Periodontitis Provokes Retinal Neurodegenerative Effects of Metabolic Syndrome: A Cross-Sectional Study
Abstract
1. Introduction
2. Materials and Methods
2.1. Ethical Approval
2.2. Study Groups
2.3. Sample Size Calculation
2.4. Examiner Calibration
2.5. Clinical Periodontal Measurements
2.6. Sample Collection and Biochemical Analysis
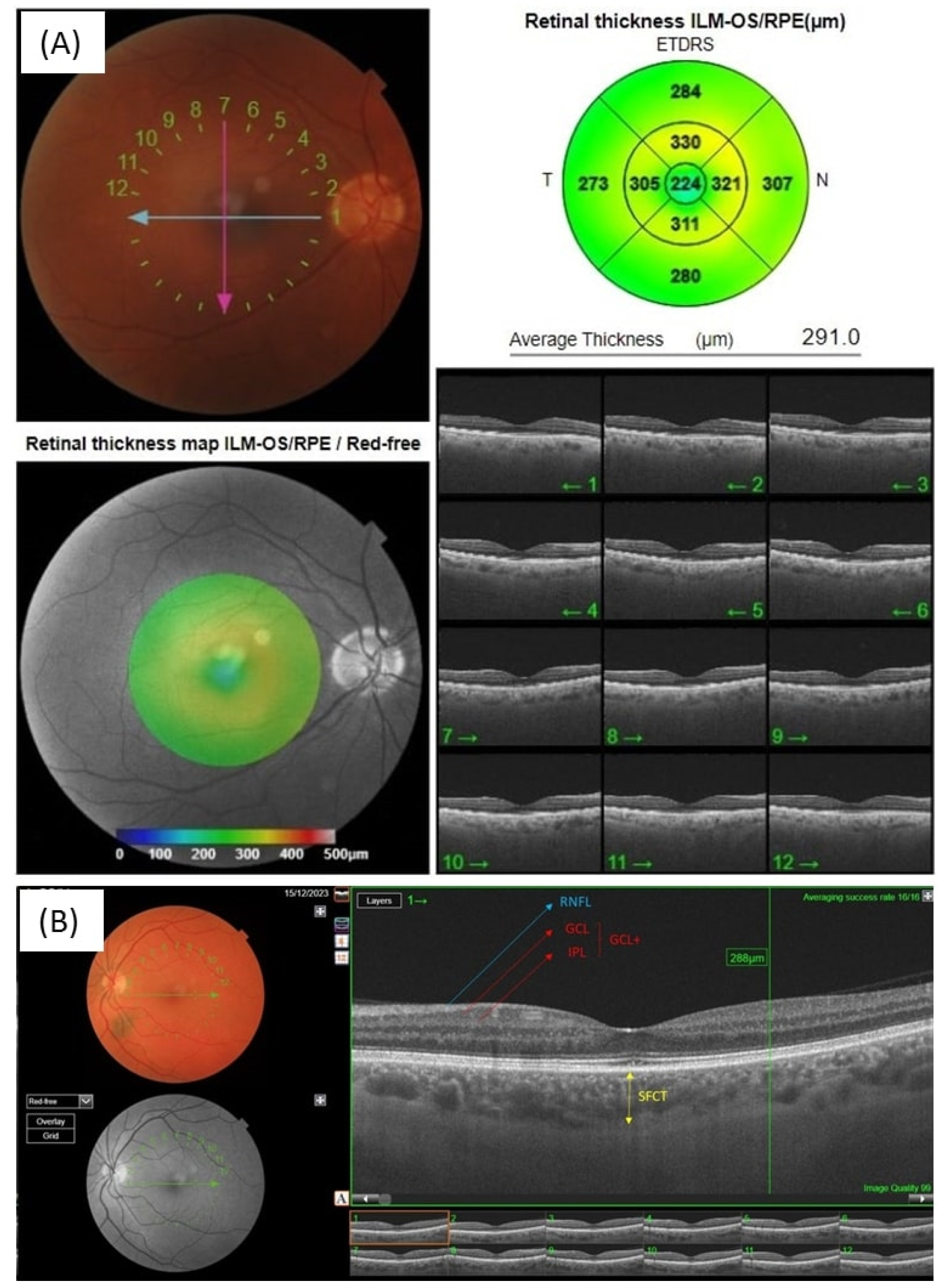
2.7. Optical Coherence Tomographic Measurements
2.8. Statistical Analysis
3. Results
3.1. Demographic Results
3.2. Clinical Periodontal Results
3.3. Biochemical Results
3.4. OCT Measurements
4. Discussion
5. Conclusions
Author Contributions
Funding
Institutional Review Board Statement
Informed Consent Statement
Data Availability Statement
Conflicts of Interest
References
- Papapanou, P.N.; Sanz, M.; Buduneli, N.; Dietrich, T.; Feres, M.; Fine, D.H.; Flemmig, T.F.; Garcia, R.; Giannobile, W.V.; Graziani, F.; et al. Periodontitis: Consensus report of workgroup 2 of the 2017 World Workshop on the Classification of Periodontal and Peri-Implant Diseases and Conditions. J. Clin. Periodontol. 2018, 20, 162–170. [Google Scholar]
- Kapila, Y.L. Oral health’s inextricable connection to systemic health: Special populations bring to bear multimodal relationships and factors connecting periodontal disease to systemic diseases and conditions. Periodontology 2000 2021, 87, 11–16. [Google Scholar] [CrossRef] [PubMed]
- Hajishengallis, G.; Lamont, R.J. Beyond the red complex and into more complexity: The polymicrobial synergy and dysbiosis (PSD) model of periodontal disease etiology. Mol. Oral Microbiol. 2012, 27, 409–419. [Google Scholar] [CrossRef]
- Schenkein, H.A.; Loos, B.G. Inflammatory mechanisms linking periodontal diseases to cardiovascular diseases. J. Periodontol. 2013, 84, 51–69. [Google Scholar] [CrossRef]
- Hajishengallis, G. Interconnection of periodontal disease and comorbidities: Evidence, mechanisms, and implications. Periodontology 2000 2022, 89, 9–18. [Google Scholar] [CrossRef] [PubMed]
- Kuraji, R.; Sekino, S.; Kapila, Y.; Numabe, Y. Periodontal disease-related nonalcoholic fatty liver disease and nonalcoholic steatohepatitis: An emerging concept of oral-liver axis. Periodontology 2000 2021, 87, 204–240. [Google Scholar] [CrossRef] [PubMed]
- Pereira, K.K.Y.; Jara, C.M.; Antunes, G.L.; Gomes, M.S.; Rösing, C.K.; Cavagni, J.; Haas, A.N. Effects of periodontitis and periodontal treatment on systemic inflammatory markers and metabolic profile in obese and non-obese rats. J. Periodontol. 2022, 93, 1411–1420. [Google Scholar] [CrossRef] [PubMed]
- Pirih, F.Q.; Monajemzadeh, S.; Singh, N.; Sinacola, R.S.; Shin, J.M.; Chen, T.; Fenno, J.C.; Kamarajan, P.; Rickard, A.H.; Travan, S.; et al. Association between metabolic syndrome and periodontitis: The role of lipids, inflammatory cytokines, altered host response, and the microbiome. Periodontology 2000 2021, 87, 50–75. [Google Scholar] [CrossRef]
