Multifocal Oral Mucosal Melanoma with an Atypical Clinical Presentation
Abstract
1. Introduction
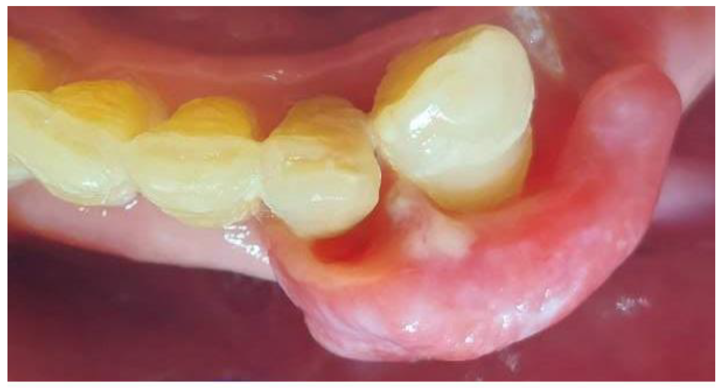
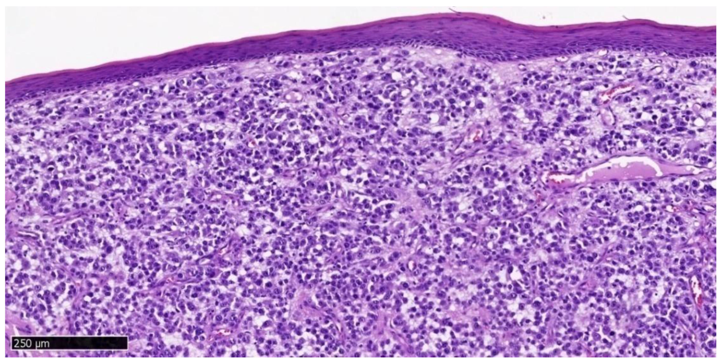
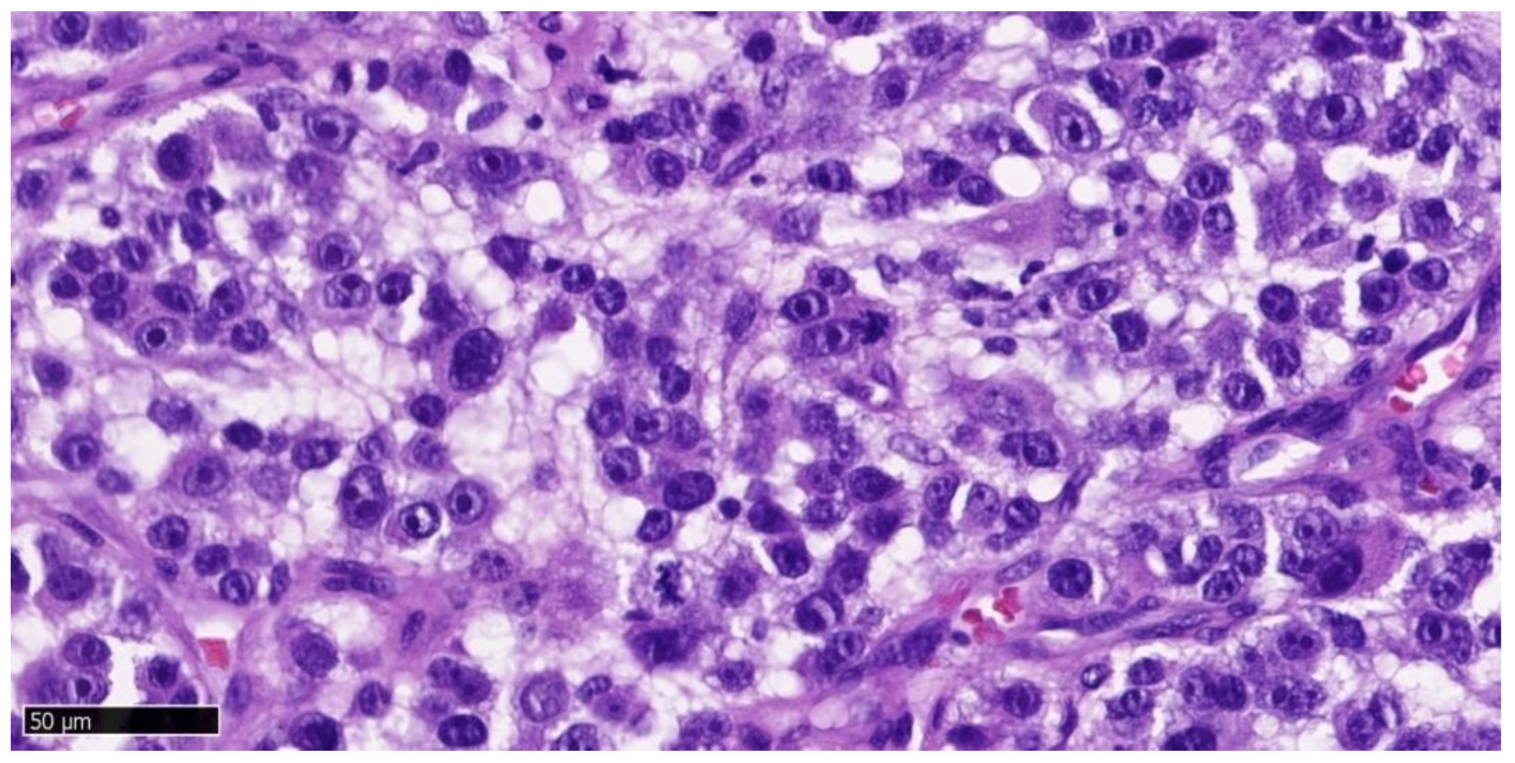
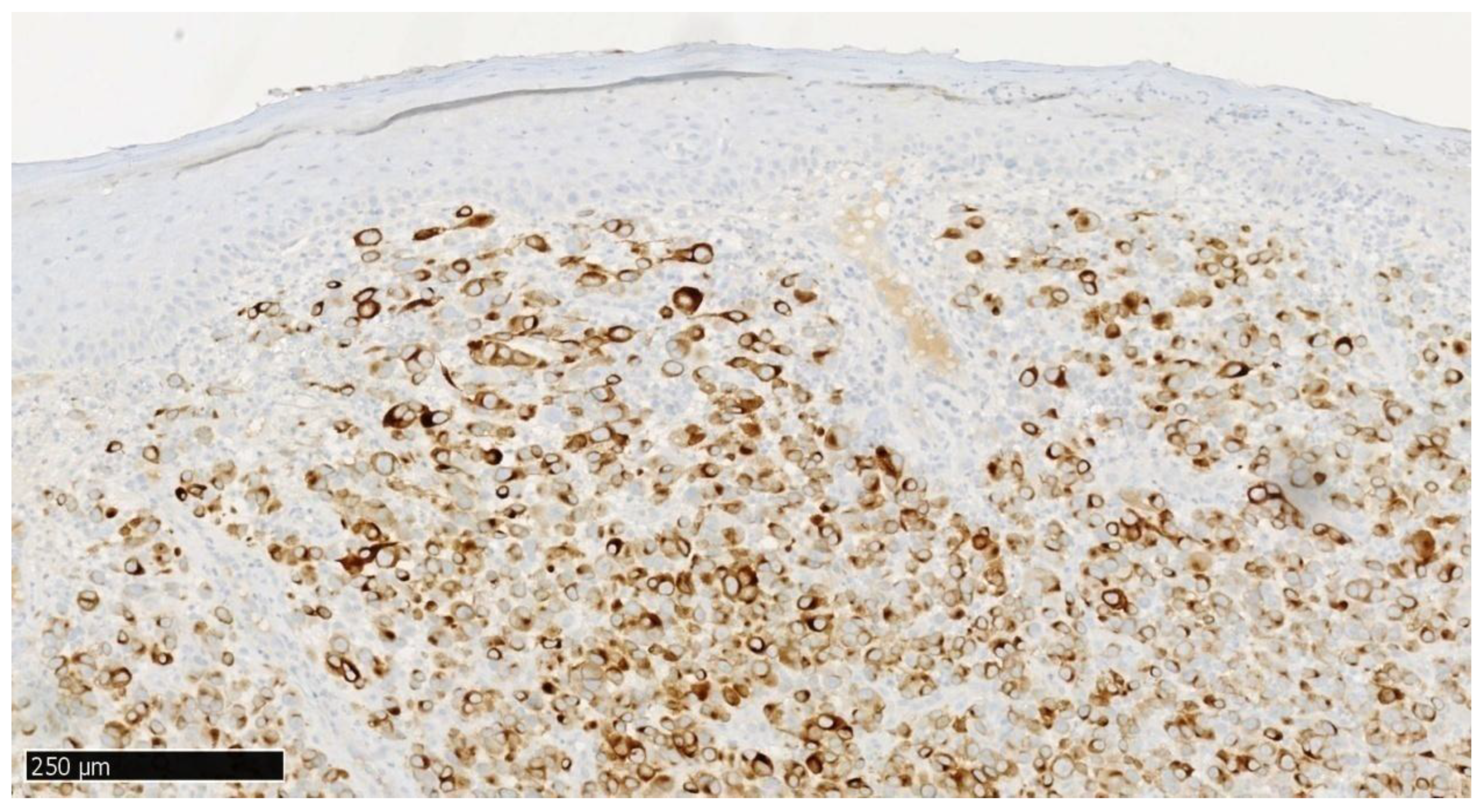
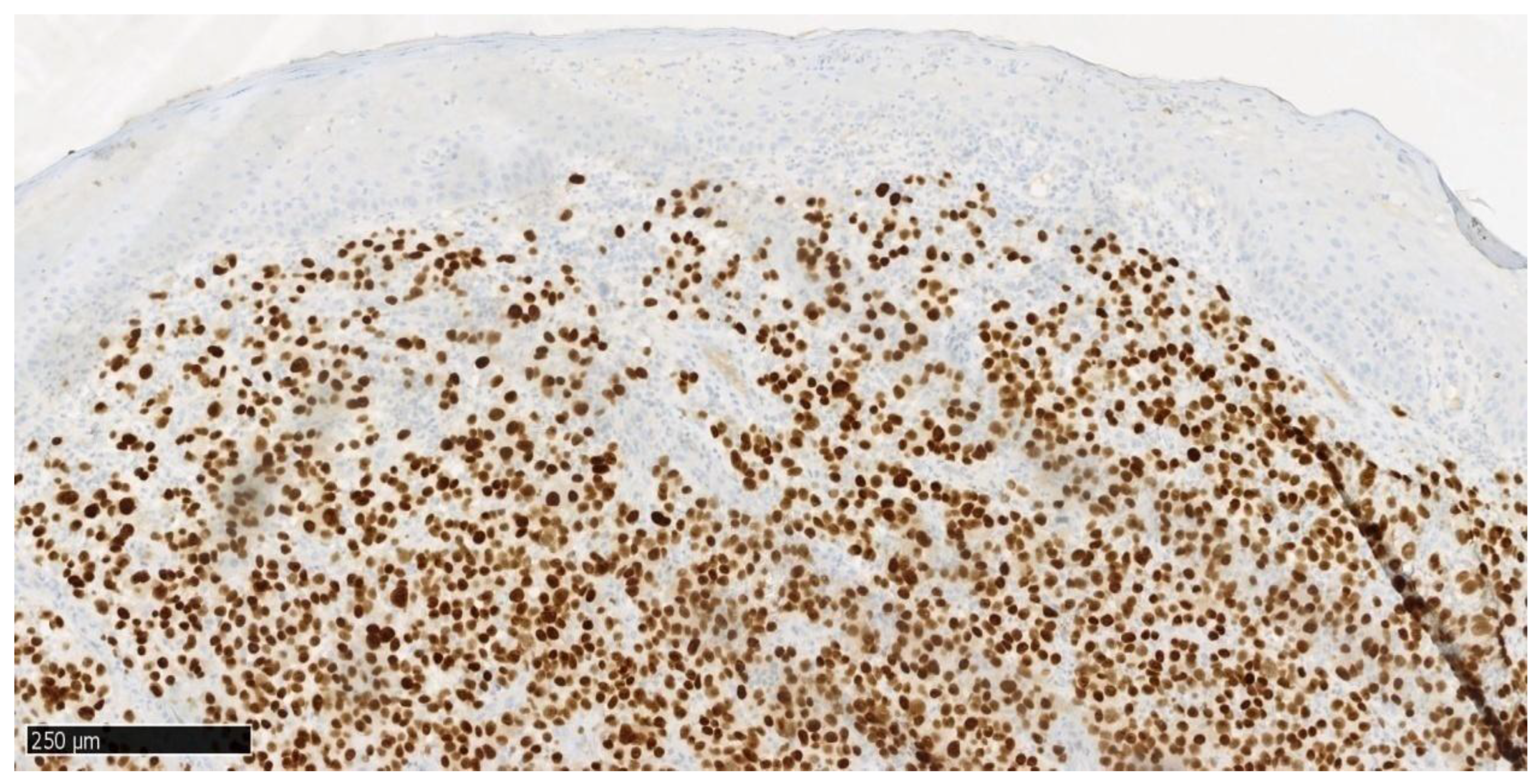
2. Case Presentation
3. Discussion
4. Conclusions
Supplementary Materials
Author Contributions
Funding
Institutional Review Board Statement
Informed Consent Statement
Conflicts of Interest
References
- Napierała, M.J.; Czarnecka, A.M. Mucosal melanoma—Clinical presentation and treatment based on a case series. Oncol. Clin. Pract. 2019, 15, 223–230. [Google Scholar] [CrossRef]
- Reddy, B.V.; Sridhar, G.R.; Anuradha, C.H.; Chandrasekhar, P.; Lingamaneni, K.P. Malignant melanoma of the mandibular gingiva: A rare occurrence. Indian J. Dent. Res. 2010, 21, 302–305. [Google Scholar] [CrossRef] [PubMed]
- Hsiao, K.Y.; Liu, C.S.; Wong, T.Y.; Huang, J.S.; Chen, K.C.; Huang, T.T. Oral mucosa malignant melanoma: Clinical features, diagnosis, treatment, and a case report. J. Dent. Probl. Solut. 2015, 2, 19–24. [Google Scholar]
- Pradhan, P.; Adhya, A.K. Extensive malignant melanoma of the oral cavity: A rare occurrence. Autops. Case Rep. 2021, 11, e2021299. [Google Scholar] [CrossRef] [PubMed] [PubMed Central]
- Feller, L.; Khammissa, R.A.G.; Lemmer, J. A Review of the Aetiopathogenesis and Clinical and Histopathological Features of Oral Mucosal Melanoma. Sci. World J. 2017, 2017, 9189812. [Google Scholar] [CrossRef]
- Meleti, M.; Leemans, C.R.; Mooi, W.J.; Vescovi, P.; van der Waal, I. Oral malignant melanoma: A review of the literature. Oral Oncol. 2007, 43, 116–121. [Google Scholar] [CrossRef] [PubMed]
