Abstract
Plenty of disease types exist in world communities that can be explained by humans’ lifestyles or the economic, social, genetic, and other factors of the country of residence. Recently, most research has focused on studying common diseases in the population to reduce death risks, take the best procedure for treatment, and enhance the healthcare level of the communities. Kidney Disease is one of the common diseases that have affected our societies. Sectionicularly Kidney Tumors (KT) are the 10th most prevalent tumor for men and women worldwide. Overall, the lifetime likelihood of developing a kidney tumor for males is about 1 in 466 (2.02 percent) and it is around 1 in 80 (1.03 percent) for females. Still, more research is needed on new diagnostic, early, and innovative methods regarding finding an appropriate treatment method for KT. Compared to the tedious and time-consuming traditional diagnosis, automatic detection algorithms of machine learning can save diagnosis time, improve test accuracy, and reduce costs. Previous studies have shown that deep learning can play a role in dealing with complex tasks, diagnosis and segmentation, and classification of Kidney Tumors, one of the most malignant tumors. The goals of this review article on deep learning in radiology imaging are to summarize what has already been accomplished, determine the techniques used by the researchers in previous years in diagnosing Kidney Tumors through medical imaging, and identify some promising future avenues, whether in terms of applications or technological developments, as well as identifying common problems, describing ways to expand the data set, summarizing the knowledge and best practices, and determining remaining challenges and future directions.
1. Introduction
Artificial intelligence (AI) has been shown to have incredible benefits in health care. The recent advances in hardware, big data technology, and applications were the primary factors in making it more effective to devise techniques for automating medical processes [1,2]. Kidney disease identification is a multidisciplinary area that information technology experts are investigating to assist medical personnel by modeling the biological processes of the human kidneys and producing reliable diagnostic results. Recently, the growth of imaging data sets has occurred owing to the capabilities of storage of big data, concurrence with advanced machine learning, and deep learning [3].
As a result, new methods for the early detection of Kidney Tumors have been created [4]. Furthermore, patient findings, such as clinical reports and biomarkers in radio-logical techniques, have become increasingly significant in the development of prediction models, which have improved clinical outcomes [5]. One of these kidney tumor imaging advances approaches is to improve early detection and care for patients with Kidney Tumors. As a result, numerous studies have been performed to develop valuable methods centered on machine learning and deep learning for improving tumor diagnosis based on radio-logical imaging [6]. Irrespective of whether a theory can be derived from a report of clinical data, the use of prediction models that can differentiate between injured and typical cases based on radio-logical imaging scans will aid in the early detection of Kidney Tumors.
This study reviews the related studies that utilize radiology imaging scans for the early diagnosis of Kidney Tumors, including deep learning approaches, data analytics, and machine learning techniques. The intelligent diagnostic methods aim to perform better with less time and reduce the radiologist’s workload. Kidney diseases are correlated since one kidney problem may lead to other problems, which implies that wrong or inaccurate diagnosis may lead to some risk. Previous studies have shown that deep learning can play a role in dealing with complex tasks, diagnosis and segmentation, and classification of Kidney Tumors, one of the most destructive tumors. The goals of this review article on deep learning in radiology imaging are to summarize what has already been accomplished, determine the techniques used by the researchers over the years in diagnosing Kidney Tumors through medical imaging, and identify some promising future avenues, whether in terms of applications or technological developments. This article also aims to identify common problems, describe ways to expand the data set, and summarize the knowledge and best practices, determining remaining challenges and future directions. In this paper, the reviewed papers are selected from Google Scholar by using a set of more relevant keywords: radiology imaging scans, early diagnosis, Kidney Tumors, machine learning, and deep learning.
The remaining sections of this study are organized as follows. Section 2 presents a background of kidney disease, Kidney Tumors, factors affecting tumor formation, tumor type, stages, and the background of radiology imaging tools—besides related medical studies. Section 3 shows radiology imaging approaches and Section 4 presents machine learning, including deep learning and an overview of CNN and its models. The deep learning approaches are given in Section 5. Section 6 reviews the related studies that utilize machine learning techniques and deep learning approaches for the early diagnosis of Kidney Tumors and discusses the outcomes of all studies. Section 7 shows the discussion for this review. The whole study is concluded in Section 8.
2. Background
2.1. Kidney Disease (KD)
The human body takes the necessary nutrition from the food, and the wastes are returned to the blood, where these wastes may damage the body if they stay there. The kidneys have a major function in filtering these waste products from the blood, as there are about a million tiny filters that work to process the flowing blood called nephrons [7]. Besides, the kidneys have other functions like balancing fluid and mineral volume, vitamin D production, controlling blood pressure, and stimulating the production process of red blood cells. The kidneys drain urine into the bladder through tubes called ureters, from where the bladder is emptied through the urethra [8]. Conclusively, we can say that kidneys play a major role in keeping a person alive. Kidney disease will hinder your body’s ability to cleanse your blood, remove excess water from it, and maintain your blood pressure. It may also affect red blood cell development and vitamin D metabolism, which are critical for bone health. Pain in the kidney areas and back pain under the ribs indicates various signs, such as fever, vomiting, and painful urination due to kidney problems. Pain in the kidney can be diagnosed through blood tests, urine tests, ultrasound scanning, and images. There are two different reasons for KDs, namely diabetes and hypertension, which are responsible for up to 70 percent of KD cases [9]. Diabetes occurs in case of high blood sugar, and it causes damage to the body’s organs, including the kidneys [10]. Hypertension occurs in the case of high blood pressure on blood vessels’ walls [11]. Once the blood pressure is not controlled, it can be the main reason for kidney disease and vice versa.
In some cases, KD patients are at risk of having renal masses, where during imaging investigations, about 85 percent of the renal masses are expected to be cancer masses that need nephrectomy [12]. Many pathological features have been noted during nephrectomy, such as perinephric fat, venous thrombus, and adrenal involvement. In addition, toxins and fluid will build up in your body if your kidneys are harmed [13]. Inflammation of the ankles, fatigue, exhaustion, inadequate sleep, and shortness of breath are also potential side effects, the harm will escalate without treatment, and your kidneys can finally stop functioning; this could put your health on the line. Kidney disorder may be treated in some cases [14]. The aims of early diagnosing are to relieve symptoms, delay the condition’s progression, and avoid complications. In addition, the treatment might be able to help recover some kidney function in some cases.
2.1.1. Kidney Tumors (KT)
A kidney tumor is the growth of abnormal tissue in one or both kidneys, and it may be a benign or malignant tumor [15]. KT is a disease that affects kidney cells. Doctors explain that Kidney Tumors begin when changes or "mutations" occur in the DNA of some kidney cells, where the DNA contains directions for the cell to test that it should grow and divide quickly. Cells may divide and move to other sections of the body [16], besides, the tumor can be from inside the kidney, and in some cases, it is a secondary tumor that has metastasized from neighboring organs, such as a lung tumor [17]. KT affects patients differently and causes different symptoms and signs like a decrease of appetite or unexplained loss of weight, and this affects their standard practice of life [18]. In the U.S, Kidney Tumors account for about 3.7 percent of all tumors. More than 62,000 Americans are infected with kidney cancer every year. Kidney cancer is more prevalent as people grow older. Men are more likely than women to get it [15,19]. Figure 1 shows an illustration of healthy kidneys and kidneys with tumors.
Figure 1.
Illustration of healthy kidneys and kidneys with tumors.
2.1.2. Factors Affecting Tumor Formation
The origins of KT remain mysterious to physicians. The case of a renal cell is unknown, but some factors tend to raise the probability of developing KT, such as smoking, radiation, being male (men are around twice as likely as women to develop a KT), besides, consumption of alcohol and coffee, nature of food such as eating fats and meats, and becoming overweight. Thus, the extra weight may cause changes in hormones that increase the risk. In addition, chemical drugs such as long-term use of particular pain medication like Parasystole or Revanin may cause mutations in the genetic code, causing advanced KD or going on dialysis for a long time, having a family history of KT, exposure to chemicals such as benzene, solvents, or fertilizers, patients with lymphoma are at an elevated risk of contracting KT for unclear causes. These risk factors do not ensure that you will get a KT; however, they do improve the risk of developing KT [19].
Gago et al. conducted a study about factors affecting kidney tumor risk [20]; the researchers prove that family history is considered a potential risk factor for RCC; they used data for 550 patients with RCC adults, aged between 25 and 74. In addition, detailed data on family history of injury, Kidney Tumors, medical history, medications, and other lifestyle factors through the questionnaire in personal interviews proved the existence of a correlation. A first-degree relative with a kidney tumor significantly elevated the risk of the chance of kidney cancer by 95% and having a second-degree relative with a kidney tumor was also linked with a growing risk of developing kidney tumor. Risk factors for tumors include; smoking, chronic obesity, high blood pressure, a history of hysterectomy, and analgesic medications.
Paul Williams conducted a study about reducing the risks of Kidney Tumors [21]. The goal of the study was to evaluate whether a lower risk of kidney cancer is associated with physical exertion, walking, and running. The researchers conducted a study on 52 people with cancer, who were explicitly recruited to study their physical activity as they walked and ran at a rate of more than 7.5 h/week. The results showed that the risk ratio decreased by 1.9%; physical activity directly affects the estrogen hormone, insulin, and the growth factor, which is similar to insulin, and reduces the DNA mutations of cells, thus reducing cancer activity in the kidney.
Chow et al. conducted a statistical study on the impact of obesity and high blood pressure on the risk of developing Kidney Tumors in men [22]. Researchers used medical data for 363,992 Swedish men who had at least one physical examination between 1971 and 1992 and were followed until death or the end of 1995. The majority of the analysis was adopted on data from the baseline test for the whole group, by cross-correlating the results with the Swedish cancer register nationally. The impact of improvements in the body mass index and blood pressure of men with cancer (RCC 759 and Renal Pelvic Cancer 136) were also measured. Poisson regression test was used to estimate relative risk, with modifications according to age, smoking status, BMI, and blood pressure. The results showed a direct correlation between obesity, high blood pressure, and an increased danger of developing Kidney Tumors. In addition, men who were former or current smokers were more likely to be affected with a kidney tumor and pelvic cancer than nonsmoking men.
2.1.3. Kidney Tumor Types
KT is a set of various types of tumors, malignant (cancerous) and benign (non-cancerous) [23], that arise from different areas of the nephron, also having distinct genetic traits, genomic characteristics, and, to a certain degree, clinical phenotypes. Figure 2 shows an illustration of kidney tumor types.
Figure 2.
Illustration of kidney tumor types.
A benign tumor (BT) of the kidney has limited growth. In addition, it does not spread to other cells in the body or grow into surrounding tissues [23]. Furthermore, they are usually removed through surgery and do not reappear. There are various types of non-cancerous tumors [23] and usually there is minor threat to life if not removed because it can turn into cancer.
