Bilateral Facial Palsy as the Onset of Neurosarcoidosis: A Case Report and a Revision of Literature
Abstract
1. Introduction
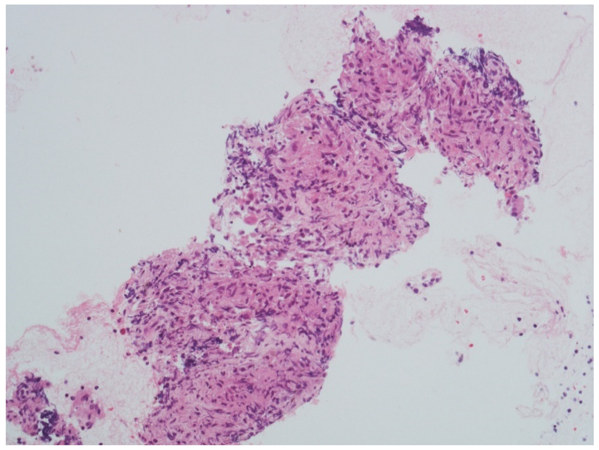
2. Case Report
3. Literature Review
Search Strategy and Selection Process
4. Results
5. Discussion
6. Conclusions
Supplementary Materials
Author Contributions
Funding
Institutional Review Board Statement
Informed Consent Statement
Data Availability Statement
Acknowledgments
Conflicts of Interest
References
- Gilchrist, J.M. Seventh cranial neuropathy. Semin. Neurol. 2009, 29, 5–13. [Google Scholar] [CrossRef] [PubMed]
- Steenerson, R.L. Bilateral facial paralysis. Am. J. Otol. 1986, 7, 99–103. [Google Scholar] [PubMed]
- Gevers, G.; Lemkens, P. Bilateral simultaneous facial paralysis–differential diagnosis and treatment options. A case report and review of literature. Acta Otorhinolaryngol. Belg. 2003, 57, 139–146. [Google Scholar] [PubMed]
- Domeshek, L.F.; Zuker, R.M.; Borschel, G.H. Management of Bilateral Facial Palsy. Otolaryngol. Clin. N. Am. 2018, 51, 1213–1226. [Google Scholar] [CrossRef]
- Teller, D.C.C.; Murphy, T.P. Bilateral facial paralysis: A case presentation and literature review. J. Otolaryngol. 1992, 21, 44–47. [Google Scholar]
- Carlson, M.L.; White, J.R., Jr.; Espahbodi, M.; Haynes, D.S.; Driscoll, C.L.; Aksamit, A.J.; Pawate, S.; Lane, J.I.; Link, M.J. Cranial base manifestations of neurosarcoidosis: A review of 305 patients. Otol. Neurotol. 2015, 36, 156–166. [Google Scholar] [CrossRef]
- Stern, B.J.; Krumholz, A.; Johns, C.; Scott, P.; Nissim, J. Sarcoidosis and its neurological manifestations. Arch. Neurol. 1985, 42, 909–917. [Google Scholar] [CrossRef]
- Chappity, P.; Kumar, R.; Sahoo, A.K. Heerfordt's Syndrome Presenting with Recurrent Facial Nerve Palsy: Case report and 10-year literature review. Sultan Qaboos Univ. Med. J. 2015, 15, e124–e128. [Google Scholar]
- Burns, T.M. Neurosarcoidosis. Arch. Neurol. 2003, 60, 1166–1168. [Google Scholar] [CrossRef]
- Sève, P.; Pacheco, Y.; Durupt, F.; Jamilloux, Y.; Gerfaud-Valentin, M.; Isaac, S.; Boussel, L.; Calender, A.; Androdias, G.; Valeyre, D.; et al. Sarcoidosis: A Clinical Overview from Symptoms to Diagnosis. Cells 2021, 10, 766. [Google Scholar] [CrossRef]
- Krainik, A.; Casselman, J.W. IDKD Springer Series Imaging Evaluation of Patients with Cranial Nerve Disorders. In Diseases of the Brain, Head and Neck, Spine 2020–2023: Diagnostic Imaging; Hodler, J., Kubik-Huch, R.A., von Schulthess, G.K.K., Eds.; Springer: Berlin/Heidelberg, Germany, 2020; pp. 143–161. [Google Scholar]
- Hingwala, D.; Chatterjee, S.; Kesavadas, C.; Thomas, B.; Kapilamoorthy, T.R. Applications of 3D CISS sequence for problem solving in neuroimaging. Indian J. Radiol. Imaging 2011, 21, 90–97. [Google Scholar] [CrossRef] [PubMed]
- Medhat, B.M.; Behiry, M.E.; Fateen, M.; El-Ghobashy, N.; Fouda, R.; Embaby, A.; Seif, E.M.; Taha, M.M.; Hasswa, M.K.; Sobhy, D.; et al. Sarcoidosis beyond pulmonary involvement: A case series of unusual presentations. Respir. Med. Case Rep. 2021, 34, 101495. [Google Scholar] [CrossRef] [PubMed]
