-
Ecosystem Size and Functional Group Relative Abundance Drive Stream Community Body Size Structure
-
Effects of Different Organic Carbon Sources on Water Quality and Growth of Mugil cephalus Cultured in Biofloc Technology Systems
-
Lysozyme Activity in the Hemolymph of Octopus vulgaris (Cuvier, 1797) Following Challenge with Gram-Negative Bacteria: Insights into Temperature-Driven Innate Immune Response
-
The Influence of Rainbow Trout on Dwarf Galaxiid Habitat Preferences
Journal Description
Fishes
Fishes
is an international, peer-reviewed, scientific, open access journal published monthly online by MDPI. It covers fishes and aquatic animals research. The Iberian Society of Ichthyology (SIBIC) and the Brazilian Society of Aquaculture and Aquatic Biology (Aquabio) are affiliated with Fishes and their members receive a discount on the article processing charges.
- Open Access— free for readers, with article processing charges (APC) paid by authors or their institutions.
- High Visibility: indexed within Scopus, SCIE (Web of Science), PubAg, FSTA, and other databases.
- Journal Rank: JCR - Q1 (Marine and Freshwater Biology)
- Rapid Publication: manuscripts are peer-reviewed and a first decision is provided to authors approximately 20.9 days after submission; acceptance to publication is undertaken in 2.6 days (median values for papers published in this journal in the first half of 2025).
- Recognition of Reviewers: reviewers who provide timely, thorough peer-review reports receive vouchers entitling them to a discount on the APC of their next publication in any MDPI journal, in appreciation of the work done.
- Testimonials: See what our editors and authors say about Fishes.
- Companion Journal: Aquaculture Journal
Impact Factor:
2.4 (2024);
5-Year Impact Factor:
2.4 (2024)
Latest Articles
Comparative Analyses Reveal Potential Genetic Variations in Hypoxia- and Mitochondria-Related Genes Among Six Strains of Common Carp Cyprinus Carpio
Fishes 2025, 10(10), 509; https://doi.org/10.3390/fishes10100509 (registering DOI) - 9 Oct 2025
Abstract
The ability of common carp to withstand both short-term and long-term oxygen deprivation has been well documented; however, the potential genetic mechanisms behind common carp’s hypoxia response remain unclear. Therefore, to understand the possible genetic foundation of their response to hypoxia, comparative genomic
[...] Read more.
The ability of common carp to withstand both short-term and long-term oxygen deprivation has been well documented; however, the potential genetic mechanisms behind common carp’s hypoxia response remain unclear. Therefore, to understand the possible genetic foundation of their response to hypoxia, comparative genomic analyses were conducted among six common carp varieties: Color, Songpu, European, Yellow, Mirror, and Hebao common carps. We identified 118 single-copy orthologous positively selected genes (PSGs) (dN/dS > 1) in all common carps under study, with GO functions directly related to the cellular responses to hypoxia in Color and European common carp PSGs, such as oxygen transport activity, oxygen binding activity, respiratory burst activity, and superoxide anion production. The Bayes Empirical Bayes (BEB) technique identified possible amino acid substitutions in mitochondrial and hypoxic genes under positive selection. Exonic and intronic structural variations (SVs) were discovered in the CYGB2 hypoxia-related gene of Color and European common carps, as well as in several mitochondrial genes, including MRPL20, MRPL32, NSUN3, GUF1, TMEM17B, PDE12, ACAD6, and COX10 of Color, European, Songpu, Yellow, and Hebao common carps. Moreover, Color common carp and Songpu common carp were found to share the greatest percentage of collinear genes (49.8%), with seven Songpu common carp chromosomes (chr A2, chr A9, chr A13, chr B13, chr B15, chr B2, and chr B12) showing distinct translocation events with the corresponding chromosomes of Color common carp. Additionally, we found 570 translocation sites that contained 3572 translocation-related genes in Color common carp, some of which are directly relevant to mitochondrial and hypoxic GO functions and KEGG pathways. Our results offer strong genome-wide evidence of the possible evolutionary response of Cyprinus carpio to hypoxia, providing important insights into the potential molecular mechanisms that explain their survival in hypoxic environments and guiding future research into carp hypoxia tolerance.
Full article
(This article belongs to the Section Genetics and Biotechnology)
►
Show Figures
Open AccessArticle
Seasonal Variations in Density Distribution of Larimichthys polyactis in Zhejiang Coastal Waters, China
by
Xiangyu Long, Dong Wang, Pengbo Song, Mengwen Han, Rijin Jiang, Kaida Xu and Yongdong Zhou
Fishes 2025, 10(10), 508; https://doi.org/10.3390/fishes10100508 - 9 Oct 2025
Abstract
Larimichthys polyactis, a key species in East Asian coastal ecosystems, shows distinct seasonal changes in density distribution, shaped by environmental factors and migratory behaviors of two dominant populations (East China Sea and South Yellow Sea). This study explored its 2023 density dynamics
[...] Read more.
Larimichthys polyactis, a key species in East Asian coastal ecosystems, shows distinct seasonal changes in density distribution, shaped by environmental factors and migratory behaviors of two dominant populations (East China Sea and South Yellow Sea). This study explored its 2023 density dynamics in Zhejiang coastal waters using quarterly surveys across 83 stations, combined with generalized additive models (GAM) and random forest (RF) models. Results showed that RF outperformed GAM overall, with bottom dissolved oxygen (SBO), salinity, and depth as the most influential environmental drivers. Density peaked in summer (77.88 thousand ind./km2) in central and northern offshore areas, dominated by the South Yellow Sea population migrating into the region. Autumn densities (3.76 thousand ind./km2) declined sharply as populations moved to overwintering grounds, while spring (0.41 thousand ind./km2) and winter (0.26 thousand ind./km2) densities were lowest. These findings highlight the role of seasonal environmental filters and population-specific migrations in shaping distribution patterns. RF models provide robust tools for predicting habitats, supporting seasonally tailored conservation strategies to protect critical spawning, foraging, and overwintering areas, which are vital for the sustainable management of this ecologically and economically important species.
Full article
(This article belongs to the Section Biology and Ecology)
►▼
Show Figures

