Effects of ω-3 PUFA-Rich Oil Supplementation on Cardiovascular Morphology and Aortic Vascular Reactivity of Adult Male Rats Submitted to an Hypercholesterolemic Diet
Abstract
Simple Summary
Abstract
1. Introduction
2. Materials and Methods
2.1. Analysis of the Composition of Omega-3 Polyunsaturated Fatty Acids
2.2. Animals
2.3. Experimental Diet
2.4. Experimental Model
2.5. Evaluation of the Effects of ω-3 Fatty Acids on Serum Biochemical Parameters
2.6. Evaluation of the Effects of ω-3 Fatty Acids on Histopathological Changes in Heart and Aortic Arch Segments
2.7. Ex Vivo Assessment of Vascular Effects of ω-3 Fatty Acids after Supplementation
2.8. Assessment of the Effect of ω-3 Fatty Acids on Oxidative Stress and Antioxidant Defenses in Aortic Artery (MPO, NO2−, SOD and CAT)
2.9. Statistical Analysis
3. Results
3.1. Identification of Fatty Acid Methyl Derivatives by Gas Chromatography Coupled with a Mass Spectrometer (GC–MS)
3.2. Effect of ω-3 PUFA-Rich Oil on Serum Biochemical Parameters
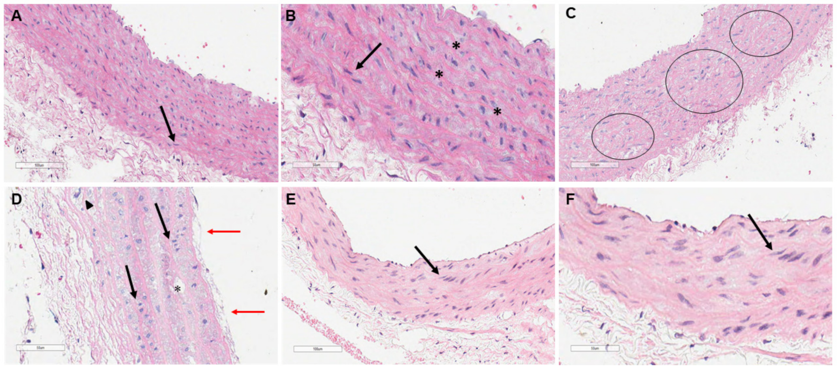
3.3. Effect of ω-3 Fatty Acids on Histological Changes in Heart and Aortic Arch Segments
3.4. Effects of ω-3 PUFA-Rich Oil on Ex Vivo Vascular Reactivity of Rat Thoracic Aorta
3.5. Effects of ω-3 PUFA-Rich Oil on Oxidative Stress and Antioxidant Defenses in Rat Aortic Tissue
4. Discussion
5. Conclusions
Supplementary Materials
Author Contributions
Funding
Institutional Review Board Statement
Conflicts of Interest
References
- World Health Organization (WHO). Cardiovacular Diseases (CVDs). Fact Sheet nº 31. 2017. Available online: https://www.who.int/news-room/fact-sheets/detail/cardiovascular-diseases-(cvds)/ (accessed on 14 July 2017).
- Manach, C.; Mazur, A.; Scalbert, A. Polyphenols and prevention of cardiovascular diseases. Curr. Opin. Lipidol. 2006, 16, 77–84. [Google Scholar] [CrossRef] [PubMed]
- De Pinho, R.A.; de Araújo, M.C.; Ghisi, G.L.D.M.; Benetti, M. Doença arterial coronariana, exercício físico e estresse oxidativo. Arq. Bras. Cardiol. 2010, 94, 549–555. [Google Scholar] [CrossRef] [PubMed][Green Version]
- Libby, P. Inflammation in atherosclerosis. Nature 2002, 420, 868–874. [Google Scholar] [CrossRef]
- Lusis, A.J. Atherosclerosis. Nature 2000, 407, 233–241. [Google Scholar] [CrossRef] [PubMed]
- Carotid Artery Stenosis. In StatPearls Publishing. 2020. Available online: https://www.ncbi.nlm.nih.gov/books/NBK442025/ (accessed on 29 August 2020).