- Khalifa, H.; Abdullah, S.; Sallam, K.; Khalil, H.; Moneim, I.A.; Elaffandi, A. Primary malignant melanoma of the tongue. Can. J. Surg. 2009, 52, E309–E311. [Google Scholar] [PubMed] [PubMed Central]
- Santeufemia, D.A.; Palmieri, G.; Miolo, G.; Colombino, M.; Doro, M.G.; Frogheri, L.; Paliogiannis, P.; Capobianco, G.; Madonia, M.; Cossu, A.; et al. Current Trends in Mucosal Melanomas: An Overview. Cancers 2023, 15, 1356. [Google Scholar] [CrossRef] [PubMed]
- Newell, F.; Kong, Y.; Wilmott, J.S.; Johansson, P.A.; Ferguson, P.M.; Cui, C.; Li, Z.; Kazakoff, S.H.; Burke, H.; Dodds, T.J.; et al. Whole-genome landscape of mucosal melanoma reveals diverse drivers and therapeutic targets. Nat. Commun. 2019, 10, 3163. [Google Scholar] [CrossRef] [PubMed]
- Ma, Y.; Xia, R.; Ma, X.; Judson-Torres, R.L.; Zeng, H. Mucosal Melanoma: Pathological Evolution, Pathway Dependency and Targeted Therapy. Front. Oncol. 2021, 11, 702287. [Google Scholar] [CrossRef]
- Lian, B.; Guo, J. Therapeutic Approaches to Mucosal Melanoma. Am. Soc. Clin. Oncol. Educ. Book 2025, 45, e4733858. [Google Scholar] [CrossRef]
- Nassar, K.W.; Tan, A.C. The mutational landscape of mucosal melanoma. Semin. Cancer Biol. 2020, 61, 139–148. [Google Scholar] [CrossRef] [PubMed] [PubMed Central]
- Barabás, J.; Suba, Z.; Szabó, G.; Ujpál, M. Melanoma malignum metasztásisok a szájüregben [Malignant melanoma metastasis in the oral cavity]. Fogorv. Sz. 2006, 99, 149–152. [Google Scholar] [PubMed]
- Lamichhane, N.S.; An, J.; Liu, Q.; Zhang, W. Primary malignant mucosal melanoma of the upper lip: A case report and review of the literature. BMC Res. Notes 2015, 8, 499. [Google Scholar] [CrossRef][Green Version]