- Brown, M.M.; Thompson, A.J.; Wedzicha, J.A.; Swash, M. Sarcoidosis presenting with stroke. Stroke 1989, 20, 400–405. [Google Scholar] [CrossRef] [PubMed]
- Durel, C.A.; Feurer, E.; Pialat, J.B.; Berthoux, E.; Chapurlat, R.D.; Confavreux, C.B. Etanercept may induce neurosarcoidosis in a patient treated for rheumatoid arthritis. BMC Neurol. 2013, 13, 212. [Google Scholar] [CrossRef]
- Sugita, M.; Sano, M.; Uchigata, M.; Aruga, T.; Matsuoka, R. Facial nerve enhancement on gadolinium-DTPA in a case with neurosarcoidosis. Intern. Med. 1997, 36, 825–828. [Google Scholar] [CrossRef][Green Version]
- Estrada-Correa, G.; Molina-Carrión, L.E.; Ysita-Morales, A. Neurosarcoidosis. Report of one case in Mexico. Rev. Med. Inst. Mex. Seguro Soc. 2006, 44, 469–472. [Google Scholar]
- Jain, V.; Deshmukh, A.; Gollomp, S. Bilateral facial paralysis: Case presentation and discussion of differential diagnosis. J. Gen. Intern. Med. 2006, 21, C7–C10. [Google Scholar] [CrossRef]
- Varol, S.; Ozdemir, H.H.; Akil, E.; Arslan, D.; Aluclu, M.U.; Demir, C.F.F.; Yucel, Y. Facial diplegia: Etiology, clinical manifestations, and diagnostic evaluation. Arq. Neuropsiquiatr. 2015, 73, 998–1001. [Google Scholar] [CrossRef]
- Magliocca, K.R.; Leung, E.M.; Desmond, J.S. Parotid swelling and facial nerve palsy: An uncommon presentation of sarcoidosis. Gen. Dent. 2009, 57, 180–182. [Google Scholar]
- George, M.K.; Pahor, A.L. Sarcoidosis: A cause for bilateral facial palsy. Ear Nose Throat J. 1991, 70, 492–493. [Google Scholar]
- Sharma, S.K.; Soneja, M.; Sharma, A.; Sharma, M.C.; Hari, S. Rare manifestations of sarcoidosis in modern era of new diagnostic tools. Indian J. Med. Res. 2012, 135, 621–629. [Google Scholar] [PubMed]
- Haydar, A.A.A.; Hujairi, N.M.; Tawil, A.; Sawaya, R.A. Bilateral facial paralysis: What’s the cause? Med. J. Aust. 2003, 179, 553. [Google Scholar] [CrossRef] [PubMed]
- Chweya, C.M.; Anzalone, C.L.; Driscoll, C.L.W.; Lane, J.I.; Carlson, M.L. For Whom the Bell's Toll: Recurrent Facial Nerve Paralysis, A Retrospective Study and Systematic Review of the Literature. Otol. Neurotol. 2019, 40, 517–528. [Google Scholar] [CrossRef] [PubMed]
- Keane, J.R. Bilateral seventh nerve palsy: Analysis of 43 cases and review of the literature. Neurology 1994, 44, 1198–1202. [Google Scholar] [CrossRef]
- Campello-Morer, I.; López-Gastón, J.I.; Giménez-Mas, J.A.; Gracia-Naya, M. Sarcoidosis: The presentation of a case with clinical features limited to the nervous system. Rev. Neurol. 1997, 25, 1079–1081. [Google Scholar] [PubMed]
- Uzawa, A.; Kojima, S.; Yonezu, T.; Kanesaka, T. Truncal polyradiculopathy due to sarcoidosis. J. Neurol. Sci. 2009, 281, 108–109. [Google Scholar] [CrossRef]
- Srirangaramasamy, J.; Kathirvelu, S. A Rare Case of Heerfordt's Syndrome with Bilateral Facial Palsy. Indian J. Otolaryngol. Head Neck Surg. 2019, 71, 1027–1029. [Google Scholar] [CrossRef]
