Metarhizium caribense sp. nov., a Novel Species of Entomopathogenic Metarhizium Fungi Associated with Weevils Impairing Coffee, Sugar Cane and Sweet Potato Cultivation
Abstract
1. Introduction
2. Materials and Methods
2.1. Fungal Strains and Isolates
2.2. Morphological and Cultural Characterization of Fungal Isolates
2.3. DNA Extraction
2.4. Preparative PCR Amplification and Marker Sequence Determination
2.5. Phylogenetic Reconstruction
2.6. Diagnostic PCR Amplification for Species Discrimination
3. Results
3.1. Molecular Taxonomic Identification Based on Protein-Encoding Gene Sequences
3.2. Molecular Taxonomic Identification Based on Intergenic Spacer (IGS) Sequences
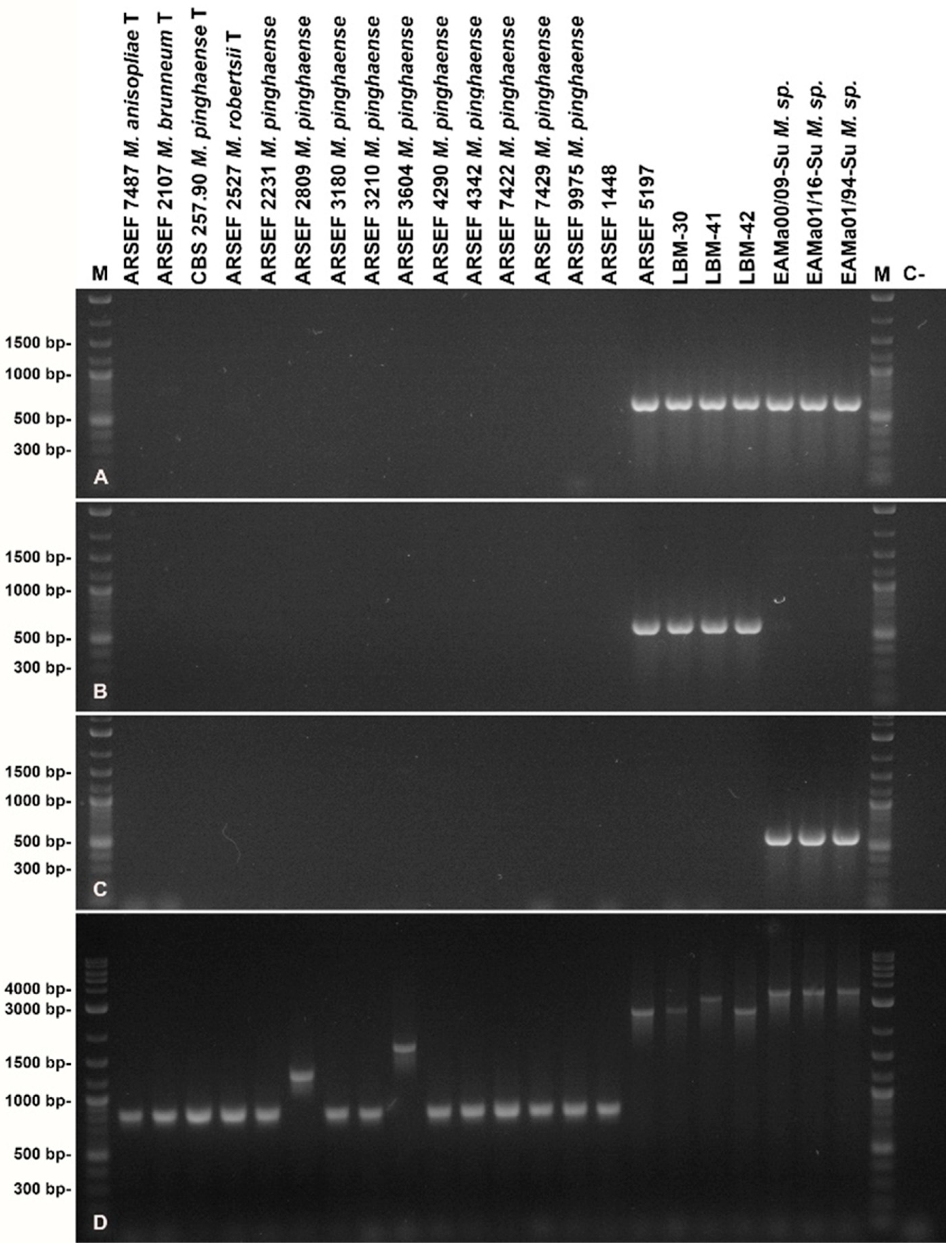
3.3. rIGS-Based Species-Discriminating Diagnostic PCR
3.4. 28S Ribosomal RNA Gene Group-I Intron Analysis
3.5. Morphological and Cultural Characterization of Fungal Isolates
4. Taxonomic Description
5. Discussion
6. Conclusions
Supplementary Materials
Author Contributions
Funding
Institutional Review Board Statement
Informed Consent Statement
Data Availability Statement
Acknowledgments
Conflicts of Interest
References
- Holz, S.; Celeste, P.d.A.; Héros, J.M.; Nascimento de Souza, P.H.; Yenjit, R.; Garcia, C.; Borges, D.; Delalibera, I., Jr.; Zhi-Yuan, C.; Pascholati, S.F. The potential of using Metarhizium anisopliae and Metarhizium humberi to control the Asian soybean rust caused by Phakopsora pachyrhizi. Biocontrol Sci. Technol. 2023, 33, 366–382. [Google Scholar] [CrossRef]
- Aw, K.M.S.; Hue, S.M. Mode of Infection of Metarhizium spp. Fungus and their Potential as Biological Control Agents. J. Fungi 2017, 3, 30. [Google Scholar] [CrossRef]
- Driver, F.; Milner, R.J.; Trueman, J.W.H. A taxonomic revision of Metarhizium based on a phylogenetic analysis of rDNA sequence data. Mycol. Res. 2000, 104, 134–150. [Google Scholar] [CrossRef]
- Kepler, R.M.; Humber, R.A.; Bischoff, J.F.; Rehner, S.A. Clarification of generic and species boundaries for Metarhizium and related fungi through multigene phylogenetics. Mycologia 2014, 106, 811–829. [Google Scholar] [CrossRef]
- Mongkolsamrit, S.; Khonsanit, A.; Thanakitpipattana, D.; Tasanathai, K.; Noisripoom, W.; Lamlertthon, S.; Himaman, W.; Houbraken, J.; Samson, R.A.; Luangsa-Ard, J. Revisiting Metarhizium and the description of new species from Thailand. Stud. Mycol. 2020, 95, 171–251. [Google Scholar] [CrossRef]
- Bischoff, J.F.; Rehner, S.A.; Humber, R.A. A multilocus phylogeny of the Metarhizium anisopliae lineage. Mycologia 2009, 101, 512–530. [Google Scholar] [CrossRef]
- Sung, G.H.; Sung, J.M.; Hywel-Jones, N.L.; Spatafora, J.W. A multi-gene phylogeny of Clavicipitaceae (Ascomycota, Fungi): Identification of localized incongruence using a combinational bootstrap approach. Mol. Phylogenet. Evol. 2007, 44, 1204–1223. [Google Scholar] [CrossRef]
- Sung, G.H.; Hywel-Jones, N.L.; Sung, J.M.; Luangsa-Ard, J.J.; Shrestha, B.; Spatafora, J.W. Phylogenetic classification of Cordyceps and the clavicipitaceous fungi. Stud. Mycol. 2007, 57, 5–59. [Google Scholar] [CrossRef]
