Pembrolizumab-Induced Lichen Planus Pemphigoides in a Patient with Metastatic Adrenocortical Cancer: A Case Report and Literature Review
Abstract
1. Introduction
2. Case Report
3. Discussion
4. Conclusions
Author Contributions
Funding
Institutional Review Board Statement
Informed Consent Statement
Data Availability Statement
Conflicts of Interest
References
- Gong, J.; Chehrazi-Raffle, A.; Reddi, S.; Salgia, R. Development of PD-1 and PD-L1 inhibitors as a form of cancer immunotherapy: A comprehensive review of registration trials and future considerations. J. Immunother. Cancer 2018, 6, 8. [Google Scholar] [CrossRef] [PubMed]
- Abdel-Rahman, O.; ElHalawani, H.; Fouad, M. Risk of cutaneous toxicities in patients with solid tumors treated with immune checkpoint inhibitors: A meta-analysis. Future Oncol. 2015, 11, 2471–2484. [Google Scholar] [CrossRef] [PubMed]
- Topalian, S.L.; Hodi, F.S.; Brahmer, J.R.; Gettinger, S.N.; Smith, D.C.; McDermott, D.F.; Powderly, J.D.; Carvajal, R.D.; Sosman, J.A.; Atkins, M.B.; et al. Safety, Activity, and Immune Correlates of Anti–PD-1 Antibody in Cancer. N. Engl. J. Med. 2012, 366, 2443–2454. [Google Scholar] [CrossRef] [PubMed]
- Hübner, F.; Langan, E.A.; Recke, A. Lichen Planus Pemphigoides: From Lichenoid Inflammation to Autoantibody-Mediated Blistering. Front. Immunol. 2019, 10, 01389. [Google Scholar] [CrossRef]
- Weston, G.; Payette, M. Update on lichen planus and its clinical variants. Int. J. Women’s Dermatol. 2015, 1, 140–149. [Google Scholar] [CrossRef]
- Zhao, C.Y.; Murrell, D.F. Autoimmune blistering diseases in females: A review. Int. J. Women’s Dermatol. 2015, 1, 4–12. [Google Scholar] [CrossRef]
- Kyriakis, K.P.; Terzoudi, S.; Palamaras, I.; Michailides, C.; Emmanuelidis, S.; Pagana, G. Sex and age distribution of patients with lichen planus. J. Eur. Acad. Dermatol. Venereol. 2006, 20, 625–626. [Google Scholar] [CrossRef]
- Wat, M.; Mollanazar, N.K.; Ellebrecht, C.T.; Forrestel, A.; Elenitsas, R.; Chu, E.Y. Lichen-planus-pemphigoides-like reaction to PD-1 checkpoint blockade. J. Cutan. Pathol. 2022, 49, 978–987. [Google Scholar] [CrossRef]
- Kwon, C.W.; Murthy, R.K.; Kudchadkar, R.; Stoff, B.K. Pembrolizumab-induced lichen planus pemphigoides in a patient with metastatic Merkel cell carcinoma. JAAD Case Rep. 2020, 6, 1045–1047. [Google Scholar] [CrossRef]
- Okada, H.; Kamiya, K.; Murata, S.; Sugihara, T.; Sato, A.; Maekawa, T.; Komine, M.; Ohtsuki, M. Case of lichen planus pemphigoides after pembrolizumab therapy for advanced urothelial carcinoma. J. Dermatol. 2020, 47, e321–e322. [Google Scholar] [CrossRef]
- Sugawara, A.; Koga, H.; Abe, T.; Ishii, N.; Nakama, T. Lichen planus-like lesion preceding bullous pemphigoid development after programmed cell death protein-1 inhibitor treatment. J. Dermatol. 2021, 48, 401–404. [Google Scholar] [CrossRef] [PubMed]