- Xavier-Junior, J.C.C.; Ocanha-Xavier, J.P.; Asato, M.A.; Bernabé, D.G. The “AEIOU” system to identify primary oral melanoma. Oral Oncol. 2022, 124, 105670. [Google Scholar] [CrossRef] [PubMed]
- Santos, R.S.; Andrade, M.F.; Alves, F.A.; Kowalski, L.P.; Perez, D.E. Metastases of Melanoma to Head and Neck Mucosa: A Report of Short Series. Clin. Exp. Otorhinolaryngol. 2016, 9, 80–84. [Google Scholar] [CrossRef] [PubMed] [PubMed Central]
- Thuaire, A.; Nicot, R.; Boileau, M.; Raoul, G.; Descarpentries, C.; Mouawad, F.; Germain, N.; Mortier, L.; Schlund, M. Oral mucosal melanoma—A systematic review. J. Stomatol. Oral Maxillofac. Surg. 2022, 123, e425–e432. [Google Scholar] [CrossRef] [PubMed]
- Billings, K.R.; Wang, M.B.; Sercarz, J.A.; Fu, Y.S. Clinical and pathologic distinction between primary and metastatic mucosal melanoma of the head and neck. Otolaryngol. Head Neck Surg. 1995, 112, 700–706. [Google Scholar] [CrossRef] [PubMed]
- Rosu, O.A.; Tolea, M.I.; Parosanu, A.I.; Stanciu, M.I.; Cotan, H.T.; Nitipir, C. Challenges in the Diagnosis and Treatment of Oral Amelanotic Malignant Melanoma: A Case Report. Cureus 2024, 16, e57875. [Google Scholar] [CrossRef] [PubMed]
- Clavero-Rovira, L.; Gómez-Tomás, Á.; Bassas-Freixas, P.; Bodet, D.; Ferrer, B.; Hernández-Losa, J.; Muñoz-Couselo, E.; Pérez-Benavente, A.; García-Patos, V.; Ferrándiz-Pulido, C. Mucosal Melanoma Clinical Management and Prognostic Implications: A Retrospective Cohort Study. Cancers 2024, 16, 227. [Google Scholar] [CrossRef] [PubMed] [PubMed Central]
- Todorovic, N.; Djurkovic, P.; Krstic, A.; Tomanovic, N.; Milanovic, P.; Kablar, D.; Rajkovic Pavlovic, Z.; Stevanovic, M.; Milanovic, J.; Arnaut, A.; et al. Primary Sinonasal Mucosal Melanoma: A Narrative Review. Diagnostics 2025, 15, 496. [Google Scholar] [CrossRef]