- Kobiyama, K.; Ley, K. Atherosclerosis. Circ. Res. 2018, 123, 1118–1120. [Google Scholar] [CrossRef]
- Napoli, C.; Paternò, R.; Faraci, F.M.; Taguchi, H.; Postiglione, A.; Heistad, D.D. Mildly oxidized low-density lipoprotein impairs responses of carotid but not basilar artery in rabbits. Stroke 1997, 28, 2266–2272. [Google Scholar] [CrossRef]
- Santos, R.D.; Gagliardi, A.C.M.; Xavier, H.T.; Magnoni, C.D.; Cassani, R.; Lottenberg, A.M.P.; Filho, A.C.; Araújo, D.; Cesena, F.; Alves, R.; et al. I Diretriz sobre o consumo de gorduras e saúde cardiovascular. Arq. Bras. Cardiol. 2013, 100 (Suppl. S3), 1–40. [Google Scholar] [CrossRef]
- Torres, N.; Guevara-Cruz, M.; Velázquez-Villegas, L.A.; Tovar, A.R. Nutrition and Atherosclerosis. Arch. Med. Res. 2015, 46, 408–426. [Google Scholar] [CrossRef]
- Bang, H.O.; Dyerberg, J.; Hjøorne, N. The composition of food consumed by Greenland Eskimos. Acta Med. Scand. 1976, 200, 69–73. [Google Scholar] [CrossRef]
- Dyerberg, J.; Bang, H.O.; Stoffersen, E.; Moncada, S.; Vane, J.R. Eicosapentaenoic acid and prevention of thrombosis and atherosclerosis? Lancet 1978, 2, 117–119. [Google Scholar] [CrossRef]
- Mori, T.A. Omega-3 fatty acids and cardiovascular disease: Epidemiology and effects on cardiometabolic risk factors. Food Funct. 2014, 5, 2004–2019. [Google Scholar] [CrossRef] [PubMed]
- Feuchtner, G.; Langer, C.; Barbieri, F.; Beyer, C.; Dichtl, W.; Friedrich, G.; Schgoer, W.; Widmann, G.; Plank, F. The effect of omega-3 fatty acids on coronary atherosclerosis quantified by coronary computed tomography angiography. Clin. Nutr. 2021, 40, 1123–1129. [Google Scholar] [CrossRef] [PubMed]
- Abriz, A.E.; Rahbarghazi, R.; Nourazarian, A.; Avci, Ç.B.; Mahboob, S.A.; Rahnema, M.; Araghi, A.; Heidarzadeh, M. Effect of docosahexaenoic acid plus insulin on atherosclerotic human endothelial cells. J. Inflamm. 2021, 18, 10. [Google Scholar] [CrossRef] [PubMed]
- Chowdhury, R.; Stevens, S.; Gorman, D.; Pan, A.; Warnakula, S.; Chowdhury, S.; Ward, H.; Johnson, L.; Crowe, F.; Hu, F.B.; et al. Association between fish consumption, long chain omega 3 fatty acids, and risk of cerebrovascular disease: Systematic review and meta-analysis. BMJ 2012, 345, e6698. [Google Scholar] [CrossRef]
- Hartman, L.; Lago, R.C. Rapid preparation of fatty acid methyl esters from lipids. Lab. Pract. 1973, 22, 475–494. [Google Scholar]
- Azuma, K.; Nagae, T.; Nagai, T.; Izawa, H.; Morimoto, M.; Murahata, Y.; Osaki, T.; Tsuka, T.; Imagawa, T.; Ito, N.; et al. Effects of Surface-Deacetylated Chitin Nanofibers in an Experimental Model of Hypercholesterolemia. Int. J. Mol. Sci. 2015, 16, 17445–17455. [Google Scholar] [CrossRef]
- Baracho, N.C.D.V.; Nunes, L.A.S.; De Paula e Silva, K.T.; Marques, T.F.; Dos Santos, A.L.R.; Marcelino, A.R. Desenvolvimento de um Modelo Experimental de Dislipidemia de Baixo Custo. Rev. Cienc. Saude 2014, 4, 21–32. [Google Scholar] [CrossRef][Green Version]
- Guerra, R.L.; Prado, W.L.; Cheik, N.C.; Viana, F.P.; Botero, J.P.; Vendramini, R.C.; Carlos, I.Z.; Rossi, E.A.; Dâmaso, A.R. Effects of 2 or 5 consecutive exercise days on adipocyte area and lipid parameters in Wistar rats. Lipids Health Dis. 2007, 6, 16. [Google Scholar] [CrossRef]
- Nisar, J.; Mustafa, I.; Anwar, H.; Sohail, M.U.; Hussain, G.; Ullah, M.I.; Faisal, M.N.; Bukhari, S.A.; Basit, A. Shiitake Culinary-Medicinal Mushroom, Lentinus edodes (Agaricomycetes): A Species with Antioxidant, Immunomodulatory, and Hepatoprotective Activities in Hypercholesterolemic Rats. Int. J. Med. Mushrooms 2017, 19, 981–990. [Google Scholar] [CrossRef]
- Saravanan, S.; Srikumar, R.; Manikandan, S.; Jeya Parthasarathy, N.; Sheela Devi, R. Hypolipidemic Effect of Triphala in Experimentally Induced Hypercholesteremic Rats. Yakugaku Zasshi 2007, 127, 385–388. [Google Scholar] [CrossRef]
