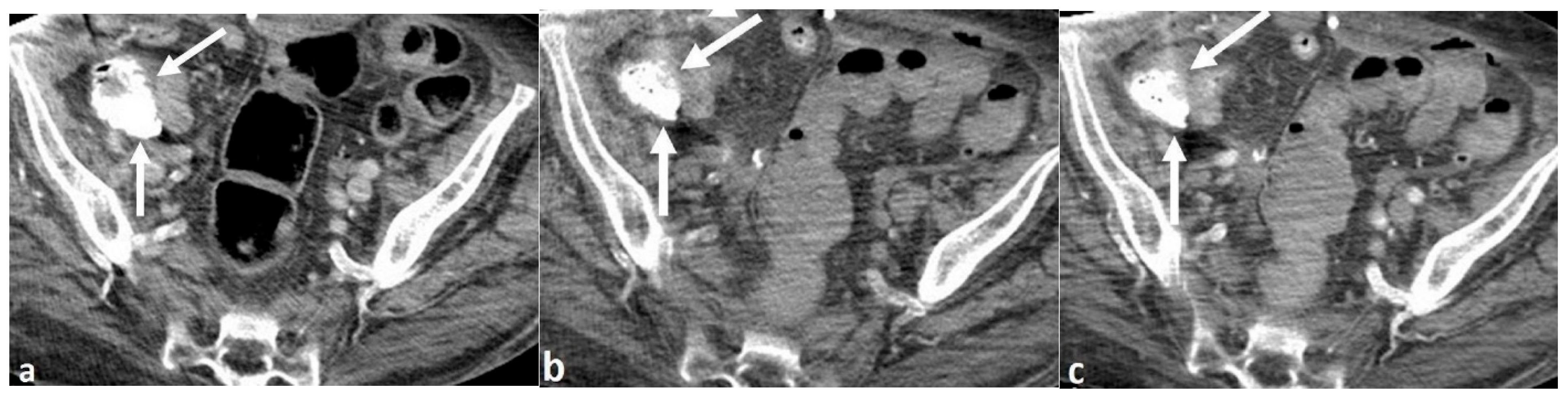
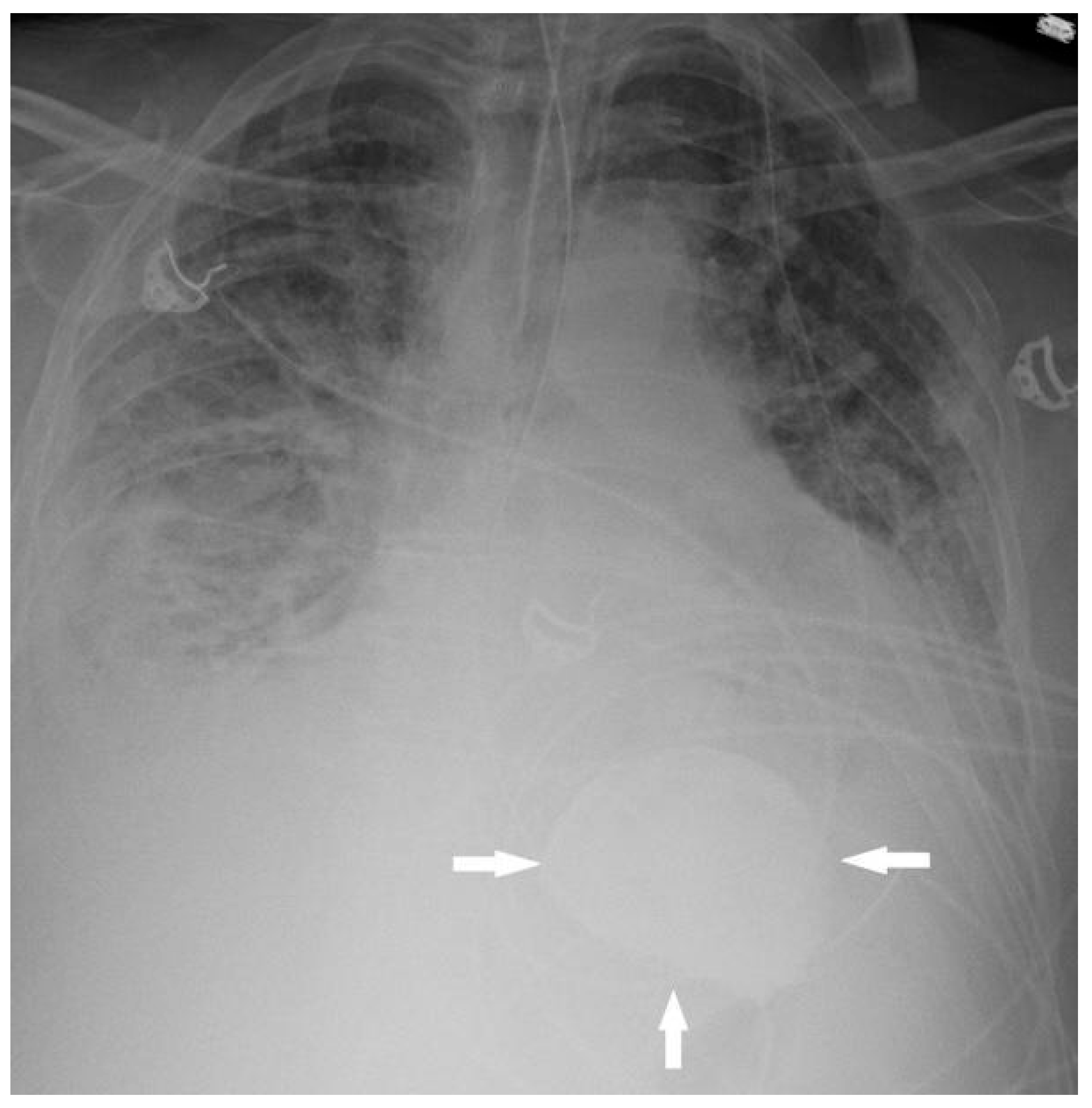
Sodium Zirconium Cyclosilicate in the Gastrointestinal Tract Mimicking an Acute Gastrointestinal Bleed on CT
Abstract
Author Contributions
Funding
Institutional Review Board Statement
Informed Consent Statement
Data Availability Statement
Conflicts of Interest
Abbreviations
| CT | Computed Tomography |
| SZC | Sodium Zirconium Cyclosilicate |
| GI | Gastrointestinal |
| DXA | Dual-energy X-ray absorptiometry |
| HU | Hounsfield Unit |
References
- Savitt, D.L.; Hawkins, H.H.; Roberts, J.R. The radiopacity of ingested medications. Ann. Emerg. Med. 1987, 16, 331–339. [Google Scholar] [CrossRef] [PubMed]
- Chan, Y.C.; Lau, F.L.; Chan, J.C.; Hon, T.Y. A study of drug radiopacity by plain radiography. Hong Kong J. Emerg. Med. 2004, 11, 205–210. [Google Scholar] [CrossRef]
- Commandeur, J.P.; Metwaly, A.; Büchler, L.; Speiser, J.; Brander, L.; Reintam Blaser, A. A degrading potassium tablet mimicking active gastric bleeding in a computer tomographic investigation. Case Rep. Radiol. 2020, 2020, 9791519. [Google Scholar] [CrossRef] [PubMed]
- Florez, M.V.; Evans, J.M.; Daly, T.R. The radiodensity of medications seen on x-ray films. Mayo Clin. Proc. 1998, 73, 516–519. [Google Scholar]
- Onal, B.; Citgez, S.; Tansu, N.; Talat, Z.; Oner, A. Tablets of the potassium citrate may cause a stone-like image: A case report. Urol. Res. 2009, 37, 165–168. [Google Scholar] [CrossRef] [PubMed]
- Schreuder, M.F.; Kortmann, B.B.; Cornelissen, E.A. A boy with radiopacities on his abdominal X-ray. J. Paediatr. Child Health 2013, 49, 420. [Google Scholar] [CrossRef] [PubMed]
- Khara, H.S.; Diehl, D.L.; Metwally, M.J.; Schwender, B.J. Bismuth subsalicylate tablet masquerading as vanishing button battery in the stomach. Gastrointest. Endosc. 2014, 79, 539–540. [Google Scholar] [CrossRef] [PubMed]
