The Neural Basis of a Cognitive Function That Suppresses the Generation of Mental Imagery: Evidence from a Functional Magnetic Resonance Imaging Study
Abstract
1. Introduction
2. Materials and Methods
2.1. Participants
2.2. Materials
2.3. Apparatus
2.4. Procedure
2.5. fMRI Data Acquisition and Data Analysis
2.5.1. fMRI Data Acquisition
2.5.2. fMRI Data Analysis
3. Results
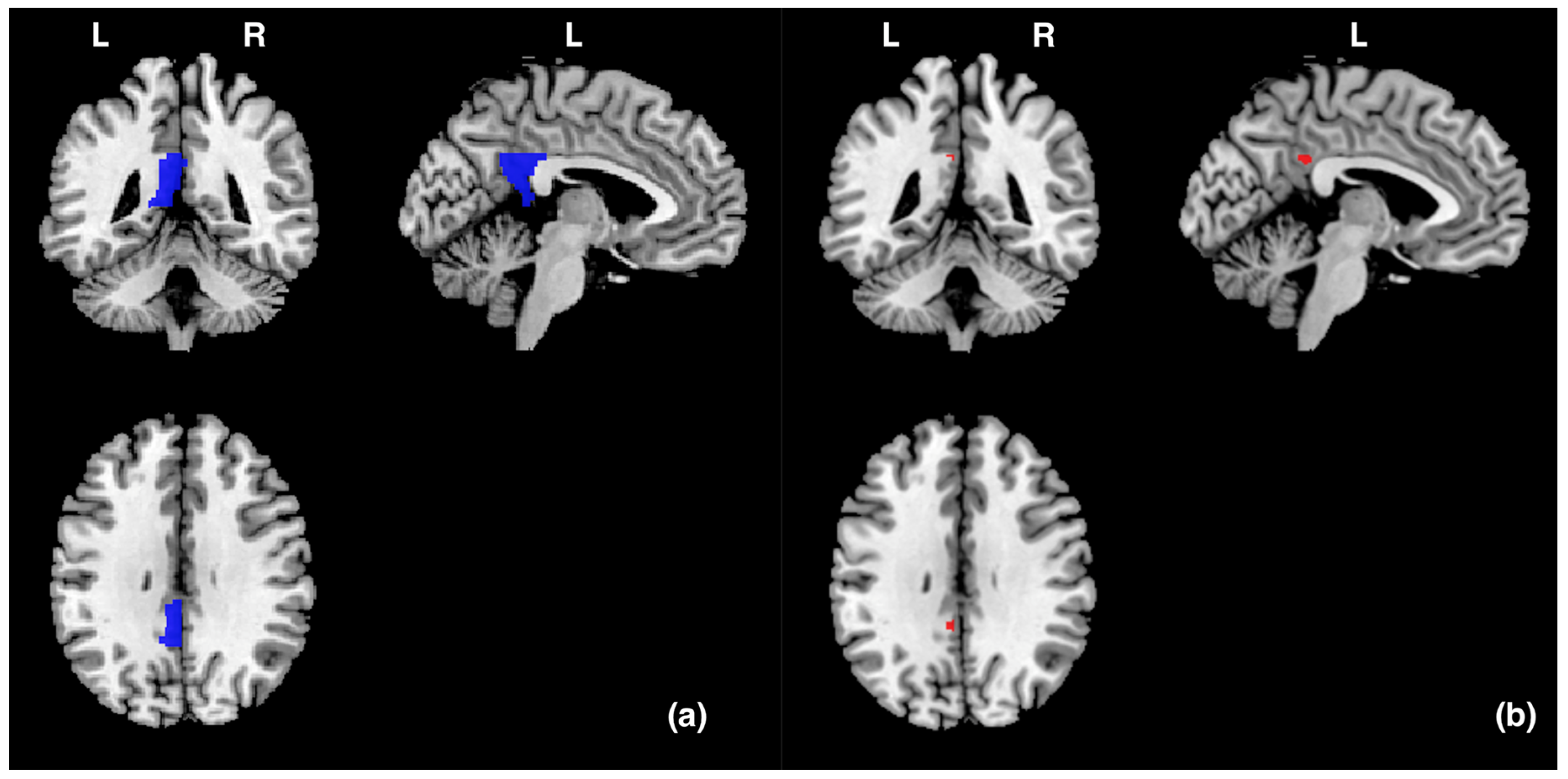
3.1. Brain Activity in Left Posterior Cingulate Gyrus
3.2. Relationship between MRI Signal Changes in the Activated Area (−4, −44, 32) and the Participants’ Subjective Richness Ratings of the Pictures
3.3. Relationship between MRI Signal Changes in the Activated Area (−4, −44, 32) and the Vividness of Imagery
4. Discussion
5. Limitations and Implications of this Study
6. Conclusions
Author Contributions
Funding
Institutional Review Board Statement
Informed Consent Statement
Data Availability Statement
Acknowledgments
Conflicts of Interest
Appendix A




Appendix B




| 1 | Previous research has not only shown that negative imageries are less vivid than positive ones, but also that negative autobiographical memories are less likely to be recalled. For example, involuntary autobiographical memories in everyday life have been shown to be more positive and neutral than those with negative emotions [42], and voluntary autobiographical memories are also more positive than negative, despite being weaker than involuntary autobiographical memories [43]. When participants in their 20s to 90s were asked about their involuntary autobiographical memories, it was found that they had more happy and mixed emotional memories than sad ones [44]. |
| 2 | Intrusive imagery, a type of negative imagery that is a clinical symptom of PTSD flashbacks, depression, and anxiety, has been shown to be extremely vivid [45]. Motoyama and Hishitani (2016) described negative imagery as being more vague than positive imagery [24]. However, the negative imagery that they focused on was not intrusive imagery but rather imagery that was intentionally generated by healthy individuals. Therefore, the vague negative imagery described by Motoyama and Hishitani (2016) does not include intrusive imagery. |
| 3 | In this experiment, we used the term “vividness” when participants rated the vividness of the generated imageries in the positive imagery condition, and we used the term “richness” when participants rated the clarity of the presented picture in the picture observation condition. |
References