- King, C.S.; Zapor, M. Bilateral parotitis and facial nerve palsy. Cleve. Clin. J. Med. 2007, 74, 512–513. [Google Scholar] [CrossRef]
- Glocker, F.X.; Seifert, C.; Lücking, C.H. Facial palsy in Heerfordt's syndrome: Electrophysiological localization of the lesion. Muscle Nerve 1999, 22, 1279–1282. [Google Scholar] [CrossRef]
- Kidd, D.P. Sarcoidosis of the central nervous system: Clinical features, imaging, and CSF results. J. Neurol. 2018, 265, 1906–1915. [Google Scholar] [CrossRef]
- Kidd, D.P. Sarcoidosis of the central nervous system: Safety and efficacy of treatment, and experience of biological therapies. Clin. Neurol. Neurosurg. 2020, 194, 105811. [Google Scholar] [CrossRef]
- Criado, E.; Sánchez, M.; Ramírez, J.; Arguis, P.; de Caralt, T.M.; Perea, R.J.; Xaubet, A. Pulmonary sarcoidosis: Typical and atypical manifestations at high-resolution CT with pathologic correlation. Radiographics 2010, 30, 1567–1586. [Google Scholar] [CrossRef] [PubMed]
- Stern, B.J.; Royal, W., III; Gelfand, J.M.; Clifford, D.B.; Tavee, J.; Pawate, S.; Berger, J.R.; Aksamit, A.J.; Krumholz, A.; Pardo, C.A.; et al. Definition and Consensus Diagnostic Criteria for Neurosarcoidosis: From the Neurosarcoidosis Consortium Consensus Group. JAMA Neurol. 2018, 75, 1546–1553. [Google Scholar] [CrossRef] [PubMed]
- Jha, G.; Azhar, S.; Kuttuva, S.; Elahi, S.; Baseer, A. Bilateral Facial Palsy: A Case Study of an Exceedingly Rare and Difficult Diagnosis. Cureus 2021, 13, e18900. [Google Scholar] [CrossRef] [PubMed]
- Sharma, S.K.; Mohan, A. Uncommon manifestations of sarcoidosis. J. Assoc. Physicians India 2004, 52, 210–214. [Google Scholar]
- Nozaki, K.; Judson, M.A. Neurosarcoidosis. Curr. Treat. Options Neurol. 2013, 15, 492–504. [Google Scholar] [CrossRef]
- Baughman, R.P.; Valeyre, D.; Korsten, P.; Mathioudakis, A.G.; Wuyts, W.A.; Wells, A.; Rottoli, P.; Nunes, H.; Lower, E.E.; Judson, M.A.; et al. ERS clinical practice guidelines on treatment of sarcoidosis. Eur. Respir. J. 2021, 58, 2004079. [Google Scholar] [CrossRef]
- Fritz, D.; van de Beek, D.; Brouwer, M.C. Clinical features, treatment and outcome in neurosarcoidosis: Systematic review and meta-analysis. BMC Neurol. 2016, 16, 220. [Google Scholar] [CrossRef]
- Zajicek, J.P.; Scolding, N.J.J.; Foster, O.; Rovaris, M.; Evanson, J.; Moseley, I.F.; Scadding, J.W.W.; Thompson, E.J.; Chamoun, V.; Miller, D.H.; et al. Central nervous system sarcoidosis--diagnosis and management. QJM 1999, 92, 103–117. [Google Scholar] [CrossRef]
- Baumann, R.J.; Robertson, W.C., Jr. Neurosarcoid presents differently in children than in adults. Pediatrics 2003, 112, e480–e486. [Google Scholar] [CrossRef]
- Rochepeau, C.; Jamilloux, Y.; Kerever, S.; Febvay, C.; Perard, L.; Broussolle, C.; Burillon, C.; Kodjikian, L.; Seve, P. Long-term visual and systemic prognoses of 83 cases of biopsy-proven sarcoid uveitis. Br. J. Ophthalmol. 2017, 101, 856–861. [Google Scholar] [CrossRef] [PubMed]
- Sève, P.; Jamilloux, Y.; Tilikete, C.; Gerfaud-Valentin, M.; Kodjikian, L.; El Jammal, T. Ocular Sarcoidosis. Semin. Respir. Crit. Care Med. 2020, 41, 673–688. [Google Scholar] [CrossRef] [PubMed]
