Conditioned Media from Human Pulp Stem Cell Cultures Improve Bone Regeneration in Rat Calvarial Critical-Size Defects
Abstract
1. Introduction
2. Materials and Methods
2.1. Pulp-Derived Stem Cells
2.2. Reconstitution of the Lyophilized Culture Medium and Incorporation into the Scaffold (Bio-Oss)
2.3. Animals and Study Design
2.4. Surgical Protocol
2.5. Histologic Processing
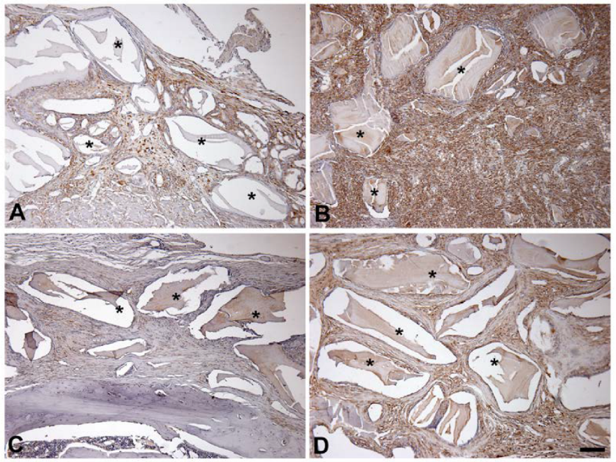
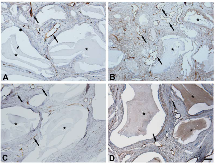
2.6. Immunohistochemistry
2.7. Histologic, Histomorphometric and Immunohistochemical Analysis
2.8. Statistical Analysis
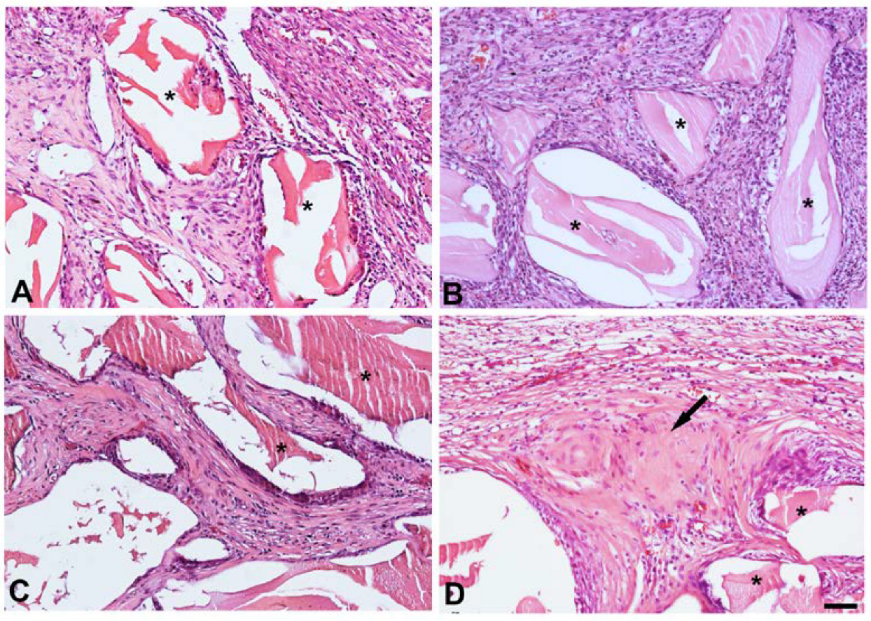
3. Results
4. Discussion
5. Conclusions
Author Contributions
Funding
Institutional Review Board Statement
Informed Consent Statement
Data Availability Statement
Conflicts of Interest
References
- Rodeo, S.A.; Boden, S.D.; Murray, M.M.; Einhorn, T.A. 2011 AOA symposium: Tissue engineering and tissue regeneration: AOA critical issues. J. Bone Jt. Surg. Ser. A 2013, 95, e109. [Google Scholar] [CrossRef]
- Hasandoost, L.; Rodriguez, O.; Alhalawani, A.; Zalzal, P.; Schemitsch, E.H.; Waldman, S.D.; Papini, M.; Towler, M.R. The Role of Poly(Methyl Methacrylate) in Management of Bone Loss and Infection in Revision Total Knee Arthroplasty: A Review. J. Funct. Biomater. 2020, 11, 25. [Google Scholar] [CrossRef]
- Dias, M.A.; Romito, G.; Villar, C.C.; Sapata, V.M.; Teixeira, M.L.; Aloise, A.C.; Mannina, C.; De Macedo, L.G.S.; Moy, P.K.; Pelegrine, A.A. Prevalence of horizontal alveolar changes in edentulous patients: A retrospective tomographic study. Braz. Oral Res. 2020, 34, e016. [Google Scholar] [CrossRef] [PubMed]
- Chiapasco, M.; Casentini, P. Horizontal bone-augmentation procedures in implant dentistry: Prosthetically guided regeneration. Periodontology 2000 2018, 77, 213–240. [Google Scholar] [CrossRef] [PubMed]
- Sato, F.R.L.; Sawazaki, R.; Berretta, D.; Moreira, R.W.F.; Vargas, P.A.; de Almeida, O.P. Aspergillosis of the Maxillary Sinus Associated With a Zygomatic Implant. J. Am. Dent. Assoc. 2010, 141, 1231–1235. [Google Scholar] [CrossRef]
- Misch, D.; Perez, H.M. Atraumatic extractions: A biomechanical rationale. Dent. Today 2008, 27, 100–101. [Google Scholar]
- Arrington, E.D.; Smith, W.J.; Chambers, H.G.; Bucknell, A.L.; Davino, N.A. Complications of Iliac Crest Bone Graft Harvesting. Clin. Orthop. Relat. Res. 1996, 329, 300–309. [Google Scholar] [CrossRef]
- Sakkas, A.; Wilde, F.; Heufelder, M.; Winter, K.; Schramm, A. Autogenous bone grafts in oral implantology—Is it still a “gold standard”? A consecutive review of 279 patients with 456 clinical procedures. Int. J. Implant. Dent. 2017, 3, 23. [Google Scholar] [CrossRef] [PubMed]
- Lee, Y.C.; Chan, Y.H.; Hsieh, S.C.; Lew, W.Z.; Feng, S.W. Comparing the Osteogenic Potentials and Bone Regeneration Capacities of Bone Marrow and Dental Pulp Mesenchymal Stem Cells in a Rabbit Calvarial Bone Defect Model. Int. J. Mol. Sci. 2019, 20, 5015. [Google Scholar] [CrossRef] [PubMed]
