Diagnosis and Surgical Management of Pancreatic Insulinoma in a Non-Diabetic Patient: A Case Report
Abstract
1. Introduction and Clinical Significance
2. Case Presentation
2.1. Initial Diagnosis and Early Management
2.2. Endocrinology Evaluation
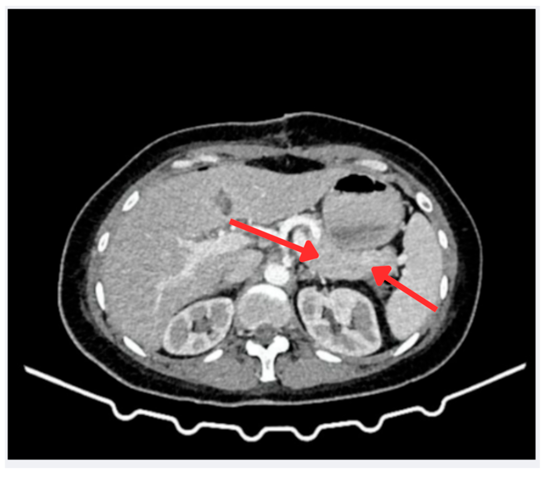
2.3. Diagnostic Procedures
ACTH: Adrenocorticotropic Hormone
2.4. Surgical Intervention and Intraoperative Findings
2.5. Postoperative Follow-Up and Clinical Evolution
| Biopsy Type | Findings |
|---|---|
| Frozen Section | Compatible with neuroendocrine tumor |
| Pathology | Well-differentiated grade 3 neuroendocrine tumor (2.5 × 1.5 × 1 cm) |
| Immunohistochemistry/Histology | Well-differentiated neuroendocrine tumor, (2 mitoses per 2 mm2) with a Ki-67 proliferation index of 21% |
3. Discussion
3.1. Hypoglycemia in Non-Diabetic Patients and Clinical Relevance
3.2. Case Presentation and Differential Diagnosis
3.3. Importance of Advanced Diagnostic Techniques
3.4. Clinical Significance and Comparison with Other Reports
3.5. Prognostic Implications in Diagnosis and a High Ki-67 Index
3.6. Multidisciplinary Approach and the Value of Early Suspicion
3.7. Limitations and Recommendations
4. Conclusions
Author Contributions
Funding
Institutional Review Board Statement
Informed Consent Statement
Data Availability Statement
Acknowledgments
Conflicts of Interest
Abbreviations
| EHHS | Endogenous Hyperinsulinemic Hypoglycemia Syndrome |
| ACTH | Adrenocorticotropic Hormone |
| IAS | Insulin Autoimmune Syndrome |
| FDG | Fluorodeoxyglucose |
| FDG PET/CT | Fluorodeoxyglucose Positron Emission Tomography/Computed Tomography |
| MEN1 | Multiple Endocrine Neoplasia Type 1 |
| EUS | Ultrasonography |
References
- Woo, C.-Y.; Jeong, J.Y.; Jang, J.E.; Leem, J.; Jung, C.H.; Koh, E.H.; Lee, W.J.; Kim, M.-S.; Park, J.-Y.; Lee, J.B.; et al. Clinical Features and Causes of Endogenous Hyperinsulinemic Hypoglycemia in Korea. Diabetes Metab. J. 2015, 39, 126. [Google Scholar] [CrossRef] [PubMed]
- De Santibañes, M.; Cristiano, A.; Mazza, O.; Grossenbacher, L.; De Santibañes, E.; Sánchez Clariá, R.; Sivori, E.; García Mónaco, R.; Pekolj, J. Endogenous Hyperinsulinemia Hypoglucemic Syndrome: Surgical Treatment. Cir. Esp. Engl. Ed. 2014, 92, 547–552. [Google Scholar] [CrossRef]
- Shah, K.; Kothari, A.; Bansode, A.; Aktar, T. Hypoglycemia Caused by Endogenous Hyperinsulinism: A Case Study. Eur. J. Med. Health Sci. 2021, 3, 58–60. [Google Scholar] [CrossRef]
- Zhang, C.; Zhang, H.; Huang, W. Endogenous hyperinsulinemic hypoglycemia: Case series and literature review. Endocrine 2022, 80, 40–46. [Google Scholar] [CrossRef] [PubMed]
- Torres-Arano, S.E.; Fernández-Baez, N.; Torres-González, M.G.; González-Cabrera, I.G.; López-Rosales, F. Hipoglucemia hiperinsulinémica en el adulto. Reporte de un caso de nesidioblastosis y revisión de la literatura. Cir. Cir. 2021, 89, 5988. [Google Scholar] [CrossRef] [PubMed]