- Bischoff, J.F.; Rehner, S.A.; Humber, R.A. Metarhizium frigidum sp. nov.: A cryptic species of M. anisopliae and a member of the M. flavoviride complex. Mycologia 2006, 98, 737–745. [Google Scholar] [CrossRef]
- Kepler, R.M.; Sung, G.H.; Ban, S.; Nakagiri, A.; Chen, M.J.; Huang, B.; Li, Z.; Spatafora, J.W. New teleomorph combinations in the entomopathogenic genus Metacordyceps. Mycologia 2012, 104, 182–197. [Google Scholar] [CrossRef]
- Montalva, C.; Collier, K.; Rocha, L.F.; Inglis, P.W.; Lopes, R.B.; Luz, C.; Humber, R.A. A natural fungal infection of a sylvatic cockroach with Metarhizium blattodeae sp. nov., a member of the M. flavoviride species complex. Fungal Biol. 2016, 120, 655–665. [Google Scholar] [CrossRef]
- Lopes, R.B.; Souza, D.A.; Rocha, L.F.N.; Montalva, C.; Luz, C.; Humber, R.A.; Faria, M. Metarhizium alvesii sp. nov.: A new member of the Metarhizium anisopliae species complex. J. Invertebr. Pathol. 2018, 151, 165–168. [Google Scholar] [CrossRef]
- Gutierrez, A.C.; Leclerque, A.; Manfrino, R.G.; Luz, C.; Ferrari, W.A.O.; Barneche, J.; García, J.J.; López Lastra, C.C. Natural occurrence in Argentina of a new fungal pathogen of cockroaches, Metarhizium argentinense sp. nov. Fungal Biol. 2019, 123, 364–372. [Google Scholar] [CrossRef]
- Rehner, S.A.; Kepler, R.M. Species limits, phylogeography and reproductive mode in the Metarhizium anisopliae complex. J. Invertebr. Pathol. 2017, 148, 60–66. [Google Scholar] [CrossRef]
- Rezende, J.M.; Zanardo, A.B.R.; da Silva Lopes, M.; Delalibera, I., Jr.; Rehner, S.A. Phylogenetic diversity of Brazilian Metarhizium associated with sugarcane agriculture. BioControl 2015, 60, 495–505. [Google Scholar] [CrossRef]
- Luz, C.; Rocha, L.F.N.; Montalva, C.; Souza, D.A.; Botelho, A.B.R.Z.; Lopes, R.B.; Faria, M.; Delalibera, I., Jr. Metarhizium humberi sp. nov. (Hypocreales: Clavicipitaceae), a new member of the PARB clade in the Metarhizium anisopliae complex from Latin America. J. Invertebr. Pathol. 2019, 166, 107216. [Google Scholar] [CrossRef]
- Iwanicki, N.S.A.; Botelho, A.B.R.Z.; Klingen, I.; Júnior, I.D.; Rossmann, S.; Lysøe, E. Genomic signatures and insights into host niche adaptation of the entomopathogenic fungus Metarhizium humberi. G3 2022, 12, jkab416. [Google Scholar] [CrossRef]
- Kepler, R.M.; Rehner, S.A. Genome-assisted development of nuclear intergenic sequence markers for entomopathogenic fungi of the Metarhizium anisopliae species complex. Mol. Ecol. Resour. 2013, 13, 210–217. [Google Scholar] [CrossRef]
- Schuster, C.; Baró Robaina, Y.; Ben Gharsa, H.; Bobushova, S.; Manfrino, R.G.; Gutierrez, A.C.; Lopez Lastra, C.C.; Doolotkeldieva, T.; Leclerque, A. Species Discrimination within the Metarhizium PARB Clade: Ribosomal Intergenic Spacer (rIGS)-Based Diagnostic PCR and Single Marker Taxonomy. J. Fungi 2023, 9, 996. [Google Scholar] [CrossRef]
- Riguetti, Z.B.A.B.; Alves-Pereira, A.; Colonhez, P.R.; Zucchi, M.I.; Delalibera, I., Jr. Metarhizium species in soil from Brazilian biomes: A study of diversity, distribution, and association with natural and agricultural environments. Fungal Ecol. 2019, 41, 289–300. [Google Scholar] [CrossRef]
