Abstract
The antifreeze and antioxidant capacities of tilapia (Oreochromis mossambicus) gelatin hydrolysates were investigated, after glycosylation with saccharides of varying molecular weights, to enhance their functional properties to widen its commercial application in frozen aquatic products. Glycosylation was conducted by mixing gelatin hydrolysates with ribose, glucose, maltose, and dextran (20 kDa) at a 1:1 mass ratio; the glycosylation products had a pH of 10 and were incubated at 80 °C for 1 h. The results showed that the glycosylation degree ranked as: ribose > glucose > maltose > dextran. The mass spectrometry analysis showed that 17, 32, and 5 glycosylation sites were identified for ribose, glucose, and maltose, respectively, suggesting a molecular weight-dependent effect. Spectroscopic analyses, including ultraviolet and infrared spectroscopy, revealed that the gelatin hydrolysate structure was expanded, with chromophores in hydrophilic environments; a blue shift in the amide A and II bands confirmed that the amino group was involved. Fluorescence spectroscopy showed conformational changes with a red shift at 303.4 nm and a reduction in intensity. Antifreeze activity, such as catalase freezing protection and shrimp surimi protein stability, and antioxidant activity, including radical scavenging and metal ion chelation, were significantly improved. Ribose exhibited the strongest effects, followed by maltose and glucose. These results demonstrate the potential of glycosylation to improve gelatin hydrolysates for functional applications.
Key Contribution:
Glycosylation significantly improved the functional properties of tilapia gelatin hydrolysates, enhancing their antifreeze and antioxidant activities, with ribose showing the strongest effects. Structural analyses by mass spectrometry and spectroscopy revealed glycosylation-induced changes in gelatin hydrolysates, dependent on the molecular weight of the saccharides.
1. Introduction
Aquatic products have a high water content and are rich in nutrition, which provide favorable conditions for the growth and reproduction of spoilage microorganisms. At the same time, autolytic enzymes in aquatic products begin to function after death, which accelerates the degradation of proteins [1]. Frozen storage is widely recognized as an effective method for the long-term preservation of aquatic products, as it reduces the activity of autolytic enzymes, inhibits microbial growth, and prolongs shelf life [2]. However, the growth and recrystallization of ice crystals during frozen storage can lead to a deterioration in the quality of aquatic products, such as protein denaturation, lipid oxidation, juice loss, etc., reducing consumer acceptability and commercial economic value [3]. Cryoprotectants are a kind of food additive that can be used to protect the quality of aquatic products during frozen storage by delaying the quality deterioration of frozen aquatic products. Commercial cryoprotectants are extensively employed due to their effective antifreeze properties and cost efficiency. Nevertheless, sugar may introduce unnecessary sweetness and high calories. The excessive use of phosphate cryoprotectants can add bitterness to products, affect the absorption of calcium in the human body, and aggravate kidney and cardiovascular diseases [4]. Therefore, it is urgent to develop novel cryoprotectants that are free from sweet or bitter flavors, aligned with health requirements, and are cost-effective to produce.
Cryoprotectants are used to minimize the damage caused by ice crystal formation to biological tissues, inhibit lipids oxidation, and delay protein denaturation. As an emerging cryoprotectant, protein hydrolysates are recognized for their wide availability and ease of preparation. Damodaran et al. [5] found that fish gelatin hydrolysate could inhibit the growth of ice crystals. Nikoo et al. [6] demonstrated that gelatin hydrolysates inhibit the displacement of water molecules between different compartments, thereby enhancing the stability of myofibril-bound water in unwashed mince induced by repeated freeze–thaw cycles. Lipid oxidation is another chemical reaction that is implicated in the deterioration of frozen aquatic products. To minimize this deterioration, antioxidants have been widely utilized. It has been demonstrated that several protein hydrolysates exhibit antioxidant activity. Bashir et al. [7] demonstrated that protein hydrolysates and peptide fractions purified from Pacific mackerel (S. japonicus) possess antioxidant properties. Karnjanapratum et al. [8] found that gelatin hydrolysate from unicorn leatherjacket skin exhibited antioxidant and cryoprotective effects in washed fish mince.
However, it is believed that the freezing-induced denaturation of aquatic products is a complex process, which involves the formation of ice crystals, the oxidation of proteins and lipids, as well as the proliferation and metabolism of microorganisms [9]. Therefore, the development of a multifunctional antifreeze is urgently required. Glycosylation is widely used to modify protein or protein derivatives to improve their physico-chemical properties and bio-function properties. However, there is limited information focusing on how glycosylation affects the cryoprotective and antioxidative activities of gelatin hydrolysates.
As we all know, glycosylation is closely related to the type of sugar, temperature, pH, and glycosylation time. Among these, the sugar structure has been widely investigated, as smaller sugars exhibit higher conjugation efficiency. Thus, herein, various types of sugar (ribose, glucose, maltose, and glucan) with lower molecular weights were chosen to glycosylate tilapia (Oreochromis mossambicus) gelatin hydrolysate, aiming to explore the antifreeze and antioxidant activity of glycosylation products, and to develop a new antifreeze with the best antifreeze and antioxidant activities. At the same time, the number of sugars conjugated to the peptide chain was quantified based on the grafting degree. The specific sites of sugar attachment were identified and analyzed using mass spectrometry. Furthermore, the structure of the glycosylated product was characterized through UV spectroscopy, Fourier-transform infrared (FT-IR) spectroscopy, fluorescence spectroscopy, and mass spectrometry.
2. Materials and Methods
2.1. Materials and Chemicals
Fish gelatin (FG, type B, from tilapia) and catalase (10,000 U/g, from Aspergillus niger) were purchased from Yuanye Bio-Technology Co., Ltd. (Shanghai, China). D-ribose was purchased from Macklin Biochemical Co., Ltd. (Shanghai, China). Glucan (20 kDa) was purchased from Adamas Reagent Co., Ltd. (Shanghai, China). Trypsin (250,000 U/g) was purchased from Solarbio Science & Technology Co., Ltd. (Beijing, China). 1,4-dithiothreitol (DTT), o-phthalaldehyde (OPA), 1,10-phenanthroline, nitrotetrazolium blue chloride (NBT), β-Nicotinamide adenine dinucleotide reduced disodium salt (NADH), phenazine methosulfate (PMS), 2,4,6-Tris(2-pyridyl)-s-triazine (TPTZ), FeCl3, FeCl2, KBr (spectrograde), and ferrozine were purchased from Aladdin Bio-Chem Technology Co., Ltd. (Shanghai, China). Dextran (20 kDa) was purchased from Adamas Reagent Co., Ltd. D-(+)-glucose, D-(+)-maltose monohydrate, and other chemicals were purchased from Sinopharm Chemical Reagent Co., Ltd. (Shanghai, China). All the above reagents were of analytical grade.
2.2. Preparation of Glycosylated Fish Gelatin Hydrolysate (GH)
Glycosylated fish gelatin hydrolysate was prepared according to a method described previously [10]. The FG powder was dispersed in ultrapure water (5%, w/v) at 50 °C with constant stirring. The hydrolysis procedure was performed using the following conditions: the enzyme:substrate (w/w) ratio was 2%; the pH was maintained at 8.0 using 1 M NaOH 50 °C for 3 h; and the mixture was terminated by boiling for 10 min. The derived solution was filtered through a polyethersulfone membrane (Labscale TFF System Millipore, Bedford, MA, USA) with 5 kDa cutoffs (Millipore, St. Louis, MO, USA). The permeate was collected, freeze-dried, and stored at −20 °C before use. A 2% (w/v) solution of the GH was prepared, followed by the addition of ribose, glucose, maltose, and dextran (1:1, w/w), respectively. The glycosylation reaction was performed in a water bath at 80 °C for 1 h, with a pH of 10. After glycosylation, the solution was cooled in an ice bath, freeze-dried, and stored at 20 °C until use. The GH, ribose glycosylation product, glucose glycosylation product, maltose glycosylation product and dextran glycosylation product are named as GH, RGP, GGP, MGP and DGP, respectively.
