Lidocaine-Loaded Thermoresponsive Gel for Accelerated Wound Healing in Dry Socket and Oral Wounds
Abstract
1. Introduction
2. Results and Discussion
2.1. Liodocaine Loaded Thermoresponsive Gels Characteristic
2.2. In Vitro Wound Healing
2.2.1. Cytotoxicity Assessment
2.2.2. In Vitro Wound Scratch
2.3. Clinical Healing Analysis
2.3.1. Wound Size
2.3.2. Redness
2.3.3. Edema (Swelling)
2.3.4. Weight, Food, and Water Intake in Tested Rats
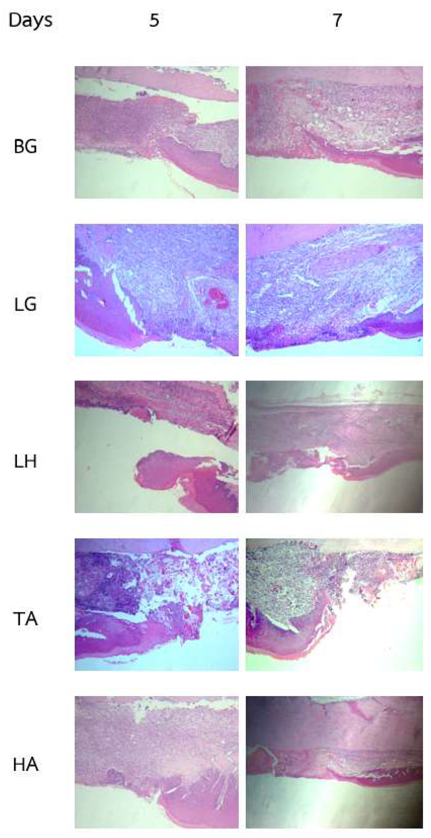
2.4. Histological Analysis
3. Conclusions
4. Materials and Methods
4.1. Preparation of Tested Samples
4.1.1. Preparation of Lidocaine-Loaded Ternary Polyelectrolyte Complex Thermoresponsive Hydrogel (LG)
4.1.2. Preparation of Other Tested Samples Blank Gel (BG)
4.2. In Vitro Wound Healing and Cytotoxicity
4.2.1. Cell Culture and Preparation
4.2.2. Preparation of Extract Solution
4.2.3. In Vitro Cytotoxicity
4.2.4. Scratch Assay
4.3. Clinical Wound Healing in Rat Palatal Model
4.3.1. Palatal Wound Induction
4.3.2. Palatal Wound Treatments
4.3.3. Rat Termination and Sample Collection
4.3.4. Tissue Preparation and Staining for Histological Analysis
4.4. Statistical Analysis
Author Contributions
Funding
Institutional Review Board Statement
Informed Consent Statement
Data Availability Statement
Acknowledgments
Conflicts of Interest
References
- Cardoso, C.L.; Rodrigues, M.T.V.; Ferreira, O.; Garlet, G.P.; De Carvalho, P.S.P. Clinical Concepts of Dry Socket. J. Oral Maxillofac. Surg. 2010, 68, 1922–1932. [Google Scholar] [CrossRef] [PubMed]
- Shevel, E. Painful Dry Socket: An Alternative Perspective. S. Afr. Dent. J. 2018, 73, 456–458. [Google Scholar] [CrossRef][Green Version]
- Tarakji, B.; Saleh, L.A.; Umair, A.; Azzeghaiby, S.N.; Hanouneh, S. Systemic Review of Dry Socket: Aetiology, Treatment, and Prevention. J. Clin. Diagn. Res. 2015, 9, ZE10. [Google Scholar] [CrossRef]
- Cardoso, C.L.; Ferreira Júnior, O.; de Carvalho, P.S.P.; Dionísio, T.J.; Cestari, T.M.; Garlet, G.P. Experimental Dry Socket: Microscopic and Molecular Evaluation of Two Treatment Modalities. Acta Cir. Bras. 2011, 26, 365–372. [Google Scholar] [CrossRef]
- Veale, B. Alveolar Osteitis: A Critical Review of the Aetiology and Management. Oral Surg. 2015, 8, 68–77. [Google Scholar] [CrossRef]
- Kamal, A.; Salman, B.; Abdul Razak, N.H.; Al Qabbani, A.; Samsudin, A.R. The Efficacy of Concentrated Growth Factor in the Healing of Alveolar Osteitis: A Clinical Study. Int. J. Dent. 2020, 2020, 9038629. [Google Scholar] [CrossRef] [PubMed]
- Al-Badran, A.; Bierbaum, S.; Wolf-Brandstetter, C. Does the Choice of Preparation Protocol for Platelet-Rich Fibrin Have Consequences for Healing and Alveolar Ridge Preservation After Tooth Extraction? A Meta-Analysis. J. Oral Maxillofac. Surg. 2023, 81, 602–621. [Google Scholar] [CrossRef]
