Preservation of Litchi Fruit with Nanosilver Composite Particles (Ag-NP) and Resistance against Peronophythora litchi
Abstract
:1. Introduction
2. Materials and Methods
2.1. Materials and Treatments
2.1.1. Preparation of Ag-NP Solution
2.1.2. Ag-NP Treatment of Litchi
2.1.3. Ag-NP Treatment of P. litchi
2.2. Estimation of the Health Rate, Browning Index, Anthocyanin Content, TSS, and TA of Litchi
2.3. Determination of Antifungal Activity of Ag-NP Solution against P. litchi
2.3.1. Antifungal Activity
2.3.2. Observation of P. litchi Morphology
2.3.3. Determination of P. litchi DNA Concentration
2.3.4. Determination of Defense Enzyme Activity
2.4. Statistical Analysis
3. Results
3.1. Effects of Ag-NP Treatment on the Health Rate, Pericarp Browning Index, and Anthocyanin Content of Litchi
3.2. Effects of Ag-NP Treatment on the Total Soluble Solids (TSS) and Titratable Acidity (TS) of Litchi
3.3. Effects of Ag-NP Treatment on Mycelial Growth of P. litchi
3.4. Effects of Ag-NP Treatment on Morphology of P. litchi
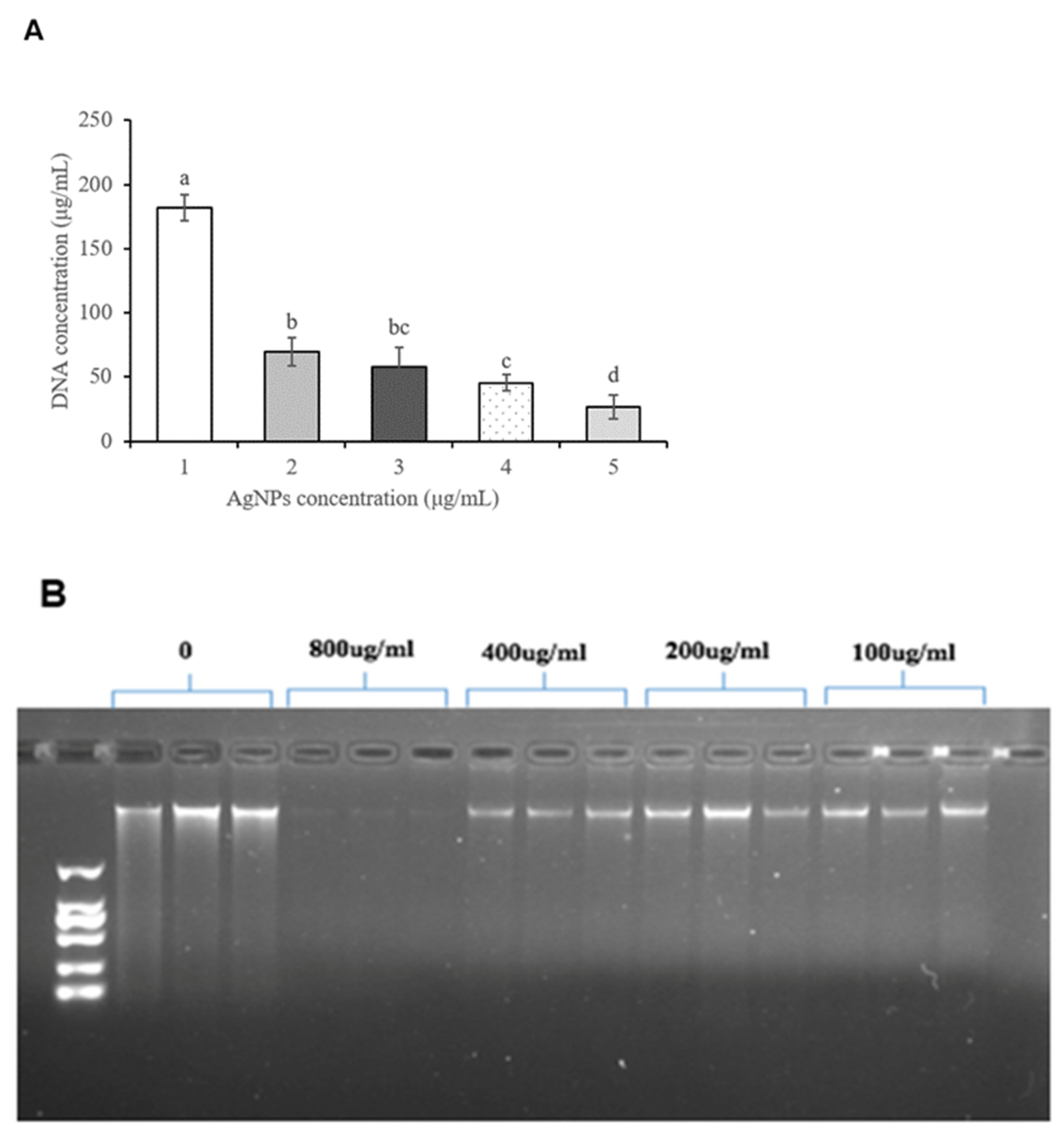
3.5. Effects of Ag-NP Treatment on the DNA Concentration of P. litchi
3.6. Effects of Ag-NP Treatment on SOD, CAT, and POD Activities and Protein Content in P. litchi
4. Discussion
5. Conclusions
Author Contributions
Funding
Data Availability Statement
Acknowledgments
Conflicts of Interest
References
- Zhao, L.; Wang, K.; Wang, K.; Zhu, J.; Hu, Z. Nutrient components, health benefits, and safety of litchi (Litchi chinensis Sonn.): A review. Compr. Rev. Food Sci. Food Saf. 2020, 19, 2139–2163. [Google Scholar] [CrossRef]
- Jing, X.; Ziyi, Q.; Jiali, P.; Jing, L.; Xia, L.; Eng Khoo, H.; Dong, X. Melatonin treatment improves postharvest quality and regulates reactive oxygen species metabolism in “Feizixiao” litchi based on principal component analysis. Front. Plant Sci. 2022, 13, 965345. [Google Scholar]
- Ali, S.; Khan, A.S.; Malik, A.U.; Shahid, M. Effect of controlled atmosphere storage on pericarp browning, bioactive compounds and antioxidant enzymes of litchi fruits. Food Chem. 2016, 206, 18–29. [Google Scholar] [CrossRef] [PubMed]
- Zheng, X.; Tian, S. Effect of oxalic acid on control of postharvest browning of litchi fruit. Food Chem. 2005, 96, 519–523. [Google Scholar] [CrossRef]
- Liu, H.; Song, L.; You, Y.; Li, Y.; Duan, X.; Jiang, Y.; Joyce, D.C.; Ashraf, M.; Lu, W. Cold storage duration affects litchi fruit quality, membrane permeability, enzyme activities and energy charge during shelf time at ambient temperature. Postharvest Biol. Technol. 2010, 60, 24–30. [Google Scholar] [CrossRef]
- Mangaraj, S.; Goswami, T.K.; Giri, S.K.; Tripathi, M.K. Permselective MA packaging of litchi (cv. Shahi) for preserving quality and extension of shelf-life. Postharvest Biol. Technol. 2012, 71, 1–12. [Google Scholar] [CrossRef]