- Howe, J.R.; Merchant, N.B.; Conrad, C.; Keutgen, X.M.; Hallet, J.; Drebin, J.A.; Minter, R.M.; Lairmore, T.C.; Tseng, J.F.; Zeh, H.J.; et al. The North American Neuroendocrine Tumor Society Consensus Paper on the Surgical Management of Pancreatic Neuroendocrine Tumors. Pancreas 2020, 49, 1–33. [Google Scholar] [CrossRef] [PubMed]
- Zarghamravanbakhsh, P.; Murthi, S.; Liao, E.P. A Rare Case of Adult Nesidioblastosis Causing Persistent Hypoglycemia in Patient With Atrial Fibrillation and Chronic Kidney Disease. J. Endocr. Soc. 2021, 5, A987–A988. [Google Scholar] [CrossRef]
- Yu, J.; Liu, Y.; Lyu, L.; Zhao, Y.; Qi, M.; Ping, F.; Xu, L.; Li, W.; Xu, Q.; Zhang, H.; et al. The optimal diagnostic criteria of endogenous hyperinsulinemic hypoglycemia based on a large cohort of Chinese patients. Front. Endocrinol. 2022, 13, 994707. [Google Scholar] [CrossRef] [PubMed]
- Felício, J.S.; Koury, C.C.; Martins, C.L.L.P.; Miléo, K.B.; Neto, J.F.A.; de Melo, F.T.C.; de Souza, A.C.C.B. Mini-fasting tests diagnosing endogenous hyperinsulinism: A follow-up of 26 cases. Exp. Clin. Endocrinol. Diabetes Off. J. Ger. Soc. Endocrinol. Ger. Diabetes Assoc. 2014, 122, 149–153. [Google Scholar] [CrossRef] [PubMed]
- Thornton, P.; Stanley, C.A. Approach to the Diagnosis of Neonates and Infants with Persistent Hypoglycemia. Congenital Hyperinsulinism; Humana Press: Totowa, NJ, USA, 2019. [Google Scholar]
- Grubor, N.M.; Grubor, N.N.; Micev, M. Diagnostic Challenges in Difficult-to-Localize Insulinomas: A Case Report and Review of Literature. Diagnostics 2024, 14, 1600. [Google Scholar] [CrossRef] [PubMed]
- Subasinghe, D.; Gunatilake, S.S.C.; Dassanyake, V.E.; Garusinghe, C.; Ganewaththa, E.; Appuhamy, C.; Somasundaram, N.P.; Sivaganesh, S. Seeking the unseen: Localization and surgery for an occult sporadic insulinoma. Ann. Hepato-Biliary-Pancreatic Surg. 2020, 24, 234–238. [Google Scholar] [CrossRef] [PubMed]
- Nirantharakumar, K.; Marshall, T.; Hodson, J.; Narendran, P.; Deeks, J.; Coleman, J.J.; Ferner, R.E. Hypoglycemia in Non-Diabetic In-Patients: Clinical or Criminal? PLoS ONE 2012, 7, e40384. [Google Scholar] [CrossRef] [PubMed]
- Sarkar, U.; Karter, A.J.; Liu, J.Y.; Moffet, H.H.; Adler, N.E.; Schillinger, D. Hypoglycemia is More Common Among Type 2 Diabetes Patients with Limited Health Literacy: The Diabetes Study of Northern California (DISTANCE). J. Gen. Intern. Med. 2010, 25, 962–968. [Google Scholar] [CrossRef] [PubMed]
- Okabayashi, T. Diagnosis and management of insulinoma. World J. Gastroenterol. 2013, 19, 829–837. [Google Scholar] [CrossRef] [PubMed]
- Jensen, R.T.; Cadiot, G.; Brandi, M.L.; De Herder, W.W.; Kaltsas, G.; Komminoth, P.; Scoazec, J.-Y.; Salazar, R.; Sauvanet, A.; Kianmanesh, R. ENETS Consensus Guidelines for the Management of Patients with Digestive Neuroendocrine Neoplasms: Functional Pancreatic Endocrine Tumor Syndromes. Neuroendocrinology 2012, 95, 98–119. [Google Scholar] [CrossRef] [PubMed]
- Palani, G.; Stortz, E.; Moheet, A. Clinical presentation and diagnostic approach to hypoglycemia in adults without diabetes mellitus. Endocr. Pract. Off. J. Am. Coll. Endocrinol. Am. Assoc. Clin. Endocrinol. 2022, 29, 286–294. [Google Scholar] [CrossRef] [PubMed]