- Senoo, H.; Kawakami, Y.; Yokoyama, E.; Yamasaki, O.; Morizane, S. Atezolizumab-induced lichen planus pemphigoides in a patient with metastatic non-small-cell lung cancer. J. Dermatol. 2020, 47, e121–e122. [Google Scholar] [CrossRef] [PubMed]
- Schmidgen, M.I.; Butsch, F.; Schadmand-Fischer, S.; Steinbrink, K.; Grabbe, S.; Weidenthaler-Barth, B.; Loquai, C. Pembrolizumab-induced lichen planus pemphigoides in a patient with metastatic melanoma. J. Dtsch. Dermatol. Ges. 2017, 15, 742–745. [Google Scholar] [CrossRef] [PubMed]
- Sato, Y.; Fujimura, T.; Mizuashi, M.; Aiba, S. Lichen planus pemphigoides developing from patient with non-small-cell lung cancer treated with nivolumab. J. Dermatol. 2019, 46, e374–e375. [Google Scholar] [CrossRef]
- Kerkemeyer, K.L.S.; Lai, F.Y.X.; Mar, A. Lichen planus pemphigoides during therapy with tislelizumab and sitravatinib in a patient with metastatic lung cancer. Australas. J. Dermatol. 2020, 61, 180–182. [Google Scholar] [CrossRef]
- Strickley, J.D.; Vence, L.M.; Burton, S.K.; Callen, J.P. Nivolumab-induced lichen planus pemphigoides. Cutis 2019, 103, 224–226. [Google Scholar]
- Shah, R.R.; Bhate, C.; Hernandez, A.; Ho, C.H. Lichen planus pemphigoides: A unique form of bullous and lichenoid eruptions secondary to nivolumab. Dermatol. Ther. 2022, 35, e15432. [Google Scholar] [CrossRef]
- Liu, S.S.; Howard, T.; Fattah, Y.H.; Adams, A.; Hanly, A.J.; Karai, L.J. Lichen Planopilaris Pemphigoides: A Novel Bullous Dermatosis Due to Programmed Cell Death Protein-1 Inhibitor Therapy. Am. J. Dermatopathol. 2023, 45, 246–249. [Google Scholar] [CrossRef]
- Ee, S.; Liang, M.W.; Tee, S.I.; Wang, D.Y. Lichen planus pemphigoides after pembrolizumab immunotherapy in an older man. Ann. Acad. Med. Singap. 2022, 51, 804–806. [Google Scholar] [CrossRef]
- Mueller, K.A.; Cordisco, M.R.; Scott, G.A.; Plovanich, M.E. A case of severe nivolumab-induced lichen planus pemphigoides in a child with metastatic spitzoid melanoma. Pediatr. Dermatol. 2023, 40, 154–156. [Google Scholar] [CrossRef]
- Yoshida, S.; Shiraishi, K.; Yatsuzuka, K.; Mori, H.; Koga, H.; Ishii, N.; Sayama, K. Lichen planus pemphigoides with antibodies against the BP180 C-terminal domain induced by pembrolizumab in a melanoma patient. J. Dermatol. 2021, 48, e449–e451. [Google Scholar] [CrossRef] [PubMed]
- Boyle, M.M.; Ashi, S.; Puiu, T.; Reimer, D.; Sokumbi, O.; Soltani, K.; Onajin, O. Lichen Planus Pemphigoides Associated with PD-1 and PD-L1 Inhibitors: A Case Series and Review of the Literature. Am. J. Dermatopathol. 2022, 44, 360–367. [Google Scholar] [CrossRef] [PubMed]
- Martins, F.; Sofiya, L.; Sykiotis, G.P.; Lamine, F.; Maillard, M.; Fraga, M.; Shabafrouz, K.; Ribi, C.; Cairoli, A.; Guex-Crosier, Y.; et al. Adverse effects of immune-checkpoint inhibitors: Epidemiology, management and surveillance. Nat. Rev. Clin. Oncol. 2019, 16, 563–580. [Google Scholar] [CrossRef] [PubMed]
- Buajeeb, W.; Okuma, N.; Thanakun, S.; Laothumthut, T. Direct Immunofluorescence in Oral Lichen Planus. J. Clin. Diagn. Res. 2015, 9, ZC34–ZC37. [Google Scholar] [CrossRef]
