Recombinant Expression in Bacillus megaterium and Biochemical Characterization of Exo-Mannered Glycosyl Hydrolase Family 43 α-L-Arabinofuranosidase from the Korean Black Goat Rumen Metagenome
Abstract
:1. Introduction
2. Materials and Methods
2.1. Construction and Screening of Gene12 Gene from Goat Rumen Metagenomic Library
2.2. Cloning, Expression, and Zymographic Analysis
2.3. In Silico Analysis
2.4. Tertiary (3D) Structure Analysis of Gene12
2.5. Induction, Incubation, and Optimization of the Recombinant Gene12 Enzyme
2.6. Heterologous Expression and Purification of the Recombinant Gene12 Protein
2.7. Enzymatic Characterization of Gene12
2.8. Identification of Gene12 in GenBank
2.9. Data Analysis
3. Results and Discussion
3.1. Construction and Screening of Gene12 Gene from Goat Rumen Metagenomic Library
3.2. Cloning, Expression, and Zymographic Analysis
3.3. In Silico Analysis
3.4. Tertiary (3D) Structure Analysis of Gene12
3.5. Induction, Incubation, and Optimization of the Recombinant Gene12 Enzyme
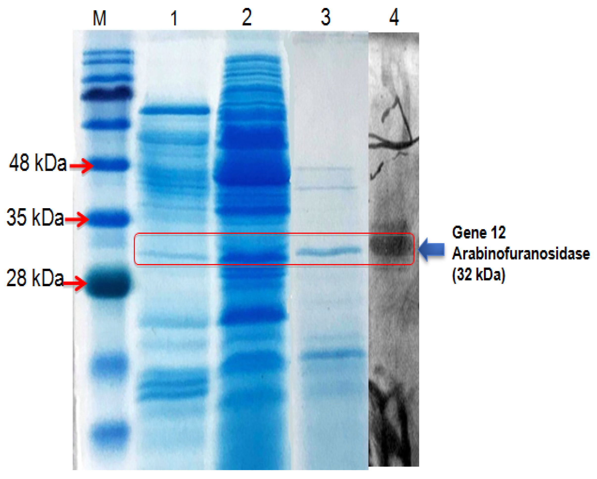
3.6. Heterologous Expression and Purification of the Recombinant Gene12 Protein
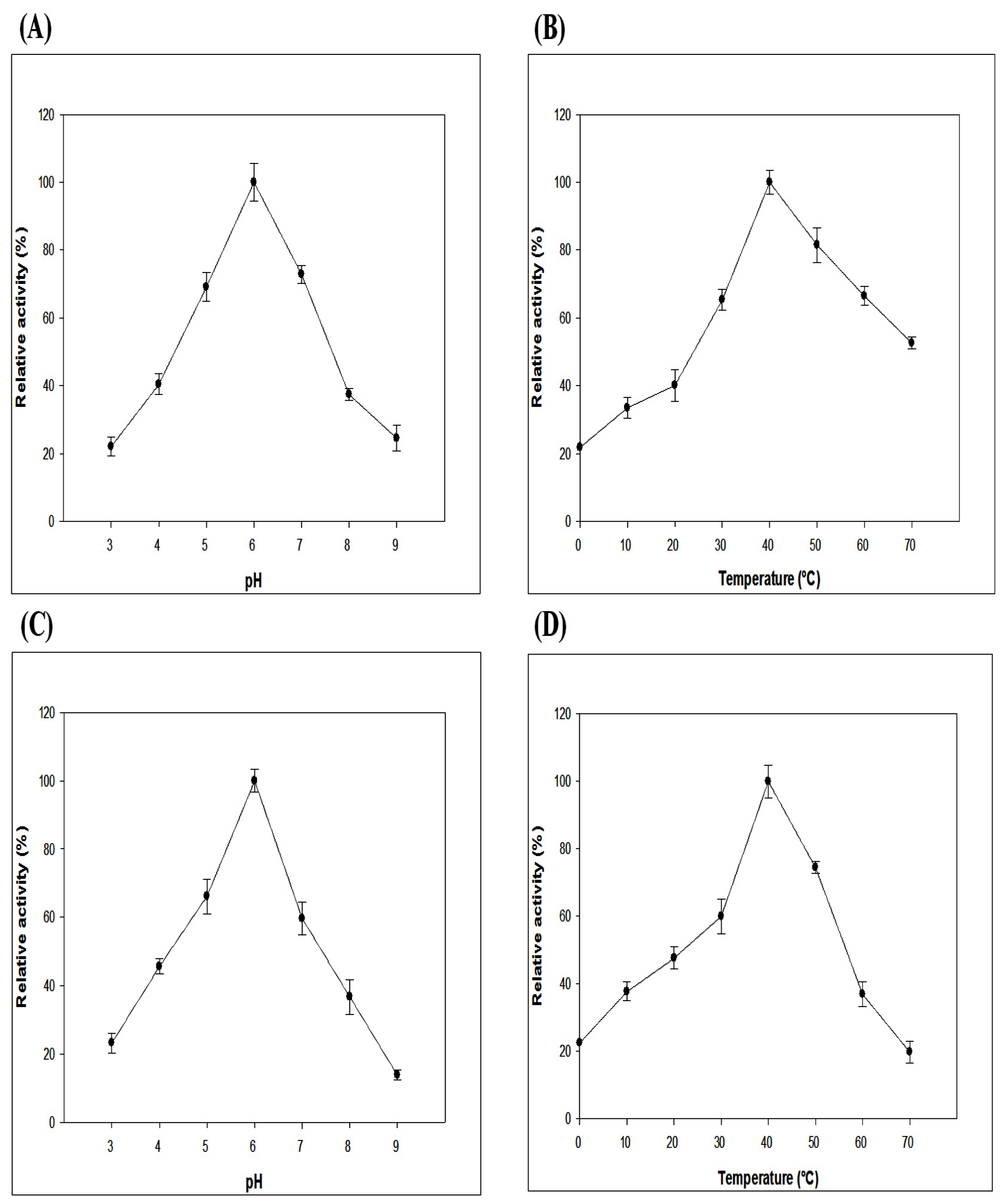
3.7. Enzymatic Characterization of Gene12
4. Conclusions
Author Contributions
Funding
Data Availability Statement
Acknowledgments
Conflicts of Interest
Abbreviations
References
- Rytioja, J.; Hildén, K.; Falco, M.D.; Zhou, M.; Aguilar-Pontes, M.V.; Sietiö, O.M.; Tsang, A.; Vries, R.P.; Mäkelä, M.R. The Molecular Response of the White-Rot Fungus Dichomitus Squalens to Wood and Non-Woody Biomass as Examined by Transcriptome and Exoproteome Analyses. Environ. Microbiol. 2017, 19, 1237–1250. [Google Scholar] [CrossRef] [PubMed]
- Toushik, S.H.; Lee, K.-T.; Lee, J.-S.; Kim, K.-S. Functional Applications of Lignocellulolytic Enzymes in the Fruit and Vegetable Processing Industries. J. Food Sci. 2017, 82, 585–593. [Google Scholar] [CrossRef]
- Zhang, M.; Buekens, A.; Li, X. Dioxins from Biomass Combustion: An Overview. Waste Biomass Valorization 2017, 8, 1–20. [Google Scholar] [CrossRef]
- Zeng, Y.; Himmel, M.E.; Ding, S.-Y. Visualizing Chemical Functionality in Plant Cell Walls. Biotechnol. Biofuels 2017, 10, 263. [Google Scholar] [CrossRef] [PubMed]
- Sae-Lee, R.; Boonmee, A. Newly Derived Gh43 Gene from Compost Metagenome Showing Dual Xylanase and Cellulase Activities. Folia Microbiol. 2014, 59, 409–417. [Google Scholar] [CrossRef]
- Ahmed, S.; Luis, A.S.; Bras, J.L.A.; Ghosh, A.; Gautam, S.; Gupta, M.N.; Fontes, C.M.G.A.; Goyal, A. A Novel A-L-Arabinofuranosidase of Family 43 Glycoside Hydrolase (Ct43araf) from Clostridium thermocellum. PLoS ONE 2013, 8, e73575. [Google Scholar] [CrossRef]
