Case Report of a Fatal Babesia vulpes Infection in a Splenectomised Dog
Abstract
1. Introduction
2. Results
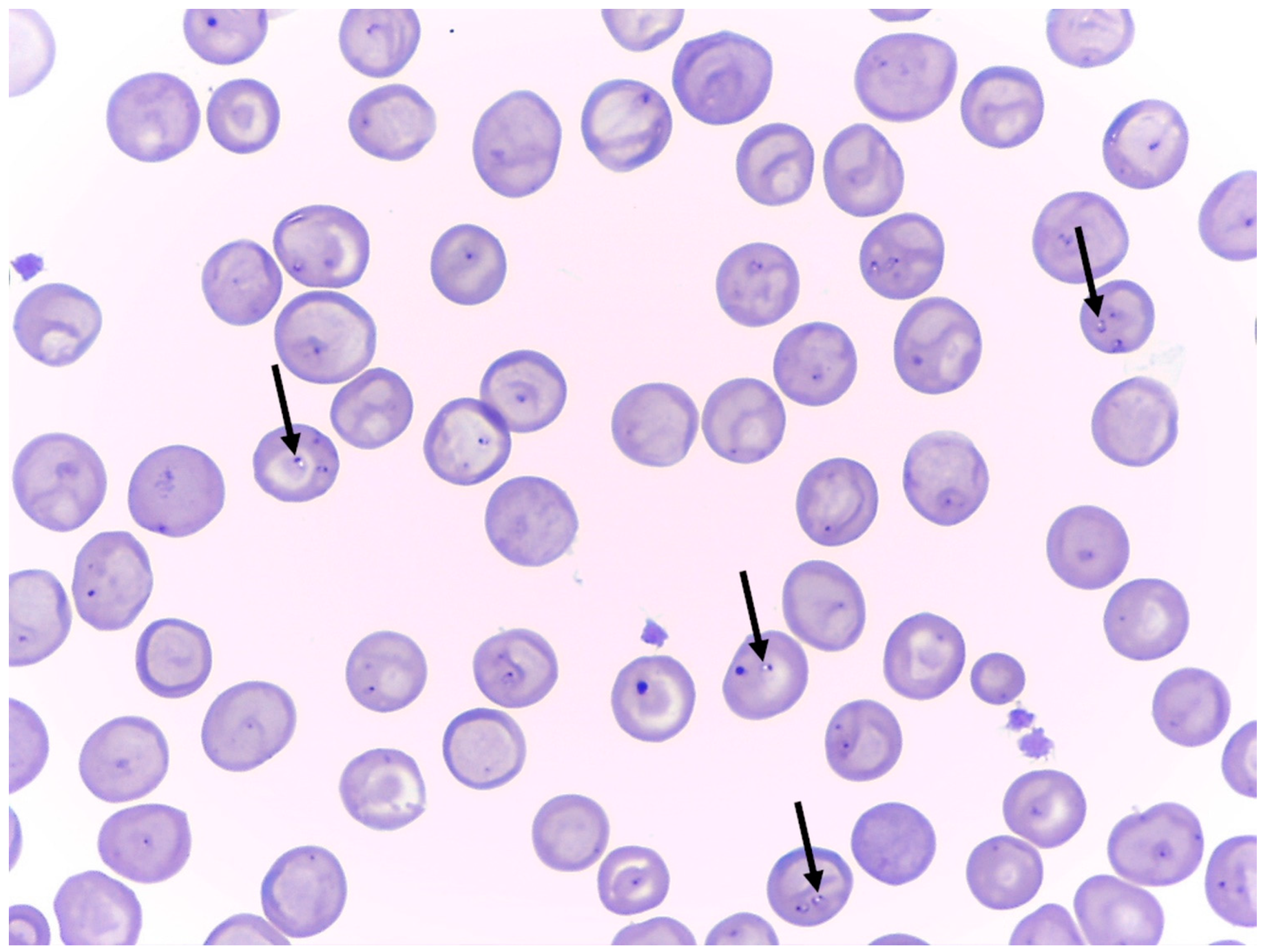
2.1. Case History
2.2. Molecular Analysis
3. Discussion
4. Materials and Methods
5. Conclusions
Author Contributions
Funding
Institutional Review Board Statement
Informed Consent Statement
Data Availability Statement
Acknowledgments
Conflicts of Interest
References
- Solano-Gallego, L.; Sainz, Á.; Roura, X.; Estrada-Peña, A.; Miró, G. A review of canine babesiosis: The European perspective. Parasit. Vectors 2016, 9, 336. [Google Scholar] [CrossRef] [PubMed]
- Baneth, G.; Cardoso, L.; Brilhante-Simões, P.; Schnittger, L. Establishment of Babesia vulpes n. sp. (Apicomplexa: Babesiidae), a piroplasmid species pathogenic for domestic dogs. Parasit. Vectors 2019, 12, 129. [Google Scholar] [CrossRef] [PubMed]
- Camacho, A.T.; Pallas, E.; Gestal, J.J.; Guitián, F.J.; Olmeda, A.S.; Telford, S.R.; Spielman, A. Ixodes hexagonus is the main candidate as vector of Theileria annae in northwest Spain. Vet. Parasitol. 2003, 112, 157–163. [Google Scholar] [CrossRef]
- Checa, R.; López-Beceiro, A.M.; Montoya, A.; Barrera, J.P.; Ortega, N.; Gálvez, R.; Marino, V.; González, J.; Olmeda, Á.S.; Fidalgo, L.E.; et al. Babesia microti-like piroplasm (syn. Babesia vulpes) infection in red foxes (Vulpes vulpes) in NW Spain (Galicia) and its relationship with Ixodes hexagonus. Vet. Parasitol. 2018, 252, 22–28. [Google Scholar] [CrossRef] [PubMed]
- Bartley, P.M.; Hamilton, C.; Wilson, C.; Innes, E.A.; Katzer, F. Detection of Babesia annae DNA in lung exudate samples from Red foxes (Vulpes vulpes) in Great Britain. Parasit. Vectors 2016, 9, 84. [Google Scholar] [CrossRef] [PubMed]
- Mierzejewska, E.J.; Dwużnik, D.; Koczwarska, J.; Stańczak, Ł.; Opalińska, P.; Krokowska-Paluszak, M.; Wierzbicka, A.; Górecki, G.; Bajer, A. The red fox (Vulpes vulpes), a possible reservoir of Babesia vulpes, B. canis and Hepatozoon canis and its association with the tick Dermacentor reticulatus occurrence. Ticks Tick Borne Dis. 2021, 12, 101551. [Google Scholar] [CrossRef]
- Santoro, M.; Auriemma, C.; Lucibelli, M.G.; Borriello, G.; D’Alessio, N.; Sgroi, G.; Veneziano, V.; Galiero, G.; Fusco, G. Molecular Detection of Babesia spp. (Apicomplexa: Piroplasma) in Free-Ranging Canids and Mustelids from Southern Italy. Front. Vet. Sci. 2019, 6, 269. [Google Scholar] [CrossRef]
- Battisti, E.; Zanet, S.; Khalili, S.; Trisciuoglio, A.; Hertel, B.; Ferroglio, E. Molecular Survey on Vector-Borne Pathogens in Alpine Wild Carnivorans. Front. Vet. Sci. 2020, 7, 1. [Google Scholar] [CrossRef]
- Duscher, G.G.; Fuehrer, H.-P.; Kübber-Heiss, A. Fox on the run—Molecular surveillance of fox blood and tissue for the occurrence of tick-borne pathogens in Austria. Parasit. Vectors 2014, 7, 521. [Google Scholar] [CrossRef]
