Non-A Non-B Acute Aortic Dissection: Is There Some Confusion in the Radiologist’s Mind?
Abstract
1. Introduction
2. Materials and Methods
2.1. Study Population
CTA Technique and Image Analysis
2.2. Statistical Analysis
3. Results
3.1. Non-A Non-B Dissection CTA Configurations
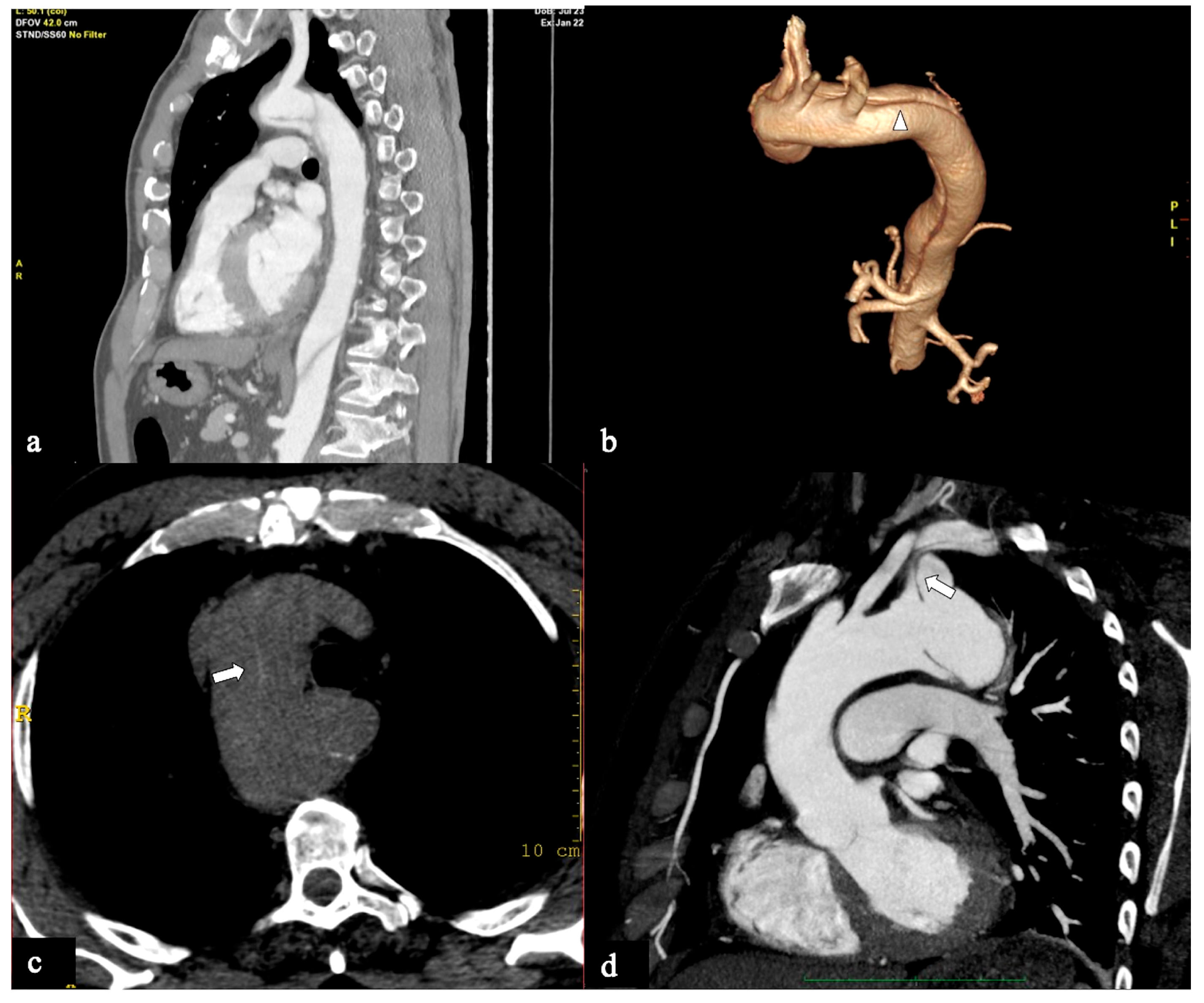
- Configuration 1 (or DTA entry): Among the cohort, 25 out of 36 patients (69.5%) presented with a type B AD or descending-entry type, with the primary entry tear distal to the left subclavian artery (zone 3). The extension of the flap occurred antegradely into the descending aorta, with or without the involvement of the abdominal aorta, and retrogradely into the aorta until the brachiocephalic trunk (BCT) (Figure 3). We describe this configuration as non-A non-B dissection with a retrograde pathway of dissection, as the entry site of the flap is in the descending aorta with retrograde arch involvement. According to Stanford classification, this configuration was present in 14% of type B AD patients. Previous studies have documented DTA entry type to be present between 10% and 25% of patients with acute type B dissection, sometimes as an intramural hematoma [33,34,35]. Patients presenting with DTA entry non-A non-B dissection demonstrated a prevalent origin of BCT and LCCA in 20% and an arch origin of the left vertebral artery in 4%. Among these cases, the distal extent of dissections was observed in various locations: the thoracic aorta in 9 patients, the abdominal aorta in 7 patients, and the pelvic circulation in 9 patients. Involvement of specific arteries was noted, including the left subclavian (n = 5), left common carotid (n = 1), or innominate (n = 1) arteries. Six of these DTA entry patients, who were initially managed with medical therapy, necessitated hybrid or surgical aortic repair within 10 days after the onset of dissection due to persistent pain (3/5), new organ malperfusion (2/5), or rapid aortic growth (1/5). Forty percent of these patients underwent treatment with optimal medical therapy and close imaging surveillance, while 60% received hybrid or open surgical therapy.

