Oral Isavuconazole Combined with Nebulized Inhalation and Bronchoscopic Administration of Amphotericin B for the Treatment of Pulmonary Mucormycosis: A Case Report and Literature Review
Abstract
1. Introduction
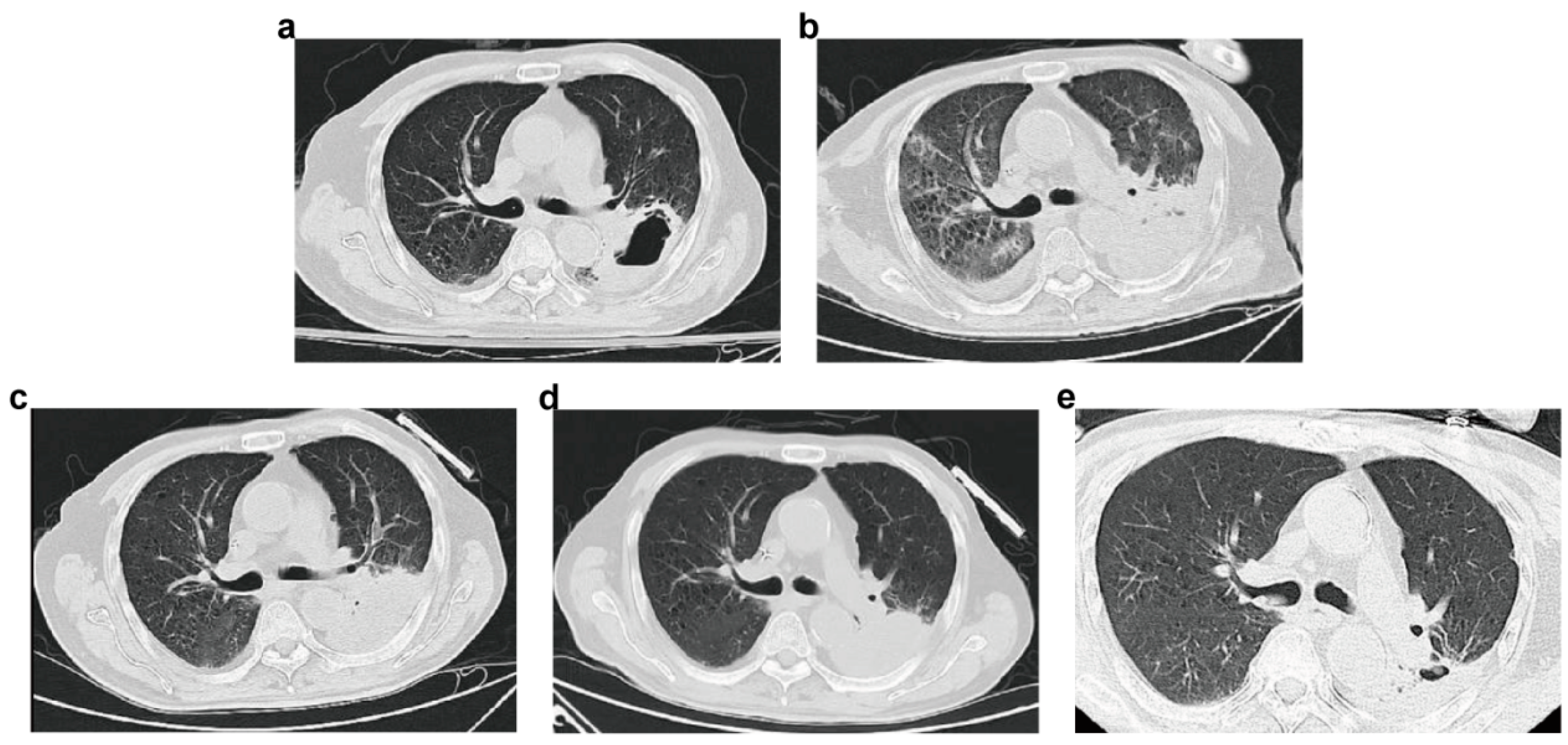
2. Case Report
3. Research Methods
4. Discussion
5. Conclusions
Supplementary Materials
Author Contributions
Funding
Institutional Review Board Statement
Informed Consent Statement
Data Availability Statement
Acknowledgments
Conflicts of Interest
References
- Steinbrink, J.M.; Miceli, M.H. Mucormycosis. Infect. Dis. Clin. N. Am. 2021, 35, 435–452. [Google Scholar] [CrossRef] [PubMed]
- Agrawal, R.; Yeldandi, A.; Savas, H.; Parekh, N.D.; Lombardi, P.J.; Hart, E.M. Pulmonary Mucormycosis: Risk Factors, Radiologic Findings, and Pathologic Correlation. Radiogr. A Rev. Publ. Radiol. Soc. N. Am. Inc. 2020, 40, 656–666. [Google Scholar] [CrossRef] [PubMed]
- Mehta, R.M.; Bansal, S.; Kalpakkam, H. Critical COVID-19-associated pulmonary mucormycosis: The underreported life-threatening spectrum of the mucormycosis epidemic. Lung India Off. Organ Indian Chest Soc. 2022, 39, 187–190. [Google Scholar] [CrossRef] [PubMed]
- Cornely, O.A.; Alastruey-Izquierdo, A.; Arenz, D.; Chen, S.C.A.; Dannaoui, E.; Hochhegger, B.; Hoenigl, M.; Jensen, H.E.; Lagrou, K.; Lewis, R.E.; et al. Global guideline for the diagnosis and management of mucormycosis: An initiative of the European Confederation of Medical Mycology in cooperation with the Mycoses Study Group Education and Research Consortium. Lancet Infect. Dis. 2019, 19, e405–e421. [Google Scholar] [CrossRef] [PubMed]
- Corzo-León, D.E.; Uehling, J.K.; Ballou, E.R. Rhizopus arrhizus. Trends Microbiol. 2023, 31, 985–987. [Google Scholar] [CrossRef] [PubMed]
- Koushiappi, E.; Porfyridis, I.; Karagiannis, C.; Adamide, T.; Georgiou, A. Pulmonary Mucormycosis (Zygomycosis) Presenting as an Infective Exacerbation of Chronic Obstructive Pulmonary Disease. Eur. J. Case Rep. Intern. Med. 2018, 5, 000995. [Google Scholar] [CrossRef]
- Farmakiotis, D.; Kontoyiannis, D.P. Mucormycoses. Infect. Dis. Clin. N. Am. 2016, 30, 143–163. [Google Scholar] [CrossRef] [PubMed]
- Banimostafavi, E.S.; Fakhar, M.; Zakariaei, Z.; Sharifpour, A.; Soleymani, M. Pulmonary mucormycosis mimicking lung tumour in an uncontrolled diabetic patient. Respirol. Case Rep. 2022, 10, e0917. [Google Scholar] [CrossRef] [PubMed]
- Guo, X.-Z.; Gong, L.-H.; Wang, W.-X.; Yang, D.-S.; Zhang, B.-H.; Zhou, Z.-T.; Yu, X.-H. Chronic pulmonary mucormycosis caused by Rhizopus microsporus mimics lung carcinoma in an immunocompetent adult: A case report. World J. Clin. Cases 2023, 11, 3295–3303. [Google Scholar] [CrossRef]