Figure 1
Open AccessArticle
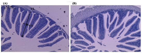
Comparative Analysis of Intestinal Morphometry in Mugil cephalus Reared in Biofloc and Water Exchange System
by
Sara Garcés, Virginia Fonseca Pedrosa, Luis Alberto Romano, Pedro Anderson de Paiva dos Santos, Luana Bortolini Giesta and Gabriele Lara
Fishes 2025, 10(10), 507; https://doi.org/10.3390/fishes10100507 - 9 Oct 2025
Abstract
This research aimed to evaluate the effect of biofloc technology on the intestinal morphometry, productive performance, and survival of juvenile Mugil cephalus. An 87-day investigation was conducted with two treatments, each with three replicates. Treatment one involved rearing juvenile M. cephalus in a
[...] Read more.
This research aimed to evaluate the effect of biofloc technology on the intestinal morphometry, productive performance, and survival of juvenile Mugil cephalus. An 87-day investigation was conducted with two treatments, each with three replicates. Treatment one involved rearing juvenile M. cephalus in a biofloc system with a C/N ratio of 15:1, and treatment two involved rearing juvenile M. cephalus with a water exchange and no carbon addition. Ninety (90) juveniles of Mugil cephalus with an average weight of 117.36 ± 6.48 g were randomly distributed into six (6) circular plastic tanks of 250 L (fifteen fish per tank). At the end of the experiment, 10% of each experimental unit’s population was sacrificed for intestinal morphometry analysis. The productive performance was evaluated every 30 days by randomly sampling fish from each tank for biometric measurements, including the specific growth rate (SGR), feed conversion ratio (FCR), condition factor (K), and survival. No structural changes were observed in the intestinal mucosa. The fish reared in biofloc exhibited a similar gut morphometry (villus length and villus thickness) compared to the fish in the water exchange system. The biofloc system does not compromise the gut health of mullet. No significant differences (p > 0.05) were observed in the final weight, weight gain (WG), daily weight gain (DWG), specific growth rate (SGR), condition factor (K), and survival between the treatments evaluated. M. cephalus can be reared using biofloc technology, demonstrating significant water savings compared to water exchange systems.
Full article
(This article belongs to the Special Issue An Issue in Honor of Yoram Avnimelech: Application of Biofloc Technology (BFT))
►▼
Show Figures

Figure 1
Open AccessArticle
Spawning Habitat Partitioning of Sympatric Salmonid Populations in the Upper Bois Brule River, Wisconsin
by
Benjamin T. Schleppenbach, Thomas R. Hrabik, Daniel D. McCann, Karen B. Gran and Greg G. Sass
Fishes 2025, 10(10), 506; https://doi.org/10.3390/fishes10100506 - 8 Oct 2025
Abstract
Spawning habitat partitioning can be important for maintaining sympatric fish species. Likewise, critical spawning habitat loss may challenge the long-term persistence of sympatric fish species. The Bois Brule River, Wisconsin, USA, is a spring-fed, western Lake Superior tributary that supports five naturally reproducing
[...] Read more.
Spawning habitat partitioning can be important for maintaining sympatric fish species. Likewise, critical spawning habitat loss may challenge the long-term persistence of sympatric fish species. The Bois Brule River, Wisconsin, USA, is a spring-fed, western Lake Superior tributary that supports five naturally reproducing populations of salmonids (native brook trout Salvelinus fontinalis; introduced brown trout Salmo trutta, rainbow trout Oncorhynchus mykiss, coho salmon O. kisutch, and chinook salmon O. tshawytscha). Given increases in recreational angler use and predicted climate-associated changes to trout stream habitat, a better understanding of species interactions during spawning is important to guide future management and conservation of these anthropogenically derived sympatric native and introduced salmonids. Our aim was to establish whether there was partitioning or overlapping in the redd site location preferences among native and introduced salmonids inhabiting the Bois Brule River. We mapped species-specific redd locations by canoe over a 15.3 river km section known to be important for salmonid spawning and evaluated physical, flow, and thermal conditions of these habitats of the Bois Brule River during 2021–2022. We found that spring spawning rainbow trout and fall spawning pacific salmonids and brown trout used the same spawning locations on mid-channel, larger gravel reefs downstream of riffle sections. Native brook trout spawned on smaller substrates with lower streamflow on the edges of the channel, with the highest spawning activity occurring in littoral areas of lentic portions of the river. Our findings provide valuable knowledge of critical spawning habitats for sympatric salmonids that may inform habitat conservation and enhancement efforts in the Bois Brule River and other Great Lakes tributaries with similar sympatric, naturally reproducing salmonids populations.
Full article
(This article belongs to the Special Issue Unraveling the Complexities of Fish Reproductive Physiology: From Molecules to Ecosystems)
Open AccessArticle
Dietary Inclusion of Micro-Algal Astaxanthin on Gut Health of Rainbow Trout Oncorhynchus mykiss: Insights from Gut Morphology, Physiological Indices and Microbiota Diversity
by
Min Zhang, Xiaowen Long, Yaopeng Li, Yong Zhang, Weihong Sun and Xugan Wu
Fishes 2025, 10(10), 505; https://doi.org/10.3390/fishes10100505 - 8 Oct 2025
Abstract
The green alga Haematococcus pluvialis, rich in natural astaxanthin, is a key feed additive for salmonid pigmentation. This study evaluated dietary micro-algal astaxanthin effects on structure, antioxidative and immune response, as well as microbiota in different gut segments of rainbow trout Oncorhynchus
[...] Read more.
The green alga Haematococcus pluvialis, rich in natural astaxanthin, is a key feed additive for salmonid pigmentation. This study evaluated dietary micro-algal astaxanthin effects on structure, antioxidative and immune response, as well as microbiota in different gut segments of rainbow trout Oncorhynchus mykiss (initial average weight: 0.67 ± 0.02 kg). Three diets contained 0 (Diet 1, control), 18.57 (Diet 2) and 31.25 mg/kg (Diet 3) micro-algal astaxanthin. After a 4-month feeding trial, dietary astaxanthin promoted the goblet cell proliferation of pyloric caeca and increased hindgut tunica muscularis thickness (p < 0.05). It also improved antioxidant capacity, characterized by the upregulation of gpx and cat expression in the midgut, accompanied by a significant decrease in MDA content (p < 0.05). Furthermore, dietary astaxanthin could upregulate tgf-β, tor1 and pcna levels in midgut and igm in hindgut, while il1β, il6, il8 and tnfα in hindgut were significantly downregulated in Diet 2 (p < 0.05). Additionally, dietary astaxanthin also enhanced the α-diversity of hindgut and altered the core microbiota (reduced Proteobacteria, increased Actinobacteria). Diet 2 increased microbic abundance associated with reducing gut inflammation and promoting nutrient absorption while decreasing that of pathogenic bacteria. Overall, dietary 18.57 mg/kg astaxanthin supplementation could promote gut structure, antioxidant and immune capacity, reduce inflammation and modulate microbiota. These findings indicate that natural astaxanthin from H. pluvialis has potential as an immunostimulant to promote gut health in salmonids.
Full article
(This article belongs to the Section Nutrition and Feeding)
►▼
Show Figures