- Rosário-Dos-Santos, H.L.; Miranda, S.S.; Gomes-Filho, I.S.; da Cruz, S.S.; Figueiredo, A.C.M.G.; Souza, E.S.; Hintz, A.M.; Loomer, P.M.; Passos-Soares, J.S. Periodontitis severity relationship with metabolic syndrome: A systematic review with meta-analysis. Oral Dis. 2023, 29, 2512–2520. [Google Scholar] [CrossRef]
- Bullon, P.; Morillo, J.M.; Ramirez-Tortosa, M.C.; Quiles, J.L.; Newman, H.N.; Battino, M. Metabolic syndrome and periodontitis: Is oxidative stress a common link? J. Dent. Res. 2009, 88, 503–518. [Google Scholar] [CrossRef]
- Arjunan, P.; Swaminathan, R.; Yuan, J.; Elashiry, M.; Tawfik, A.; Al-Shabrawey, M.; Martin, P.M.; Muthusamy, T.; Cutler, C.W. Exacerbation of AMD Phenotype in Lasered CNV Murine Model by Dysbiotic Oral Pathogens. Antioxidants 2021, 10, 309. [Google Scholar] [CrossRef]
- Karesvuo, M.; Sorsa, T.; Tuuminen, R. Association between Oral Active-Matrix Metalloproteinase-8 Levels and Subretinal Fibrosis among Wet Age-Related Macular Degeneration Patients. Curr. Eye Res. 2023, 17, 1–7. [Google Scholar] [CrossRef] [PubMed]
- Saklayen, M.G. The Global Epidemic of the Metabolic Syndrome. Curr. Hypertens. Rep. 2018, 20, 12. [Google Scholar] [CrossRef] [PubMed]
- Khosravi, R.; Ka, K.; Huang, T.; Khalili, S.; Nguyen, B.H.; Nicolau, B.; Tran, S.D. Tumor necrosis factor-α and interleukin-6: Potential interorgan inflammatory mediators contributing to destructive periodontal disease in obesity or metabolic syndrome. Mediat. Inflamm. 2013, 2013, 728987. [Google Scholar] [CrossRef]
- Chauhan, A.; Yadav, S.S.; Dwivedi, P.; Lal, N.; Usman, K.; Khattri, S. Correlation of Serum and Salivary Cytokines Level with Clinical Parameters in Metabolic Syndrome with Periodontitis. J. Clin. Lab. Anal. 2016, 30, 649–655. [Google Scholar] [CrossRef]
- Han, D.H.; Shin, H.S.; Kim, M.S.; Paek, D.; Kim, H.D. Group of serum inflammatory markers and periodontitis-metabolic syndrome coexistence in Koreans. J. Periodontol. 2012, 83, 612–620. [Google Scholar] [CrossRef] [PubMed]
- Ahmad, A.; Ahsan, H. Biomarkers of inflammation and oxidative stress in ophthalmic disorders. J. Immunoass. Immunochem. 2020, 41, 257–271. [Google Scholar] [CrossRef]
- Jadeja, R.N.; Martin, P.M. Oxidative Stress and Inflammation in Retinal Degeneration. Antioxidants 2021, 10, 790. [Google Scholar] [CrossRef] [PubMed]
- Zarei, R.; Anvari, P.; Eslami, Y.; Fakhraie, G.; Mohammadi, M.; Jamali, A.; Afarideh, M.; Ghajar, A.; Heydarzade, S.; Esteghamati, A. Retinal nerve fibre layer thickness is reduced in metabolic syndrome. Diabet. Med. 2017, 34, 1061–1066. [Google Scholar] [CrossRef]
- Dogan, C.U.; Culha, D. Subfoveal choroidal thickness and peripapillary retinal nerve fiber layer thickness in young obese males. Eur. J. Ophthalmol. 2021, 31, 3190–3195. [Google Scholar] [CrossRef]