- Provost, T.T.; Tomasi, T.B. Immunopathology of bullous pemphigoid. Basement membrane deposition of IgE, alternate pathway components and fibrin. Clin. Exp. Immunol. 1974, 18, 193–200. [Google Scholar] [PubMed]
- Rzepecki, A.K.; Cheng, H.; McLellan, B.N. Cutaneous toxicity as a predictive biomarker for clinical outcome in patients receiving anticancer therapy. J. Am. Acad. Dermatol. 2018, 79, 545–555. [Google Scholar] [CrossRef]
- Shipman, A.R.; Cooper, S.; Wojnarowska, F. Autoreactivity to bullous pemphigoid 180: Is this the link between subepidermal blistering diseases and oral lichen planus? Clin. Exp. Dermatol. 2011, 36, 267–269. [Google Scholar] [CrossRef]
- Raj, N.; Zheng, Y.; Kelly, V.; Katz, S.S.; Chou, J.; Do, R.K.G.; Capanu, M.; Zamarin, D.; Saltz, L.B.; Ariyan, C.E.; et al. PD-1 Blockade in Advanced Adrenocortical Carcinoma. J. Clin. Oncol. 2020, 38, 71–80. [Google Scholar] [CrossRef]
- Else, T.; Kim, A.C.; Sabolch, A.; Raymond, V.M.; Kandathil, A.; Caoili, E.M.; Jolly, S.; Miller, B.S.; Giordano, T.J.; Hammer, G.D. Adrenocortical Carcinoma. Endocr. Rev. 2014, 35, 282–326. [Google Scholar] [CrossRef]
- Sanlorenzo, M.; Vujic, I.; Daud, A.; Algazi, A.; Gubens, M.; Luna, S.A.; Lin, K.; Quaglino, P.; Rappersberger, K.; Ortiz-Urda, S. Pembrolizumab Cutaneous Adverse Events and Their Association with Disease Progression. JAMA Dermatol. 2015, 151, 1206–1212. [Google Scholar] [CrossRef]



| Cases | Age | Sex | Race | Primary Disease | Cutaneous Presentation | Site | Mucosal | Nail | Therapy | Adjuvant Therapy |
|---|---|---|---|---|---|---|---|---|---|---|
| 1 (Wat et al., 2022) [8] | 80 | F | Black | Stage IV lung adenocarcinoma and cerebral metastases (cT3cN3cM1) | Erythematous-to-violaceous flat-topped papules, widespread erythema with tense and eroded blisters with some in annular configuration around central blister. | Upper and lower extremities, trunk, buttock, back | No | No | Pembrolizumab | Not reported |
| 2 (Wat et al., 2022) [8] | 77 | M | White | Stage IIIA non-small-cell lung cancer | Grade 3 mucositis, edematous pink papules and plaques with central erosions and crusting. | Upper and lower extremities | Yes | No | Pembrolizumab | Not reported |
| 3 (Wat et al., 2022) [8] | 63 | F | White | Metastatic breast cancer | Erythematous papules and plaques, flaccid bullae, and papular rash. | Upper and lower extremities, trunk | No | No | Pembrolizumab | Not reported |
| 4 (Kwon et al., 2020) [9] | 65 | F | White | Metastatic Merkel cell carcinoma | Erythematous-to-violaceous, lichenified, and hypertrophic papules and plaques. | Upper and lower extremities, trunk, back | No | No | Pembrolizumab | Not reported |
| 5 (Okada et al., 2020) [10] | 76 | M | Not reported | Advanced urothelial carcinoma | Pruritic erythematous patches and plaques, Wickham striae. Tense blisters additionally presented 13 wk later. | Lower extremity | Yes (reticulated white patches) | No | Pembrolizumab | Not reported |