- Souza, S.P.; Seabra, J.E.A.; Nogueira, L.A.H. Feedstocks for Biodiesel Production: Brazilian and Global Perspectives. Biofuels 2018, 9, 455–478. [Google Scholar] [CrossRef]
- Wang, L.; Xu, Q.; Kong, F.; Yang, Y.; Wu, D.; Mishra, S.; Li, Y. Exploring the Goat Rumen Microbiome from Seven Days to Two Years. PLoS ONE 2016, 11, e0154354. [Google Scholar] [CrossRef]
- Ferrer, M.; Ghazi, A.; Beloqui, A.; Vieites, J.M.; Lopez-Cortes, N.; Marín-Navarro, J.; Nechitaylo, T.Y.; Guazzaroni, M.E.; Polaina, J.; Waliczek, A.; et al. Functional Metagenomics Unveils a Multifunctional Glycosyl Hydrolase from the Family 43 Catalysing the Breakdown of Plant Polymers in the Calf Rumen. PLoS ONE 2012, 7, e38134. [Google Scholar] [CrossRef]
- Lee, K.-T.; Toushik, S.H.; Baek, J.-Y.; Kim, J.-E.; Lee, J.-S.; Kim, K.-S. Metagenomic Mining and Functional Characterization of a Novel Kg51 Bifunctional Cellulase/Hemicellulase from Black Goat Rumen. J. Agric. Food Chem. 2018, 66, 9034–9041. [Google Scholar] [CrossRef]
- Thakur, A.; Sharma, K.; Goyal, A. a-L-Arabinofuranosidase: A Potential Enzyme for the Food Industry. Green Bio-Process. Enzym. Ind. Food Process. 2018, 3, 229. [Google Scholar] [CrossRef]
- Pisalwar, P.; Fernandes, A.; Tribhuvan, D.; Gite, S.; Ahmed, S. Arabinofuranosidases. In Glycoside Hydrolases; Academic Press: Cambridge, MA, USA, 2023; pp. 187–211. [Google Scholar]
- Thakur, A.; Sharma, K.; Jamaldheen, S.B.; Goyal, A. Molecular Characterization, Regioselective and Synergistic Action of First Recombinant Type III α-l-arabinofuranosidase of Family 43 Glycoside Hydrolase (Ps GH43_12) from Pseudopedobacter saltans. Mol. Biotechnol. 2020, 62, 443–455. [Google Scholar] [CrossRef] [PubMed]
- Li, Z.; Wang, X.; Zhang, Y.; Yu, Z.; Zhang, T.; Dai, X.; Pan, X.; Jing, R.; Yan, Y.; Liu, Y.; et al. Genomic Insights into the Phylogeny and Biomass-Degrading Enzymes of Rumen Ciliates. ISME J. 2022, 16, 2775–2787. [Google Scholar] [CrossRef] [PubMed]
- Matthews, C.; Crispie, F.; Lewis, E.; Reid, M.; O’Toole, P.W.; Cotter, P.D. The Rumen Microbiome: A Crucial Consideration When Optimising Milk and Meat Production and Nitrogen Utilisation Efficiency. Gut Microbes 2019, 10, 115–132. [Google Scholar] [CrossRef] [PubMed]
- Silva-Portela, R.C.B.; Carvalho, F.M.; Pereira, C.P.M.; de Souza-Pinto, N.C.; Modesti, M.; Fuchs, R.P.; Agnez-Lima, L.F. Exomeg1: A New Exonuclease from Metagenomic Library. Sci. Rep. 2016, 6, 19712. [Google Scholar] [CrossRef]
- Xu, B.; Dai, L.; Zhang, W.; Yang, Y.; Wu, Q.; Li, J.; Tang, X.; Zhou, J.; Ding, J.; Han, N.; et al. Characterization of a Novel Salt-, Xylose- and Alkali-Tolerant Gh43 Bifunctional Β-Xylosidase/A-L-Arabinofuranosidase from the Gut Bacterial Genome. J. Biosci. Bioeng. 2019, 128, 429–437. [Google Scholar] [CrossRef]
