The target criterion was regarded as met if there was proof of the inoculated P. Aeruginosa strain in the samples.
2.11. Primary Outcome
The primary outcome of the study was the comparison of infection rates between the two groups. Infection was defined in case of positive tissue cultures and/or positive Gram or modified Gram stains [44]. A foreign-body reaction was confirmed if specific clinical, laboratory, and histological criteria were met (Table 1).
Table 1.
Criteria for diagnosing foreign-body reaction [25,45].
2.12. Statistical Analysis
The rates of infection between groups were compared with the Chi-square test. The Shapiro–Wilk test was used to assess if the quantitative variables were normally distributed. The CRP and ESR mean values were compared with the independent samples Kruskal–Wallis and the Mann–Whitney tests because they were non-normally distributed. The level of significance was set at p < 0.05. All data were analyzed using SPSS (Statistical Package for Social Sciences) software version 29.
3. Results
There were no complications related to the operative procedure and administration of the implants. The operations lasted an average of 20 min, and the anesthesia time was extended to an average of 60 min due to the need for shaving, sterile draping, and waiting for the recovery of anesthesia. There were no cases of mortality within the follow-up period. All animals completed the study uneventfully and, therefore, were included in the descriptive statistical analysis.
3.1. Infection Rates
Eleven animals in Group A (36.7%) and four in Group B (13.3%) were diagnosed with infection (Table 2). The difference between the groups was statistically significant (Chi-square test, p = 0.04). All animals detected with infection had redness and swelling on the operation site as well as abscess or fistula formation, with pus effusion. Moreover, in all infective animals the pathogenic (P. Aeruginosa) bacteria were isolated not only from the implant surface but also from the surrounding bone and soft tissue samples. Isolated evidence of bacteria development only at the implant material or underlying bone or neighbouring soft tissues was not identified.