- Boeckel, D.G.; Shinkai, R.S.; Grossi, M.L.; Teixeira, E.R. Cell culture-based tissue engineering as an alternative to bone grafts in implant dentistry: A literature review. J. Oral Implantol. 2012, 38, 538–545. [Google Scholar] [CrossRef]
- Dawson, J.I.; Kanczler, J.; Tare, R.; Kassem, M.; Oreffo, R.O. Concise review: Bridging the gap: Bone regeneration using skeletal stem cell-based strategies—Where are we now? Stem Cells 2014, 32, 35–44. [Google Scholar] [CrossRef]
- Yarak, S.; Okamoto, O.K. Human adipose-derived stem cells: Current challenges and clinical perspectives. An. Bras. Dermatol. 2010, 85, 647–656. [Google Scholar] [CrossRef]
- Vendramini, V.O.; Pouraghaei, S.; Barbosa, R.M.; Aloise, A.C.; Muniz, J.R.F.; Sperandio, M.; Moy, P.K.; Pelegrine, A.A.; Moshaverinia, A. Influence of Dental Pulp Harvesting Method on the Viability and Differentiation Capacity of Adult Dental Pulp-Derived Mesenchymal Stem Cells. Stem Cells Int. 2021, 2021, 9952401. [Google Scholar] [CrossRef]
- Groeneveldt, L.C.; Herpelinck, T.; Maréchal, M.; Politis, C.; van IJcken, W.F.; Huylebroeck, D.; Luyten, F.P. The Bone-Forming Properties of Periosteum-Derived Cells Differ Between Harvest Sites. Front. Cell Dev. Biol. 2020, 8, 554984. [Google Scholar] [CrossRef] [PubMed]
- Lucarelli, E.; Donati, D.; Cenacchi, A.; Fornasari, P.M. Bone reconstruction of large defects using bone marrow derived autologous stem cells. Transfus. Apher. Sci. 2004, 30, 169–174. [Google Scholar] [CrossRef]
- De Kok, I.J.; Drapeau, S.J.; Young, R.; Cooper, L.F. Evaluation of mesenchymal stem cells following implantation in alveolar sockets: A canine safety study. Int. J. Oral Maxillofac. Implants 2005, 20, 511–518. [Google Scholar] [PubMed]
- Smiler, D.; Soltan, M.; Albitar, M. Toward the identification of mesenchymal stem cells in bone marrow and peripheral blood for bone regeneration. Implant Dent. 2008, 17, 236–247. [Google Scholar] [CrossRef] [PubMed]
- Katagiri, W.; Watanabe, J.; Toyama, N.; Osugi, M.; Sakaguchi, K.; Hibi, H. Clinical study of bone regeneration by conditioned medium from mesenchymal stem cells after maxillary sinus floor elevation. Implant Dent. 2017, 26, 607–612. [Google Scholar] [CrossRef] [PubMed]
- Camussi, G.; Deregibus, M.C.; Bruno, S.; Cantaluppi, V.; Biancone, L. Exosomes/microvesicles as a mechanism of cell-to-cell communication. Kidney Int. 2010, 78, 838–848. [Google Scholar] [CrossRef]
- Miller, I.V.; Grunewald, T.G. Tumour-derived exosomes: Tiny envelopes for big stories. Biol. Cell 2015, 107, 287–305. [Google Scholar] [CrossRef]
- Hannafon, B.N.; Ding, W.Q. Intercellular communication by exosome-derived microRNAs in cancer. Int. J. Mol. Sci. 2013, 14, 14240–14269. [Google Scholar] [CrossRef] [PubMed]