2.3. Degree of Conjugation (DC)
The DC of each glycosylation product was determined according to a method described previously [11], with some modifications. Briefly, 7.62 g of borax, 0.2 g of SDS, and 176 mg of DTT were dissolved in 150 mL of ultrapure water. Separately, 0.16 g of OPA was dissolved in 4 mL of anhydrous ethanol. The two solutions were mixed and diluted to 200 mL with ultrapure water. A total of 200 μL of the sample solution was added to 4 mL of the OPA reagent and mixed for 5 s. The mixture was reacted for exactly 2 min in the dark at room temperature. Then, the absorbance was recorded at 340 nm using an ultraviolet spectrophotometer (TU-1810, Ningbo OP Instrument Co., Ltd., Ningbo, China). The degree of conjugation was calculated as follows:
where A0 is the absorbance of GH and A1 is the absorbance of glycosylation products.
2.4. Ultraviolet (UV)–Visible Spectra
The UV–visible spectra were determined according to methods described previously [12]. A total of 20 mg/mL GP solution and 40 mg/mL of the glycosylation product solutions were scanned from 200 to 600 nm using a spectrophotometer.
2.5. Fourier Transform Infrared (FTIR) Spectra
The FTIR spectra were determined according to methods described previously [13]. The GH and glycosylation products were mixed with KBr power at a ratio of 1:50 (w/w). The mixture was finely ground, pressed into smaller pellets, and scanned at wavenumber ranges of 4000–400 cm−1, with 32 scans with a resolution of 4 cm−1 by the FTIR spectrometer (FTIR 4700, JASCO Ltd., Tokyo, Japan).
2.6. Intrinsic Fluorescence Spectra
The intrinsic fluorescence measurements were carried out according to methods described previously [14]. The sample content was 40 mg/mL. The excitation wavelength of the samples was fixed at 290 nm, while emission wavelengths with a range of 300–500 nm were selected.
2.7. Determination of Antifreeze Activity
2.7.1. Catalase Freezing Protection Ability
The freeze–thaw protection ability of catalase was used to evaluate the cryoprotectant capacity of the additive. The ability of catalase freezing protection was determined according to methods described previously [15]. The following reagents were added to the test tube and thoroughly mixed: 50 μL of the sample solution, 50 μL of the 4 mg/mL catalase solution, and 500 μL of ultrapure water. The test tube was frozen at −20 °C for 12 h, and then thawed in a 25 °C water bath for 15 min. After three freeze–thaw cycles, 1 mL of 50 mM phosphate buffer (pH 7) and 400 μL of a 300 mM hydrogen peroxide solution were added to the tube. The mixture was reacted in a 25 °C water bath for 5 min and then terminated by adding 2 mL of a 20% sulfuric acid solution. The absorbance was measured at 240 nm with the ultraviolet spectrophotometer. The catalase freezing protection ability was calculated as follows:
where A0 is the absorbance of the blank group with ultrapure water, A1 is the absorbance of the sample solution, and A2 is the absorbance of the control group using catalase without a freeze–thaw cycle.
2.7.2. Preparation and Freeze–Thaw Treatment of Minced Shrimp and Minced Shrimp Gel
Shrimp Preparation: Fresh Penaeus vannamei were decapitated, shelled, and gutted after being euthanized by freezing. The shrimp meat was cut into small pieces and minced in a vacuum chopping pan. First, the shrimp were chopped for 2 min, followed by an additional 2 min of chopping with 2% (w/w) salt. Finally, the control group (CG) was prepared without the cryoprotectant, while the experimental groups were prepared with 2% (w/w) of the following additives: commercial cryoprotectant (CC, sucrose:sorbitol = 1:1); gelatin peptide (GP); maltose glycosylated peptide (MGP); and ribose glycosylated peptide (RGP). Additions of 5% (w/w) potato starch and 2% (w/w) ultrapure water were added; the mixture was chopped for 4 min to obtain shrimp surimi samples.
Shrimp Gel Preparation: The minced shrimp samples were stuffed into casings and cooked in a water bath at 90 °C for 30 min to produce shrimp gel.
Freeze–thaw treatment: The shrimp surimi samples were stored in a refrigerator at −20 °C for 6 days, and then at 4 °C for 1 day. One week was a freeze–thaw cycle. The minced shrimps were taken out at 0, 2, 4, 6 and 8 weeks and thawed at room temperature for 20 min before analysis.
2.7.3. Determination of Turbidity
The turbidity was determined according to methods described previously [16]. The concentration of myofibrillar protein was adjusted to 1 mg/mL with 20 mM of tris–maleic acid (pH 7.0, containing 0.6 M potassium chloride), and the absorbance value was measured by ultraviolet spectrophotometer at 660 nm, which was expressed as the turbidity of protein solution.
2.7.4. Intrinsic Fluorescence Spectra
The intrinsic fluorescence measurements were carried out according to methods described previously [17]. The concentration of myofibrillar protein was adjusted to 0.1 mg/mL with 20 mM of a tris–maleic acid solution (pH 7.0, containing 0.6 M potassium chloride). The parameters were determined by a fluorescence spectrophotometer as follows: an excitation wavelength of 295 nm, an emission wavelength of 300–400 nm, and an excitation/emission slit of 10 nm.
2.7.5. SDS-Polyacrylamide Gel Electrophoresis (SDS-PAGE) Analysis
The SDS–PAGE was performed following a method described previously [18]. The myofibrillar protein solution (3 mg/mL) was mixed with 5× protein solution loading buffer 4:1 in a boiling water bath for 5 min. A 12% separation gel and 5% concentrated gel were used; the sample size was 10 μL. The initial voltage was 80 V; the sample was changed to 120 V after entering the separation gel. Coomassie brilliant blue fast staining solution was used for staining; the samples were photographed under a gel imaging system.
2.8. Determination of Antioxidant Activity
2.8.1. DPPH Scavenging Activity
The DPPH scavenging activity was determined according to the method described by Tai et al. [19], with slight modifications. A total of 2 mL of the GH and GP solution was mixed with 2 mL of the 0.1 mM DPPH ethanol solution; the mixture was incubated in darkness for 30 min at room temperature. The absorbance of each reaction mixture was measured at 517 nm using the ultraviolet spectrophotometer. The DPPH scavenging capacity was calculated as follows:
where A0 is the absorbance of the blank group with ultrapure water, and A1 is the absorbance of the sample solution.
2.8.2. Hydroxyl Radicals Scavenging Activity
Hydroxyl radical scavenging activity was measured according to the procedure of Girgih et al. [20], with some modifications. A total of 0.5 mL sample solution was mixed with 3 mM of 1,10-phenanthrolinen (dissolved in pH 7.4 0.2 M phosphate buffer (PBS)), 3 mM of an FeSO4 solution, and 0.5 mL 0.01% (w/v) of an H2O2 solution. After 1 h of reaction at 37 °C, the absorbance of each mixture was measured at 536 nm using the ultraviolet spectrophotometer. The hydroxyl radical scavenging activity was calculated as follows:
where A0 is the absorbance of the blank group with ultrapure water, A1 is the absorbance of the sample solution, and A2 is the absorbance of the control group replacing the hydrogen peroxide solution with ultrapure water.
2.8.3. Superoxide Anion Radical Scavenging Activity
The superoxide anion radical scavenging activity was determined using the method described by Ge et al. [21], with minor modifications. A total of 0.5 mL of the sample solution was mixed with 2 mL pH 7.4, 0.1 M PBS (containing 156 μM NBT, 468 μM NADH, and 60 μM PMS). The mixture was reacted for 5 min at 25 °C. Then, the absorbance of each mixture was measured at 560 nm with the ultraviolet spectrophotometer. The superoxide radical scavenging activity was calculated as follows:
where A0 is the absorbance of the blank group with ultrapure water, and A1 is the absorbance of the sample solution.
2.8.4. Ferric Reducing Antioxidant Power (FRAP)
The FRAP was performed using the method described by Meneses et al. [22], with some modifications. First, 300 mM of the pH 3.6 acetate buffer, 10 mM of TPTZ in 40 mM HCl solution, and 20 mM of the FeCl3 solution were mixed together at a volume ratio of 10:1:1 to prepare the FRAP reagent. A total of 0.5 mL of the sample (5 mg/mL) was mixed thoroughly with 1.5 mL of the FRAP reagent; the mixture was reacted at 37 °C for 30 min. The absorbance of each mixture was measured at 593 nm using the ultraviolet spectrophotometer. A calibration curve was prepared with 0–300 μM of the FeSO4 solution. FRAP was expressed as the millimoles of Fe2+ equivalent per dry weight of the GH equivalent.