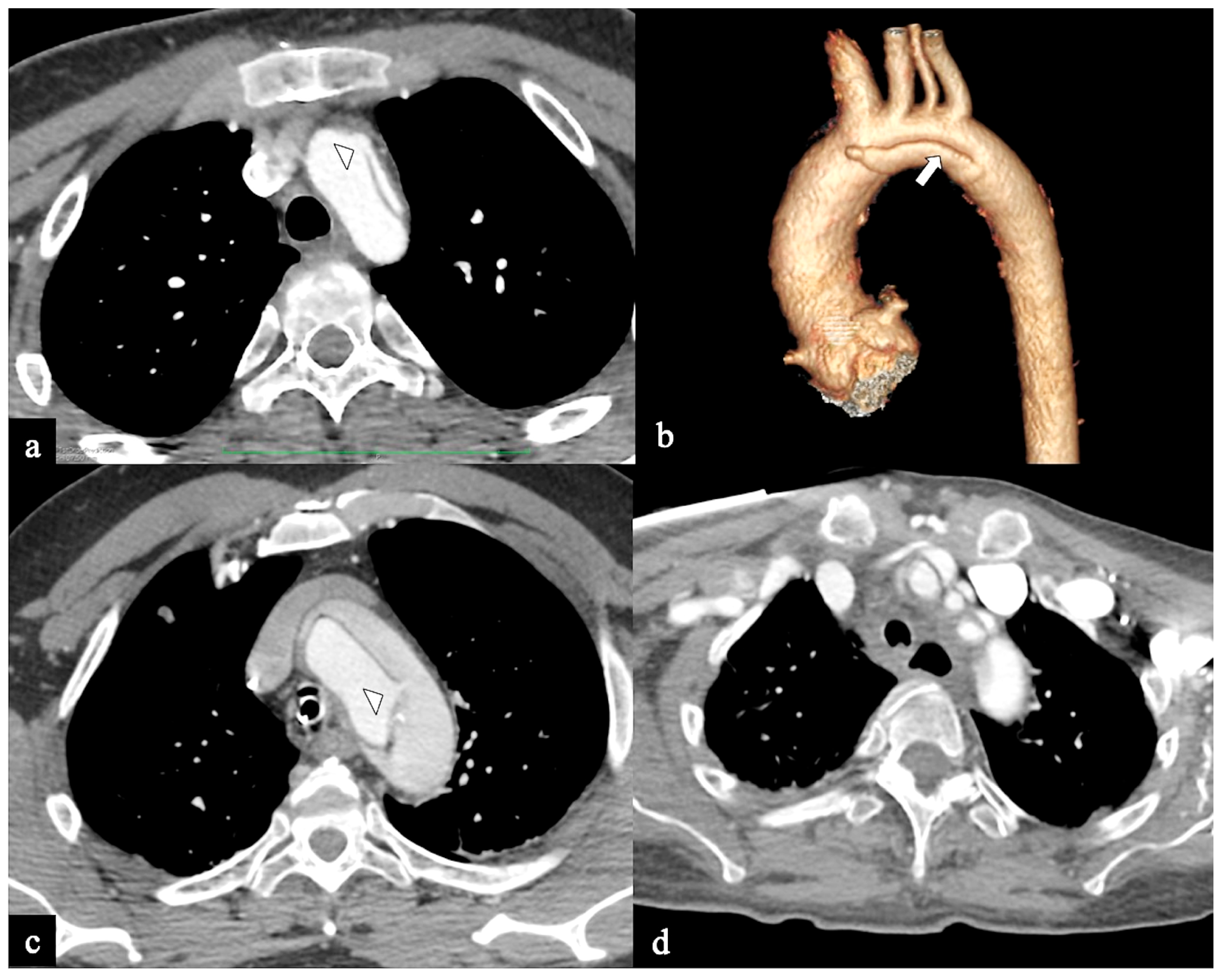
- In Configuration 2, the primary ET is situated within the aortic arch, and the dissection flap is confined solely to the arch (Arch alone). the primary ET is located in the aortic arch and the dissection flap is limited to the arch (Arch alone). This very uncommon configuration occurred in 4 (11%) patients (Figure 4) and is a very rare clinical entity. Configuration 2 is similar to the “group B” definition provided half of a century earlier by Dubost and colleagues [36], reported by Pasic in 1999 [37], and again proposed by Urbanski in 2016 [26]. An amount of 2/4 of these Arch alone patients received continued medical management with close imaging surveillance, and one- and two-year follow-up CTA examinations showed no dissection progression; 2/4 patients underwent hybrid or open surgical repair, one due to persisting pain, and the other one for cerebral malperfusion on follow-up CT.