- Burgoyne, C.C.; Giglio, J.A.; Reese, S.E.; Sima, A.P.; Laskin, D.M. The Efficacy of a Topical Anesthetic Gel in the Relief of Pain Associated with Localized Alveolar Osteitis. J. Oral Maxillofac. Surg. 2010, 68, 144–148. [Google Scholar] [CrossRef] [PubMed]
- Bender, L.; Boostrom, H.M.; Varricchio, C.; Zuanon, M.; Celiksoy, V.; Sloan, A.; Cowpe, J.; Heard, C.M. A Novel Dual Action Monolithic Thermosetting Hydrogel Loaded with Lidocaine and Metronidazole as a Potential Treatment for Alveolar Osteitis. Eur. J. Pharm. Biopharm. 2020, 149, 85–94. [Google Scholar] [CrossRef]
- Supachawaroj, N.; Damrongrungruang, T.; Limsitthichaikoon, S. Formulation Development and Evaluation of Lidocaine Hydrochloride Loaded in Chitosan-Pectin-Hyaluronic Acid Polyelectrolyte Complex for Dry Socket Treatment. Saudi Pharm. J. 2021, 29, 1070–1081. [Google Scholar] [CrossRef]
- Metin, M.; Tek, M.; Şener, I. Comparison of Two Chlorhexidine Rinse Protocols on the Incidence of Alveolar Osteitis Following the Surgical Removal of Impacted Third Molars. J. Contemp. Dent. Pract. 2006, 7, 79–86. [Google Scholar] [CrossRef] [PubMed]
- Lee, H.-S. Recent Advances in Topical Anesthesia. J. Dent. Anesth. Pain. Med. 2016, 16, 237–244. [Google Scholar] [CrossRef]
- Meechan, J.G. Effective Topical Anesthetic Agents and Techniques. Dent. Clin. N. Am. 2002, 46, 759–766. [Google Scholar] [CrossRef]
- Zhu, T.; Yu, X.; Yi, X.; Guo, X.; Li, L.; Hao, Y.; Wang, W. Lidocaine-Loaded Hyaluronic Acid Adhesive Microneedle Patch for Oral Mucosal Topical Anesthesia. Pharmaceutics 2022, 14, 686. [Google Scholar] [CrossRef] [PubMed]
- Garg, A.; Garg, N.; Kaur, D.; Sharma, S.; Tahun, I.; Kumar, R. Evaluation of Efficacy of 2% Lidocaine Gel and 20% Benzocaine Gel for Topical Anesthesia. Endodontology 2016, 28, 38–41. [Google Scholar] [CrossRef]
- Abu-Huwaij, R.; Assaf, S.; Salem, M.; Sallam, A. Mucoadhesive Dosage Form of Lidocaine Hydrochloride: I. Mucoadhesive and Physicochemical Characterization. Drug Dev. Ind. Pharm. 2007, 33, 855–864. [Google Scholar] [CrossRef]
- Calixto, G.M.F.; Muniz, B.V.; Castro, S.R.; de Araujo, J.S.M.; de Souza Amorim, K.; Ribeiro, L.N.M.; Ferreira, L.E.N.; de Araújo, D.R.; de Paula, E.; Franz-Montan, M. Mucoadhesive, Thermoreversible Hydrogel, Containing Tetracaine-Loaded Nanostructured Lipid Carriers for Topical, Intranasal Needle-Free Anesthesia. Pharmaceutics 2021, 13, 1760. [Google Scholar] [CrossRef] [PubMed]
- Shaikh, R.; Raj Singh, T.; Garland, M.; Woolfson, A.; Donnelly, R. Mucoadhesive Drug Delivery Systems. J. Pharm. Bioallied Sci. 2011, 3, 89–100. [Google Scholar]