- Sundaram, N.; Bhende, T.; Yashwant, R.; Jadhav, S.; Jain, A. Mucormycosis in COVID-19 patients. Indian J. Ophthalmol. 2021, 69, 3728–3733. [Google Scholar] [CrossRef]
- Gupta, I.; Baranwal, P.; Singh, G.; Gupta, V. Mucormycosis, past and present: A comprehensive review. Future Microbiol. 2023, 18, 217–234. [Google Scholar] [CrossRef] [PubMed]
- Petrikkos, G.; Skiada, A.; Lortholary, O.; Roilides, E.; Walsh, T.J.; Kontoyiannis, D.P. Epidemiology and clinical manifestations of mucormycosis. Clin. Infect. Dis. Off. Publ. Infect. Dis. Soc. Am. 2012, 54 (Suppl. S1), S23–S34. [Google Scholar] [CrossRef] [PubMed]
- Imran, M.; Tauseef, A.S.; Khan, M.; Hudu, S.A.; Abida, S.A. Mucormycosis medications: A patent review. Expert Opin. Ther. Pat. 2021, 31, 1059–1074. [Google Scholar] [CrossRef] [PubMed]
- Serio, B.; Rosamilio, R.; Giudice, V.; Zeppa, P.; Esposito, S.; Fontana, R.; Annunziata, S.; Selleri, C. Successful management of pulmonary mucormycosis with liposomal amphotericin B and surgery treatment: A case report. Le Infez. Med. 2012, 20 (Suppl. S2), 43–47. [Google Scholar]
- Skiada, A.; Lass-Floerl, C.; Klimko, N.; Ibrahim, A.; Roilides, E.; Petrikkos, G. Challenges in the diagnosis and treatment of mucormycosis. Med. Mycol. 2018, 56 (Suppl. S1), 93–101. [Google Scholar] [CrossRef] [PubMed]
- He, J.; Sheng, G.; Yue, H.; Zhang, F.; Zhang, H.L. Isolated pulmonary mucormycosis in an immunocompetent patient: A case report and systematic review of the literature. BMC Pulm. Med. 2021, 21, 138. [Google Scholar] [CrossRef] [PubMed]
- Donnelly, J.P.; Chen, S.C.; Kauffman, C.A.; Steinbach, W.J.; Baddley, J.W.; Verweij, P.E.; Clancy, C.J.; Wingard, J.R.; Lockhart, S.R.; Groll, A.H.; et al. Revision and Update of the Consensus Definitions of Invasive Fungal Disease From the European Organization for Research and Treatment of Cancer and the Mycoses Study Group Education and Research Consortium. Clin. Infect. Dis. Off. Publ. Infect. Dis. Soc. Am. 2020, 71, 1367–1376. [Google Scholar] [CrossRef]
- Roden, M.M.; Zaoutis, T.E.; Buchanan, W.L.; Knudsen, T.A.; Sarkisova, T.A.; Schaufele, R.L.; Sein, M.; Sein, T.; Chiou, C.C.; Chu, J.H.; et al. Epidemiology and outcome of zygomycosis: A review of 929 reported cases. Clin. Infect. Dis. Off. Publ. Infect. Dis. Soc. Am. 2005, 41, 634–653. [Google Scholar] [CrossRef] [PubMed]
- Ng, K.L.; Huan, N.C.; Nasaruddin, M.Z.; Muhammad, N.A.; Daut, U.N.; Abdul Rahaman, J.A. Pulmonary mucormycosis masquerading as endobronchial tumour in an immunocompetent pregnant young lady. Respirol. Case Rep. 2021, 9, e00704. [Google Scholar] [CrossRef]