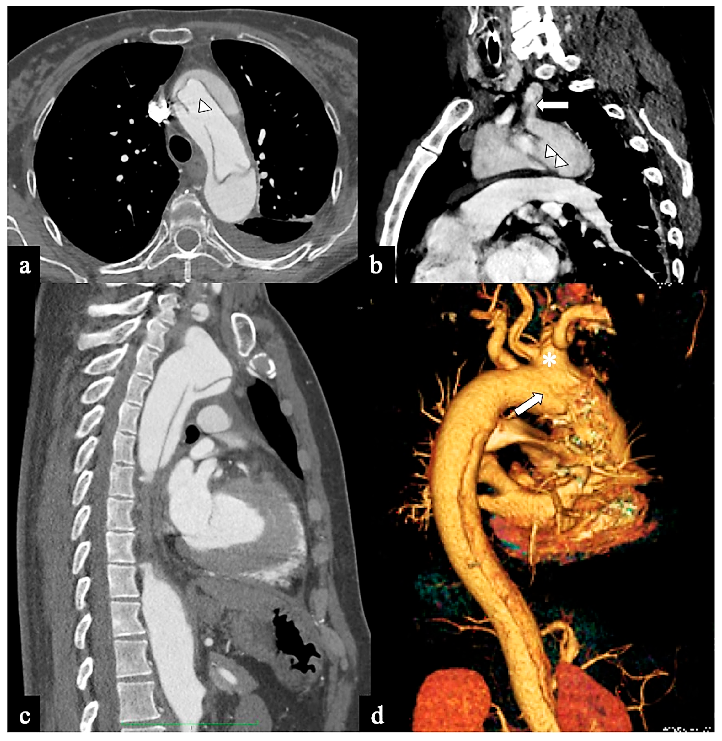
- In Configuration 3 (Arch entry), the primary ET is situated within the aortic arch, and the flap extends into the DTA without affecting the ascending aorta [38]. This Configuration 3 occurred in 7 (19%) patients (Figure 5a,b). This AD configuration was already described as proximal type B dissection according to 2010 AHA guidelines [7] and recently reported as arch B group AD from IRAD [38] and as non-A non-B acute AD with entry tear in the aortic arch [39,40]. In this configuration, the ET was often located in the greater curvature of the arch (4/6), while in one case (1/7) its location was not clearly identified. In total, 4/7 of these patients underwent hybrid and 2/7 surgical therapy.
3.2. CTA Findings
4. Discussion
5. Conclusions
Author Contributions
Funding
Institutional Review Board Statement
Informed Consent Statement
Data Availability Statement
Conflicts of Interest
References
- Castañer, E.; Andreu, M.; Gallardo, X.; Mata, J.M.; Cabezuelo, M.A.; Pallardó, Y. CT in nontraumatic acute thoracic aortic disease: Typical and atypical features and complications. Radiographics 2003, 23, S93–S110. [Google Scholar] [CrossRef] [PubMed]
- McMahon, M.A.; Squirrell, C.A. Multidetector CT of Aortic Dissection: A Pictorial Review. Radiographics 2010, 30, 445–460. [Google Scholar] [CrossRef] [PubMed]
- Valente, T.; Sica, G.; Bocchini, G.; Romano, F.; Lassandro, F.; Rea, G.; Muto, E.; Pinto, A.; Iacobellis, F.; Crivelli, P.; et al. MDCT Imaging of Non-Traumatic Thoracic Aortic Emergencies and Its Impact on Diagnosis and Management-A Reappraisal. Tomography 2022, 8, 200–228. [Google Scholar] [CrossRef] [PubMed]
- Sun, Z.; Al Moudi, M.; Cao, Y. CT angiography in the diagnosis of cardiovascular disease: A transformation in cardiovascular CT practice. Quant. Imaging Med. Surg. 2014, 4, 376–396. [Google Scholar] [PubMed]
- Daily, P.O.; Trueblood, H.W.; Stinson, E.B.; Wuerflein, R.D.; Shumway, N.E. Management of acute aortic dissections. Ann. Thorac. Surg. 1970, 10, 237–247. [Google Scholar] [CrossRef] [PubMed]
- DeBakey, M.E.; Henly, W.S.; Cooley, D.A.; Morris, G.C., Jr.; Crawford, E.S.; Beall, A.C., Jr. Surgical management of dissecting aneurysms of the aorta. J. Thorac. Cardiovasc. Surg. 1965, 49, 130–149. [Google Scholar] [CrossRef] [PubMed]
- Hiratzka, L.F.; Bakris, G.L.; Beckman, J.A.; Bersin, R.M.; Carr, V.F.; Casey, D.E., Jr.; Eagle, K.A.; Hermann, L.K.; Isselbacher, E.M.; Kazerooni, E.A.; et al. 2010 ACCF/AHA/AATS/ACR/ASA/SCA/SCAI/SIR/STS/SVM guidelines for the diagnosis and management of patients with Thoracic Aortic Disease: A report of the American College of Cardiology Foundation/American Heart Association Task Force on Practice Guidelines, American Association for Thoracic Surgery, American College of Radiology, American Stroke Association, Society of Cardiovascular Anesthesiologists, Society for Cardiovascular Angiography and Interventions, Society of Interventional Radiology, Society of Thoracic Surgeons, and Society for Vascular Medicine. Circulation 2010, 121, e266–e369. [Google Scholar] [CrossRef]
- JCS Joint Working Group. Guidelines for diagnosis and treatment of aortic aneurysm and aortic dissection (JCS 2011): Digest version. Circ. J. 2013, 77, 789–828. [Google Scholar] [CrossRef]
- Erbel, R.; Aboyans, V.; Boileau, C.; Bossone, E.; Bartolomeo, R.D.; Eggebrecht, H.; Evangelista, A.; Falk, V.; Frank, H.; Gaemperli, O.; et al. 2014 ESC Guidelines on the diagnosis and treatment of aortic diseases: Document covering acute and chronic aortic diseases of the thoracic and abdominal aorta of the adult. The Task Force for the Diagnosis and Treatment of Aortic Diseases of the European Society of Cardiology (ESC). Eur. Heart J. 2014, 35, 2873–2926. [Google Scholar] [CrossRef]