- Vivek Kumar, P.; Saravanakumar, K.; Nagaveni, P.; Mohan Kumar, A.; Ramesh, B. Novel Review on Mucoadhesive Drug Delivery System. Int. J. Res. Pharm. Sci. 2014, 5, 206–216. [Google Scholar]
- Carvalho, F.C.; Bruschi, M.L.; Evangelista, R.C.; Gremião, M.P.D. Mucoadhesive Drug Delivery Systems. Braz. J. Pharm. Sci. 2010, 46, 1–17. [Google Scholar] [CrossRef]
- Alawdi, S.; Solanki, A.B. Mucoadhesive Drug Delivery Systems: A Review of Recent Developments. J. Sci. Res. Med. Biol. Sci. 2021, 2, 50–64. [Google Scholar] [CrossRef]
- Supachawaroj, N. Polymeric Hydrogel Containing Lidocaine Loaded Polyelectrolyte Complex for Dry Socket Wound Dressing; Rangsit University: Pathum Thani, Thailand, 2022. [Google Scholar]
- Supachawaroj, N.; Limsitthichaikoon, S. Factors Affecting Gelation of Lidocaine Hydrochloride-Loaded Polyelectrolyte Complex Thermosensitivity Gel for Dry Socket Treatment. Key Eng. Mater. 2021, 901, 111–116. [Google Scholar] [CrossRef]
- Bansal, M.; Mittal, N.; Yadav, S.K.; Khan, G.; Gupta, P.; Mishra, B.; Nath, G. Periodontal Thermoresponsive, Mucoadhesive Dual Antimicrobial Loaded in-Situ Gel for the Treatment of Periodontal Disease: Preparation, in-Vitro Characterization and Antimicrobial Study. J. Oral Biol. Craniofac. Res. 2018, 8, 126–133. [Google Scholar] [CrossRef] [PubMed]
- Cheng, S.; Xue, Y.; Lu, Y.; Li, X.; Dong, J. Thermoresponsive Pyrrolidone Block Copolymer Organogels from 3D Micellar Networks. ACS Omega 2017, 2, 105–112. [Google Scholar] [CrossRef]
- Fan, X.; Wu, L.; Yang, L. Fabrication and Characterization of Thermoresponsive Composite Carriers: PNIPAAm-Grafted Glass Spheres. e-Polymers 2021, 21, 222–233. [Google Scholar] [CrossRef]
- Kerdmanee, K.; Phaechamud, T.; Limsitthichaikoon, S. Thermoresponsive Azithromycin-Loaded Niosome Gel Based on Poloxamer 407 and Hyaluronic Interactions for Periodontitis Treatment. Pharmaceutics 2022, 14, 2032. [Google Scholar] [CrossRef] [PubMed]
- Supachawaroj, N.; Limsitthichaikoon, S. Lidocaine HCl-Loaded Polyelectrolyte Complex -Poloxamer Thermoresponsive Hydrogel: In Vitro—In Vivo Anesthetic Evaluations for Tooth Socket Wound Delivery. AAPS PharmSciTech 2024, 25, 182. [Google Scholar] [CrossRef]
- Fang, C.H.; Lin, H.Y.; Sun, C.K.; Lin, Y.W.; Hung, M.C.; Li, C.H.; Lin, I.P.; Chang, H.C.; Sun, J.S.; Chang, J.Z.C. Decoronation-Induced Infected Alveolar Socket Defect Rat Model for Ridge Preservation. Sci. Rep. 2022, 12, 9940. [Google Scholar] [CrossRef]
- Christopher, M.; Fazal, A.; Mehdi, M.M.; Anthoney, D.; Idrees, Q.T.A.; Javaid, R. Histological Evaluation of Wound Healing by Topical Phenytoin Application on Extraction Socket: An in Vivo Study in Albino Wistar Rats. J. Oral Med. Oral Surg. 2023, 29, 9. [Google Scholar] [CrossRef]