- Luo, Z.; Zhang, L. Diagnosis and treatment of pulmonary mucormycosis: A case report. Exp. Ther. Med. 2017, 14, 3788–3791. [Google Scholar] [CrossRef]
- Meena, D.S.; Kumar, D.; Bohra, G.K. Combination therapy in Mucormycosis: Current evidence from the world literature, a mini review. J. De Mycol. Medicale 2023, 33, 101332. [Google Scholar] [CrossRef] [PubMed]
- Huang, Y.Q.; Tremblay, J.A.; Chapdelaine, H.; Luong, M.L.; Carrier, F.M. Pulmonary mucormycosis in a patient with acute liver failure: A case report and systematic review of the literature. J. Crit. Care 2020, 56, 89–93. [Google Scholar] [CrossRef] [PubMed]
- Rajagopal, K.; Watkins, A.C.; Gibber, M.; Kon, Z.N.; Sanchez, P.G.; Iacono, A.T.; Griffith, B.P. Reoperative lung transplantation for donor-derived pulmonary mucormycosis. Ann. Thorac. Surg. 2014, 98, 327–329. [Google Scholar] [CrossRef] [PubMed]
- Wanat-Hawthorne, A.; Stubblefield, J.; Lynch, I.; Dellaria, S.; Kernstine, K. Successful Use of a Double Lumen Endotracheal Tube and Bronchial Blocker for Lung Isolation in Pulmonary Mucormycosis. J. Cardiothorac. Vasc. Anesth. 2019, 33, 776–780. [Google Scholar] [CrossRef] [PubMed]
- Leung, C.C.D.; Chan, Y.H.; Ho, M.Y.; Chan, M.C.; Chen, C.H.; Kwok, C.T.; Yeung, Y.C. First reported case of late recurrence of pulmonary mucormycosis in a renal transplant recipient with poorly controlled diabetes mellitus. Respirol. Case Rep. 2021, 9, e0877. [Google Scholar] [CrossRef] [PubMed]
- Marek, C.; Croxen, M.A.; Dingle, T.C.; Bharat, A.; Schwartz, I.S.; Wiens, R.; Smith, S. The use of genome sequencing to investigate an outbreak of hospital-acquired mucormycosis in transplant patients. Transpl. Infect. Dis. Off. J. Transplant. Soc. 2019, 21, e13163. [Google Scholar] [CrossRef] [PubMed]
- Hill, M.C.; Belkin, M.N.; McMullen, P.; Pillarella, J.J.; Macaluso, G.P.; Treitman, A.N.; Pappas, P.S.; Tatooles, A.J.; Cotts, W.G.; Andrade, A.A.; et al. Management of Pulmonary Mucormycosis After Orthotopic Heart Transplant: A Case Series. Transplant. Proc. 2021, 53, 3051–3055. [Google Scholar] [CrossRef] [PubMed]
- Chen, L.; Su, Y.; Xiong, X.Z. Rhizopus microsporus lung infection in an immunocompetent patient successfully treated with amphotericin B: A case report. World J. Clin. Cases 2021, 9, 11108–11114. [Google Scholar] [CrossRef] [PubMed]
- Rocconi, R.; Mazzucato, S.; Farina, C.; Grandesso, S. Severe invasive pulmonary zygomycosis by Rhizomucor pusillus and concomitant severe bacterial endocarditis in acute promyelocytic leukaemia. Le Infez. Med. 2015, 23, 265–269. [Google Scholar]