2.8.5. Fe2+ Chelating Activity
The Fe2+ chelating activity was measured according to the method of Tang et al. [23], with some modifications. The GH was formulated to 0.2 mg/mL and the glycosylation products were formulated to 0.4 mg/mL. A total of 1.2 mL of the sample solution was mixed with 0.4 mL of the 0.2 mM FeCl2 solution and incubated at 37 °C and shaken for 20 min. Then, 0.4 mL of 5 mM phenanthroline was added to the mixture and reacted at room temperature for 10 min. The absorbance of the resulting solutions was measured at 562 nm with the ultraviolet spectrophotometer. The Fe2+ chelating activity was calculated as follows:
where A0 is the absorbance of the blank group with ultrapure water, and A1 is the absorbance of the sample solution.
2.9. Identification of Glycosylation Sites by Mass Spectrometry
The identification of the glycosylation sites was performed by mass spectrometry according to the method of Huang et al. [24], with some modifications. The freeze-dried samples were added to 40 μL of a trypsin buffer and incubated at 37 °C for 16–18 h. The chromatographic separation was performed using liquid A (0.1% formic acid) and liquid B (0.1% formic acid in acetonitrile containing 84% acetonitrile) with gradient elution. The liquid chromatographic column (0.15 mm × 150 mm, RP-C18, Column Technology Inc., Fremont, CA, USA) was balanced with 95% liquid A. The sample was injected into Zorbax 300SB-C18 peptide traps (Agilent Technologies, Wilmington, DE, USA) by an autosampler, and then separated by the chromatographic column.
The gradient settings for liquid phase B were as follows: from 4% to 50% in 0–50 min, from 50% to 100% in 50–54 min, and maintained at 100% for 54–60 min.
The column effluent was injected into an Orbitrap Fusion mass spectrometer (Thermo Fisher Scientific, Waltham, MA, USA). The peptide glycated sites were identified by tandem mass spectrometry (MS/MS) combined with high-energy C-trap dissociation (HCD) and electron transfer dissociation (ETD) fragmentation. Positive ions were used to detect isolates. Ten fragment maps of the polypeptide and polypeptide fragments were collected at each full scan. The original mass spectrometry files were retrieved from the corresponding database with the software Proteome Discoverer1.4 (Thermo Fisher Scientific, Waltham, MA, USA).
2.10. Statistical Analysis
All the measurements were conducted using three independent experimental replicates (technical replicates) and results were reported as means ± standard deviation (SD). The statistical significance was analyzed by Duncan’s multiple range tests (p < 0.05) using SPSS statistics 23.0 (SPSS Inc., Chicago, IL, USA).
3. Results and Discussion
3.1. Glycosylation Degrees (DGs)
Free amino acid groups can undergo condensation reactions with the carbonyl groups when reducing sugars under suitable conditions. Changes in free amino content can be used to detect the degree of glycosylation. The glycosylation reactivity of sugars depend on the open-chain aldehyde/ketone groups and the steric hindrance of the sugar chain [25]. As shown in Figure 1, the order of DGs was as follows: RGP > GGP > MGP > DGP. It can be seen that the reaction rate of monosaccharides is faster than that of polysaccharides and that the five-carbon sugars had a higher reaction rate than the six-carbon sugars. Dextran had a large steric hindrance, which reduces the chance of contact with the active sites on the peptide chains [26]. Li et al. [27] reported that the DG of glucose was easier to obtain than those of lactose and dextran. Liang et al. [28] also found that the galactose had a higher glycosylation activity with bighead carp meat hydrolysates than that of galactose oligosaccharide.
Figure 1.
Effect of different kinds of saccharides on grafting degree of glycosylation. Different lowercase letters indicate significant differences between the sample types (p < 0.05). Values represent means ± standard deviation (SD).
3.2. UV–Visible Spectra Analysis
The UV–visible spectrum was used to characterize the absorption peaks and intensity changes in chromophores to reveal protein conformation changes. Tryptophan, tyrosine, and phenylalanine residues containing aromatic rings exhibited absorption peaks at 225 nm and 280 nm [29]. As shown in Figure 2a, the GH presented an absorption peak at 228 nm, while the peaks of RGP, GGP, MGP, and DGP were observed at 239 nm, 234 nm, 234 nm, and 232 nm, respectively, indicating red shifts of 11, 6, 6, and 4 nm. The glycosylation-induced conformational changes in GH resulted in increased exposure of the chromogenic amino acid residues to the polar environment and an increase in absorbance values [30]. Furthermore, UV–visible spectroscopy can also be used to reveal the formation of glycosylation reaction products. The produced intermediates and melanoidins during glycosylation procedure can be detected at 320 and 420 nm [31]. All the glycosylation products had higher absorbances than those of GH, which were consistent with those reported by Yu et al. [12]. The magnitude of the increase in the absorption value was positively correlated with the degree of conjunction. The RGP exhibited a greater absorbance value, showing that it generates more intermediate products such as aldehydes, ketones, and Schiff bases.
Figure 2.
Ultraviolet scanning spectra (a); Fourier infrared spectra (b); and intrinsic fluorescence spectra (c) of hydrolysates and glycosylated products.
3.3. FTIR Spectra Analysis
FTIR analysis was employed to monitor changes in protein functional groups by detecting the frequency doubling and combination vibrations of interatomic bonds. During the Maillard reaction, specific functional groups, such as C–O and –NH2, were consumed [32]. As illustrated in Figure 2b, all glycosylated products exhibited decreased absorbance at 1654 cm−1 (amide I, C=O stretching vibration) compared to the GH. Similar shifts in the FTIR spectra for the amide I bands were also observed in the myofibrillar protein–dextran conjugates [33]. At 1540 cm−1 (Amide II, N–H bending vibration), the glycosylated products showed a blue shift, indicating the involvement of the amino groups in the glycosylation reaction. Moreover, an increase in absorbance and a blue shift were observed at 3309 cm−1 (amide A, N-H stretching vibration), suggesting the covalent attachment of sugar molecules to the GH and the introduction of additional hydroxyl groups [34]. In the spectral region of 1180–953 cm−1, prominent bands corresponding to the stretching vibrations of C–C and C–O bonds and the bending vibrations of C–H bonds were observed, which were characteristic of saccharides in the glycosylated products [35].
3.4. Intrinsic Fluorescence Spectra Analysis
The intrinsic fluorescence spectra were used to characterize alterations in protein conformation. As shown in Figure 2c, GP exhibited the maximum fluorescence intensity at an emission wavelength of 303.4 nm, while the peaks of RGP, GGP, MGP, and DGP showed red shifts of 1.4, 0.8, 0.4, and 0.4 nm, respectively. The maximum fluorescence intensity of RGP and MGP was observed at an emission wavelength of 394 nm. Additionally, the order of fluorescence quenching, from highest to lowest, was RGP, MGP, GGP, and DGP. The intrinsic fluorescence of proteins primarily originates from tryptophan, tyrosine, and phenylalanine residues, with tryptophan being the dominant fluorophore, which emits fluorescence upon excitation at 290 nm [36]. The observed red shifts suggest that glycosylation enhances the polarity of the chromophore microenvironment while reducing its electron transition ability. The degree of fluorescence quenching can reflect the extent of the glycosylation reaction. The higher fluorescence quenching of RGP and MGP indicated a stronger glycosylation effect compared to that of GGP and DGP. This was because that ribose had a small molecular structure and strong electrophilic nature, which could easily bind tightly to proteins, enhancing glycosylation efficiency. Bu et al. [37] reported similar results, showing that the fluorescence intensity of α-lactalbumin decreased after glycosylation with glucose, mannose, and allose, accompanied by varying degrees of red shift in the maximum wavelength. Moreover, the early glycosylation products can cross-link with GH to form polymers with fluorescent properties [38].
