Uncovering and Autonomous Eruption of Palatally Impacted Canines—A Case Report
Abstract
1. Background
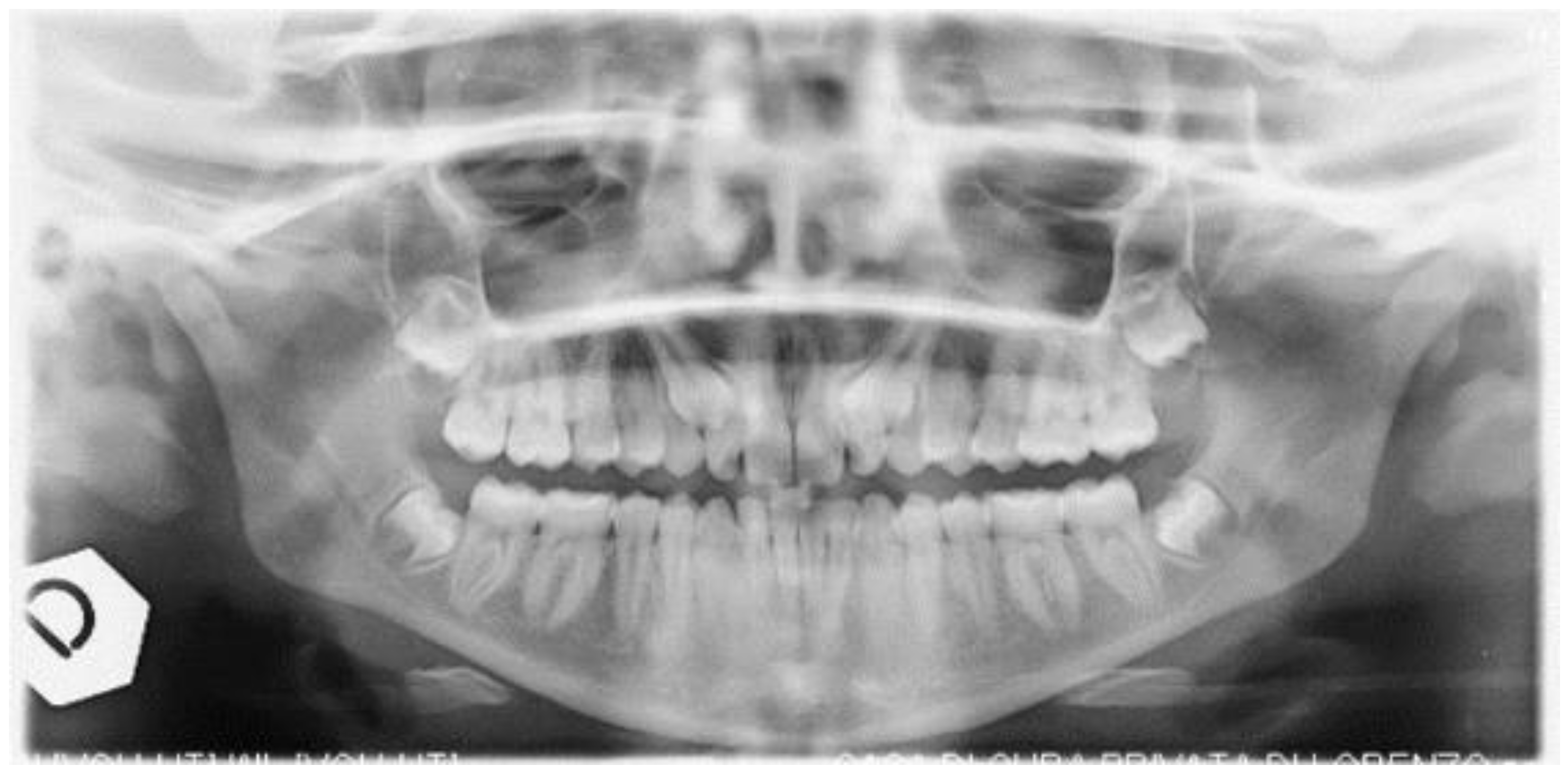
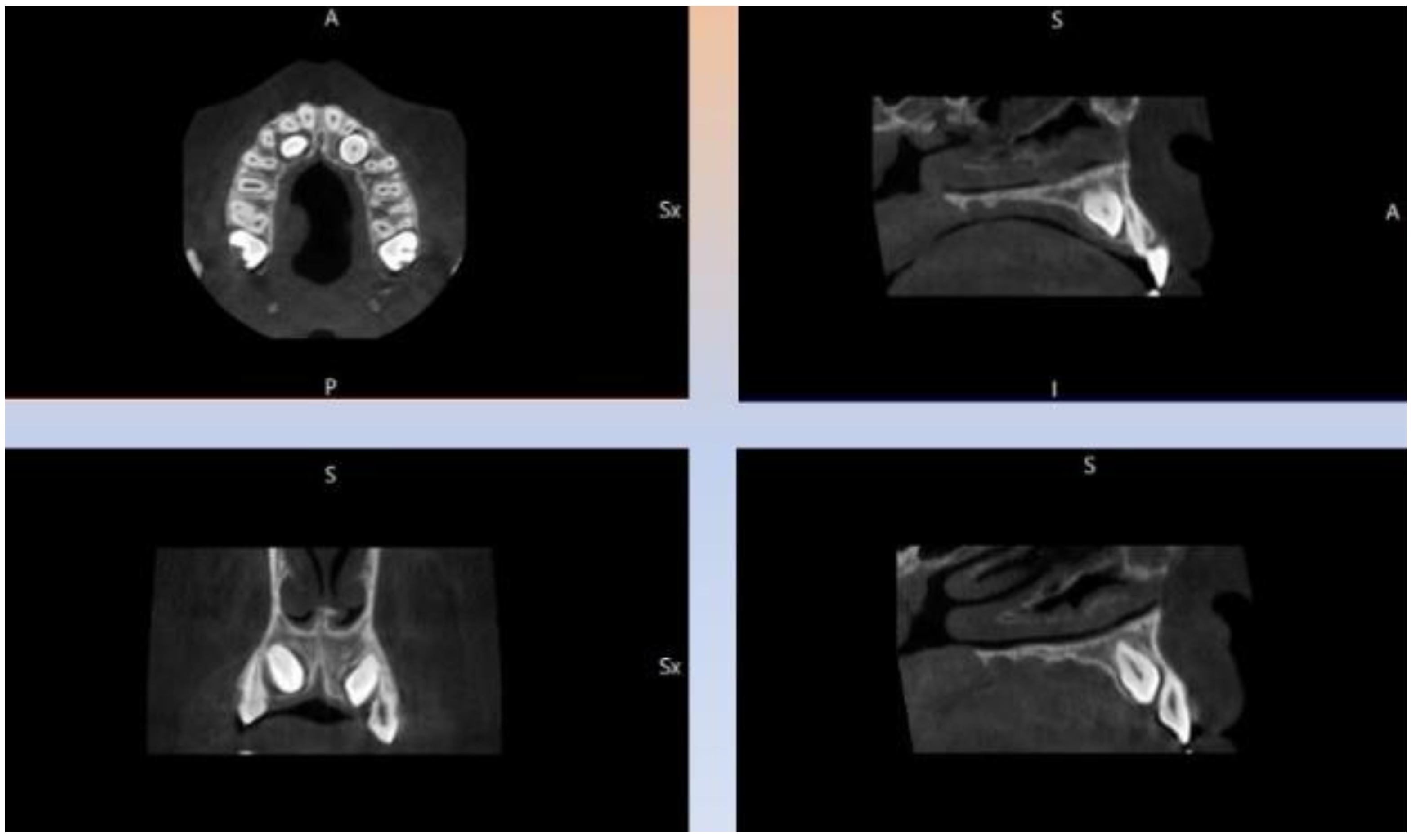
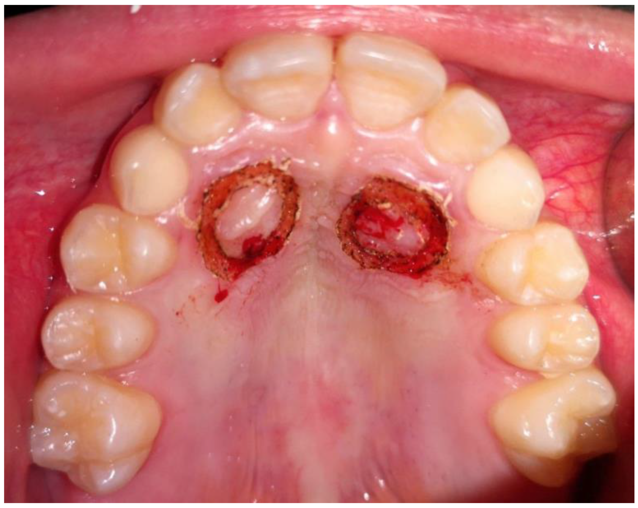
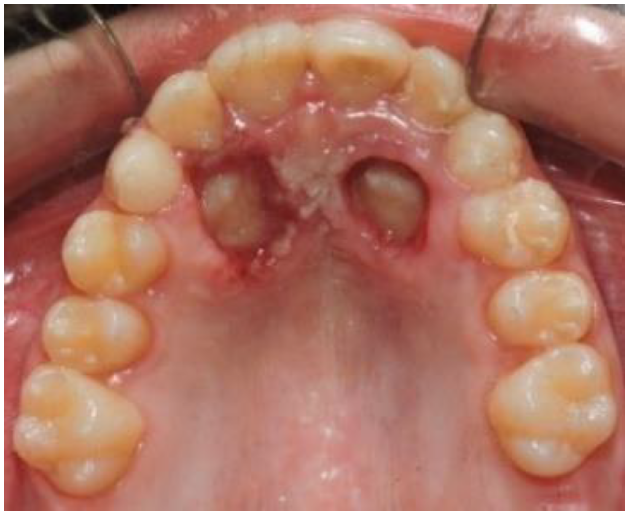
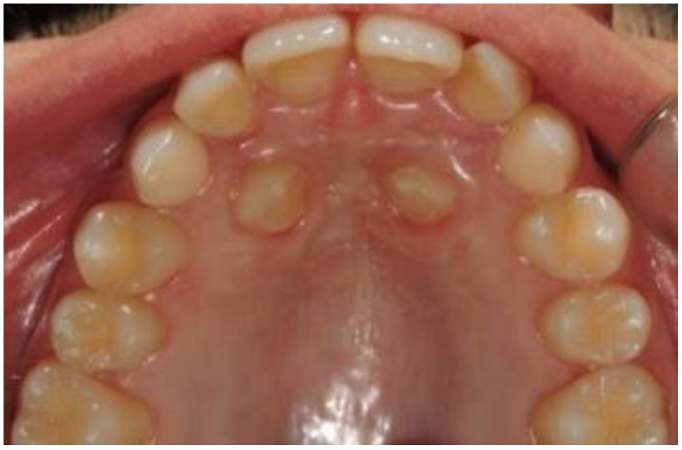
2. Case Presentation
3. Discussion and Conclusions
Author Contributions
Funding
Institutional Review Board Statement
Informed Consent Statement
Data Availability Statement
Conflicts of Interest
References
- Sambataro, S.; Baccetti, T.; Franchi, L.; Antonini, F. Early predictive variables for upper canine impaction as derived from posteroanterior cephalograms. Angle Orthod. 2005, 75, 28–34. [Google Scholar] [PubMed]
- Margot, R.; Maria, C.L.; Ali, A.; Annouschka, L.; Anna, V.; Guy, W. Prediction of maxillary canine impaction based on panoramic radiographs. Clin. Exp. Dent. Res. 2020, 6, 44–50. [Google Scholar] [CrossRef] [PubMed]
- Impellizzeri, A.; Palaia, G.; Horodynski, M.; Pergolini, D.; Vernucci, R.A.; Romeo, U.; Galluccio, G. CO2 laser for surgical exposure of impacted palatally canines. Dent. Cadmos 2020, 88, 122–126. [Google Scholar] [CrossRef]
- Yassaei, S.; Fekrazad, R.; Shahraki, N. Effect of Low Level Laser Therapy on Orthodontic Tooth Movement: A Review Article. J. Dent. 2013, 10, 264–272. [Google Scholar]
