The Use of Potassium Iodide in Pediatric Dentistry Does Not Change the Retention of Glass Ionomer Cement on a Dentin Treated with Silver Fluoride: In Vitro Results
Abstract
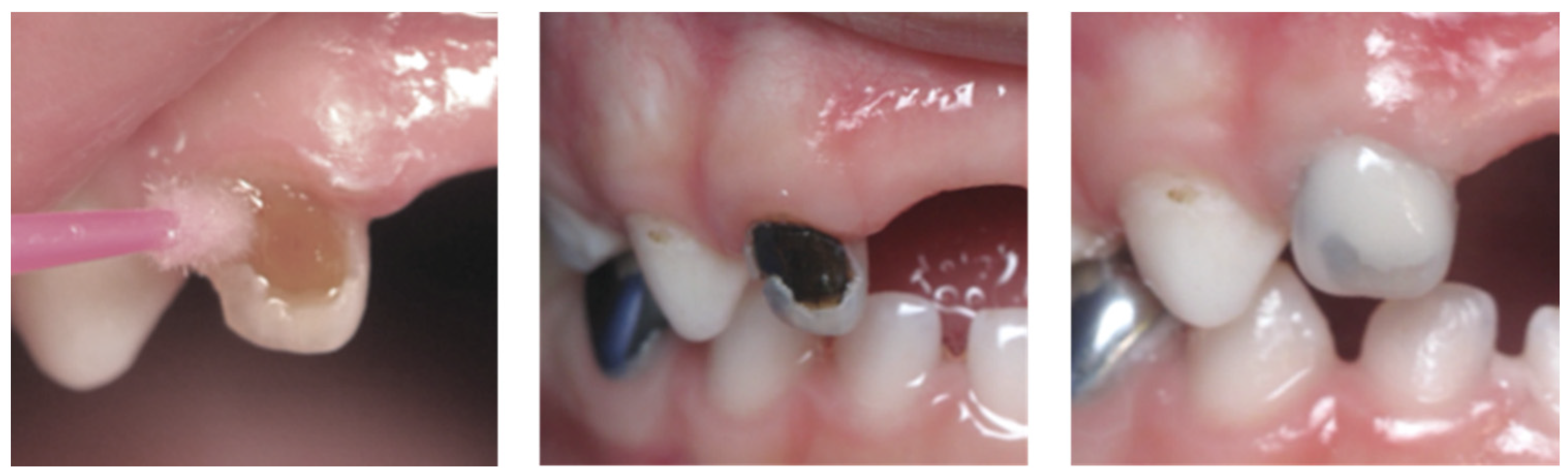
1. Introduction
2. Materials and Methods
2.1. Study Design
2.2. Tooth Preparation
2.3. Shear Bond Strength
2.4. Statistical Analyses
3. Results
3.1. Shear Bond Strength
3.2. Fracture Mode
4. Discussion
5. Conclusions
Author Contributions
Funding
Institutional Review Board Statement
Informed Consent Statement
Data Availability Statement
Acknowledgments
Conflicts of Interest
References
- Zheng, F.M.; Yan, I.G.; Duangthip, D.; Gao, S.S.; Lo, E.C.M.; Chu, C.H. Silver Diamine Fluoride Therapy for Dental Care. Jpn. Dent. Sci. Rev. 2022, 58, 249–257. [Google Scholar] [CrossRef] [PubMed]
- Gao, S.S.; Amarquaye, G.; Arrow, P.; Bansal, K.; Bedi, R.; Campus, G.; Chen, K.J.; Chibinski, A.C.R.; Chinzorig, T.; Crystal, Y.O.; et al. Global Oral Health Policies and Guidelines: Using Silver Diamine Fluoride for Caries Control. Front. Oral Health 2021, 2, 685557. [Google Scholar] [CrossRef] [PubMed]
- Li, R.; Lo, E.C.M.; Liu, B.Y.; Wong, M.C.M.; Chu, C.H. Randomized Clinical Trial on Arresting Dental Root Caries through Silver Diammine Fluoride Applications in Community-Dwelling Elders. J. Dent. 2016, 51, 15–20. [Google Scholar] [CrossRef] [PubMed]
- Garg, S.; Sadr, A.; Chan, D. Potassium Iodide Reversal of Silver Diamine Fluoride Staining: A Case Report. Oper. Dent. 2019, 44, 221–226. [Google Scholar] [CrossRef] [PubMed]
- Celiberti, P.; Francescut, P.; Lussi, A. Performance of Four Dentine Excavation Methods in Deciduous Teeth. Caries Res. 2006, 40, 117–123. [Google Scholar] [CrossRef] [PubMed]
- Aly, A.A.M.; Aziz, A.M.A.; Elghazawy, R.K.; El Fadl, R.K.A. Survival Analysis and Cost Effectiveness of Silver Modified Atraumatic Restorative Treatment (SMART) and ART Occlusal Restorations in Primary Molars: A Randomized Controlled Trial. J. Dent. 2023, 128, 104379. [Google Scholar] [CrossRef] [PubMed]
- Pinna, R.; Maioli, M.; Eramo, S.; Mura, I.; Milia, E. Carious Affected Dentine: Its Behaviour in Adhesive Bonding. Aust. Dent. J. 2015, 60, 276–293. [Google Scholar] [CrossRef] [PubMed]
- Maltz, M.; Oliveira, E.F.; Fontanella, V.; Carminatti, G. Deep Caries Lesions after Incomplete Dentine Caries Removal: 40-Month Follow-up Study. Caries Res. 2007, 41, 493–496. [Google Scholar] [CrossRef] [PubMed]
- Maltz, M.; de Oliveira, E.F.; Fontanella, V.; Bianchi, R. A Clinical, Microbiologic, and Radiographic Study of Deep Caries Lesions after Incomplete Caries Removal. Quintessence Int. 2002, 33, 151–159. [Google Scholar]
- Thompson, V.; Craig, R.G.; Curro, F.A.; Green, W.S.; Ship, J.A. Treatment of Deep Carious Lesions by Complete Excavation or Partial Removal: A Critical Review. J. Am. Dent. Assoc. 2008, 139, 705–712. [Google Scholar] [CrossRef]