- Han, Y.; Yang, J.; Fang, J.; Zhou, Y.; Candi, E.; Wang, J.; Hua, D.; Shao, C.; Shi, Y. The secretion profile of mesenchymal stem cells and potential applications in treating human diseases. Signal Transduct. Target. Ther. 2022, 7, 92. [Google Scholar] [CrossRef] [PubMed]
- Holliday, L.S.; Patel, S.S.; Rody, W.J., Jr. RANKL and RANK in extracellular vesicles: Surprising new players in bone remodeling. Extracell. Vesicles Circ. Nucl. Acids 2021, 2, 18–28. [Google Scholar] [CrossRef] [PubMed]
- Osugi, M.; Katagiri, W.; Yoshimi, R.; Inukai, T.; Hibi, H.; Ueda, M. Conditioned media from mesenchymal stem cells enhanced bone regeneration in rat calvarial bone defects. Tissue Eng. Part A 2012, 18, 1479–1489. [Google Scholar] [CrossRef] [PubMed]
- Rehman, J.; Traktuev, D.; Li, J.; Merfeld-Clauss, S.; Temm-Grove, C.J.; Bovenkerk, J.E.; March, K.L. Secretion of angiogenic and antiapoptotic factors by human adipose stromal cells. Circulation 2004, 109, 1292–1298. [Google Scholar] [CrossRef]
- Gnecchi, M.; Zhang, Z.; Ni, A.; Dzau, V.J. Paracrine mechanisms in adult stem cell signaling and therapy. Circ. Res. 2008, 103, 1204–1219. [Google Scholar] [CrossRef]
- Lekhooa, M.R.; Walubo, A.; du Plessis, J.B.; Matsabisa, M.G. The development and use of a drug-induced immunosuppressed rat-model to screen Phela for mechanism of immune stimulation. J. Ethnopharmacol. 2017, 206, 8–18. [Google Scholar] [CrossRef]
- Schneider, C.A.; Rasband, W.S.; Eliceiri, K.W. NIH Image to ImageJ: 25 Years of Image Analysis. Nat. Methods 2012, 9, 671–675. [Google Scholar] [CrossRef]
- Abràmoff, M.D.; Magalhães, P.J.; Ram, S.J. Image Processing with ImageJ Part II. Biophoton. Int. 2005, 11, 36–43. [Google Scholar]
- Takeuchi, R.; Katagiri, W.; Endo, S.; Kobayashi, T. Exosomes from conditioned media of bone marrow-derived mesenchymal stem cells promote bone regeneration by enhancing angiogenesis. PLoS ONE 2019, 14, e0225472. [Google Scholar] [CrossRef]
- Liu, Y.; Han, Z.-P.; Zhang, S.-S.; Jing, Y.-Y.; Bu, X.-X.; Wang, C.-Y.; Sun, K.; Jiang, G.-C.; Zhao, X.; Li, R.; et al. Effects of Inflammatory Factors on Mesenchymal Stem Cells and Their Role in the Promotion of Tumor Angiogenesis in Colon Cancer. J. Biol. Chem. 2011, 286, 25007–25015. [Google Scholar] [CrossRef]
- De Mello e Oliveira, R.; Pelegrine, A.A.; Aloise, A.C.; Ferreira, L.M. Xenograft impregnated with bone marrow mononuclear fraction for appositional bone regeneration in rabbit calvaria: A clinical and histomorphometric study. Int. J. Oral Maxillofac. Implants 2014, 4, 962–968. [Google Scholar] [CrossRef] [PubMed][Green Version]
- De Oliveira E Silva, M.; Pelegrine, A.A.; Alves Pinheiro da Silva, A.; Manhães Júnior, L.R.; De Mello E Oliveira, R.; Gaiba França, S.; Ferreira, L.M. Xenograft enriched with autologous bone marrow in inlay reconstructions: A tomographic and histomorphometric study in rabbit calvaria. Int. J. Biomater. 2012, 2012, 170520. [Google Scholar] [CrossRef] [PubMed]