- Goldstein, S.A.; Evangelista, A.; Abbara, S.; Arai, A.; Asch, F.M.; Badano, L.P.; Bolen, M.A.; Connolly, H.M.; Cuéllar-Calàbria, H.; Czerny, M.; et al. Multimodality imaging of diseases of the thoracic aorta in adults: From the American Society of Echocardiography and the European Association of Cardiovascular Imaging: Endorsed by the Society of Cardiovascular Computed Tomography and Society for Cardiovascular Magnetic Resonance. J. Am. Soc. Echocardiogr. 2015, 28, 119–182. [Google Scholar] [CrossRef]
- Riambau, V.; Böckler, D.; Brunkwall, J.; Cao, P.; Chiesa, R.; Coppi, G.; Czerny, M.; Fraedrich, G.; Haulon, S.; Jacobs, M.J.; et al. Editor’s Choice—Management of Descending Thoracic Aorta Diseases: Clinical Practice Guidelines of the European Society for Vascular Surgery (ESVS). Eur. J. Vasc. Endovasc. Surg. 2017, 53, 4–52. [Google Scholar] [CrossRef] [PubMed]
- Lempel, J.K.; Frazier, A.A.; Jeudy, J.; Kligerman, S.J.; Schultz, R.; Ninalowo, H.A.; Gozansky, E.K.; Griffith, B.; White, C.S. Aortic arch dissection: A controversy of classification. Radiology 2014, 271, 848–855. [Google Scholar] [CrossRef] [PubMed]
- Rajiah, P. Updates in Vascular Computed Tomography. Radiol. Clin. N. Am. 2020, 58, 671–691. [Google Scholar] [CrossRef] [PubMed]
- Andrási, T.B.; Grossmann, M.; Zenker, D.; Danner, B.C.; Schöndube, F.A. Supra-aortic interventions for endovascular exclusion of the entire aortic arch. J. Vasc. Surg. 2017, 66, 281–297.e2. [Google Scholar] [CrossRef] [PubMed]
- Shrestha, M.; Kaufeld, T.; Beckmann, E.; Fleissner, F.; Umminger, J.; Abd Alhadi, F.; Boethig, D.; Krueger, H.; Haverich, A.; Martens, A. Total aortic arch replacement with a novel 4-branched frozen elephant trunk prosthesis: Single-center results of the first 100 patients. J. Thorac. Cardiovasc. Surg. 2016, 152, 148–159.e1. [Google Scholar] [CrossRef] [PubMed]
- Kreibich, M.; Siepe, M.; Berger, T.; Kondov, S.; Morlock, J.; Pingpoh, C.; Beyersdorf, F.; Rylski, B.; Czerny, M. The Frozen Elephant Trunk Technique for the Treatment of Type B and Type Non-A Non-B Aortic Dissection. Eur. J. Vasc. Endovasc. Surg. 2021, 61, 107–113. [Google Scholar] [CrossRef] [PubMed]
- Liu, J.; Yang, F.; Chen, L.; Xie, E.; Su, S.; Liu, Y.; Geng, Q.; Fan, R.; Li, J.; Luo, J. Management and Outcomes of Non-A Non-B Aortic Dissection. Eur. J. Vasc. Endovasc. Surg. 2022, 64, 497–506. [Google Scholar] [CrossRef]
- Rorris, F.P.; Antonopoulos, C.N.; Gissis, I.; Tsagakis, K.; Kokotsakis, J. E-Vita OPEN NEO Hybrid Stent Graft: A New Frontier for Total Arch Replacement. Ann. Vasc. Surg. 2022, 84, 211–217. [Google Scholar] [CrossRef]
- Augoustides, J.G.; Szeto, W.Y.; Desai, N.D.; Pochettino, A.; Cheung, A.T.; Savino, J.S.; Bavaria, J.E. Classification of acute type A dissection: Focus on clinical presentation and extent. Eur. J. Cardiothorac. Surg. 2011, 39, 519–522. [Google Scholar] [CrossRef]
- Dake, M.D.; Thompson, M.; van Sambeek, M.; Vermassen, F.; Morales, J.P. DEFINE Investigators. DISSECT: A new mnemonic-based approach to the categorization of aortic dissection. Eur. J. Vasc. Endovasc. Surg. 2013, 46, 175–190. [Google Scholar] [CrossRef]
- Sievers, H.H.; Rylski, B.; Czerny, M.; Baier, A.L.M.; Kreibich, M.; Siepe, M.; Beyersdorf, F. Aortic dissection reconsidered: Type, entry site, malperfusion classification adding clarity and enabling outcome prediction. Interact. Cardiovasc. Thorac. Surg. 2020, 30, 451–457. [Google Scholar] [CrossRef] [PubMed]