- Liu, Y.; Zhang, S.; Sakran, K.A.; Yin, J.; Lan, M.; Yang, C.; Wang, Y.; Zeng, N.; Huang, H.; Shi, B. Observation of Palatal Wound Healing Process Following Various Degrees of Mucoperiosteal and Bone Trauma in a Young Rat Model. Biology 2022, 11, 1142. [Google Scholar] [CrossRef]
- Sund-Levander, M.; Forsberg, C.; Wahren, L.K. Normal Oral, Rectal, Tympanic and Axillary Body Temperature in Adult Men and Women: A Systematic Literature Review. Scand. J. Caring Sci. 2002, 16, 122–128. [Google Scholar] [CrossRef] [PubMed]
- Mackowiak, P.A.; Wasserman, S.S.; Levine, M.M. A Critical Appraisal of 98.6 °F, the Upper Limit of the Normal Body Temperature, and Other Legacies of Carl Reinhold August Wunderlich. JAMA J. Am. Med. Assoc. 1992, 268, 1578–1580. [Google Scholar] [CrossRef]
- Sund-Levander, M.; Grodzinsky, E. Time for a Change to Assess and Evaluate Body Temperature in Clinical Practice. Int. J. Nurs. Pr. 2009, 15, 241–249. [Google Scholar] [CrossRef] [PubMed]
- Chen, M.; Li, L.; Wang, Z.; Li, P.; Feng, F.; Zheng, X. High Molecular Weight Hyaluronic Acid Regulates P. Gingivalis–Induced Inflammation and Migration in Human Gingival Fibroblasts via MAPK and NF-ΚB Signaling Pathway. Arch. Oral Biol. 2019, 98, 75–80. [Google Scholar] [CrossRef]
- Damrongrungruang, T.; Paphangkorakit, J.; Limsitthichaikoon, S.; Khampaenjiraroch, B.; Davies, M.J.; Sungthong, B.; Priprem, A. Anthocyanin Complex Niosome Gel Accelerates Oral Wound Healing: In Vitro and Clinical Studies. Nanomedicine 2021, 37, 102423. [Google Scholar] [CrossRef]
- Priprem, A.; Damrongrungruang, T.; Limsitthichaikoon, S.; Khampaenjiraroch, B.; Nukulkit, C.; Thapphasaraphong, S.; Limphirat, W. Topical Niosome Gel Containing an Anthocyanin Complex: A Potential Oral Wound Healing in Rats. AAPS PharmSciTech 2018, 19, 1681–1692. [Google Scholar] [CrossRef]
- Martinotti, S.; Ranzato, E. Scratch Wound Healing Assay. In Methods in Molecular Biology; Springer: Berlin/Heidelberg, Germany, 2020; Volume 2109. [Google Scholar]
- Radstake, W.E.; Gautam, K.; Van Rompay, C.; Vermeesen, R.; Tabury, K.; Verslegers, M.; Baatout, S.; Baselet, B. Comparison of in Vitro Scratch Wound Assay Experimental Procedures. Biochem. Biophys. Rep. 2023, 33, 101423. [Google Scholar] [CrossRef]
- Grada, A.; Otero-Vinas, M.; Prieto-Castrillo, F.; Obagi, Z.; Falanga, V. Research Techniques Made Simple: Analysis of Collective Cell Migration Using the Wound Healing Assay. J. Investig. Dermatol. 2017, 137, e11–e16. [Google Scholar] [CrossRef]
- Jonkman, J.E.N.; Cathcart, J.A.; Xu, F.; Bartolini, M.E.; Amon, J.E.; Stevens, K.M.; Colarusso, P. An Introduction to the Wound Healing Assay Using Live-Cell Microscopy. Cell Adh. Migr. 2014, 8, 440–451. [Google Scholar] [CrossRef]
- Liang, C.C.; Park, A.Y.; Guan, J.L. In Vitro Scratch Assay: A Convenient and Inexpensive Method for Analysis of Cell Migration in Vitro. Nat. Protoc. 2007, 2, 329–333. [Google Scholar] [CrossRef]