- Wang, H.C.; Sun, H.Y.; Stammler, G.; Ma, J.X.; Zhou, M.G. Baseline and differential sensitivity of Peronophythora litchi (lychee downy blight) to three carboxylic acid amide fungicides. Plant Pathol. 2009, 58, 571–576. [Google Scholar] [CrossRef]
- Wu, L.; Orikasa, T.; Tokuyasu, K.; Shiina, T.; Tagawa, A. Applicability of vacuum-dehydrofreezing technique for the long-term preservation of fresh-cut eggplant: Effects of process conditions on the quality attributes of the samples. J. Food Eng. 2008, 91, 560–565. [Google Scholar] [CrossRef]
- Wang, Y.; Feng, Y.; Wu, D.; Cai, J.; Xiang, H. Research progress of gas-adjusted fresh-preserved of litchi. Sci. Technol. Food Ind. 2017, 38, 340–345. [Google Scholar]
- Jiang, Y.M.; Wang, Y.; Song, L.; Liu, H.; Lichter, A.; Kerdchoechuen, O.; Joyce, D.C.; Shi, J. Postharvest characteristics and handling of litchi fruit—An overview. Aust. J. Exp. Agric. 2006, 46, 1541–1556. [Google Scholar] [CrossRef]
- Lambré, C.; Baviera, J.M.B.; Bolognesi, C.; Chesson, A.; Cocconcelli, P.S.; Crebelli, R.; Gott, D.M.; Grob, K.; Lampi, E.; Mengelers, M.; et al. Safety assessment of the substance silver nanoparticles for use in food contact materials. EFSA J. 2021, 19, e06790. [Google Scholar]
- Flores-López, M.; Cerqueira, M.A.; Rodríguez, D.; Vicente, A.A. Perspectives on Utilization of Edible Coatings and Nano-laminate Coatings for Extension of Postharvest Storage of Fruits and Vegetables. Food Eng. Rev. 2016, 8, 292–305. [Google Scholar] [CrossRef]
- Moussa, S.H.; Tayel, A.A.; Alsohim, A.S.; Abdallah, R.R. Botryticidal activity of nanosized silver-chitosan composite and its application for the control of gray mold in strawberry. J. Food Sci. 2013, 78, M1589–M1594. [Google Scholar] [CrossRef] [PubMed]
- Sadeghnejad, A.; Aroujalian, A.; Raisi, A.; Fazel, S. Antibacterial nano silver coating on the surface of polyethylene films using corona discharge. Surf. Coat. Technol. 2014, 245, 1–8. [Google Scholar] [CrossRef]
- Ortiz-Duarte, G.; Pérez-Cabrera, L.E.; Artés-Hernández, F.; Martínez-Hernández, G.B. Ag-chitosan nanocomposites in edible coatings affect the quality of fresh-cut melon. Postharvest Biol. Technol. 2019, 147, 174–184. [Google Scholar] [CrossRef]
- Xixi, Z.; Ruofei, T.; Jingyi, Z.; Yanlin, L. Multifunctional chitosan/grape seed extract/silver nanoparticle composite for food packaging application. Int. J. Biol. Macromol. 2022, 207, 152–160. [Google Scholar]
- Mousavi, F.P.; Pour, H.H.; Nasab, A.H.; Rajabalipour, A.A.; Barouni, M. Investigation into Shelf Life of Fresh Dates and Pistachios in a Package Modified With Nano-Silver. Glob. J. Health Sci. 2015, 8, 134–144. [Google Scholar] [CrossRef]
- Singh, M.; Sahareen, T. Investigation of cellulosic packets impregnated with silver nanoparticles for enhancing shelf-life of vegetables. LWT Food Sci. Technol. 2017, 86, 116–122. [Google Scholar] [CrossRef]