3.5. Antifreeze Activity Analysis
3.5.1. Catalase Activity
Shikama et al. [15] found that freeze–thaw cycles can reduce the activity of catalase, which might be related to the transition processes of the ice-crystal state responsible for the critical region of temperature. Therefore, the antifreeze activity can be indirectly assessed by evaluating freeze–thaw cycles on the catalase activity. As illustrated in Figure 3a, the residual catalase activity in the control group was only 43.98% after freeze–thaw cycles, while the addition of FG and glycosylated products significantly improved the residual catalase activity (p < 0.05). Specifically, the catalase activity in the GP, RGP, GGP, MGP, and DGP groups was 85.6%, 93.15%, 91.58%, 87.25%, and 92.29%, respectively. The glycosylated product groups had the highest catalase activity, especially RGP, GGP, and DGP, which were significantly higher than the non-glycosylated GH group (p < 0.05), indicating that glycosylation enhances the antifreeze activity of GH. Chen et al. [39] reported that dextran glycosylation improved the antifreeze activity of pigskin collagen peptides, which was attributed to the increased solution viscosity and decreased ice content. Liu et al. [40] confirmed that the TGase-catalyzed glycosylation of fish collagen peptides also had a cryoprotective effect that could guarantee the frozen quality of tilapia fillets.
Figure 3.
(a) Freezing protection of hydrolysates and glycosylated products on catalase. Different lowercase letters indicate significant differences between the sample types (p < 0.05); and (b) effects of different additives on turbidity of myofibrillar protein of frozen shrimp surimi. Different capital letters indicate significant differences between different freezing periods in the same additive; Different lowercase letters indicate significant differences between different additives in the same week (p < 0.05). Values represent means ± standard deviation (SD).
3.5.2. Effect of Glycosylated GH on the Frozen Storage Characteristics of Myofibrillar Protein
Turbidity Change
Turbidity is often used as an indicator to evaluate the degree of myofibrillar protein aggregation and denaturation during the frozen storage of surimi [41]. As demonstrated in Figure 3b, the turbidity of the myofibrillar protein in the shrimp surimi was increased significantly with prolonged frozen storage time (p < 0.05). This increase indicates that aggregation and denaturation of the myofibrillar protein occurred during freezing, showing higher turbidity. These findings are consistent with the results of Du et al. [42], who reported similar behavior in mirror carp during frozen storage.
At the 8th week of frozen storage, the turbidity of the myofibrillar protein in the CC group and RGP group was lower than that in the CG group, although the differences were not statistically significant. However, the GP group showed a significantly lower turbidity compared to the CG group, suggesting that GP effectively preserved the structure of myofibrillar protein. This protective effect may be attributed to the ability of GP to bind with proteins and prevent the formation of new chemical bonds, such as disulfide bonds, hydrogen bonds, and hydrophobic interactions, which are induced by ice crystal formation and lipid oxidation [5]. Li et al. [43] also demonstrated that whey protein isolate hydrolysates could mitigate the structural changes in myofibrillar protein caused by freezing in carp.
Intrinsic Fluorescence Spectra Analysis
The tryptophan, tyrosine, and phenylalanine groups in proteins can be excited at 295 nm, producing an endogenous fluorescence spectrum. Fluorescence intensity changes are used to reflect protein unfolding, aggregation, and alterations in the microenvironment of fluorescent groups [17]. As indicated in Figure 4, a significant decrease in fluorescence intensity was observed in all sample groups with increased frozen storage time, which is in agreement with the findings of a study on silver carp surimi [44]. The reduction in fluorescence intensity was likely caused by protein unfolding, which exposed aromatic amino acids to a polar environment, leading to fluorescence quenching. Furthermore, aggregation and folding of the protein resulted in the embedding of aromatic amino acids in hydrophobic regions, further reducing fluorescence intensity [45].
Figure 4.
Effects of different additives on intrinsic fluorescence spectra of myofibrillar protein of frozen shrimp surimi: (a) week 0; (b) week 2; (c) week 4; (d) week 6; and (e) week 8.
The maximum absorption peaks for all groups remained at around 336 nm, with no significant red or blue shifts, indicating that changes in the microenvironment of the fluorophore were minimal during frozen storage. After 8 weeks, the fluorescence intensity in the CG, CC, GP, MGP, and RGP groups was reduced by 38.84%, 32.86%, 18.54%, 21.60%, and 25.32%, respectively. The addition of GP resulted in the lowest decrease in fluorescence intensity, indicating its superior protective effect in comparison to that of the commercial cryoprotectant. This protective effect may be attributed to the interaction between glycans and amino acids, which stabilized the microenvironment around myosin and promoted a hydrophilic environment [46]. Yu et al. [47] also demonstrated that cryoprotectants reduced protein denaturation by cross-linking glycans with amino acid side chains and binding to water molecules. GH and glycosylated GH were found to be more effective than commercial antifreeze, with GP showing the best results, consistent with the turbidity analysis.
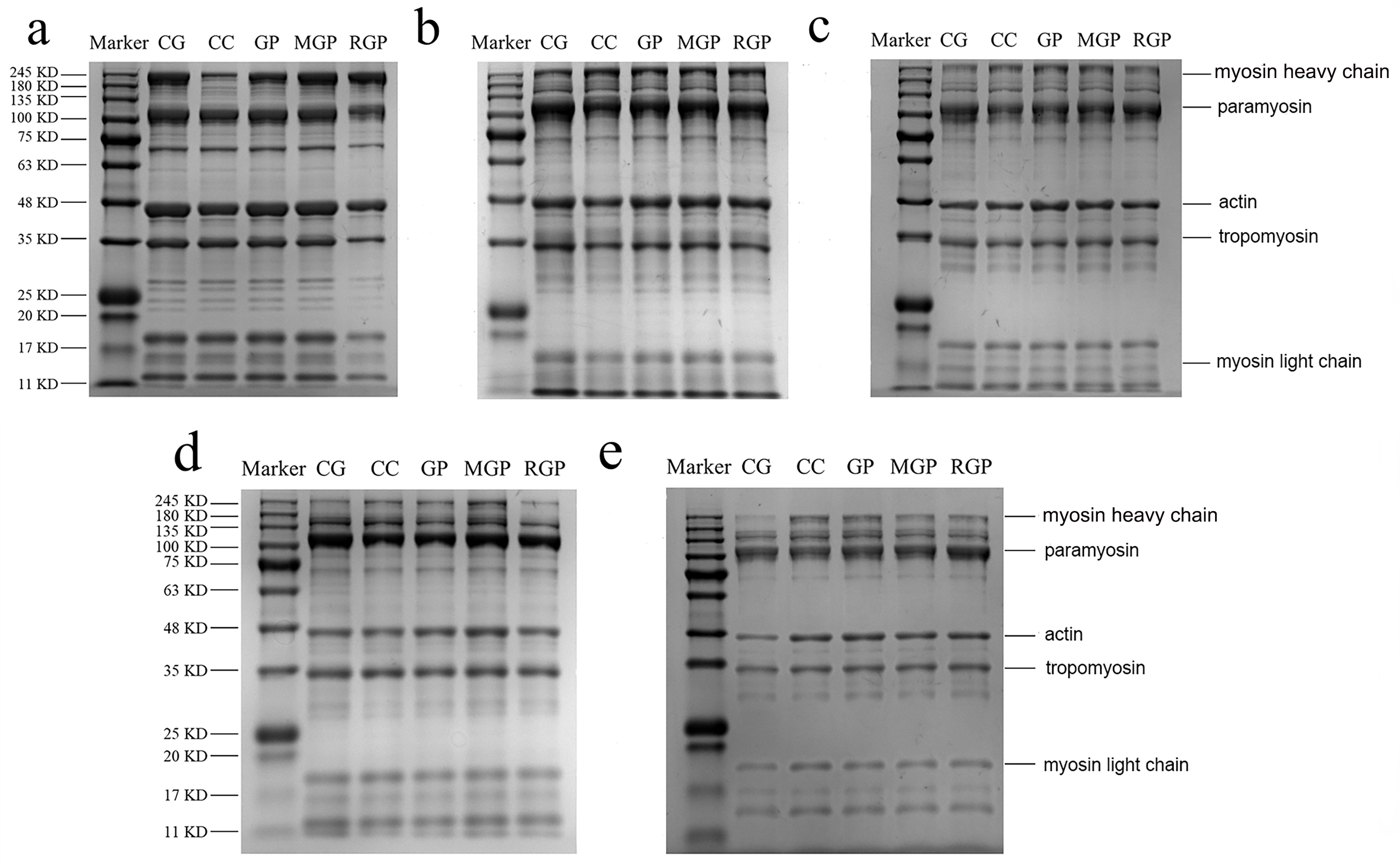
SDS–PAGE Analysis
The gel electrophoresis pattern reflects the degradation of myofibrillar protein in shrimp surimi. As shown in Figure 5, myosin heavy chain appeared near 220 kDa, paramyosin appeared near 110 kDa, actin appeared near 45 kDa, tropomyosin appeared near 34 KDa, and myosin light chain appeared near 20 KDa [48]. The electrophoresis pattern of myosin heavy chain showed a smaller molecular weight protein near 135 KDa, which resulted from the cross-linking and degradation of proteins during frozen storage. The intensities of paramyosin, actin, tropomyosin, and myosin light chain were reduced to some extent, indicating that the myofibrillar proteins in the minced shrimp underwent oxidation and degradation during frozen storage [49]. Zhang et al. [50] also observed the degradation of surimi protein molecules during storage through SDS–PAGE profiles analysis. After 8 weeks of frozen storage, the highest degree of protein degradation was observed in the CG group, followed by the MGP and RGP groups. The lowest degradation was observed in the GP and CC groups. It can be concluded that MGP and RGP can reduce the oxidation and degradation of myofibrillar proteins during freezing, while CC and GP were found to be more effective. This effect may be due to the delayed cleavage of disulfide bonds in myofibrillar proteins by glycosylated GH during freezing and thawing [50,51].