- Miserocchi, E.; Modorati, G.; Di Matteo, F.; Galli, L.; Rama, P.; Bandello, F. Visual outcome in ocular sarcoidosis: Retrospective evaluation of risk factors. Eur. J. Ophthalmol. 2011, 21, 802–810. [Google Scholar] [CrossRef] [PubMed]
- Dana, M.R.; Merayo-Lloves, J.; Schaumberg, D.A.; Foster, C.S. Prognosticators for visual outcome in sarcoid uveitis. Ophthalmology 1996, 103, 1846–1853. [Google Scholar] [CrossRef]


| N° | Age/Gender/Diagnosis * | Onset/HB (R-L)/Other | Systemic Involvement /Instrumental Findings | Serum //CFS Lab | Serum ACE Onset//FU | Ref |
|---|---|---|---|---|---|---|
| 1 | 48Y/F/Probable NS in P.S I | SBFP/-/ bilat VIII c.n | Lungs/diffused LNP+ -CT: hilar LNP+ | N//- | ACE↑//- | [13] |
| 2 | 25Y/M/Possible NS in P.S II | RBFP recurrences /-/ TIAs, ischemic stroke | Lungs/Kidney/Hematological -CT: LNP+; multiple rounded lungs opacities; BS: nodules | ↑Ca2+; ↑γ-glob//NA | ACE↑//- | [14] |
| 3 | 40Y/F/Possible Paradoxical NS TNFα-related in P.S I | SBFD/V-V/ lymphocytic meningitis, anosmia | Lung/Eye/Kidney/Weight loss -Ophthalmological test: papilledema, anterior uveitis -18F-PET-CT: + hilar LNP, parotid | Ca2+ ↑; proteinemia↑ /proteinorachia ↑ | ACE↑//- | [15] |
| 4 | 28Y/F/Probable NS in P.S I | Headache, dizziness/ SBFD/-/ bilateral VI c.n/ diffuse leptomeningitis | Lung/Skin/URT -67Ga scintigraphy: hilar LNP+, salivary glands, nasal sinus and cubital fossa | N//proteinorachia ↑ (125 mg/dl); ↑ CSF ACE 2.8 IU F.U.:normal | ACE N//- | [16] |
| 5 | 33Y/M/Probable NS in P.S II | RBFP recurrences + VI c.n/-/ III c.n/ O.N | Lung/Eye/Skin/Kidney -67Ga scintigraphy: hilar LNP+, salivary glands (uptake +); frontal meningities, lungs, | ESR ↑// NA | ACE↑//- | [17] |
| 6 | 34Y/F/Probable NS in P:S Grade I | SBFP/V-III/ headache, dysgeusia | Lung/Weight loss -CT: hilar, mediastinal LNP | N// proteinorachia ↑ (125 mg/dl); | ACE N//- | [18] |
| 7 | 35Y/M/ Probable Isolated NS | SBFP/VI-III/ | PSN -EMG: sensorimotor demyelinating PNP -EMG VII nerve: axonal loss, partial denervation | N// lymphocytes ↑; CFS-ACE increased ↑ | -//- | [19] |
| 8 | 24Y/F/NS | SBFP/-/ parotid swelling | Parotid gland | - | - | [20] |
| 9 | -/-/NS | SBFP/-/ | - | - | - | [21] |
| 10–11 | -/-/NS | SBFP/-/ | - | - | - | [22] |
| 12 | 62Y/F/Probable NS in P.S II | SBFP/II-IV/ | Lung | N//N | ACE N//- | [23] |
| 13–14 | -/-/NS | RBFP/-/ | - | - | - | [24] ** |
| 15 | -/-/NS | SBFD/VI-VI/ | - | - | - | [25] ** |
| 16 | 60Y/F/Definite NS in P.S I | SBFD/VI-VI/ aseptic meningitis/ dysarthria, distal limb dysesthesia | Lung/Eye/PNS -Ophthalmological test: bilateral papilledema -67Ga scintigraphy: mediastimal LNP+ (uptake +) -EMG:mixed PNP | N //Aseptic meningitis //CSF ACE-test NA | -//- | [26] |