- Mostafa, Y.S.; Alamri, S.A.; Alrumman, S.A.; Hashem, M.; Baka, Z.A. Green Synthesis of Silver Nanoparticles Using Pomegranate and Orange Peel Extracts and Their Antifungal Activity against Alternaria solani, the Causal Agent of Early Blight Disease of Tomato. Plants 2021, 10, 2363. [Google Scholar] [CrossRef]
- Liao, Z.; Wang, F.; Wang, W.; Liu, J.; Ma, R.; Wu, S.; Li, Y. Optimization of Preparation Process for Emblic Polysaccharide-Silver Nanoparticles by Response Surface Methodology. Nat. Prod. Res. Dev. 2017, 29, 1409–1414+384. [Google Scholar]
- Wang, F. Study on the Preparation of Polysaccharide-Silver Nanoparticles and Its Application in Iitchi Preservation; Fujian Agriculture and Forestry University: Fuzhou, China, 2017. [Google Scholar]
- Yang, S.; Xie, J.; Qian, Y.; Li, N.; Zhou, R. Preservation of Litchi with Composite Chitosan Coating and Modified Atmosphere Packaging. Food Sci. 2013, 34, 279–283. [Google Scholar]
- He, M.; Ge, Z.; Hong, M.; Hongxia, Q.; Duan, X.; Ze, Y.; Li, T.; Jiang, Y. Alleviation of pericarp browning in harvested litchi fruit by synephrine hydrochloride in relation to membrane lipids metabolism. Postharvest Biol. Technol. 2020, 166, 111223. [Google Scholar] [CrossRef]
- Wei, Y.; Hu, F.; Hu, G.; Li, X.; Huang, X. Differential Expression of Anthocyanin Biosynthetic Genes in Relation to Anthocyanin Accumulation in the Pericarp of Litchi Chinensis Sonn. PLoS ONE 2017, 6, e19455. [Google Scholar] [CrossRef]
- Yun, Z.; Yun-Hai, Y.; Min, Y.; Kai-Bo, W.; Li-Ming, F.; Fa-Wu, S. Chemical composition and antifungal activity of essential oil from Origanum vulgare against Botrytis cinerea. Food Chem. 2021, 365, 130506. [Google Scholar]
- Alessandra, R.; Zuzana, M.; Alexandra, H.; Marcin, K.; Magne, R.; Maria, D. Effect of silver nanoparticles on mitogen-activated protein kinases activation: Role of reactive oxygen species and implication in DNA damage. Mutagenesis 2015, 30, 59–66. [Google Scholar]
- Kamel, M.A. The Efficacy of Green Synthesized Nanosilver in Reducing the Incidence of Post-Harvest Apple Fruit Brown Rot. J. Fungi 2021, 7, 473. [Google Scholar]
- Bhusare, S.; Kadam, S. Applications of nanotechnology in fruits and vegetables. Food Agric. Spectr. J. 2021, 2, 231–236. [Google Scholar]
- Rana, R.A.; Siddiqui, M.N.; Skalicky, M.; Brestic, M.; Hossain, A.; Kayesh, E.; Popov, M.; Hejnak, V.; Gupta, D.R.; Mahmud, N.U. Prospects of nanotechnology in improving the productivity and quality of horticultural crops. Horticulturae 2021, 7, 332. [Google Scholar] [CrossRef]
- Essam, E.; Jinggui, F. Effect of Silver Nitrate (AgNO3) and Nano-Silver (Ag-NPs) on Physiological Characteristics of Grapes and Quality during Storage Period. Horticulturae 2022, 8, 419. [Google Scholar]
- Saada, N.S.; Abdel-Maksoud, G.; Abd El-Aziz, M.S.; Youssef, A.M. Green synthesis of silver nanoparticles, characterization, and use for sustainable preservation of historical parchment against microbial biodegradation. Biocatal. Agric. Biotechnol. 2021, 32, 101948. [Google Scholar] [CrossRef]