- Bavikar, P.; Mehta, V. Rhino-Orbital-Cerebral Mucormycosis: A Fatal Complication of Uncontrolled Diabetes Mellitus. Cureus 2017, 9, e1841. [Google Scholar] [CrossRef]
- Chen, T.K.; Batra, J.S.; Michalik, D.E.; Casillas, J.; Patel, R.; Ruiz, M.E.; Hara, H.; Patel, B.; Kadapakkam, M.; Ch’Ng, J.; et al. Recombinant Human Granulocyte-Macrophage Colony-Stimulating Factor (rhu GM-CSF) as Adjuvant Therapy for Invasive Fungal Diseases. Open Forum Infect. Dis. 2022, 9, ofac535. [Google Scholar] [CrossRef] [PubMed]
- Kullberg, B.J.; van de Veerdonk, F.; Netea, M.G. Immunotherapy: A potential adjunctive treatment for fungal infection. Curr. Opin. Infect. Dis. 2014, 27, 511–516. [Google Scholar] [CrossRef] [PubMed]
- Crees, Z.D.; Patel, D.A.; Dram, A.B.; Kim, M.; Bern, M.D.; Eberly, A.R.; Augustin, K.; Hotchkiss, R.S.; DiPersio, J.F. Immune Adjuvant Therapy with Interleukin-7 in a Lymphopenic Patient With Aplastic Anemia and Mucormycosis. Crit. Care Explor. 2023, 5, e0990. [Google Scholar] [CrossRef] [PubMed]
- Khan, S.; Elahi, M.W.; Ullah, W.; Abdullah, H.M.A.; Ahmad, E.; Al Mohajer, M.; Majeed, A. Invasive Mucormycosis Induced Pneumopericardium: A Rare Cause of Pneumopericardium in an Immunocompromised Patient. Case Rep. Infect. Dis. 2017, 2017, 1424618. [Google Scholar] [CrossRef] [PubMed]
- Upadhayay, P.; Bansal, K.; Goyal, A. Epidemiology, Risk Factors, Diagnosis and Treatment of Mucormycosis (Black Fungus): A Review. Curr. Pharm. Biotechnol. 2023, 24, 1645–1656. [Google Scholar] [CrossRef] [PubMed]
- Mejia Buritica, L.; Karduss Urueta, A.J. Pulmonary Mucormycosis. N. Engl. J. Med. 2021, 384, e69. [Google Scholar] [CrossRef]
- Choudhary, S.; Prabhakar, N.; Muthu, V.; Bhujade, H.; Sekar, A.; Debi, U.; Garg, M. ‘T2 Hypointense Rim Sign’ on Chest MRI in a Patient of Pulmonary Mucormycosis. Mycopathologia 2023, 188, 271–273. [Google Scholar] [CrossRef]
- Dannaoui, E. Recent Developments in the Diagnosis of Mucormycosis. J. Fungi 2022, 8, 457. [Google Scholar] [CrossRef]
- Hammond, S.P.; Bialek, R.; Milner, D.A.; Petschnigg, E.M.; Baden, L.R.; Marty, F.M. Molecular methods to improve diagnosis and identification of mucormycosis. J. Clin. Microbiol. 2011, 49, 2151–2153. [Google Scholar] [CrossRef]
- Zimmerli, S.; Bialek, R.; Blau, I.W.; Christe, A.; Lass-Flörl, C.; Presterl, E. Lichtheimia Infection in a Lymphoma Patient: Case Report and a Brief Review of the Available Diagnostic Tools. Mycopathologia 2016, 181, 561–566. [Google Scholar] [CrossRef]
- Park, Y.J.; Min, B.R. Sequence analysis of the internal transcribed spacer of ribosomal DNA in the genus rhizopus. Mycobiology 2005, 33, 109–112. [Google Scholar] [CrossRef]