Figure 5.
Effects of different additives on myofibrillar protein degradation of frozen shrimp surimi: (a) week 0; (b) week 2; (c) week 4; (d) week 6; and (e) week 8.
3.6. Antioxidant Activity Analysis
3.6.1. DPPH Scavenging Ability
The DPPH scavenging rate was employed to assess the antioxidants based on their ability to donate hydrogen atoms. DPPH exhibits a peak absorption at 517 nm, which diminishes upon the acceptance of hydrogen atoms, resulting in a color change from purple to yellow in the solution [52]. As shown in Table 1, the DPPH free radical scavenging rate of the GH was significantly increased, from 2.83% to 44.39%, 18.96%, 30.86%, and 8.92% (p < 0.05), after glycosylation with ribose, glucose, maltose, and dextran. These results indicate that the glycosylation reaction significantly enhanced the hydrogen donation capacity of the GH. RGP had the greatest impact, which may be attributed to its high glycosylation reaction activity. In a similar study, Han et al. [53] reported that the DPPH free radical scavenging rate of Maillard reaction products (MRPs) derived from ribose and sea cucumber gut hydrolysates was significantly improved. Sumaya-Martinez et al. [54] also found that the DPPH scavenging activity in MRPs from ribose was 11 times higher than that from glucose, which could be related to the acyclic form of ribose making it more reactive.
Table 1.
Antioxidant capacity of hydrolysates and glycosylated products.
3.6.2. Hydroxyl Radicals Scavenging Activity
Hydroxyl radicals are reactive oxygen species that can be endogenously produced by organisms and possesses strong electron-accepting capacity. These radicals are capable of denaturing proteins and causing tissue damage [55]. As presented in Table 1, the hydroxyl radical scavenging rates of GH significantly increased from 4.73% to 65.03%, 19.69%, 14.06%, and 11.44% (p < 0.05) following glycosylation with ribose, glucose, maltose, and dextran, respectively. The hydroxyl radical scavenging efficiency was observed to follow the order of: RGP > GGP > MGP > DGP. This indicates that the glycosylation reaction effectively enhances the electron-donating ability of the GH. This improvement can be attributed to glycosylation-induced modifications, which likely alter the spatial conformation of peptides, thereby exposing more amino acid residues capable of donating electrons. These residues react with free radicals, interrupting the radical chain reactions and ultimately enhancing the antioxidant activity of the GH [56].
3.6.3. Superoxide Anion Radical Scavenging Activity
Superoxide anion radicals are generated through the electron transfer and biological reduction of O2, during which electrons are acquired [57]. These radicals can promote lipid peroxidation and initiate chain reactions that accelerate lipid oxidation. As shown in Table 1, the scavenging rates of the GGP and MGP groups were higher than that of the GP group, while the scavenging rate of the DGP group was lower than that of the GP group. However, no significant differences were observed among these groups (p > 0.05), suggesting that glycosylation with glucose, maltose, or dextran had minimal effects on the scavenging activity of the GH. In contrast, the superoxide anion scavenging rate of the RGP group was significantly higher than that of the GP group (p < 0.05). This result aligns with the observed improvements in DPPH and hydroxyl radical scavenging abilities, indicating that the RGP exhibits superior free radical scavenging capacity. This enhancement may be attributed to advanced glycation end-products (AGEs), such as melanoidins, formed during the advanced stages of the Maillard reaction, which are known to possess the ability to scavenge superoxide anion radicals [58].
3.6.4. FRAP
The FRAP assay is commonly employed to assess the reduction ability of antioxidants. In an acidic reaction system, Fe3+-TPTZ is reduced to Fe2+-TPTZ, resulting in the formation of a dark blue complex. A stronger reduction ability indicates a greater capacity to donate hydrogen atoms or electrons [59]. As shown in Table 1, the iron ion-reducing capacity of the RGP, GGP, and MGP groups was significantly increased from 9.61 mmol Fe2+/g in the GP group to 104.08, 26.49, and 14.1 mmol Fe2+/g, respectively (p < 0.05). The enhancement in the reducing capacity followed the order of: RGP > MGP > GGP. Conversely, the reducing capacity of the DGP group decreased to 6.48 mmol Fe2+/g, which may be attributed to the reduction of the GH’s original antioxidant activity due to heating. It has been reported by Wang et al. [60] that intermediate reductone compounds formed during the Maillard reaction can donate hydrogen atoms, thereby breaking radical chain reactions. This mechanism likely contributed to the observed variations in the reducing capacity of glycosylated GH.
3.6.5. Fe2⁺ Chelating Activity
Transition metal ions, such as ferrous and copper ions, are known to promote the production of hydroxyl radicals and superoxide anion radicals, which initiate a chain reaction of lipid peroxidation. Therefore, the ability to chelate metal ions can serve as an indicator of the strength of antioxidant capacity. Ferrous ions form a purplish-red complex with phenazine, with the maximum UV absorption occurring at 560 nm. As shown in Table 1, the iron ion reduction capacity of the RGP, GGP, and MGP groups was significantly increased from 41.13% to 71.95%, 63.11%, and 52.42%, respectively (p < 0.05), compared to the GP group. The extent of improvement followed the order of: RGP > GGP > MGP. However, the reduction in the DGP group to 37.28% suggests that dextran glycosylation did not enhance the ferrous ion chelation ability of the GH. It has been reported that the ion-chelating affinity of glycosylation products is attributed to the anionic nature of melanoidins, which act as chelators for transition metals, while the nitrogen atoms in their structure are capable of chelating copper ions [56]. Kim et al. [61] proved that MRPs obtained from aqueous glucose/glycine, diglycine and triglycine had higher binding (chelating) ability to iron than copper.
3.7. Glycosylation Site Analysis
During the Maillard reaction, sugar residues can react with the α-amino group at the N-terminus of proteins, the ε-amino group of lysine (Lys) residues, and the guanidine group of arginine (Arg) residues [62]. The glycosylation sites were identified through high-performance liquid chromatography–mass spectrometry (HPLC-ETD/HCD-MS/MS) following trypsin digestion [63]. Theoretically, the mass of a peptide increases by 342 Da when modified by a single molecule of maltose. For peptides with characteristic ion peaks of +1, +2, and +3 valences, the corresponding mass-to-charge ratio (m/z) will shift by 342, 171, and 114, respectively. If a peptide is modified by two molecules of maltose, the mass will increase by 684 Da.
Figure 6a presents the first-order mass spectrum of the MGP peptide fragment (GPDGNPGRDGPR). The m/z of the unglycated peptide fragment was 597.78, while the m/z shifted to 939.89 after the peptide fragment was modified by two molecules of maltose. The shift of 342 Da, due to the peptide’s two charges, indicates the presence of dual-glycated peptides. Through ETD/HCD fragmentation, a large number of c and z/b and y ions were generated from the peptides identified by the first-order scan, and the corresponding secondary mass spectrum was obtained [62]. Glycosylation modification sites were determined by analyzing the secondary mass spectrometry of the glycosylated peptides. Figure 6b shows the secondary mass spectrum of the RGP peptide fragment (DGRSFKVCQMER). A series of c and z ions are present; the glycosylation modification sites can be inferred by the increase in their mass-to-charge ratios. The molecular weight of the c3 ion was calculated to be 345.15 Da, which was consistent with the DGR molecule, indicating that the R3 residue was not modified. The molecular weight of the c6 ion was 839.35 Da, while the molecular weight of DGRSFK was 708.76 Da. The difference between the two is very close to the molecular weight of the C5H8O4 group, suggesting that K6 was modified. Using the above method, the glycosylation modification sites for the RGP, GGP, and MGP groups were identified, as shown in Table 2. Ribose, glucose, and maltose identified 17, 32, and 5 glycosylation sites, respectively. Since ribose and glucose have smaller molecular weights, they are likely to exhibit higher reactivity.