Anthony T Corcoran et al. conducted a study on the diagnosis type of the tumor, whether it was benign or malignant after its surgical removal [24]; the researchers collected data from PubMed and the oncology conferences. Twenty-six studies were collected that included pictures of 27,272 patients. In addition, the correlation between tumor size and pathological characteristics were examined, and a statistically significant relationship between cancer was determined, as renal cells and tumor size were scanned. The results show that benign renal tumors represent 15% and malignant tumors represent 85% of renal masses that were surgically removed.
A malignant tumor (MT) is form of cancer that starts in the kidney and spreads. Cells in carcinoma tumors can invade nearby tissues and form new tumors in other sections of the body by breaking away from a malignant tumor and passing through the lymphatic system or bloodstream. The prevalence of cells from the organ to another is known as metastasis (secondary tumor); it is also one of the primary causes of cancer-related death [25]. Carcinomas are treated first surgically followed by radiotherapy to kill any remaining malignant cells or chemotherapy alone if the tumor is difficult to remove sectionicularly in the last stages surgically.
Wagle et al. conducted a statistical study about the secondary tumor from other organs to the kidney [26]; the researchers reviewed 81 cases of secondary KT. All lymphomas were excluded from this study and CT scan helped determine the secondary tumor prevalence as well as the degree of kidney injury. Results proved this in the lungs, breast, and stomach. The contralateral kidneys are the most prevalent primary sources of malignancies that are likely to metastasize to the kidneys. Furthermore, the potential lateness in finding healthcare, such as chemotherapy and radiation, as well as the aggressiveness of the primary tumor itself, might contribute to the reduced survival rates shown in this research regardless of the use of multi-treatment methods.
2.1.4. Kidney Tumor Stage
The importance of determining the stage of the tumor is to assess the best course of treatment and determine the appropriate method for receiving treatment according to the case, as the rate of recovery from the disease may depend on the stage of the tumor. Figure 3 shows an illustration of kidney tumor stages.
Figure 3.
Illustration of kidney tumor stages.
Reznek et al. conducted a medical study about staging tumors [27]. Researchers used CT and MRI images and the result shows that stage extent of tumor distribution and survival have a direct relationship, where there is a clear relation between tumor size and the development metastases. Because of this, recently it has been proven that venous invasion reduces survival time; metastases are a strong indicator of weak patient survival. Researchers found that radical nephrectomy increased survival rates dramatically as has since become the standard procedure for treating RCC; therefore, staging is essential when considering a sectional nephrectomy. The study consisted of the discovery, characterization, and phasing of the tumors in obtaining a bottom-up scan using a 5 mm collimator. Encouraging results have been achieved using CT and MRI, response rates of up to 30% have been reported, and follow-up of patients is recommended after nephrectomy.
3. Radiology Imaging
Radiology imaging refers to the non-invasive use of technology to discover the internal structure of the human body organs, and it is a way of improving the quality of life for patients by allowing for more precise and rapid diagnosis, as well as fewer side effects and successful comprehensive treatment, Tumors are mainly detected using radiology imaging [19,28]. Unfortunately, there are no accurate clinical characteristics for diagnostic purposes; therefore, accurate diagnosis and early detection are important in treatment. Medical staff usually detects KT via [29];
- Ultrasound (US): Ultrasonography may be used to test doubtful asymptomatic Kidney Tumors and cystic renal tumors. Ultrasound is used to create an inner picture of the body in this safe and non-danger radiologic technique; the image may help detect renal cell carcinoma. Ultrasound scans may decide if the kidney mass is mostly stable or mostly fully saturated [19,25].
- Magnetic Resonance Imaging (MRI): Uses radio waves and heavy magnets to create an impression of the body’s soft tissues; if the patient has a sensitivity to the contrast media used in the procedure, MRI should be used instead of CT. An injectable of a contrasting substance called gadolinium is often taken directly to the MRI scan to make a more accurate image. This contrasting content can be avoided by diabetic patients and those with renal insufficiency because it may cause side effects [19,25].
- Computed Tomography (CT): In the kidney areas, widely used to assess the level of RCC. CT scans can help differentiate solid masses from cyst masses and reveal details about the patient’s tumor location, level, and progression to other organs. According to a previous study, tomographic CT imaging features may be used to diagnose patients with RCC by showing cytogenic variations between these cells [19,23,28].
- Angiography (CTA): As a method for analyzing blood vessels in the kidneys, this radiography procedure helps diagnose renal cell carcinoma. The patient takes contrast in this diagnostic procedure, and the contrasting dye helps to demonstrate abnormally directed blood vessels that are thought to be associated with the tumor [23,28]. Table 1 below shows an overview of the uses, advantages, and disadvantages of radio-logical.
Table 1.
Overview of uses, advantages, and disadvantages of radiological tools.
Table 1.
Overview of uses, advantages, and disadvantages of radiological tools.
| Tool | Uses | Advantages | Disadvantages |
|---|---|---|---|
| US | Determine doubtful asymptomatic KT and cystic renal tumors | Safe, non-danger, and low cost | Small Kidney Tumors cannot be seen, and less accurate |
| MRI | Determine the extent of the tumor | Can tell the difference between a hollow cystic mass and a solid mass | Costly, May cause side effects to diabetic patients |
| CT | Determine KT, tumor type, and provide pictures of tissues, organs, and skeletal structure | Not needing a biopsy, because the biopsy for diagnosis may increase the possibility of spreading the tumor if any | Difficult to evaluate kidney vessels |
| CTA | Determine analyzing blood vessels in the kidneys | Short time study and High quality | Contrast can be harmful Inappropriate for patients with kidney problems |
These are the most common tools used in KT’s diagnostic and treating processes; almost all these tools help diagnose the kidney tumor. These may be similar to the diagnosis, but they differ in accuracy and sensitivity. Therefore, CT and Angiography scanning are the gold standard because they have the highest sensitivity for detection diagnosis [23,25,28].
Semelka et al. conducted a study about a comparison between CT and MRI for Renal lesions [30], the researchers used data for 38 patients, and the results showed that the CT scans diagnosed the patients more accurately. Thus, 17 of the patients had renal cysts, 18 solid tumors, two had cortical scarring, and one had a swollen Bertine column. Besides, cysts with a diameter of less than 5 mm and solid tumors with a diameter of up to 1 cm were discovered.
Semelka et al. conducted a study about renal cancer staging [30]. Researchers used CT and MRI images for 61 patients with KT and CT and MRI were done within one month. A total of 54 and 58 of the 61 renal tumors were detected using CT and MRI imaging, respectively. Furthermore, 34 and 35 of 38 histologically proved KT; both CT and MRI allowed correct staging of four of five additional tumors with biopsy demonstrating tumor stage. Besides, 28 tumor thrombosis and 11 adenopathies were found.
Nazim et al. conducted a study about the accuracy of multidetector CT 3D scan in the grading of tumors [31] and the researchers used a total of 98 patients diagnosed RCC who were before surgery evaluated for tumor grading using multidetector-row CT, with a focus on tumor size and grade. The findings were efficient using triphasic CT imaging with a slice thickness of 5 mm and multiplanar reconstructions to identify tumor characteristic features. On histopathology, a total of 98 renal cell carcinomas were found. CT had 85, 82, and 98 percent specificity for capsular invasion, nodal tumor, and adrenal, respectively. For tumor thrombus, the precision was over 97 percent in renal vein and IVC.
Reznek et al. conducted a study on the scan sensitivity for tumors stage [27] and the researchers discovered that computed tomography is the most sensitive way to detect a tumor. They used MRI and CT scans and in CT, for the accuracy of diagnosing stage 1, tumors are 90%, and specificity is 98%. In stage 2, the accuracy is 96%. In addition, The sensitivity is 85%, the specificity is 98%, and the accuracy is 96% for the detection of venous involvement in RCC. In stage 3, the sensitivity of the CT in the discrimination between the first and third stages is 88–95% and the specificity is 99–100%. In the fourth stage, the sensitivity and quality of the imaging Tomography are 98% and 99%, respectively. The result shows that MRI has many disadvantages in detecting the disease and determine the stages of the disease, and small kidney cancers (less than 1 cm) or calcifications within the mass may not be detected. In addition, its sensitivity and specificity do not exceed that of the CT scan. Renal CT still provides the best solution for tumors. Small kidneys are usually the preferred procedure, and an MRI may be used additionally if necessary, especially for a complete evaluation of venous invasion.
Hallscheidt et al. conducted a study about preoperative multidetector CT and MRI staging of RCC with inferior vena cava thrombus [32]; the researchers used data for 23 patients that were suspected of having a blood clot. A multidetector CT with a reconstructed slice thickness of 2 mm was used, and MRI and angiography were also used. The sensitivity and accuracy of CT thrombus detection for both readers were 93% and 80%, respectively. Both readers’ MRI sensitivity and accuracy were 85% and 75%. As a result, these radiological methods can be useful to determine the extent of the tumor thrombus.
Bai et al. conducted a study about comparing the sensitivity of diagnosing Kidney Tumors [33]; the researchers used ultrasound (US) images, which were found to be a safe and reproducible tool, and CT images, of 70 tumor cases of people aged between 40 and 80 years with a median of 56 years. US and CT revealed liver metastases in two patients, and six patients had suspected vascular invasion; all of the patients received a CT scan, but two of them did not undergo a contrast injection due to kidney failure. The result shows that CT scan confirmed the diagnosis in 100% of cases. The role of imaging is when it comes to distinguishing between a malignant and benign tumor of kidney cancer, CT becomes a predictor of survival. In addition, ultrasound is the first-chose test for any suspicion of a kidney tumor, and ultrasound scan has a sensitivity of 70% for tumors. Thus, a CT scan is the gold standard for detecting a kidney tumor because the sensitivity detection is up to 90%; characteristics of a CT scan indicate an accurate diagnosis.
Van et al. conducted a study on diagnostic renal imaging to discover and distinguish types of kidney cancer [34]. The researchers used images of ultrasound (US), CT, and MRI and the results proved that in ultrasound imaging, solid Kidney Tumors were classified as substantial tumors or multifocal or sectionally cystic tumors. There are occasions where small tumors with an internal development can be challenging to spot. Furthermore, the histological subtypes are not distinguished and cannot distinguish between benign and malignant. In addition, when evaluating a renal tumor, CT is often the first imaging option. The results show that the sensitivity and specificity achieved 90% to 99% to the first model and 99% to 100% to the second model for detecting tumors of the upper urinary tract; while MRI can discern between tumors, it is difficult to do so and sometimes necessitates a biopsy. The neoplasm cannot be accurately differentiated from renal cell carcinoma.
Previous studies on measuring the sensitivity and accuracy of radiology techniques in diagnosing a kidney tumor proved that the CT technique is the most accurate because of its high diagnostic results.
4. Machine Learning
A subset of artificial intelligence, machine learning is a series of methods for automatically detecting patterns in data and then using those methods to predict future data or make decisions in uncertain situations. The most distinguishing feature of machine learning is that it is data-driven, with limited human involvement in the decision-making process. By analyzing the training data and making predictions when new data is entered, the program will learn [35]. Figure 4 shows the principle of machine learning with steps:
Figure 4.
Machine learning principle.