- Dos Santos, L.R.K.; Pelegrine, A.A.; Bueno, C.E.D.S.; Ferreira, J.R.M.; Aloise, A.C.; Stringheta, C.P.; Martinez, E.F.; Pelegrine, R.A. Pulp–Dentin Complex Regeneration with Cell Transplantation Technique Using Stem Cells Derived from Human Deciduous Teeth: Histological and Immunohistochemical Study in Immunosuppressed Rats. Bioengineering 2023, 10, 610. [Google Scholar] [CrossRef] [PubMed]
- Luzuriaga, J.; García-Gallastegui, P.; García-Urkia, N.; Pineda, J.; Irastorza, I.; Fernandez-San-Argimiro, F.-J.; Briz, N.; Olalde, B.; Unda, F.; Madarieta, I.; et al. Osteogenic differentiation of human dental pulp stem cells in decellularised adipose tissue solid foams. Eur. Cells Mater. 2022, 43, 112–129. [Google Scholar] [CrossRef]
- Zakrzewski, W.; Dobrzyński, M.; Szymonowicz, M.; Rybak, Z. Stem cells: Past, present, and future. Stem Cell Res. Ther. 2019, 10, 68. [Google Scholar] [CrossRef]
- Nawaz, M.; Fatima, F.; Vallabhaneni, K.C.; Penfornis, P.; Valadi, H.; Ekström, K.; Camussi, G. Extracellular Vesicles: Evolving Factors in Stem Cell Biology. Stem Cells Int. 2016, 2016, 1073140. [Google Scholar] [CrossRef]
- Wu, Q.; Lyu, L.; Xin, H.; Luo, L.; Tong, Y.; Mo, Y.; Yue, Y. Effects of culture supernatant of human amnion mesenchymal stem cells on biological characteristics of human fibroblasts. Zhonghua Shao Shang Za Zhi 2016, 32, 370–375. [Google Scholar]
- Peng, Y.; Baulier, E.; Ke, Y.; Young, A.; Ahmedli, N.B.; Schwartz, S.D.; Farber, D.B. Human embryonic stem cells extracellular vesicles and their effects on immortalized human retinal Müller cells. PLoS ONE 2018, 13, e0194004. [Google Scholar] [CrossRef]
- Bogatcheva, N.V.; Coleman, M.E. Conditioned Medium of Mesenchymal Stromal Cells: A New Class of Therapeutics. Biochemistry 2019, 84, 1375–1389. [Google Scholar] [CrossRef]
- Han, P.; Bartold, P.M.; Ivanovski, S. The emerging role of small extracellular vesicles in saliva and gingival crevicular fluid as diagnostics for periodontitis. J. Periodontal. Res. 2022, 57, 219–231. [Google Scholar] [CrossRef] [PubMed]
- Lo Sicco, C.; Reverberi, D.; Balbi, C.; Ulivi, V.; Principi, E.; Pascucci, L.; Becherini, P.; Bosco, M.C.; Varesio, L.; Franzin, C.; et al. Mesenchymal Stem Cell-Derived Extracellular Vesicles as Mediators of Anti-Inflammatory Effects: Endorsement of Macrophage Polarization. Stem Cells Transl. Med. 2017, 6, 1018–1028. [Google Scholar] [CrossRef]
- Song, J.M.; Shin, S.H.; Kim, Y.D.; Lee, J.Y.; Baek, Y.J.; Yoon, S.Y.; Kim, H.S. Comparative study of chitosan/fibroin-hydroxyapatite and collagen membranes for guided bone regeneration in rat calvarial defects: Micro-computed tomography analysis. Int. J. Oral Sci. 2014, 6, 87–93. [Google Scholar] [CrossRef] [PubMed]
- Kim, R.W.; Kim, J.H.; Moon, S.Y. Effect of hydroxyapatite on critical-sized defect. Maxillofac. Plast. Reconstr. Surg. 2016, 38, 26. [Google Scholar] [CrossRef] [PubMed]
