Method to Convert Stem Cells into Cancer Stem Cells
Abstract
1. Introduction
2. Experimental Design
2.1. Materials
- Lewis lung carcinoma LL/2 (LLC1) (ATCC® CRL-1642™);
- Breast cancer cell lines, T47D (ATCC ® HTB-133);
- Liver cancer cell line PLC/PRF/5 (ATCC® CRL-8024™);
- Pancreatic carcinoma cell lines PK-8 and KLM-1 (RIKEN cell Bank, Tsukuba, Japan);
- Mitomycin C treated mouse embryonic fibroblast (MEF) cells (REPROCELL Inc., Kanagawa, Japan);
- Mouse ESCs B6G-2 cells (RBRC-AES0003) Riken Cell Bank, Japan;
- Mouse iPSCs (iPS-MEF-Ng-20D-17, Lot No. 012, Riken Cell Bank, Tokyo, Japan), in which puromycin (puro) resistant gene and green fluorescent protein (GFP) gene were cloned under the control of Nanog promoter;
- Dulbecco’s modified Eagle’s medium–high glucose (Wako, Osaka, Japan (catalog number: 044-29765));
- L-Glutamine (Nacalai Tesque, Kyoto, Japan, ((catalog number: 16948-04));
- MEM Non-essential amino acid solution (100×) (Wako, Osaka, Japan, catalog number: 139-15651);
- 2-Mercaptoethanol (Sigma-Aldrich, St. Louis, MO, USA);
- Leukemia inhibitory factor (LIF, Merck Millipore, Burlington, MA, USA);
- Trypsin-EDTA (0.25%) (Nacalai Tesque, Kyoto, Japan, Cat. No: 327777-44);
- Fetal bovine serum (FBS, Gibco, Life Technologies, Massachusetts, USA,Cat. No: 10437-028);
- Penicillin/streptomycin mixed solution (100 U/mL) Nacalai Tesque, Kyoto, Japan, Cat. No-26253-84);
- 70% ethanol (Sigma-Aldrich; Cat. No.: 459836-2);
- Isoflurane (gas anesthesia system) DS Pharma Animal Health Co., Ltd. Osaka 541-0053, Japan);
- BALB/c-nu/nu, female, 4 weeks old, Charles River laboratories, kanagawa, Japan.
2.2. Equipment
- Eppendorf Centrifuge 5415R, Eppendorf AG, 22331 Hamburg, Germany;
- Sanyo MCO-19AIC(UV) CO2 Incubator, Marshall Scientific, Hampton, USA;
- Labculture® Class II, Type A2 Biological Safety Cabinets (E-Series);
- Olympus IX81 microscope (Olympus, Tokyo, Japan);
- Laser scanning confocal microscope, FV-1000, Olympus, Tokyo, Japan;
- Tissue culture-treated plate, 60 mm dish; TPP Techno Plastic Products AG Schaffhausen, Switzerland, Cat. No 93060;
- Tissue culture-treated plate,100 mm dish; TPP Techno Plastic Products AG Schaffhausen, Switzerland, Cat. No 93100;
- Filter max 250 mL, TPP, Switzerland, Cat. No 99255;
- Falcon® Conical Centrifuge Tubes (15 mL; BD Falcon, New York, USA Cat. No 352095);
- Falcon® Conical Centrifuge Tubes (50 mL; BD Falcon, New York, USA Cat. No 352070);
- Liquid N2 storage tank.
3. Procedure
3.1. Conditioned Medium (CM) Preparation for Mouse iPSC/ESC Conversion
- Take of a vial of each cancer cell line from liquid nitrogen storage.
- Revive the cells into a 100 mm dish containing 5 mL Dulbecco’s modified Eagle’s medium (DMEM) supplemented with 10% FBS and 100 U/mL penicillin/streptomycin.
- Passage cells again after a couple of days, when the cells are 70% confluent.
- Prior to collecting conditioned medium, change the medium to 5% FBS at 80% confluency.
- After incubation for 48 h, collect the conditioned medium (CM) from Huh7 cells from confluent dishes.
- Centrifuge at 300g for 10 min.
- Separate the supernatant in a new tube and filters using 0.22 mm filter.
- Remove 2 mL CM then add this to a 3.5 cm dish overnight to confirm there are no surviving cancer cells in CM.
- Store CM at −20 °C for later experiments.
