Phosgene Inhalation in Fire-Related Deaths: A Case Report of Two Lovers Burnt in a Travelling Carousel
Abstract
1. Introduction
2. Case Report
2.1. Death Scene Investigation
2.2. Post-Mortem Radiological Examination
2.3. Autopsy Findings
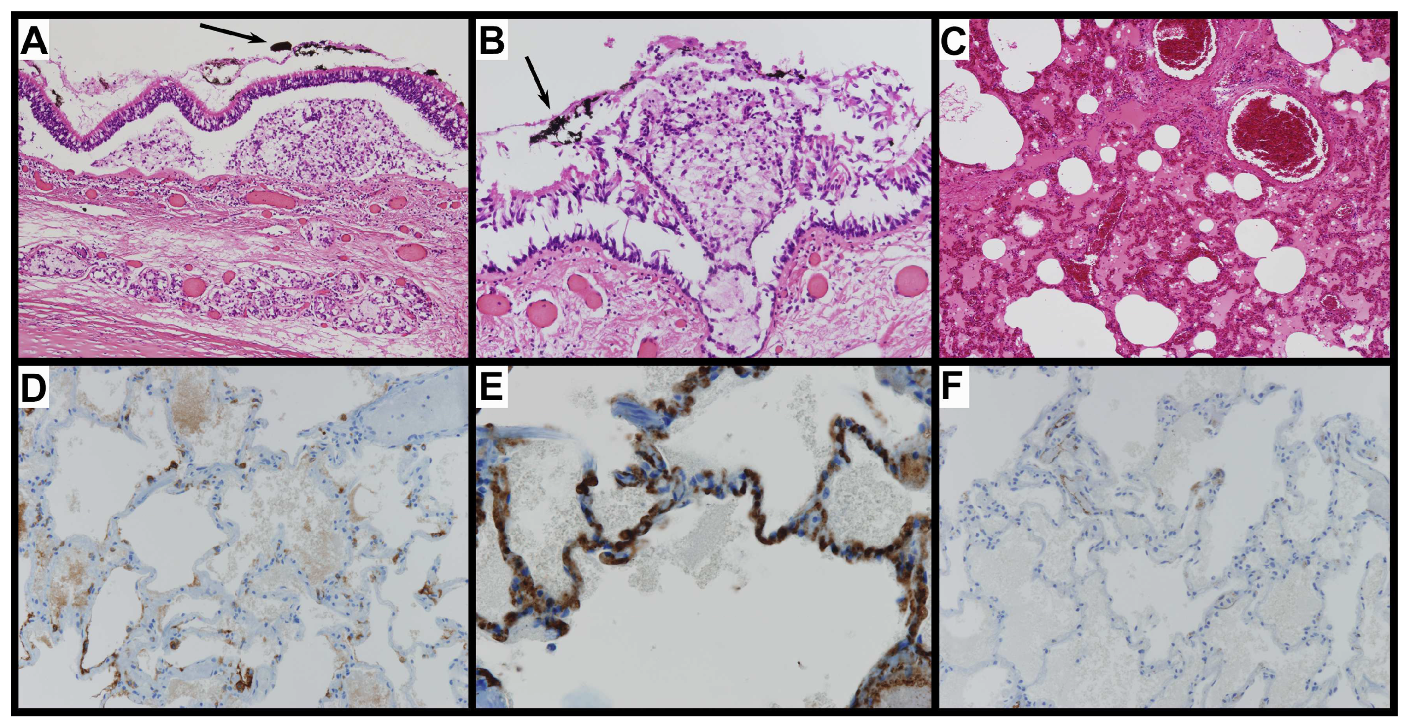
2.4. Histological and Immunohistochemical Analysis
2.5. Toxicological Analyses
2.6. Technical Inspections and Experimental Burning Analyses
3. Discussion
4. Conclusions
Author Contributions
Funding
Institutional Review Board Statement
Informed Consent Statement
Data Availability Statement
Conflicts of Interest
References
- Dettmeyer, R.B.; Verhoff, M.A.; Schütz, H.F. Forensic Medicine, Fundamentals and Perspectives; Springer: Berlin/Heidelberg, Germany, 2014. [Google Scholar]
- Fais, P.; Giraudo, C.; Boscolo-Berto, R.; Amagliani, A.; Miotto, D.; Feltrin, G.; Viel, G.; Ferrara, S.D.; Cecchetto, G. Micro-CT features of intermediate gunshot wounds severely damaged by fire. Int. J. Leg. Med. 2013, 127, 419–425. [Google Scholar] [CrossRef] [PubMed]
- Malik, M.O.A. Problems in the Diagnosis of the Causes of Death in Burned Bodies. J. Forensic Sci. Soc. 1971, 11, 21–28. [Google Scholar] [CrossRef] [PubMed]
- Gerling, I.; Meissner, C.; Reiter, A.; Oehmichen, M. Death from Thermal Effects and Burns. Forensic Sci. Int. 2001, 115, 33–41. [Google Scholar] [CrossRef] [PubMed]
- El-Helbawy, R.H.; Ghareeb, F.M. Inhalation Injury as a Prognostic Factor for Mortality in Burn Patients. Ann. Burns Fire Disasters 2011, 24, 82–88. [Google Scholar] [PubMed]
- Madea, B. (Ed.) Handbook of Forensic Medicine; Wiley Blackwell: Chichester, UK, 2014; ISBN 978-0-470-97999-0. [Google Scholar]
- Saukko, P.; Knight, B. Knight’s Forensic Pathology, 4th ed.; CRC Press: Boca Raton, FL, USA, 2015; ISBN 978-0-. [Google Scholar]
- Diller, W.F. Pathogenesis of Phosgene Poisoning. Toxicol. Ind. Health 1985, 1, 7–15. [Google Scholar] [CrossRef] [PubMed]
- Li, W.; Pauluhn, J. Phosgene-Induced Lung Edema: Comparison of Clinical Criteria for Increased Extravascular Lung Water Content with Postmortem Lung Gravimetry and Lavage-Protein in Rats and Dogs. Toxicol. Lett. 2019, 305, 32–39. [Google Scholar] [CrossRef] [PubMed]
- Borak, J.; Diller, W.F. Phosgene Exposure: Mechanisms of Injury and Treatment Strategies. J. Occup. Environ. Med. 2001, 43, 110–119. [Google Scholar] [CrossRef] [PubMed]
- Hardison, L.S.; Wright, E.; Pizon, A.F. Phosgene Exposure: A Case of Accidental Industrial Exposure. J. Med. Toxicol. 2014, 10, 51–56. [Google Scholar] [CrossRef] [PubMed]
- Ty, S.H.; Sudha Ty, D.S.; Sasanka, K.K.; Nageswar Rao, K.; T, P. Accidental Phosgene Poisoning: A Case Report and Short Review of Management. Cureus 2023, 15, e41679. [Google Scholar] [CrossRef]
