Preparation, Identification and Application of β-Lactoglobulin Hydrolysates with Oral Immune Tolerance
Abstract
1. Introduction
2. Materials and Methods
2.1. Prediction of T Cell Epitopes of β-LG
2.2. Preparation of β-LG Hydrolysates
2.3. Determination of the Degree of Hydrolysis (DH) and Peptide Content
2.4. Analysis of Amino Acid Sequences and T Cell Epitopes of Hydrolysate Peptide by Mass Spectrometry and T Cell Proliferation Assay
2.5. Oral Tolerance of β-LG Hydrolysate Identified by Animal Experiment
2.5.1. Animal Experiment Scheme
2.5.2. Determination of Specific IgE, IgG1 and IgG2a
2.5.3. Determination of TH1 and Th2 Cytokines
2.5.4. Determination of Histamine
2.5.5. Determination of Chitinase-3-like Protein 1 Content
2.5.6. Determination of Cell Subsets
2.5.7. Preparation and Identification of Whey Powder with Oral Immune Tolerance
2.5.8. Statistical Analysis of Data
3. Results and Analysis
3.1. Prediction of T Cell Epitopes of β-LG
3.2. The DH and Peptide Content of β-LG Hydrolysate
3.3. Analysis of Amino Acid Sequences and T Cell Epitopes of Hydrolysate Peptide by Mass Spectrometry and T Cell Proliferation Assay
3.4. Clinical Symptoms of Mice in Each Group
3.5. Determination of Optical Density (OD) of Specific Antibodies IgE, IgG1 and IgG2a of β-LG
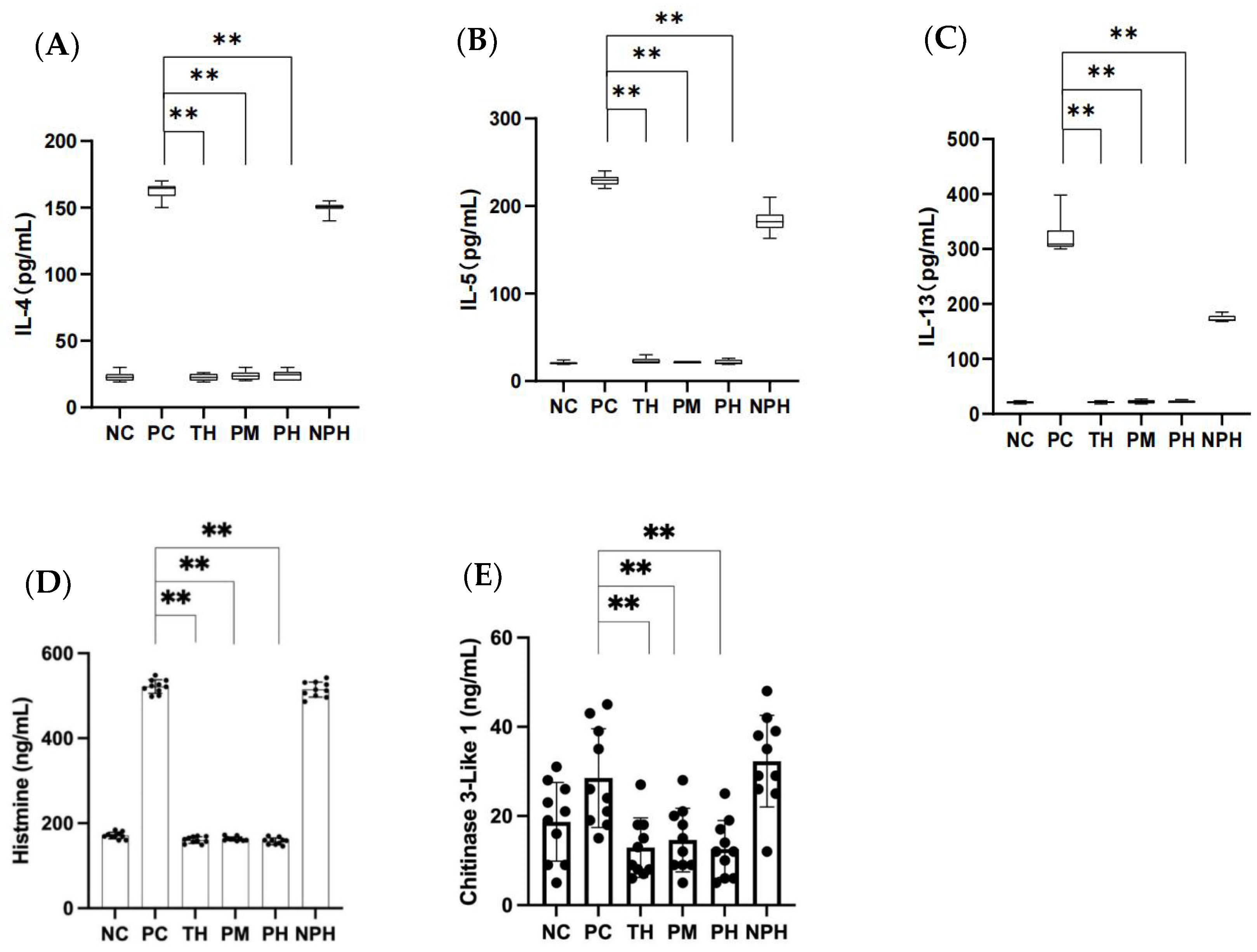
3.6. Determination of Th1-Related Cytokines
3.7. Determination of TH2 Cytokines
3.8. Determination of Histamine Release
3.9. Determination of Chitinase-3-like Protein 1
3.10. Determination Results of Spleen Cell Subsets
3.10.1. Differentiation of TH1 Cell Subsets
3.10.2. Differentiation of TH2 Cell Subsets
3.10.3. Differentiation of Treg Cell Subsets
3.11. Identification of Trypsin Hydrolysate with Oral Immune Tolerance
3.11.1. Observation Results of Intestinal Histopathology
3.11.2. Apoptosis Results of Intestinal Villi Epithelial Cells
4. Discussion
5. Conclusions
Supplementary Materials
Author Contributions
Funding
Data Availability Statement
Conflicts of Interest
Abbreviations
References
- Paparo, L.; Picariello, G.; Bruno, C.; Pisapia, L.; Canale, V.; Sarracino, A.; Nocerino, R.; Carucci, L.; Cosenza, L.; Cozzolino, T.; et al. Tolerogenic Effect Elicited by Protein Fraction Derived from Different Formulas for Dietary Treatment of Cow’s Milk Allergy in Human Cells. Front. Immunol. 2021, 11, 604075. [Google Scholar] [CrossRef] [PubMed]
- Muthukumar, J.; Selvasekaran, P.; Lokanadham, M.; Chidambaram, R. Food and Food Products Associated with Food Allergy and Food Intolerance—An Overview. Food Res. Int. 2020, 138, 109780. [Google Scholar] [CrossRef] [PubMed]