- Pantou, M.P.; Mavridou, A.; Typas, M.A. IGS sequence variation, group-I introns and the complete nuclear ribosomal DNA of the entomopathogenic fungus Metarhizium: Excellent tools for isolate detection and phylogenetic analysis. Fung. Genet. Biol. 2003, 38, 159–174. [Google Scholar] [CrossRef]
- Mayerhofer, J.; Lutz, A.; Dennert, F.; Rehner, S.A.; Kepler, R.M.; Widmer, F.; Enkerli, J. A species-specific multiplexed PCR amplicon assay for distinguishing between Metarhizium anisopliae, M. brunneum, M. pingshaense and M. robertsii. J. Invertebr. Pathol. 2019, 161, 23–28. [Google Scholar] [CrossRef]
- Neuvéglise, C.; Brygoo, Y. Identification of group-1 intron in the 28s rDNA of the entomopathogenic fungus Beauveria brongniartii. Curr. Genet. 1994, 27, 38–45. [Google Scholar] [CrossRef]
- Mavridou, A.; Cannone, J.; Typas, M.A. Identification of group-I introns at three different positions within the 28S rDNA gene of the entomopathogenic fungus Metarhizium anisopliae var. anisopliae. Fungal Genet. Biol. 2000, 31, 79–90. [Google Scholar] [CrossRef]
- Wang, C.; Li, Z.; Typas, M.A.; Butt, T.M. Nuclear large subunit rDNA group I intron distribution in a population of Beauveria bassiana strains: Phylogenetic implications. Mycol. Res. 2003, 107, 1189–1200. [Google Scholar] [CrossRef]
- Neuveglise, C.; Brygoo, Y.; Riba, G. 28S rDNA group-I introns: A powerful tool for identifying strains of Beauveria brongniartii. Mol. Ecol. 1997, 6, 373–381. [Google Scholar] [CrossRef]
- Fatu, A.C.; Fatu, V.; Andrei, A.M.; Ciornei, C.; Lupastean, D.; Leclerque, A. Strain-specific PCR-based diagnosis for Beauveria brongniartii biocontrol strains. IOBC/wprs Bull. 2011, 66, 213–216. [Google Scholar]
- Schuster, C.; Saar, K.; Manfrino, R.; Aguilera Sammaritano, J.; Tornesello Galván, J.; García, J.J.; López Lastra, C.C.; Leclerque, A. Group-I intron-based strain-specific diagnosis of entomopathogenic Lecanicillium fungi for aphid biocontrol. IOBC/wprs Bull. 2016, 113, 53–56. [Google Scholar]
- Manfrino, R.G.; Schuster, C.; Saar, K.; López, L.C.; Leclerque, A. Genetic characterization, pathogenicity and benomyl susceptibility of Lecanicillium fungal isolates from Argentina. J. Appl. Entomol. 2019, 143, 204–213. [Google Scholar] [CrossRef]
- Márquez, M.; Iturriaga, E.A.; Quesada-Moraga, E.; Santiago-Alvarez, C.; Monte, E.; Hermosa, R. Detection of potentially valuable polymorphisms in four group I intron insertion sites at the 3’-end of the LSU rDNA genes in biocontrol isolates of Metarhizium anisopliae. BMC Microbiol. 2006, 6, 77. [Google Scholar] [CrossRef]
- Baró, Y.; Schuster, C.; Gato, Y.; Márquez, M.E.; Leclerque, A. Characterization, identification and virulence of Metarhizium species from Cuba to control the sweet potato weevil, Cylas formicarius Fabricius (Coleoptera: Brentidae). J. Appl. Microbiol. 2022, 132, 3705–3716. [Google Scholar] [CrossRef]