The emergence of technological development has led to introducing modern technologies that help healthcare providers, including the development in the radiological process, which assists the medical stalks and researchers in obtaining a vast number of various radiology Kidney Tumors data sets.
In conjunction with these developments, machine learning helped in building predictive models for early detection of Kidney Tumors, where researchers have used in building the models the known analysis methods, such as; Associative Neural Network (ASNN), Maximum Mean Discrepancy (MMD), self-organizing map (SOM), HOG, LBP, fuzzy C-means (FCM), speeded up robust features (SURF), Gabor filters, Return on Investment (ROI), Laplacian over Gaussian Filter (LoG), Wavelet Filter, Interoperability Toolkit (ITK), logistic regression (LR), decision tree (DT), LSTM, SVM such as GAG-SVM and SNAP-SVM, K-Nearest Neighbors Algorithm (KNN), K-means, random forest algorithm (RF), boost such as XGBoost, and AdaBoost.
5. Deep Learning
It is a subset of machine learning and one of the most potent machine-learning technologies because of its ability to learn multiple features and patterns without human intervention automatically. It is built by using neural networks that simulate the human brain.
Deep learning enabled the building of predictive models for the early diagnosis of tumor disease. As scientists used proven pattern analysis methods, deep learning algorithms outperformed traditional machine learning due to their highly accurate results. The results of using deep learning algorithms demonstrated a clear superiority over the performance of machine learning. In addition, it often matches or surpasses human performance; that is why they are recommended as the best method for dealing with images [36]. It has gained attention in image processing, especially in the medical field, because radiology is primarily concerned with extracting useful information from images. Figure 5 shows an overview of the comparison between technologies of artificial intelligence (AI), machine learning (ML), and deep learning (DL).
Figure 5.
Overview of comparison between AI–ML–DL technologies.
Artificial intelligence allows machines to imitate the functions of the human brain. It is a technology that allows machines to act like humans, create patterns like humans, and make decisions. It automates machines and gives them decision-making abilities. ML is a methodology that provides data to solve problems using trained algorithm models and statistical methods, trains algorithms based on input unlabeled or labeled data, and makes predictions based on trained algorithms. DL is a sub-field of ML, also an extra advanced version of ML, that employs Artificial Neural Networks (ANN) to solve problems and predict outcomes. It solves complex problems with high-performance machines, using a large amount of data and mathematical equations [37].
In recent years, DL algorithms have not only been able to outperform other machine learning approaches, but they have also been able to outperform them in specific tasks. For example, in renal cell carcinoma recognition, they have shown outstanding performance in humans [38,39]. Deep learning’s key attribute is image recognition. As a result, the potential for radiology applications has become apparent. According to researchers and clinicians, there has been a surge in productivity in this sector in the last three to four years, where DL plays an essential role in radiology.
Deep learning helped build predictive models for the early detection of Kidney Tumors [40]. Researchers have used known pattern analysis methods, such as Modified CNN, GoogleNet, InceptionV3, 3D U-Net, V-Net, Resnet50, Resnet50V2, ReLU, and ImHistNet. Figure 6 shows an illustration of the deep learning structure.
Figure 6.
Illustration of deep learning structure.
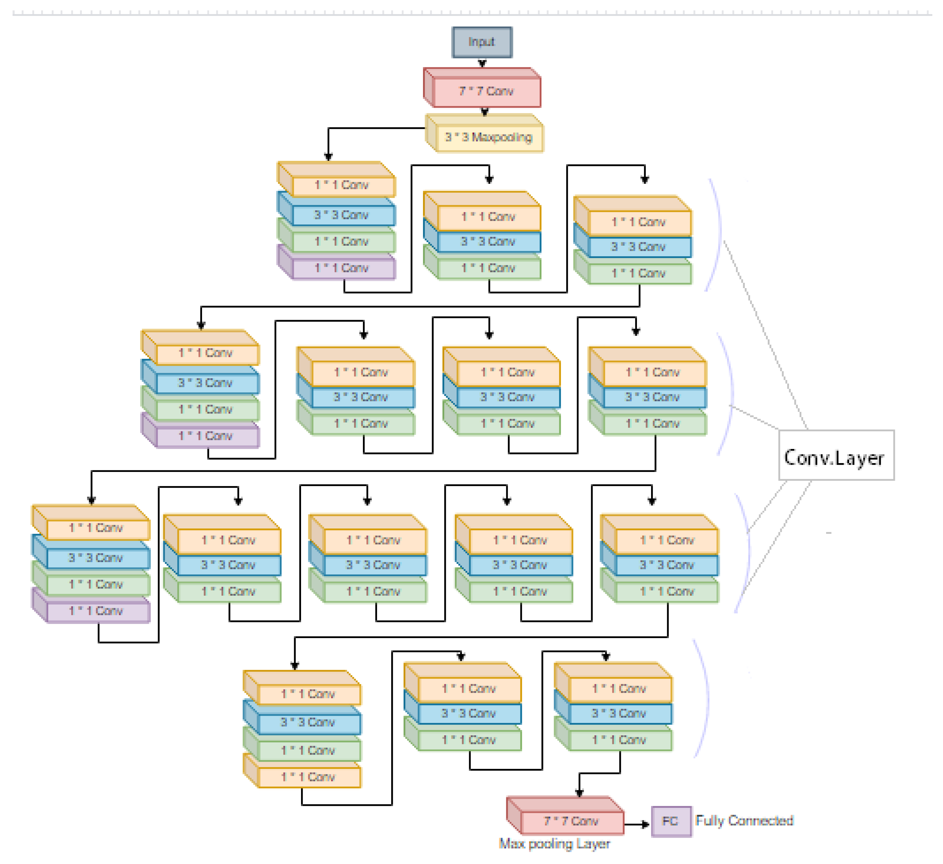
Convolutional Neural Network (CNN)
A CNN is a type of deep learning used to analyze visual scenes [41]. It is characterized by having one or more hidden layers, which extract the attributes in videos or images, and a fully connected layer to produce the desired output. Whereas for the computer, the image is a 3D array (width × height × depth) of values ranging from 0 to 255. It is simply pixels of color; if the number of channels is one, the image is grayscale, black, and white. Besides, the channels are three colors (if images are RGB) [42]. CNN Deep Network has shown outstanding performance in many competitions related to image processing due to its accurate results. CNN is a hierarchical structure that contains several layers [43], see Figure 7.
Figure 7.
Architecture of a traditional CNN.
The basic components of the basic convolutional neural networks are: the Convolutional Layer, the Activating function, the Pooling Layer, and the Fully-connected Layer [44].
- Convolutional Layer: In the convolutional layer, a filter (known as a kernel) is used to determine the existence of patterns in the input images (original image), after which several filters can be employed to extract different features. The filter is a small size to have the ability to scan the whole image and apply the appropriate arithmetic between the filter and the pixels to extract the features. The filter settings are reset during the periodic training phase, and when the network has been trained for a sectionicular number of epochs (epochs imply all training samples have been entered simultaneously), these filters start looking for different characteristics in the image. Simple and evident features, such as edges in various directions, are extracted using the first hidden layers. The complexity of the attributes which must be recognized and extracted rises as we go deeper into the network’s hidden levels [42,43].
- Pooling Layer: The purpose of the pooling is to reduce the size of the activation maps. This is not necessary but prevents you from falling into an overfitting situation. The idea behind clustering is simple, as large arrays are scaled down [42].
- Fully-connected Layer: This layer is the last, where neurons are fully connected to all nodes of the previous layer. The final classification process takes place in it [44].
To design the network model, first, an image is inserted into a conv layer, and an activation function is applied to the output of the conv layer, such as ReLu. The function’s output is sent to another conv layer; the process is repeated several times, sending the output to an assembly layer. The steps are repeated several times, and trainable classifiers are produced. The output is also sent to the fully connected layer, which has the probability of each class we want to train the network on [42]. In the input layer, the range can be from 0 to 1. Each neuron is treated as a filter where the filter is computed for the data network depth; in the conv layer, the neurons are filters in image processing to detect edges, curves, etc. Each filter of the conv layer will have its image features, such as vertical edges, horizontal edges, colors, textures, and density [43].
All neurons add to the feature extractor array for the entire image. In addition, the pooling layer is sandwiched between successive convolutional layers to compress the amount of data and parameters and reduce overfitting. In short, if the input is an image, then the main function of the pooling layer is to compress the image by resizing the image. When the information removed when the image is compressed is just some irrelevant information, we can remove it [42].
Over the years, many variants of CNN structures developed to solve difficult real-world problems and to obtain sufficient accuracy. One of the applications of CNN is in the medical field, specifically detection of diseases such as tumors by using different models such as the follows:
- AlexNetAlexNet is a convolutional neural network developed by Alex Krizhevsky et al. (2012) for the ImageNet competition, and they achieved 84.6%. The network contains eight layers, five Conv layers, and three FC layers. Besides, its learning time is 12.90 s [45]. Figure 8 shows an illustration of the AlexNet architecture. In this figure, * present the size dimension.
Figure 8.
AlexNet architecture.
Figure 8.
AlexNet architecture.

- VGG16As a CNN developed by Karen et al. (2014), the model achieves 92.7% top-5 test accuracy in ImageNet.The network consists of 16 weights, 13 Conv, and 3 FC layers. Besides, its learning time is 16.55 ms [46]. Figure 9 shows an illustration of the VGG16 architecture.
Figure 9.
VGG16 architecture.
Figure 9.
VGG16 architecture.

- GoogleNetGoogLeNet is a CNN developed in (2014); the first version of the Inception network is GoogleNet. It consists of 22 layers containing 21 Conv and 1 FC layer, with 27 pooling layers included. In addition, nine inception modules stacked linearly in total. In addition, the ends of the inception model are connected to the global average pooling layer. Besides, its learning time is 12.98 ms [47]. Figure 10 shows an illustration of the GoogleNet architecture.
Figure 10.
GoogleNet architecture.
Figure 10.
GoogleNet architecture.

- ResNet50ResNet50 is a convolutional neural network developed in (2015); this network is 50 layers deep and contains 49 convolutions and 1 fully connected layer. Each convolution block has 3 convolution layers [47]. Figure 11 shows an illustration of the ResNet50 architecture.
Figure 11.
ResNet50 architecture.
Figure 11.
ResNet50 architecture.

- InceptionV3InceptionV3 is a convolutional neural network developed in (2015). It is the third version of Google’s Inception CNN, which was first shown off during the ImageNet recognition challenge [47]. Figure 12 shows an illustration of the InceptionV3 architecture.
Figure 12.
InceptionV3 architecture.
Figure 12.
InceptionV3 architecture.

- 3D U-NetA CNN developed in (2016) for segmentation, learning dense volumetric from scattered annotation, it contains an analysis-synthesis path. In the analysis path, each layer contains two 3 × 3 × 3 Conv, each proceeded by a ReLU, and then a 2 × 2 × 2 max pooling with strides of 2 in each dimension. Besides, its learning time is 3.3 ms [47]. Figure 13 shows an illustration of the U-net architecture.
Figure 13.
3D U-Net architecture.
Figure 13.
3D U-Net architecture.