3.2. Mouse iPSC/ESC Handling
3.2.1. Plating Mitomycin C-Treated Mouse Embryonic Fibroblasts (MEFs)
- Add 2 mL sterile 0.1% gelatin to cover the bottom of 6 dishes.
- Incubate the gelatin-coated dishes for at least 30 min at 37 °C.
- Remove the MEF vial from the liquid nitrogen and thaw quickly in a 37 °C water bath.
- Remove the vial from the water bath after the vial is half-thawed.
- Sterilize the tube by spraying with 70% ethanol.
- Transfer the cells with 5 mL of DMEM medium containing 10% FBS to a 15 mL conical tube.
- Pellet the cells by centrifugation at 100g for 5 min.
- Discard the supernatant.
- Resuspend the pellet with 3 mL fresh MEF medium.
- Aspirate excess gelatin solution from the incubated dishes.
- Add 4 mL DMEM contains 10% FBS medium (37 °C) to the dish.
- Plate the cells on gelatin-coated plates at seed density of 6 × 104 cells/6 cm2.
- Incubate at 37 °C with 5% CO2, until the cells reach 80%–90% confluency.
- Keep monitoring the cells every day.
- Change the medium twice a week.
3.2.2. Plating Mouse iPSCs/ESCs
- Prepare iPSCs complete media as described above.
- Pre-warm mouse iPSC/ESC medium in a 37 °C water bath for 30 min.
- Replace the MEF medium with 4 mL of iPSCs complete medium (+LIF).
- Remove frozen mouse iPSCs/ESCs from liquid nitrogen storage.
- Thaw the cells by gently swirling in a 37 °C water bath.
- Sterilize the vial with 70% ethanol.
- Add 5 mL iPSCs medium to a 15 mL conical tube.
- Use a 1 mL pipette to gently transfer the cell suspension to a 15 mL conical tube.
- Shake the conical tube gently to mix the cells.
- Centrifuge cells at 100g for 5 min at room temperature.
- Aspirate the supernatant and discard.
- Add 5 mL of iPSCs medium.
- Gently resuspend the pellet by pipetting up and down 2 or 3 times with a 1 mL tip.
- Seed 0.1 × 106 of cells onto 6 cm MEF dishes.
- Change the medium the next day to remove the dead cells and daily thereafter until the cells have been cultured for 7 days or the colonies reach 80% confluency (Figure 2).
3.3. Conversion of Mouse iPSCs/ESCs into CSCs
- Cover the bottom of 6 dishes with 2 mL sterile 0.1% gelatin for each dish.
- Incubate the gelatin-coated dishes for at least 30 min at 37 °C.
- Trypsinize mouse iPSC/ESCs MEF dishes and collect in 15 mL tube.
- Centrifuge cells at 100g for 5 min at room temperature.
- Aspirate the supernatant.
- Resuspend the cell pellet in 3 mL iPSCs complete medium.
- Aspirate excess gelatin from 3 dishes.
- Add 4 mL iPSCs complete medium in each dish.
- Add 1 mL from mouse iPSCs/ESCs in each dish.
- Incubate for 1 h at 37 °C with 5% CO2.
- Transfer the supernatant containing the mouse iPSCs/ESCs to the 3 other gelatin-coated dishes.
- For the initiation of CSCs, at 70% confluency, change the medium to a conversion medium (iPSCs medium combined with the 50% CM).
- Change the medium every 48 h.
- Subculture the cells every 4 days.
- Keep conversion for four weeks.
- Monitor the conversion using GFP protein if controlled under a Nanog promoter and photograph the cells every week using Olympus IX81 microscope equipped with fluorescence (Figure 3).
3.4. CSCs Transplantation
- Autoclave all surgical materials, suture thread, suture needle, and cotton.
- Set all surgical materials in the laminar hood.
- Turn UV lamp for 20 min on all materials.
- Turn off UV lamp and turn on light.
- Divide the mice into six groups, three mice for each type of converted cells and mouse iPSCs/ESCs as the control.
- Anesthetize the animals with 2% isoflurane in an anesthesia chamber.
- Disinfect with 70% ethanol and then iodine.
- Cut an area of 2–3 cm2.
- Draw up 50 μL of phosphate-buffered saline with 0.5 × 106 of the cells into a 26 G × 5/8″ syringe.