- Hodžić, A.; Mrowietz, N.; Cézanne, R.; Bruckschwaiger, P.; Punz, S.; Habler, V.E.; Tomsik, V.; Lazar, J.; Duscher, G.G.; Glawischnig, W.; et al. Occurrence and diversity of arthropod-transmitted pathogens in red foxes (Vulpes vulpes) in western Austria, and possible vertical (transplacental) transmission of Hepatozoon canis. Parasitology 2018, 145, 335–344. [Google Scholar] [CrossRef]
- Cardoso, L.; Cortes, H.C.E.; Reis, A.; Rodrigues, P.; Simões, M.; Lopes, A.P.; Vila-Viçosa, M.J.; Talmi-Frank, D.; Eyal, O.; Solano-Gallego, L.; et al. Prevalence of Babesia microti-like infection in red foxes (Vulpes vulpes) from Portugal. Vet. Parasitol. 2013, 196, 90–95. [Google Scholar] [CrossRef]
- Koneval, M.; Miterpáková, M.; Hurníková, Z.; Blaňarová, L.; Víchová, B. Neglected intravascular pathogens, Babesia vulpes and haemotropic Mycoplasma spp. in European red fox (Vulpes vulpes) population. Vet. Parasitol. 2017, 243, 176–182. [Google Scholar] [CrossRef] [PubMed]
- Dezdek, D.; Vojta, L.; Curković, S.; Lipej, Z.; Mihaljević, Z.; Cvetnić, Z.; Beck, R. Molecular detection of Theileria annae and Hepatozoon canis in foxes (Vulpes vulpes) in Croatia. Vet. Parasitol. 2010, 172, 333–336. [Google Scholar] [CrossRef] [PubMed]
- Liesner, J.M.; Krücken, J.; Schaper, R.; Pachnicke, S.; Kohn, B.; Müller, E.; Schulze, C.; Samson-Himmelstjerna, G. von. Vector-borne pathogens in dogs and red foxes from the federal state of Brandenburg, Germany. Vet. Parasitol. 2016, 224, 44–51. [Google Scholar] [CrossRef] [PubMed]
- Najm, N.-A.; Meyer-Kayser, E.; Hoffmann, L.; Herb, I.; Fensterer, V.; Pfister, K.; Silaghi, C. A molecular survey of Babesia spp. and Theileria spp. in red foxes (Vulpes vulpes) and their ticks from Thuringia, Germany. Ticks Tick Borne Dis. 2014, 5, 386–391. [Google Scholar] [CrossRef]
- Miró, G.; Checa, R.; Paparini, A.; Ortega, N.; González-Fraga, J.L.; Gofton, A.; Bartolomé, A.; Montoya, A.; Gálvez, R.; Mayo, P.P.; et al. Theileria annae (syn. Babesia microti-like) infection in dogs in NW Spain detected using direct and indirect diagnostic techniques: Clinical report of 75 cases. Parasit. Vectors 2015, 8, 217. [Google Scholar] [CrossRef]
- Falkenö, U.; Tasker, S.; Osterman-Lind, E.; Tvedten, H.W. Theileria annae in a young Swedish dog. Acta Vet. Scand. 2013, 55, 50. [Google Scholar] [CrossRef]
- Radyuk, E.; Karan, L. A case of Babesia vulpes infection in a dog in Russia. Vet. Parasitol. Reg. Stud. Rep. 2020, 22, 100467. [Google Scholar] [CrossRef]
- Tuska-Szalay, B.; Vizi, Z.; Hofmann-Lehmann, R.; Vajdovich, P.; Takács, N.; Meli, M.L.; Farkas, R.; Stummer-Knyihár, V.; Jerzsele, Á.; Kontschán, J.; et al. Babesia gibsoni emerging with high prevalence and co-infections in “fighting dogs” in Hungary. Curr. Res. Parasitol. Vector Borne Dis. 2021, 1, 100048. [Google Scholar] [CrossRef]