- V-NetV-Net is a CNN developed in (2016) for segmentation, and it is analogous to U-Net, but with few variations. The left half of the network compresses the signal, while the right half decompresses it until it reaches its original height. Besides, its learning time is 1.5 ms [47,48]. Figure 14 shows an illustration of the V-Net architecture.
Figure 14.
V-Net architecture.
Figure 14.
V-Net architecture.

- EfficientNetIn this paper, a CNN method is developed by AutoML MNAS (2019) which scales all dimensions of depth, width, and resolution by using a compound coefficient [49]. Figure 15 shows an illustration of the EfficientNet architecture.
Figure 15.
EfficientNet architecture.
Figure 15.
EfficientNet architecture.

Table 2 shows an overview of most of the CNN models that are used to diagnose diseases, the comparison based on the year they appeared, number of layers, structure components, learning time, and imageNet, which is a massive visual database created for use in visual object identification software research [38]. As most of them were used to diagnose Kidney Tumors and segmentation tasks, in the next section, there is an overview of the KT diagnosis studies that used some of these CNN models.
Table 2.
Overview of comparison between CNN’s models.
6. Literature Review
In clinical diagnostics, medical staff usually detect KD via CT scans [28,50], which is one of the most common tools used in KD diagnoses treatments. The literature for this study contains several related experiments, each of which addresses the issue of early kidney tumor detection using various ML techniques and DL approaches.
Ghalib et al. [51] conducted a study for renal tumor detection using deep learning approaches on CT scans. They used an unspecified number of CT scans for patients acquired from several hospitals in Bangalore. The preprocessing was performed by removing noise from images using a contrast-limited adaptive histogram and hybrid filter, where the features were extracted based on utilizing a growing Self-Organizing Map (SOM) for clustering. The proposed model was constructed using an Artificial Neural Network (ANN) approach, where the classification process is determined based on the patterns of visual appearance, which includes the contrast, size, location, surface area, color, volume, risk, specialization, density, and risk. Based on their experimental results, the proposed model obtained high performance in classifying tumors into normal and abnormal, achieving 0.85 s of average execution time.
Liu et al. [52] conducted a study for exophytic renal tumor detection through machine learning techniques on CT scans; they used CT colonography scans for 141 exophytic renal lesions, 38 endophytic renal lesions, and 71 standard cases without renal lesions. The preprocessing was performed by utilizing the belief propagation approach for image segmentation, in which they limited the search region of renal lesions, where the process included segmentation for both right and left kidneys. The features were extracted through applying feature descriptor, which was performed on the results of manifold diffusion and searches for protrusions caused by the lesion. Based on their experimental results, the proposed model obtained high performance with 95% and 80% rates of sensitivity of exophytic lesion and endophytic lesion detection, respectively.
Attia et al. [53] conducted a study for kidney classification using deep learning approaches on ultrasound scans. They used 66 ultrasound scans for normal and abnormal kidneys from Ultrascan Center in India, where the abnormal kidney cases included renal failure, kidney stones, angiomyolipomas, kidney tumor, and cystic kidney disease. Features were based on multi-scale wavelet extracted from the Region of Interest (ROI) of the scans, where the Principle Component Analysis (PCA) was utilized for dimensionality reduction of the generated features. The proposed model was constructed based on a neural network that included two hidden layers and one output layer for multi-class classification, where the model obtained a 97% rate of correct multi-class classification of the five cases.
Mredhula and Dorairangaswamy [54] conducted a study for kidney tumor detection and classification using deep learning approaches and traditional machine learning techniques on CT scans. They used 28 CT scans for different categories of Kidney Tumors, where the used data set was acquired from their database. The color moments were calculated for images after the conversion to three-color space, CIE lab HSV, RGB, and HLS, and detecting edge through utilizing the Gabor filter. They proposed an Associative Neural Network (ASNN) model that combined the k-Nearest Neighbor (KNN) technique with an ensemble feed-forward neural network, where this model corrected the bias of an ensemble neural network. Based on their experiments, they concluded that the proposed model could obtain high performance in terms of kidney tumor classification.
Feng et al. [55] conducted a study about the classification of RCC through machine learning techniques on CT scans. They used CT scans for 17 patients of angiomyolipoma, and 41 patients with RCC, where the features were extracted through manual segmentation which represents the tumorous ROI, and the selected features were obtained using the Mann–Whitney U test. They solved the imbalanced problem by applying the synthetic oversampling (SMOTE) technique, and the proposed model utilized SVM for the classification task and recursive feature elimination. Based on their experimental results, the proposed model achieved high performance with 93.9%, 87.8%, 100% scores of accuracy, sensitivity, and specificity for the classification task.
Kocak et al. [56] conducted a study for renal cell carcinoma subtypes classification using deep learning approaches and traditional machine learning techniques on CT scans. They used CT scans for 68 patients with RCC from an internal source, besides 26 patients with RCC acquired from The TCGA open-source database. The corticomedullary and unenhanced phase of CT scans were utilized for textual features extraction, and the selected features were obtained through cooperation with three radiologists and a wrapper-based classifier-specific algorithm. They proposed two models; the first is ANN with adaptive boosting, while the second is SVM with bagging. Based on their experimental results, the first model obtained the highest performance in classifying RCC into the non-clear and clear cells with 84.6%, 69.2%, and 100% scores of accuracy, sensitivity, and specificity, respectively. Moreover, the second model obtained the highest performance in classifying RCC into the papillary cell, chromophobe cell with 69.2%, 71.4%, and 100% scores of accuracy, sensitivity, and specificity, respectively.
MuhamedAli et al. [57] conducted a study about kidney cancer subtypes classification based on machine learning techniques; they used miRNA genome data for cases to train a ML model that performs the classification task. The proposed model consisted of two sections: Neighborhood Component Analysis (NCA) for feature extraction and LSTM to classify a given data sample into kidney cancer subtypes. The results were efficient, with average accuracy and Matthews Correlation Coefficient score of 95% and 92%, respectively. Based on the high performance of the classifier, the researchers recommended using the model as an efficient tool that helps the kidney tumor diagnosis process.
Vinod et al. [58] conducted a study about pan-renal cancer cell classification and the survival prediction using a DL approach. They used digital histopathological images to perform the subtype classification of renal cancer cells and identify the needed features for predicting outcomes of a survival situation. Image slides were used to train convolutional neural networks, which achieved an accuracy of 93.39% and 87.34%, respectively, and it was able to classify the subtypes chromophobe, clear cell, and papillary. Support vector machine used to split the multi-classification task into multiple binary classifications has improved the model performance. The survival outcomes were predicted though utilizing the extracted morphological features. The results stated that deep learning approaches are efficient in diagnosing and prognosis of kidney cancer cells.
Zhang et al. [59] conducted a study about differentiating renal tumors based on deep learning, and they used 192 CT scans for patients to differentiate between benign and maligning tumors. The used CNN architecture was cross-trained InceptionV3 to perform the classification task, where the performance evaluation of the model was performed using receiver operating characteristic metric on five-fold cross-validation. The results showed high accuracy with a 97% rate. The researchers concluded that deep learning approaches are useful for renal tumor classification based on CT scans and recommended to benefit from 3D CT scans to achieve more accurate results.
Han et al. [60] conducted a study about the classification of renal cancer using deep learning approaches on CT scans. They used 3-phase CT scans for 169 cases of renal cancer from Seoul National University Bundang Hospital based in South Korea, where the data set included 56 papillary cells, 57 clear cells, and chromophobe cells. For each scan, three phases are acquired: before injecting the patient with the contrast, one minute after injection, and five minutes after injection. They combined 3-phase ROI images linearly, and the combination weights were fed. The model was constructed based on a modification on the GoogLeNet, in which they reduced the output to two outputs. Their proposed model obtained high performance based on their experiments with 85%, 64–98%, and 83–93% scores of accuracy, sensitivity, and specificity, respectively.
Hussain et al. [61] conducted a study about the grading classification of carcinoma using DL approaches on CT scans. They used CT scans for 159 patients with a clear cell of RCC from The Cancer Imaging Archive (TCIA), where the data set included 95 of grade Fuhram high and 64 of grade Fuhram low. Regardless of the pre-segmentation process, they fed the model with scans, in which the model was constructed based on an NN. The model’s architecture consisted of ten layers, where the first layer is Learn-able Image Histogram (LIH) for textural features extraction. Based on their experiments, their proposed model obtained high performance with 80% accuracy and 85% AUC in the classification of the low and high clear cells of renal cell carcinoma.
Queralta et al. [62] conducted a study about 3D segmentation of KT from CT scans based on DL approaches; they used a data set that contained CT scans for 210 cases to train a CNN model for the segmentation process. The used model was a supervised multi-scale three-dimensional U-Net, where the architecture combined deep supervision with an exponential, logarithmic loss to enhance three-dimensional U-Net performance through the training process. The model has shown many accurate results compared to the previous state-of-the-artwork, where the Dice coefficient was over 96.9% and 80.5%, respectively.
Sun et al. [63] conducted a study about the classification of solid renal masses using machine learning techniques on CT and MRI scans. They cooperated with four expert radiologists to identify lesion types for 254 renal cell carcinoma scans, where the data set included 38 chromophobe, 26 fat-poor angiomyolipoma, 26 papillary, 10 oncocytomas, and 190 clear cells. The radiologists conducted a manual segmentation to perform Radiologic-Radiomic analytics in terms of feature extraction. The proposed model utilized the SVM algorithm, where it has obtained a sensitivity of 90.0%, 86.3%, and 73.4% with a specificity of 89.1%, 83.3%, and 91.7% for the classification of clear cell from papillary and chromophobe, the classification of clear cell from fat-poor angiomyolipoma and oncocytomas, and the classification of papillary and chromophobe from fat-poor angiomyolipoma and oncocytomas, respectively.
Nazari et al. [64] conducted a study about the classification of clear renal cell carcinoma using machine learning techniques on CT scans. They used CT scans for 31 patients with low Fuhrman stage of RCC and 40 patients with high Fuhrman grade acquired from TCIA. The features were extracted through manual segmentation of the scans, preprocessing using discretization of the intensity values, laplacian of Gaussian, and wavelet filter techniques for the segmented volumes. The proposed method utilized three ML techniques: logistic regression, SVM, and random forest. Based on their experimental results, the models obtained high performance with 78%, 62%, and 83% rates of AUC for logistic regression, random forest, and SVM, respectively, for the classification of clear RCC Fuhrman grades.
Zabihollahy et al. [65] conducted a study about the classification of solid renal masses using deep learning approaches on CT scans. They have used CT scans for 315 patients, in which the data set included 77 scans for patients with benign solid renal masses, which are 20 fat-poor angiomyolipoma and 57 oncocytomas, with 238 scans for patients with malignant renal masses, which are 46 chromophobe, 69 papillary, and 123 clear cells. They generated slices of scans manually and utilized the CNN model to extract features from each slice, where the classification was performed using the aggregation of CNN predictions using decision fusion-based and evaluated by the majority voting technique. Based on their experimental results, the proposed model obtained high performance with 83.75%, 89.05%, and 91.73% rates of accuracy, precision, and recall for the classification between RCC and benign tumors, respectively.