- Friedewald, W.T.; Levy, R.I.; Fredrickson, D.S. Estimation of the concentration of low-density lipoprotein cholesterol in plasma, without use of the preparative ultracentrifuge. Clin. Chem. 1972, 18, 499–502. [Google Scholar] [CrossRef] [PubMed]
- Arcanjo, D.D.R.; Vasconcelos, A.G.; Comerma-Steffensen, S.G.; Jesus, J.R.; Silva, L.P.; Pires, O.R.; Costa-Neto, C.M.; Oliveira, E.B.; Migliolo, L.; Franco, O.L.; et al. A Novel Vasoactive Proline-Rich Oligopeptide from the Skin Secretion of the Frog Brachycephalus ephippium. PLoS ONE 2015, 10, e0145071. [Google Scholar] [CrossRef]
- Bradley, P.P.; Priebat, D.A.; Christensen, R.D.; Rothstein, G. Measurement of cutaneous inflammation: Estimation of neutrophil content with an enzyme marker. J. Investig. Dermatol. 1982, 78, 206–209. [Google Scholar] [CrossRef]
- Green, L.C.; Wagner, D.A.; Glogowski, J.; Skipper, P.L.; Wishnok, J.S.; Tannenbaum, S.R. Analysis of nitrate, nitrite, and [15N]nitrate in biological fluids. Anal. Biochem. 1982, 126, 131–138. [Google Scholar] [CrossRef]
- Jascolka, T.L. Efeitos do Quefir no Perfil Lipídico, Estresse Oxidativo e Aterosclerose de Camundongos Deficientes em Apolipoproteína, E. Master’s Thesis, Pós-Graduação em Ciência de Alimentos, Universidade Federal de Minas Gerais, Belo Horizonte, Brazil, 2010. [Google Scholar]
- Beutler, E. Metabolismo das Células Vermelhas: Um Manual de Métodos Bioquímicos; Grune & Stratton: New York, NY, USA, 1975. [Google Scholar]
- Luzia, L.A.; Aldrighi, J.M.; Damasceno NR, T.; Sampaio, G.R.; Soares RA, M.; Silva, I.T.; de Queiroz Mello, A.P.; Carioca, A.A.F.; da Silva Torres, E.A.F. Fish Oil and Vitamin E Change Lipid Profiles and Anti-Ldl-Antibodies in Two Different Ethnic Groups of Women Transitioning through Menopause. Nutr. Hosp. 2015, 32, 165–174. [Google Scholar] [CrossRef]
- Chang, C.L.; Torrejon, C.; Jung, U.J.; Graf, K.; Deckelbaum, R.J. Incremental replacement of saturated fats by n-3 fatty acids in high-fat, high-cholesterol diets reduces elevated plasma lipid levels and arterial lipoprotein lipase, macrophages and atherosclerosis in LDLR-/-mice. Atherosclerosis 2014, 234, 401–409. [Google Scholar] [CrossRef]
- Malinska, H.; Hüttl, M.; Oliyarnyk, O.; Bratova, M.; Kazdova, L. Conjugated linoleic acid reduces visceral and ectopic lipid accumulation and insulin resistance in chronic severe hypertriacylglycerolemia. Nutrition 2015, 31, 1045–1051. [Google Scholar] [CrossRef]
- Ramaiyan, B.; Bettadahalli, S.; Talahalli, R.R. Dietary omega-3 but not omega-6 fatty acids down-regulate maternal dyslipidemia induced oxidative stress: A three generation study in rats. Biochem. Biophys. Res. Commun. 2016, 477, 887–894. [Google Scholar] [CrossRef]
- Khandelwal, S.; Shidhaye, R.; Demonty, I.; Lakshmy, R.; Gupta, R.; Prabhakaran, D.; Reddy, S. Impact of omega-3 fatty acids and/or plant sterol supplementation on non-HDL cholesterol levels of dyslipidemic Indian adults. J. Funct. Foods 2013, 5, 36–43. [Google Scholar] [CrossRef]
- Tagawa, T.; Hirooka, Y.; Shimokawa, H.; Hironaga, K.; Sakai, K.; Oyama, J.-I.; Takeshita, A. Long-Term Treatment with Eicosapentaenoic Acid Improves Exercise-Induced Vasodilation in Patients with Coronary Artery Disease. Hypertens. Res. 2002, 25, 823–829. [Google Scholar] [CrossRef][Green Version]
- Eslick, G.D.; Howe, P.R.; Smith, C.; Priest, R.; Bensoussan, A. Benefits of fish oil supplementation in hyperlipidemia: A systematic review and meta-analysis. Int. J. Cardiol. 2009, 136, 4–16. [Google Scholar] [CrossRef] [PubMed]