- Ge, M.K.; He, W.L.; Chen, J.; Wen, C.; Yin, X.; Hu, Z.A.; Liu, Z.P.; Zou, S.J. Efficacy of low-level laser therapy for accelerating tooth movement during orthodontic treatment: A systematic review and meta-analysis. Lasers Med. Sci. 2015, 30, 1609–1618. [Google Scholar] [CrossRef] [PubMed]
- Sonesson, M.; de Geer, E.; Subraian, J.; Petrén, S. Efficacy of low-level laser therapy in accelerating tooth movement, preventing relapse and managing acute pain during orthodontic treatment in humans: A systematic review. BMC Oral Health 2017, 17, 11. [Google Scholar] [CrossRef]
- Palaia, G.; Impellizzeri, A.; Tenore, G.; Caporali, F.; Visca, P.; Del Vecchio, A.; Galluccio, G.; Polimeni, A.; Romeo, U. Ex vivo histological analysis of the thermal effects created by a 445-nm diode laser in oral soft tissue biopsy. Clin. Oral Investig. 2020, 24, 2645–2652. [Google Scholar] [CrossRef] [PubMed]
- Impellizzeri, A.; Di Benedetto, S.; de Stefano, A.; Monaco Guercio, E.; Barbato, E.; Galluccio, G. General health & psychological distress in children with temporomandibular disorder. Clin. Ter. 2019, 170, e321–e327. [Google Scholar]
- Ericson, S.; Kurol, J. Early treatment of palatally erupting maxillary canines by extraction of the primary canines. Eur. J. Orthod. 1988, 10, 283–295. [Google Scholar] [CrossRef] [PubMed]
- Impellizzeri, A.; Horodynski, M.; Serritella, E.; Romeo, U.; Barbato, E.; Galluccio, G. Three dimensional evaluation of dental movement in Orthodontics. Dent. Cadmos 2020, 88, 182–190. [Google Scholar] [CrossRef]