Table 2.
Rates of infection.
3.2. Foreign-Body Reactions
Foreign-body reaction to absorbable implants was observed in five animals of Group B (16.7%) and none in Group A (p = 0.04). The image of the surgical wound resembled that of infection, but the cultures and histological examination of all the received tissue samples did not confirm the simultaneous presence of infection.
3.3. Laboratory Testing
Preoperative CRP and ESR values were normal in both groups. However, the animals with infection and aseptic reactions had significantly elevated CRP and ESR levels at all follow-up time points when compared to healthy ones (Table 3 and Table 4). The increase in CRP and ESR values in infection and foreign-body reaction cases had similar trends and no statistical difference between these two conditions was noticed (p > 0.05 in all time points, Mann–Whitney test). Details regarding the changes in CRP and ESR values are illustrated in Figure 1 and Figure 2.
Table 3.
Mean (SD) CRP values (mg/dL).
Table 4.
Mean (SD) ESR values (mm/h).
Figure 1.
CRP values in healthy, infected, and animals with foreign-body reactions.
Figure 2.
ESR values in healthy, infected, and animals with foreign-body reactions.
3.4. Radiographic Assessment
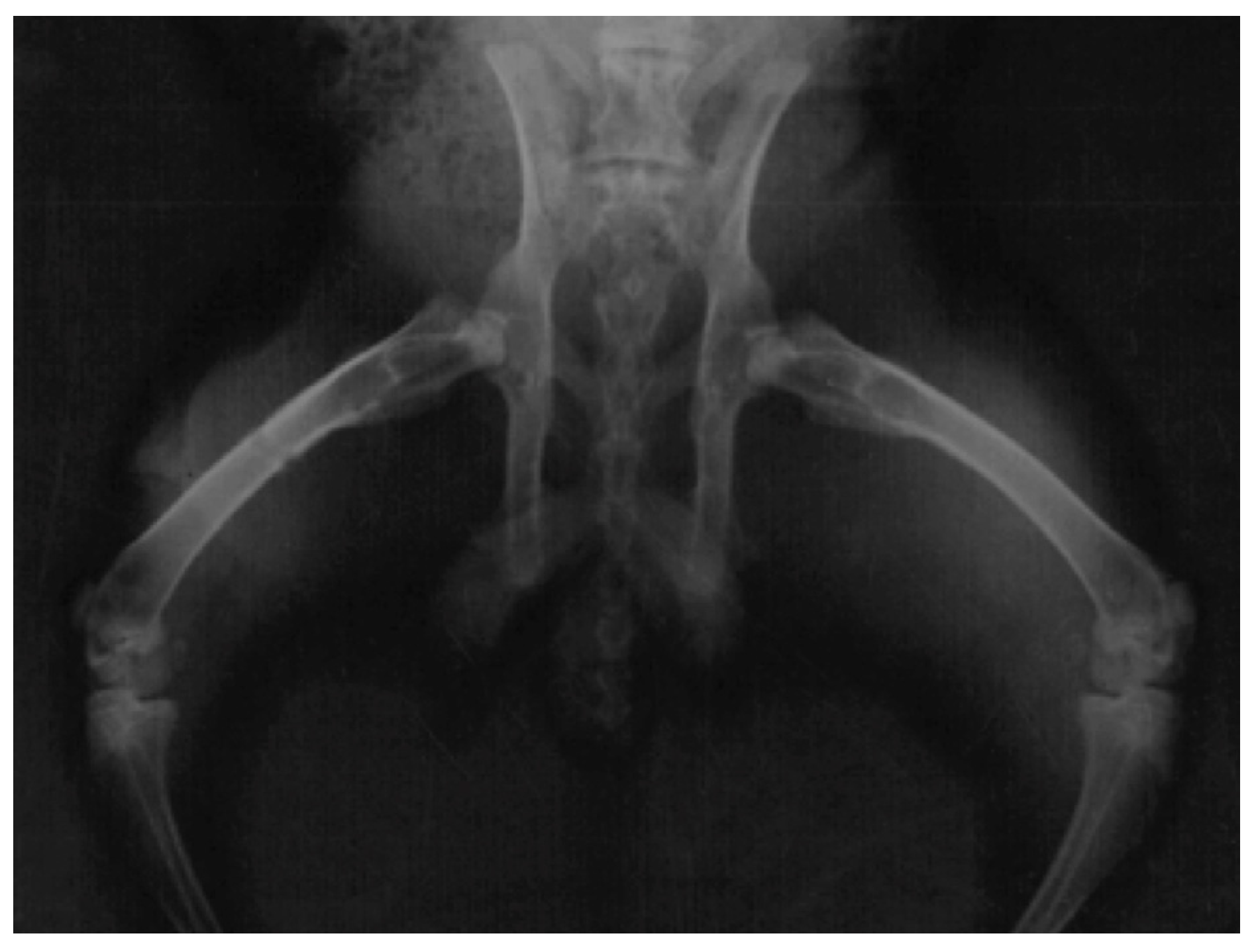
The main radiographic findings among the animals with infection were bone remodelling with thickening of the periosteum and surrounding sclerosis (Figure 3). No bone sequestra was noticed. Animals with clinical findings of foreign-body reaction had similar radiologic appearance. Ten healthy animals in Group B also had periosteal thickening, while the remaining healthy animals in both groups had normal radiographic appearance and no bone reaction (Figure 4).
Figure 3.
Radiograph of a rabbit with a titanium plate which developed an infection. A small periosteal reaction is apparent (red arrows).
Figure 4.