Vendrami et al. [66] conducted a study about the classification of solid renal tumors using machine learning techniques on MRI scans. They used MRI scans for 330 patients with solid renal masses, and they cooperated with expert radiologists to extract features based on the protocol of conventional renal MRI with dynamic contrast enhancement and diffusion-weighted MRI. The proposed method utilized three ensemble techniques: random forest, Gradient Boosting Machine, and recursive sectionitioning. Based on their experimental results, the proposed methods obtained high performance, and Random Forest achieved the highest results with 81.2% accuracies in classifying scans into clear cell, papillary, chromophobe, fat poor angiomyolipomas, and oncocytomas solid renal masses.
Schieda et al. [67] conducted a study about the classification of solid masses using machine learning techniques on CT scans. They have used CT scans for 177 patients with solid renal masses, in which the data set included 116 scans for renal cell carcinoma, which are 51 clear cells, 25 chromophobe, 40 papillary, and 61 scans for benign tumors, which are 12 fat-poor angiomyolipomas and 49 oncocytomas. The features were extracted through manual segmentation with radiologists from three phases of scans: nephrographic phase contrast-enhanced, corticomedullary, and non-contrast-enhanced. The proposed method utilized the XGBoost machine learning technique, and they performed two experiments. Based on their experimental results, the proposed model obtained high performance with 70% rates of AUC in classifying renal cell carcinoma from benign tumors and 77% rates of AUC in classifying clear cell of RCC from the other types.
Yang et al. [68] conducted a study about the classification of small renal masses using machine learning techniques on CT scans. They have used CT scans for 163 patients with small renal, in which the data set included 118 scans for renal cell carcinoma cases and 45 scans for renal angiomyolipoma without visible fat cases. The textual features were extracted by utilizing the Pyradiomics package, in which they applied it on the ROI generated using the ITK-SNAP tool. The proposed method utilized eight machine learning techniques, where the experimental results showed that SVM with t-score and SVM with relief obtained good performance with 90% rates of AUC in the classification task.
Yap et al. [69] conducted a study about the classification of renal masses using machine learning techniques on CT scans. They have used CT scans for 735 patients with renal masses, in which the data set included 196 scans of benign masses and 539 scans of malignant cases. They segmented scans manually by utilizing the 3D Synapse 3D tool by cooperating with two expert radiologists, where the features were extracted based on shape and texture matrices. The proposed methods used two machine learning techniques: AdaBoost and random forest. Based on their experimental results, random forest obtained high performance on both features with 68% to 75% rates of AUC for the classification of renal masses.
Uhlig et al. [70] conducted a study about the classification of renal tumor subtypes using machine learning techniques on CT scans. They used 97 scans with renal tumor from a previous study and added 107 scans for patients, in which the data set was acquired from University Medical Center Goettingen, where the subtypes are chromophobe, clear cell, AML, and papillary. The features are extracted through manual segmentation by utilizing 3D Slicer and PyRadiomics, which generate ROI features of axial slices of the renal scan. The proposed model utilized random forest for multi-class classification of the renal tumor, where the results obtained high performance with 78% of AUC after excluding the oncocytomas subtype.
Türk and Lüay [71] conducted a study about building a hybrid model for kidney and renal segmentation. They used a data set consisting of 210 CT scans for patients to perform the segmentation of kidney tumor. A hybrid model was built based on utilizing the superior features of existing V-Net models and some development in the encoder-decoder phases. Results of the model achieved Dice coefficients of 97.7% for kidney segmentation and 86.5% for tumor segmentation. Their proposed method has shown accurate segmentation results compared to the previous models, and the researchers recommended using the model for its reliability in segmenting soft tissue organs.
Sudharson and Kokil [72] conducted a study about the classification of kidney disorders using an ensemble of deep learning approaches on ultrasound scans. They used B-mode ultrasound scans for 4940 sectionicipants with normal, stone, tumor, and cyst kidneys from Chettinad Health City Hospital based in India. The proposed model contains an ensemble of MobileNet-v2, ResNet-101, and ShuffleNet pre-trained models for feature extraction from the quality and noisy images, in which the results of predictions were generated using majority voting. Then, the extracted features were fed to SVM model for the classification task. Based on their experimental results, the proposed model obtained high performance in comparison with previous studies, in which it has achieved 96.54% of accuracy for quality images and 95.58% of accuracy for noisy images in terms of classification.
Haji-Momenian et al. [73] conducted a study about the classification of small RCC subtypes using machine learning techniques on CT scans. They used CT scans for 55 patients with small clear renal cell carcinoma from a database of Cancer Registry Institution, where samples were distinguished into low and high Fuhrman grades based on the surgical pathology report. They cooperated with the expert radiologist to extract the features from scans, in which he used manual segmentation to extract histograms and several texture features from the contrast phase of each scan. The proposed method utilized four machine learning techniques for classification: SVM, KNN, decision tree, and random forest. Based on their experimental results, the classifiers obtained high performance with a 97% rate of AUC.
Mikkel et al. [74] conducted a study about renal tumor classification using a deep learning approach, and the researchers have used 20,000 CT labeled scans for 369 patients to detect oncocytoma. The data set was randomly divided into 0.70 for the training set, 10% for the validation set, and 20% for the testing set. The used architecture of the convolutional neural network was an optimized version of the ResNet50V2, and 51% image classifications’ majority vote evaluated the accuracy in order to classify each patient. The test results showed a high level of efficiency, where accuracy, specificity, and area under the curve scores were 97.3%, 93.3%, and 93.5%, respectively. The researchers have concluded that deep learning approaches can do the classification of renal tumor masses accurately and recommended the use of the diagnostic model to prevent overtreatment.
Xiongbiao et al. [75] conducted a study about the segmentation of kidney tumor images by using they used 210 CT images for model training and validation and 90 images for objective model evaluation; they used randomly selected 198 for training and 12 for validation from 210 training. They applied deep learning techniques such as V-net, ResNet 50 encoder with 3D convolution, and ReLU. Based on their experimental results, the proposed model obtained high performance, in which it has achieved 95% of dice score, comparable to other segmentation methods, while its training time was significantly reduced.
Akram et al. [76] conducted a study about the segmentation of kidney images and prediction of tumor by using medical image segmentation and deep learning techniques. They used 300 CT scans images of kidney cancer patients from KITS19 data set, they applied preprocessing techniques on these images such as morphological filtering, and they used modified form of Convolutional Neural Network (CNN) for classification purpose and 3–cross folds. The results show the accuracy from 90 to 99% for segmentation. In addition, the model predicted the tumor detection with accuracy level ranging from 70 to 100%.
6.1. Object Detection
In object detection, the process for identifying the class instance to which the object belongs and determining the object’s position is performed by highlighting the boundary around the object, and there are many types of detection. Single class object detection and multi-class object detection [77] have been applied in a wide field of medical images because of their clear effect on the discovery of diseases of all kinds. Here comes the role of CNN, which is widely used to pull in image properties and detect objects and is a kind of neural network that works on the principle of weight sharing,. The convolution is an integral section of a function that explains how one function interferes with another and will be explained in the following sections. Convolutional layers are used to perform feature extraction, just as convolution operators find features such as edges, curves, thickness, and size.
Detection of Kidney Tumors is critical for subsequent prognosis and treatment planning. If kidney cancer occurs, it is highly likely to spread if it is not detected early. A renal CT scan is required to detect whether there is a tumor or not. Although radiologists can diagnose the tumor, deep learning can speed up the process. Table 3 indicates the outcomes of the related detection tumor studies based on CT scans, which were categorized using the following criteria.
Table 3.
The outcomes of the related detection tumor studies.
6.2. Classification
Classification is one of the important tasks in diagnosing the patient’s condition, and it includes classifying the type of tumor and the subtype of the tumor to determine the appropriate treatment method, which helps reduce the risk of disease or diverts the course of the disease and preserves the person’s life. The evaluation of the performance criteria for the applied feature extraction process requires the selection of an appropriate classification algorithm for the process. Several optimization methods have been used to solve the classification problems [78,79,80]. Therefore, the distinction between one classification method and another lies in its ability to distinguish the differences between the comparison areas. However, regardless of the quality of the feature extraction process applied, if a poor classification design is implemented, an appropriate classifier must be used for the feature to be extracted with best accuracy and quality.
Generally, there are two methods to incorporate classification: quantitative performance analysis and automated class assignment [81]. The former analyzes and then finds discrepancies between the characteristic values of different tissue or mass regions, while the second assigns a category to each distinct region and then calculates the error estimate. Cross-validation is the process of removing a portion of the data set for testing and retaining the rest to train the classifier. When analyzing a different sample, the main goal is to ensure the consistency and repeatability (i.e., non-randomization) of classification results. There are several ways to validate classification results. The hold-out method simply divides the data set into two different sets of training and testing; the leave-one-out method produces sets of N-sized samples randomly using sampling with substitution, as opposed to previous approaches that used samples without substitution [82,83].
Classification of Kidney Tumors is essential at the step of diagnosis. Deep learning enables us to determine whether a tumor is benign or malignant and the subtypes of the tumor with high accuracy and quickly and thus determines an appropriate treatment plan for the case. Table 4 indicates the outcomes of the related classifications tumor studies, which were categorized using the following criteria.
Table 4.
The outcomes of the related classification tumor studies.
6.3. Image Segmentation
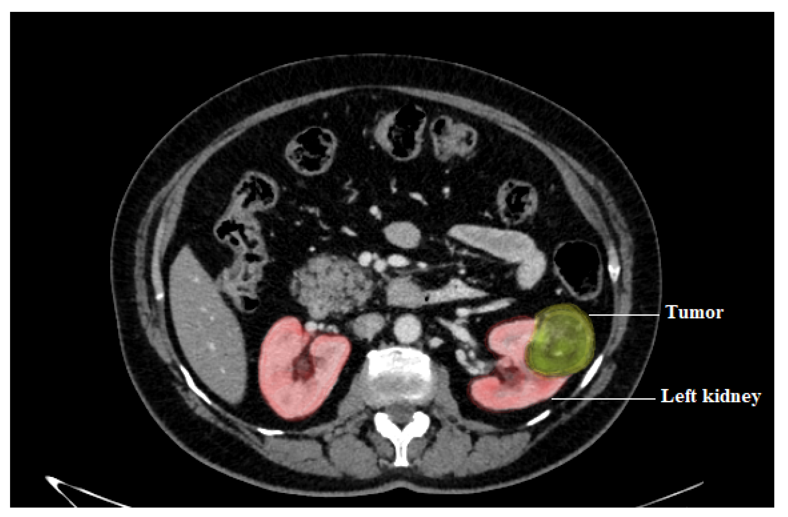
Image segmentation is usually used to detect objects and boundaries (curves, lines, edge, color, intensity, or texture) in images [84,85,86]. The purpose is to re-represent an image in a more meaningful and easier-to-interpret manner. Image segmentation, to put it another way, is the method of allocating a label to each pixel in an image such that pixels with the same label have similar characteristics. Segmentation can be more complex than classification, which contains multiple texture regions in the same picture. The aim is to find areas with uniform texture and correctly mark them with their appropriate classes, taking into account texture borders where windows samples can include multiple textures [87]. Accurate segmentation of Kidney Tumors is critical for subsequent prognosis and treatment planning. Figure 16 shows a segmentation for kidney tumor and renal mass lesion in the left kidney, measuring about 4 cm. Table 5 indicates the outcomes of the related segmentation tumor studies based on CT scans, which were categorized using the following criteria.