- Gato, Y.; Márquez, M.E.; Baró Robaina, Y.; Calle, J. Detección de enzimas extracelulares en cepas cubanas del complejo Metarhizium anisopliae con acción entomopatogénica contra Cylas formicarius Fabricius (Coleoptera: Brentidae). Actu Biol. 2017, 39, 71–78. [Google Scholar] [CrossRef]
- Inglis, D.; Enkerli, J.; Goettel, M. Laboratory techniques used for entomopathogenic fungi: Hypocreales. In Manual of Techniques in Invertebrate Pathology, 2nd ed.; Lacey, L.A., Ed.; Academic Press: London, UK, 2012; pp. 189–243. [Google Scholar]
- Tamura, K.; Stecher, G.; Kumar, S. MEGA11: Molecular Evolutionary Genetics Analysis version 11. Mol. Biol. Evol. 2021, 38, 3022–3027. [Google Scholar] [CrossRef]
- Altschul, S.F.; Madden, T.L.; Schäffer, A.A.; Zhang, J.; Zhang, Z.; Miller, W.; Lipman, D.J. Grapped BLAST and PSI-BLAST: A new generation of protein database search programs. Nucleis Acids Res. 1997, 2, 3389–3402. [Google Scholar] [CrossRef]
- Zhang, Z.; Schwartz, S.; Wagner, L.; Miller, W. A greedy algorithm for aligning DNA sequences. J. Comput. Biol. 2000, 7, 203–214. [Google Scholar] [CrossRef]
- Thompson, J.D.; Higgins, D.G.; Gibson, T.J. CLUSTAL W: Improving the sensitivity of progressive multiple sequence alignment through sequence weighting, position-specific gap penalties and weight matrix choice. Nucleic Acids Res. 1994, 22, 4673–4680. [Google Scholar] [CrossRef]
- Schmidt, H.A.; Strimmer, K.; Vingron, M.; von Haeseler, A. Tree-Puzzle: Maximum likelihood phylogenetic analysis using quartets and parallel computing. Bioinformatics 2002, 18, 502–504. [Google Scholar] [CrossRef]
- Guindon, S.; Gascuel, O. A simple, fast, and accurate algorithm to estimate large phylogenies by maximum likelihood. Syst. Biol. 2003, 52, 696–704. [Google Scholar] [CrossRef]
- Hasegawa, M.; Kishino, H.; Yano, T.A. Dating of the human–ape splitting by a molecular clock of mitochondrial DNA. J. Mol. Evol. 1985, 22, 160–174. [Google Scholar] [CrossRef]
- Yang, Z. Maximum-Likelihood estimation of phylogeny from DNA sequences when substitution rates differ over sites. Mol. Biol. Evol. 1993, 10, 1396–1401. [Google Scholar]
- Haugen, P.; Simon, D.M.; Bhattacharya, D. The natural history of group I introns. Trends Genet. 2005, 21, 111–119. [Google Scholar] [CrossRef]
- Gogarten, J.P.; Hilario, E. Inteins, introns, and homing endonucleases: Recent revelations about the life cycle of parasitic genetic elements. BMC Evol. Biol. 2006, 6, 94. [Google Scholar] [CrossRef]
- Jin, S.F.; Feng, M.G.; Chen, J.Q. Selection of global Metarhizium isolates for the control of the rice pest Nilaparvata lugens (Homoptera: Delphacidae). Pest. Manag. Sci. 2008, 64, 1008–1014. [Google Scholar] [CrossRef]
- Leadmon, C.E.; Sampson, J.K.; Maust, M.D.; Macias, A.M.; Rehner, S.A.; Kasson, M.T.; Panaccione, D.G. Several Metarhizium species produce ergot alkaloids in a condition-specific manner. Appl. Environ. Microbiol. 2020, 86, e00373-20. [Google Scholar] [CrossRef]