Radiograph of a healthy rabbit with an absorbable plate on the right femur and no bone reaction.
3.5. Histology
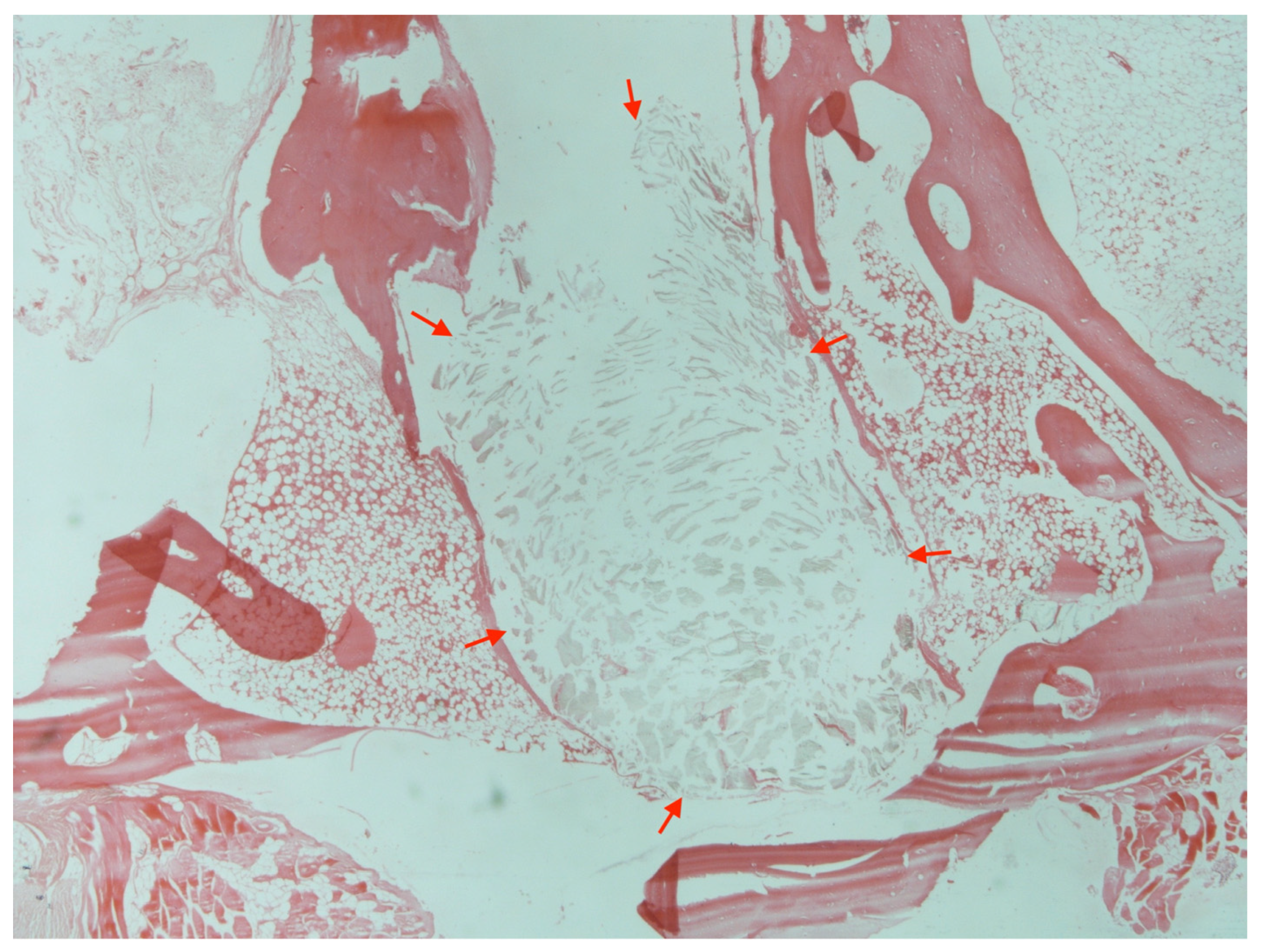
Histologic examination of samples from animals without any wound reaction did not reveal any bone or soft tissue abnormality (Figure 5). On the contrary, and in case of infection, loss of normal bone architecture, cortical thickening, and endocortical fibrosis were evident (Figure 6). When foreign-body reaction was apparent, numerous polymeric particles birefringent under polarized light were surrounded by macrophages and giant cells. Disruption of normal architecture with cortical thickening and dysplastic bone marrow were also observed (Figure 7).
Figure 5.
Histological image of cortical bone with normal architecture (blue arrow) (H + E stain, ×200).
Figure 6.
Histological image showing severe cortical thickening (yellow arrow) with diffuse endocortical fibrosis (arrow heads) in an infected bone (H + E stain, ×200).
Figure 7.
Histological image with particles of absorbable debris into the bone (red arrows) and loss of normal bone architecture in an animal with foreign-body reaction (H + E stain, ×200).
4. Discussion
Infection remains a major complication after implant fracture fixation due to the potential formation of bacterial biofilm at the implant surface [1,2,3,4,7]. The use of absorbable materials is a well-promising alternative way of fixation as they have the theoretical advantage of resorption and eliminate the need for a subsequent operation for implant removal [24,25]. Nevertheless, the degradation process may lead to a foreign-body reaction which requires surgical debridement and additional surgeries [26,27]. We found that under identical experimental conditions, the absorbable plates had higher resistance to infection compared to titanium implants (13.3% vs. 36.7%, respectively). However, a clinically significant foreign-body reaction was observed in almost one-sixth of animals after the application of absorbable implants during a 16-week period of time.