- Inject the cells slowly into the organ or subcutaneous until it is completely injected.
- Wait for 60 s.
- Remove the needle.
- Close the abdominal peritoneum and then skin with the degradable sterile suture separately.
- Keep the mice in a pre-warmed cage directly after surgery for recovery until the mouse shows regular breathing patterns.
- Allow free access to water and food.
3.5. Malignant Tumor Detection and Primary Culture
- After 30 days of transplantation, anesthetize the mice with 2% isoflurane in an anesthesia chamber.
- Sacrifice the mice.
- Remove the tumors using scissors.
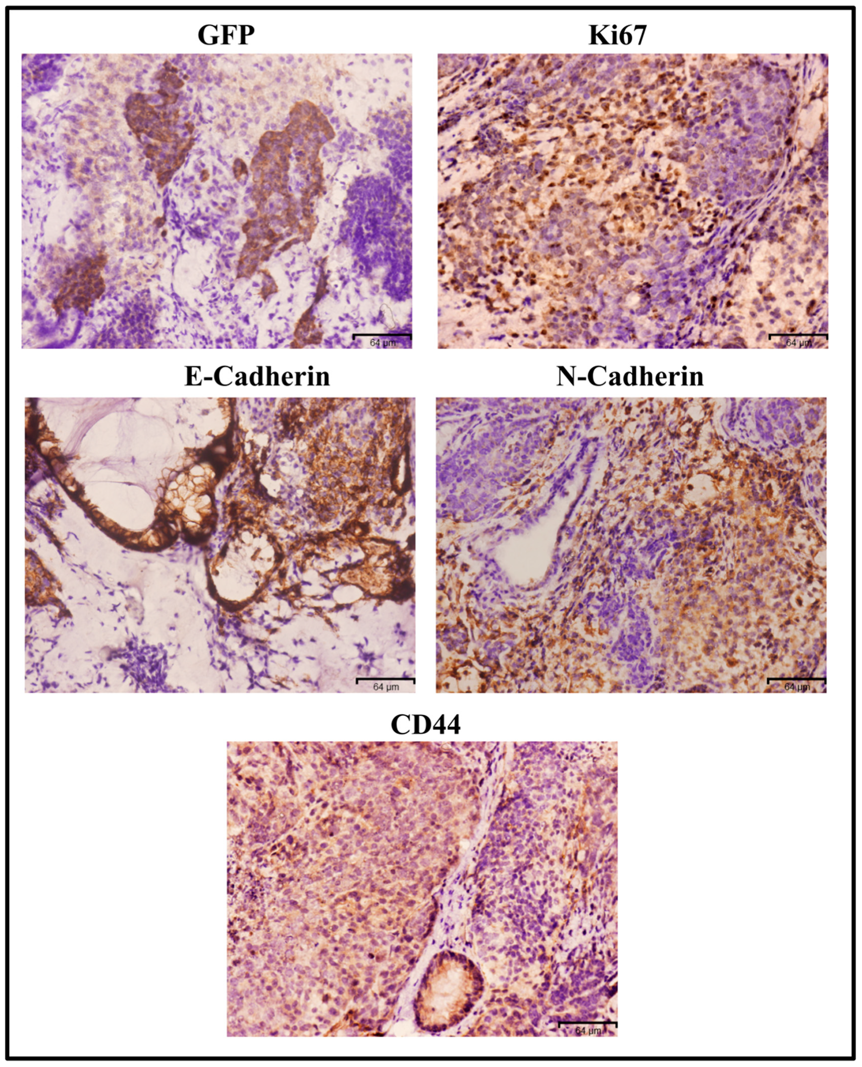
- Excise the tumors then fix in 10% neutral formalin buffer solution for hematoxylin and eosin Y staining and immunohistochemical analysis.
- Cut the rest of malignant tumor derived from different converted cells into small pieces.
- Take small pieces of each tumor (approximately 1 mm3 size) and wash in the HBSS three times.
- Transfer these pieces into a 15 mL tube with 4 mL of dissociation buffer for 6 h.
- Terminate the digestion with 5 mL of DMEM containing 10% FBS.
- Transfer the cellular suspension into the new tubes.
- Centrifuge at 100g for 5 min.
- Resuspend the cells pellet in 5 mL medium.
- Centrifuge at 100g for 5 min.