- Hishitani, S.; Miyazaki, T.; Motoyama, H. Some mechanisms responsible for the vividness of mental imagery: Suppressor, closer, and other functions. J. Ment. Imag. 2011, 35, 5–32. Available online: http://hdl.handle.net/2115/47716 (accessed on 8 January 2024).
- Kosslyn, S.M. Image and Mind; Harvard University Press: Cambridge, MA, USA, 1980. [Google Scholar]
- Kosslyn, S.M.; Thompson, W.L.; Ganis, G. The Case for Mental Imagery; Oxford University Press: New York, NY, USA, 2006. [Google Scholar] [CrossRef]
- Pearson, D.G. Imagery and the visuo-spatial sketchpad. In Working Memory in Perspective; Andrade, J., Ed.; Psychology Press: London, UK, 2001; pp. 33–59. [Google Scholar]
- Pearson, D.G.; Logie, R.H.; Gilhooly, K.J. Verbal representation and spatial manipulation during mental synthesis. Eur. J. Cogn. Psychol. 1999, 11, 295–314. [Google Scholar] [CrossRef]
- Pearson, D.G.; Logie, R.H.; Green, C. Mental manipulation, visual working memory, and executive processes. Psychol. Beitr. 1996, 38, 324–342. [Google Scholar]
- Kosslyn, S.M. Image and Brain: The Resolution of the Imagery Debate; MIT Press: Cambridge, MA, USA, 1994. [Google Scholar] [CrossRef]
- Brooks, L.R. The suppression of visualization by reading. Q. J. Exp. Psychol. 1967, 19, 289–299. [Google Scholar] [CrossRef]
- Chang, S.; Lewis, D.E.; Pearson, J. The functional effects of color perception and color imagery. J. Vis. 2013, 13, 1168. [Google Scholar] [CrossRef]
- Craver-Lemley, C.; Arterberry, M.; Reeves, A. Effects of imagery on vernier acuity under conditions of induced depth. J. Exp. Psychol. Hum. Percept. Perform. 1997, 23, 3–13. [Google Scholar] [CrossRef]
- Craver-Lemley, C.; Arterberry, M.; Reeves, A. “Illusory” illusory conjunctions: The conjoining of features of visual and imagined stimuli. J. Exp. Psychol. Hum. Percept. Perform. 1999, 25, 1036–1049. [Google Scholar] [CrossRef]
- Craver-Lemley, C.; Reeves, A. Visual imagery selectively reduces vernier acuity. Perception 1987, 16, 599–614. [Google Scholar] [CrossRef]
- Craver-Lemley, C.; Reeves, A. How visual imagery interferes with vision. Psychol. Rev. 1992, 99, 633–649. [Google Scholar] [CrossRef]
- Ishai, A.; Sagi, D. Visual imagery: Effects of short- and long-term memory. J. Cogn. Neurosci. 1997, 9, 734–742. [Google Scholar] [CrossRef][Green Version]
- Keogh, R.; Pearson, J. Mental imagery and visual working memory. PLoS ONE 2011, 6, e29221. [Google Scholar] [CrossRef] [PubMed]
- Keogh, R.; Pearson, J. The sensory strength of voluntary visual imagery predicts visual working memory capacity. J. Vis. 2014, 14, 7. [Google Scholar] [CrossRef] [PubMed]
- Keogh, R.; Pearson, J. The perceptual and phenomenal capacity of mental imagery. Cognition 2017, 162, 124–132. [Google Scholar] [CrossRef] [PubMed]