- Wu, Y.; Lin, H.; Lin, Y.; Shi, J.; Xue, S.; Hung, Y.-C.; Chen, Y.; Wang, H. Effects of biocontrol bacteria Bacillus amyloliquefaciens LY-1 culture broth on quality attributes and storability of harvested litchi fruit. Postharvest Biol. Technol. 2017, 132, 81–87. [Google Scholar] [CrossRef]
- Xiao, X. Preparation of Nano selenium Composite Packaging Material and its Application in Fruit and Vegetable Preservation; Huaqiao University: Quanzhou, China, 2020. [Google Scholar]
- Zhou, N.-l.; Liu, Y.; Li, L.; Meng, N.; Huang, Y.-x.; Zhang, J.; Wei, S.-h.; Shen, J. A new nanocomposite biomedical material of polymer/Clay–Cts–Ag nanocomposites. Curr. Appl. Phys. 2007, 7, e58–e62. [Google Scholar] [CrossRef]
- Gupta, N.; Jain, S. Storage behavior of mango as affected by post harvest application of plant extracts and storage conditions. J. Food Sci. Technol. 2014, 51, 2499–2507. [Google Scholar] [CrossRef] [PubMed]
- Jiang, H.; Manolache, S.; Wong, A.C.L.; Dennes, F.S. Plasma-enhanced deposition of silver nanoparticles onto polymer and metal surfaces for the generation of antimicrobial characteristics. J. Appl. Polym. Sci. 2010, 93, 1411–1422. [Google Scholar] [CrossRef]
- Carbone, M.; Donia, D.T.; Sabbatella, G.; Antiochia, R. Silver nanoparticles in polymeric matrices for fresh food packaging. J. King Saud Univ.-Sci. 2016, 28, 273–279. [Google Scholar] [CrossRef]
- Motelica, L.; Ficai, D.; Oprea, O.C.; Ficai, A.; Andronescu, E. Smart Food Packaging Designed by Nanotechnological and Drug Delivery Approaches. Coatings 2020, 10, 806. [Google Scholar] [CrossRef]
- Syed, S.; Muhammad, J.; Muhammad, Q.; Sher, K.; Talat, M.; Muhammad, S.; Abid, F.; Muhammad, L. Storage Stability of Kinnow Fruit (Citrus reticulata) as Affected by CMC and Guar Gum-Based Silver Nanoparticle Coatings. Molecules 2015, 20, 22645–22661. [Google Scholar]
- Nicolas, B.; Stephane, G.; Veronique, C. Hydrophobization and antimicrobial activity of chitosan and paper-based packaging material. Biomacromolecules 2010, 11, 88–96. [Google Scholar]
- Devadiga, S.; Shetty, D.; Geetha, L.; Packiyam, J.E.; Bhat, R. Synthesis of Chitosan Silver nanoparticles from Chitin of Crustacean shells and Its Applications. Int. J. Curr. Res. Chem. Pharm. Sci 2016, 3, 1–5. [Google Scholar]
- Yueming, Y.; Changjin, W.; Xinxin, C.; Kechuan, Y.; Weidong, H.; Haibing, Y. Biosynthesis of Silver Nanoparticles by Conyza canadensis and Their Antifungal Activity against Bipolaris maydis. Crystals 2021, 11, 1443. [Google Scholar]
- Khan, M.; Khan, A.U.; Bogdanchikova, N.; Garibo, D. Antibacterial and Antifungal Studies of Biosynthesized Silver Nanoparticles against Plant Parasitic Nematode Meloidogyne incognita, Plant Pathogens Ralstonia solanacearum and Fusarium oxysporum. Molecules 2021, 26, 2462. [Google Scholar] [CrossRef] [PubMed]