- Place the cell pellet into an appropriate volume of iPSCs complete medium without LIF.
- Seed the cells into a dish at a density of 1 × 105 cells/cm2.
- After one day, remove the medium and change new one supplemented by puromycin to remove any cell from the host.
- Observe the expression of GFP and cell morphology, then photograph using Olympus IX81 microscope equipped with a light fluorescence device.
- Subject the primary cultured cells to RT-qPCR analysis in order to check the gene expression in comparison with mouse iPSCs.
- Check self-renewal potential of new derived primary cultured cells by sphere formation assay.
3.6. Sphere Formation Assay
- After maintaining the primary culture from tumor and treating with puromycin, trypsinize the cells and count to perform the sphere formation assay.
- Pre-warm mouse sphere medium in a 37 °C water bath for 30 min.
- Centrifuge for 10 min at 100g at room temperature (RT).
- Discard the supernatant.
- Dissociate the pellet by pipetting in a serum-free medium.
- Count the cells and take the required number of live cells.
- Seed the cells in sphere medium, prepare at least 4–6 replicates for each primary culture.
- Place the plate in an incubator set at 37 °C with 5% CO2.
- Wait for 7 days then count the sphere under an optical microscope.
4. Expected Result
5. Conclusions
6. Reagents Setup
6.1. Phosphate-Buffered Saline (PBS)
6.2. Gelatin
6.3. MEF Medium
6.5. Conversion Medium
6.6. Dissociation Buffer
6.7. Sphere Medium
Author Contributions
Funding
Acknowledgments
Conflicts of Interest
References
- Bray, F.; Jemal, A.; Grey, N.; Ferlay, J.; Forman, D. Global cancer transitions according to the human development index (2008–2030): A population-based study. Lancet Oncol. 2012, 13, 790–801. [Google Scholar] [CrossRef]
- Nguyen, L.V.; Vanner, R.; Dirks, P.; Eaves, C.J. Cancer stem cells: An evolving concept. Nat. Rev. Cancer 2012, 12, 133–143. [Google Scholar] [CrossRef]
- Zhu, P.; Fan, Z. Cancer stem cells and tumorigenesis. Biophys. Rep. 2018, 4, 178–188. [Google Scholar] [CrossRef] [PubMed]
- Shiozawa, Y.; Nie, B.; Pienta, K.J.; Morgan, T.M.; Taichman, R.S. Cancer Stem Cells and their Role in Metastasis. Pharmacol. Ther. 2013, 138, 285–293. [Google Scholar] [CrossRef] [PubMed]
- Phi, L.T.H.; Sari, I.N.; Yang, Y.G.; Lee, S.H.; Jun, N.; Kim, K.S.; Lee, Y.K.; Kwon, H.Y. Cancer Stem Cells (CSCs) in Drug Resistance and their Therapeutic Implications in Cancer Treatment. Stem Cells Int. 2018, 5416923. [Google Scholar] [CrossRef] [PubMed]
- Afify, S.M.; Seno, M. Conversion of Stem Cells to Cancer Stem Cells: Undercurrent of Cancer Initiation. Cancers 2019, 11, 345. [Google Scholar] [CrossRef] [PubMed]
- Chen, L.; Kasai, T.; Li, Y.; Sugii, Y.; Jin, G.; Okada, M.; Vaidyanath, A.; Mizutani, A.; Satoh, A.; Kudoh, T.; et al. A model of cancer stem cells derived from mouse induced pluripotent stem cells. PLoS ONE 2012, 7, e33544. [Google Scholar] [CrossRef] [PubMed]
- Seno, A.; Kasai, T.; Ikeda, M.; Vaidyanath, A.; Masuda, J.; Mizutani, A.; Murakami, H.; Ishikawa, T.; Seno, M. Characterization of Gene Expression Patterns among Artificially Developed Cancer Stem Cells Using Spherical Self-Organizing Map. Cancer Inform. 2016, 15, 163–178. [Google Scholar] [CrossRef] [PubMed]