- Baranovic, S.; Milenovic, A. Melanoma metastasis to the oral cavity: A rare case report and literature review. J. Clin. Investig. Surg. 2022, 7, 100–103. [Google Scholar] [CrossRef]
- Panda, S.; Misra, S.R.; Champatyray, S.; Mohanty, N. Amelanotic melanoma of the palate: Report of a case. BMJ Case Rep. 2022, 15, e249027. [Google Scholar] [CrossRef]
- Abati, S.; Sandri, G.F.; Finotello, L.; Polizzi, E. Differential Diagnosis of Pigmented Lesions in the Oral Mucosa: A Clinical Based Overview and Narrative Review. Cancers 2024, 16, 2487. [Google Scholar] [CrossRef]
- Nisi, M.; Izzetti, R.; Gennai, S.; Pucci, A.; Lenzi, C.; Graziani, F. Oral Mucosal Melanoma. J. Craniofac. Surg. 2022, 33, 830–834. [Google Scholar] [CrossRef] [PubMed]
- Dika, E.; Lambertini, M.; Pellegrini, C.; Veronesi, G.; Melotti, B.; Riefolo, M.; Sperandi, F.; Patrizi, A.; Ricci, C.; Mussi, M.; et al. Cutaneous and Mucosal Melanomas of Uncommon Sites: Where Do We Stand Now? J. Clin. Med. 2021, 10, 478. [Google Scholar] [CrossRef] [PubMed]
- Saidi, B.; Fallahi, B.; Fard-Esfahani, A.; Emami-Ardekani, A.; Eftekhari, M. Non-Cutaneous Melanoma, Findings and Prognostic Value of FDG PET/CT: A Case Series of 23 Patients and Review of the Literature. Asia Ocean J. Nucl. Med. Biol. 2022, 10, 91–99. [Google Scholar] [CrossRef] [PubMed] [PubMed Central]
- Warszawik-Hendzel, O.; Słowińska, M.; Olszewska, M.; Rudnicka, L. Melanoma of the oral cavity: Pathogenesis, dermoscopy, clinical features, staging and management. J. Dermatol. Case Rep. 2014, 8, 60–66. [Google Scholar] [CrossRef] [PubMed] [PubMed Central]