- Ramenzoni, L.L.; Annasohn, L.; Miron, R.J.; Attin, T.; Schmidlin, P.R. Combination of Enamel Matrix Derivative and Hyaluronic Acid Inhibits Lipopolysaccharide-Induced Inflammatory Response on Human Epithelial and Bone Cells. Clin. Oral Investig. 2022, 26, 1773–1783. [Google Scholar] [CrossRef] [PubMed]
- Al-Serwi, R.H.; Eladl, M.A.; El-Sherbiny, M.; Saleh, M.A.; Othman, G.; Alshahrani, S.M.; Alnefaie, R.; Jan, A.M.; Alnasser, S.M.; Albalawi, A.E.; et al. Targeted Drug Administration onto Cancer Cells Using Hyaluronic Acid–Quercetin-Conjugated Silver Nanoparticles. Molecules 2023, 28, 4146. [Google Scholar] [CrossRef]
- Mitsui, Y.; Gotoh, M.; Nakama, K.; Yamada, T.; Higuchi, F.; Nagata, K. Hyaluronic Acid Inhibits MRNA Expression of Proinflammatory Cytokines and Cyclooxygenase-2/Prostaglandin E2 Production via CD44 in Lnterleukin-1- Stimulated Subacromial Synovial Fibroblasts from Patients with Rotator Cuff Disease. J. Orthop. Res. 2008, 26, 1032–1037. [Google Scholar] [CrossRef] [PubMed]
- Taskan, M.M.; Balci Yuce, H.; Karatas, O.; Gevrek, F.; Isiker Kara, G.; Celt, M.; Sirma Taskan, E. Hyaluronic Acid with Antioxidants Improve Wound Healing in Rats. Biotech. Histochem. 2021, 96, 536–545. [Google Scholar] [CrossRef]
- Lee, J.H.; Lee, K.E.; Nam, O.H.; Chae, Y.K.; Lee, M.H.; Kweon, D.K.; Kim, M.S.; Lee, H.S.; Choi, S.C. Orodispersible Hyaluronic Acid Film Delivery for Oral Wound Healing in Rats. J. Dent. Sci. 2022, 17, 1595–1603. [Google Scholar] [CrossRef] [PubMed]
- Hanifin, J.M.; Thurston, M.; Omoto, M.; Cherill, R.; Tofte, S.J.; Graeber, M. The Eczema Area and Severity Index (EASI): Assessment of Reliability in Atopic Dermatitis. Exp. Dermatol. 2001, 10, 11–18. [Google Scholar] [CrossRef]
- Cornelissen, A.M.H.; Stoop, R.; Von Den Hoff, H.W.; Maltha, J.C.; Kuijpers-Jagtman, A.M. Myofibroblasts and Matrix Components in Healing Palatal Wounds in the Rat. J. Oral Pathol. Med. 2000, 29, 1–7. [Google Scholar] [CrossRef] [PubMed]
- Zhu, T.; Park, H.C.; Son, K.M.; Yang, H.C. Effects of Dimethyloxalylglycine on Wound Healing of Palatal Mucosa in a Rat Model. BMC Oral Health 2015, 15, 60. [Google Scholar] [CrossRef]
- Lökken, P.; Olsen, I.; Bruaset, I.; Norman-Pedersen, K. Bilateral Surgical Removal of Impacted Lower Third Molar Teeth as a Model for Drug Evaluation: A Test with Ibuprofen. Eur. J. Clin. Pharmacol. 1975, 8, 209–216. [Google Scholar] [CrossRef]
- Diniz, J.A.; Barbirato, D.d.S.; do Nascimento, E.H.L.; Pontual, A.d.A.; Dourado, A.C.A.G.; Laureano Filho, J.R. Tomographic Evaluation of the Effect of Simvastatin Topical Use on Alveolar Bone Microarchitecture, Pain and Swelling after Mandibular Third Molar Extraction: A Randomized Controlled Trial. Clin. Oral Investig. 2022, 26, 3533–3545. [Google Scholar] [CrossRef]