- Tezel, G. Oxidative stress in glaucomatous neurodegeneration: Mechanisms and consequences. Prog. Retin. Eye Res. 2006, 25, 490–513. [Google Scholar] [CrossRef] [PubMed]
- Laiginhas, R.; Guimarães, M.; Cardoso, P.; Santos-Sousa, H.; Preto, J.; Nora, M.; Chibante, J.; Falcão-Reis, F.; Falcão, M. Retinal Nerve Fiber Layer Thickness Decrease in Obesity as a Marker of Neurodegeneration. Obes. Surg. 2019, 29, 2174–2179. [Google Scholar] [CrossRef] [PubMed]
- Milosavljevic, N.; Storchi, R.; Eleftheriou, C.G.; Colins, A.; Petersen, R.S.; Lucas, R.J. Photoreceptive retinal ganglion cells control the information rate of the optic nerve. Proc. Natl. Acad. Sci. USA 2018, 115, 11817–11826. [Google Scholar] [CrossRef] [PubMed]
- Khatib, T.Z.; Martin, K.R. Protecting retinal ganglion cells. Eye 2017, 31, 218–224. [Google Scholar] [CrossRef] [PubMed]
- Yu, J.; Sun, W.; Song, Y.; Liu, J.; Xue, F.; Gong, K.; Yang, X.; Kang, Q. SIRT6 protects retinal ganglion cells against hydrogen peroxide-induced apoptosis and oxidative stress by promoting Nrf2/ARE signaling via inhibition of Bach1. Chem.-Biol. Interact. 2019, 300, 151–158. [Google Scholar] [CrossRef]
- Loureiro, M.; Braga, A.C.; Meira, D.; Sepúlveda, P.; Agrelos, L.; Torres, P. Peripapillary choroidal thickness by enhanced depth imaging optical coherence tomography: The impact of metabolic syndrome. Eur. J. Ophthalmol. 2017, 27, 428–432. [Google Scholar] [CrossRef]
- Tufek, M.; Nalcacioglu, P.; Capraz, M.; Varol, K.; Kaya, A.T.; Aydın, N.; Kara, C. The impact of obesity on ocular hemodynamics and choroidal thickness. Ther. Adv. Ophthalmol. 2023, 15, 25158414231180985. [Google Scholar] [CrossRef]
- New, S.H.; Leow, S.N.; Vasudevan, S.K.; Idris, I.B.; Tang, S.F.; Din, N.M. Relationship between anthropometric and biochemical changes of metabolic syndrome with retinal nerve fiber layer and macular thickness. PLoS ONE 2021, 16, e0246830. [Google Scholar] [CrossRef]
- Tonetti, M.S.; Greenwell, H.; Kornman, K.S. Staging and grading of periodontitis: Framework and proposal of a new classification and case definition. J. Clin. Periodontol. 2018, 45, 149–161. [Google Scholar] [CrossRef]
- Alberti, K.G.; Zimmet, P.; Shaw, J. Metabolic syndrome—A new world-wide definition. A Consensus Statement from the International Diabetes Federation. Diabet. Med. 2006, 23, 469–480. [Google Scholar] [CrossRef]
- Isola, G.; Alibrandi, A.; Rapisarda, E.; Matarese, G.; Williams, R.C.; Leonardi, R. Association of vitamin D in patients with periodontitis: A cross-sectional study. J. Periodontal. Res. 2020, 55, 602–612. [Google Scholar] [CrossRef] [PubMed]
- Löe, H. The Gingival Index, the Plaque Index and the Retention Index Systems. J. Periodontol. 1967, 38, 610–616. [Google Scholar] [CrossRef] [PubMed]
- Ainamo, J.; Bay, I. Problems and proposals for recording gingivitis and plaque. Int. Dent. J. 1975, 25, 229–235. [Google Scholar] [PubMed]