Figure 1
Open AccessArticle
Occurrence and Community Structure of Wild Fish Within Adriatic Sea Fish Farms
by
Slavica Čolak, Ivana Zubak Čižmek, Rina Milošević, Bruna Babin, Filip Tafra, Tomislav Grgić, Tomislav Šarić, Renata Barić, Bosiljka Mustać, Ivan Župan and Lav Bavčević
Fishes 2025, 10(10), 504; https://doi.org/10.3390/fishes10100504 - 8 Oct 2025
Abstract
►▼
Show Figures
This study presents, for the first time, the occurrence and community structure of wild fish inside marine aquaculture cages of gilthead seabream (Sparus aurata), European sea bass (Dicentrarchus labrax), greater amberjack (Seriola dumerili), meagre (Argyrosomus regius
[...] Read more.
This study presents, for the first time, the occurrence and community structure of wild fish inside marine aquaculture cages of gilthead seabream (Sparus aurata), European sea bass (Dicentrarchus labrax), greater amberjack (Seriola dumerili), meagre (Argyrosomus regius), and common dentex (Dentex dentex). Coexistence of farmed and wild fish was observed only in cages of gilthead seabream and European sea bass, with wild fish constituting 0.08% of the total sampled fish biomass. Twelve wild fish species from five families were recorded: Carangidae, Clupeidae, Mugilidae, Moronidae, and Sparidae. Bogue (Boops boops) and jack mackerel (Trachurus sp.) were the most abundant. Multivariate analysis indicated that location significantly influenced the wild fish community composition, while reared species and farming duration, along with their interaction, had no significant effect. Descriptive comparisons suggested potential differences in biometric traits of bogue and jack mackerel between reared species and farming duration. The findings highlight the need for further research on wild fish in cages to better understand the potential health and biosecurity risks they may pose.
Full article

Figure 1
Open AccessArticle
Full Scale Testing of a Concept for Salinity Regulation to Mitigate Sea Lice Infestation in Salmon Farming
by
Magnus Drivdal, Thor Magne Jonassen, Albert Kjartan Dagbjartarson Imsland, Karin Bloch-Hansen, Lars Olav Sparboe, Claudia Halsband, Kristine Hopland Sperre and Tor Nygaard
Fishes 2025, 10(10), 503; https://doi.org/10.3390/fishes10100503 - 7 Oct 2025
Abstract
The large environmental and economic impact of sea lice infestation in the salmon industry has encouraged the development of non-medical methods and preventive strategies to combat sea lice infestation. Sea lice (Lepeophtheirus salmonis and Caligus elongatus) are sensitive to low salinities,
[...] Read more.
The large environmental and economic impact of sea lice infestation in the salmon industry has encouraged the development of non-medical methods and preventive strategies to combat sea lice infestation. Sea lice (Lepeophtheirus salmonis and Caligus elongatus) are sensitive to low salinities, and using fresh water as protection against infection may thus significantly reduce sea lice infestation of salmon while reducing the costs and impacts of traditional delousing methods. A new concept presented here is based on the manipulation of salinity within cages by adding fresh water to create an unfavourable environment for sea lice infestation. A full-scale set-up was tested in a salmon farm in northern Norway: two commercial-size cages with Atlantic salmon (Salmo salar) were enclosed with a 2 m deep tarpaulin skirt and supplied with fresh water at the centre to establish a surface layer with reduced salinity. Two reference cages had no skirt or fresh water supply. Time series of CTD-data showed that the fresh water supply caused a shallow and unstable salinity gradient, with salinities lower than 10 ppt measured for short periods in the upper 0.5 m. Despite these instabilities, significantly lower sea lice infestation in cages supplied with fresh water was observed, as infestation rates for pre-adult and adult stages of L. salmonis were reduced by 48% and 57%, respectively, in the treatment cages compared to controls. This preventive strategy is therefore very promising and deserves further development under more stable and controlled conditions. Future studies should focus on improving freshwater regulation, ensuring higher spatial resolution of salinity data in surface layers and documenting the effect on the more salinity-sensitive planktonic stages of L. salmonis. In addition, there is a need to examine the effectiveness of the technique at multiple sites and under a wide range of site conditions, especially various current rates through the site.
Full article
(This article belongs to the Special Issue Salmon Farming)
►▼
Show Figures