- Bodner, L.; Dayan, D. Epithelium and Connective Tissue Regeneration during Palatal Wound Healing in Desalivated Rats—A Comparative Study. Comp. Biochem. Physiol. A Physiol. 1995, 111, 415–419. [Google Scholar] [CrossRef] [PubMed]
- Amaliya, A.; Muhaimina, R.K.; Susanto, A.; Sutjiatmo, A.B. Histological Assessment of Palatal Donor Site Wound Healing after Application of Moringa Oleifera Lamarck Leaf Extract in Rats. Eur. J. Dent. 2019, 13, 248–254. [Google Scholar] [CrossRef][Green Version]
- Tamaki, N.; Orihuela-Campos, R.C.; Fukui, M.; Ito, H.O. Hydrogen-Rich Water Intake Accelerates Oral Palatal Wound Healing via Activation of the Nrf2/Antioxidant Defense Pathways in a Rat Model. Oxid. Med. Cell Longev. 2016, 2016, 5679040. [Google Scholar] [CrossRef]
- NCT04390100 Palatal Wound Healing Evaluation After Application of Platelet Rich Fibrin Versus 0.2% Hyaluronic Acid Dressings. Available online: https://clinicaltrials.gov/show/NCT04390100 (accessed on 24 June 2024).
- Cassuto, J.; Sinclair, R.; Bonderovic, M. Anti-Inflammatory Properties of Local Anesthetics and Their Present and Potential Clinical Implications. Acta Anaesthesiol. Scand. 2006, 50, 265–282. [Google Scholar] [CrossRef]
- Litz, R.J.; Hübler, M.; Koch, T.; Albrecht, D.M. Spinal-Epidural Hematoma Following Epidural Anesthesia in the Presence of Antiplatelet and Heparin Therapy. Anesthesiology 2001, 95, 1031–1033. [Google Scholar] [CrossRef]
- Hollmann, M.W.; Durieux, M.E.; Fisher, D.M. Local Anesthetics and the Inflammatory Response: A New Therapeutic Indication? Anesthesiology 2000, 93, 858–875. [Google Scholar] [CrossRef] [PubMed]
- Wu, S.G.; Li, H.T.; Wang, L.L.; Yan, L. Lidocaine Promotes Fibroblast Proliferation after Thermal Injury via Up-Regulating the Expression of MiR-663 and MiR-486. Kaohsiung J. Med. Sci. 2020, 36, 274–280. [Google Scholar] [CrossRef] [PubMed]
- Long, D.; Chen, Y.; Qu, L.; Dong, Y. Lidocaine Inhibits the Proliferation and Migration of Endometrial Cancer Cells and Promotes Apoptosis by Inducing Autophagy. Oncol. Lett. 2022, 24, 347. [Google Scholar] [CrossRef]
- Jayakumar, R.; Prabaharan, M.; Sudheesh Kumar, P.T.; Nair, S.V.; Tamura, H. Biomaterials Based on Chitin and Chitosan in Wound Dressing Applications. Biotechnol. Adv. 2011, 29, 322–337. [Google Scholar] [CrossRef]
- Feng, P.; Luo, Y.; Ke, C.; Qiu, H.; Wang, W.; Zhu, Y.; Hou, R.; Xu, L.; Wu, S. Chitosan-Based Functional Materials for Skin Wound Repair: Mechanisms and Applications. Front. Bioeng. Biotechnol. 2021, 9, 650598. [Google Scholar] [CrossRef]
- Munarin, F.; Tanzi, M.C.; Petrini, P. Advances in Biomedical Applications of Pectin Gels. Int. J. Biol. Macromol. 2012, 51, 681–689. [Google Scholar] [CrossRef]