- Golo, P.S.; Gardner, D.R.; Grilley, M.M.; Takemoto, J.Y.; Krasnoff, S.B.; Pires, M.S.; Fernandes, E.K.K.; Bittencourt, V.R.E.P.; Roberts, D.W. Production of Destruxins from Metarhizium spp. Fungi in Artificial Medium and in Endophytically Colonized Cowpea Plants. PLoS ONE 2014, 9, e104946. [Google Scholar] [CrossRef]
- Muniappan, R.; Shepard, B.M.; Carner, G.R.; Ooi, P.A.C. Arthropod Pests of Horticultural Crops in Tropical Asia; CABI: Wallingford, UK, 2012; pp. 52–134. [Google Scholar]
- Reddy, P.P. Plant Protection in Tropical Root and Tuber Crops; Springer: New Delhi, India, 2015; pp. 87–98. [Google Scholar]
- Kepler, R.M.; Chen, Y.; Kilcrease, J.; Shao, J.; Rehner, S.A. Independent origins of diploidy in Metarhizium. Mycologia 2016, 108, 1091–1103. [Google Scholar]
- Rehner, S.A. Genetic structure of Metarhizium species in western USA: Finite populations composed of divergent clonal lineages with limited evidence for recent recombination. J. Invertebr. Pathol. 2020, 177, 107491. [Google Scholar] [CrossRef]
- Rocha, L.F.; Inglis, P.W.; Humber, R.A.; Kipnis, A.; Luz, C. Occurrence of Metarhizium spp. in Central Brazilian soils. J. Basic. Microbiol. 2013, 53, 251–259. [Google Scholar] [CrossRef]
- Rehner, S.A.; Buckley, E.A. Beauveria phylogeny inferred from nuclear ITS and EF1-alpha sequences: Evidence for cryptic diversification and links to cordyceps teleomorphs. Mycologia 2005, 97, 84–98. [Google Scholar]
- Stiller, J.W.; Hall, B.D. The origin of red algae: Implications for plastid evolution. Proc. Natl. Acad. Sci. USA 1997, 94, 4520–4525. [Google Scholar] [CrossRef]
- Liu, Y.J.; Whelen, S.; Hall, B.D. Phylogenetic relationships among ascomycetes: Evidence from an RNA polymerse II subunit. Mol. Biol. Evol. 1999, 16, 1799–1808. [Google Scholar] [CrossRef]
- Goetsch, L.; Eckert, A.J.; Hall, B.D. The molecular systematics of Rhododendron (Ericaceae): A phylogeny based upon RPB2 gene sequences. Syst. Bot. 2005, 30, 616–626. [Google Scholar] [CrossRef]






| Strain Designation | Source of Isolation | Geographic Origin |
|---|---|---|
| LBM-30 | Soil using Galleria mellonella (L.) (Lepidoptera: Pyralidae) bait method | La Habana, Cuba |
| LBM-41 | Coffee berry borer, Hypothenemus hampei Ferrari (Coleoptera: Curculionidae) | Granma, Cuba |
| LBM-42 | Coffee berry borer, Hypothenemus hampei Ferrari (Coleoptera: Curculionidae) | Granma, Cuba |
| Isolate | Colony Characteristics | Conidial Size a | Conidial Shape |
|---|---|---|---|
| LBM-30 | Cottony texture, abundant mycelia growth and wooly in the central area, with a white mycelial margin. Abundant conidiation yellow to olive green in color and crusty appearance, with regular border. Conidiophores broadly branched (chandelier-like) | 5.00–8.50 (6.60) × 2.00–3.00 (2.44) | Cylindrical |
| LBM-41 | White colonies to greenish olivaceous, forming halos or concentric rings with conidia maturation. Abundant conidiation in central area forming small pustules, with white mycelial margin. Ochreous pigment diffusing into medium. Conidiophores broadly branched (chandelier-like). | 4.88–7.32 (5.66) × 2.44–3.66 (2.71). | Cylindrical to ellipsoidal |