| 6 (Sugawara et al., 2020) [11] | 72 | F | Asian | Stage IV lung cancer | Pruritic erythematous-to-violaceous papules and plaques. Tense blisters and edematous erythema presented 7 wk later. | Upper and lower extremities, trunk | No | No | Pembrolizumab | Not reported |
| 7 (Senoo et al., 2020) [12] | 76 | F | Asian | Stage IVA lung squamous cell carcinoma | Pruritic violaceous papules and plaques with Wickham’s striae, vesicle eruption, and white reticular lesion. | Upper and lower extremities, back | Yes (reticulated white patches) | No | Atezolizumab | Not reported |
| 8 (Schmidgen et al., 2017) [13] | 64 | M | White | Stage IV melanoma | Pruritic erythematous papules and plaques with central vesicles. Blisters on lichenoid plaques and on unaffected skin presented 26 wk later. | Upper and lower extremities, trunk | Yes (reticulated white patches) | No | Pembrolizumab | Standard chemotherapy as part of MK-3475-002 Phase II trial |
| 9 (Sato et al., 2019) [14] | 57 | M | Asian | Stage IVB lung squamous cell carcinoma | Erythematous lesions, papules and vesicles. | Upper and lower extremities, trunk | No | No | Nivolumab | Docetaxel and ramucirumab |
| 10 (Kerkemeyer et al., 2020) [15] | 75 | F | Not reported | Stage IV lung adenocarcinoma | Pruritic violaceous papules and plaques with tense bullae and Wickham’s striae. | Upper and lower extremities, back | Yes (erythema and erosions) | No | Tislelizumab | Sitravatinib |
| 11 (Strickley et al., 2019) [16] | 87 | F | Not reported | Stage IV non–small-cell lung cancer | Erythematous crusted erosions and flaccid bullae. | Upper and lower extremities, trunk, back | No | No | Nivolumab | Not reported |
| 12 (Shah et al., 2022) [17] | 58 | F | Not reported | Renal cell carcinoma | Pruritic, erythematous, verrucous-like plaques and tense bullae. | Upper extremity | No | No | Nivolumab | Not reported |
| 13 (Liu et al., 2023) [18] | 60 | M | Black | Transitional cell carcinoma of the bladder and hepatocellular carcinoma | Erythematous to dusky cyanotic patches and targetoid plaques. Reemerged 3 wk later along with flaccid blisters and exfoliative skin with erythema; associated with positive Nikolsky sign. | Upper and lower extremities, back, scalp | Yes | No | Nivolumab | Not reported |
| 14 (Ee et al., 2022) [19] | 84 | M | Asian | Stage IV non–small-cell lung cancer | Pruritic, purpuric papules and blisters. | Upper and lower extremities, buttocks | No | No | Pembrolizumab | Not reported |
| 15 (Mueller et al., 2022) [20] | 12 | M | Black | Stage IIIC spitzoid melanoma | Lichenoid papules and plaques with vesicles and bullae on background erythema. | Lower extremity | No | No | Nivolumab | Not reported |
| 16 (Yoshida et al., 2021) [21] | 70 | F | Not reported | Malignant melanoma | Papules and erythematous plaques with bullae. | Upper and lower extremities | No | No | Pembrolizumab | Not reported |