- Maki, K.C.; Van Elswyk, M.E.; McCarthy, D.; Hess, S.P.; Veith, P.E.; Bell, M.; Subbaiah, P.; Davidson, M.H. Lipid responses to a dietary docosahexaenoic acid supplement in men and women with below average levels of high density lipoprotein cholesterol. J. Am. Coll. Nutr. 2005, 24, 189–199. [Google Scholar] [CrossRef] [PubMed]
- Kaplan, M.; Aviram, M.; Hayek, T. Oxidative stress and macrophage foam cell formation during diabetes mellitus-induced atherogenesis: Role of insulin therapy. Pharmacol. Ther. 2012, 136, 175–185. [Google Scholar] [CrossRef]
- Li, T.; Yang, G.M.; Zhu, Y.; Wu, Y.; Chen, X.Y.; Lan, D.; Tian, K.L.; Liu, L.M. Diabetes and hyperlipidemia induce dysfunction of VSMCs: Contribution of the metabolic inflammation/miRNA pathway. Am. J. Physiol. Endocrinol. Metab. 2015, 308, 257–269. [Google Scholar] [CrossRef] [PubMed]
- Ahmed, U.; Redgrave, T.G.; Oates, P.S. Effect of dietary fat to produce non-alcoholic fatty liver in the rat. J. Gastroenterol. Hepatol. 2009, 24, 1463–1471. [Google Scholar] [CrossRef]
- Francque, S.M. The Role of Non-alcoholic Fatty Liver Disease in Cardiovascular Disease. Eur. Cardiol. 2014, 9, 10. [Google Scholar] [CrossRef]
- Efe, D.; Aygün, F. Assessment of the Relationship between Non-Alcoholic Fatty Liver Disease and CAD using MSCT. Arq. Bras. Cardiol. 2013, 102, 10–18. [Google Scholar] [CrossRef]
- Godea Lupei, S.; Ciubotariu, D.; Danciu, M.; Lupușoru, R.V.; Ghiciuc, C.M.; Cernescu, I.; Gheţu, N.; Lupei, M.; Lupușoru, C.E. Improvement in serum lipids and liver morphology after supplementation of the diet with fish oil is more evident under regular feeding conditions than under high-fat or mixed diets in rats. Lipids Health Dis. 2020, 19, 162. [Google Scholar] [CrossRef]
- Okada, L.S.D.R.R.; Oliveira, C.P.; Stefano, J.T.; Nogueira, M.A.; da Silva, I.D.C.G.; Cordeiro, F.; Alves, V.A.F.; Torrinhas, R.S.; Carrilho, F.J.; Puri, P.; et al. Omega-3 PUFA modulate lipogenesis, ER stress, and mitochondrial dysfunction markers in NASH-Proteomic and lipidomic insight. Clin. Nutr. 2018, 37, 1474–1484. [Google Scholar] [CrossRef]
- Rafieian-Kopaei, M.; Setorki, M.; Doudi, M.; Baradaran, A.; Nasri, H. Atherosclerosis: Process, indicators, risk factors and new hopes. Int. J. Prev. Med. 2014, 5, 927–946. [Google Scholar]
- Baumer, Y.; Mccurdy, S.; Weatherby, T.M.; Mehta, N.N.; Halbherr, S.; Halbherr, P.; Yamazaki, N.; Boisvert, W.A. Hyperlipidemia-induced cholesterol crystal production by endothelial cells promotes atherogenesis. Nat. Commun. 2017, 8, 1129. [Google Scholar] [CrossRef] [PubMed]
- Mani, A.M.; Chattopadhyay, R.; Singh, N.K.; Rao, G.N. Cholesterol crystals increase vascular permeability by inactivating SHP2 and disrupting adherens junctions. Free Radic. Biol. Med. 2018, 123, 72–84. [Google Scholar] [CrossRef]
- Ansari, M.A.; Iqubal, A.; Ekbbal, R.; Haque, S.E. Effects of nimodipine, vinpocetine and their combination on isoproterenol-induced myocardial infarction in rats. Biomed. Pharmacother. 2019, 109, 1372–1380. [Google Scholar] [CrossRef] [PubMed]
- Virmani, R.; Kolodgie, F.D.; Burke, A.P.; Farb, A.; Schwartz, S.M. Lessons from Sudden Coronary Death. Arterioscler. Thromb. Vasc. Biol. 2000, 20, 1262–1275. [Google Scholar] [CrossRef]
- Takashima, A.; Fukuda, D.; Tanaka, K.; Higashikuni, Y.; Hirata, Y.; Nishimoto, S.; Yagi, S.; Yamada, H.; Soeki, T.; Wakatsuki, T.; et al. Combination of n-3 polyunsaturated fatty acids reduces atherogenesis in apolipoprotein E-deficient mice by inhibiting macrophage activation. Atherosclerosis 2016, 254, 142–150. [Google Scholar] [CrossRef] [PubMed]
- Da Motta, N.A.V.; Kümmerle, A.E.; Marostica, E.; Dos Santos, C.F.; Fraga, C.A.M.; Barreiro, E.J.; De Miranda, A.L.P.; De Brito, F.C.F. Anti-atherogenic Effects of a New Thienylacylhydrazone Derivative, LASSBio-788, in Rats Fed a Hypercholesterolemic Diet. J. Pharmacol. Sci. 2013, 123, 47–57. [Google Scholar] [CrossRef] [PubMed]