- Calle, A.S.; Nair, N.; Oo, A.K.; Prieto-Vila, M.; Koga, M.; Khayrani, A.C.; Hussein, M.; Hurley, L.; Vaidyanath, A.; Seno, A.; et al. A new PDAC mouse model originated from iPSCs-converted pancreatic stem cells (CSCcm). Am. J. Cancer Res. 2016, 6, 2799. [Google Scholar]
- Nair, N.; Calle, A.S.; Zahra, M.H.; Prieto-Vila, M.; Oo, A.K.K.; Hurley, L.; Vaidyanath, A.; Seno, A.; Masuda, J.; Iwasaki, Y.; et al. A cancer stem cell model as the point of origin of cancer-associated fibroblasts in tumor microenvironment. Sci. Rep. 2017, 7, 6838. [Google Scholar] [CrossRef]
- Afify, S.M.; Calle, A.S.; Kumon, K.; Nawara, H.M.; Khairani, A.C.; Mahmud, H.; Oo, A.K.K.; Juan, D.; Zahara, M.H.; Seno, A.; et al. A model of CSC converted from iPSC in the conditioned medium of HCC paving the way to establish HCC CSC [abstract]. In Proceedings of the American Association for Cancer Research Annual Meeting 2018, Chicago, IL, USA, 14–18 April 2018; p. 89. [Google Scholar]
- Yan, T.; Mizutani, A.; Chen, L.; Takaki, M.; Hiramoto, Y.; Matsuda, S.; Shigehiro, T.; Kasai, T.; Kudoh, T.; Murakami, H.; et al. Characterization of Cancer Stem-Like Cells Derived from Mouse Induced Pluripotent Stem Cells Transformed by Tumor-Derived Extracellular Vesicles. J. Cancer 2014, 5, 572–584. [Google Scholar] [CrossRef]
- Matsuda, S.; Yan, T.; Mizutani, A.; Sota, T.; Hiramoto, Y.; Prieto-Vila, M.; Chen, L.; Satoh, A.; Kudoh, T.; Kasai, T.; et al. Cancer stem cells maintain a hierarchy of differentiation by creating their niche. Int. J. Cancer 2014, 135, 27–36. [Google Scholar] [CrossRef] [PubMed]
- Xu, N.; Li, X.; Watanabe, M.; Ueki, H.; Hu, H.; Li, N.; Araki, M.; Wada, K.; Xu, A.; Liu, C.; et al. Induction of cells with prostate cancer stem-like properties from mouse induced pluripotent stem cells via conditioned medium. Am. J. Cancer Res. 2018, 8, 1624–1632. [Google Scholar] [PubMed]
- Seno, A.; Murakami, C.; El-Aarag, B.; Iwasaki, Y.; Ohara, T.; Seno, M. Cancer stem cell induction from mouse embryonic stem cells. Oncol. Lett. 2019, 18, 2756–2762. [Google Scholar] [CrossRef]







© 2019 by the authors. Licensee MDPI, Basel, Switzerland. This article is an open access article distributed under the terms and conditions of the Creative Commons Attribution (CC BY) license (http://creativecommons.org/licenses/by/4.0/).
Share and Cite
Afify, S.M.; Chen, L.; Yan, T.; Sanchez Calle, A.; Nair, N.; Murakami, C.; Zahra, M.H.; Okada, N.; Iwasaki, Y.; Seno, A.; et al. Method to Convert Stem Cells into Cancer Stem Cells. Methods Protoc. 2019, 2, 71. https://doi.org/10.3390/mps2030071
Afify SM, Chen L, Yan T, Sanchez Calle A, Nair N, Murakami C, Zahra MH, Okada N, Iwasaki Y, Seno A, et al. Method to Convert Stem Cells into Cancer Stem Cells. Methods and Protocols. 2019; 2(3):71. https://doi.org/10.3390/mps2030071
Chicago/Turabian StyleAfify, Said M., Ling Chen, Ting Yan, Anna Sanchez Calle, Neha Nair, Chikae Murakami, Maram H. Zahra, Nobuhiro Okada, Yoshiaki Iwasaki, Akimasa Seno, and et al. 2019. "Method to Convert Stem Cells into Cancer Stem Cells" Methods and Protocols 2, no. 3: 71. https://doi.org/10.3390/mps2030071
APA StyleAfify, S. M., Chen, L., Yan, T., Sanchez Calle, A., Nair, N., Murakami, C., Zahra, M. H., Okada, N., Iwasaki, Y., Seno, A., & Seno, M. (2019). Method to Convert Stem Cells into Cancer Stem Cells. Methods and Protocols, 2(3), 71. https://doi.org/10.3390/mps2030071