- Oberley, L.W.; Clair, D.; Autor, A.P.; Oberley, T.D. Increase in manganese superoxide dismutase activity in the mouse heart after X-irradiation. Arch. Biochem. Biophys. 1987, 254, 69–80. [Google Scholar] [CrossRef]
- Çay, S.; Köse, M.; Tümer, F.; Gölcü, A.; Tümer, M. SOD activity and DNA binding properties of a new symmetric porphyrin Schiff base ligand and its metal complexes. Spectrochim. Acta Part A Mol. Biomol. Spectrosc. 2015, 151, 821–838. [Google Scholar] [CrossRef] [PubMed]
- Li, Q.; Zhao, Y.; Gao, L.; Hou, Q.; Wang, F.; Jia, W.; Wang, Y. Inhibition of Fusarium graminearum by silver nanoparticles. Chin. J. Biotechnol. 2017, 33, 620–629. [Google Scholar]
- Chen, X.; Zhang, H.; Xu, J.; Tong, Y.; Ji, Z. Cell wall degrading enzymes produced by Rhizoctonia Solani and their pathogenicity to rice plants. Jiangsu J. Agric. Sci. 2006, 22, 24–28. [Google Scholar]





| Concentration of Ag-NPs (μg/mL) | Colony Diameter (mm) | Percentage of Mycelia Growth Inhibition (%) |
|---|---|---|
| control | 31.81 ± 0.0408 | 0 |
| 25 | 21.69 ± 0.0510 | 31.81 |
| 50 | 16.21 ± 0.0510 | 49.04 |
| 100 | 15.07 ± 0.0510 | 52.65 |
| 200 | 8.73 ± 0.0510 | 72.56 |
| 400 | 5.77 ± 0.0510 | 81.86 |
| 800 | 4.82 ± 0.0510 | 94.87 |
Publisher’s Note: MDPI stays neutral with regard to jurisdictional claims in published maps and institutional affiliations. |
© 2022 by the authors. Licensee MDPI, Basel, Switzerland. This article is an open access article distributed under the terms and conditions of the Creative Commons Attribution (CC BY) license (https://creativecommons.org/licenses/by/4.0/).
Share and Cite
Lin, X.; Lin, Y.; Liao, Z.; Niu, X.; Wu, Y.; Shao, D.; Shen, B.; Shen, T.; Wang, F.; Ding, H.; et al. Preservation of Litchi Fruit with Nanosilver Composite Particles (Ag-NP) and Resistance against Peronophythora litchi. Foods 2022, 11, 2934. https://doi.org/10.3390/foods11192934
Lin X, Lin Y, Liao Z, Niu X, Wu Y, Shao D, Shen B, Shen T, Wang F, Ding H, et al. Preservation of Litchi Fruit with Nanosilver Composite Particles (Ag-NP) and Resistance against Peronophythora litchi. Foods. 2022; 11(19):2934. https://doi.org/10.3390/foods11192934
Chicago/Turabian StyleLin, Xiaojie, Yongsheng Lin, Zhengping Liao, Xianqian Niu, Yingxiang Wu, Dandan Shao, Bingrong Shen, Tingting Shen, Fang Wang, Hongyang Ding, and et al. 2022. "Preservation of Litchi Fruit with Nanosilver Composite Particles (Ag-NP) and Resistance against Peronophythora litchi" Foods 11, no. 19: 2934. https://doi.org/10.3390/foods11192934
APA StyleLin, X., Lin, Y., Liao, Z., Niu, X., Wu, Y., Shao, D., Shen, B., Shen, T., Wang, F., Ding, H., Ye, B., & Li, Y. (2022). Preservation of Litchi Fruit with Nanosilver Composite Particles (Ag-NP) and Resistance against Peronophythora litchi. Foods, 11(19), 2934. https://doi.org/10.3390/foods11192934