- al-Abbadi, M.A.; Russo, K.; Wilkinson, E.J. Pulmonary mucormycosis diagnosed by bronchoalveolar lavage: A case report and review of the literature. Pediatr. Pulmonol. 1997, 23, 222–225. [Google Scholar] [CrossRef]
- Skiada, A.; Lanternier, F.; Groll, A.H.; Pagano, L.; Zimmerli, S.; Herbrecht, R.; Lortholary, O.; Petrikkos, G.L.; European Conference on Infections in Leukemia. Diagnosis and treatment of mucormycosis in patients with hematological malignancies: Guidelines from the 3rd European Conference on Infections in Leukemia (ECIL 3). Haematologica 2013, 98, 492–504. [Google Scholar] [CrossRef]
- Tissot, F.; Agrawal, S.; Pagano, L.; Petrikkos, G.; Groll, A.H.; Skiada, A.; Lass-Flörl, C.; Calandra, T.; Viscoli, C.; Herbrecht, R. ECIL-6 guidelines for the treatment of invasive candidiasis, aspergillosis and mucormycosis in leukemia and hematopoietic stem cell transplant patients. Haematologica 2017, 102, 433–444. [Google Scholar] [CrossRef]
- Choi, H.; Lee, H.; Jeon, K.; Suh, G.Y.; Shin, S.; Kim, H.K.; Kim, K.; Jeong, D.; Kim, H. Factors affecting surgical resection and treatment outcomes in patients with pulmonary mucormycosis. J. Thorac. Dis. 2019, 11, 892–900. [Google Scholar] [CrossRef]
- Brunet, K.; Rammaert, B. Mucormycosis treatment: Recommendations, latest advances, and perspectives. J. De Mycol. Medicale 2020, 30, 101007. [Google Scholar] [CrossRef]
- Pana, Z.D.; Registries, C.o.Z.a.F.; Seidel, D.; Skiada, A.; Groll, A.H.; Petrikkos, G.; Cornely, O.A.; Roilides, E. Invasive mucormycosis in children: An epidemiologic study in European and non-European countries based on two registries. BMC Infect. Dis. 2016, 16, 667. [Google Scholar] [CrossRef]
- Kuiper, L.; Ruijgrok, E.J. A review on the clinical use of inhaled amphotericin B. J. Aerosol Med. Pulm. Drug Deliv. 2009, 22, 213–227. [Google Scholar] [CrossRef]
- Ibrahim, A.S.; Gebremariam, T.; Fu, Y.; Edwards, J.E.; Spellberg, B., Jr. Combination echinocandin-polyene treatment of murine mucormycosis. Antimicrob. Agents Chemother. 2008, 52, 1556–1558. [Google Scholar] [CrossRef]
- Klimko, N.N.; Khostelidi, S.N.; Volkova, A.G.; Popova, M.O.; Bogomolova, T.S.; Zuborovskaya, L.S.; Kolbin, A.S.; Medvedeva, N.V.; Zuzgin, I.S.; Simkin, S.M.; et al. Mucormycosis in haematological patients: Case report and results of prospective study in Saint Petersburg, Russia. Mycoses 2014, 57 (Suppl. S3), 91–96. [Google Scholar] [CrossRef]


| Parameters | N = 297 | Death | |||
|---|---|---|---|---|---|
| Age in years | 48 (0.58–88) | ||||
| Male/Female | 200/95 | ||||