- Monteiro, L.; Delgado, M.L.; Garcês, F.; Machado, M.; Ferreira, F.; Martins, M.; Salazar, F.J.J. A histological evaluation of the surgical margins from human oral fibrous-epithelial lesions excised with CO2 laser, Diode laser, Er:YAG laser, Nd:YAG laser, electrosurgical scalpel and cold scalpel. Med. Oral Patol. Oral Cir. Bucal. 2019, 24, e271–e280. [Google Scholar] [CrossRef]
- Testa, D.; Nunziata, M.; Mansueto, G.; Marcuccio, G.; Motta, G. CO2 Laser for the Treatment of Auricle Schwannoma: A Case Report and Review of the Literature. Am. J. Case Rep. 2019, 20, 988–992. [Google Scholar] [CrossRef]
- Impellizzeri, A.; Midulla, G.; Romeo, U.; Barbato, E.; Galluccio, G. Delayed Eruption of Permanent Dentition and Maxillary Contraction in Patients with Cleidocranial Dysplasia: Review and Report of a Family. Int. J. Dent. 2018, 2018, 6591414. [Google Scholar] [CrossRef]
- Impellizzeri, A.; Putrino, A.; Zangrillo, C.; Barbato, E.; Galluccio, G. Efficiency of self-ligating vs conventional braces: Systematic review and meta-analysis. Dent. Cadmos 2019, 87, 347–356. [Google Scholar] [CrossRef]
- Putrino, A.; Impellizzeri, A.; Pavese, L.; Barbato, E.; Galluccio, G. Orthodontic treatment and third molars development: Longitudinal study on radiographs. Dent. Cadmos 2019, 87, 558–570. [Google Scholar] [CrossRef]
- Verma, S.K.; Maheshwari, S.; Singh, R.K.; Chaudhari, P.K. Laser in dentistry: An innovative tool in modern dental practice. Natl. J. Maxillofac. Surg. 2012, 3, 124–132. [Google Scholar] [CrossRef] [PubMed]