The use of absorbable materials is constantly increasing in orthopaedic surgery and according to the literature, they yield lower rates of infections compared to metallic implants [16,17,46]. Sinisaari et al. reported a decreased incidence of wound infection when absorbable implants were used for fracture fixation, arthrodeses, and bone osteotomies instead of metallic devices (4% vs. 9%, respectively) [16]. The same authors, in another study, found that the occurrence of wound infection was slightly higher after the application of metallic plates and screws compared to absorbable devices (4.1% vs. 3.2%, p = 0.3) [46]. The exact mechanism by which the absorbable implants could affect the infection risk is not yet known. It is considered that the degrading process of absorbable materials can activate inflammatory cells that reduce the risk of bacterial colonization [47]. Devereux et al. observed that while the polyglycolic acid composite mesh had no intrinsic bactericidal or bacteriostatic activity, antimicrobial function could be achieved from the functional activation of leukocytes [47]. The authors advocated that this occurred within the time frame in which bacteria, that had either been seeded or translocated, began to grow and multiply.
The degradation process of absorbable material may stimulate a significant adverse tissue response leading to a foreign-body reaction and subsequent fixation failure, surgical debridement, and implant removal. This phenomenon may eliminate the benefit of using absorbable implants in pathological bone procedures and should be always taken into consideration [14,15,16,17,28,45]. The type of implant, the kind of manufacturing process and sterilization method, and the site of implantation could affect the degradation of the implant and the resulting biological response [26]. The modern third-generation absorbable implants that were used in our experimental study promise a better mechanical and biological environment for fracture healing as well as minimal reaction to the surrounding tissues [26,30]. Although we observed a foreign-body reaction in almost 17% of cases after implantation of absorbable implants, no simultaneous development of infection was noted. Therefore, these reactions could not be considered a predisposing factor for germ colonization and biofilm creation.
Among the metallic implants, titanium plates are considered the best choice for the prevention of infection. In a rabbit experimental study, Arens et al. reported lower rates of infection for titanium plates compared to stainless steel plates (35% vs. 75%, p < 0.05) [11]. Moreover, and using the same animal rabbit model, Cordero et al. proved that porous-coated cobalt–chromium implants required bacterial concentrations that were 40 times smaller than those needed to infect implants with polished surfaces, and 15 times smaller than those required to infect porous-coated titanium implants [10].
Experimental implant-related infection was surgically induced into the plate bed on the femoral diaphysis of rabbits by using the model of Kälicke et al. [34]. It should be noted that in our study only a few of the animals were infected, probably due to the application of antibiotics, which decreased bacterial adhesion [48]. It seems that the induction of the infection is a complicated process influenced by many factors, including bacterial properties, material surface characteristics, and environmental factors [8]. More specifically, the temperature and pH values, the time of exposure, and the associated biofilm structure and performance may influence bacterial adhesion [49,50]. Furthermore, the presence of serum proteins (i.e., albumin, fibronectin, fibrinogen, laminin, denatured collagen, and others) may promote or inhibit bacterial adhesion by either binding to substrata and bacterial surface, or just by being present [8].
The main strength of our study is the identical in vivo experimental conditions for all animals. On the other hand, the study has several limitations. For each group of animals, a specific plate in terms of size, length, and number of screws was applied in a specific anatomic area (femur diaphysis). Therefore, the results could not be generalized in all absorbable implants (pins, screws, rods, and plates) as well as in all anatomic areas and bone fractures or lesions. Similarly, the implant behavior might be different if other germs were inoculated. Finally, the mechanical behavior and stability of the fixation devices were not evaluated. Poor mechanical environments may predispose sites to fracture non-union and subsequent development of surgical infection and re-operation [51].
5. Conclusions
We found lower susceptibility of absorbable implants to infection in an experimental animal model. The promising clinical message of the study should be weighed in with the possibility of a second intervention due to potential foreign-body reaction. More studies are necessary to clarify the relationship between the degradation process and the inhibition of infection, as well as the exact role of the absorbable implants in the treatment of bone fractures and lesions.
Author Contributions
Conceptualization, P.S. and P.G.; methodology, P.G. and B.C.; software, D.K.; formal analysis, P.S. and A.C.; investigation, D.K. and P.S.; resources, A.P. and P.G.; writing—original draft preparation, D.K. and B.C.; writing—review and editing, P.G. and B.C.; visualization, D.K.; supervision, P.G.; project administration, A.P.; funding acquisition, A.P. All authors have read and agreed to the published version of the manuscript.
Funding
The research was funded by and performed in the facilities of the Experimental Research Centre ELPEN, Athens, Greece.