- Rahman, E.; Donia, S.S.; Naguib, Y.M. Garlic improves altered vascular reactivity and plasma lipids in high cholesterol-fed rats. Menoufia Med. J. 2013, 26, 35–43. [Google Scholar] [CrossRef]
- Silva, N.L.C.; Motta, N.A.V.; Soares, M.A.; Araujo, O.M.O.; Espíndola, L.C.P.; Colombo, A.P.V.; Lopes, R.T.; Brito, F.C.F.; Miranda, A.L.P.; Tributino, J.L.M. Periodontal status, vascular reactivity, and platelet aggregation changes in rats submitted to hypercholesterolemic diet and periodontitis. J. Periodontal Res. 2020, 55, 453–463. [Google Scholar] [CrossRef]
- Minneman, K.P. Alpha 1-adrenergic receptor subtypes, inositol phosphates, and sources of cell Ca2+. Pharmacol. Rev. 1988, 40, 87–119. [Google Scholar]
- Pan, B.X.; Zhao, G.L.; Huang, X.L.; Jin, J.Q.; Zhao, K.S. Peroxynitrite induces arteriolar smooth muscle cells membrane hyperpolarization with arteriolar hyporeactivity in rats. Life Sci. 2004, 74, 1199–1210. [Google Scholar] [CrossRef]
- Dora, K.A.; Hinton, J.M.; Walker, S.D.; Garland, C.J. An indirect influence of phenylephrine on the release of endothelium-derived vasodilators in rat small mesenteric artery. Br. J. Pharmacol. 2000, 129, 381–387. [Google Scholar] [CrossRef] [PubMed]
- Goodfellow, J.; Bellamy, M.F.; Ramsey, M.W.; Jones, C.J.; Lewis, M.J. Dietary supplementation with marine omega-3 fatty acids improve systemic large artery endothelial function in subjects with hypercholesterolemia. J. Am. Coll. Cardiol. 2000, 35, 265–270. [Google Scholar] [CrossRef]
- Tousoulis, D.; Plastiras, A.; Siasos, G.; Oikonomou, E.; Verveniotis, A.; Kokkou, E.; Maniatis, K.; Gouliopoulos, N.; Miliou, A.; Paraskevopoulos, T.; et al. Omega-3 PUFAs improved endothelial function and arterial stiffness with a parallel antiinflammatory effect in adults with metabolic syndrome. Atherosclerosis 2014, 232, 10–16. [Google Scholar] [CrossRef] [PubMed]
- Zanetti, M.; Grillo, A.; Losurdo, P.; Panizon, E.; Mearelli, F.; Cattin, L.; Barazzoni, R.; Carretta, R. Omega-3 Polyunsaturated Fatty Acids: Structural and Functional Effects on the Vascular Wall. Biomed. Res. Int. 2015, 2015, 791978. [Google Scholar] [CrossRef]
- Zanetti, M.; Gortan Cappellari, G.; Barbetta, D.; Semolic, A.; Barazzoni, R. Omega 3 Polyunsaturated Fatty Acids Improve Endothelial Dysfunction in Chronic Renal Failure: Role of eNOS Activation and of Oxidative Stress. Nutrients 2017, 9, 895. [Google Scholar] [CrossRef]
- Zgheel, F.; Perrier, S.; Remila, L.; Houngue, U.; Mazzucotelli, J.P.; Morel, O.; Auger, C.; Schini-Kerth, V.B. EPA:DHA 6:1 is a superior omega-3 PUFAs formulation attenuating platelets-induced contractile responses in porcine coronary and human internal mammary artery by targeting the serotonin pathway via an increased endothelial formation of nitric oxide. Eur. J. Pharmacol. 2019, 853, 41–48. [Google Scholar] [CrossRef]
- Farooq, M.A.; Gaertner, S.; Amoura, L.; Niazi, Z.R.; Park, S.H.; Qureshi, A.W.; Oak, M.H.; Toti, F.; Schini-Kerth, V.B.; Auger, C. Intake of omega-3 formulation EPA:DHA 6:1 by old rats for 2 weeks improved endothelium-dependent relaxations and normalized the expression level of ACE/AT1R/NADPH oxidase and the formation of ROS in the mesenteric artery. Biochem. Pharmacol. 2020, 173, 113749. [Google Scholar] [CrossRef]
- Ranadive, S.M.; Eugene, A.R.; Dillon, G.; Nicholson, W.T.; Joyner, M.J. Comparison of the vasodilatory effects of sodium nitroprusside vs. nitroglycerin. J. Appl. Physiol. 2017, 123, 402–406. [Google Scholar] [CrossRef]
- Zeiher, A.M.; Drexler, H.; Wollschläger, H.; Just, H. Modulation of coronary vasomotor tone in humans. Progressive endothelial dysfunction with different early stages of coronary atherosclerosis. Circulation 1991, 83, 391–401. [Google Scholar] [CrossRef]