- von Segesser, L.K.; Killer, I.; Ziswiler, M.; Linka, A.; Ritter, M.; Jenni, R.; Baumann, P.C.; Turina, M.I. Dissection of the descending thoracic aorta extending into the ascending aorta. A therapeutic challenge. J. Thorac. Cardiovasc. Surg. 1994, 108, 755–761. [Google Scholar] [CrossRef] [PubMed]
- Czerny, M.; Schmidli, J.; Adler, S.; van den Berg, J.C.; Bertoglio, L.; Carrel, T.; Chiesa, R.; Clough, R.E.; Eberle, B.; Etz, C.; et al. EACTS/ESVS scientific document group. Current options and recommendations for the treatment of thoracic aortic pathologies involving the aortic arch: An expert consensus document of the European Association for Cardio-Thoracic surgery (EACTS) and the European Society for Vascular Surgery (ESVS). Eur. J. Cardiothorac. Surg. 2019, 55, 133–162. [Google Scholar] [CrossRef] [PubMed]
- Isselbacher, E.M.; Preventza, O.; Hamilton Black, J., 3rd; Augoustides, J.G.; Beck, A.W.; Bolen, M.A.; Braverman, A.C.; Bray, B.E.; Brown-Zimmerman, M.M.; Chen, E.P.; et al. 2022 ACC/AHA Guideline for the Diagnosis and Management of Aortic Disease: A Report of the American Heart Association/American College of Cardiology Joint Committee on Clinical Practice Guidelines. Circulation 2022, 146, e334–e482. [Google Scholar] [CrossRef] [PubMed]
- Rylski, B.; Pérez, M.; Beyersdorf, F.; Reser, D.; Kari, F.A.; Siepe, M.; Czerny, M. Acute non-A non-B aortic dissection: Incidence, treatment and outcome. Eur. J. Cardiothorac. Surg. 2017, 52, 1111–1117. [Google Scholar] [CrossRef]
- Urbanski, P.P.; Wagner, M. Acute non-A-non-B aortic dissection: Surgical or conservative approach? Eur. J. Cardiothorac. Surg. 2016, 49, 1249–1254. [Google Scholar] [CrossRef]
- Leshnower, B.G. Non-A, non-B aortic dissections: Unresolved issues. J. Thorac. Cardiovasc. Surg. 2019, 157, 74. [Google Scholar] [CrossRef]
- Carino, D.; Singh, M.; Molardi, A.; Agostinelli, A.; Goldoni, M.; Pacini, D.; Nicolini, F. Non-A Non-B aortic dissection: A systematic review and meta-analysis. Eur. J. Cardiothorac. Surg. 2019, 55, 653–659. [Google Scholar] [CrossRef]
- Carino, D.; Castellà, M.; Quintana, E. Closing the gap between type A and type B aortic dissections. Curr. Opin. Cardiol. 2019, 34, 621–626. [Google Scholar] [CrossRef]
- Girardi, L. Commentary: Non A-Non-B Aortic Dissection: Not a “Non”-aggressive subtype of distal aortic dissection. J. Thorac. Cardiovasc. Surg. 2020, 163, 1775–1776. [Google Scholar] [CrossRef]
- Howard, C.; Ponnapalli, A.; Shaikh, S.; Idhrees, M.; Bashir, M. Non-A non-B aortic dissection: A literature review. J. Card. Surg. 2021, 36, 1806–1813. [Google Scholar] [CrossRef] [PubMed]
- Rylski, B.; Pacini, D.; Beyersdorf, F.; Quintana, E.; Schachner, T.; Tsagakis, K.; Ronchey, S.; Durko, A.; De Paulis, R.; Siepe, M.; et al. EACTS Vascular Domain, EJCTS and ICVTS Editorial Committees. Standards of reporting in open and endovascular aortic surgery (STORAGE guidelines). Eur. J. Cardiothorac. Surg. 2019, 56, 10–20. [Google Scholar] [CrossRef] [PubMed]
- Tsai, T.T.; Isselbacher, E.M.; Trimarchi, S.; Bossone, E.; Pape, L.; Januzzi, J.L.; Evangelista, A.; Oh, J.K.; Llovet, A.; Beckman, J.; et al. International Registry of Acute Aortic Dissection. Acute type B aortic dissection: Does aortic arch involvement affect management and outcomes? Insights from the International Registry of Acute Aortic Dissection (IRAD). Circulation 2007, 116, I150–I156. [Google Scholar] [CrossRef] [PubMed]
- Kim, J.B.; Sundt, T.M., 3rd. Best surgical option for arch extension of type B aortic dissection: The open approach. Ann. Cardiothorac. Surg. 2014, 3, 406–412. [Google Scholar] [PubMed]