| LBM-42 | White to dark olivaceous green with conidia maturation, colonies with white mycelial margin. Diffuse conidiation forming small pustules. Ochreous pigment diffusing into medium | 4.88–7.32 (6.93) × 2.43–2.44 (2.44). | Cylindrical to ellipsoidal |
| ARSEF 1448 | Colonies were white and became yellow to olive green with a white mycelial margin. Colony reverses were yellow. Conidiophores were broadly branched, like a candelabrum arrangement. Phialides were cylindrical and organized in compact palisades. | 4.91–7.19 (5.99) × 1.29–2.56 (1.83). | Cylindrical |
| ARSEF 5197 | Colonies initially appeared white and became yellow to dark olive green with white mycelial margin. Colony reverses were ochreous. Conidiophores were broadly branched, like a candelabrum arrangement. Phialides were cylindrical and organized in compact palisades | 5.08–7.04 (5.78) × 1.22–2.39 (1.82) | Cylindrical |
Disclaimer/Publisher’s Note: The statements, opinions and data contained in all publications are solely those of the individual author(s) and contributor(s) and not of MDPI and/or the editor(s). MDPI and/or the editor(s) disclaim responsibility for any injury to people or property resulting from any ideas, methods, instructions or products referred to in the content. |
© 2024 by the authors. Licensee MDPI, Basel, Switzerland. This article is an open access article distributed under the terms and conditions of the Creative Commons Attribution (CC BY) license (https://creativecommons.org/licenses/by/4.0/).
Share and Cite
Baró Robaina, Y.; Schuster, C.; Castañeda-Ruiz, R.F.; Gato Cárdenas, Y.; Márquez Gutiérrez, M.E.; Ponce de la Cal, A.; Leclerque, A. Metarhizium caribense sp. nov., a Novel Species of Entomopathogenic Metarhizium Fungi Associated with Weevils Impairing Coffee, Sugar Cane and Sweet Potato Cultivation. J. Fungi 2024, 10, 612. https://doi.org/10.3390/jof10090612
Baró Robaina Y, Schuster C, Castañeda-Ruiz RF, Gato Cárdenas Y, Márquez Gutiérrez ME, Ponce de la Cal A, Leclerque A. Metarhizium caribense sp. nov., a Novel Species of Entomopathogenic Metarhizium Fungi Associated with Weevils Impairing Coffee, Sugar Cane and Sweet Potato Cultivation. Journal of Fungi. 2024; 10(9):612. https://doi.org/10.3390/jof10090612
Chicago/Turabian StyleBaró Robaina, Yamilé, Christina Schuster, Rafael F. Castañeda-Ruiz, Yohana Gato Cárdenas, María Elena Márquez Gutiérrez, Amaia Ponce de la Cal, and Andreas Leclerque. 2024. "Metarhizium caribense sp. nov., a Novel Species of Entomopathogenic Metarhizium Fungi Associated with Weevils Impairing Coffee, Sugar Cane and Sweet Potato Cultivation" Journal of Fungi 10, no. 9: 612. https://doi.org/10.3390/jof10090612
APA StyleBaró Robaina, Y., Schuster, C., Castañeda-Ruiz, R. F., Gato Cárdenas, Y., Márquez Gutiérrez, M. E., Ponce de la Cal, A., & Leclerque, A. (2024). Metarhizium caribense sp. nov., a Novel Species of Entomopathogenic Metarhizium Fungi Associated with Weevils Impairing Coffee, Sugar Cane and Sweet Potato Cultivation. Journal of Fungi, 10(9), 612. https://doi.org/10.3390/jof10090612