- Chen, H.; Li, D.; Chen, J.; Roberts, G.J.; Saldeen, T.; Mehta, J.L. EPA and DHA attenuate ox-LDL-induced expression of adhesion molecules in human coronary artery endothelial cells via protein kinase B pathway. J. Mol. Cell. Cardiol. 2003, 35, 769–775. [Google Scholar] [CrossRef]
- Omura, M.; Kobayashi, S.; Mizukami, Y.; Mogami, K.; Todoroki-Ikeda, N.; Miyake, T.; Matsuzaki, M. Eicosapentaenoic acid (EPA) induces Ca2+-independent activation and translocation of endothelial nitric oxide synthase and endothelium-dependent vasorelaxation. FEBS Lett. 2001, 487, 361–366. [Google Scholar] [CrossRef]
- Zhu, Y.; Wen, L.; Wang, S.; Zhang, K.; Cui, Y.; Zhang, C.; Feng, L.; Yu, F.; Chen, Y.; Wang, R.; et al. Omega-3 fatty acids improve flow-induced vasodilation by enhancing TRPV4 in arteries from diet-induced obese mice. Cardiovasc. Res. 2021, 117, 2450–2458. [Google Scholar] [CrossRef] [PubMed]
- Lind, M.; Hayes, A.; Caprnda, M.; Petrovic, D.; Rodrigo, L.; Kruzliak, P.; Zulli, A. Inducible nitric oxide synthase: Good or bad? Biomed. Pharmacother. 2017, 93, 370–375. [Google Scholar] [CrossRef] [PubMed]
- Hernanz, R.; Alonso, M.J.; Zibrandtsen, H.; Alvarez, Y.; Salaices, M.; Simonsen, U. Measurements of nitric oxide concentration and hyporeactivity in rat superior mesenteric artery exposed to endotoxin. Cardiovasc. Res. 2004, 62, 202–211. [Google Scholar] [CrossRef] [PubMed]
- Kleschyov, A.L.; Muller, B.; Keravis, T.; Stoeckel, M.E.; Stoclet, J.C. Adventitia-derived nitric oxide in rat aortas exposed to endotoxin: Cell origin and functional consequences. Am. J. Physiol. Heart Circ. Physiol. 2000, 279, h2743–h2751. [Google Scholar] [CrossRef] [PubMed]
- Muller, B.; Kleschyov, A.L.; Alencar, J.L.; Vanin, A.; Stoclet, J.-C. Nitric Oxide Transport and Storage in the Cardiovascular System. Ann. N. Y. Acad. Sci. 2002, 962, 131–139. [Google Scholar] [CrossRef]
- Brennan, M.-L.; Anderson, M.M.; Shih, D.M.; Qu, X.-D.; Wang, X.; Mehta, A.C.; Lim, L.L.; Shi, W.; Hazen, S.L.; Jacob, J.S.; et al. Increased atherosclerosis in myeloperoxidase-deficient mice. J. Clin. Investig. 2001, 107, 419–430. [Google Scholar] [CrossRef]
- Békési, G.; Heinle, H.; Kakucs, R.; Pázmány, T.; Szombath, D.; Dinya, M.; Tulassay, Z.; Fehér, J.; Rácz, K.; Székács, B.; et al. Effect of inhibitors of myeloperoxidase on the development of aortic atherosclerosis in an animal model. Exp. Gerontol. 2005, 40, 199–208. [Google Scholar] [CrossRef]
- Pradhan-Palikhe, P.; Vikatmaa, P.; Lajunen, T.; Palikhe, A.; Lepäntalo, M.; Tervahartiala, T.; Salo, T.; Saikku, P.; Leinonen, M.; Pussinen, P.J.; et al. Elevated MMP-8 and Decreased Myeloperoxidase Concentrations Associate Significantly with the Risk for Peripheral Atherosclerosis Disease and Abdominal Aortic Aneurysm1. Scand. J. Immunol. 2010, 72, 150–157. [Google Scholar] [CrossRef]
- Kubala, L.; Lu, G.; Baldus, S.; Berglund, L.; Eiserich, J.P. Plasma levels of myeloperoxidase are not elevated in patients with stable coronary artery disease. Clin. Chim. Acta 2008, 394, 59–62. [Google Scholar] [CrossRef]
- Calcerrada, P.; Peluffo, G.; Radi, R. Nitric oxide-derived oxidants with a focus on peroxynitrite: Molecular targets, cellular responses and therapeutic implications. Curr. Pharm. Des. 2011, 17, 3905–3932. [Google Scholar] [CrossRef] [PubMed]
- Lu, D.-Y.; Tsao, Y.-Y.; Leung, Y.-M.; Su, K.-P. Docosahexaenoic Acid Suppresses Neuroinflammatory Responses and Induces Heme Oxygenase-1 Expression in BV-2 Microglia: Implications of Antidepressant Effects for Omega-3 Fatty Acids. Neuropsychopharmacology 2010, 35, 2238–2248. [Google Scholar] [CrossRef]