- Nauta, F.J.; Tolenaar, J.L.; Patel, H.J.; Appoo, J.J.; Tsai, T.T.; Desai, N.D.; Montgomery, D.G.; Mussa, F.F.; Upchurch, G.R.; Fattori, R.; et al. Impact of Retrograde Arch Extension in Acute Type B Aortic Dissection on Management and Outcomes. Ann. Thorac. Surg. 2016, 102, 2036–2043. [Google Scholar] [CrossRef] [PubMed]
- Dubost, C.; Guilmet, D.; Soyer, R. La Chirurgie des Aneurysmes de l’Aorte; Masson et Cie: Paris, France, 1970; pp. 247–249. [Google Scholar]
- Pasic, M.; Knollman, F.; Hetzer, R. Isolated non-A, non-B dissection of the aortic arch. N. Engl. J. Med. 1999, 341, 1775. [Google Scholar] [CrossRef] [PubMed]
- Trimarchi, S.; de Beaufort, H.W.L.; Tolenaar, J.L.; Bavaria, J.E.; Desai, N.D.; Di Eusanio, M.; Di Bartolomeo, R.; Peterson, M.D.; Ehrlich, M.; Evangelista, A.; et al. Acute aortic dissections with entry tear in the arch: A report from the International Registry of Acute Aortic Dissection. J. Thorac. Cardiovasc. Surg. 2019, 157, 66–73. [Google Scholar] [CrossRef]
- Kosiorowska, M.; Berezowski, M.; Widenka, K.; Kreibich, M.; Beyersdorf, F.; Czerny, M.; Rylski, B. Non-A non-B acute aortic dissection with entry tear in the aortic arch. Interact. Cardiovasc. Thorac. Surg. 2022, 34, 878–884. [Google Scholar] [CrossRef]
- Koechlin, L.; Schuerpf, J.; Bremerich, J.; Sommer, G.; Gahl, B.; Reuthebuch, O.; Gurke, L.; Mujagic, E.; Eckstein, F.; Berdajs, D.A. Acute aortic dissection with entry tear at the aortic arch: Long-term outcome. Interact. Cardiovasc. Thorac. Surg. 2021, 32, 89–96. [Google Scholar] [CrossRef]
- Pape, L.A.; Awais, M.; Woznicki, E.M.; Suzuki, T.; Trimarchi, S.; Evangelista, A.; Myrmel, T.; Larsen, M.; Harris, K.M.; Greason, K.; et al. Presentation, Diagnosis, and Outcomes of Acute Aortic Dissection: 17-Year Trends from the International Registry of Acute Aortic Dissection. J. Am. Coll. Cardiol. 2015, 66, 350–358. [Google Scholar] [CrossRef]
- Estrera, A.L.; Miller, C.C., 3rd; Safi, H.J.; Goodrick, J.S.; Keyhani, A.; Porat, E.E.; Achouh, P.E.; Meada, R.; Azizzadeh, A.; Dhareshwar, J.; et al. Outcomes of medical management of acute type B aortic dissection. Circulation 2006, 114, I384–I389. [Google Scholar] [CrossRef] [PubMed]
- Mitchell, R.S.; Ishimaru, S.; Ehrlich, M.P.; Iwase, T.; Lauterjung, L.; Shimono, T.; Fattori, R.; Yutani, C. First International Summit on Thoracic Aortic Endografting: Roundtable on thoracic aortic dissection as an indication for endografting. J. Endovasc. Ther. 2002, 9, II98–II105. [Google Scholar] [CrossRef] [PubMed]
- Criado, F.J. Mapping the aorta: A new look at vascular anatomy in the era of endograft repair. J. Endovasc. Ther. 2010, 17, 68–72. [Google Scholar] [CrossRef] [PubMed]
- Erbel, R.; Oelert, H.; Meyer, J.; Puth, M.; Mohr-Katoly, S.; Hausmann, D.; Daniel, W.; Maffei, S.; Caruso, A.; Covino, F.E. Effect of medical and surgical therapy on aortic dissection evaluated by transesophageal echocardiography. Implications for prognosis and therapy. The European Cooperative Study Group on Echocardiography. Circulation 1993, 87, 1604–1615. [Google Scholar] [CrossRef]
- Valentine, R.J.; Boll, J.M.; Hocking, K.M.; Curci, J.A.; Garrard, C.L.; Brophy, C.M.; Naslund, T.C. Aortic arch involvement worsens the prognosis of type B aortic dissections. J. Vasc. Surg. 2016, 64, 1212–1218. [Google Scholar] [CrossRef]
- Schenning, R.C.; Al-Hakim, R. Aortic Dissection: Branched, Fenestrated, and Parallel Aortic Stent Grafts in the Ascending Aorta and Arch. Tech. Vasc. Interv. Radiol. 2021, 24, 100754. [Google Scholar] [CrossRef]
- Ahmad, W.; Mylonas, S.; Majd, P.; Brunkwall, J.S. A current systematic evaluation and meta-analysis of chimney graft technology in aortic arch diseases. J. Vasc. Surg. 2017, 66, 1602–1610.e2. [Google Scholar] [CrossRef]