| 17 (Boyle et al., 2022) [22] | 66 | F | Asian | Stage IV urothelial cancer | Erythematous-to-violaceous papules and plaques with central erosions, flaccid bullae, and erosive mucositis. | Upper and lower extremities | Yes (reticulated white patches, hemorrhagic crust, and ulcerations) | Yes | Nivolumab | Sitravatinib |
| 18 (Boyle et al., 2022) [22] | 59 | M | White | Stage IV hepatocellular carcinoma | Erythematous-to-violaceous hyperkeratotic papules, crusted plaques with tense and flaccid bullae. | Lower extremity | No | No | Nivolumab | Not reported |
| 19 (Boyle et al., 2022) [22] | 57 | F | White | Stage IV non-small-cell lung cancer | Violaceous papules and plaques with central hyperkeratosis, small crusted papules. | Upper and lower extremities, trunk | Yes (hemorrhagic crust) | Yes | Pembrolizumab | Carboplatin and Paclitaxel |
| 20 (Our Case) | 46 | F | Black | Stage IV adrenocortical carcinoma | Diffuse lichenoid plaques, tense bullae. | Upper and lower extremities, trunk | No | No | Pembrolizumab | Mitotane |
| Cases | Time to LPP from ICI Onset | Other Associated AEs | ICI Discontinued? | Did LPP Develop after Cessation of ICI? | Treatment |
|---|---|---|---|---|---|
| 1 (Wat et al., 2022) [8] | 45 wk | Lichen planus diagnosis 2 wk prior to LPP, desquamation of 44% of total body surface area | Yes | No | IV corticosteroids, followed by prednisone |
| 2 (Wat et al., 2022) [8] | 26 wk | Low-grade pneumonitis, lymphocytic enterocolitis | Yes | No | Prednisone |
| 3 (Wat et al., 2022) [8] | 17 wk | Bullous tinea diagnosis 3 wk prior to LPP | Temporarily (resumed after eruption control) | No | Doxycycline and nicotinamide |
| 4 (Kwon et al., 2020) [9] | 1 wk | None | Yes | No | Oral prednisone, clobetasol |
| 5 (Okada et al., 2020) [10] | 12 wk | Not reported | Yes (due to disease progression) | Yes (13 wk later) | Oral prednisone |
| 6 (Sugawara et al., 2020) [11] | 20 wk | Not reported | Yes (due to disease progression) | Yes (7 wk later) | Oral prednisone |
| 7 (Senoo et al., 2020) [12] | 17 wk | Not reported | Yes (due to disease progression) | No | Topical corticosteroids |
| 8 (Schmidgen et al., 2017) [13] | 79 wk | CTCAE Grade 2 BP-like reaction, thrombocytopenia, heart failure | Yes (due to BP-like reaction 26 wk before LPP) | Yes (52 wk later) | Dapsone |
| 9 (Sato et al., 2019) [14] | 26 wk | Hand–foot syndrome | Yes (due to disease progression) | Yes (13 wk later) | Oral prednisolone with doxycycline |
| 10 (Kerkemeyer et al., 2020) [15] | 6 wk | Not reported | Not reported | Not reported | Prednisolone, topical betamethasone |
| 11 (Strickley et al., 2019) [16] | 13 wk | Not reported | Yes | No | Oral prednisone |
| 12 (Shah et al., 2022) [17] | 17 wk | Not reported | Yes | No | Topical clobetasol cream, systemic corticosteroids, and oral pregabalin |
| 13 (Liu et al., 2023) [18] | 33 wk | Not reported | Yes | No | Prednisone |