- Pelegrine, A.A.; Aloise, A.C.; Zimmermann, A.; de Mello e Oliveira, R.; Ferreira, L.M. Repair of critical-size bone defects using bone marrow stromal cells: A histomorphometric study in rabbit calvaria. Part I: Use of fresh bone marrow or bone marrow mononuclear fraction. Clin. Oral Implants Res. 2014, 25, 567–572. [Google Scholar] [CrossRef]
- Zimmermann, A.; Pelegrine, A.A.; Peruzzo, D.; Martinez, E.F.; de Mello e Oliveira, R.; Aloise, A.C.; Ferreira, L.M. Adipose mesenchymal stem cells associated with xenograft in a guided bone regeneration model: A histomorphometric study in rabbit calvaria. Int. J. Oral Maxillofac. Implants 2015, 30, 1415–1422. [Google Scholar] [CrossRef]
- Pelegrine, A.A.; Teixeira, M.L.; Sperandio, M.; Almada, T.S.; Kahnberg, K.E.; Pasquali, P.J.; Aloise, A.C. Can bone marrow aspirate concentrate change the mineralization pattern of the anterior maxilla treated with xenografts? A preliminary study. Contemp. Clin. Dent. 2016, 7, 21–26. [Google Scholar] [CrossRef]
- Zampara, E.; Alshammari, M.; De Bortoli, J.; Mullings, O.; Gkisakis, I.G.; Benalcázar Jalkh, E.B.; Witek, L. A Histologic and Histomorphometric Evaluation of an Allograft, Xenograft, and Alloplast Graft for Alveolar Ridge Preservation in Humans: A Randomized Controlled Clinical Trial. J. Oral Implantol. 2022, 48, 541–549. [Google Scholar] [CrossRef]
- Peng, Y.; Xuan, M.; Zou, J.; Liu, H.; Zhuo, Z.; Wan, Y.; Cheng, B. Freeze-dried rat bone marrow mesenchymal stem cell paracrine factors: A simplified novel material for skin wound therapy. Tissue Eng. Part A 2015, 21, 1036–1046. [Google Scholar] [CrossRef]
- Wei, X.; Yang, X.; Han, Z.-P.; Qu, F.-F.; Shao, L.; Shi, Y.-F. Mesenchymal stem cells: A new trend for cell therapy. Acta Pharmacol. Sin. 2013, 34, 747–754. [Google Scholar] [CrossRef]
- Pelegrine, A.A.; Moy, P.K.; Moshaverinia, A.; do Amaral Escada, A.L.; Calvo-Guirado, J.L.; Rosifini Alves Claro, A.P. Development of a Novel Nanotextured Titanium Implant. An Experimental Study in Rats. J. Clin. Med. 2019, 8, 954. [Google Scholar] [CrossRef] [PubMed]
- Kozelskaya, A.I.; Rutkowski, S.; Frueh, J.; Gogolev, A.S.; Chistyakov, S.G.; Gnedenkov, S.V.; Sinebryukhov, S.L.; Frueh, A.; Egorkin, V.S.; Choynzonov, E.L.; et al. Surface Modification of Additively Fabricated Titanium-Based Implants by Means of Bioactive Micro-Arc Oxidation Coatings for Bone Replacement. J. Funct. Biomater. 2022, 13, 285. [Google Scholar] [CrossRef] [PubMed]




| Group | Days | |||
|---|---|---|---|---|
| 14 | 42 | |||
| Median (Interquartile Interval) | Minimum–Maximum | Median (Interquartile Interval) | Minimum–Maximum | |
| G1 | 0 (0) | 0/0 | 0 (0) | 0/0 |
| G2 | 0 (0) | 0/0 | 8.44 (1.47) | 6.97/17.21 |
| Group | Days | p-Value | |||
|---|---|---|---|---|---|
| 14 | 42 | ||||