- Polednak, A.P.; Hollis, D.R. Mortality and Causes of Death Among Workers Exposed to Phosgene in 1943-45. Toxicol. Ind. Health 1985, 1, 137–151. [Google Scholar] [CrossRef]
- Holmes, W.W.; Keyser, B.M.; Paradiso, D.C.; Ray, R.; Andres, D.K.; Benton, B.J.; Rothwell, C.C.; Hoard-Fruchey, H.M.; Dillman, J.F.; Sciuto, A.M.; et al. Conceptual Approaches for Treatment of Phosgene Inhalation-Induced Lung Injury. Toxicol. Lett. 2016, 244, 8–20. [Google Scholar] [CrossRef]
- Silverberg, S.G.; Delellis, R.A.; Frable, W.J.; LiVolsi, V.A.; Wick, M.R. Silverberg’s Principles and Practice of Surgical Pathology and Cytopathology, 4th ed.; Churchill Livingstone, Elsevier: Philadelphia, PA, USA, 2006; ISBN 978-0-443-06622-1. [Google Scholar]
- Frison, G.; Zancanaro, F.; Favretto, D.; Ferrara, S.D. An Improved Method for Cyanide Determination in Blood Using Solid-Phase Microextraction and Gas Chromatography/Mass Spectrometry. Rapid Commun. Mass Spectrom. RCM 2006, 20, 2932–2938. [Google Scholar] [CrossRef]
- Vevelstad, M.; Morild, I. Lethal Methemoglobinemia and Automobile Exhaust Inhalation. Forensic Sci. Int. 2009, 187, e1–e5. [Google Scholar] [CrossRef]
- Bohnert, M.; Werner, C.R.; Pollak, S. Problems Associated with the Diagnosis of Vitality in Burned Bodies. Forensic Sci. Int. 2003, 135, 197–205. [Google Scholar] [CrossRef]
- Chenoweth, J.A.; Albertson, T.E.; Greer, M.R. Carbon Monoxide Poisoning. Crit. Care Clin. 2021, 37, 657–672. [Google Scholar] [CrossRef]
- Htike, T.T.; Moriya, F.; Miyaishi, S. Cyanide Concentrations in Blood and Tissues of Fire Victims. Leg. Med. Tokyo Jpn. 2019, 41, 101628. [Google Scholar] [CrossRef]
- DiMaio, D.; DiMaio, V.J. Forensic Pathology, 2nd ed.; CRC Press: Boca Raton, FL, USA, 2001; ISBN 978-0-8493-0072-1. [Google Scholar]
- Bohnert, M. Morphological findings in burned bodies. In Forensic Pathology Reviews; Tsokos, M., Ed.; Humana Press: Totowa, NJ, USA, 2004; pp. 3–27. ISBN 978-1-59259-786-4. [Google Scholar]
- Cao, C.; Zhang, L.; Shen, J. Phosgene-Induced Acute Lung Injury: Approaches for Mechanism-Based Treatment Strategies. Front. Immunol. 2022, 13, 917395. [Google Scholar] [CrossRef]
- Lu, Q.; Huang, S.; Meng, X.; Zhang, J.; Yu, S.; Li, J.; Shi, M.; Fan, H.; Zhao, Y. Mechanism of Phosgene-Induced Acute Lung Injury and Treatment Strategy. Int. J. Mol. Sci. 2021, 22, 10933. [Google Scholar] [CrossRef]
- Baldino, G.; Mondello, C.; Sapienza, D.; Stassi, C.; Asmundo, A.; Gualniera, P.; Vanin, S.; Ventura Spagnolo, E. Multidisciplinary Forensic Approach in “Complex” Bodies: Systematic Review and Procedural Proposal. Diagnostics 2023, 13, 310. [Google Scholar] [CrossRef]