| Pathogen genus | |||||
| Actinomucor | 1/297 (0.3%) | ||||
| Cunninghamella | 25/297 (8.4%) | ||||
| Cokeromyces | 2/297 (0.7%) | ||||
| Mucor | 33/297 (11.1%) | ||||
| Rhizopus | 79/297 (26.6%) | ||||
| Rhizomucor | 15/297 (5.0%) | ||||
| Syncephalastrum | 2/297 (0.7%) | ||||
| Lichtheimia | 13/297 (4.4%) | ||||
| Untyped | 127/297 (42.8%) | ||||
| Clinical manifestation | |||||
| Cough | 111/297 (37.4%) | ||||
| Fever | 132/297 (44.4%) | ||||
| Chest pain | 111/297 (37.4%) | ||||
| Hemoptysis | 50/297 (16.8%) | ||||
| Dyspnoea | 42/297 (14.1%) | ||||
| Hoarseness of voice | 4/297 (1.3%) | ||||
| Pancoast syndrome | 2/297 (0.7%) | ||||
| Risk factors | |||||
| Diabetes mellitus | 109/297 (36.7%) | ||||
| Hematological malignancy | 87/297 (29.3%) | ||||
| Stem cell or solid organ transplant | 42/297 (14.1%) | ||||
| Renal transplant | 22 | ||||
| Use of glucocorticoids | 29/297 (9.8%) | ||||
| Immunosuppressive therapy | 28/297 (9.4%) | ||||
| Autoimmune diseases | 18/297 (6.1%) | ||||
| COVID-19 | 40/297 (13.5%) | ||||
| Tuberculosis | 18/297 (6.1%) | ||||
| Chronic kidney disease | 25/297 (8.4%) | ||||
| Cancers | 10/297 (3.4%) | ||||
| HIV infection | 5/297 (1.7%) | ||||
| Contact history | 9/297 (3.0%) | ||||
| Immunocompetent | 26/297 (8.8%) | ||||
| CT findings | |||||
| Consolidation | 79/297 (26.6%) | ||||
| Pleural effusion | 41/297 (13.8%) | ||||
| Infiltration | 37/297 (12.5%) | ||||
| Mass | 31/297 (10.4%) | ||||
| Cavity | 19/297 (6.4%) | ||||
| Reversed halo sign | 10/297 (3.4%) | ||||
| Pseudoaneurysm | 7/297 (2.4%) | ||||
| Lymphadenopathy | 6/297 (2.0%) | ||||
| Site of involvement | |||||
| Both | 62/243 (25.5%) | ||||
| Right | 108/243 (44.4%) | ||||
| RUL | 26 | ||||
| RML | 10 | ||||
| RLL | 47 | ||||
| Left | 71/243 (29.2%) | ||||
| LUL | 21 | ||||
| LMZ | 4 | ||||
| LLL | 24 | ||||
| No mention of the location of lobe | 54 | ||||
| Trachea | 6/297 (2.0%) | ||||
| Mediastinum | 18/297 (6.1%) | ||||
| Rib destruction | 3/297 (1.0%) | ||||
| Diagnosis method | |||||
| Autopsy | 21/297 (7.1%) | ||||
| BALF | 66/297 (22.2%) | ||||
| Biopsy | 231/297 (77.8%) | ||||
| Culture | 78 | ||||
| Histopathology | 122 | ||||
| Molecular identification | 61/297 (20.5%) | ||||
| PCR | 26 | ||||
| mNGS | 12 | ||||
| DNA sequencing | 1 | ||||
| ITS | 13 | ||||
| MALDI-TOF | 3 | ||||
| Treatment strategy | |||||
| No mention | 27 | ||||
| Single antifungal agent | 148/270 (54.8%) | 71/148 (48.0%) | |||
| Amphotericin B | 185 | 1 | |||
| Inhaled AmB | 2 | 0 | |||
| Inhaled + IV AmB | 5 | 0 | |||
| Isavuconazole | 20 | 6 | |||
| Itraconazole | 3 | 0 | |||