- Stebbins, E.A. What Value Has Argenti Nitras as a Therapeutic Agent in Dentistry? Int. Dent. J. 1891, 12, 661–671. [Google Scholar]
- Subbiah, G.K.; Gopinathan, N.M. Is Silver Diamine Fluoride Effective in Preventing and Arresting Caries in Elderly Adults? A Systematic Review. J. Int. Soc. Prev. Community Dent. 2018, 8, 191–199. [Google Scholar] [CrossRef] [PubMed]
- Nishino, M.; Yoshida, S.; Sobue, S.; Kato, J.; Nishida, M. Effect of Topically Applied Ammoniacal Silver Fluoride on Dental Caries in Children. J. Osaka Univ. Dent. Sch. 1969, 9, 149–155. [Google Scholar] [PubMed]
- Gotjamanos, T. Pulp Response in Primary Teeth with Deep Residual Caries Treated with Silver Fluoride and Glass Ionomer Cement (‘Atraumatic’ Technique). Aust. Dent. J. 1996, 41, 328–334. [Google Scholar] [CrossRef] [PubMed]
- Mei, M.L.; Chu, C.H.; Lo, E.C.M.; Samaranayake, L.P. Fluoride and Silver Concentrations of Silver Diammine Fluoride Solutions for Dental Use. Int. J. Paediatr. Dent. 2013, 23, 279–285. [Google Scholar] [CrossRef] [PubMed]
- Horst, J.A. Silver Fluoride as a Treatment for Dental Caries. Adv. Dent. Res. 2018, 29, 135–140. [Google Scholar] [CrossRef] [PubMed]
- Chu, C.H.; Lo, E.C.M.; Lin, H.C. Effectiveness of Silver Diamine Fluoride and Sodium Fluoride Varnish in Arresting Dentin Caries in Chinese Pre-School Children. J. Dent. Res. 2002, 81, 767–770. [Google Scholar] [CrossRef] [PubMed]
- Liu, Y.; Zhai, W.; Du, F. [Clinical observation of treatment of tooth hypersensitiveness with silver ammonia fluoride and potassium nitrate solution]. Zhonghua Kou Qiang Yi Xue Za Zhi 1995, 30, 352–354. [Google Scholar] [PubMed]
- Ten Cate, J.M. Contemporary Perspective on the Use of Fluoride Products in Caries Prevention. Br. Dent. J. 2013, 214, 161–167. [Google Scholar] [CrossRef]
- Shimooka, S. [On the penetration of silver nitrate and ammoniacal silver fluoride into microstructure of the sound dentin]. Shigaku 1972, 59, 534–566. [Google Scholar]
- Rosenblatt, A.; Stamford, T.C.M.; Niederman, R. Silver Diamine Fluoride: A Caries “Silver-Fluoride Bullet”. J. Dent. Res. 2009, 88, 116–125. [Google Scholar] [CrossRef] [PubMed]
- François, P.; Greenwall-Cohen, J.; Le Goff, S.; Ruscassier, N.; Attal, J.-P.; Dursun, E. Shear Bond Strength and Interfacial Analysis of High-Viscosity Glass Ionomer Cement Bonded to Dentin with Protocols Including Silver Diammine Fluoride. J. Oral Sci. 2020, 62, 444–448. [Google Scholar] [CrossRef] [PubMed]
- Rossi, G.; Squassi, A.; Mandalunis, P.; Kaplan, A. Effect of Silver Diamine Fluoride (SDF) on the Dentin-Pulp Complex: Ex Vivo Histological Analysis on Human Primary Teeth and Rat Molars. Acta Odontol. Latinoam. 2017, 30, 5–12. [Google Scholar] [PubMed]