- Erel, O. A new automated colorimetric method for measuring total oxidant status. Clin. Biochem. 2005, 38, 1103–1111. [Google Scholar] [CrossRef] [PubMed]
- Erel, O. A novel automated method to measure total antioxidant response against potent free radical reactions. Clin. Biochem. 2004, 37, 112–119. [Google Scholar] [CrossRef]
- Chapple, I.L.; Matthews, J.B. The role of reactive oxygen andantioxidant species in periodontal tissue destruction. Periodontology 2000 2007, 43, 160–232. [Google Scholar] [CrossRef]
- Torumtay, G.; Kırzıoğlu, F.Y.; Tonguç, M.Ö.; Kale, B.; Calapoğlu, M.; Orhan, H. Effects of periodontal treatment on inflammation and oxidative stress markers in patients with metabolic syndrome. J. Periodontal. Res. 2016, 51, 489–498. [Google Scholar] [CrossRef]
- Dammak, A.; Huete-Toral, F.; Carpena-Torres, C.; Martin-Gil, A.; Pastrana, C.; Carracedo, G. From Oxidative Stress to Inflammation in the Posterior Ocular Diseases: Diagnosis and Treatment. Pharmaceutics 2021, 13, 1376. [Google Scholar] [CrossRef]
- Tan, W.; Zou, J.; Yoshida, S.; Jiang, B.; Zhou, Y. The Role of Inflammation in Age-Related Macular Degeneration. Int. J. Biol. Sci. 2020, 16, 2989–3001. [Google Scholar] [CrossRef]
- Zhou, J.; Schmid, T.; Brüne, B. Tumor necrosis factor-alpha causes accumulation of a ubiquitinated form of hypoxia inducible factor-1alpha through a nuclear factor-kappaB-dependent pathway. Mol. Biol. Cell. 2003, 14, 2216–2225. [Google Scholar] [CrossRef]
- Panon, N.; Luangsawang, K.; Rugaber, C.; Tongchit, T.; Thongsepee, N.; Cheaha, D.; Kongjaidee, P.; Changtong, A.; Daradas, A.; Chotimol, P. Correlation between body mass index and ocular parameters. Clin. Ophthalmol. 2019, 13, 763–769. [Google Scholar] [CrossRef] [PubMed]
- Polat, E.; Celik, E.; Togac, M.; Sahin, A. Retinal neurodegeneration in metabolic syndrome: A spectral optical coherence tomography study. Int. J. Ophthalmol. 2023, 16, 224–232. [Google Scholar] [CrossRef] [PubMed]
- Lindner, M.; Arefnia, B.; Ivastinovic, D.; Sourij, H.; Lindner, E.; Wimmer, G. Association of periodontitis and diabetic macular edema in various stages of diabetic retinopathy. Clin. Oral Investig. 2022, 26, 505–512. [Google Scholar] [CrossRef] [PubMed]
- Colijn, J.M.; Buitendijk, G.H.S.; Prokofyeva, E.; Alves, D.; Cachulo, M.L.; Khawaja, A.P.; Cougnard-Gregoire, A.; Merle, B.M.J.; Korb, C.; Erke, M.G.; et al. Prevalence of Age-Related Macular Degeneration in Europe: The Past and the Future. Ophthalmology 2017, 124, 1753–1763. [Google Scholar] [CrossRef]
- Cicinelli, M.V.; Rabiolo, A.; Sacconi, R.; Lamanna, F.; Querques, L.; Bandello, F.; Querques, G. Retinal vascular alterations in reticular pseudodrusen with and without outer retinal atrophy assessed by optical coherence tomography angiography. Br. J. Ophthalmol. 2018, 102, 1192–1198. [Google Scholar] [CrossRef]