- Jou, A.; Miranda, F.V.; Oliveira, M.G.; Martins, M.D.; Rados, P.V.; Filho, M.S. Oral desmoplastic melanoma mimicking inflammatory hyperplasia. Gerodontology 2012, 29, e1163–e1167. [Google Scholar] [CrossRef][Green Version]
- Soares, C.D.; Carlos, R.; Andrade, B.A.B.; Cunha, J.L.S.; Agostini, M.; Romañach, M.J.; Hernandez-Guerrero, J.C.; Mosqueda-Taylor, A.; Almeida, O.P.; Jorge, J. Oral Amelanotic Melanomas: Clinicopathologic Features of 8 Cases and Review of the Literature. Int. J. Surg. Pathol. 2021, 29, 263–272. [Google Scholar] [CrossRef] [PubMed]
- Limongelli, L.; Cascardi, E.; Capodiferro, S.; Favia, G.; Corsalini, M.; Tempesta, A.; Maiorano, E. Multifocal Amelanotic Melanoma of the Hard Palate: A Challenging Case. Diagnostics 2020, 10, 424. [Google Scholar] [CrossRef]
- Karp, P.; Lewkowicz, N.; Żebrowska, A. Mucosal melanoma—Diagnostic challenge. Dermatol. Rev. 2024, 111, 31–38. [Google Scholar] [CrossRef]
- Olla, D.; Neumeister, M.W. Mucosal Melanoma. Clin. Plast. Surg. 2021, 48, 707–711. [Google Scholar] [CrossRef]
- Sergi, M.C.; Filoni, E.; Triggiano, G.; Cazzato, G.; Internò, V.; Porta, C.; Tucci, M. Mucosal Melanoma: Epidemiology, Clinical Features, and Treatment. Curr. Oncol. Rep. 2023, 25, 1247–1258. [Google Scholar] [CrossRef]
- Mendenhall, W.M.; Amdur, R.J.; Hinerman, R.W.; Werning, J.W.; Villaret, D.B.; Mendenhall, N.P. Head and neck mucosal melanoma. Am. J. Clin. Oncol. 2005, 28, 626–630. [Google Scholar] [CrossRef]
- Aide, N.; Iravani, A.; Prigent, K.; Kottler, D.; Alipour, R.; Hicks, R.J. PET/CT variants and pitfalls in malignant melanoma. Cancer Imaging 2022, 22, 3. [Google Scholar] [CrossRef] [PubMed]