- Duangthip, D.; Fung, M.H.T.; Wong, M.C.M.; Chu, C.H.; Lo, E.C.M. Adverse Effects of Silver Diamine Fluoride Treatment among Preschool Children. J. Dent. Res. 2018, 97, 395–401. [Google Scholar] [CrossRef] [PubMed]
- Horst, J.A.; Ellenikiotis, H.; Milgrom, P.M. UCSF Protocol for Caries Arrest Using Silver Diamine Fluoride: Rationale, Indications, and Consent. J. Calif. Dent. Assoc. 2016, 44, 16–28. [Google Scholar] [CrossRef] [PubMed]
- Khor, M.M.-Y.; Rosa, V.; Sim, C.J.; Hong, C.H.L.; Hu, S. SMART: Silver Diamine Fluoride Reduces Microtensile Bond Strength of Glass Ionomer Cement to Sound and Artificial Caries-Affected Dentin. Dent. Mater. J. 2022, 41, 698–704. [Google Scholar] [CrossRef] [PubMed]
- Vishwanath, N.; Whitaker, C.; Allu, S.; Clippert, D.; Jouffroy, E.; Hong, J.; Stone, B.; Connolly, W.; Barrett, C.C.; Antoci, V.; et al. Silver as an Antibiotic-Independent Antimicrobial: Review of Current Formulations and Clinical Relevance. Surg. Infect. 2022, 23, 769–780. [Google Scholar] [CrossRef] [PubMed]
- Knight, G.M.; McIntyre, J.M.; Craig, G.G.; Mulyani; Zilm, P.S.; Gully, N.J. Inability to Form a Biofilm of Streptococcus Mutans on Silver Fluoride- and Potassium Iodide-Treated Demineralized Dentin. Quintessence Int. 2009, 40, 155–161. [Google Scholar] [PubMed]
- Wakshlak, R.B.-K.; Pedahzur, R.; Avnir, D. Antibacterial Activity of Silver-Killed Bacteria: The “Zombies” Effect. Sci. Rep. 2015, 5, 9555. [Google Scholar] [CrossRef]
- Mei, M.L.; Ito, L.; Cao, Y.; Li, Q.L.; Lo, E.C.M.; Chu, C.H. Inhibitory Effect of Silver Diamine Fluoride on Dentine Demineralisation and Collagen Degradation. J. Dent. 2013, 41, 809–817. [Google Scholar] [CrossRef]
- Weerheijm, K.L. Molar Incisor Hypomineralization (MIH): Clinical Presentation, Aetiology and Management. Dent. Update 2004, 31, 9–12. [Google Scholar] [CrossRef] [PubMed]
- Ballikaya, E.; Ünverdi, G.E.; Cehreli, Z.C. Management of Initial Carious Lesions of Hypomineralized Molars (MIH) with Silver Diamine Fluoride or Silver-Modified Atraumatic Restorative Treatment (SMART): 1-Year Results of a Prospective, Randomized Clinical Trial. Clin. Oral. Investig. 2022, 26, 2197–2205. [Google Scholar] [CrossRef] [PubMed]
- Luong, M.; Sadr, A.; Chan, D. Dentin Discoloration and Pulpal Ion Concentrations Following Silver Diamine Fluoride and Potassium Iodide Treatment. Oper. Dent. 2022, 47, 640–647. [Google Scholar] [CrossRef] [PubMed]
- Clemens, J.; Gold, J.; Chaffin, J. Effect and Acceptance of Silver Diamine Fluoride Treatment on Dental Caries in Primary Teeth. J. Public Health Dent. 2018, 78, 63–68. [Google Scholar] [CrossRef] [PubMed]
- Tesoriero, J.; Lee, A. Parental Acceptance of Silver Diamine Fluoride. In Proceedings of the American Association of Pediatric Dentistry 69th Annual Session, San Antonio, TX, USA, 29 May 2016. [Google Scholar]