- Williams, A.; Gedeon, K.S.; Vaidyanathan, D.; Yu, Y.; Collins, C.H.; Dordick, J.S.; Linhardt, R.J.; Koffas, M.A.G. Metabolic Engineering of Bacillus Megaterium for Heparosan Biosynthesis Using Pasteurella Multocida Heparosan Synthase, Pmhs2. Microb. Cell Factories 2019, 18, 132. [Google Scholar] [CrossRef] [PubMed]
- Grage, K.; McDermott, P.; Rehm, B.H.A. Engineering Bacillus Megaterium for Production of Functional Intracellular Materials. Microb. Cell Factories 2017, 16, 211. [Google Scholar] [CrossRef] [PubMed]
- Vary, P.S.; Biedendieck, R.; Fuerch, T.; Meinhardt, F.; Rohde, M.; Deckwer, W.D.; Jahn, D. Bacillus Megaterium-from Simple Soil Bacterium to Industrial Protein Production Host. Appl. Microbiol. Biotechnol. 2007, 76, 957–967. [Google Scholar] [CrossRef] [PubMed]
- Song, Y.-H.; Lee, K.-T.; Baek, J.-Y.; Kim, M.-J.; Kwon, M.-R.; Kim, Y.-J.; Park, M.-R.; Ko, H.; Lee, J.-S.; Kim, K.-S. Isolation and Characterization of a Novel Glycosyl Hydrolase Family 74 (Gh74) Cellulase from the Black Goat Rumen Metagenomic Library. Folia Microbiol. 2017, 62, 175–181. [Google Scholar] [CrossRef] [PubMed]
- Teather, R.M.; Wood, P.J. Use of Congo Red-Polysaccharide Interactions in Enumeration and Characterization of Cellulolytic Bacteria from the Bovine Rumen. Appl. Environ. Microbiol. 1982, 43, 777–780. [Google Scholar] [CrossRef]
- Yadav, P.; Maharjan, J.; Korpole, S.; Prasad, G.S.; Sahni, G.; Bhattarai, T.; Sreerama, L. Production, Purification, and Characterization of Thermostable Alkaline Xylanase from Anoxybacillus Kamchatkensis Nastpd13. Front. Bioeng. Biotechnol. 2018, 6, 65. [Google Scholar] [CrossRef]
- Zhu, W.; Lomsadze, A.; Borodovsky, M. Ab Initio Gene Identification in Metagenomic Sequences. Nucleic Acids Res. 2010, 38, e132. [Google Scholar] [CrossRef] [PubMed]
- El-Gebali, S.; Mistry, J.; Bateman, A.; Eddy, S.R.; Luciani, A.; Potter, S.C.; Qureshi, M.; Richardson, L.J.; Salazar, G.A.; Smart, A.; et al. The Pfam Protein Families Database in 2019. Nucleic Acids Res. 2018, 47, D427–D432. [Google Scholar] [CrossRef]
- Zhang, C.; Li, B.; Jadeja, R.; Hung, Y.C. Effects of Electrolyzed Oxidizing Water on Inactivation of Bacillus Subtilis and Bacillus Cereus Spores in Suspension and on Carriers. J. Food Sci. 2016, 81, 144–149. [Google Scholar] [CrossRef] [PubMed]
- Zhou, J.; Bao, L.; Chang, L.; Zhou, Y.; Lu, H. Biochemical and Kinetic Characterization of Gh43 Β-D-Xylosidase/A-L-Arabinofuranosidase and Gh30 A-L-Arabinofuranosidase/Β-D-Xylosidase from Rumen Metagenome. J. Ind. Microbiol. Biotechnol. 2012, 39, 143–152. [Google Scholar] [CrossRef] [PubMed]