- Kolesnik, M.; Berezovsky, D.; Sayegh, M.; Samarneh, M. Radiopacity of sodium zirconium cyclosilicate on CT imaging. CEN Case Rep. 2021, 10, 559–562. [Google Scholar] [CrossRef] [PubMed]
- Kotake, H.; Matsuda, T.; Yazawa, M. Opaque Densities in the GI Tract of a Patient Treated for Hyperkalemia. Kidney 360 2023, 4, e861–e862. [Google Scholar] [CrossRef] [PubMed]
- Angioi, A.; Floris, M.; Lepori, N.; Cabiddu, G.; Pani, A. Radiopacity of Sodium Zirconium Cyclosilicate in Computed Tomography: A case of a patient with Hyperkalemia and kidney disease. Ren. Fail. 2023, 45, 2284839. [Google Scholar] [CrossRef] [PubMed]
- Boss, R.; Nguyen, M.; Wahi-Gururaj, S. Lokelma’s Interaction with Computed Tomography Angiography. Ann. Intern. Med. Clin. Cases 2023, 2, e230888. [Google Scholar] [CrossRef]
- McCarney, B.; Binkley, N.; Krueger, D. A newly recognized DXA confounder: The potassium-binding medication sodium zirconium cyclosilicate. J. Clin. Densitom. 2021, 24, 281–286. [Google Scholar] [CrossRef] [PubMed]
- Stavros, F.; Yang, A.; Leon, A.; Nuttall, M.; Rasmussen, H.S. Characterization of structure and function of ZS-9, a K+ selective ion trap. PLoS ONE 2014, 9, e114686. [Google Scholar] [CrossRef] [PubMed]
- Hoy, S.M. Sodium zirconium cyclosilicate: A review in hyperkalaemia. Drugs 2018, 78, 1605–1613. [Google Scholar] [CrossRef] [PubMed]
- Chen, Y.W.; Moussi, J.; Drury, J.L.; Wataha, J.C. Zirconia in biomedical applications. Expert Rev. Med. Devices 2016, 13, 945–963. [Google Scholar] [CrossRef] [PubMed]
- Smeets, R.; Schöllchen, M.; Gauer, T.; Aarabi, G.; Assaf, A.T.; Rendenbach, C.; Beck-Broichsitter, B.; Semmusch, J.; Sedlacik, J.; Heiland, M.; et al. Artefacts in multimodal imaging of titanium, zirconium and binary titanium–zirconium alloy dental implants: An in vitro study. Dentomaxillofacial Radiol. 2017, 46, 20160267. [Google Scholar] [CrossRef] [PubMed]
- Fontenele, R.C.; Nascimento, E.H.; Vasconcelos, T.V.; Noujeim, M.; Freitas, D.Q. Magnitude of cone beam CT image artifacts related to zirconium and titanium implants: Impact on image quality. Dentomaxillofacial Radiol. 2018, 47, 20180021. [Google Scholar] [CrossRef] [PubMed]