| 14 (Ee et al., 2022) [19] | 11 wk | Not reported | No | N/A | Topical clobetasol |
| 15 (Mueller et al., 2022) [20] | 10 wk | Severe skin pain, joint swelling, and rapidly spreading vesiculobullous lesions | Yes | No | Topical betamethasone dipropionate and IV methylprednisolone transitioned to oral prednisolone and methotrexate |
| 16 (Yoshida et al., 2021) [21] | 21 wk | Not reported | Yes | No | Oral prednisolone |
| 17 (Boyle et al., 2022) [22] | 4 wk | Not reported | Yes | No | Oral prednisone and topical clobetasol, followed by rituximab |
| 18 (Boyle et al., 2022) [22] | 48 wk | Not reported | Yes | No | Topical clobetasol |
| 19 (Boyle et al., 2022) [22] | 6 wk | Not reported | No (eventually discontinued 5 cycles later due to disease progression) | N/A | Oral prednisone and topical clobetasol |
| 20 (Our Case) | 13 wk | Hives, angioedema | Yes (due to disease progression) | Yes (1 wk later) | Oral prednisone and topical tetracaine–adrenaline–cocaine |
| Cases | Biopsy Site | Histology | DIF | IIF | ELISA BP190/BP230 |
|---|---|---|---|---|---|
| 1 (Wat et al., 2022) [8] | Left thigh | Acanthotic epidermis, hyperkeratosis, hypergranulosis, lichenoid infiltrate and basal layer vacuolization. Subepidermal blister formation. | Linear C3 and IgG at BMZ | Not performed | Positive BP180, Negative BP230 |
| 2 (Wat et al., 2022) [8] | Right forearm, buccal mucosal | Cutaneous: Acanthotic epidermis with a band-like lichenoid infiltrate and basal-layer vacuolization and necrotic keratinocytes. Oral mucosal: focal basal cell layer degeneration, lichenoid mucositis, acanthosis, and perivascular lymphocytic and plasma cell infiltrate. | Cutaneous: Linear C3 and IgG at BMZ. Oral mucosa: Linear C3 at BMZ. | Not performed | Positive BP180, Negative BP230 |
| 3 (Wat et al., 2022) [8] | Right palm, left leg | Palm: Lichenoid tissue reaction with lymphocytic infiltrate at BMZ, dyskeratosis, perivascular dermal inflammation. Leg: Subepidermal blister with a necrotic roof, focal interface reaction with lymphocytes. | Not performed | Not performed | Positive BP180 |
| 4 (Kwon et al., 2020) [9] | Not reported | Lichenoid and vacuolar epidermal interface alteration with dyskeratotic keratinocytes and eosinophils. | Linear C3 and IgG at BMZ | Linear IgG on salt-split skin | Positive BP180 |
| 5 (Okada et al., 2020) [10] | Lower extremity | Orthokeratosis, irregular acanthosis, and band-like inflammatory infiltrates in upper dermis. Rete ridge base with accentuated vacuolar alteration and lymphocytic infiltrates. Later biopsies showed a subepidermal blister with eosinophilic infiltrate in upper dermis. | Linear C3 and IgG at BMZ | Not performed | Positive BP180 |
| 6 (Sugawara et al., 2020) [11] | Lower extremity | Orthokeratosis with irregular acanthosis and hypergranulosis. Vacuolar alteration of basal layer and dermal lymphocyte infiltration. Later biopsies showed subepidermal blister with eosinophilic infiltration. | Linear C3 and IgG at BMZ | Not performed | Positive BP180 |