- Kozlova, L.V.; Gorshkov, O.V.; Mokshina, N.E.; Gorshkova, T.A. Differential Expression of A-L-Arabinofuranosidases During Maize (Zea Mays L.) Root Elongation. Planta 2015, 241, 1159–1172. [Google Scholar] [CrossRef]
- Mewis, K.; Lenfant, N.; Lombard, V.; Henrissat, B. Dividing the Large Glycoside Hydrolase Family 43 into Subfamilies: A Motivation for Detailed Enzyme Characterization. Appl. Environ. Microbiol. 2016, 82, 1686–1692. [Google Scholar] [CrossRef] [PubMed]
- Yang, J.; Yan, R.; Roy, A.; Xu, D.; Poisson, J.; Zhang, Y. The I-Tasser Suite: Protein Structure and Function Prediction. Nat. Methods 2015, 12, 7–8. [Google Scholar] [CrossRef]
- Jitonnom, J.; Hannongbua, S. Theoretical Study of the Arabinan Hydrolysis by an Inverting Gh43 Arabinanase. Mol. Simul. 2018, 44, 631–637. [Google Scholar] [CrossRef]
- Kaneko, S.; Fujimoto, Z. Applications. In Glycoside Hydrolases; Academic Press: Cambridge, MA, USA, 2023; pp. 165–186. [Google Scholar] [CrossRef]
- Limsakul, P.; Phitsuwan, P.; Waeonukul, R.; Pason, P.; Tachaapaikoon, C.; Poomputsa, K.; Kosugi, A.; Ratanakhanokchai, K. A Novel Multifunctional Arabinofuranosidase/Endoxylanase/Β-Xylosidase GH43 Enzyme From Paenibacillus Curdlanolyticus B-6 and its Synergistic Action To Produce Arabinose And Xylose From Cereal Arabinoxylan. Appl. Environ. Microbiol. 2021, 87, e01730-21. [Google Scholar] [CrossRef] [PubMed]
- Vandermarliere, E.; Bourgois, T.M.; Winn, M.D.; Van Campenhout, S.; Volckaert, G.; Delcour, J.A.; Strelkov, S.V.; Rabijns, A.; Courtin, C.M. Structural Analysis of a Glycoside Hydrolase Family 43 Arabinoxylan Arabinofuranohydrolase in Complex with Xylotetraose Reveals a Different Binding Mechanism Compared with Other Members of the Same Family. Biochem. J. 2009, 418, 39–47. [Google Scholar] [CrossRef] [PubMed]
- Pieczywek, P.M.; Cybulska, J.; Zdunek, A. An Atomic Force Microscopy Study on the Effect of Β-Galactosidase, A-L-Rhamnosidase and A-L-Arabinofuranosidase on the Structure of Pectin Extracted from Apple Fruit Using Sodium Carbonate. Int. J. Mol. Sci. 2020, 21, 4064. [Google Scholar] [CrossRef] [PubMed]
- Stoffels, G.; Nes, I.F.; Guomundsdottir, A. Isolation and Properties of a Bacteriocin-Producing Carnobacterium Piscicola Isolated from Fish. J. Appl. Bacteriol. 1992, 73, 309–316. [Google Scholar] [CrossRef]






| Description | Identity 1 (%) | GenBank Accession Number |
|---|---|---|
| Xylosidase/arabinofuranosidase (Uncultured bacterium Contig27) | 81 | AHF24624.1 |
| Alpha-N-arabinofuranosidase (Uncultured bacterium Contig 52) | 81 | AHF25089.1 |
| Alpha-N-arabinofuranosidase (Uncultured bacterium Contig15) | 80 | AHF23849.1 |
| Dockerin type I repeat-containing domain protein, partial (Ruminococcus callidus ATCC 27760) | 55 | ERJ91007.1 |