- Kwok, E.L.; Leys, G.; Koenig-Robert, R.; Pearson, J. Measuring Thought-Control Failure: Sensory Mechanisms and Individual Differences. Psychol. Sci. 2019, 30, 811–821. [Google Scholar] [CrossRef] [PubMed]
- Reeves, A. Visual imagery lowers sensitivity to hue-varying, but not to luminance-varying, visual stimuli. Percept. Psychophys. 1981, 29, 247–250. [Google Scholar] [CrossRef] [PubMed]
- Reeves, A.; Craver-Lemley, C. Unmasking the Perky effect: Spatial extent of image interference on visual acuity. Front. Psychol. 2012, 3, 296. [Google Scholar] [CrossRef] [PubMed]
- Segal, S.J.; Fusella, V. Influence of imaged pictures and sounds on detection of visual and auditory signals. J. Exp. Psychol. 1970, 83, 458–464. [Google Scholar] [CrossRef] [PubMed]
- Sherwood, R.; Pearson, J. Closing the mind’s eye: Incoming luminance signals disrupt visual imagery. PLoS ONE 2010, 5, e15217. [Google Scholar] [CrossRef] [PubMed]
- Kosslyn, S.M. Seeing and imaging in the cerebral hemispheres: A computational approach. Psychol. Rev. 1987, 94, 148–175. [Google Scholar] [CrossRef]
- Motoyama, H.; Hishitani, S. The brain mechanism that reduces the vividness of negative imagery. Conscious. Cogn. 2016, 39, 59–69. [Google Scholar] [CrossRef]
- Bywaters, M.; Andrade, J.; Turpin, G. Intrusive and non-intrusive memories in a non-clinical sample: The effects of mood and affect on imagery vividness. Memory 2004, 12, 467–478. [Google Scholar] [CrossRef] [PubMed]
- Hertel, P.T.; Parks, C. Emotional episodes facilitate word recall. Cogn. Emot. 2002, 16, 685–694. [Google Scholar] [CrossRef]
- Hishitani, S. Toward a deeper understanding of vividness: Some points inspired from McKelvie’s Article. J. Ment. Imag. 1995, 19, 139–143. [Google Scholar]
- Segal, S.J.; Fusella, V. Effect of images in six sense modalities on detection of visual signal from noise. Psychon. Sci. 1971, 24, 55–56. [Google Scholar] [CrossRef][Green Version]
- Oldfield, R.C. The assessment and analysis of handedness: The Edinburgh inventory. Neuropsychologia 1971, 9, 97–113. [Google Scholar] [CrossRef] [PubMed]
- Miyazaki, T.; Motoyama, H.; Hishitani, S. Emotional values for nouns and epithets: Standardization on the positive-negative dimension. Jpn. J. Ment. Imag. 2003, 1, 48–59. Available online: http://hdl.handle.net/2115/44490 (accessed on 8 April 2024).
- Nova Development. Art Explosion 750,000 for Macintosh; Nova Development: Calabasas, CA, USA, 2003; Available online: http://usa.novadevelopment.com/company/reseller_center/ArtExplosion750000.aspx (accessed on 8 April 2024).