Figure 16.
Kidney tumor segmentation.
Table 5.
The outcomes of the related segmentation tumor studies.
6.4. Multi-Modality
Multi-model based on image analysis has experienced rapid growth and has brought unique value to clinical applications of medical image processing [88]. Multiple models are widely used in radiology imaging because they can feed multiple pieces of information about aspects of the disease, given the ability of algorithms to self-learn and generalize over large amounts of data. DL has recently gained significant interest in segmenting medical images [89]. The multiple diagnoses of a kidney tumor are critical because they affect a patient’s survival. Table 6 indicates the outcomes of the related studies for the multi-models based on CT scans, which were categorized using the following criteria.
Table 6.
The outcomes of the related multi-model tumor studies.
7. Discussion and Critical Analysis
The review of current literature shows that studies regarding the diagnosis of a KT have a good result, and it was shown that deep learning has an apparent effect on analyzing medical images more than machine learning. However, there is a gap of limitation of diagnosing the KT, and almost all of them were based on ready-made models, and they did not build an innovative CNN model. More specifically, most studies contained only two models.
The detection studies revolving around the presence of the tumor were based on CT images. The most revealing study achieved the highest accuracy rate of 95% using machine learning techniques, such as HOG, MMD, LBP, and SURF based on 109 CT scans. Besides, classification studies revolved around the classification of the tumor if it was benign or malignant, as well as on the classifications of the RCC, based on CT images, where the highest accuracy rate that was achieved was 97.3%, using deep learning techniques such as ResNet50V2 based on 369 CT scans. In addition, segmentation studies revolve around segmentation of the tumor site in the kidney, based on CT images, with most studies achieving the highest accuracy rate, which was 97.7% by using V-Net. Furthermore, the accuracy rate was 96.9% by using 3D U-Net and both were based on 210 CT scans.
In addition, the studies were multi-models, one of which was detection and segmentation, using modified CNN based on 300 CT scans, with 90–99%. Another study was on the classification RCC Subtype based on 95 CT scans. They achieved a low accuracy rate of 84.6% by using ANN and 69.2% by using SVM. Furthermore, another study on detection and classification tumors, using SVM, CNN, and InceptionV3, achieved a 93.39% accuracy rate, based on 196 CT scans.
The previous studies did not take multiple CT scans for patients. One of the challenges that researchers faced was the availability of data; usually, the data on medical images are few in terms of numbers, which leads to high risks from overtraining and subsequently reduced performance. Some solutions that can help mitigate this problem are using smaller models and augmenting the data. In addition, there is more than one study on the same data set, which affects the limitations of the studies; because of the challenges of collecting data and building data, it takes time and effort, especially the process of pulling the data. It must be ensured that the data is structured correctly in continuous cooperation with specialists.
The intelligent diagnostic methods aim to perform better with less time and reduce the radiologist’s workload. Kidney diseases are correlated since one kidney problem may lead to other problems, which implies that wrong or inaccurate diagnosis may lead to some risk.
8. Conclusions
This review gives a deep investigation of recent studies of kidney tumor detection, in which it focuses on the classical machine learning techniques and deep learning approaches built for Kidney Tumors’ early detection based on radiology imaging scans. Furthermore, it covers machine learning techniques, deep learning approaches, and a comparison between Kidney Tumors’ early detection methods. Many studies investigated using databases of just a few images or data sets, and only a few used hundreds and thousands of images. Most of the studies were not comprehensive in covering the entire diagnosis of the tumor. Although many studies performed a predictor model and achieved high results, none implemented multi-models that performed more than one task that covered all tumor diagnosis, detection, segmentation, and classification. In general, deep learning’s application to kidney radiology imaging is still in its infancy. On the other hand, deep learning will continue to progress because it has many advantages over other imaging approaches, and attempts are being made to address the current challenges.
The directions for future research revolve around using more images from previous studies and diagnosing all aspects of the tumor in one process by employing deep learning algorithms to create multi-models that performs detection, classification, segmentation, and other tasks; this helps the medical staff to diagnose the patient’s condition with high accuracy from all sides and to ensure that there is no shortage of diagnostic information, which leads to the selection of the appropriate treatment method. Moreover, it is possible to incorporate advanced data analytics-based AI techniques (i.e., machine and deep learning techniques) into radiology practice in the future. As given in the literature, various data analytics-based learning techniques can be improved and employed to help solve radiology imaging scans for the early diagnosis of Kidney Tumors. The early detection of KT has developed dramatically in reducing death rates, treating early, and producing preventive measures that reduce effects and overcome KT.
Although obtaining new data is somewhat complicated, there is a need for a newly expanding data set to perform a complete diagnosis that covers the limitations of the diagnosis. There must be a new data set of higher quality in terms of diversity to cover all aspects of diagnosis, not only tumor detection but also for classification and segmentation in one operation.
Moreover, an important aspect is handling data heterogeneity typical in the faced application scenario. Data integration is a key issue in this context. Distributed data sources can be heterogeneous in their formats, schemas, quality, access mechanisms, ownership, access policies, and capabilities. Data integration is the flexible and managed federation, analysis, and processing of data from different distributed sources. Data integration is becoming as important as data mining for exploiting the value of large and distributed data sets that today are available. Distributed processing infrastructures such as Cloud, Grids, and peer-to-peer networks can be used for data integration on geographically distributed sites.
However, until today, none of the current projects meets schema-integration issues necessary for establishing semantic connections among heterogeneous data sources [90]. Formats, schemes, security, access methods, ownership, access regulations, and capabilities of distributed sources of data can all be diverse. Models and approaches for handling various data resources in an integrative way are required. Data integration is the federation, analysis, and processing of the data from several disparate sources in a flexible and controlled manner. Data integration is becoming as vital as data mining to maximize the value of today’s massive and scattered data sets. Data integration on geographically dispersed sites can be accomplished via distributed processing architectures such as Grids and peer-to-peer networks. To integrate diverse data models on database systems and combine data from numerous sources to acquire the essential information, a unique decentralized service-based big data design for Grid databases is required. A new service-based design for system integration on Grids should focus also on future studies.
Author Contributions
M.G.: Conceptualization, supervision, methodology, formal analysis, resources, data curation, writing—original draft preparation. D.A.: Conceptualization, supervision, writing—review and editing, project administration. M.A.: Conceptualization, supervision, writing—review and editing, project administration. I.H.: Conceptualization, supervision, writing—review and editing, project administration. M.R.A.N.: Conceptualization, writing—review and editing. L.A.: Conceptualization, supervision, writing—review and editing, project administration. A.H.G.: Conceptualization, supervision, writing—review and editing, project administration. All authors have read and agreed to the published version of the manuscript.
Funding
This research received no external funding.
Institutional Review Board Statement
Not applicable.
Informed Consent Statement
Not applicable.
Data Availability Statement
Not applicable.
Conflicts of Interest
The authors declare no conflict of interest.
References
- Yu, K.H.; Beam, A.L.; Kohane, I.S. Artificial intelligence in healthcare. Nat. Biomed. Eng. 2018, 2, 719–731. [Google Scholar] [CrossRef] [PubMed]
- Gharaibeh, M.; Almahmoud, M.; Ali, M.; Al-Badarneh, A.; El-Heis, M.; Abualigah, L.; Altalhi, M.; Alaiad, A.; Gandomi, A.H. Early Diagnosis of Alzheimer’s Disease Using Cerebral Catheter Angiogram Neuroimaging: A Novel Model Based on Deep Learning Approaches. Big Data Cogn. Comput. 2022, 6, 2. [Google Scholar] [CrossRef]
- Murdoch, T.B.; Detsky, A.S. The inevitable application of big data to health care. JAMA 2013, 309, 1351–1352. [Google Scholar] [CrossRef] [PubMed]
- Klepaczko, A.; Majos, M.; Stefańczyk, L.; Ejkefjord, E.; Lundervold, A. Whole kidney and renal cortex segmentation in contrast-enhanced MRI using a joint classification and segmentation convolutional neural network. Biocybern. Biomed. Eng. 2022, 42, 295–311. [Google Scholar] [CrossRef]
- Fuat, T.; Murat, L.; Barişçi, N. Machine Learning of Kidney Tumors and Diagnosis and Classification by Deep Learning Methods. Uluslararası Mühendislik Araştırma Geliştirme Derg. 2019, 11, 802–812. [Google Scholar]
- Myronenko, A.; Hatamizadeh, A. 3d kidneys and kidney tumor semantic segmentation using boundary-aware networks. arXiv 2019, arXiv:1909.06684. [Google Scholar]
- Thomas, R.; Kanso, A.; Sedor, J.R. Chronic kidney disease and its complications. Prim. Care Clin. Off. Pract. 2008, 35, 329–344. [Google Scholar] [CrossRef] [Green Version]
- Alelign, T.; Petros, B. Kidney stone disease: An update on current concepts. Adv. Urol. 2018, 2018, 3068365. [Google Scholar] [CrossRef]
- Ghaderian, S.B.; Beladi-Mousavi, S.S. The role of diabetes mellitus and hypertension in chronic kidney disease. J. Ren. Inj. Prev. 2014, 3, 109. [Google Scholar]
- Akhtar, M.; Taha, N.M.; Nauman, A.; Mujeeb, I.B.; Al-Nabet, A.D.M. Diabetic kidney disease: Past and present. Adv. Anat. Pathol. 2020, 27, 87–97. [Google Scholar] [CrossRef]
- Pirkle, J.L.; Freedman, B.I. Hypertension and chronic kidney disease: Controversies in pathogenesis and treatment. Minerva Urol. Nefrol. Ital. J. Urol. Nephrol. 2013, 65, 37. [Google Scholar]
- Leveridge, M.J.; Jewett, M.A. Recent developments in kidney cancer. Can. Urol. Assoc. J. 2011, 5, 195. [Google Scholar] [CrossRef] [PubMed]
- Li, Z.y.; Chen, Y.m.; Qiu, L.q.; Chen, D.q.; Hu, C.g.; Xu, J.y.; Zhang, X.h. Prevalence, types, and malformations in congenital anomalies of the kidney and urinary tract in newborns: A retrospective hospital-based study. Ital. J. Pediatr. 2019, 45, 1–7. [Google Scholar] [CrossRef] [PubMed]
- Rao, S.; Carter, W.B.; Mapes, D.L.; Kallich, J.D.; Kamberg, C.J.; Spritzer, K.L.; Hays, R.D. Development of subscales from the symptoms/problems and effects of kidney disease scales of the kidney disease quality of life instrument. Clin. Ther. 2000, 22, 1099–1111. [Google Scholar] [CrossRef]
- Vogelzang, N.J.; Stadler, W.M. Kidney cancer. Lancet 1998, 352, 1691–1696. [Google Scholar] [CrossRef]
- Linehan, W.M. Genetic basis of kidney cancer: Role of genomics for the development of disease-based therapeutics. Genome Res. 2012, 22, 2089–2100. [Google Scholar] [CrossRef] [Green Version]
- Ricketts, R.; Tamboli, P.; Czerniak, B.; Guo, C.C. Tumor-to-tumor metastasis: Report of 2 cases of metastatic carcinoma to angiomyolipoma of the kidney. Arch. Pathol. Lab. Med. 2008, 132, 1016–1020. [Google Scholar] [CrossRef]
- McAninch, J.W.; Lue, T.F. Smith & Tanagho’s General Urology. Ph.D. Thesis, Univerza v Ljubljani, Medicinska Fakulteta, Ljubljana, Slovenia, 2013. [Google Scholar]
- Society, A.C. Overview: Kidney Cancer. 2016. Available online: https://www.kidneycancer.org/ (accessed on 7 February 2022).