- Cryer, P.E.; Axelrod, L.; Grossman, A.B.; Heller, S.R.; Montori, V.M.; Seaquist, E.R.; Service, F.J. Evaluation and Management of Adult Hypoglycemic Disorders: An Endocrine Society Clinical Practice Guideline. J. Clin. Endocrinol. Metab. 2009, 94, 709–728. [Google Scholar] [CrossRef] [PubMed]
- Seaquist, E.R.; Anderson, J.; Childs, B.; Cryer, P.; Dagogo-Jack, S.; Fish, L.; Heller, S.R.; Rodriguez, H.; Rosenzweig, J.; Vigersky, R. Hypoglycemia and Diabetes: A Report of a Workgroup of the American Diabetes Association and The Endocrine Society. Diabetes Care 2013, 36, 1384–1395. [Google Scholar] [CrossRef] [PubMed]
- Shah, M.H.; Goldner, W.S.; Benson, A.B.; Bergsland, E.; Blaszkowsky, L.S.; Brock, P.; Chan, J.; Das, S.; Dickson, P.V.; Fanta, P.; et al. Neuroendocrine and Adrenal Tumors, Version 2.2021, NCCN Clinical Practice Guidelines in Oncology. J. Natl. Compr. Cancer Netw. 2021, 19, 839–868. [Google Scholar] [CrossRef] [PubMed]
- Hofland, J.; Refardt, J.C.; Feelders, R.A.; Christ, E.; De Herder, W.W. Approach to the Patient: Insulinoma. J. Clin. Endocrinol. Metab. 2024, 109, 1109–1118. [Google Scholar] [CrossRef] [PubMed]
- Crinò, S.F.; Napoleon, B.; Facciorusso, A.; Lakhtakia, S.; Borbath, I.; Caillol, F.; Do-Cong Pham, K.; Rizzatti, G.; Forti, E.; Palazzo, L.; et al. Endoscopic Ultrasound-guided Radiofrequency Ablation Versus Surgical Resection for Treatment of Pancreatic Insulinoma. Clin. Gastroenterol. Hepatol. 2023, 21, 2834–2843.e2. [Google Scholar] [CrossRef] [PubMed]
- Qin, S.; Liu, Y.; Ning, H.; Tao, L.; Luo, W.; Lu, D.; Luo, Z.; Qin, Y.; Zhou, J.; Chen, J.; et al. EUS-guided lauromacrogol ablation of insulinomas: A novel treatment. Scand. J. Gastroenterol. 2018, 53, 616–620. [Google Scholar] [CrossRef] [PubMed]
- Sadowski, S.M.; Neychev, V.; Millo, C.; Shih, J.; Nilubol, N.; Herscovitch, P.; Pacak, K.; Marx, S.J.; Kebebew, E. Prospective Study of 68Ga-DOTATATE Positron Emission Tomography/Computed Tomography for Detecting Gastro-Entero-Pancreatic Neuroendocrine Tumors and Unknown Primary Sites. J. Clin. Oncol. 2016, 34, 588–596. [Google Scholar] [CrossRef] [PubMed]
- Deppen, S.A.; Liu, E.; Blume, J.D.; Clanton, J.; Shi, C.; Jones-Jackson, L.B.; Lakhani, V.; Baum, R.P.; Berlin, J.; Smith, G.T.; et al. Safety and Efficacy of 68Ga-DOTATATE PET/CT for Diagnosis, Staging, and Treatment Management of Neuroendocrine Tumors. J. Nucl. Med. 2016, 57, 708–714. [Google Scholar] [CrossRef] [PubMed]
- Gan, L.; Zhu, X.; Gao, Y.; Zhong, M.; Liao, S.; Huang, G.; Yan, Y. A review on nondiabetic hypoglycemia from various causes: Case series report. Medicine 2023, 102, e36273. [Google Scholar] [CrossRef] [PubMed]




| Test | Result | Reference Range |
|---|---|---|
| Ketone Bodies | 0.2 mmol/L | 0–1 mmol/L |
| Serum Cortisol 1 | 4.70 µg/dL | 5.27–22.45 µg/dL |
| C-Peptide | 2.01 ng/mL | 1.1–1.5 ng/mL |
| Serum Cortisol 2 | 13.35 µg/dL | 5.27–22.45 µg/dL |
| ACTH | 9.2 pg/mL | 4.7–48.8 pg/mL |
| Insulin Levels | 5.5 µU/mL | 2–3 µU/mL |
