IFI16 and Anti-IFI16 as Novel Biomarkers for Sjoegren’s Syndrome: Preliminary Data †
Conflicts of Interest
References
- Brito-Zerón, P.; Baldini, C.; Bootsma, H.; Bowman, S.J.; Jonsson, R.; Mariette, X.; Sivils, K.; Theander, E.; Tzioufas, A.; Ramos-Casals, M. Sjoegren’s syndrome. Nat. Rev. Dis. Primers. 2016, 2, 16047. [Google Scholar] [CrossRef] [PubMed]
- Alunno, A.; Caneparo, V.; Carubbi, F.; Bistoni, O.; Caterbi, S.; Bartoloni, E.; Giacomelli, R.; Gariglio, M.; Landolfo, S.; Gerli, R. Interferon gamma-inducible protein 16 in primary Sjögren’s syndrome: A novel player in disease pathogenesis? Arthritis Res. Ther. 2015, 17, 208. [Google Scholar] [CrossRef] [PubMed]

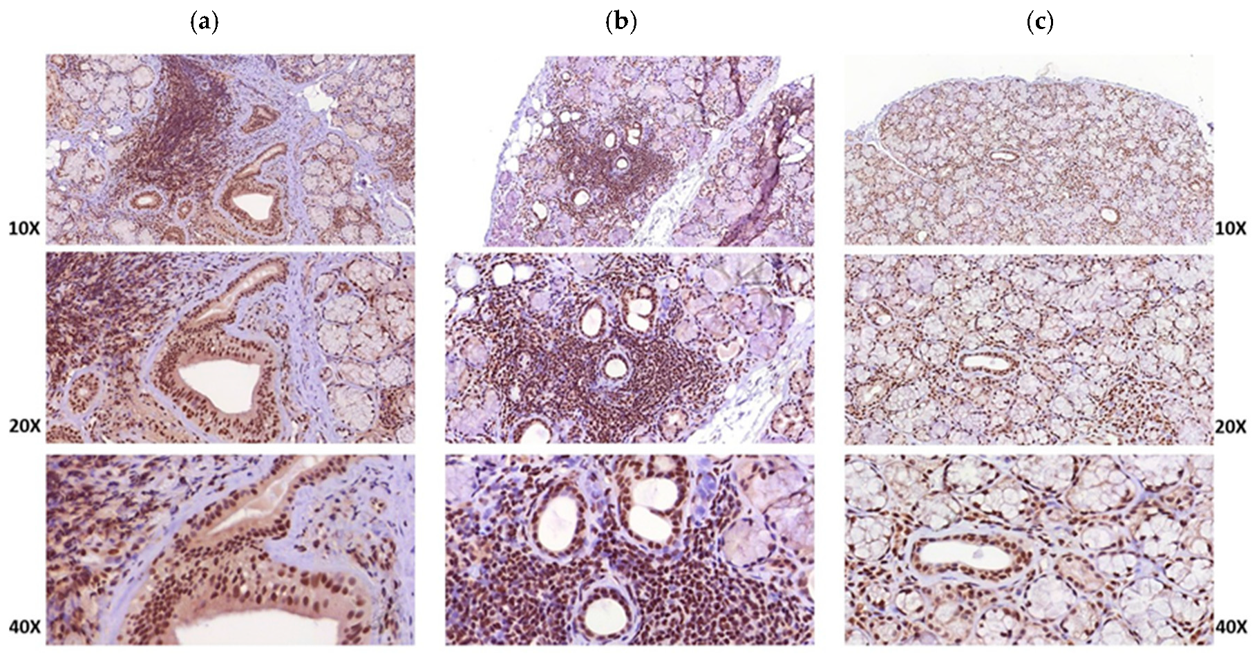
| Parameter | Patient (a) | Patient (b) | Patient (c) |
|---|---|---|---|
| ESSDAI | 12 | 0 | 3 |
| RF | + | - | - |
| Anti-SSA/Ro | +++ | ++ | + |
| Anti-IFI16 IgG U/mL Serum | 116 (+) | 102 (-) | 147 (+) |
| IFI16 ng/mL Serum | 472 (++) | 0.00 (-) | 0.00 (-) |
| Anti-IFI16 IgA U/mL Saliva | 4.7 (-) | 5.4 (-) | 10 (+) |
| Hypocomplementemia | + | - | + |
| Hypergammaglobulinemia | + | - | + |
© 2019 by the authors. Licensee MDPI, Basel, Switzerland. This article is an open access article distributed under the terms and conditions of the Creative Commons Attribution (CC BY) license (http://creativecommons.org/licenses/by/4.0/).
Share and Cite
Marino, S.; Gualtierotti, R.; Caneparo, V.; Andrea, M.D.; Gariglio, M.; Meroni, P.L.; Bossi, E.; Spadari, F. IFI16 and Anti-IFI16 as Novel Biomarkers for Sjoegren’s Syndrome: Preliminary Data. Proceedings 2019, 35, 30. https://doi.org/10.3390/proceedings2019035030
Marino S, Gualtierotti R, Caneparo V, Andrea MD, Gariglio M, Meroni PL, Bossi E, Spadari F. IFI16 and Anti-IFI16 as Novel Biomarkers for Sjoegren’s Syndrome: Preliminary Data. Proceedings. 2019; 35(1):30. https://doi.org/10.3390/proceedings2019035030
Chicago/Turabian StyleMarino, Sonia, Roberta Gualtierotti, Valeria Caneparo, Marco De Andrea, Marisa Gariglio, Pier Luigi Meroni, Eleonora Bossi, and Francesco Spadari. 2019. "IFI16 and Anti-IFI16 as Novel Biomarkers for Sjoegren’s Syndrome: Preliminary Data" Proceedings 35, no. 1: 30. https://doi.org/10.3390/proceedings2019035030
APA StyleMarino, S., Gualtierotti, R., Caneparo, V., Andrea, M. D., Gariglio, M., Meroni, P. L., Bossi, E., & Spadari, F. (2019). IFI16 and Anti-IFI16 as Novel Biomarkers for Sjoegren’s Syndrome: Preliminary Data. Proceedings, 35(1), 30. https://doi.org/10.3390/proceedings2019035030