- Camacho, A.T.; Pallas, E.; Gestal, J.J.; Guitián, F.J.; Olmeda, A.S.; Goethert, H.K.; Telford, S.R. Infection of dogs in north-west Spain with a Babesia microti-like agent. Vet. Rec. 2001, 149, 552–555. [Google Scholar] [CrossRef]
- Yisaschar-Mekuzas, Y.; Jaffe, C.L.; Pastor, J.; Cardoso, L.; Baneth, G. Identification of Babesia species infecting dogs using reverse line blot hybridization for six canine piroplasms, and evaluation of co-infection by other vector-borne pathogens. Vet. Parasitol. 2013, 191, 367–373. [Google Scholar] [CrossRef] [PubMed]
- Simões, P.B.; Cardoso, L.; Araújo, M.; Yisaschar-Mekuzas, Y.; Baneth, G. Babesiosis due to the canine Babesia microti-like small piroplasm in dogs-first report from Portugal and possible vertical transmission. Parasit. Vectors 2011, 4, 50. [Google Scholar] [CrossRef]
- Barash, N.R.; Thomas, B.; Birkenheuer, A.J.; Breitschwerdt, E.B.; Lemler, E.; Qurollo, B.A. Prevalence of Babesia spp. and clinical characteristics of Babesia vulpes infections in North American dogs. J. Vet. Intern. Med. 2019, 33, 2075–2081. [Google Scholar] [CrossRef] [PubMed]
- Arsenault, A.C.; Foley, P.M.; Clancey, N.P. Babesia vulpes in a dog from Prince Edward Island, Canada. Can. Vet. J. 2022, 63, 589–592. [Google Scholar] [PubMed]
- Zahler, M.; Rinder, H.; Schein, E.; Gothe, R. Detection of a new pathogenic Babesia microti-like species in dogs. Vet. Parasitol. 2000, 89, 241–248. [Google Scholar] [CrossRef]
- Camacho, A.T.; Guitian, F.J.; Pallas, E.; Gestal, J.J.; Olmeda, A.S.; Goethert, H.K.; Telford, S.R.; Spielman, A. Azotemia and Mortality among Babesia microti-Like Infected Dogs. J. Vet. Intern. Med. 2004, 18, 141. [Google Scholar] [CrossRef]
- Guitián, F.J.; Camacho, A.T.; Telford, S.R. Case–control study of canine infection by a newly recognised Babesia microti-like piroplasm. Prev. Vet. Med. 2003, 61, 137–145. [Google Scholar] [CrossRef] [PubMed]
- Baneth, G. Antiprotozoal treatment of canine babesiosis. Vet. Parasitol. 2018, 254, 58–63. [Google Scholar] [CrossRef] [PubMed]
- Checa, R.; Montoya, A.; Ortega, N.; González-Fraga, J.L.; Bartolomé, A.; Gálvez, R.; Marino, V.; Miró, G. Efficacy, safety and tolerance of imidocarb dipropionate versus atovaquone or buparvaquone plus azithromycin used to treat sick dogs naturally infected with the Babesia microti-like piroplasm. Parasit. Vectors 2017, 10, 145. [Google Scholar] [CrossRef]
- Paradies, P.; Iarussi, F.; Sasanelli, M.; Capogna, A.; Lia, R.P.; Zucca, D.; Greco, B.; Cantacessi, C.; Otranto, D. Occurrence of strongyloidiasis in privately owned and sheltered dogs: Clinical presentation and treatment outcome. Parasit. Vectors 2017, 10, 345. [Google Scholar] [CrossRef]