- Gago-Dominguez, M.; Yuan, J.M.; Castelao, J.E.; Ross, R.K.; Mimi, C.Y. Family history and risk of renal cell carcinoma. Cancer Epidemiol. Prev. Biomarkers 2001, 10, 1001–1004. [Google Scholar]
- Williams, P.T. Reduced risk of incident kidney cancer from walking and running. Med. Sci. Sport. Exerc. 2014, 46, 312. [Google Scholar] [CrossRef] [Green Version]
- Chow, W.H.; Gridley, G.; Fraumeni, J.F., Jr.; Järvholm, B. Obesity, hypertension, and the risk of kidney cancer in men. N. Engl. J. Med. 2000, 343, 1305–1311. [Google Scholar] [CrossRef]
- Tanagho, E.A.; McAninch, J.W. Smith’s General Urology; McGraw-Hill: New York, NY, USA, 1996. [Google Scholar]
- Corcoran, A.T.; Russo, P.; Lowrance, W.T.; Asnis-Alibozek, A.; Libertino, J.A.; Pryma, D.A.; Divgi, C.R.; Uzzo, R.G. A review of contemporary data on surgically resected renal masses—Benign or malignant? Urology 2013, 81, 707–713. [Google Scholar] [CrossRef] [PubMed]
- Decision Support in Medicine. Available online: https://www.thecardiologyadvisor.com/home/decision-support-in-medicine/ (accessed on 7 February 2022).
- Wagle, D.G.; Moore, R.H.; Murphy, G.P. Secondary carcinomas of the kidney. J. Urol. 1975, 114, 30–32. [Google Scholar] [CrossRef]
- Reznek, R.H. CT/MRI in staging renal cell carcinoma. Cancer Imaging 2004, 4, S25. [Google Scholar] [CrossRef] [PubMed]
- Quaia, E. Radiological Imaging of the Kidney; Springer: Berlin/Heidelberg, Germany, 2014. [Google Scholar]
- Herts, B.R. Imaging for renal tumors. Curr. Opin. Urol. 2003, 13, 181–186. [Google Scholar] [CrossRef]
- Semelka, R.; Shoenut, J.; Kroeker, M.; MacMahon, R.; Greenberg, H. Renal lesions: Controlled comparison between CT and 1.5-T MR imaging with nonenhanced and gadolinium-enhanced fat-suppressed spin-echo and breath-hold FLASH techniques. Radiology 1992, 182, 425–430. [Google Scholar] [CrossRef]
- Nazim, S.M.; Ather, M.H.; Hafeez, K.; Salam, B. Accuracy of multidetector CT scans in staging of renal carcinoma. Int. J. Surg. 2011, 9, 86–90. [Google Scholar] [CrossRef] [Green Version]
- Hallscheidt, P.J.; Fink, C.; Haferkamp, A.; Bock, M.; Luburic, A.; Zuna, I.; Noeldge, G.; Kauffmann, G. Preoperative staging of renal cell carcinoma with inferior vena cava thrombus using multidetector CT and MRI: Prospective study with histopathological correlation. J. Comput. Assist. Tomogr. 2005, 29, 64–68. [Google Scholar] [CrossRef]
- Bai, W.; Fadil, Y.; Chadli, A.; Dakir, M.; Debbagh, A.; Aboutaeib, R. Correlation between CT and anatomopathological staging of kidney cancer. Int. J. Surg. Case Rep. 2021, 80, 105687. [Google Scholar] [CrossRef]
- van Oostenbrugge, T.J.; Fütterer, J.J.; Mulders, P.F. Diagnostic imaging for solid renal tumors: A pictorial review. Kidney Cancer 2018, 2, 79–93. [Google Scholar] [CrossRef] [Green Version]
- Kotsiantis, S.B.; Zaharakis, I.; Pintelas, P. Supervised machine learning: A review of classification techniques. Emerg. Artif. Intell. Appl. Comput. Eng. 2007, 160, 3–24. [Google Scholar]
- Pu, Y.; Gan, Z.; Henao, R.; Yuan, X.; Li, C.; Stevens, A.; Carin, L. Variational autoencoder for deep learning of images, labels and captions. arXiv 2016, arXiv:1609.08976. [Google Scholar]
- Ongsulee, P. Artificial intelligence, machine learning and deep learning. In Proceedings of the 2017 15th International Conference on ICT and Knowledge Engineering (ICT&KE), Bangkok, Thailand, 22–24 November 2017; pp. 1–6. [Google Scholar]
- Krizhevsky, A.; Sutskever, I.; Hinton, G.E. Imagenet classification with deep convolutional neural networks. Adv. Neural Inf. Process. Syst. 2012, 25, 1097–1105. [Google Scholar] [CrossRef]
- Kang, L.; Zhou, Z.; Huang, J.; Han, W.; Member, I. Renal tumors segmentation in abdomen CT Images using 3D-CNN and ConvLSTM. Biomed. Signal Process. Control 2022, 72, 103334. [Google Scholar] [CrossRef]
- George, M.; Anita, H. Analysis of Kidney Ultrasound Images Using Deep Learning and Machine Learning Techniques: A Review. In Pervasive Computing and Social Networking; Springer: Berlin/Heidelberg, Germany, 2022; pp. 183–199. [Google Scholar]
- Yang, E.; Kim, C.K.; Guan, Y.; Koo, B.B.; Kim, J.H. 3D Multi-Scale Residual Fully Convolutional Neural Network for Segmentation of Extremely Large-Sized Kidney Tumor. Comput. Methods Programs Biomed. 2022, 72, 106616. [Google Scholar] [CrossRef] [PubMed]
- Aghdam, H.H.; Heravi, E.J. Guide to Convolutional Neural Networks; Springer: New York, NY, USA, 2017; Volume 10, pp. 973–978. [Google Scholar]
- Ciregan, D.; Meier, U.; Schmidhuber, J. Multi-column deep neural networks for image classification. In Proceedings of the 2012 IEEE Conference on Computer Vision and Pattern Recognition, Providence, RI, USA, 16–21 June 2012; pp. 3642–3649. [Google Scholar]
- Shin, H.C.; Roth, H.R.; Gao, M.; Lu, L.; Xu, Z.; Nogues, I.; Yao, J.; Mollura, D.; Summers, R.M. Deep convolutional neural networks for computer-aided detection: CNN architectures, dataset characteristics and transfer learning. IEEE Trans. Med. Imaging 2016, 35, 1285–1298. [Google Scholar] [CrossRef] [Green Version]
- Iandola, F.N.; Han, S.; Moskewicz, M.W.; Ashraf, K.; Dally, W.J.; Keutzer, K. SqueezeNet: AlexNet-level accuracy with 50x fewer parameters and< 0.5 MB model size. arXiv 2016, arXiv:1602.07360. [Google Scholar]
- Qassim, H.; Verma, A.; Feinzimer, D. Compressed residual-VGG16 CNN model for big data places image recognition. In Proceedings of the 2018 IEEE 8th Annual Computing and Communication Workshop and Conference (CCWC), Las Vegas, NV, USA, 8–10 January 2018; pp. 169–175. [Google Scholar]
- Szegedy, C.; Vanhoucke, V.; Ioffe, S.; Shlens, J.; Wojna, Z. Rethinking the inception architecture for computer vision. In Proceedings of the IEEE Conference on Computer Vision and Pattern Recognition, Las Vegas, NV, USA, 27–30 June 2016; pp. 2818–2826. [Google Scholar]
- Lin, S.; Jia, H.; Abualigah, L.; Altalhi, M. Enhanced Slime Mould Algorithm for Multilevel Thresholding Image Segmentation Using Entropy Measures. Entropy 2021, 23, 1700. [Google Scholar] [CrossRef]
- Tan, M.; Le, Q. Efficientnet: Rethinking model scaling for convolutional neural networks. In Proceedings of the International Conference on Machine Learning, PMLR, Long Beach, CA, USA, 9–15 June 2019; pp. 6105–6114. [Google Scholar]
- Rafi, M.; Shetty, A.; Gunja, N. Accuracy of computed tomography of the kidneys, ureters and bladder interpretation by emergency physicians. Emerg. Med. Australas. 2013, 25, 422–426. [Google Scholar] [CrossRef]
- Ghalib, M.R.; Bhatnagar, S.; Jayapoorani, S.; Pande, U. Artificial neural network based detection of renal tumors using CT scan image processing. Int. J. Eng. Technol. (IJET) 2014, 2, 28–35. [Google Scholar]
- Liu, J.; Wang, S.; Linguraru, M.G.; Yao, J.; Summers, R.M. Computer-aided detection of exophytic renal lesions on non-contrast CT images. Med. Image Anal. 2015, 19, 15–29. [Google Scholar] [CrossRef] [Green Version]
- Attia, M.W.; Abou-Chadi, F.; Moustafa, H.E.D.; Mekky, N. Classification of ultrasound kidney images using PCA and neural networks. Int. J. Adv. Comput. Sci. Appl. 2015, 6, 53–57. [Google Scholar]
- Mredhula, L.; Dorairangaswamy, M. Detection and Classification of tumors in CT images. Indian J. Comput. Sci. Eng. (IJCSE) 2015, 6. [Google Scholar]
- Feng, Z.; Rong, P.; Cao, P.; Zhou, Q.; Zhu, W.; Yan, Z.; Liu, Q.; Wang, W. Machine learning-based quantitative texture analysis of CT images of small renal masses: Differentiation of angiomyolipoma without visible fat from renal cell carcinoma. Eur. Radiol. 2018, 28, 1625–1633. [Google Scholar] [CrossRef] [PubMed]
- Kocak, B.; Yardimci, A.H.; Bektas, C.T.; Turkcanoglu, M.H.; Erdim, C.; Yucetas, U.; Koca, S.B.; Kilickesmez, O. Textural differences between renal cell carcinoma subtypes: Machine learning-based quantitative computed tomography texture analysis with independent external validation. Eur. J. Radiol. 2018, 107, 149–157. [Google Scholar] [CrossRef] [PubMed]
- Muhamed Ali, A.; Zhuang, H.; Ibrahim, A.; Rehman, O.; Huang, M.; Wu, A. A machine learning approach for the classification of kidney cancer subtypes using miRNA genome data. Appl. Sci. 2018, 8, 2422. [Google Scholar] [CrossRef] [Green Version]
- Tabibu, S.; Vinod, P.; Jawahar, C. Pan-Renal Cell Carcinoma classification and survival prediction from histopathology images using deep learning. Sci. Rep. 2019, 9, 1–9. [Google Scholar]