Figure 1
Open AccessArticle
Molecular Cloning and Expression Profiling of a Bax-Homologous Gene (EsBax) in the Chinese Mitten Crab (Eriocheir sinensis) Under Exogenous Stimulations
by
Mingqiao Ran, Chao Liu, Ying Deng, Wenbin Liu, Dingdong Zhang, Hengtong Liu and Cheng Chi
Fishes 2025, 10(10), 502; https://doi.org/10.3390/fishes10100502 - 7 Oct 2025
Abstract
EsBax (bcl-2 Associated X protein), a member of the bcl-2 family involved in the mitochondrial apoptosis pathway, plays a crucial role in immune response and defense in invertebrates. In this study, we successfully cloned the full-length cDNA of EsBax from the Chinese
[...] Read more.
EsBax (bcl-2 Associated X protein), a member of the bcl-2 family involved in the mitochondrial apoptosis pathway, plays a crucial role in immune response and defense in invertebrates. In this study, we successfully cloned the full-length cDNA of EsBax from the Chinese mitten crab (Eriocheir sinensis) and investigated its immune-related functions. The EsBax cDNA is 3374 bp in length, including a 1563 bp open reading frame (ORF) encoding 521 amino acids, a 142 bp 5′ untranslated region (UTR), and a 1699 bp 3′ UTR. The predicted EsBax protein has a molecular weight of 58.0786 kD, a theoretical isoelectric point of 7.28, and contains three conserved BH domains (BH1-BH3), and a transmembrane domain (TM). Amino acid sequence analysis revealed the highest sequence identity (99.42%) with E. sinensis. For the expression analysis, three biological replicates were performed for each tissue and treatment group. Real-time quantitative PCR showed that EsBax mRNA was ubiquitously expressed in all examined tissues, with the highest expression in the hepatopancreas, followed by hemocytes, intestine, gill, and the lowest in muscle. Upon stimulation with lipopolysaccharide (LPS), Aeromonas hydrophila (AH), or cycloheximide (CHX), EsBax expression increased and peaked at 24 h (LPS and CHX) or 48 h (A. hydrophila), then decreased. These results suggest that EsBax expression is dynamically responsive to exogenous stimulants (LPS, A. hydrophila, and CHX) in E. sinensis, implying a potential role of EsBax in the molecular events associated with pathogen-induced apoptosis in this species.
Full article
(This article belongs to the Special Issue Crustacean Health, Stress and Disease)
►▼
Show Figures

Figure 1
Open AccessArticle
Development of a Multiplex Polymerase Chain Reaction Method for the Simultaneous Identification of Four Species of Genus Lagocephalus (Chordata: Vertebrata)
by
Hye Min Lee, Chun Mae Dong, Mi Nan Lee, Eun Soo Noh, Jung-Ha Kang, Jong-Myoung Kim, Gun-Do Kim and Eun-Mi Kim
Fishes 2025, 10(10), 501; https://doi.org/10.3390/fishes10100501 - 7 Oct 2025
Abstract
Pufferfish are an economically important food in Asia despite the potential risk of tetrodotoxin (TTX) poisoning. To promote food safety by ensuring the correct identification of pufferfish species, we developed common and species-specific primer sets for four Lagocephalus species (Lagocephalus spadiceus,
[...] Read more.
Pufferfish are an economically important food in Asia despite the potential risk of tetrodotoxin (TTX) poisoning. To promote food safety by ensuring the correct identification of pufferfish species, we developed common and species-specific primer sets for four Lagocephalus species (Lagocephalus spadiceus, Lagocephalus cheesemanii, Lagocephalus wheeleri, and Lagocephalus inermis) based on analysis of mitochondrial DNA cytochrome c oxidase subunit I (COI) in various pufferfish species commonly distributed and/or legally sold in Korea. The common primers were developed based on complete sequence data acquired from GenBank. The total length of fragments amplified by the common primer set was 1280 bp. Then, species-specific multiplex polymerase chain reaction (PCR) amplification was conducted for the four target species, obtaining 980 bp for L. spadiceus, 859 bp for L. cheesemanii, 672 bp for L. wheeleri, and 563 bp for L. inermis. Multiplex PCR is an important tool for the simple, rapid, accurate, and simultaneous identification of target species. The newly developed primer sets will contribute to reducing the occurrence of TTX poisoning and protect consumer rights by eradicating the mislabeling or fraudulent use of pufferfish products.
Full article
(This article belongs to the Special Issue Molecular Genetics and Genomics of Marine Fishes)
►▼
Show Figures