- Wang, T.; Shu, C.; Li, M.; Li, Q.M.; Li, X.; Qiu, J.; Fang, K.; Dardik, A.; Yang, C.Z. Thoracic Endovascular Aortic Repair with Single/Double Chimney Technique for Aortic Arch Pathologies. J. Endovasc. Ther. 2017, 24, 383–393. [Google Scholar] [CrossRef]
- Shu, C.; Wang, T.; Luo, M.Y.; Fang, K.; Li, Q.M.; Li, M.; Li, X.; He, H. The best option for complicated type B dissection with arch involved. Chin. Med. J. 2021, 17, 883–885. [Google Scholar] [CrossRef]
- Kim, J.S.; Park, K.H.; Lim, C.; Kim, D.J.; Jung, Y.; Shin, Y.C.; Choi, S.I.; Chun, E.J.; Yoo, J.Y. Prediction of Intimal Tear Site by Computed Tomography in Acute Aortic Dissection Type A. Korean Circ. J. 2016, 46, 48–55. [Google Scholar] [CrossRef][Green Version]
- Quint, L.E.; Platt, J.F.; Sonnad, S.S.; Deeb, G.M.; Williams, D.M. Aortic intimal tears: Detection with spiral computed tomography. J. Endovasc. Ther. 2003, 10, 505–510. [Google Scholar] [CrossRef] [PubMed]
- Kapoor, V.; Ferris, J.V.; Fuhrman, C.R. Intimomedial rupture: A new CT finding to distinguish true from false lumen in aortic dissection. AJR Am. J. Roentgenol. 2004, 183, 109–112. [Google Scholar] [CrossRef] [PubMed]
- Faggioni, L.; Gabelloni, M. Iodine Concentration and Optimization in Computed Tomography Angiography: Current Issues. Investig. Radiol. 2016, 51, 816–822. [Google Scholar] [CrossRef] [PubMed]
- Weiss, G.; Wolner, I.; Folkmann, S.; Sodeck, G.; Schmidli, J.; Grabenwöger, M.; Carrel, T.; Czerny, M. The location of the primary entry tear in acute type B aortic dissection affects early outcome. Eur. J. Cardiothorac. Surg. 2012, 42, 571–576. [Google Scholar] [CrossRef] [PubMed]
- Kitamura, T.; Torii, S.; Oka, N.; Horai, T.; Itatani, K.; Yoshii, T.; Nakamura, Y.; Shibata, M.; Tamura, T.; Araki, H.; et al. Impact of the entry site on late outcome in acute Stanford type B aortic dissection. Eur. J. Cardiothorac. Surg. 2015, 48, 655–661; discussion 661–662. [Google Scholar] [CrossRef] [PubMed][Green Version]
- Nienaber, C.A.; Kische, S.; Rousseau, H.; Eggebrecht, H.; Rehders, T.C.; Kundt, G.; Glass, A.; Scheinert, D.; Czerny, M.; Kleinfeldt, T.; et al. INSTEAD-XL trial. Endovascular repair of type B aortic dissection: Long-term results of the randomized investigation of stent grafts in aortic dissection trial. Circ. Cardiovasc. Interv. 2013, 6, 407–416. [Google Scholar] [CrossRef] [PubMed]
- Shrestha, M.; Pichlmaier, M.; Martens, A.; Hagl, C.; Khaladj, N.; Haverich, A. Total aortic arch replacement with a novel four-branched frozen elephant trunk graft: First-in-man results. Eur. J. Cardiothorac. Surg. 2013, 43, 406–410. [Google Scholar] [CrossRef]
- Wang, W.; Piao, H.; Wang, Y.; Li, B.; Zhu, Z.; Wang, T.; Liu, K. Early outcomes with a hybrid technique for repair of a non-A non-B aortic dissection. J. Thorac. Cardiovasc. Surg. 2022, 163, 1766–1774. [Google Scholar] [CrossRef]
- Lombardi, J.V.; Hughes, G.C.; Appoo, J.J.; Bavaria, J.E.; Beck, A.W.; Cambria, R.P.; Charlton-Ouw, K.; Eslami, M.H.; Kim, K.M.; Leshnower, B.G.; et al. Society for Vascular Surgery (SVS) and Society of Thoracic Surgeons (STS) reporting standards for type B aortic dissections. J. Vasc. Surg. 2020, 71, 723–747. [Google Scholar] [CrossRef]
- Roselli, E.E.; Idrees, J.J.; Bakaeen, F.G.; Tong, M.Z.; Soltesz, E.G.; Mick, S.; Johnston, D.R.; Eagleton, M.-J.; Menon, V.; Svensson, L.G. Evolution of Simplified Frozen Elephant Trunk Repair for Acute DeBakey Type I Dissection: Midterm Outcomes. Ann. Thorac. Surg. 2018, 105, 749–755. [Google Scholar] [CrossRef]