- Bezerra Toscano de Mendonça, U.; Guimarães Soffientini, J.; Ficher Barbosa, V.; Cozer, K. Mucosal Melanoma of the Head and Neck: From Diagnosis to Treatment. In Melanoma; IntechOpen: London, UK, 2021. [Google Scholar] [CrossRef]
- Barata, B.; Freitas, F.; Vilares, M.; Caramês, J. Oral mucosal melanoma: A systematic review of case reports and case series. J. Oral Maxillofac. Surg. Med. Pathol. 2024, 36, 388–395. [Google Scholar] [CrossRef]
- Cummings, C.A.; Peters, E.; Lacroix, L.; Andre, F.; Lackner, M.R. The Role of Next-Generation Sequencing in Enabling Personalized Oncology Therapy. Clin. Transl. Sci. 2016, 9, 283–292. [Google Scholar] [CrossRef]
- Hadd, A.G.; Houghton, J.; Choudhary, A.; Sah, S.; Chen, L.; Marko, A.C.; Sanford, T.; Buddavarapu, K.; Krosting, J.; Garmire, L.; et al. Targeted, high-depth, next-generation sequencing of cancer genes in formalin-fixed, paraffin-embedded and fine-needle aspiration tumor specimens. J. Mol. Diagn. 2013, 15, 234–247. [Google Scholar] [CrossRef] [PubMed]
- Zamani-Siahkali, N.; Mirshahvalad, S.A.; Pirich, C.; Beheshti, M. Diagnostic Performance of [18F]F-FDG Positron Emission Tomography (PET) in Non-Ophthalmic Malignant Melanoma: A Systematic Review and Meta-Analysis of More than 10,000 Melanoma Patients. Cancers 2024, 16, 215. [Google Scholar] [CrossRef]
- Qamer, Z.A.; Maharjan, M.; Jandrasupalli, K.K.; Lokesh, B.; Tyagi, A.; Phulware, R.H. Mucosal melanoma of hard palate. Autops. Case Rep. 2024, 14, e2024522. [Google Scholar] [CrossRef] [PubMed] [PubMed Central]
- Amin, M.B.; Edge, S.; Greene, F.; Byrd, D.R.; Brookland, R.K.; Washington, M.K.; Gershenwald, J.E.; Compton, C.C.; Hess, K.R.; Sullivan, D.C.; et al. AJCC Cancer Staging Manual, 8th ed.; Springer: New York, NY, USA, 2017; pp. 295–302. [Google Scholar]