- Carvalho, G.C.; Araujo, V.H.S.; Fonseca-Santos, B.; de Araújo, J.T.C.; de Souza, M.P.C.; Duarte, J.L.; Chorilli, M. Highlights in Poloxamer-Based Drug Delivery Systems as Strategy at Local Application for Vaginal Infections. Int. J. Pharm. 2021, 602, 120635. [Google Scholar] [CrossRef]
- Ur-Rehman, T.; Tavelin, S.; Gröbner, G. Chitosan in Situ Gelation for Improved Drug Loading and Retention in Poloxamer 407 Gels. Int. J. Pharm. 2011, 409, 19–29. [Google Scholar] [CrossRef]
- Vang Mouritzen, M.; Jenssen, H. Optimized Scratch Assay for in Vitro Testing of Cell Migration with an Automated Optical Camera. J. Vis. Exp. 2018, 2018, e57691. [Google Scholar] [CrossRef]
- Kawano, Y.; Patrulea, V.; Sublet, E.; Borchard, G.; Iyoda, T.; Kageyama, R.; Morita, A.; Seino, S.; Yoshida, H.; Jordan, O.; et al. Wound Healing Promotion by Hyaluronic Acid: Effect of Molecular Weight on Gene Expression and in Vivo Wound Closure. Pharmaceuticals 2021, 14, 301. [Google Scholar] [CrossRef]
- Rowan, A.N. Guide for the Care and Use of Laboratory Animals. J. Med. Primatol. 1979, 8, 128. [Google Scholar] [CrossRef]
- Institute of Laboratory Animal Resources. Committee for the Update of the Guide for the Care and Use of Laboratory Animals. In Guide for the Care and Use of Laboratory Animals, 8th ed.; The National Academic Press: Washington, DC, USA, 2011. [Google Scholar]
- Cunningham, J.B.; McCrum-Gardner, E. Power, Effect and Sample Size Using GPower: Practical Issues for Researchers and Members of Research Ethics Committees. Evid. Based Midwifery 2007, 5, 132–137. [Google Scholar]
- Kang, H. Sample Size Determination and Power Analysis Using the G*Power Software. J. Educ. Eval. Health Prof. 2021, 18, 17. [Google Scholar] [CrossRef]




| LD (%) | HA (%) | CS (%) | PC (%) | P407 (%) | |
|---|---|---|---|---|---|
| BG | - | - | - | - | 16 |
| LG1 | 5 | 0.5 | 0.3 | 0.1 | 16 |
| LG2 | 5 | 1.0 | 0.3 | 0.1 | 16 |
| LG3 | 5 | 1.5 | 0.3 | 0.1 | 16 |
| Groups | BG | LG | LH | TA | HA | |
|---|---|---|---|---|---|---|
| Wound size (mm2) | Day 5 | 6.48 ± 0.4 | 4.27 ± 0.6 a | 6.42 ± 0.6 | 5.98 ± 0.5 | 5.81 ± 0.4 |
| Day 7 | 4.73 ± 0.7 | 0.96 ± 0.3 a | 4.83 ± 0.9 | 3.72 ± 0.3 | 3.49 ± 0.6 | |
| Day 14 | 1.40 ± 0.2 | N/S | 2.16 ± 0.3 | 0.96 ± 0.4 | N/S | |
| Redness | Day 1 | *** | *** | *** | *** | *** |
| Day 5 | *** | ** | *** | ** | ** | |
| Day 7 | ** | * | ** | * | ** | |
| Day 14 | * | N/S | * | * | N/S | |
| Edema | Day 1 | ** | ** | ** | ** | ** |
| Day 5 | * | * | * | * | * | |
| Day 7 | N/S | N/S | N/S | N/S | N/S | |
| Day 14 | N/S | N/S | N/S | N/S | N/S |
| Groups | BG | LG | LH | TA | HA | |
|---|---|---|---|---|---|---|