- Zhou, L.; Zhang, Z.; Chen, Y.C.; Zhao, Z.Y.; Yin, X.D.; Jiang, H.B. A deep learning-based radiomics model for differentiating benign and malignant renal tumors. Transl. Oncol. 2019, 12, 292–300. [Google Scholar] [CrossRef]
- Han, S.; Hwang, S.I.; Lee, H.J. The classification of renal cancer in 3-phase CT images using a deep learning method. J. Digit. Imaging 2019, 32, 638–643. [Google Scholar] [CrossRef] [Green Version]
- Hussain, M.A.; Hamarneh, G.; Garbi, R. ImHistNet: Learnable image histogram based DNN with application to noninvasive determination of carcinoma grades in CT scans. In Proceedings of the International Conference on Medical Image Computing and Computer-Assisted Intervention, Shenzhen, China, 13–17 October 2019; Springer: Berlin/Heidelberg, Germany, 2019; pp. 130–138. [Google Scholar]
- Zhao, W.; Jiang, D.; Queralta, J.P.; Westerlund, T. MSS U-Net: 3D segmentation of kidneys and tumors from CT images with a multi-scale supervised U-Net. Informatics Med. Unlocked 2020, 19, 100357. [Google Scholar] [CrossRef]
- Sun, X.Y.; Feng, Q.X.; Xu, X.; Zhang, J.; Zhu, F.P.; Yang, Y.H.; Zhang, Y.D. Radiologic-radiomic machine learning models for differentiation of benign and malignant solid renal masses: Comparison with expert-level radiologists. Am. J. Roentgenol. 2020, 214, W44–W54. [Google Scholar] [CrossRef]
- Nazari, M.; Shiri, I.; Hajianfar, G.; Oveisi, N.; Abdollahi, H.; Deevband, M.R.; Oveisi, M.; Zaidi, H. Noninvasive Fuhrman grading of clear cell renal cell carcinoma using computed tomography radiomic features and machine learning. Radiol. Medica 2020, 125, 754–765. [Google Scholar] [CrossRef] [PubMed] [Green Version]
- Zabihollahy, F.; Schieda, N.; Krishna, S.; Ukwatta, E. Automated classification of solid renal masses on contrast-enhanced computed tomography images using convolutional neural network with decision fusion. Eur. Radiol. 2020, 30, 5183–5190. [Google Scholar] [CrossRef] [PubMed]
- Vendrami, C.L.; McCarthy, R.J.; Villavicencio, C.P.; Miller, F.H. Predicting common solid renal tumors using machine learning models of classification of radiologist-assessed magnetic resonance characteristics. Abdom. Radiol. 2020, 45, 2797–2809. [Google Scholar] [CrossRef] [PubMed]
- Schieda, N.; Nguyen, K.; Thornhill, R.E.; McInnes, M.D.; Wu, M.; James, N. Importance of phase enhancement for machine learning classification of solid renal masses using texture analysis features at multi-phasic CT. Abdom. Radiol. 2020, 45, 2786–2796. [Google Scholar] [CrossRef]
- Yang, R.; Wu, J.; Sun, L.; Lai, S.; Xu, Y.; Liu, X.; Ma, Y.; Zhen, X. Radiomics of small renal masses on multiphasic CT: Accuracy of machine learning–based classification models for the differentiation of renal cell carcinoma and angiomyolipoma without visible fat. Eur. Radiol. 2020, 30, 1254–1263. [Google Scholar] [CrossRef]
- Yap, F.Y.; Varghese, B.A.; Cen, S.Y.; Hwang, D.H.; Lei, X.; Desai, B.; Lau, C.; Yang, L.L.; Fullenkamp, A.J.; Hajian, S.; et al. Shape and texture-based radiomics signature on CT effectively discriminates benign from malignant renal masses. Eur. Radiol. 2020, 31, 1011–1021. [Google Scholar] [CrossRef]
- Uhlig, J.; Leha, A.; Delonge, L.M.; Haack, A.M.; Shuch, B.; Kim, H.S.; Bremmer, F.; Trojan, L.; Lotz, J.; Uhlig, A. Radiomic Features and Machine Learning for the Discrimination of Renal Tumor Histological Subtypes: A Pragmatic Study Using Clinical-Routine Computed Tomography. Cancers 2020, 12, 3010. [Google Scholar] [CrossRef]
- Türk, F.; Lüy, M.; Barışçı, N. Kidney and renal tumor segmentation using a hybrid V-Net-Based model. Mathematics 2020, 8, 1772. [Google Scholar] [CrossRef]
- Sudharson, S.; Kokil, P. An ensemble of deep neural networks for kidney ultrasound image classification. Comput. Methods Programs Biomed. 2020, 197, 105709. [Google Scholar] [CrossRef]
- Haji-Momenian, S.; Lin, Z.; Patel, B.; Law, N.; Michalak, A.; Nayak, A.; Earls, J.; Loew, M. Texture analysis and machine learning algorithms accurately predict histologic grade in small (<4 cm) clear cell renal cell carcinomas: A pilot study. Abdom. Radiol. 2020, 45, 789–798. [Google Scholar]
- Pedersen, M.; Andersen, M.B.; Christiansen, H.; Azawi, N.H. Classification of renal tumour using convolutional neural networks to detect oncocytoma. Eur. J. Radiol. 2020, 133, 109343. [Google Scholar] [CrossRef]
- Luo, X.; Zeng, W.; Fan, W.; Zheng, S.; Chen, J.; Liu, R.; Liu, Z.; Chen, Y. Towards cascaded V-Net for automatic accurate kidney segmentation from abdominal CT images. In Proceedings of the Medical Imaging 2021: Image Processing. International Society for Optics and Photonics, San Diego, CA, USA, 14–18 February 2021; Volume 11596, p. 1159619. [Google Scholar]
- Akram, Z. Cancerous Tumor Segmentation of Kidney Images and Prediction of Tumor Using Medical Image Segmentation and Deep Learning Techniques. Clin. Oncol. 2021, 4, 1–9. [Google Scholar]
- Ker, J.; Wang, L.; Rao, J.; Lim, T. Deep learning applications in medical image analysis. IEEE Access 2017, 6, 9375–9389. [Google Scholar] [CrossRef]
- Abualigah, L.; Diabat, A.; Mirjalili, S.; Abd Elaziz, M.; Gandomi, A.H. The arithmetic optimization algorithm. Comput. Methods Appl. Mech. Eng. 2021, 376, 113609. [Google Scholar] [CrossRef]
- Abualigah, L.; Yousri, D.; Abd Elaziz, M.; Ewees, A.A.; Al-Qaness, M.A.; Gandomi, A.H. Aquila optimizer: A novel meta-heuristic optimization algorithm. Comput. Ind. Eng. 2021, 157, 107250. [Google Scholar] [CrossRef]
- Abualigah, L.; Abd Elaziz, M.; Sumari, P.; Geem, Z.W.; Gandomi, A.H. Reptile Search Algorithm (RSA): A nature-inspired meta-heuristic optimizer. Expert Syst. Appl. 2022, 191, 116158. [Google Scholar] [CrossRef]
- Aggarwal, C.C.; Zhai, C. A survey of text classification algorithms. In Mining Text Data; Springer: Berlin/Heidelberg, Germany, 2012; pp. 163–222. [Google Scholar]
- Oyelade, O.N.; Ezugwu, A.E.; Mohamed, T.I.; Abualigah, L. Ebola Optimization Search Algorithm: A new nature-inspired metaheuristic algorithm. IEEE Access 2022, 10, 16150–16177. [Google Scholar] [CrossRef]
- Agushaka, J.O.; Ezugwu, A.E.; Abualigah, L. Dwarf Mongoose Optimization Algorithm. Comput. Methods Appl. Mech. Eng. 2022, 391, 114570. [Google Scholar] [CrossRef]
- Houssein, E.H.; Hussain, K.; Abualigah, L.; Abd Elaziz, M.; Alomoush, W.; Dhiman, G.; Djenouri, Y.; Cuevas, E. An improved opposition-based marine predators algorithm for global optimization and multilevel thresholding image segmentation. Knowl.-Based Syst. 2021, 229, 107348. [Google Scholar] [CrossRef]
- Abualigah, L.; Diabat, A.; Sumari, P.; Gandomi, A.H. A novel evolutionary arithmetic optimization algorithm for multilevel thresholding segmentation of covid-19 ct images. Processes 2021, 9, 1155. [Google Scholar] [CrossRef]
- Ewees, A.A.; Abualigah, L.; Yousri, D.; Sahlol, A.T.; Al-qaness, M.A.; Alshathri, S.; Elaziz, M.A. Modified Artificial Ecosystem-Based Optimization for Multilevel Thresholding Image Segmentation. Mathematics 2021, 9, 2363. [Google Scholar] [CrossRef]
- Unnikrishnan, R.; Pantofaru, C.; Hebert, M. Toward objective evaluation of image segmentation algorithms. IEEE Trans. Pattern Anal. Mach. Intell. 2007, 29, 929–944. [Google Scholar] [CrossRef] [PubMed] [Green Version]
- Guo, Z.; Li, X.; Huang, H.; Guo, N.; Li, Q. Deep learning-based image segmentation on multimodal medical imaging. IEEE Trans. Radiat. Plasma Med. Sci. 2019, 3, 162–169. [Google Scholar] [CrossRef] [PubMed]
- Xu, T.; Zhang, H.; Huang, X.; Zhang, S.; Metaxas, D.N. Multimodal deep learning for cervical dysplasia diagnosis. In Proceedings of the International Conference on Medical Image Computing and Computer-Assisted Intervention, Athens, Greece, 17–21 October 2016; Springer: Berlin/Heidelberg, Germany, 2016; pp. 115–123. [Google Scholar]
- Comito, C.; Talia, D. GDIS: A service-based architecture for data integration on grids. In Proceedings of the OTM Confederated International Conferences “On the Move to Meaningful Internet Systems”, Agia Napa, Cyprus, 25–29 October 2004; Springer: Berlin/Heidelberg, Germany, 2004; pp. 88–98. [Google Scholar]
Publisher’s Note: MDPI stays neutral with regard to jurisdictional claims in published maps and institutional affiliations. |
© 2022 by the authors. Licensee MDPI, Basel, Switzerland. This article is an open access article distributed under the terms and conditions of the Creative Commons Attribution (CC BY) license (https://creativecommons.org/licenses/by/4.0/).