- Kim, J.E.; Chung, B.Y.; Sim, C.Y.; Park, A.Y.; Lee, J.S.; Whang, K.U.; Park, Y.L.; Kim, H.O.; Park, C.W.; Lee, S.Y. Clinicopathologic Features and Prognostic Factors of Primary Cutaneous Melanoma: A Multicenter Study in Korea. J. Korean Med. Sci. 2019, 34, e126. [Google Scholar] [CrossRef] [PubMed]










| Step 1: Initial Clinical Assessment | |
| Assess lesion characteristics: color, size, shape, surface, symmetry, borders, growth rate | |
| Identify symptoms: pain, bleeding, ulceration. | |
| Review patient history: trauma, systemic disease, medications, previous malignancies. | |
| Step 2: Risk Stratification | |
| Low-risk features: small, stable, uniform color, smooth surface, asymptomatic → monitor and document. | |
| High-risk features: rapidly growing, irregular shape/borders, multiple colors, ulceration, bleeding, persistent > 2 weeks, previous melanoma → proceed to biopsy. | |
| Step 3: Basic Investigations | |
| Intraoral photographs. | |
| Radiographs if bone involvement suspected. | |
| Consider initial lab tests if systemic disease suspected. | |
| Step 4: Biopsy Decision | |
| Indicated for any high-risk lesion or atypical presentation. | |
| Type of biopsy: excisional if small, incisional if large or anatomically challenging. | |
| Ensure adequate margins for histopathological assessment. | |
| Step 5: Histopathological and Immunohistochemical Analysis | |
| Standard H&E staining. | |
| Immunohistochemistry: S100, SOX10, HMB45, Melan-A, Ki-67. | |
| Molecular testing (KIT, NRAS, BRAF) if clinically relevant. | |
| Step 6: Multidisciplinary Team (MDT) Review | |
| Pathologist, oral/maxillofacial surgeon, oncologist, radiotherapist. | |
