Splenic Artery Pseudoaneurysms: The Role of ce-CT for Diagnosis and Treatment Planning
Abstract
1. Introduction
2. Etiology
3. Symptoms
4. Diagnosis
4.1. Ultrasound
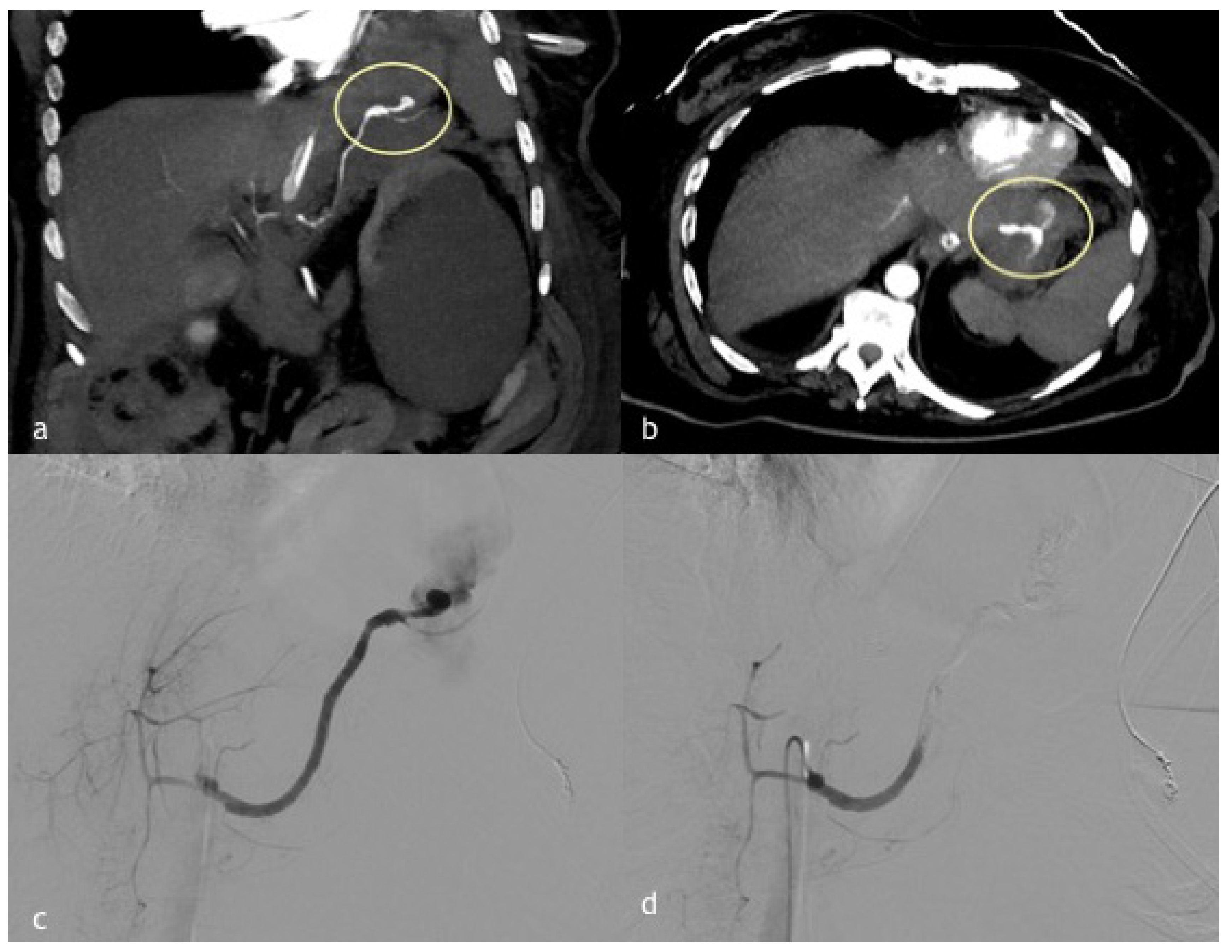
4.2. Computed Tomography Angiography (CTA)
4.3. Magnetic Resonance Imaging (MRI)
5. DSA and Treatment
6. Conclusions
Author Contributions
Funding
Institutional Review Board Statement
Informed Consent Statement
Data Availability Statement
Conflicts of Interest
References
- Talwar, A.; Knight, G.; Al Asadi, A.; Entezari, P.; Chen, R.; Resnick, S.; Komanduri, S.; Gabr, A.; Thornburg, B.; Salem, R.; et al. Post-embolization outcomes of splenic artery pseudoaneurysms: A single-center experience. Clin. Imaging 2021, 80, 160–166. [Google Scholar] [CrossRef] [PubMed]
 - Madhusudhan, K.S.; Venkatesh, H.A.; Gamanagatti, S.; Garg, P.; Srivastava, D.N. Interventional Radiology in the Management of Visceral Artery Pseudoaneurysms: A Review of Techniques and Embolic Materials. Korean J. Radiol. 2016, 17, 351–363. [Google Scholar] [CrossRef] [PubMed]
 - Michael, M.; Widmer, U.; Wildermuth, S.; Barghorn, A.; Duewell, S.; Pfammatter, T. Segmental arterial mediolysis: CTA findings at presentation and follow-up. AJR Am. J. Roentgenol. 2006, 187, 1463–1469. [Google Scholar] [CrossRef] [PubMed]
 - Etezadi, V.; Gandhi, R.T.; Benenati, J.F.; Rochon, P.; Gordon, M.; Benenati, M.J.; Alehashemi, S.; Katzen, B.T.; Geisbüsch, P. Endovascular treatment of visceral and renal artery aneurysms. J. Vasc. Interv. Radiol. 2011, 22, 1246–1253. [Google Scholar] [CrossRef]