| Median (Interquartile Interval) | Minimum–Maximum | Median (Interquartile Interval) | Minimum–Maximum | ||
| G1 | 1 (0.2) Ab | 1–2 | 1 (0) Ab | 1–1 | 0.5637 |
| G2 | 3 (0) Aa | 3–3 | 2 (0) Ba | 2–2 | 0.0209 |
| p-valor | 0.0209 | 0.0209 | |||
| Group | Days | p-Value | |||
|---|---|---|---|---|---|
| 14 | 42 | ||||
| Median (Interquartile Interval) | Minimum–Maximum | Median (Interquartile Interval) | Minimum–Maximum | ||
| G1 | 25 (8) Bb | 23–34 | 37 (7) Aa | 30–48 | 0.0472 |
| G2 | 43 (9) Aa | 32–48 | 38 (6) Aa | 33–64 | 0.7540 |
| p-value | 0.0216 | 0.5309 | |||
Disclaimer/Publisher’s Note: The statements, opinions and data contained in all publications are solely those of the individual author(s) and contributor(s) and not of MDPI and/or the editor(s). MDPI and/or the editor(s) disclaim responsibility for any injury to people or property resulting from any ideas, methods, instructions or products referred to in the content. |
© 2023 by the authors. Licensee MDPI, Basel, Switzerland. This article is an open access article distributed under the terms and conditions of the Creative Commons Attribution (CC BY) license (https://creativecommons.org/licenses/by/4.0/).
Share and Cite
Buss, L.F.; de Martin, G.S.; Martinez, E.F.; Filgueiras, I.A.d.A.A.P.; Magnabosco, J.L.; Alves, B.F.; de Macedo Almeida, B.; Kotaka, T.; Teixeira, M.L.; Ferreira, J.R.M.; et al. Conditioned Media from Human Pulp Stem Cell Cultures Improve Bone Regeneration in Rat Calvarial Critical-Size Defects. J. Funct. Biomater. 2023, 14, 396. https://doi.org/10.3390/jfb14080396
Buss LF, de Martin GS, Martinez EF, Filgueiras IAdAAP, Magnabosco JL, Alves BF, de Macedo Almeida B, Kotaka T, Teixeira ML, Ferreira JRM, et al. Conditioned Media from Human Pulp Stem Cell Cultures Improve Bone Regeneration in Rat Calvarial Critical-Size Defects. Journal of Functional Biomaterials. 2023; 14(8):396. https://doi.org/10.3390/jfb14080396
Chicago/Turabian StyleBuss, Leonardo Fernandes, Gustavo Sigrist de Martin, Elizabeth Ferreira Martinez, Isabela Amanda de Abreu Araújo Porcaro Filgueiras, José Luiz Magnabosco, Bruno Frenhan Alves, Bruno de Macedo Almeida, Tatiana Kotaka, Marcelo Lucchesi Teixeira, José Ricardo Muniz Ferreira, and et al. 2023. "Conditioned Media from Human Pulp Stem Cell Cultures Improve Bone Regeneration in Rat Calvarial Critical-Size Defects" Journal of Functional Biomaterials 14, no. 8: 396. https://doi.org/10.3390/jfb14080396
APA StyleBuss, L. F., de Martin, G. S., Martinez, E. F., Filgueiras, I. A. d. A. A. P., Magnabosco, J. L., Alves, B. F., de Macedo Almeida, B., Kotaka, T., Teixeira, M. L., Ferreira, J. R. M., Rocha, D. N. d., Canal, R., Aloise, A. C., Holliday, L. S., & Pelegrine, A. A. (2023). Conditioned Media from Human Pulp Stem Cell Cultures Improve Bone Regeneration in Rat Calvarial Critical-Size Defects. Journal of Functional Biomaterials, 14(8), 396. https://doi.org/10.3390/jfb14080396