- Nakhaei, P.; Bashir, M.; Jubouri, M.; Banar, S.; Ilkhani, S.; Borzeshi, E.Z.; Rezaei, Y.; Mousavizadeh, M.; Tadayon, N.; Idhrees, M.; et al. Aortic remodeling, distal stent-graft induced new entry and endoleak following frozen elephant trunk: A systematic review and meta-analysis. J. Card. Surg. 2022, 37, 3848–3862. [Google Scholar] [CrossRef] [PubMed]
- Bashir, M.; Mohammed, I.; Al-Tawil, M.; Jubouri, M.; Agbobu, T.; Chen, E.P. Frozen elephant trunk: The gold standard. Cardivasc. Diagn. Ther. 2023, 30, 623–627. [Google Scholar] [CrossRef] [PubMed]




| Variables | All | Configuration 1 | Configuration 2 | Configuration 3 |
|---|---|---|---|---|
| AD type | n = 36 | DTA entry = 25 (69%) | Arch alone = 4 (11%) | Arch entry = 7 (19%) |
| Age | 61 ys (51–78) | 75 ys | 54 ys | 69 ys |
| Sex | M = 26 (72%) | M = 18 (72%) | M = 3 (75%) | M = 5 (71%) |
| Arch variants | 9 (25%) | 6 (24%) | 1 (25%) | 2 (28%) |
| Arch type - I - II - III | 9 (25%) 20 (55%) 7 (19%) | 5 16 4 | 2 1 1 | 2 3 2 |
| Primary ET diagnosis | 34 (94%) | 24 (96%) | 4 (100%) | 6 (86%) |
| Primary ET location | 16 (66%) concavity 18 (75%) convexity | 12 (50%) 12 (50%) | 2 (50%) 2 (50%) | 2 (33%) 4 (67%) |
| Aortic diameter (mean value, mm) - Ascending - Arch - DTA | 44 (±5) 34 (±4) 33 (±3) | 43 (±4) 33 (±3) 32 (±3) | 43 (±2) 34 (±3) 31 (±3) | 45 (±3) 35 (±3) 33 (±2) |
| SAB dissection - BCT - LCCA - LSA | 12 (33%) 2 3 7 | 7 (28%) 1 1 5 | 1 (25%) 0 0 1 | 4 (57%) 1 2 1 |
| Aorta rupture | 2 (5%) | 1 (4%) | 0/4 (0%) | 1 (14%) |
| Malperfusion | 5 (14%) | 3 (12%) | 1 (25%) | 1 (14%) |
| Treatment - Medical - Endovascular - Hybrid - Surgery | 13 (36%) 6 (17%) 13 (36%) 4 (11%) | 10 (40%) 6 (24%) 8 (32%) 1 (4%) | 2 (50%) 0 (0%) 1 (25%) 1 (25%) | 1 (17%) 0 (0%) 4 (57%) 2 (26%) |
| In-hospital acute major complications | 2 (5%) | 1 (4%) | 0 (25%) | 1 (14%) |
| 30 days mortality | 6 (17%) | 3 (12%) | 1 (25%) | 0 (0%) |
Disclaimer/Publisher’s Note: The statements, opinions and data contained in all publications are solely those of the individual author(s) and contributor(s) and not of MDPI and/or the editor(s). MDPI and/or the editor(s) disclaim responsibility for any injury to people or property resulting from any ideas, methods, instructions or products referred to in the content. |
© 2023 by the authors. Licensee MDPI, Basel, Switzerland. This article is an open access article distributed under the terms and conditions of the Creative Commons Attribution (CC BY) license (https://creativecommons.org/licenses/by/4.0/).
Share and Cite
Valente, T.; Sica, G.; Romano, F.; Rea, G.; Lieto, R.; De Feo, M.; Della Corte, A.; Guarino, S.; Massimo, C.; Scaglione, M.; et al. Non-A Non-B Acute Aortic Dissection: Is There Some Confusion in the Radiologist’s Mind? Tomography 2023, 9, 2247-2260. https://doi.org/10.3390/tomography9060174
Valente T, Sica G, Romano F, Rea G, Lieto R, De Feo M, Della Corte A, Guarino S, Massimo C, Scaglione M, et al. Non-A Non-B Acute Aortic Dissection: Is There Some Confusion in the Radiologist’s Mind? Tomography. 2023; 9(6):2247-2260. https://doi.org/10.3390/tomography9060174
Chicago/Turabian StyleValente, Tullio, Giacomo Sica, Federica Romano, Gaetano Rea, Roberta Lieto, Marisa De Feo, Alessandro Della Corte, Salvatore Guarino, Candida Massimo, Mariano Scaglione, and et al. 2023. "Non-A Non-B Acute Aortic Dissection: Is There Some Confusion in the Radiologist’s Mind?" Tomography 9, no. 6: 2247-2260. https://doi.org/10.3390/tomography9060174
APA StyleValente, T., Sica, G., Romano, F., Rea, G., Lieto, R., De Feo, M., Della Corte, A., Guarino, S., Massimo, C., Scaglione, M., Muto, E., & Bocchini, G. (2023). Non-A Non-B Acute Aortic Dissection: Is There Some Confusion in the Radiologist’s Mind? Tomography, 9(6), 2247-2260. https://doi.org/10.3390/tomography9060174