Institutional Review Board Statement
All procedures performed in studies involving animals were in accordance with the ethical standards of the institution or practice at which the studies were conducted.
Informed Consent Statement
Not applicable.
Data Availability Statement
The data presented in this study are available in the main text.
Conflicts of Interest
The authors declare no conflict of interest.
References
- Dougherty, S.H. Pathobiology of Infection in Prosthetic Devices. Rev. Infect. Dis. 1988, 10, 1102–1117. [Google Scholar] [CrossRef]
- Gristina, A.G.; Hobgood, C.D.; Webb, L.X.; Myrvik, Q.N. Adhesive Colonization of Biomaterials and Antibiotic Resistance. Biomaterials 1987, 8, 423–426. [Google Scholar] [CrossRef]
- Schmidt, A.H.; Swiontkowski, M.F. Pathophysiology of Infections after Internal Fixation of Fractures. J. Am. Acad. Orthop. Surg. 2000, 8, 285–291. [Google Scholar] [CrossRef]
- Kulshrestha, A.; Gupta, P. Combating Polymicrobial Biofilm: Recent Approaches. Folia Microbiol. 2023, 68, 495–505. [Google Scholar] [CrossRef] [PubMed]
- Dhillon, M.S.; Hooda, A.; Moriarty, T.F.; Sharma, S. Biofilms-What Should the Orthopedic Surgeon Know? Indian J. Orthop. 2023, 57, 44–51. [Google Scholar] [CrossRef]
- Lu, Y.; Cai, W.-J.; Ren, Z.; Han, P. The Role of Staphylococcal Biofilm on the Surface of Implants in Orthopedic Infection. Microorganisms 2022, 10, 1909. [Google Scholar] [CrossRef]
- Tsikopoulos, K.; Christofilos, S.I.; Kitridis, D.; Sidiropoulos, K.; Stoikos, P.N.; Gravalidis, C.; Givissis, P.; Papaioannidou, P. Is Sonication Superior to Dithiothreitol in Diagnosis of Periprosthetic Joint Infections? A Meta-Analysis. Int. Orthop. 2022, 46, 1215–1224. [Google Scholar] [CrossRef]
- Katsikogianni, M.; Missirlis, Y.F. Concise Review of Mechanisms of Bacterial Adhesion to Biomaterials and of Techniques Used in Estimating Bacteria-Material Interactions. Eur. Cells Mater. 2004, 8, 37–57. [Google Scholar] [CrossRef]
- Sharma, S.; Mohler, J.; Mahajan, S.D.; Schwartz, S.A.; Bruggemann, L.; Aalinkeel, R. Microbial Biofilm: A Review on Formation, Infection, Antibiotic Resistance, Control Measures, and Innovative Treatment. Microorganisms 2023, 11, 1614. [Google Scholar] [CrossRef] [PubMed]
- Cordero, J.; Munuera, L.; Folgueira, M.D. Influence of Metal Implants on Infection. An Experimental Study in Rabbits. J. Bone Jt. Surg. Br. 1994, 76, 717–720. [Google Scholar] [CrossRef]
- Arens, S.; Schlegel, U.; Printzen, G.; Ziegler, W.J.; Perren, S.M.; Hansis, M. Influence of Materials for Fixation Implants on Local Infection. J. Bone Jt. Surg. 1996, 78, 647–651. [Google Scholar] [CrossRef]
- Petty, W.; Spanier, S.; Shuster, J.J.; Silverthorne, C. The Influence of Skeletal Implants on Incidence of Infection. Experiments in a Canine Model. J Bone Jt. Surg. Am. 1985, 67, 1236–1244. [Google Scholar] [CrossRef]
- Arens, S.; Hansis, M.; Schlegel, U.; Eijer, H.; Printzen, G.; Ziegler, W.J.; Perren, S.M. Infection after Open Reduction and Internal Fixation with Dynamic Compression Plates--Clinical and Experimental Data. Injury 1996, 27 (Suppl. 3), SC27-33. [Google Scholar] [CrossRef]
- Böstman, O.M.; Pihlajamäki, H.K. Adverse Tissue Reactions to Bioabsorbable Fixation Devices. Clin. Orthop. Relat. Res. 2000, 371, 216–227. [Google Scholar] [CrossRef]