Figure 6.
MS spectra of peptide GPDGNPGRDGPR from the MGP group (a); and MS/MS spectra of peptide DGRSFKVCQMER from the RGP Group (b).
Table 2.
Glycosylated peptides of RGP, GGP and MGP.
4. Conclusions
In this study, the antifreeze and antioxidant capacities of glycosylation GH products with various molecular-weight kinds of saccharides were investigated. The conformation and structure of the GH products were analyzed using spectroscopy and mass spectrometry techniques. It showed that ribose exhibited higher glycosylation reactivity than the others. All groups were shown to inhibit the increase in myofibrillar protein turbidity, reduce conformational changes, and alleviate fluorescence group quenching in myofibrillar proteins during frozen storage, as well as to mitigate oxidative degradation, indicating that glycosylation could enhance the freezing protection ability of GH products. Moreover, among these, the GP group demonstrated the most significant effect. The ribosylation reaction showed the most prominent improvement in the antioxidant capacity of the GH. Therefore, glycosylated GH is expected to be a promising new antifreeze with superior antifreeze and antioxidant activities. Future research could focus on selecting oligosaccharides (e.g., xylooligosaccharides and carrageenan oligosaccharides) with strong antifreeze effects for glycosylation with GH, to further enhance its efficacy for applications in food preservation, biomedical fields, and other areas.
Author Contributions
Conceptualization, Y.L. and T.H.; methodology, Q.L.; software, S.Z.; validation, R.J. and Y.L.; formal analysis, Z.Q.; investigation, T.H. and Y.L.; resources, T.H. and Z.T.; data curation, H.W.; writing—original draft preparation, Y.L.; writing—review and editing, Y.L. and T.H.; visualization, S.Z.; supervision, R.J.; project administration, Y.L.; funding acquisition, T.H. and Z.T. All authors have read and agreed to the published version of the manuscript.
Funding
This research was funded by the Young Science and Technology Innovation Leading Talents of Ningbo (2023QL038), Young PHD Innovation Research Plan of Ningbo (2023J380), the Open Project Program of National R and D Center for Freshwater Fish Processing, Jiangxi Normal University (NC2FP-KF-202301).
Institutional Review Board Statement
Not applicable.
Data Availability Statement
Data are contained within the article.
Conflicts of Interest
The authors declare no conflicts of interest.
Abbreviations
The following abbreviations are used in this manuscript:
| GH | Gelatin hydrolysate |
| RGP | Ribose glycosylation product |
| GGP | Glucose glycosylation product |
| MGP | Maltose glycosylation product |
| DGP | Dextran glycosylation product |
| DC | Degree of conjugation |
| UV | Ultraviolet |
| FTIR | Fourier transform infrared |
| CG | Control group |
| CC | Commercial cryoprotectant |
| GP | Gelatin peptide |
| MGP | Maltose glycosylated peptide |
| RGP | Ribose glycosylated peptide |
| SDS-PAGE | SDS-polyacrylamide gel electrophoresis |
References
- Yu, D.W.; Regenstein, J.M.; Xia, W.S. Bio-based edible coatings for the preservation of fishery products: A Review. Crit. Rev. Food Sci. Nutr. 2019, 59, 2481–2493. [Google Scholar] [CrossRef] [PubMed]
- Dalvi-Isfahan, M.; Hamdami, N.; Le-Bail, A. Effect of freezing under electrostatic field on the quality of lamb meat. Innov. Food Sci. Emerg. Technol. 2016, 37, 68–73. [Google Scholar] [CrossRef]
- Du, X.; Li, H.J.; Dong, C.H.; Ren, Y.M.; Pan, N.; Kong, B.H.; Liu, H.Y.; Xia, X.F. Effect of ice structuring protein on the microstructure and myofibrillar protein structure of mirror carp (Cyprinus carpio L.) induced by freeze-thaw processes. LWT 2021, 139, 110570. [Google Scholar] [CrossRef]
- Ling, M.P.; Huang, J.D.; Hsiao, H.A.; Chang, Y.W.; Kao, Y.T. Risk Assessment of the Dietary Phosphate Exposure in Taiwan Population Using a Total Diet Study. Foods 2020, 9, 1574. [Google Scholar] [CrossRef]
- Damodaran, S.; Wang, S. Ice crystal growth inhibition by peptides from fish gelatin hydrolysate. Food Hydrocoll. 2017, 70, 46–56. [Google Scholar] [CrossRef]
- Nikoo, M.; Benjakul, S.; Xu, X. Antioxidant and cryoprotective effects of Amur sturgeon skin gelatin hydrolysate in unwashed fish mince. Food Chem. 2015, 181, 295–303. [Google Scholar] [CrossRef]
- Bashir, K.M.I.; Sohn, J.H.; Kim, J.S.; Choi, J.S. Identification and characterization of novel antioxidant peptides from mackerel (Scomber japonicus) muscle protein hydrolysates. Food Chem. 2020, 323, 126809. [Google Scholar] [CrossRef]
- Karnjanapratum, S.; Benjakul, S. Cryoprotective and antioxidative effects of gelatin hydrolysate from unicorn leatherjacket skin. Int. J. Refrig. 2015, 49, 69–78. [Google Scholar] [CrossRef]
- Némethy, G.; Scheraga, H.A. The structure of water and hydrophobic bonding in proteins. III. The thermodynamic properties of hydrophobic bonds in proteins1,2. J. Phys. Chem. 1962, 66, 1773–1789. [Google Scholar] [CrossRef]
- Liu, J.Y.; Shen, S.Y.; Xiao, N.Y.; Jiang, Q.Q.; Shi, W.Z. Effect of glycation on physicochemical properties and volatile flavor characteristics of silver carp mince. Food Chem. 2022, 386, 132741. [Google Scholar] [CrossRef]
- Ding, R.; Valicka, E.; Akhtar, M.; Ettelaie, R. Insignificant impact of the presence of lactose impurity on formation and colloid stabilising properties of whey protein–maltodextrin conjugates prepared via Maillard reactions. Food Struct. 2017, 12, 43–53. [Google Scholar] [CrossRef]
- Yu, B.B.; Wu, W.; Wang, B.; Zhang, N.; Bak, K.H.; Soladoye, O.P.; Aluko, R.E.; Zhang, Y.H.; Fu, Y. Maillard-reacted peptides from glucosamine-induced glycation exhibit a pronounced salt taste-enhancing effect. Food Chem. 2022, 374, 131776. [Google Scholar] [CrossRef]
- Wang, K.; Li, W.C.; Wang, K.; Hu, Z.Y.; Xiao, H.; Du, B.; Zhao, L. Structural and inflammatory characteristics of Maillard reaction products from litchi thaumatin-like protein and fructose. Food Chem. 2022, 374, 131821. [Google Scholar] [CrossRef]
- Cen, S.J.; Zhang, L.Y.; Liu, L.W.; Lou, Q.M.; Wang, C.C.; Huang, T. Phosphorylation modification on functional and structural properties of fish gelatin: The effects of phosphate contents. Food Chem. 2022, 380, 132209. [Google Scholar] [CrossRef]
- Shikama, K.; Yamazaki, T. Denaturation of catalase by freezing and thawing. Nature 1961, 190, 83–84. [Google Scholar] [CrossRef]
- Benjakul, S.; Visessanguan, W.; Ishizaki, S.; Tanaka, M. Differences in gelation characteristics of natural actomyosin from two species of bigeye snapper, Priacanthus tayenus and Priacanthus macracanthus. J. Food Sci. 2001, 66, 1311–1318. [Google Scholar] [CrossRef]