Figure 1
Open AccessArticle
Aspects of Biology and Machine Learning for Age Prediction in the Large-Eye Dentex Dentex macrophthalmus (Bloch, 1791)
by
Dimitris Klaoudatos, Alexandros Theocharis, Chrysoula Vardaki, Elpida Pachi, Dimitris Politikos and Alexis Conides
Fishes 2025, 10(10), 500; https://doi.org/10.3390/fishes10100500 - 6 Oct 2025
Abstract
The large-eye dentex (Dentex macrophthalmus) is a relatively small sparid fish with increasing potential as a supplementary fishery resource in the Mediterranean Sea, particularly as traditional stocks face overexploitation. Despite its widespread distribution, biological data on this species, especially from Greek
[...] Read more.
The large-eye dentex (Dentex macrophthalmus) is a relatively small sparid fish with increasing potential as a supplementary fishery resource in the Mediterranean Sea, particularly as traditional stocks face overexploitation. Despite its widespread distribution, biological data on this species, especially from Greek waters, remain scarce. This study presents the first comprehensive biological assessment of D. macrophthalmus in the Pagasitikos Gulf, focusing on population structure, growth, mortality, and the application of machine learning (ML) for age prediction. A total of 305 individuals were collected, revealing a female-biased sex ratio and negative allometric growth in both somatic and otolith dimensions. The von Bertalanffy growth parameters indicated a slow growth rate (k = 0.16 year−1), with an estimated asymptotic length (L∞) of 25.97 cm. The population was found to be underexploited (E = 0.41), suggesting resilience to current fishing pressure. Stepwise regression and ML models were employed to predict age from otolith morphometrics. A linear model identified otolith weight and aspect ratio as the most significant predictors of age (R2 = 0.8). Among the ML algorithms tested, the Neural Network model achieved the highest performance (R2 = 0.764, MAPE = 14.10%), demonstrating its potential for accurate and efficient age estimation. These findings provide crucial baseline data for the sustainable management of D. macrophthalmus and highlight the value of integrating advanced ML techniques into fisheries biology.
Full article
(This article belongs to the Section Biology and Ecology)
►▼
Show Figures

Graphical abstract
Open AccessArticle
Metabolomic and Transcriptomic Analyses of Soft-Body Coloration in Jinjiang Oyster (Crassostrea ariakensis)
by
Zhuanzhuan Li, Shuqi Zhao, Jianing Yu, Biao Wu, Peizhen Ma, Xiujun Sun, Liqing Zhou and Zhihong Liu
Fishes 2025, 10(10), 499; https://doi.org/10.3390/fishes10100499 - 3 Oct 2025
Abstract
The coloration of shellfish significantly influences both environmental adaptability and economic value. In the Jinjiang oyster (Crassostrea ariakensis), soft-body color varies between individuals, with an orange-yellow phenotype distinct from the milky white coloration of the wild type. To elucidate the compositional
[...] Read more.
The coloration of shellfish significantly influences both environmental adaptability and economic value. In the Jinjiang oyster (Crassostrea ariakensis), soft-body color varies between individuals, with an orange-yellow phenotype distinct from the milky white coloration of the wild type. To elucidate the compositional differences and molecular mechanisms underlying orange-yellow (designated as CaR) versus milky white (CaW) soft-body color in C. ariakensis, we conducted comparative ultra-high-performance liquid chromatography–tandem mass spectrometry (UHPLC-MS/MS) non-targeted and transcriptomic analyses. A total of 280 differential accumulation metabolites (DAMs) and 691 differentially expressed genes (DEGs) were detected between the CaR and CaW groups. The metabolite set enrichment analysis (MSEA) revealed that DAMs were significantly enriched in pigment metabolism pathways, including tyrosine metabolism, porphyrin metabolism, and lipid metabolism. Furthermore, genes associated with melanin synthesis and carotenoids conversions or transports were upregulated in the CaR vs. CaW group. These genes included Cyp4z1, Cyp4f22, Cyp17a1, Cyp1a5, Cyp2d28a, Lrp4, Aldh, and Tyr-3, potentially driving the accumulation of pheomelanin and carotenoids. This study demonstrates the vital roles of melanin and carotenoid metabolism in Jinjiang oyster body color formation, providing key insights into the molecular mechanisms of color determination in shellfish.
Full article
(This article belongs to the Special Issue Germplasm Resources and Genetic Breeding of Aquatic Animals)
►▼
Show Figures

Figure 1
Open AccessEditorial
Sustainable Innovations in Shrimp Aquaculture: Current Advances and Future Horizons
by
Wujie Xu
Fishes 2025, 10(10), 498; https://doi.org/10.3390/fishes10100498 - 3 Oct 2025
Abstract
With global seafood demand projected to increase by 38% by 2050 [...]
Full article
(This article belongs to the Special Issue Advances in Shrimp Aquaculture: Management and Sustainability)
Open AccessEditorial
Underwater Acoustic Technologies for Sustainable Fisheries
by
Jianfeng Tong, Yong Tang and Tohru Mukai
Fishes 2025, 10(10), 497; https://doi.org/10.3390/fishes10100497 - 3 Oct 2025
Abstract
Underwater acoustic technologies have emerged as indispensable tools for advancing research, management, and conservation across aquatic ecosystems [...]
Full article
(This article belongs to the Special Issue Underwater Acoustic Technologies for Sustainable Fisheries)
Open AccessArticle
Nanopore-Based Metagenomic Approaches for Detection of Bacterial Pathogens in Recirculating Aquaculture Systems
by
Diego Valenzuela-Miranda, María Morales-Rivera, Jorge Mancilla-Schutz, Alberto Sandoval, Valentina Valenzuela-Muñoz and Cristian Gallardo-Escárate
Fishes 2025, 10(10), 496; https://doi.org/10.3390/fishes10100496 - 2 Oct 2025
Abstract
The microbial community in a recirculating aquaculture system (RAS) is pivotal in fish health, contributing significantly to the productive performance during the growing-out phase. Classical and molecular methods using PCR for species-specific amplifications have traditionally been used for bacterial community surveillance. Unfortunately, these
[...] Read more.
The microbial community in a recirculating aquaculture system (RAS) is pivotal in fish health, contributing significantly to the productive performance during the growing-out phase. Classical and molecular methods using PCR for species-specific amplifications have traditionally been used for bacterial community surveillance. Unfortunately, these approaches mask the real bacterial diversity and abundance, population dynamics, and prevalence of pathogenic bacteria. In this study, we explored the use of Oxford Nanopore Technology to characterize the microbiota and functional metagenomics in a commercial freshwater RAS. Intestine samples from Atlantic salmon (Salmo salar (85 ± 5.7 g)) and water samples from the inlet/outlet water, settling tank, and biofilters were collected. The full-length 16S rRNA gene was sequenced to reconstruct the microbial community, and bioinformatic tools were applied to estimate the functional potential in the RAS and fish microbiota. The analysis showed that bacteria involved in denitrification processes were found in water samples, as well as metabolic pathways related to hydrogen sulfide metabolism. Observations suggested that fish classified as sick exhibited decreased microbial diversity compared with fish without clinical symptomatology (p < 0.05). Proteobacteria were predominant in ill fish, and pathogens of the genera Aeromonas, Aliivibrio, and Vibrio were detected in all intestinal samples. Notably, Aliivibrio wodanis was detected in fish showing abnormal clinical conditions. Healthy salmon showed higher contributions of pathways related to amino acid metabolism and short-chain fatty acid fermentation (p < 0.05), which may indicate more favorable fish conditions. These findings suggest the utility of nanopore sequencing methods in assessing the microbial community in RASs for salmon aquaculture.
Full article
(This article belongs to the Special Issue Infection and Detection of Bacterial Pathogens in Aquaculture)
►▼
Show Figures