- Park, K.S.; Park, M.J.; la Cho, M.; Kwok, S.K.; Ju, J.H.; Ko, H.J.; Park, S.H.; Kim, H.Y. Type II Collagen Oral Tolerance; Mechanism and Role in Collagen-Induced Arthritis and Rheumatoid Arthritis. Mod. Rheumatol. 2009, 19, 581–589. [Google Scholar] [CrossRef] [PubMed]
- Martorell, A.; de la Hoz, B.; Ibáñez, M.D.; Bone, J.; Terrados, M.S.; Michavila, A.; Plaza, A.M.; Alonso, E.; Garde, J.; Nevot, S.; et al. Oral Desensitization as a Useful Treatment in 2-Year-Old Children with Cow’s Milk Allergy. Clin. Exp. Allergy 2011, 41, 1297–1304. [Google Scholar] [CrossRef]
- Salmivesi, S.; Korppi, M.; Mäkelä, M.J.; Paassilta, M. Milk Oral Immunotherapy Is Effective in School-Aged Children. Acta Paediatr. Int. J. Paediatr. 2013, 102, 172–176. [Google Scholar] [CrossRef]
- Skripak, J.M.; Nash, S.D.; Brereton, N.H.; Rowley, H.; Oh, S.; Hamilton, R.G.; Matsui, E.C.; Burks, A.W.; Wood, R.A.; Hopkins, J.; et al. A Randomized, Double-Blind, Placebo-Controlled (DBPC) Study of Milk Oral Immunotherapy (MOIT) for Cow’s Milk Allergy (CMA). J. Allergy Clin. Immunol. 2008, 121, S137. [Google Scholar] [CrossRef]
- Anagnostou, K.; Clark, A. Assessing the Efficacy of Oral Immunotherapy for the Desensitisation of Peanut Allergy in Children (STOP II): A Phase 2 Randomised Controlled Trial: A Critical Appraisal. Pediatrics 2014, 134, S154–S155. [Google Scholar] [CrossRef]
- Thang, C.L.; Boye, J.I.; Zhao, X. Low Doses of Allergen and Probiotic Supplementation Separately or in Combination Alleviate Allergic Reactions to Cow β-Lactoglobulin in Mice. J. Nutr. 2013, 143, 136–141. [Google Scholar] [CrossRef]
- Sanchez-Trincado, J.L.; Gomez-Perosanz, M.; Reche, P.A. Fundamentals and Methods for T- and B-Cell Epitope Prediction. J. Immunol. Res. 2017, 2017, 2680160. [Google Scholar] [CrossRef]
- Kostadinova, A.I.; Middelburg, J.; Ciulla, M.; Garssen, J.; Hennink, W.E.; Knippels, L.M.J.; van Nostrum, C.F.; Willemsen, L.E.M. PLGA Nanoparticles Loaded with Beta-Lactoglobulin-Derived Peptides Modulate Mucosal Immunity and May Facilitate Cow’s Milk Allergy Prevention. Eur. J. Pharmacol. 2018, 818, 211–220. [Google Scholar] [CrossRef]
- Jo, S.Y.; Lee, C.H.; Kim, S.W.; Hwang, Y.H. A Case of an Infant Diagnosed with Cow’s Milk Allergy and Concurrent Meat Allergy via ImmunoCAP ISAC®. Kosin Med. J. 2019, 34, 72–77. [Google Scholar] [CrossRef]
- Høst, A.; Halken, S. Send Orders for Reprints to Reprints@benthamscience.Net Cow’s Milk Allergy: Where Have We Come from and Where Are We Going? Endocr. Metab. Immune Disord.—Drug Targets 2014, 14, 2–8. [Google Scholar] [CrossRef] [PubMed]