| Posaconazole | 66 | 15 | |||
| Voriconazole | 2 | 1 | |||
| Fluconazole | 1 | 0 | |||
| Antifungal agents (combination) | 33/270 (12.2%) | 13/33 (39.4%) | |||
| AmB + posaconazole | 11 | 2 | |||
| Inhaled AmB + posaconazole | 2 | 0 | |||
| Sugery | 14/270 (5.2%) | 4/14 (28.6%) | |||
| Antifungal agents + surgery | 75/270 (27.8%) | 18/75 (24.0%) | |||
| Brochoscopy therapy of perfusion with AmB | 1 | 0 | |||
| Drug side effects | |||||
| Amphotericin B | |||||
| Nephrotoxicity | 29 | ||||
| Electrolyte imbalance (hypokalemia) | 6 | ||||
| Allergic reaction | 1 | ||||
| Posaconazole | |||||
| Gastrointestinal side-effects | 1 | ||||
| Treatment time (days) | 138 (3–1140) | ||||
| Outcome | |||||
| Died | 130/285 (45.6%) | 130 | |||
| Alive | 155/285 (54.4%) | ||||
Disclaimer/Publisher’s Note: The statements, opinions and data contained in all publications are solely those of the individual author(s) and contributor(s) and not of MDPI and/or the editor(s). MDPI and/or the editor(s) disclaim responsibility for any injury to people or property resulting from any ideas, methods, instructions or products referred to in the content. |
© 2024 by the authors. Licensee MDPI, Basel, Switzerland. This article is an open access article distributed under the terms and conditions of the Creative Commons Attribution (CC BY) license (https://creativecommons.org/licenses/by/4.0/).
Share and Cite
Leng, X.; Zhou, H.; Xu, Z.; Xu, F. Oral Isavuconazole Combined with Nebulized Inhalation and Bronchoscopic Administration of Amphotericin B for the Treatment of Pulmonary Mucormycosis: A Case Report and Literature Review. J. Fungi 2024, 10, 388. https://doi.org/10.3390/jof10060388
Leng X, Zhou H, Xu Z, Xu F. Oral Isavuconazole Combined with Nebulized Inhalation and Bronchoscopic Administration of Amphotericin B for the Treatment of Pulmonary Mucormycosis: A Case Report and Literature Review. Journal of Fungi. 2024; 10(6):388. https://doi.org/10.3390/jof10060388
Chicago/Turabian StyleLeng, Xuan, Hui Zhou, Zhiyang Xu, and Feng Xu. 2024. "Oral Isavuconazole Combined with Nebulized Inhalation and Bronchoscopic Administration of Amphotericin B for the Treatment of Pulmonary Mucormycosis: A Case Report and Literature Review" Journal of Fungi 10, no. 6: 388. https://doi.org/10.3390/jof10060388
APA StyleLeng, X., Zhou, H., Xu, Z., & Xu, F. (2024). Oral Isavuconazole Combined with Nebulized Inhalation and Bronchoscopic Administration of Amphotericin B for the Treatment of Pulmonary Mucormycosis: A Case Report and Literature Review. Journal of Fungi, 10(6), 388. https://doi.org/10.3390/jof10060388