- Fernández-Navarro, J.; Aldea, P.; de Hoz, R.; Salazar, J.J.; Ramírez, A.I.; Rojas, B.; Gallego, B.I.; Triviño, A.; Tejerina, T.; Ramírez, J.M. Neuroprotective Effects of Low-Dose Statins in the Retinal Ultrastructure of Hypercholesterolemic Rabbits. PLoS ONE 2016, 11, e0154800. [Google Scholar] [CrossRef]
- Liu, J.; Wei, L.; Wang, Z.; Song, S.; Lin, Z.; Zhu, J.; Ren, X.; Kong, L. Protective effect of Liraglutide on diabetic retinal neurodegeneration via inhibiting oxidative stress and endoplasmic reticulum stress. Neurochem. Int. 2020, 133, 104624. [Google Scholar] [CrossRef]





| Parametres | Control | PD | MetS | PD-MetS | p Value | |
|---|---|---|---|---|---|---|
| Sex | Female | 11 (47.8) | 11 (47.8) | 13 (56.5) | 12 (52.2) | 0.224 |
| Male | 12(52.2) | 12 (52.2) | 10 (43.5) | 11 (47.8) | ||
| Age | 43 ± 8 | 44 ± 9 | 45 ± 8 | 44 ± 6 | 0.612 | |
| WC (cm) | 77 ± 10 | 81 ± 9 | 94 ± 7 * † | 95 ± 6 * † | <0.001 | |
| BMI (kg/m2) | 21.6 ± 4 | 21.8 ± 1.7 | 27.7 ± 2.3 * † | 30.7 ± 3.5 * † | <0.001 | |
| HbA1c (%) | 5.13 ± 0.58 | 5.22 ± 0.54 | 7.51 ± 0.59 * † | 7.45 ± 0.57 * † | <0.001 | |
Disclaimer/Publisher’s Note: The statements, opinions and data contained in all publications are solely those of the individual author(s) and contributor(s) and not of MDPI and/or the editor(s). MDPI and/or the editor(s) disclaim responsibility for any injury to people or property resulting from any ideas, methods, instructions or products referred to in the content. |
© 2024 by the authors. Licensee MDPI, Basel, Switzerland. This article is an open access article distributed under the terms and conditions of the Creative Commons Attribution (CC BY) license (https://creativecommons.org/licenses/by/4.0/).
Share and Cite
Arslan, H.; Yorgancilar, N.; Kose, O.; Aslan, M.G.; Altin, A.; Bayrakdar, S.K.; Yemenoglu, H.; Findik, H.; Yilmaz, A. Periodontitis Provokes Retinal Neurodegenerative Effects of Metabolic Syndrome: A Cross-Sectional Study. Dent. J. 2024, 12, 351. https://doi.org/10.3390/dj12110351
Arslan H, Yorgancilar N, Kose O, Aslan MG, Altin A, Bayrakdar SK, Yemenoglu H, Findik H, Yilmaz A. Periodontitis Provokes Retinal Neurodegenerative Effects of Metabolic Syndrome: A Cross-Sectional Study. Dentistry Journal. 2024; 12(11):351. https://doi.org/10.3390/dj12110351
Chicago/Turabian StyleArslan, Hatice, Nur Yorgancilar, Oguz Kose, Mehmet Gokhan Aslan, Ahmet Altin, Sevda Kurt Bayrakdar, Hatice Yemenoglu, Huseyin Findik, and Adnan Yilmaz. 2024. "Periodontitis Provokes Retinal Neurodegenerative Effects of Metabolic Syndrome: A Cross-Sectional Study" Dentistry Journal 12, no. 11: 351. https://doi.org/10.3390/dj12110351
APA StyleArslan, H., Yorgancilar, N., Kose, O., Aslan, M. G., Altin, A., Bayrakdar, S. K., Yemenoglu, H., Findik, H., & Yilmaz, A. (2024). Periodontitis Provokes Retinal Neurodegenerative Effects of Metabolic Syndrome: A Cross-Sectional Study. Dentistry Journal, 12(11), 351. https://doi.org/10.3390/dj12110351