Figure 1
Open AccessArticle
Ecology of River Dolphins and Fish at Confluence Aggregations in the Peruvian Amazon
by
Richard Bodmer, Peter Henderson, Claire Spence, Tara A. O. Garraty, Kimberlyn Chota, Paola Uraco, Miguel Antunez, Tula Fang, Jack Butcher, Jake E. Bicknell, Osnar Pizuri and Pedro Mayor
Fishes 2025, 10(10), 495; https://doi.org/10.3390/fishes10100495 - 2 Oct 2025
Abstract
Amazon River dolphins often form multi-species aggregations at water confluences. This study used a multi-year data set to examine dolphins, fish, and geomorphology at dolphin aggregations. Methods included dolphin transect surveys, dolphin point counts, net and line fish captures, side-scan sonar, and eDNA
[...] Read more.
Amazon River dolphins often form multi-species aggregations at water confluences. This study used a multi-year data set to examine dolphins, fish, and geomorphology at dolphin aggregations. Methods included dolphin transect surveys, dolphin point counts, net and line fish captures, side-scan sonar, and eDNA analyses at five dolphin aggregations and two control sites. Amazon River dolphins (Inia geoffrensis and Sotalia fluviatlis) are typically found at aggregation sites that occur at water confluences that have greater dolphin numbers than control sites. The confluences had riverbed depressions averaging six metres in depth where fish were concentrated. Pink river dolphins preferred to form aggregations in flooded forest tributaries and large rivers, while grey river dolphins preferred the larger rivers. There were eighty-nine fish species at the confluences within the size of fish consumed by dolphins, and a higher abundance of fish occurred in and around the aggregation sites compared to control sites. The number of dolphins present at the aggregation sites correlated with fish abundance. Dolphin life history, such as fishing, resting, raising calves, and social interactions, occur at the aggregation sites. The aggregation sites are important conservation areas of the endangered pink and grey river dolphins, and through their folklore, Indigenous people living at confluence sites assist in the conservation of the aggregations and have lived with dolphins at confluences for thousands of years, contributing to their survival.
Full article
(This article belongs to the Section Biology and Ecology)
►▼
Show Figures

Figure 1
Open AccessArticle
Bias-Adjusting Observer Species Composition Estimates of Tuna Caught by Purse-Seiners Using Port-Sampling Data: A Mixed-Effects Modeling Approach Based on Paired Well-Level Data
by
Cleridy E. Lennert-Cody, Cristina De La Cadena, Luis Chompoy, Mark N. Maunder, Daniel W. Fuller, Ernesto Altamirano Nieto, Mihoko Minami and Alexandre Aires-da-Silva
Fishes 2025, 10(10), 494; https://doi.org/10.3390/fishes10100494 - 2 Oct 2025
Abstract
For large-scale tropical tuna purse-seine fisheries, it is prohibitively costly to obtain adequate sampling coverage to estimate fleet-level catch composition solely from sample data. Logbook or observer data, with complete fleet coverage, are often available but may be considered unreliable for species composition.
[...] Read more.
For large-scale tropical tuna purse-seine fisheries, it is prohibitively costly to obtain adequate sampling coverage to estimate fleet-level catch composition solely from sample data. Logbook or observer data, with complete fleet coverage, are often available but may be considered unreliable for species composition. Previous studies have developed models, trained with sample data, to predict set-level species compositions based on environmental and operational covariates. Here, models were developed to predict well-level species composition from uncorrected observer data and covariates affecting the observers’ view of the catch during loading, with port-sampling data as the response variable. The analysis used paired, well-level data from sets made on floating objects by the Eastern Pacific Ocean tuna purse-seine fleet during 2023–2024. Results indicated that, overall, observer data proportions of bigeye (BET) and yellowfin tunas tended to be greater than the model-estimated proportions, with the opposite occurring for skipjack tuna (SKJ). However, vessel effects sometimes modified these tendencies. Model complexity was greatest for BET and least for SKJ. For BET, observer data proportions and model-estimated proportions were more similar when the vessel had a hopper. They were also more similar in 2023 as compared to 2024, suggesting sample data for bias adjustments should be collected annually. The approach shows potential for predicting the species composition of unsampled wells.
Full article
(This article belongs to the Special Issue Fishing Gear Technology and Conservation of Fishery Resources)
►▼
Show Figures