| Serial Blood Cultures | Negative | - |
| 72 h Fasting Test | 45–59–148–49–55–64–60 mg/dL | 60–100 mg/dL |
| Author | Age and Gender | Medical History | Clinical Manifestation | Procedure Performed | Treatment |
|---|---|---|---|---|---|
| Saúl E. Torres-Arano et al. (2021) [5] | 31-year-old male | Untreated type 2 diabetes mellitus, hypertension, and depression | Symptoms of diaphoresis, palpitations, malaise, and syncope, with capillary glucose of 55 mg/dL, improving with glucose administration | Biochemical tests and selective arterial catheterization, revealing elevated insulin levels | Surgical resection |
| Chenyang Zhang et al. (2022) [4] | 79-year-old male | N/A | Severe hypoglycemia (blood glucose of 1.01 mmol/L) | IV contrast tomography | IV insulin, surgical resection |
| Chenyang Zhang et al. (2022) [4] | 68-year-old male | Type 2 diabetes | Recurrent hypoglycemia with glucose levels between 2.8 and 21.6 mmol/L | Serum glucose, positive autoimmune antibodies (anti-insulin) | Prednisone and acarbose for 10 months |
| Kiran Shah et al. (2021) [3] | 45-year-old female | N/A | Restlessness, anxiety, palpitations, excessive sweating, dizziness, and tremors, relieved by sugar intake | Supervised 72 h fast, elevated insulin, proinsulin, and C-peptide levels during critical samples | Surgical resection |
Disclaimer/Publisher’s Note: The statements, opinions and data contained in all publications are solely those of the individual author(s) and contributor(s) and not of MDPI and/or the editor(s). MDPI and/or the editor(s) disclaim responsibility for any injury to people or property resulting from any ideas, methods, instructions or products referred to in the content. |
© 2025 by the authors. Licensee MDPI, Basel, Switzerland. This article is an open access article distributed under the terms and conditions of the Creative Commons Attribution (CC BY) license (https://creativecommons.org/licenses/by/4.0/).
Share and Cite
Montenegro, J.F.; Penagos, C.E.; Rodríguez, D.Y.; García-Ramos, A.F.; Liscano, Y. Diagnosis and Surgical Management of Pancreatic Insulinoma in a Non-Diabetic Patient: A Case Report. Reports 2025, 8, 175. https://doi.org/10.3390/reports8030175
Montenegro JF, Penagos CE, Rodríguez DY, García-Ramos AF, Liscano Y. Diagnosis and Surgical Management of Pancreatic Insulinoma in a Non-Diabetic Patient: A Case Report. Reports. 2025; 8(3):175. https://doi.org/10.3390/reports8030175
Chicago/Turabian StyleMontenegro, John Fernando, Cristian Eduardo Penagos, Duvy Yasmin Rodríguez, Andres Felipe García-Ramos, and Yamil Liscano. 2025. "Diagnosis and Surgical Management of Pancreatic Insulinoma in a Non-Diabetic Patient: A Case Report" Reports 8, no. 3: 175. https://doi.org/10.3390/reports8030175
APA StyleMontenegro, J. F., Penagos, C. E., Rodríguez, D. Y., García-Ramos, A. F., & Liscano, Y. (2025). Diagnosis and Surgical Management of Pancreatic Insulinoma in a Non-Diabetic Patient: A Case Report. Reports, 8(3), 175. https://doi.org/10.3390/reports8030175