- Sulieman, M. An overview of the use of lasers in general dental practice: 2. Laser wavelengths, soft and hard tissue clinical applications. Dent. Update 2005, 32, 286–288. [Google Scholar] [CrossRef] [PubMed]
- Fujita, S.; Yamaguchi, M.; Utsunomiya, T.; Yamamoto, H.; Kasai, K. Low-energy laser stimulates tooth movement velocity via expression of RANK and RANKL. Orthod. Craniofac. Res. 2008, 11, 143–155. [Google Scholar] [CrossRef]
- Karu, T.I. Mitochondrial signaling in mammalian cells activated by red and near-IR radiation. Photochem. Photobiol. 2008, 84, 1091–1099. [Google Scholar] [CrossRef]
- Eells, J.T.; Henry, M.M.; Summerfelt, P.; Wong-Riley, M.T.; Buchmann, E.V.; Kane, M.; Whelan, N.T.; Whelan, H.T. Therapeutic photobiomodulation for methanolinduced retinal toxicity. Proc. Natl. Acad. Sci. USA 2003, 100, 3439–3444. [Google Scholar] [CrossRef] [PubMed]
- Kokich, V.G. Preorthodontic uncovering and autonomous eruption of palatally impacted maxillary canines. Semin. Orthod. 2010, 16, 205–211. [Google Scholar] [CrossRef]
- La Monaca, G.; Cristalli, M.P.; Pranno, N.; Galluccio, G.; Annibali, S.; Pippi, R. First and second permanent molars with failed or delayed eruption: Clinical and statistical analyses. Am. J. Orthod. Dentofac. Orthop. 2019, 156, 355–364. [Google Scholar] [CrossRef] [PubMed]