- Rokkanen, P.; Böstman, O.; Vainionpaa, S.; Makela, E.A.; Hirvensalo, E.; Partio, E.K.; Vihtonen, K.; Patiala, H.; Tormala, P. Absorbable Devices in the Fixation of Fractures. J. Trauma 1996, 40, S123–S127. [Google Scholar] [CrossRef]
- Sinisaari, I.; Pätiälä, H.; Böstman, O.; Mäkelä, E.A.; Hirvensalo, E.; Partio, E.K.; Törmälä, P.; Rokkanen, P. Wound Infections Associated with Absorbable or Metallic Devices Used in the Fixation of Fractures, Arthrodeses and Osteotomies. Eur. J. Orthop. Surg. Traumatol. 1995, 5, 41–43. [Google Scholar] [CrossRef] [PubMed]
- Waris, E.; Konttinen, Y.T.; Ashammakhi, N.; Suuronen, R.; Santavirta, S. Bioabsorbable Fixation Devices in Trauma and Bone Surgery: Current Clinical Standing. Expert Rev. Med. Devices 2004, 1, 229–240. [Google Scholar] [CrossRef] [PubMed]
- Rokkanen, P.U.; Böstman, O.; Hirvensalo, E.; Mäkelä, E.A.; Partio, E.K.; Pätiälä, H.; Vainionpää, S.; Vihtonen, K.; Törmälä, P. Bioabsorbable Fixation in Orthopaedic Surgery and Traumatology. Biomaterials 2000, 21, 2607–2613. [Google Scholar] [CrossRef]
- Waris, E.; Ashammakhi, N.; Happonen, H.; Raatikainen, T.; Kaarela, O.; Törmälä, P.; Santavirta, S.; Konttinen, Y.T. Bioabsorbable Miniplating versus Metallic Fixation for Metacarpal Fractures. Clin. Orthop. Relat. Res. 2003, 410, 310–319. [Google Scholar] [CrossRef] [PubMed]
- Waris, E.; Ashammakhi, N.; Kaarela, O.; Raatikainen, T.; Vasenius, J. Use of Bioabsorbable Osteofixation Devices in the Hand. J. Hand Surg. Br. 2004, 29, 590–598. [Google Scholar] [CrossRef] [PubMed]
- Voutilainen, N.; Juutilainen, T.; Pätiälä, H.; Rokkanen, P. Arthrodesis of the Wrist with Bioabsorbable Fixation in Patients with Rheumatoid Arthritis. J. Hand Surg. Br. 2002, 27, 563–567. [Google Scholar] [CrossRef]
- Gaiarsa, G.P.; dos Reis, P.R.; Mattar Junior, R.; Silva, J.D.S.; Fernandez, T.D. Comparative Study between Osteosynthesis in Conventional and Bioabsorbable Implants in Ankle Fractures. Acta Ortop. Bras. 2015, 23, 263–267. [Google Scholar] [CrossRef] [PubMed]
- Kukk, A.; Nurmi, J.T. A Retrospective Follow-up of Ankle Fracture Patients Treated with a Biodegradable Plate and Screws. Foot Ankle Surg. Off. J. Eur. Soc. Foot Ankle Surg. 2009, 15, 192–197. [Google Scholar] [CrossRef]
- Demina, V.A.; Krasheninnikov, S.V.; Buzin, A.I.; Kamyshinsky, R.A.; Sadovskaya, N.V.; Goncharov, E.N.; Zhukova, N.A.; Khvostov, M.V.; Pavlova, A.V.; Tolstikova, T.G.; et al. Biodegradable Poly(l-Lactide)/Calcium Phosphate Composites with Improved Properties for Orthopedics: Effect of Filler and Polymer Crystallinity. Mater. Sci. Eng. C. Mater. Biol. Appl. 2020, 112, 110813. [Google Scholar] [CrossRef]
- Osborn, E.J.; Farnsworth, C.L.; Doan, J.D.; Edmonds, E.W. Bioabsorbable Plating in the Treatment of Pediatric Clavicle Fractures: A Biomechanical and Clinical Analysis. Clin. Biomech. 2018, 55, 94–99. [Google Scholar] [CrossRef] [PubMed]
- Givissis, P.K.; Stavridis, S.I.; Papagelopoulos, P.J.; Antonarakos, P.D.; Christodoulou, A.G. Delayed Foreign-Body Reaction to Absorbable Implants in Metacarpal Fracture Treatment. Clin. Orthop. Relat. Res. 2010, 468, 3377–3383. [Google Scholar] [CrossRef]