- Dubey, J.P.; Murata, F.H.A.; Cerqueira-Cézar, C.K.; Kwok, O.C.H.; Yang, Y.; Su, C. Toxoplasma gondii infections in dogs: 2009–2020. Vet. Parasitol. 2020, 287, 109223. [Google Scholar] [CrossRef] [PubMed]
- Chappell, L.H.; Wastling, J.M. Cyclosporin A: Antiparasite drug, modulator of the host-parasite relationship and immunosuppressant. Parasitology 1992, 105, S25–S40. [Google Scholar] [CrossRef] [PubMed]
- Máthé, A.; Vörös, K.; Németh, T.; Biksi, I.; Hetyey, C.; Manczur, F.; Tekes, L. Clinicopathological changes and effect of imidocarb therapy in dogs experimentally infected with Babesia canis. Acta Vet. Hung. 2006, 54, 19–33. [Google Scholar] [CrossRef] [PubMed]
- Camacho, A.T.; Pallas, E.; Gestal, J.J.; Guitián, F.J.; Olmeda, A.S. Babesia canis infection in a splenectomized dog. Bull. Soc. Pathol. Exot. 2001, 94, 17–19. [Google Scholar]
- Sikorski, L.E.; Birkenheuer, A.J.; Holowaychuk, M.K.; McCleary-Wheeler, A.L.; Davis, J.M.; Littman, M.P. Babesiosis caused by a large Babesia species in 7 immunocompromised dogs. J. Vet. Intern. Med. 2010, 24, 127–131. [Google Scholar] [CrossRef]
- Trotta, M.; Carli, E.; Novari, G.; Furlanello, T.; Solano-Gallego, L. Clinicopathological findings, molecular detection and characterization of Babesia gibsoni infection in a sick dog from Italy. Vet. Parasitol. 2009, 165, 318–322. [Google Scholar] [CrossRef]
- Wozniak, E.J.; Barr, B.C.; Thomford, J.W.; Yamane, I.; McDonough, S.P.; Moore, P.F.; Naydan, D.; Robinson, T.W.; Conrad, P.A. Clinical, Anatomic, and Immunopathologic Characterization of Babesia gibsoni Infection in the Domestic Dog (Canis familiaris). J. Parasitol. 1997, 83, 692. [Google Scholar] [CrossRef]
- Jetschin, S.; Bitter, V.; Neiger, R. Babesia vulpes-Infektion bei einem Hund in Deutschland—Mögliche Übertragungswege. Kleintierpraxis 2022, 67, 250–258. [Google Scholar] [CrossRef]
- Tuttle, A.D.; Birkenheuer, A.J.; Juopperi, T.; Levy, M.G.; Breitschwerdt, E.B. Concurrent bartonellosis and babesiosis in a dog with persistent thrombocytopenia. J. Am. Vet. Med. Assoc. 2003, 223, 1306–1310. [Google Scholar] [CrossRef]
- Checa, R.; Fidalgo, L.E.; Montoya, A.; López, A.M.; Barrera, J.P.; Gálvez, R.; La Sánchez de Nieta, S.; Marino, V.; Sarquis, J.; Miró, G. The role of healthy dog carriers of Babesia microti-like piroplasms. Parasit. Vectors 2019, 12, 127. [Google Scholar] [CrossRef]
- Kahl, O.; Bulling, I.; Chitimia-Dobler, L. Some new findings on the endophilic vector tick Ixodes hexagonus in Germany. Ticks Tick Borne Dis. 2022, 13, 101954. [Google Scholar] [CrossRef] [PubMed]
- Rubel, F.; Brugger, K.; Chitimia-Dobler, L.; Dautel, H.; Meyer-Kayser, E.; Kahl, O. Atlas of ticks (Acari: Argasidae, Ixodidae) in Germany. Exp. Appl. Acarol. 2021, 84, 183–214. [Google Scholar] [CrossRef] [PubMed]