Publisher’s Note: MDPI stays neutral with regard to jurisdictional claims in published maps and institutional affiliations. |
© 2021 by the authors. Licensee MDPI, Basel, Switzerland. This article is an open access article distributed under the terms and conditions of the Creative Commons Attribution (CC BY) license (https://creativecommons.org/licenses/by/4.0/).
Share and Cite
Impellizzeri, A.; Horodynski, M.; Serritella, E.; Palaia, G.; De Stefano, A.; Polimeni, A.; Galluccio, G. Uncovering and Autonomous Eruption of Palatally Impacted Canines—A Case Report. Dent. J. 2021, 9, 66. https://doi.org/10.3390/dj9060066
Impellizzeri A, Horodynski M, Serritella E, Palaia G, De Stefano A, Polimeni A, Galluccio G. Uncovering and Autonomous Eruption of Palatally Impacted Canines—A Case Report. Dentistry Journal. 2021; 9(6):66. https://doi.org/10.3390/dj9060066
Chicago/Turabian StyleImpellizzeri, Alessandra, Martina Horodynski, Emanuela Serritella, Gaspare Palaia, Adriana De Stefano, Antonella Polimeni, and Gabriella Galluccio. 2021. "Uncovering and Autonomous Eruption of Palatally Impacted Canines—A Case Report" Dentistry Journal 9, no. 6: 66. https://doi.org/10.3390/dj9060066
APA StyleImpellizzeri, A., Horodynski, M., Serritella, E., Palaia, G., De Stefano, A., Polimeni, A., & Galluccio, G. (2021). Uncovering and Autonomous Eruption of Palatally Impacted Canines—A Case Report. Dentistry Journal, 9(6), 66. https://doi.org/10.3390/dj9060066