- Tian, Y.; Katsuki, A.; Romanazzi, D.; Miller, M.R.; Adams, S.L.; Miyashita, K.; Hosokawa, M. Docosapentaenoic Acid (22:5n-3) Downregulates mRNA Expression of Pro-inflammatory Factors in LPS-activated Murine Macrophage Like RAW264.7 Cells. J. Oleo Sci. 2017, 66, 1149–1156. [Google Scholar] [CrossRef] [PubMed]
- Pisaniello, A.D.; Psaltis, P.J.; King, P.M.; Liu, G.; Gibson, R.A.; Tan, J.T.; Duong, M.; Nguyen, T.; Bursill, C.A.; Worthley, M.I.; et al. Omega-3 fatty acids ameliorate vascular inflammation: A rationale for their atheroprotective effects. Atherosclerosis 2021, 324, 27–37. [Google Scholar] [CrossRef] [PubMed]
- Costa, T.J.; Barros, P.R.; Arce, C.; Santos, J.D.; da Silva-Neto, J.; Egea, G.; Dantas, A.P.; Tostes, R.C.; Jiménez-Altayó, F. The homeostatic role of hydrogen peroxide, superoxide anion and nitric oxide in the vasculature. Free Radic. Biol. Med. 2020, 162, 615–635. [Google Scholar] [CrossRef]
- Zhang, M.L.; Zheng, B.; Tong, F.; Yang, Z.; Wang, Z.B.; Yang, B.M.; Sun, Y.; Zhang, X.H.; Zhao, Y.L.; Wen, J.K. iNOS-derived peroxynitrite mediates high glucose-induced inflammatory gene expression in vascular smooth muscle cells through promoting KLF5 expression and nitration. Biochim. Biophys. Acta Mol. Basis Dis. 2017, 1863, 2821–2834. [Google Scholar] [CrossRef]
- Fujimoto, S.; Asano, T.; Sakai, M.; Sakurai, K.; Takagi, D.; Yoshimoto, N.; Itoh, T. Mechanisms of hydrogen peroxide-induced relaxation in rabbit mesenteric small artery. Eur. J. Pharmacol. 2001, 412, 291–300. [Google Scholar] [CrossRef]
- Gao, Y.-J.; Hirota, S.; Zhang, D.-W.; Janssen, L.J.; Lee, R.M.K.W. Mechanisms of hydrogen-peroxide-induced biphasic response in rat mesenteric artery. Br. J. Pharmacol. 2003, 138, 1085–1092. [Google Scholar] [CrossRef]
- Sato, A.; Sakuma, I.; Gutterman, D.D. Mechanism of dilation to reactive oxygen species in human coronary arterioles. Am. J. Physiol. Heart Circ. Physiol. 2003, 285, 2345–2354. [Google Scholar] [CrossRef]
- Bretón-Romero, R.; Lamas, S. Hydrogen peroxide signaling in vascular endothelial cells. Redox Biol. 2014, 2, 529–534. [Google Scholar] [CrossRef]
- Prasad, K.; Bharadwaj, L.A. Hydroxyl radical—A mediator of acetylcholine-induced vascular relaxation. J. Moll. Cell. Cardiol. 1996, 28, 2033–2041. [Google Scholar] [CrossRef] [PubMed]
- Farias-Eisner, R.; Chaudhuri, G.; Aeberhard, E.; Fukuto, J.M. The Chemistry and Tumoricidal Activity of Nitric Oxide/Hydrogen Peroxide and the Implications to Cell Resistance/Susceptibility. J. Biol. Chem. 1996, 271, 6144–6151. [Google Scholar] [CrossRef] [PubMed]







| Peak | Systematic Name | Fatty Acid | Classification * | (M+) | Retention Time (min) | Relative Intensity (%) | |
|---|---|---|---|---|---|---|---|
| 1 | Tetradecanoic acid | C14:0 | SFA | 242 | 23.881 | 6.88 | 33.57 |
| 2 | Pentadecanoic acid | C15:0 | SFA | 256 | 25.776 | 0.47 | |
| 6 | Hexadecanoic acid | C16:0 | SFA | 270 | 27.598 | 21.75 | |
| 11 | Octadecanoic acid | C18:0 | SFA | 298 | 30.956 | 4.14 | |
| 16 | Eicosanoic acid | C20:0 | SFA | 326 | 34.033 | 0.33 | |
| 5 | Hexadec-9-enoic acid | C16:1 | MUFA | 268 | 27.232 | 11.85 | 30.28 |
| 9 | Octadec-9-enoic acid | C18:1 | MUFA | 296 | 30.559 | 12.39 | |
| 10 | Octadec-11-enoic acid | C18:1 | MUFA | 296 | 30.644 | 3.05 | |
| 15 | Eicosa-11-enoic acid | C20:1 | MUFA | 324 | 33.669 | 1.33 | |
| 20 | Docosa-13-enoic acid | C22:1 | MUFA | 354 | 36.485 | 1.66 | |
| 7 | Octadec-6,9,12,15-tetraenoic acid | C18:4 ω3 | PUFA | 290 | 30.294 | 2.94 | 31.01 |
| 4 | Hexadec-7,10,13-trienoic acid | C16:3 ω3 | PUFA | 264 | 27.009 | 1.27 | |
| 13 | Eicosa-5,8,11,14,17-pentaenoic acid (EPA) | C20:5 ω3 | PUFA | 316 | 33.161 | 16.39 | |
| 14 | Eicosa-11,14,17-trienoic acid | C20:3 ω3 | PUFA | 320 | 33.419 | 0.70 | |