- Chalidis, B.; Kitridis, D.; Savvidis, P.; Papalois, A.; Givissis, P. Does the Inion OTPSTM Absorbable Plating System Induce Higher Foreign-Body Reaction than Titanium Implants? An Experimental Randomized Comparative Study in Rabbits. Biomed. Mater. 2020, 15, 65011. [Google Scholar] [CrossRef]
- Böstman, O.; Hirvensalo, E.; Makinen, J.; Rokkanen, P.; Mäkinen, J.; Rokkanen, P. Foreign-Body Reactions to Fracture Fixation Implants of Biodegradable Synthetic Polymers. J. Bone Jt. Surg. Br. 1990, 72, 592–596. [Google Scholar] [CrossRef]
- Hazan, J.; Azzi, A.J.; Thibaudeau, S. Surgical Fixation of Metacarpal Shaft Fractures Using Absorbable Implants: A Systematic Review of the Literature. Hand 2019, 14, 19–26. [Google Scholar] [CrossRef]
- Losken, H.W.; van Aalst, J.A.; Mooney, M.P.; Godfrey, V.L.; Burt, T.; Teotia, S.; Dean, S.B.; Moss, J.R.; Rahbar, R. Biodegradation of Inion Fast-Absorbing Biodegradable Plates and Screws. J. Craniofac. Surg. 2008, 19, 748–756. [Google Scholar] [CrossRef]
- Waris, E.; Ashammakhi, N.; Raatikainen, T.; Törmälä, P.; Santavirta, S.; Konttinen, Y.T. Self-Reinforced Bioabsorbable versus Metallic Fixation Systems for Metacarpal and Phalangeal Fractures: A Biomechanical Study. J. Hand Surg. Am. 2002, 27, 902–909. [Google Scholar] [CrossRef] [PubMed]
- Heikel, H. V On Ossification and Growth of Certain Bones of the Rabbit; with a Comparison of the Skeletal Age in the Rabbit and in Man. Acta Orthop. Scand. 1960, 29, 171–184. [Google Scholar] [CrossRef] [PubMed]
- Rahn, B.A.; Gallinaro, P.; Baltensperger, A.; Perren, S.M. Primary Bone Healing. An Experimental Study in the Rabbit. J. Bone Jt. Surg. Am. 1971, 53, 783–786. [Google Scholar] [CrossRef]
- Kälicke, T.; Schierholz, J.; Schlegel, U.; Frangen, T.M.; Köller, M.; Printzen, G.; Seybold, D.; Klöckner, S.; Muhr, G.; Arens, S. Effect on Infection Resistance of a Local Antiseptic and Antibiotic Coating on Osteosynthesis Implants: An in Vitro and in Vivo Study. J. Orthop. Res. Off. Publ. Orthop. Res. Soc. 2006, 24, 1622–1640. [Google Scholar] [CrossRef]
- Kanellakopoulou, K.; Thivaios, G.C.; Kolia, M.; Dontas, I.; Nakopoulou, L.; Dounis, E.; Giamarellos-Bourboulis, E.J.; Andreopoulos, A.; Karagiannakos, P.; Giamarellou, H. Local Treatment of Experimental Pseudomonas Aeruginosa Osteomyelitis with a Biodegradable Dilactide Polymer Releasing Ciprofloxacin. Antimicrob. Agents Chemother. 2008, 52, 2335–2339. [Google Scholar] [CrossRef] [PubMed]
- Evans, D.J.; Allison, D.G.; Brown, M.R.; Gilbert, P. Susceptibility of Pseudomonas Aeruginosa and Echerichia Coli Biofilms towards Ciprotoxin: Effect of Specific Growth Rate. J. Antimicrob. Chemother. 1991, 27, 177–184. [Google Scholar] [CrossRef]
- Yasuda, H.; Ajiki, Y.; Koga, T.; Kawada, H.; Yokota, T. Interaction Between Biofilms Formed By Pseudomonas-Aeruginosa and Clarithromycin. Antimicrob. Agents Chemother. 1993, 37, 1749–1755. [Google Scholar] [CrossRef]
- Norden, C.W.; Myerowitz, R.L.; Keleti, E. Experimental Osteomyelitis Due to Staphylococcus Aureus or Pseudomonas Aeruginosa: A Radiographic-Pathological Correlative Analysis. Br. J. Exp. Path. 1980, 61, 451. [Google Scholar]
- Sheehan, E.; McKenna, J.; Marks, P.; Mulhall, K.J.; Marks, P.; McCormack, D. Adhesion of Staphylococcus to Orthopaedic Metals, an in Vivo Study. J. Orthop. Res. Off. Publ. Orthop. Res. Soc. 2004, 22, 39–43. [Google Scholar] [CrossRef]