- Fu, Y.; Liu, J.; Hansen, E.T.; Bredie, W.L.P.; Lametsch, R. Structural Characteristics of Low Bitter and High Umami Protein Hydrolysates Prepared from Bovine Muscle and Porcine Plasma. Food Chem. 2018, 257, 163–171. [Google Scholar] [CrossRef] [PubMed]
- Li, Y.; Ruan, S.; Zhou, A.; Xie, P.; Azam, S.M.R.; Ma, H. Ultrasonic Modification on Fermentation Characteristics of Bacillus Varieties: Impact on Protease Activity, Peptide Content and Its Correlation Coefficient. LWT 2022, 154, 112852. [Google Scholar] [CrossRef]
- Harris, P.W.R.; Lee, D.J.; Brimble, M.A. A Slow Gradient Approach for the Purification of Synthetic Polypeptides by Reversed Phase High Performance Liquid Chromatography. J. Pept. Sci. 2012, 18, 549–555. [Google Scholar] [CrossRef]
- Hou, C.; Li, N.; Liu, M.; Chen, J.; Elango, J.; Rahman, S.U.; Bao, B.; Wu, W. Therapeutic Effect of Nile Tilapia Type II Collagen on Rigidity in CD8+ Cells by Alleviating Inflammation and Rheumatoid Arthritis in Rats by Oral Tolerance. Polymers 2022, 14, 1284. [Google Scholar] [CrossRef]
- Gouw, J.W.; Jo, J.; Meulenbroek, L.A.P.M.; Heijjer, T.S.; Kremer, E.; Sandalova, E.; Knulst, A.C.; Jeurink, P.V.; Garssen, J.; Rijnierse, A.; et al. Identification of Peptides with Tolerogenic Potential in a Hydrolysed Whey-Based Infant Formula. Clin. Exp. Allergy 2018, 48, 1345–1353. [Google Scholar] [CrossRef] [PubMed]
- Takei, M.; Saito, A.; Yanagida, N.; Sato, S.; Ebisawa, M. Cross-Reactivity of Each Fraction among Cereals in Children with Wheat Allergy. Pediatr. Allergy Immunol. 2022, 33, e13831. [Google Scholar] [CrossRef]
- Pap, R.; Ugor, E.; Litvai, T.; Prenek, L.; Najbauer, J.; Németh, P.; Berki, T. Glucocorticoid Hormone Differentially Modulates the in Vitro Expansion and Cytokine Profile of Thymic and Splenic Treg Cells. Immunobiology 2019, 224, 285–295. [Google Scholar] [CrossRef] [PubMed]
- Hartmann, R.; Meisel, H. Food-Derived Peptides with Biological Activity: From Research to Food Applications. Curr. Opin. Biotechnol. 2007, 18, 163–169. [Google Scholar] [CrossRef]
- Cheison, S.C.; Schmitt, M.; Leeb, E.; Letzel, T.; Kulozik, U. Influence of Temperature and Degree of Hydrolysis on the Peptide Composition of Trypsin Hydrolysates of β-Lactoglobulin: Analysis by LC-ESI-TOF/MS. Food Chem. 2010, 121, 457–467. [Google Scholar] [CrossRef]
- Zambrowicz, A.; Timmer, M.; Polanowski, A.; Lubec, G.; Trziszka, T. Manufacturing of Peptides Exhibiting Biological Activity. Amino Acids 2013, 44, 315–320. [Google Scholar] [CrossRef] [PubMed]
- Mizumachi, K.; Tsuji, N.M.; Kurisaki, J.I. Suppression of Immune Responses to β-Lactoglobulin in Mice by the Oral Administration of Peptides Representing Dominant T Cell Epitopes. J. Sci. Food Agric. 2008, 88, 542–549. [Google Scholar] [CrossRef]