- Van Duker, M.; Hayashi, J.; Chan, D.C.; Tagami, J.; Sadr, A. Effect of Silver Diamine Fluoride and Potassium Iodide on Bonding to Demineralized Dentin. Am. J. Dent. 2019, 32, 143–146. [Google Scholar] [PubMed]
- Sa’ada, M.M.A.; Khattab, N.M.A.; Amer, M.I. Effect of Silver Diamine Fluoride Pretreatment on Shear Bond Strength of Resin Modified Glass Ionomer Cement to Primary Dentin. Open Access Maced. J. Med. Sci. 2021, 9, 243–247. [Google Scholar] [CrossRef]
- Uchil, S.R.; Suprabha, B.S.; Suman, E.; Shenoy, R.; Natarajan, S.; Rao, A. Effect of Three Silver Diamine Fluoride Application Protocols on the Microtensile Bond Strength of Resin-Modified Glass Ionomer Cement to Carious Dentin in Primary Teeth. J. Indian Soc. Pedod. Prev. Dent. 2020, 38, 138–144. [Google Scholar] [CrossRef]


| Fracture Mode | Cohesive | Adhesive | Mixture | p-Value | |
|---|---|---|---|---|---|
| Primary teeth | IP+ group (n = 4) | 0 | 4 (100%) | 0 | >0.99 |
| IP− group (n = 4) | 0 | 4 (100%) | 0 | ||
| Permanent teeth | IP+ group (n = 11) | 0 | 11 (100%) | 0 | 0.47 |
| IP− group (n = 11) | 0 | 9 (81.8%) | 2 (18.2%) |
Disclaimer/Publisher’s Note: The statements, opinions and data contained in all publications are solely those of the individual author(s) and contributor(s) and not of MDPI and/or the editor(s). MDPI and/or the editor(s) disclaim responsibility for any injury to people or property resulting from any ideas, methods, instructions or products referred to in the content. |
© 2024 by the authors. Licensee MDPI, Basel, Switzerland. This article is an open access article distributed under the terms and conditions of the Creative Commons Attribution (CC BY) license (https://creativecommons.org/licenses/by/4.0/).
Share and Cite
Gotas, L.; Canceill, T.; Joniot, S. The Use of Potassium Iodide in Pediatric Dentistry Does Not Change the Retention of Glass Ionomer Cement on a Dentin Treated with Silver Fluoride: In Vitro Results. Dent. J. 2024, 12, 177. https://doi.org/10.3390/dj12060177
Gotas L, Canceill T, Joniot S. The Use of Potassium Iodide in Pediatric Dentistry Does Not Change the Retention of Glass Ionomer Cement on a Dentin Treated with Silver Fluoride: In Vitro Results. Dentistry Journal. 2024; 12(6):177. https://doi.org/10.3390/dj12060177
Chicago/Turabian StyleGotas, Louise, Thibault Canceill, and Sabine Joniot. 2024. "The Use of Potassium Iodide in Pediatric Dentistry Does Not Change the Retention of Glass Ionomer Cement on a Dentin Treated with Silver Fluoride: In Vitro Results" Dentistry Journal 12, no. 6: 177. https://doi.org/10.3390/dj12060177
APA StyleGotas, L., Canceill, T., & Joniot, S. (2024). The Use of Potassium Iodide in Pediatric Dentistry Does Not Change the Retention of Glass Ionomer Cement on a Dentin Treated with Silver Fluoride: In Vitro Results. Dentistry Journal, 12(6), 177. https://doi.org/10.3390/dj12060177