Figure 1
Open AccessArticle
circRNA Profiling Reveals Regulatory Networks Underlying Gonadal Differentiation in Nile Tilapia (Oreochromis niloticus)
by
Mengfan Wu, Shangqi Li, Shen Huang, Wenzheng Sun, Xingxing Guo, Yanbin Zhang, Yiyun Du, You Wu, Linyan Zhou and Jian Xu
Fishes 2025, 10(10), 493; https://doi.org/10.3390/fishes10100493 - 2 Oct 2025
Abstract
The Nile tilapia (Oreochromis niloticus), a key aquaculture species, displays marked sexual growth dimorphism, with males growing faster than females. This process is governed by intricate interactions between antagonistic regulators, including transcription factors, growth factors, and steroid hormones, operating through sex-specific
[...] Read more.
The Nile tilapia (Oreochromis niloticus), a key aquaculture species, displays marked sexual growth dimorphism, with males growing faster than females. This process is governed by intricate interactions between antagonistic regulators, including transcription factors, growth factors, and steroid hormones, operating through sex-specific developmental pathways. While circular RNAs (circRNAs) are known to modulate gene expression by sponging microRNAs (miRNAs), their role in teleost sex differentiation remains poorly understood. To address this gap, we profiled circRNA expression in tilapia gonads by constructing six circRNA libraries from testes and ovaries of 180 days after hatching (dah) fish, followed by high-throughput sequencing. We identified 6564 gonadal circRNAs distributed across all 22 linkage groups, including 226 differentially expressed circRNAs (DECs; 108 testis-biased, 118 ovary-biased). Functional enrichment analysis linked their host genes to critical pathways such as cAMP signaling, cell adhesion molecules, and—notably—sexual differentiation processes (e.g., estrogen signaling, oocyte meiosis, and steroid hormone biosynthesis). Furthermore, we deciphered competing endogenous RNA (ceRNA) networks, uncovering circRNA–miRNA–mRNA interactions targeting germ cell determinants, sex-specific transcription factors, and steroidogenic enzymes. This study provides the first systematic exploration of circRNA involvement in tilapia sex differentiation and gonadal differentiation, offering novel insights into the post-transcriptional regulation of sexual dimorphism. Our findings advance the understanding of circRNA biology in fish and establish a framework for future studies on aquaculture species with similar reproductive strategies.
Full article
(This article belongs to the Special Issue Molecular Mechanisms of Fish Sex Differentiation and Sexual Plasticity)
►▼
Show Figures

Figure 1
Open AccessArticle
Anthropogenic Microparticles in Aquaculture and Wild Fish: A Case Study of Three Commercially Important Species in the Eastern Mediterranean
by
Aikaterini Kostoula, Eugenia Moschou-Kounopioti, Niki Milatou and Persefoni Megalofonou
Fishes 2025, 10(10), 492; https://doi.org/10.3390/fishes10100492 - 2 Oct 2025
Abstract
Over the past decade, increasing attention has been given to the impacts of anthropogenic microparticle (AM) pollution on marine ecosystems. This study investigates AM ingestion in three commercially important fish species—Sparus aurata Linnaeus, 1758, Dicentrarchus labrax Linnaeus, 1758, and Boops boops Linnaeus,
[...] Read more.
Over the past decade, increasing attention has been given to the impacts of anthropogenic microparticle (AM) pollution on marine ecosystems. This study investigates AM ingestion in three commercially important fish species—Sparus aurata Linnaeus, 1758, Dicentrarchus labrax Linnaeus, 1758, and Boops boops Linnaeus, 1758—collected from both wild and farmed populations in Greek marine and lagoon environments. A total of 60 specimens were sampled from the Messolonghi Lagoon, Rhodes Island, and the Cyclades. AM were detected in 61.7% of the individuals analyzed. The mean number of ingested items per individual was 1.1 ± 1.2 in B. boops, 1.0 ± 1.7 in wild and 2.3 ± 2.1 in farmed S. aurata, and 2.5 ± 3.1 in wild and 3.6 ± 2.2 in farmed D. labrax. Ingestion ranged from 0 to 9 items per fish. No significant correlations were found between fish size and either the number or the size of ingested AM in any species. The ingested AM were primarily classified as fibers and fragments, displaying variability in size and color. Black was the dominant color across all species, followed by red and blue, while yellow was rarely observed. A statistically significant difference in the mean size of AM was recorded between wild and farmed D. labrax, whereas no such difference was observed for S. aurata. Overall, these findings provide new evidence on AM contamination in seafood species and highlight their occurrence in both natural and aquaculture environments of the eastern Mediterranean.
Full article
(This article belongs to the Section Biology and Ecology)
►▼
Show Figures