- Thang, C.L.; Zhao, X. Effects of Orally Administered Immunodominant T-Cell Epitope Peptides on Cow’s Milk Protein Allergy in a Mouse Model. Food Res. Int. 2015, 71, 126–131. [Google Scholar] [CrossRef]
- Pecquet, S.; Bovetto, L.; Maynard, F.; Fritsché, R. Peptides Obtained by Tryptic Hydrolysis of Bovine β-Lactoglobulin Induce Specific Oral Tolerance in Mice. J. Allergy Clin. Immunol. 2000, 105, 514–521. [Google Scholar] [CrossRef]
- Meulenbroek, L.A.P.M.; van Esch, B.C.A.M.; Hofman, G.A.; den Hartog Jager, C.F.; Nauta, A.J.; Willemsen, L.E.M.; Bruijnzeel-Koomen, C.A.F.M.; Garssen, J.; van Hoffen, E.; Knippels, L.M.J. Oral Treatment with β-Lactoglobulin Peptides Prevents Clinical Symptoms in a Mouse Model for Cow’s Milk Allergy. Pediatr. Allergy Immunol. 2013, 24, 656–664. [Google Scholar] [CrossRef]
- Bekker, I.; Kim, S.I.; Nikonov, B.A.; Dyshkovec, A.A.; Bekker, G.P.; Kim, S.Y.; Dyshkovets, A.A. Drug Useful for Preventing or Treating Acute and Chronic Inflammatory Diseases of Upper and Lower Respiratory Tract e.g., Rhinitis and Pneumonia, Comprises Alloferon Peptides or Alloferon Peptide Complexes with Transition Metals. P Russia. Patent WO2016036273-A1, 13 September 2022. [Google Scholar]
- El-housseiny, L.; Ibrahim, M.K.; Sellinger, R. Th2 Related Markers in Milk Allergic Inflammatory Mice Model, versus OVA. J. Genet. Eng. Biotechnol. 2017, 15, 453–461. [Google Scholar] [CrossRef]
- Kim, E.G.; Kim, M.N.; Hong, J.Y.; Lee, J.W.; Kim, S.Y.; Kim, K.W.; Lee, C.G.; Elias, J.A.; Song, T.W.; Sohn, M.H. Chitinase 3-Like 1 Contributes to Food Allergy via M2 Macrophage Polarization. Allergy Asthma Immunol. Res. 2020, 12, 1012–1028. [Google Scholar] [CrossRef]
- Fu, G.; Zhao, K.; Chen, H.; Wang, Y.; Nie, L.; Wei, H.; Wan, C. Effect of 3 Lactobacilli on Immunoregulation and Intestinal Microbiota in a β-Lactoglobulin–Induced Allergic Mouse Model. J. Dairy Sci. 2019, 102, 1943–1958. [Google Scholar] [CrossRef]
- Kirjavainen, P.V.; Apostolou, E.; Salminen, S.J.; Isolauri, E.; Kirjavainen, P. New Aspects of Probiotics ± a Novel Approach in the Management of Food Allergy. Allergy 1999, 54, 909–915. [Google Scholar] [CrossRef]
- Pandey, M.K. Molecular Basis for Downregulation of C5a-Mediated Inflammation by IgG1 Immune Complexes in Allergy and Asthma. Curr. Allergy Asthma Rep. 2013, 13, 596–606. [Google Scholar] [CrossRef] [PubMed]
- Hammad, H.; Lambrecht, B.N. The Basic Immunology of Asthma. Cell 2021, 184, 2521–2522. [Google Scholar] [CrossRef] [PubMed]