| Decide on definitive treatment and follow-up schedule. | |
| Step 7: Follow-Up | |
| Clinical examination every 3–6 months. | |
| Imaging (CT/MRI) as indicated. | |
| Educate patient on self-monitoring for new lesions. | |
Disclaimer/Publisher’s Note: The statements, opinions and data contained in all publications are solely those of the individual author(s) and contributor(s) and not of MDPI and/or the editor(s). MDPI and/or the editor(s) disclaim responsibility for any injury to people or property resulting from any ideas, methods, instructions or products referred to in the content. |
© 2025 by the authors. Licensee MDPI, Basel, Switzerland. This article is an open access article distributed under the terms and conditions of the Creative Commons Attribution (CC BY) license (https://creativecommons.org/licenses/by/4.0/).
Share and Cite
Podlińska, K.; Monist, M.; Sławińska, M.; Popowski, W. Multifocal Oral Mucosal Melanoma with an Atypical Clinical Presentation. Dent. J. 2025, 13, 432. https://doi.org/10.3390/dj13090432
Podlińska K, Monist M, Sławińska M, Popowski W. Multifocal Oral Mucosal Melanoma with an Atypical Clinical Presentation. Dentistry Journal. 2025; 13(9):432. https://doi.org/10.3390/dj13090432
Chicago/Turabian StylePodlińska, Klaudia, Monika Monist, Magdalena Sławińska, and Wojciech Popowski. 2025. "Multifocal Oral Mucosal Melanoma with an Atypical Clinical Presentation" Dentistry Journal 13, no. 9: 432. https://doi.org/10.3390/dj13090432
APA StylePodlińska, K., Monist, M., Sławińska, M., & Popowski, W. (2025). Multifocal Oral Mucosal Melanoma with an Atypical Clinical Presentation. Dentistry Journal, 13(9), 432. https://doi.org/10.3390/dj13090432