Figure 1
Open AccessArticle
Assessment of Egg Yolk IgY Antibodies Against Live or Inactivated Aeromonas hydrophila for Polyvalent Passive Immunization in Goldfish (Carassius auratus)
by
Pan Cui, Jing Chen, Huihui Xiao, Xixian Che, Shujun Sun, Zijian Ma, Juan Lu, Gaoxiao Xu and Xiang Liu
Fishes 2025, 10(10), 491; https://doi.org/10.3390/fishes10100491 - 1 Oct 2025
Abstract
Egg yolk IgY antibody has significant application potential in aquaculture as a form of passive immunotherapy against various bacterial infections owing to its capacity for large-scale and cost-effective production. In this research, laying hens were immunized with live or inactivated Aeromonas hydrophila to
[...] Read more.
Egg yolk IgY antibody has significant application potential in aquaculture as a form of passive immunotherapy against various bacterial infections owing to its capacity for large-scale and cost-effective production. In this research, laying hens were immunized with live or inactivated Aeromonas hydrophila to produce IgY antibodies. Following this, experiments were carried out to assess the passive immune protection rates of the two types of IgY antibodies when used to immunize goldfish (Carassius auratus), which were then infected with A. hydrophila or Aeromonas veronii. ELISA experiments were conducted to demonstrate the interaction between the IgY antibodies and the bacteria. The kidneys of C. auratus were coated on a Luria–Bertani (LB) medium to evaluate bacterial content. The leukocyte phagocytosis was detected by a cell phagocytosis assay. The serum of C. auratus was used to assess the expression of antioxidant factors, and a qRT-PCR was conducted to evaluate the mRNA expression of inflammatory factors in visceral tissue. Furthermore, histopathology and immunofluorescence analysis were performed to evaluate the structural integrity, apoptosis, and DNA damage of visceral tissues. The results indicated that the live or inactivated A. hydrophila IgY antibodies exhibited passive immune protection rates against A. hydrophila and A. veronii and could recognize these two bacteria in vitro. Additionally, these two IgY improved the phagocytic ability of leukocytes, diminished renal bacterial concentration, and decreased the levels of antioxidant factors and mRNA expression of inflammatory factors. Meanwhile, the two IgY antibodies did not cause any pathology of the kidney, spleen, and intestine, and decreased the levels of DNA damage factor (γH2A.X) and cell apoptosis factor (p53) in renal tissue. Therefore, live and inactivated A. hydrophila IgY antibodies can resist bacterial infections, with live bacteria IgY providing greater protection than inactivated bacteria IgY. Further, A. hydrophila is an aquatic pathogen that causes minimal damage to laying hens, and the immunity of live A. hydrophila conforms to animal welfare. Altogether, live A. hydrophila IgY antibody can serve as a polyvalent passive immune vaccine candidate in aquaculture.
Full article
(This article belongs to the Section Welfare, Health and Disease)
►▼
Show Figures

Figure 1
Open AccessArticle
Effect of Shading Ratio on Japanese Sea Bass (Lateolabrax japonicus) and Asian Sea Bass (Lates calcarifer) Aquaculture
by
Yao-Chen Lee, I-Pei Kuo, Yung-Ting Chung and Shuenn-Der Yang
Fishes 2025, 10(10), 490; https://doi.org/10.3390/fishes10100490 - 1 Oct 2025
Abstract
Floating photovoltaic arrays on ponds may alter thermal and optical conditions that are relevant to aquaculture performance. This study compared 0% and 40% surface shading in two outdoor earthen-pond trials, one with Asian sea bass (Lates calcarifer) and one with Japanese
[...] Read more.
Floating photovoltaic arrays on ponds may alter thermal and optical conditions that are relevant to aquaculture performance. This study compared 0% and 40% surface shading in two outdoor earthen-pond trials, one with Asian sea bass (Lates calcarifer) and one with Japanese sea bass (Lateolabrax japonicus). Temperature was logged hourly and summarized as daily means; water quality was sampled biweekly; fish were measured repeatedly, with endpoint growth compared within species. The result shows that shading lowered pond temperature and the diurnal temperature range and reduced the number of days above species benchmark temperatures. Indicators associated with phytoplankton, including suspended solids and chlorophyll a, were lower under shading, whereas dissolved inorganic nutrients were higher. In the Japanese sea bass trial, dissolved oxygen was higher without shading. Final body weight did not differ between treatments within either trial, but survival was higher with 40% shading. Principal component analysis and permutational multivariate analysis of variance indicated a treatment signal in multivariate water quality. Because the trials occurred in different years with one pond per treatment, inference was restricted to contrasts within each species. Overall, moderate surface shading cooled ponds and altered water quality without reducing growth.
Full article
(This article belongs to the Section Sustainable Aquaculture)
►▼
Show Figures

Figure 1

Journal Menu
► ▼ Journal Menu-
- Fishes Home
- Aims & Scope
- Editorial Board
- Reviewer Board
- Topical Advisory Panel
- Instructions for Authors
- Special Issues
- Topics
- Sections & Collections
- Article Processing Charge
- Indexing & Archiving
- Editor’s Choice Articles
- Most Cited & Viewed
- Journal Statistics
- Journal History
- Journal Awards
- Society Collaborations
- Conferences
- Editorial Office
Journal Browser
► ▼ Journal BrowserHighly Accessed Articles
Latest Books
E-Mail Alert
News
Topics
Topic in
Biology, Data, Diversity, Fishes, Animals, Conservation, Hydrobiology
Intersection Between Macroecology and Data Science
Topic Editors: Paulo Branco, Gonçalo DuarteDeadline: 30 November 2025
Topic in
Animals, Antioxidants, Fishes, Biology
Immunology and Disease Prevention and Control in Aquatic Animals
Topic Editors: Hongliang Zuo, Jiejie Sun, Linwei YangDeadline: 31 August 2026
Topic in
Fishes, Foods, Microplastics, Veterinary Sciences, Poultry, Animals, Ruminants
Micro- and Nanoplastics in Animals and Livestock Production
Topic Editors: Sonia Tassone, Beniamino T. Cenci-Goga, Samia Ben Said, Khalil AbidDeadline: 31 December 2026

Conferences
Special Issues
Special Issue in
Fishes
Community Ecology of Freshwater Animals and Biodiversity
Guest Editors: Joaquim José Barreira de Jesus, Rui Manuel Vitor Cortes, João OliveiraDeadline: 15 October 2025
Special Issue in
Fishes
Advances in Germplasm Resources and Genetic Breeding of Aquatic Animals
Guest Editors: Li-Min Wu, Dong-Neng Jiang, Qing-Ping XieDeadline: 15 October 2025
Special Issue in
Fishes
Fisheries Monitoring and Management
Guest Editor: Jing YuDeadline: 15 October 2025
Special Issue in
Fishes
Molecular Mechanism of Fish Immune Response to Pathogens
Guest Editor: Qiuning LiuDeadline: 17 October 2025