| Beta-1,4-xylanase (Ruminococcus sp. CAG: 403) | 52 | CDE33734.1 |
| Carbohydrate binding module (family 6) (Butyrivibrio sp. YAB3001) | 42 | SFB93705.1 |
| 1,4-beta-xylanase (Lachnospiraceae bacterium AC2028) | 42 | WP_031581176.1 |
| Arabinoxylan arabinofuranohydrolase XynD (Clostridium saccharobutylicum) | 40 | WP_022743973.1 |
| Hypothetical protein (Clostridium saccharobutylicum) | 39 | WP_064530640.1 |
| Substrate | Specific Activity (U/mg) 1 | Activity Relative to pNPA (%) |
|---|---|---|
| p-Nitrophenyl-D-arabinofuranoside (pNPA) | 75.41 | 100.00 |
| p-Nitrophenyl-D-xylopyranoside (pNPX) | 3.54 | 4.69 |
| Beechwood xylan (BWX) | 2.33 | 3.08 |
| p-Nitrophenyl-D-glucopyranoside (pNPG) | 0.54 | 0.73 |
Disclaimer/Publisher’s Note: The statements, opinions and data contained in all publications are solely those of the individual author(s) and contributor(s) and not of MDPI and/or the editor(s). MDPI and/or the editor(s) disclaim responsibility for any injury to people or property resulting from any ideas, methods, instructions or products referred to in the content. |
© 2023 by the authors. Licensee MDPI, Basel, Switzerland. This article is an open access article distributed under the terms and conditions of the Creative Commons Attribution (CC BY) license (https://creativecommons.org/licenses/by/4.0/).
Share and Cite
Toushik, S.H.; Ashrafudoulla, M. Recombinant Expression in Bacillus megaterium and Biochemical Characterization of Exo-Mannered Glycosyl Hydrolase Family 43 α-L-Arabinofuranosidase from the Korean Black Goat Rumen Metagenome. Appl. Microbiol. 2023, 3, 1164-1177. https://doi.org/10.3390/applmicrobiol3040080
Toushik SH, Ashrafudoulla M. Recombinant Expression in Bacillus megaterium and Biochemical Characterization of Exo-Mannered Glycosyl Hydrolase Family 43 α-L-Arabinofuranosidase from the Korean Black Goat Rumen Metagenome. Applied Microbiology. 2023; 3(4):1164-1177. https://doi.org/10.3390/applmicrobiol3040080
Chicago/Turabian StyleToushik, Sazzad Hossen, and Md. Ashrafudoulla. 2023. "Recombinant Expression in Bacillus megaterium and Biochemical Characterization of Exo-Mannered Glycosyl Hydrolase Family 43 α-L-Arabinofuranosidase from the Korean Black Goat Rumen Metagenome" Applied Microbiology 3, no. 4: 1164-1177. https://doi.org/10.3390/applmicrobiol3040080
APA StyleToushik, S. H., & Ashrafudoulla, M. (2023). Recombinant Expression in Bacillus megaterium and Biochemical Characterization of Exo-Mannered Glycosyl Hydrolase Family 43 α-L-Arabinofuranosidase from the Korean Black Goat Rumen Metagenome. Applied Microbiology, 3(4), 1164-1177. https://doi.org/10.3390/applmicrobiol3040080