- Shi, J.; Lei, Y.T.; Shen, H.X.; Hong, H.; Yu, X.P.; Zhu, B.W.; Luo, Y.K. Effect of glazing and rosemary (Rosmarinus officinalis) extract on preservation of mud shrimp (Solenocera melantho) during frozen storage. Food Chem. 2019, 272, 604–612. [Google Scholar] [CrossRef]
- Gu, S.Y.; Wang, Z.J.; Dong, J.L.; Bao, Z.; Zeng, M.M.; He, Z.Y.; Chen, Q.M.; Chen, J. Effect of molecular weight and distribution of bovine bone gelatin on the cross-linking gelation induced by transglutaminase. Int. J. Biol. Macromol. 2025, 294, 139306. [Google Scholar] [CrossRef] [PubMed]
- Tai, Z.G.; Cai, L.; Dai, L.; Dong, L.H.; Wang, M.F.; Yang, Y.B.; Cao, Q.; Ding, Z.T. Antioxidant activity and chemical constituents of edible flower of Sophora viciifolia. Food Chem. 2011, 126, 1648–1654. [Google Scholar] [CrossRef] [PubMed]
- Girgih, A.T.; He, R.; Hasan, F.M.; Udenigwe, C.C.; Gill, T.A.; Aluko, R.E. Evaluation of the in vitro antioxidant properties of a cod (Gadus morhua) protein hydrolysate and peptide fractions. Food Chem. 2015, 173, 652–659. [Google Scholar] [CrossRef] [PubMed]
- Ge, Y.; Duan, Y.F.; Fang, G.Z.; Zhang, Y.; Wang, S. Polysaccharides from fruit calyx of Physalis alkekengi var. francheti: Isolation, purification, structural features and antioxidant activities. Carbohydr. Polym. 2009, 77, 188–193. [Google Scholar] [CrossRef]
- Meneses, N.G.T.; Martins, S.; Teixeira, J.A.; Mussatto, S.I. Influence of extraction solvents on the recovery of antioxidant phenolic compounds from brewer’s spent grains. Sep. Purif. Technol. 2013, 108, 152–158. [Google Scholar] [CrossRef]
- Tang, C.H.; Wang, X.S.; Yang, X.Q. Enzymatic hydrolysis of hemp (Cannabis sativa L.) protein isolate by various proteases and antioxidant properties of the resulting hydrolysates. Food Chem. 2009, 114, 1484–1490. [Google Scholar] [CrossRef]
- Huang, Y.M.; Chen, D.Q.; Shan, L.; Lu, Y.J.; Bai, J.H.; Fu, Y.; Zhou, Y.B.; Su, Y.; Guo, Y.L. The crucial quality marker of Panax ginseng: Glycosylated modified ribonuclease-like storage protein. Int. J. Biol. Macromol. 2024, 282, 136894. [Google Scholar] [CrossRef]
- Li, B.; Bao, Z.; Xu, W.; Chi, Y.J. Influence of glycation extent on the physicochemical and gelling properties of soybean β-conglycinin. Eur. Food Res. Technol. 2015, 240, 399–411. [Google Scholar] [CrossRef]
- Kato, A. Industrial applications of Maillard-type protein-polysaccharide conjugates. Food Sci. Technol. Res. 2002, 8, 193–199. [Google Scholar] [CrossRef]
- Li, Y.; Zhong, F.; Ji, W.; Yokoyama, W.; Shoemaker, C.F.; Zhu, S.; Xia, W.S. Functional properties of Maillard reaction products of rice protein hydrolysates with mono-, oligo- and polysaccharides. Food Hydrocoll. 2013, 30, 53–60. [Google Scholar] [CrossRef]
- Liang, Y.F.; Wang, K.; Yang, Q.F.; Zhang, L.T.; Shi, C.; Tavakoli, S.; Tan, Y.Q.; Luo, Y.K.; Hong, H. The antioxidant activities and flavor properties of glycated bighead carp meat hydrolysates produced with galactose and galacto-oligosaccharides. LWT Food Sci. Technol. 2022, 158, 113104. [Google Scholar] [CrossRef]
- Yu, X.Y.; Zhao, M.Y.; Hu, J.; Zeng, S.T.; Bai, X.L. Correspondence analysis of antioxidant activity and UV-Vis absorbance of Maillard reaction products as related to reactants. LWT Food Sci. Technol. 2012, 46, 1–9. [Google Scholar] [CrossRef]
- Chen, X.; Jiang, D.; Xu, P.P.; Geng, Z.M.; Xiong, G.Y.; Zou, Y.; Wang, D.Y.; Xu, W.M. Structural and antimicrobial properties of Maillard reaction products in chicken liver protein hydrolysate after sonication. Food Chem. 2021, 343, 128417. [Google Scholar] [CrossRef] [PubMed]
- Hong, P.K.; Ndagijimana, M.; Betti, M. Glucosamine-induced glycation of hydrolysed meat proteins in the presence or absence of transglutaminase: Chemical modifications and taste-enhancing activity. Food Chem. 2016, 197, 1143–1152. [Google Scholar] [CrossRef]
- Hong, X.; Meng, J.; Lu, R.-R. Improvement of ACE inhibitory activity of casein hydrolysate by Maillard reaction with xylose. J. Sci. Food Agric. 2015, 95, 66–71. [Google Scholar] [CrossRef] [PubMed]
- Xu, Y.J.; Zhao, Y.Q.; Wei, Z.X.; Zhang, H.; Dong, M.; Huang, M.Y.; Han, M.Y.; Han, M.Y.; Xu, X.L.; Zhou, G.H. Modification of myofibrillar protein via glycation: Physicochemical characterization, rheological behavior and solubility property. Food Hydrocoll. 2020, 105, 105852. [Google Scholar] [CrossRef]
- Jia, X.; Li, L.C.; Teng, J.W.; Li, M.J.; Long, H.; Xia, N. Glycation of rice protein and d-xylose pretreated through hydrothermal cooking-assisted high hydrostatic pressure: Focus on the structural and functional properties. LWT 2022, 160, 113194. [Google Scholar] [CrossRef]
- Gómez-Estaca, J.; Albertos, I.; Martín-Diana, A.B.; Rico, D.; Martínez-Álvarez, Ó. Protein hydrolysis and glycosylation as strategies to produce bioactive ingredients from unmarketable prawns. Foods. 2021, 10, 2844. [Google Scholar] [CrossRef] [PubMed]
- Shan, P.; Ho, C.T.; Zhang, L.; Gao, X.L.; Lin, H.; Xu, T.; Wang, B.; Fu, J.Y.; He, R.H.; Zhang, Y.Q. Degradation Mechanism of Soybean Protein B3 Subunit Catalyzed by Prolyl Endopeptidase from Aspergillus niger during Soy Sauce Fermentation. J. Agric. Food Chem. 2022, 70, 5869–5878. [Google Scholar] [CrossRef] [PubMed]
- Bu, D.; Tu, Z.C.; Wang, H.; Hu, Y.M.; Sun, Q.; Liu, G.X. Insight into the mechanism of d-allose in reducing the allergenicity and digestibility of ultrasound-pretreated α-lactalbumin by high-resolution mass spectrometry. Food Chem. 2022, 374, 131616. [Google Scholar] [CrossRef] [PubMed]
- Sun, L.B.; Wang, D.H.; Huang, Z.; Elfalleh, W.; Qin, L.X.; Yu, D.Y. Structure and flavor characteristics of Maillard reaction products derived from soybean meal hydrolysates-reducing sugars. LWT 2023, 185, 115097. [Google Scholar] [CrossRef]
- Chen, X.; Wang, S.Y. Cryoprotective effect of antifreeze glycopeptide analogues obtained by nonenzymatic glycation on Streptococcus thermophilus and its possible action mechanism. Food Chem. 2019, 288, 239–247. [Google Scholar] [CrossRef] [PubMed]
- Liu, S.C.; Zhang, L.Y.; Li, Z.Y.; Chen, J.; Zhang, Y.Y.; Yang, X.B.; Chen, Q.H.; Cai, H.Y.; Hong, P.Z.; Zhu, C.H.; et al. The cryoprotective effect of an antifreeze collagen peptide complex obtained by enzymatic glycosylation on Tilapia. Foods 2024, 13, 1319. [Google Scholar] [CrossRef]
- Zou, W.J.; Mourad, F.K.; Zhang, X.Y.; Ahn, D.U.; Cai, Z.X.; Jin, Y.G. Phase separation behavior and characterization of ovalbumin and propylene glycol alginate complex coacervates. Food Hydrocoll. 2020, 108, 105978. [Google Scholar] [CrossRef]