| Weight (g) | Day 0 | 256 ± 4.2 | 258 ± 5.6 | 253 ± 4.8 | 255 ± 5.4 | 252 ± 6.1 |
| Day 1 | 248 ± 6.3 | 263 ± 7.4 | 248 ± 8.1 | 256 ± 4.4 | 261 ± 6.4 | |
| Day 5 | 274 ± 5.4 | 281 ± 5.2 | 278 ± 6.4 | 277 ± 6.0 | 272 ± 6.7 | |
| Day 7 | 290 ± 7.3 | 303 ± 6.0 | 296 ± 6.2 | 293 ± 7.1 | 300 ± 6.6 | |
| Day 14 | 345 ± 5.2 | 351 ± 4.5 | 346 ± 3.8 | 346 ± 4.2 | 347 ± 5.0 | |
| Food consumption (g) | Day 0 | 15.6 ± 0.2 | 15.8 ± 0.4 | 15.3 ± 0.2 | 15.0 ± 0.5 | 15.2 ± 0.6 |
| Day 1 | 4.08 ± 0.3 | 6.33 ± 0.6 | 4.8 ± 0.7 | 5.67 ± 0.4 | 6.12 ± 0.3 | |
| Day 5 | 5.84 ± 0.5 | 8.13 ± 0.6 | 5.96 ± 0.4 | 7.47 ± 0.6 | 7.52 ± 0.4 | |
| Day 7 | 9.20 ± 0.7 | 10.40 ± 0.3 | 9.90 ± 0.6 | 9.22 ± 0.3 | 10.23 ± 0.6 | |
| Day 14 | 14.00 ± 0.2 | 15.00 ± 0.2 | 14.60 ± 0.3 | 14.60 ± 0.3 | 14.74 ± 0.5 | |
| Water consumption (mL) | Day 0 | 60.00 ± 2.4 | 66.50 ± 4.6 | 64.50 ± 2.4 | 64.00 ± 4.2 | 62.70 ± 5.6 |
| Day 1 | 42.00 ± 9.6 | 50.00 ± 9.3 | 46.33 ± 8.6 | 43.33 ± 9.4 | 46.46 ± 8.3 | |
| Day 5 | 45.80 ± 8.1 | 53.8 ± 7.5 | 55.55 ± 10.3 | 47.33 ± 9.9 | 49.00 ± 9.8 | |
| Day 7 | 46.67 ± 10.9 | 49.25 ± 10.4 | 47.33 ± 10.5 | 50.75 ± 11.3 | 53.00 ± 11.8 | |
| Day 14 | 64.00 ± 14.2 | 64.00 ± 14.2 | 67.50 ± 15.0 | 66.50 ± 14.8 | 67.5 ± 14.4 |
Disclaimer/Publisher’s Note: The statements, opinions and data contained in all publications are solely those of the individual author(s) and contributor(s) and not of MDPI and/or the editor(s). MDPI and/or the editor(s) disclaim responsibility for any injury to people or property resulting from any ideas, methods, instructions or products referred to in the content. |
© 2024 by the authors. Licensee MDPI, Basel, Switzerland. This article is an open access article distributed under the terms and conditions of the Creative Commons Attribution (CC BY) license (https://creativecommons.org/licenses/by/4.0/).
Share and Cite
Supachawaroj, N.; Kerdmanee, K.; Limsitthichaikoon, S. Lidocaine-Loaded Thermoresponsive Gel for Accelerated Wound Healing in Dry Socket and Oral Wounds. Gels 2024, 10, 739. https://doi.org/10.3390/gels10110739
Supachawaroj N, Kerdmanee K, Limsitthichaikoon S. Lidocaine-Loaded Thermoresponsive Gel for Accelerated Wound Healing in Dry Socket and Oral Wounds. Gels. 2024; 10(11):739. https://doi.org/10.3390/gels10110739
Chicago/Turabian StyleSupachawaroj, Nuttawut, Kunchorn Kerdmanee, and Sucharat Limsitthichaikoon. 2024. "Lidocaine-Loaded Thermoresponsive Gel for Accelerated Wound Healing in Dry Socket and Oral Wounds" Gels 10, no. 11: 739. https://doi.org/10.3390/gels10110739
APA StyleSupachawaroj, N., Kerdmanee, K., & Limsitthichaikoon, S. (2024). Lidocaine-Loaded Thermoresponsive Gel for Accelerated Wound Healing in Dry Socket and Oral Wounds. Gels, 10(11), 739. https://doi.org/10.3390/gels10110739