| 17 | Docosa-7,10,13,16,19-pentaenoic acid | C22:5 ω3 | PUFA | 344 | 34.658 | 0.45 | |
| 18 | Docosa-4,7,10,13,16,19-hexaenoic acid (DHA) | C22:6 ω3 | PUFA | 342 | 35.867 | 9.26 | |
| 8 | Octadec-9,12-dienoic acid | C18:2 ω6 | PUFA | 294 | 30.451 | 1.21 | 3.61 |
| 12 | Eicosa-5,8,11,14-tetraenoic acid | C20:4 ω6 | PUFA | 318 | 33.050 | 0.80 | |
| 19 | Docosa-13,16-dienoic acid | C22:2 ω6 | PUFA | 352 | 36.056 | 1.60 | |
| 3 | N.I. | — | — | 26.897 | 1.53 | 1.53 | |
| Serum Parameters | Experimental Groups | ||
|---|---|---|---|
| CN56 | CH56 | PUFA56 | |
| Total cholesterol (mg/dL) | 78.00 ± 5.28 | 122.3 ± 12.45 * | 140.9 ± 24.30 |
| Triglycerides (mg/dL) | 62.50 ± 9.53 | 51.73 ± 8.58 | 65.00 ± 13.26 |
| LDL (mg/dL) | 36.00 ± 3.763 | 78.84 ± 0.97 * | 109.5 ± 16.65 |
| HDL (mg/dL) | 33.64 ± 2.58 | 36.40 ± 2.34 | 34.43 ± 3.26 |
| VLDL (mg/dL) | 12.50 ± 1.90 | 9.52 ± 0.92 | 13.00 ± 2.65 |
| Glucose (g/dL) | 141.6 ± 7.61 | 180.5 ± 13.57 * | 161.1 ± 12.03 |
| Albumin (g/dL) | 2.066 ± 0.065 | 2.090 ± 0.109 | 1.498 ± 0.197 # |
| Total proteins (g/dL) | 7.366 ± 0.187 | 8.039 ± 0.162 * | 6.619 ± 0.759 # |
| ALT (U/L) | 60.00 ± 4.251 | 79.42 ± 5.103 * | 53.57 ± 7.054 # |
| AST (U/L) | 131.9 ± 5.019 | 136.5 ± 9.894 | 97.88 ± 12.79 # |
Publisher’s Note: MDPI stays neutral with regard to jurisdictional claims in published maps and institutional affiliations. |
© 2022 by the authors. Licensee MDPI, Basel, Switzerland. This article is an open access article distributed under the terms and conditions of the Creative Commons Attribution (CC BY) license (https://creativecommons.org/licenses/by/4.0/).
Share and Cite
Mendes Furtado, M.; Lima Rocha, J.É.; da Silva Mendes, A.V.; Mello Neto, R.S.; Brito, A.K.d.S.; Sena de Almeida, J.O.C.; Rodrigues Queiroz, E.I.; de Sousa França, J.V.; Cunha Sales, A.L.d.C.; Gomes Vasconcelos, A.; et al. Effects of ω-3 PUFA-Rich Oil Supplementation on Cardiovascular Morphology and Aortic Vascular Reactivity of Adult Male Rats Submitted to an Hypercholesterolemic Diet. Biology 2022, 11, 202. https://doi.org/10.3390/biology11020202
Mendes Furtado M, Lima Rocha JÉ, da Silva Mendes AV, Mello Neto RS, Brito AKdS, Sena de Almeida JOC, Rodrigues Queiroz EI, de Sousa França JV, Cunha Sales ALdC, Gomes Vasconcelos A, et al. Effects of ω-3 PUFA-Rich Oil Supplementation on Cardiovascular Morphology and Aortic Vascular Reactivity of Adult Male Rats Submitted to an Hypercholesterolemic Diet. Biology. 2022; 11(2):202. https://doi.org/10.3390/biology11020202
Chicago/Turabian StyleMendes Furtado, Mariely, Joana Érica Lima Rocha, Ana Victória da Silva Mendes, Renato Sampaio Mello Neto, Ana Karolinne da Silva Brito, José Otávio Carvalho Sena de Almeida, Emerson Iuri Rodrigues Queiroz, José Vinícius de Sousa França, Ana Lina de Carvalho Cunha Sales, Andreanne Gomes Vasconcelos, and et al. 2022. "Effects of ω-3 PUFA-Rich Oil Supplementation on Cardiovascular Morphology and Aortic Vascular Reactivity of Adult Male Rats Submitted to an Hypercholesterolemic Diet" Biology 11, no. 2: 202. https://doi.org/10.3390/biology11020202
APA StyleMendes Furtado, M., Lima Rocha, J. É., da Silva Mendes, A. V., Mello Neto, R. S., Brito, A. K. d. S., Sena de Almeida, J. O. C., Rodrigues Queiroz, E. I., de Sousa França, J. V., Cunha Sales, A. L. d. C., Gomes Vasconcelos, A., Felix Cabral, W., de Oliveira Lopes, L., Souza do Carmo, I., Souza Kückelhaus, S. A., de Souza de Almeida Leite, J. R., Nunes, A. M. V., Rizzo, M. d. S., Citó, A. M. d. G. L., Fortes Lustosa, A. K. M., ... Arcanjo, D. D. R. (2022). Effects of ω-3 PUFA-Rich Oil Supplementation on Cardiovascular Morphology and Aortic Vascular Reactivity of Adult Male Rats Submitted to an Hypercholesterolemic Diet. Biology, 11(2), 202. https://doi.org/10.3390/biology11020202