- Duscher, G.G.; Feiler, A.; Leschnik, M.; Joachim, A. Seasonal and spatial distribution of ixodid tick species feeding on naturally infested dogs from Eastern Austria and the influence of acaricides/repellents on these parameters. Parasit. Vectors 2013, 6, 76. [Google Scholar] [CrossRef] [PubMed]
- Eichenberger, R.M.; Deplazes, P.; Mathis, A. Ticks on dogs and cats: A pet owner-based survey in a rural town in northeastern Switzerland. Ticks Tick Borne Dis. 2015, 6, 267–271. [Google Scholar] [CrossRef] [PubMed]
- Beck, S.; Schreiber, C.; Schein, E.; Krücken, J.; Baldermann, C.; Pachnicke, S.; von Samson-Himmelstjerna, G.; Kohn, B. Tick infestation and prophylaxis of dogs in northeastern Germany: A prospective study. Ticks Tick Borne Dis. 2014, 5, 336–342. [Google Scholar] [CrossRef] [PubMed]
- Woolcock, A.D.; Keenan, A.; Cheung, C.; Christian, J.A.; Moore, G.E. Thrombocytosis in 715 Dogs (2011–2015). J. Vet. Intern. Med. 2017, 31, 1691–1699. [Google Scholar] [CrossRef]
- Phipps, W.E.; de Laforcade, A.M.; Barton, B.A.; Berg, J. Postoperative thrombocytosis and thromboelastographic evidence of hypercoagulability in dogs undergoing splenectomy for splenic masses. J. Am. Vet. Med. Assoc. 2020, 256, 85–92. [Google Scholar] [CrossRef] [PubMed]
- Toroghi, N.; Abbasian, L.; Nourian, A.; Davoudi-Monfared, E.; Khalili, H.; Hasannezhad, M.; Ghiasvand, F.; Jafari, S.; Emadi-Kouchak, H.; Yekaninejad, M.S. Comparing efficacy and safety of different doses of dexamethasone in the treatment of COVID-19: A three-arm randomized clinical trial. Pharmacol. Rep. 2022, 74, 229–240. [Google Scholar] [CrossRef]
- Shoenfeld, Y.; Gurewich, Y.; Gallant, L.A.; Pinkhas, J. Prednisone-induced leukocytosis. Am. J. Med. 1981, 71, 773–778. [Google Scholar] [CrossRef]
- Schulz, B.S.; Hupfauer, S.; Ammer, H.; Sauter-Louis, C.; Hartmann, K. Suspected side effects of doxycycline use in dogs—A retrospective study of 386 cases. Vet. Rec. 2011, 169, 229. [Google Scholar] [CrossRef]
- van Avondt, K.; Nur, E.; Zeerleder, S. Mechanisms of haemolysis-induced kidney injury. Nat. Rev. Nephrol. 2019, 15, 671–692. [Google Scholar] [CrossRef] [PubMed]
- Pantchev, N.; Schnyder, M.; Vrhovec, M.G.; Schaper, R.; Tsachev, I. Current Surveys of the Seroprevalence of Borrelia burgdorferi, Ehrlichia canis, Anaplasma phagocytophilum, Leishmania infantum, Babesia canis, Angiostrongylus vasorum and Dirofilaria immitis in Dogs in Bulgaria. Parasitol. Res. 2015, 114, 117–130. [Google Scholar] [CrossRef] [PubMed]
- Strobl, A.; Pantchev, N.; Martin, L.; Guija-De-Arespacochaga, A.; Hinney, B.; Fuehrer, H.-P.; Leschnik, M. Co-infection with Babesia canis and Babesia gibsoni in a dog. Acta Vet. Hung. 2021, 69, 347–353. [Google Scholar] [CrossRef]