- Hishitani, S.; Motoyama, H. The trial manufacture of switch box for fMRI experiment. In Hardware and Software for Psychology Laboratories; Hishitani, S., Ed.; Nakanishiya Shuppan: Kyoto, Japan, 2009; pp. 203–211. [Google Scholar]
- Maldjian, J.A.; Laurienti, P.J.; Burdette, J.H. Precentral gyrus discrepancy in electronic versions of the Talairach atlas. NeuroImage 2004, 21, 450–455. [Google Scholar] [CrossRef]
- Maldjian, J.A.; Laurienti, P.J.; Kraft, R.A.; Burdette, J.B. An automated method for neuroanatomic and cytoarchitectonic atlas-based interrogation of fMRI data sets. NeuroImage 2003, 19, 1233–1239. [Google Scholar] [CrossRef]
- Tzourio-Mazoyer, N.; Landeau, B.; Papathanassiou, D.; Crivello, F.; Etard, O.; Delcroix, N.; Mazoyer, B.; Joliot, M. Automated anatomical labeling of activations in SPM using a macroscopic anatomical parcellation of the MNI MRI single-subject brain. Neuroimage 2002, 15, 273–289. [Google Scholar] [CrossRef]
- Brett, M.; Anton, J.L.; Valabregue, R.; Poline, J.B. Region of interest analysis using an SPM toolbox. In Proceedings of the 8th International Conference on Functional Mapping of the Human Brain, Sendai, Japan, 2–6 June 2002. [Google Scholar]
- Buckner, R.L.; Andrews-Hanna, J.R.; Schacter, D.L. The brain’s default network: Anatomy, function, and relevance to disease. Ann. New York Acad. Sci. 2008, 1124, 1–38. [Google Scholar] [CrossRef]
- Greicius, M.D.; Krasnow, B.; Reiss, A.L.; Menon, V. Functional connectivity in the resting brain: A network analysis of the default mode hypothesis. Proc. Natl. Acad. Sci. USA 2003, 100, 253–258. [Google Scholar] [CrossRef] [PubMed]
- Raichle, M.E.; MacLeod, A.M.; Snyder, A.Z.; Powers, W.J.; Gusnard, D.A.; Shulman, G.L. A default mode of brain function. Proc. Natl. Acad. Sci. USA 2001, 98, 676–682. [Google Scholar] [CrossRef] [PubMed]
- Uddin, L.Q.; Clare Kelly, A.M.; Biswal, B.B.; Castellanos, F.X.; Milham, M.P. Functional connectivity of default mode network components: Correlation, anticorrelation, and causality. Hum. Brain Mapp. 2009, 30, 625–637. [Google Scholar] [CrossRef] [PubMed]
- Aldhafeeri, F.M.; Mackenzie, I.; Kay, T.; Alghamdi, J.; Sluming, V. Regional brain responses to pleasant and unpleasant IAPS pictures: Different networks. Neurosci. Lett. 2012, 512, 94–98. [Google Scholar] [CrossRef] [PubMed]
- Berntsen, D. Involuntary autobiographical memories. Appl. Cogn. Psychol. 1996, 10, 434–454. [Google Scholar] [CrossRef]
- Berntsen, D. Voluntary and involuntary access to autobiographical memory. Memory 1998, 6, 113–141. [Google Scholar] [CrossRef] [PubMed]
- Berntsen, D.; Rubin, D.C. Emotionally Charged Autobiographical Memories Across the Life Span: The Recall of Happy, Sad, Traumatic, and Involuntary Memories. Psychol. Aging 2002, 17, 636–652. [Google Scholar] [CrossRef]
- Çilli, S.; Stopa, L. Intrusive mental imagery in psychological disorders: Is the self the key to understanding maintenance? Front. Psychiatry 2015, 6, 103. [Google Scholar] [CrossRef]



| Brain Area Brodman Area (BA) | Number of Voxels in Cluster | Voxel−Level p Value FWE−Corrected | Voxel−Level p Value Uncorrected | T Value at Local Maximum | MNI Coordinates | ||
|---|---|---|---|---|---|---|---|
| x | y | z | |||||
| Posterior Cingulate Gyrus (BA31) | 4 | 0.016 | 0 | 4.71 | −4 | −44 | 32 |
Disclaimer/Publisher’s Note: The statements, opinions and data contained in all publications are solely those of the individual author(s) and contributor(s) and not of MDPI and/or the editor(s). MDPI and/or the editor(s) disclaim responsibility for any injury to people or property resulting from any ideas, methods, instructions or products referred to in the content. |
© 2024 by the authors. Licensee MDPI, Basel, Switzerland. This article is an open access article distributed under the terms and conditions of the Creative Commons Attribution (CC BY) license (https://creativecommons.org/licenses/by/4.0/).
Share and Cite
Motoyama, H.; Hishitani, S. The Neural Basis of a Cognitive Function That Suppresses the Generation of Mental Imagery: Evidence from a Functional Magnetic Resonance Imaging Study. Vision 2024, 8, 18. https://doi.org/10.3390/vision8020018
Motoyama H, Hishitani S. The Neural Basis of a Cognitive Function That Suppresses the Generation of Mental Imagery: Evidence from a Functional Magnetic Resonance Imaging Study. Vision. 2024; 8(2):18. https://doi.org/10.3390/vision8020018
Chicago/Turabian StyleMotoyama, Hiroki, and Shinsuke Hishitani. 2024. "The Neural Basis of a Cognitive Function That Suppresses the Generation of Mental Imagery: Evidence from a Functional Magnetic Resonance Imaging Study" Vision 8, no. 2: 18. https://doi.org/10.3390/vision8020018
APA StyleMotoyama, H., & Hishitani, S. (2024). The Neural Basis of a Cognitive Function That Suppresses the Generation of Mental Imagery: Evidence from a Functional Magnetic Resonance Imaging Study. Vision, 8(2), 18. https://doi.org/10.3390/vision8020018