- Sicherer, S.H.; Wood, R.A.; Stablein, D.; Burks, A.W.; Liu, A.H.; Jones, S.M.; Fleischer, D.M.; Leung, D.Y.M.; Grishin, A.; Mayer, L.; et al. Immunologic Features of Infants with Milk or Egg Allergy Enrolled in an Observational Study (Consortium of Food Allergy Research) of Food Allergy. J. Allergy Clin. Immunol. 2010, 125, 1077–1083.e8. [Google Scholar] [CrossRef] [PubMed]
- Adel-Patient, K.; Nutten, S.; Bernard, H.; Fritsché, R.; Ah-Leung, S.; Meziti, N.; Prioult, G.; Mercenier, A.; Wal, J.M. Immunomodulatory Potential of Partially Hydrolyzed β-Lactoglobulin and Large Synthetic Peptides. J. Agric. Food Chem. 2012, 60, 10858–10866. [Google Scholar] [CrossRef] [PubMed]
- Bagnasco, D.; Menzella, F.; Caminati, M.; Caruso, C.; Guida, G.; Bonavia, M.; Riccio, A.; Milanese, M.; Manfredi, A.; Senna, G.; et al. Efficacy of Mepolizumab in Patients with Previous Omalizumab Treatment Failure: Real-Life Observation. Allergy Eur. J. Allergy Clin. Immunol. 2019, 74, 2539–2541. [Google Scholar] [CrossRef]
- Larsen, J.M.; Bøgh, K.L. Animal Models of Allergen-Specific Immunotherapy in Food Allergy: Overview and Opportunities. Clin. Exp. Allergy 2018, 48, 1255–1274. [Google Scholar] [CrossRef]





| Name of Protease | Determination of Amino Acid Sequences of Peptides by Mass Spectrometry | Partial or Total Repeats with Predicting T Cell Epitopes | Potential T Cell Epitopes and the Sequence Location of β-Lactoglobulin | Stimulation Index by T Cell Proliferation Assay (SI) |
|---|---|---|---|---|
| Trypsin | ALKALPMH ALPMH IDALNENK IIAEKTKIPAVFK TKIPAVFK TKIPAVFKIDALNENK TPEVDDEALEK TPEVDDEALEKFDK TPEVDDEALEKFDKALK VAGTWYSLAMAASDISLLDAQSAPLR VLVLDTDYK VLVLDTDYKK VYVEELKPTPEGDLEILLQK | LKALPMH | ALKALPMH (AA155~162) | 2.63 ± 0.07 |
| ALPMH | ALPMH (AA158~162) | 2.12 ± 0.02 | ||
| IDALNENK | IDALNENK (AA100~107) | 2.27 ± 0.03 | ||
| KTKIPAVFK | IIAEKTKIPAVFK (AA87~99) | 2.53 ± 0.01 | ||
| TKIPAVFK | TKIPAVFK (AA92~99) | 2.41 ± 0.02 | ||
| IPAVFKIDALNENK | TKIPAVFKIDALNENK (AA92~107) | 3.12 ± 0.03 | ||
| VAGTWYSLAMAAS-DIS | VAGTWYSLAMAASDISLLDAQSAPLR (AA31~56) | 2.64 ± 0.02 | ||
| DTDYK | VLVLDTDYK (AA108~116) | 2.12 ± 0.01 | ||
| DTDYKK | VLVLDTDYKK (AA108~117) | 2.04 ± 0.02 | ||
| VYVEELKPTPE | VYVEELKPTPEGDLEILLQK (AA57~76) | 2.68 ± 0.02 | ||
| Protamex | DEALEKFDKALKALPMH DISLLDAQSAPLR DISSLLDAQSAPLRVY KVAGTWYS LDIQKVAGTWYS LLDAQSAPLR LIVTQTMKGLDIQKVAGTWYS LVRTPEVDDEALEKFDKALKALPMH | KALKALPMH | DEALEKFDKALKALPMH (AA146~162) | 2.96 ± 0.03 |
| KVAGTWYS | LDIQKVAGTWYS (AA26~37) | 2.31 ± 0.02 | ||
| LIVTQTMKGLDIQ | LIVTQTMKGLDIQKVAGTWYS (AA17~37) | 2.59 ± 0.03 | ||
| PMH | LVRTPEVDDEALEKFDKALKALPMH (AA138~162) | 2.11 ± 0.02 | ||