- De Matteis, M.; Giorgetti, A.; Viel, G.; Giraudo, C.; Terranova, C.; Lupi, A.; Fais, P.; Puggioni, A.; Cecchetto, G.; Montisci, M. Homicide and concealment of the corpse. Autopsy case series and review of the literature. Int. J. Leg. Med. 2021, 135, 193–205. [Google Scholar] [CrossRef]
- Cecchetto, G.; Bajanowski, T.; Cecchi, R.; Favretto, D.; Grabherr, S.; Ishikawa, T.; Kondo, T.; Montisci, M.; Pfeiffer, H.; Bonati, M.R.; et al. Back to the Future—Part 1. The medico-legal autopsy from ancient civilization to the post-genomic era. Int. J. Leg. Med. 2017, 131, 1069–1083. [Google Scholar] [CrossRef] [PubMed]
- Ferrara, S.D.; Cecchetto, G.; Cecchi, R.; Favretto, D.; Grabherr, S.; Ishikawa, T.; Kondo, T.; Montisci, M.; Pfeiffer, H.; Bonati, M.R.; et al. Back to the Future—Part 2. Post-mortem assessment and evolutionary role of the bio-medicolegal sciences. Int. J. Leg. Med. 2017, 131, 1085–1101. [Google Scholar] [CrossRef] [PubMed]



Disclaimer/Publisher’s Note: The statements, opinions and data contained in all publications are solely those of the individual author(s) and contributor(s) and not of MDPI and/or the editor(s). MDPI and/or the editor(s) disclaim responsibility for any injury to people or property resulting from any ideas, methods, instructions or products referred to in the content. |
© 2024 by the authors. Licensee MDPI, Basel, Switzerland. This article is an open access article distributed under the terms and conditions of the Creative Commons Attribution (CC BY) license (https://creativecommons.org/licenses/by/4.0/).
Share and Cite
Callegari, E.; Mazzobel, E.; Zancaner, S.; Fais, P.; Viel, G.; Cecchetto, G. Phosgene Inhalation in Fire-Related Deaths: A Case Report of Two Lovers Burnt in a Travelling Carousel. Forensic Sci. 2024, 4, 257-263. https://doi.org/10.3390/forensicsci4030018
Callegari E, Mazzobel E, Zancaner S, Fais P, Viel G, Cecchetto G. Phosgene Inhalation in Fire-Related Deaths: A Case Report of Two Lovers Burnt in a Travelling Carousel. Forensic Sciences. 2024; 4(3):257-263. https://doi.org/10.3390/forensicsci4030018
Chicago/Turabian StyleCallegari, Enrica, Enrico Mazzobel, Silvano Zancaner, Paolo Fais, Guido Viel, and Giovanni Cecchetto. 2024. "Phosgene Inhalation in Fire-Related Deaths: A Case Report of Two Lovers Burnt in a Travelling Carousel" Forensic Sciences 4, no. 3: 257-263. https://doi.org/10.3390/forensicsci4030018
APA StyleCallegari, E., Mazzobel, E., Zancaner, S., Fais, P., Viel, G., & Cecchetto, G. (2024). Phosgene Inhalation in Fire-Related Deaths: A Case Report of Two Lovers Burnt in a Travelling Carousel. Forensic Sciences, 4(3), 257-263. https://doi.org/10.3390/forensicsci4030018