| 17 | 43/F/Possible N.S. in P.S Grade I | SBFP/-/-/ Bilateral V c.n Hyposmia, Dysphagia, dysgeusia Hypoesthesia (C8-T12) level (Multiple postganglionic neuropathy—sarcoid polyradiculopathy) | Lung/Eye/PNS -Ophthalmological test: bilateral uveitis -67Ga scintigraphy: mediastimal LNP+ (uptake +) -EMG: F-wave frequency ↓; ↓ bilateral ulnar, median nerve SNAP | N//lymphocytosis, proteinorrachia ↑// CSF ACE-test- | ACE↑//improved | [27] |
| N° | Brain Imaging | Biopsy | Treatment Onset//FU | Prognosis/HB (R-L) | Ref |
|---|---|---|---|---|---|
| 1 | Focal leptomenigeal thickening (Gd+) | Soft tissue LNP biopsy + | PDN 60 mg/day //PDN (20 mg/day) + MTX | R/II | [13] |
| 2 | Ischemic cerebral stroke | Forearm Kveim test biopsy + | - | R/I-I | [14] |
| 3 | Left VII, V, VIII nerves, Gasser's ganglia (Gd+); FU: Normal | TB biopsy—(1M after therapy | Steroid bolus, PDL (1 mg/kg/day) //PDN + MTX (25 mg/week) | NR/- | [15] |
| 4 | Left VII, VIII nerves diffuse leptomeningeal, cerebellar cortex (Gd+); severe hydrocephalus -FU: Left VII, VIII nerves (Gd-) | SCN biopsy+ | VP shunt, PDL 60 mg/day //PDN 15 mg/day | NA | [16] |
| 5 | Temporal leptomeninges (Gd+) | SCN biopsy | PDN// PDN 20 mg/day | NA | [17] |
| 6 | N | TB biopsy + | M-PDL(1g/day for 5 days) -> PDN 60 mg //no therapy | R/I-I | [18] |
| 7 | Sub/cortical white matter hemispheres lesions | - | IvIgG//- | PR/IV-I * * 3 months after | [19] |
| 8 | - | - | - | - | [20] |
| 9 | - | - | - | - | [21] |
| 10–11 | - | - | - | - | [22] |
| 12 | N | TB biopsy+ | PDN 30 mg/die * //tapering * low dose due to diabetes | PR/-/* * 1 month after | [23] |
| 13–14 | - | - | - | - | [24] ** |
| 15 | - | - | - | - | [25] ** |
| 16 | - | Skin and sural nerve biopsy+ | - | NA | [26] |
| 17 | N | - | M-PDL iv// oral PSL (30 mg/day) | PR/-/ | [27] |
Publisher’s Note: MDPI stays neutral with regard to jurisdictional claims in published maps and institutional affiliations. |
© 2022 by the authors. Licensee MDPI, Basel, Switzerland. This article is an open access article distributed under the terms and conditions of the Creative Commons Attribution (CC BY) license (https://creativecommons.org/licenses/by/4.0/).
Share and Cite
Gallo, C.; Mazzini, L.; Varrasi, C.; Vecchio, D.; Virgilio, E.; Cantello, R. Bilateral Facial Palsy as the Onset of Neurosarcoidosis: A Case Report and a Revision of Literature. NeuroSci 2022, 3, 321-331. https://doi.org/10.3390/neurosci3020023
Gallo C, Mazzini L, Varrasi C, Vecchio D, Virgilio E, Cantello R. Bilateral Facial Palsy as the Onset of Neurosarcoidosis: A Case Report and a Revision of Literature. NeuroSci. 2022; 3(2):321-331. https://doi.org/10.3390/neurosci3020023
Chicago/Turabian StyleGallo, Chiara, Letizia Mazzini, Claudia Varrasi, Domizia Vecchio, Eleonora Virgilio, and Roberto Cantello. 2022. "Bilateral Facial Palsy as the Onset of Neurosarcoidosis: A Case Report and a Revision of Literature" NeuroSci 3, no. 2: 321-331. https://doi.org/10.3390/neurosci3020023
APA StyleGallo, C., Mazzini, L., Varrasi, C., Vecchio, D., Virgilio, E., & Cantello, R. (2022). Bilateral Facial Palsy as the Onset of Neurosarcoidosis: A Case Report and a Revision of Literature. NeuroSci, 3(2), 321-331. https://doi.org/10.3390/neurosci3020023