| 7 (Senoo et al., 2020) [12] | Thigh | Band-like lymphocytic infiltrate in upper dermis with vacuolar degeneration of BMZ. Hypergranulosis, subepidermal blister with mixed infiltrate of eosinophils and lymphocytes. | Linear C3 at BMZ, no IgG | Negative | Positive BP180 |
| 8 (Schmidgen et al., 2017) [13] | Sacral region | Lichenoid dermatitis with band-like lymphocytic infiltrate at BMZ. Orthohyperkeratosis, hypergranulosis, cytoid bodies. Later biopsies showed subepidermal blistering and eosinophil infiltrate. | Linear C3 at BMZ | IgG binding to epidermal side on salt-split skin | Positive BP180 |
| 9 (Sato et al., 2019) [14] | Not reported | Band-like lymphocytic infiltrate with prominent eosinophils at BMZ. Vacuolar degeneration with apoptotic keratinocytes. | IgG deposition at BMZ | Not reported | Positive BP180 |
| 10 (Kerkemeyer et al., 2020) [15] | Not reported | Acanthosis, parakeratosis, and elongation of rete ridges with basal cell degeneration. Subepidermal bulla with a small number of eosinophils, and perivascular mixed inflammatory infiltrate with occasional eosinophils of the upper dermis. | Linear C3 and IgG at BMZ | Not reported | Not reported |
| 11 (Strickley et al., 2019) [16] | Left thigh | Lichenoid dermatitis followed by subepidermal bullous lichenoid eruption with eosinophils. | Negative | Weak linear IgG at BMZ on monkey esophagus | Not reported |
| 12 (Shah et al., 2022) [17] | Not reported | Acanthotic epidermis with a band-like inflammatory infiltrate and basal layer vacuolization. Subepidermal blister formation with sparse dermal perivascular infiltrate. | Linear C3 at BMZ | Not performed | Not reported |
| 13 (Liu et al., 2023) [18] | Right parietal scalp | Lichenoid dermatitis with perifollicular clefting. Orthokeratosis, hypergranulosis, sawtooth-like change in BMZ, dyskeratotic keratinocytes, and colloid bodies. | Linear C3 and IgG at BMZ and in a perifollicular distribution | Not performed | Negative BP180 and negative BP230 |
| 14 (Ee et al., 2022) [19] | Right shin | Lichenoid infiltrate of lymphocytes, histiocytes, and eosinophils. Basal vacuolar alteration and subepidermal clefting. | Linear C3 and IgG at BMZ | Not reported | Not reported |
| 15 (Mueller et al., 2022) [20] | Right thigh | Subepidermal separation with basal necrotic keratinocytes and sparse lichenoid lymphocytic infiltrate. | Linear C3 at BMZ, no IgG | Not performed | Positive BP180 |
| 16 (Yoshida et al., 2021) [21] | Thigh | Biopsy 1: Lichenoid dermatitis with lymphocytic infiltration at BMZ, hyperkeratosis, sawtooth-like acanthosis, cytoid bodies, hypergranulosis. Biopsy 2: Subepidermal blister and dermal lymphocytic infiltration. | Linear C3 and IgG at BMZ | IgG binding to epidermal side on salt-split skin | Negative BP180 and negative BP230 |