- Guglielmo, F.F.; Wells, M.L.; Bruining, D.H.; Strate, L.L.; Huete, Á.; Gupta, A.; Soto, J.A.; Allen, B.C.; Anderson, M.A.; Brook, O.R.; et al. Gastrointestinal bleeding at CT angiography and CT enterography: Imaging atlas and glossary of terms. Radiographics 2021, 41, 1632–1656. [Google Scholar] [CrossRef] [PubMed]


Disclaimer/Publisher’s Note: The statements, opinions and data contained in all publications are solely those of the individual author(s) and contributor(s) and not of MDPI and/or the editor(s). MDPI and/or the editor(s) disclaim responsibility for any injury to people or property resulting from any ideas, methods, instructions or products referred to in the content. |
© 2025 by the authors. Licensee MDPI, Basel, Switzerland. This article is an open access article distributed under the terms and conditions of the Creative Commons Attribution (CC BY) license (https://creativecommons.org/licenses/by/4.0/).
Share and Cite
Hines, J.J., Jr.; Roberts, J.; Katz, D.S. Sodium Zirconium Cyclosilicate in the Gastrointestinal Tract Mimicking an Acute Gastrointestinal Bleed on CT. Reports 2025, 8, 45. https://doi.org/10.3390/reports8020045
Hines JJ Jr., Roberts J, Katz DS. Sodium Zirconium Cyclosilicate in the Gastrointestinal Tract Mimicking an Acute Gastrointestinal Bleed on CT. Reports. 2025; 8(2):45. https://doi.org/10.3390/reports8020045
Chicago/Turabian StyleHines, John J., Jr., Joshua Roberts, and Douglas S. Katz. 2025. "Sodium Zirconium Cyclosilicate in the Gastrointestinal Tract Mimicking an Acute Gastrointestinal Bleed on CT" Reports 8, no. 2: 45. https://doi.org/10.3390/reports8020045
APA StyleHines, J. J., Jr., Roberts, J., & Katz, D. S. (2025). Sodium Zirconium Cyclosilicate in the Gastrointestinal Tract Mimicking an Acute Gastrointestinal Bleed on CT. Reports, 8(2), 45. https://doi.org/10.3390/reports8020045