- René-Martellet, M.; Moro, C.V.; Chêne, J.; Bourdoiseau, G.; Chabanne, L.; Mavingui, P. Update on epidemiology of canine babesiosis in Southern France. BMC Vet. Res. 2015, 11, 223. [Google Scholar] [CrossRef]
- Jefferies, R.; Ryan, U.M.; Irwin, P.J. PCR-RFLP for the detection and differentiation of the canine piroplasm species and its use with filter paper-based technologies. Vet. Parasitol. 2007, 144, 20–27. [Google Scholar] [CrossRef]



| 6 January 2022 | 22 January 2022 | 12 February 2022 | Reference | |
|---|---|---|---|---|
| rt-PCR B. vulpes (Ct value) | 14.18 | 19.14 | 26.1 | <40: positive |
| ELISA B. canis (TR value) | 12.3 | 32 | <14: negative; 14–19: borderline; >19: positive | |
| alanine transaminase (U/L) | 1 086 | 589 | 25–122 | |
| aspartate transaminase (U/L) | 128 | 37 | 14–59 | |
| alkaline phosphatase (U/L) | 3 435 | 2 466 | 14–147 | |
| gamma-glutamyltransferase (U/L) | 306 | 177 | 2–13 | |
| glutamate dehydrogenase (U/L) | 70 | 46 | 1–18 | |
| total bilirubin (µmol/L) | 39.33 | 11.97 | 0–6.84 | |
| creatinine (µmol/L) | 35.36 | 194.48 | 44.2–132.6 | |
| urea (mmol/L) | 8.21 | 13.57 | 3.21–10.35 |
Disclaimer/Publisher’s Note: The statements, opinions and data contained in all publications are solely those of the individual author(s) and contributor(s) and not of MDPI and/or the editor(s). MDPI and/or the editor(s) disclaim responsibility for any injury to people or property resulting from any ideas, methods, instructions or products referred to in the content. |
© 2023 by the authors. Licensee MDPI, Basel, Switzerland. This article is an open access article distributed under the terms and conditions of the Creative Commons Attribution (CC BY) license (https://creativecommons.org/licenses/by/4.0/).
Share and Cite
Unterköfler, M.S.; Pantchev, N.; Bergfeld, C.; Wülfing, K.; Globokar, M.; Reinecke, A.; Fuehrer, H.-P.; Leschnik, M. Case Report of a Fatal Babesia vulpes Infection in a Splenectomised Dog. Parasitologia 2023, 3, 59-68. https://doi.org/10.3390/parasitologia3010008
Unterköfler MS, Pantchev N, Bergfeld C, Wülfing K, Globokar M, Reinecke A, Fuehrer H-P, Leschnik M. Case Report of a Fatal Babesia vulpes Infection in a Splenectomised Dog. Parasitologia. 2023; 3(1):59-68. https://doi.org/10.3390/parasitologia3010008
Chicago/Turabian StyleUnterköfler, Maria Sophia, Nikola Pantchev, Carina Bergfeld, Katrin Wülfing, Majda Globokar, Astrid Reinecke, Hans-Peter Fuehrer, and Michael Leschnik. 2023. "Case Report of a Fatal Babesia vulpes Infection in a Splenectomised Dog" Parasitologia 3, no. 1: 59-68. https://doi.org/10.3390/parasitologia3010008
APA StyleUnterköfler, M. S., Pantchev, N., Bergfeld, C., Wülfing, K., Globokar, M., Reinecke, A., Fuehrer, H.-P., & Leschnik, M. (2023). Case Report of a Fatal Babesia vulpes Infection in a Splenectomised Dog. Parasitologia, 3(1), 59-68. https://doi.org/10.3390/parasitologia3010008