| 17 (Boyle et al., 2022) [22] | Left foot | Lichenoid dermatitis with dyskeratotic keratinocytes at lower epidermis. Orthokeratosis, hypergranulosis, and subepidermal bullae. | Linear IgG and C3, cytoid bodies, and retiform fibrinogen at BMZ | Not performed | Positive BP180, Positive BP230 |
| 18 (Boyle et al., 2022) [22] | Left leg | Acanthotic epidermis, orthokeratosis, and basal-layer vacuolization with dyskeratotic keratinocytes. Superficial-to-deep perivascular and interstitial inflammatory infiltrate with many eosinophils in dermis. | Linear IgG and C3 at BMZ, cytoid bodies in papillary dermis | Not performed | Not performed |
| 19 (Boyle et al., 2022) [22] | Right palm | Lichenoid dermatitis with dyskeratotic keratinocytes at basal epidermis. Orthokeratosis, focal paragranulosis, hypergranulosis, and neutrophils in stratum corneum. | Linear C3 and IgG at BMZ | Linear IgG on monkey esophagus with epidermal pattern on salt-split skin. Negative on rat bladder | Positive BP180, Negative BP230 |
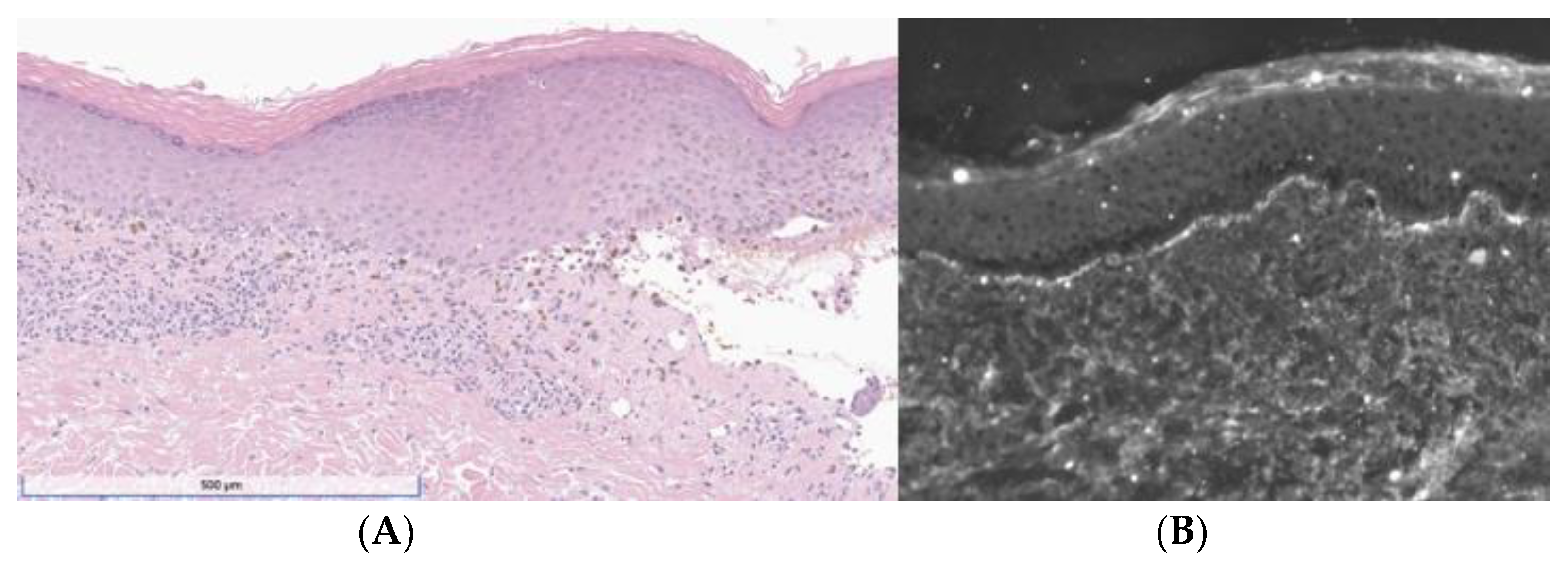
| 20 (Our Case) | Right thigh | Band-like lymphocytic infiltrate with vacuolization of the basal layer, necrotic keratinocytes, pigment incontinence, and a subepidermal split. | Linear C3 and IgG at BMZ | Not performed | Not performed |
Disclaimer/Publisher’s Note: The statements, opinions and data contained in all publications are solely those of the individual author(s) and contributor(s) and not of MDPI and/or the editor(s). MDPI and/or the editor(s) disclaim responsibility for any injury to people or property resulting from any ideas, methods, instructions or products referred to in the content. |
© 2023 by the authors. Licensee MDPI, Basel, Switzerland. This article is an open access article distributed under the terms and conditions of the Creative Commons Attribution (CC BY) license (https://creativecommons.org/licenses/by/4.0/).
Share and Cite
Madan, V.; Marchitto, M.C.; Sunshine, J.C. Pembrolizumab-Induced Lichen Planus Pemphigoides in a Patient with Metastatic Adrenocortical Cancer: A Case Report and Literature Review. Dermatopathology 2023, 10, 244-258. https://doi.org/10.3390/dermatopathology10030033
Madan V, Marchitto MC, Sunshine JC. Pembrolizumab-Induced Lichen Planus Pemphigoides in a Patient with Metastatic Adrenocortical Cancer: A Case Report and Literature Review. Dermatopathology. 2023; 10(3):244-258. https://doi.org/10.3390/dermatopathology10030033
Chicago/Turabian StyleMadan, Vrinda, Mark C. Marchitto, and Joel C. Sunshine. 2023. "Pembrolizumab-Induced Lichen Planus Pemphigoides in a Patient with Metastatic Adrenocortical Cancer: A Case Report and Literature Review" Dermatopathology 10, no. 3: 244-258. https://doi.org/10.3390/dermatopathology10030033
APA StyleMadan, V., Marchitto, M. C., & Sunshine, J. C. (2023). Pembrolizumab-Induced Lichen Planus Pemphigoides in a Patient with Metastatic Adrenocortical Cancer: A Case Report and Literature Review. Dermatopathology, 10(3), 244-258. https://doi.org/10.3390/dermatopathology10030033