| Papain | LDAQSAPLR NENKVLVL | NENKV | NENKVLVL (AA104~111) | 2.05 ± 0.02 |
| Neutrase | DTDYKKYL KPTPEGDLEILL LDAQSAPLRV LDTDYKKYL VLDTDYKKYL VRTPEVDDEAL | DTDYKKYL | DTDYKKYL (AA112~119) | 2.12 ± 0.01 |
| KPTPEGD | KPTPEGDLEILL (AA63~74) | 2.34 ± 0.02 | ||
| LDTDYKKYL | LDTDYKKYL (AA111~119) | 2.65 ± 0.02 | ||
| VLDTDYKKYL | VLDTDYKKYL (AA110~119) | 2.56 ± 0.01 |
| Score | Symptoms | NC Group (n = 10) | PC Group (n = 10) | TH Group (n = 10) | PM Group (n = 10) | PH Group (n = 10) | NPH Group (n = 10) |
|---|---|---|---|---|---|---|---|
| 0 | No symptoms | 10 | 0 | 9 | 8 | 8 | 0 |
| 1 | Scratching nose and mouth | 0 | 0 | 1 | 2 | 2 | 0 |
| 2 | Edema around eyes and mouth; decreased activity; increased respiratory rate | 0 | 0 | 0 | 0 | 0 | 2 |
| 3 | Tachypnea; rashes surround mouth and tail; increased respiratory rate | 0 | 6 | 0 | 0 | 0 | 6 |
| 4 | No activity after stimulation with trembling and muscle contraction | 0 | 3 | 0 | 0 | 0 | 2 |
| 5 | Shock and death | 0 | 1 | 0 | 0 | 0 | 0 |
| Scoring | 0 | 35.00 ± 0.56 a | 1.00 ± 0.05 b | 2.00 ± 0.08 b | 2.00 ± 0.05 b | 30.00 ± 0.12 a |
Disclaimer/Publisher’s Note: The statements, opinions and data contained in all publications are solely those of the individual author(s) and contributor(s) and not of MDPI and/or the editor(s). MDPI and/or the editor(s) disclaim responsibility for any injury to people or property resulting from any ideas, methods, instructions or products referred to in the content. |
© 2023 by the authors. Licensee MDPI, Basel, Switzerland. This article is an open access article distributed under the terms and conditions of the Creative Commons Attribution (CC BY) license (https://creativecommons.org/licenses/by/4.0/).
Share and Cite
Tian, L.; Zhang, Q.; Cong, Y.; Yan, W. Preparation, Identification and Application of β-Lactoglobulin Hydrolysates with Oral Immune Tolerance. Foods 2023, 12, 307. https://doi.org/10.3390/foods12020307
Tian L, Zhang Q, Cong Y, Yan W. Preparation, Identification and Application of β-Lactoglobulin Hydrolysates with Oral Immune Tolerance. Foods. 2023; 12(2):307. https://doi.org/10.3390/foods12020307
Chicago/Turabian StyleTian, Linghan, Qianqian Zhang, Yanjun Cong, and Wenjie Yan. 2023. "Preparation, Identification and Application of β-Lactoglobulin Hydrolysates with Oral Immune Tolerance" Foods 12, no. 2: 307. https://doi.org/10.3390/foods12020307
APA StyleTian, L., Zhang, Q., Cong, Y., & Yan, W. (2023). Preparation, Identification and Application of β-Lactoglobulin Hydrolysates with Oral Immune Tolerance. Foods, 12(2), 307. https://doi.org/10.3390/foods12020307