- Buret, A.; Ward, K.H.; Olson, M.E.; Costerton, J.W. An in Vivo Model to Study the Pathobiology of Infectious Biofilms on Biomaterial Surfaces. J. Biomed. Mater. Res. 1991, 25, 865–874. [Google Scholar] [CrossRef]
- Sanzén, L.; Linder, L. Infection Adjacent to Titanium and Bone Cement Implants: An Experimental Study in Rabbits. Biomaterials 1995, 16, 1273–1277. [Google Scholar] [CrossRef] [PubMed]
- Isiklar, Z.U.; Darouiche, R.O.; Landon, G.C.; Beck, T. Efficacy of Antibiotics Alone for Orthopaedic Device Related Infections. Clin. Orthop. Relat. Res. 1996, 332, 184–189. [Google Scholar] [CrossRef] [PubMed]
- Southwood, R.T.; Rice, J.L.; McDonald, P.J.; Hakendorf, P.H.; Rozenbilds, M.A. Infection in Experimental Hip Arthroplasties. J. Bone Jt. Surg. Br. 1985, 67, 229–231. [Google Scholar] [CrossRef]
- Odekerken, J.C.; Arts, J.J.; Surtel, D.A.; Walenkamp, G.H.; Welting, T.J. A Rabbit Osteomyelitis Model for the Longitudinal Assessment of Early Post-Operative Implant Infections. J. Orthop. Surg. Res. 2013, 8, 38. [Google Scholar] [CrossRef]
- Böstman, O.; Pihlajamäki, H. Clinical Biocompatibility of Biodegradable Orthopaedic Implants for Internal Fixation: A Review. Biomaterials 2000, 21, 2615–2621. [Google Scholar] [CrossRef]
- Sinisaari, I.; Pätiälä, H.; Böstman, O.; Mäkelä, E.A.; Hirvensalo, E.; Partio, E.K.; Törmälä, P.; Rokkanen, P. Metallic or Absorbable Implants for Ankle Fractures: A Comparative Study of Infections in 3,111 Cases. Acta Orthop. Scand. 1996, 67, 16–18. [Google Scholar] [CrossRef]
- Devereux, D.F.; O’Connell, S.M.; Liesch, J.B.; Weinstein, M.; Robertson, F.M. Induction of Leukocyte Activation by Meshes Surgically Implanted in the Peritoneal Cavity. Am. J. Surg. 1991, 162, 243–246. [Google Scholar] [CrossRef]
- Schierholz, J.M.; Beuth, J. Implant Infections: A Haven for Opportunistic Bacteria. J. Hosp. Infect. 2001, 49, 87–93. [Google Scholar] [CrossRef]
- McWhirter, M.J.; McQuillan, A.J.; Bremer, P.J. Influence of Ionic Strength and PH on the First 60 Min of Pseudomonas Aeruginosa Attachment to ZnSe and to TiO2 Monitored by ATR-IR Spectroscopy. Colloids Surf. B Biointerfaces 2002, 26, 365–372. [Google Scholar] [CrossRef]
- Isberg, R.R.; Barnes, P. Dancing with the Host; Flow-Dependent Bacterial Adhesion. Cell 2002, 110, 1–4. [Google Scholar] [CrossRef]
- Kapoutsis, D.; Kitridis, D.; Sachinis, N.P.; Ploumis, A.; Givissis, P. Absorbable Plates for Isolated Ulnar Diaphyseal Fractures in Adults—A Case Series Study. J. Orthop. Case Rep. 2020, 10, 49–53. [Google Scholar] [PubMed]
Disclaimer/Publisher’s Note: The statements, opinions and data contained in all publications are solely those of the individual author(s) and contributor(s) and not of MDPI and/or the editor(s). MDPI and/or the editor(s) disclaim responsibility for any injury to people or property resulting from any ideas, methods, instructions or products referred to in the content. |
© 2023 by the authors. Licensee MDPI, Basel, Switzerland. This article is an open access article distributed under the terms and conditions of the Creative Commons Attribution (CC BY) license (https://creativecommons.org/licenses/by/4.0/).