- Du, X.; Li, H.J.; Pan, N.; Wan, W.; Sun, F.D.; Xia, X.F.; Shao, M.L.; Wang, C.Y. Effectiveness of ice structuring protein on the myofibrillar protein from mirror carp (Cyprinus carpio L) during cryopreservation: Reduction of aggregation and improvement of emulsifying properties. Int. J. Refrig. 2022, 133, 1–8. [Google Scholar] [CrossRef]
- Li, Y.Y.; Kong, L.R.; Zhang, X.T.; Wen, R.X.; Peng, X.Y. Protection of whey polypeptide on the lipid oxidation, color, and textural stability of frozen-thawed Spanish mackerel surimi. Foods 2023, 12, 4464. [Google Scholar] [CrossRef] [PubMed]
- Walayat, N.; Wei, R.; Su, Z.C.; Lorenzo, J.M.; Nawaz, A. Effect of tea polysaccharides on fluctuated frozen storage impaired total sulfhydryl level and structural attributes of silver carp surimi proteins. Food Hydrocoll. 2024, 157, 110448. [Google Scholar] [CrossRef]
- Walayat, N.; Tang, W.; Nawaz, A.; Ding, Y.T.; Liu, J.H.; Lorenzo, J.M. Influence of Konjac oligo-glucomannan as cryoprotectant on physicochemical and structural properties of silver carp surimi during fluctuated frozen storage. LWT Food Sci. Technol. 2022, 164, 113641. [Google Scholar] [CrossRef]
- Jenkelunas, P.J.; Li-Chan, E.C.Y. Production and assessment of Pacific hake (Merluccius productus) hydrolysates as cryoprotectants for frozen fish mince. Food Chem. 2018, 239, 535–543. [Google Scholar] [CrossRef] [PubMed]
- Yu, Q.Y.; Liu, J.; Liu, Y.Y.; Zheng, Y.Y.; Pi, R.B.; Mubango, E.; Tan, Y.Q.; Luo, Y.K.; Hong, H. Inhibitive effect of cryoprotectants on the oxidative and structural changes in myofibrillar proteins of unwashed mince from silver carp during frozen storage. Food Res. Int. 2022, 161, 111880. [Google Scholar] [CrossRef] [PubMed]
- Sun, X.Y.; Li, Q.; Ding, N.; Liang, S.J.; Mubango, E.; Zheng, Y.Y.; Yu, Q.Y.; Dai, R.T.; Tan, Y.Q.; Luo, Y.K.; et al. Cryoprotective effect of fistular onion stalk polysaccharide on frozen surimi derived from bighead carp: Physicochemical properties and gel quality during storage. Food Hydrocoll. 2024, 148, 109404. [Google Scholar] [CrossRef]
- Xie, F.; Zheng, W.Q.; Fu, T.T.; Zhu, K.X.; Zhang, H.; Song, Z.B.; Ai, L.Z. Cryoprotective effect of tamarind seed polysaccharide on grass carp surimi: Characteristics, interactions, and mechanisms. Food Hydrocoll. 2024, 153, 110022. [Google Scholar] [CrossRef]
- Zhang, X.D.; Zhang, Y.Q.; Dong, Y.; Ding, H.C.; Chen, K.; Lu, T.T.; Dai, Z.Y. Study on the mechanism of protein hydrolysate delaying quality deterioration of frozen surimi. LWT 2022, 167, 113767. [Google Scholar] [CrossRef]
- Li, P.; Yang, H.; Zhu, Y.C.; Wang, Y.; Bai, D.Q.; Dai, R.T.; Ren, X.Q.; Yang, H.S.; Ma, L.Z. Influence of washing and cold storage on lipid and protein oxidation in catfish (Clarias lazera) surimi. J. Aquat. Food Prod. Technol. 2016, 25, 790–801. [Google Scholar] [CrossRef]
- Wang, L.S.; Huang, J.C.; Chen, Y.L.; Huang, M.; Zhou, G.H. Identification and characterization of antioxidant peptides from enzymatic hydrolysates of duck meat. J. Agric. Food Chem. 2015, 63, 3437–3444. [Google Scholar] [CrossRef] [PubMed]
- Han, J.R.; Zhu, Z.M.; Wu, H.T.; Sun, N.; Tang, Y.; Yu, C.P.; Zhao, C.C.; Zhang, Z.Y.; Li, A.T.; Yan, J.N. Kinetics of antioxidant-producing Maillard reaction in the mixture of ribose and sea cucumber (Stichopus japonicus) gut hydrolysates. J. Aquat. Food Prod. Technol. 2017, 26, 993–1002. [Google Scholar] [CrossRef]
- Sumaya-Martinez, M.T.; Thomas, S.; Linard, B.; Binet, A.; Guerard, F. Effect of Maillard reaction conditions on browning and antiradical activity of sugar-tuna stomach hydrolysate model system. Food Res. Int. 2005, 38, 1045–1050. [Google Scholar] [CrossRef]
- Jomova, K.; Raptova, R.; Alomar, S.Y.; Alwasel, S.H.; Nepovimova, E.; Kuca, K.; Valko, M. Reactive oxygen species, toxicity, oxidative stress, and antioxidants: Chronic diseases and aging. Arch. Toxicol. 2023, 97, 2499–2574. [Google Scholar] [CrossRef] [PubMed]
- Nooshkam, M.; Varidi, M.; Bashash, M. The Maillard reaction products as food-born antioxidant and antibrowning agents in model and real food systems. Food Chem. 2019, 275, 644–660. [Google Scholar] [CrossRef] [PubMed]
- Andrés, C.M.C.; Pérez de la Lastra, J.M.; Andrés Juan, C.; Plou, F.J.; Pérez-Lebeña, E. Superoxide anion chemistry: Its role at the core of the innate immunity. Int. J. Mol. Sci. 2023, 24, 1841. [Google Scholar] [CrossRef]
- Van Lancker, F.; Adams, A.; De Kimpe, N. Chemical modifications of peptides and their impact on food properties. Chem. Rev. 2011, 111, 7876–7903. [Google Scholar] [CrossRef] [PubMed]
- Benzie, I.F.F.; Strain, J.J. The ferric reducing ability of plasma (FRAP) as a measure of “antioxidant power”: The FRAP assay. Anal. Biochem. 1996, 239, 70–76. [Google Scholar] [CrossRef]
- Wang, W.Q.; Bao, Y.H.; Chen, Y. Characteristics and antioxidant activity of water-soluble Mail lard reaction products from interactions in a whey protein isolate and sugars system. Food Chem. 2013, 139, 355–361. [Google Scholar] [CrossRef] [PubMed]
- Kim, J.S.; Lee, Y.S. Antioxidant activity of Maillard reaction products derived from aqueous glucose/glycine, diglycine, and triglycine model systems as a function of heating time. Food Chem. 2009, 116, 227–232. [Google Scholar] [CrossRef]
- Tagami, U.; Akashi, S.; Mizukoshi, T.; Suzuki, E.; Hirayama, K. Structural studies of the Maillard reaction products of a protein using ion trap mass spectrometry. J. Mass Spectrom. 2000, 35, 131–138. [Google Scholar] [CrossRef]
- Yang, W.H.; Tu, Z.C.; Wang, H.; Zhang, L.; Xu, S.S.; Niu, C.D.; Yao, H.L.; Kaltashov, I.A. Mechanism of reduction in IgG and IgE binding of β-lactoglobulin induced by ultrasound pretreatment combined with dry-state glycation: A study using conventional spectrometry and high-resolution mass spectrometry. J. Agric. Food Chem. 2017, 65, 8018–8027. [Google Scholar] [CrossRef]
Disclaimer/Publisher’s Note: The statements, opinions and data contained in all publications are solely those of the individual author(s) and contributor(s) and not of MDPI and/or the editor(s). MDPI and/or the editor(s) disclaim responsibility for any injury to people or property resulting from any ideas, methods, instructions or products referred to in the content. |
© 2025 by the authors. Licensee MDPI, Basel, Switzerland. This article is an open access article distributed under the terms and conditions of the Creative Commons Attribution (CC BY) license (https://creativecommons.org/licenses/by/4.0/).