 - Tessier, D.J.; Stone, W.M.; Fowl, R.J.; A Abbas, M.; Andrews, J.C.; Bower, T.C.; Gloviczki, P. Clinical features and management of splenic artery pseudoaneurysm: Case series and cumulative review of literature. J. Vasc. Surg. 2003, 38, 969–974. [Google Scholar] [CrossRef]
 - Venturini, M.; Piacentino, F.; Coppola, A.; Bettoni, V.; Macchi, E.; De Marchi, G.; Curti, M.; Ossola, C.; Marra, P.; Palmisano, A.; et al. Visceral Artery Aneurysms Embolization and Other Interventional Options: State of the Art and New Perspectives. J. Clin. Med. 2021, 10, 2520. [Google Scholar] [CrossRef]
 - Gabrielli, D.; Taglialatela, F.; Mantini, C.; Giammarino, A.; Modestino, F.; Cotroneo, A.R. Endovascular treatment of visceral artery pseudoaneurysms in patients with chronic pancreatitis: Our single-center experience. Ann. Vasc. Surg. 2017, 45, 112–116. [Google Scholar] [CrossRef]
 - Shukla, A.J.; Eid, R.; Fish, L.; Avgerinos, E.; Marone, L.; Makaroun, M.; Chaer, R.A. Contemporary outcomes of intact and ruptured visceral artery aneurysms. J. Vasc. Surg. 2015, 61, 1442. [Google Scholar] [CrossRef]
 - Fankhauser, G.; Stone, W.M.; Naidu, S.G.; Oderich, G.S.; Ricotta, J.J.; Bjarnason, H.; Money, S.R. The minimally invasive management of visceral artery aneurysms and pseudoaneurysms. J. Vasc. Surg. 2011, 53, 966–970. [Google Scholar] [CrossRef]
 - Saba, L.; Anzidei, M.; Lucatelli, P.; Mallarini, G. The multidetector computed tomography angiography (MDCTA) in the diagnosis of splenic artery aneurysm and pseudoaneurysm. Acta Radiol. 2011, 52, 488–498. [Google Scholar] [CrossRef]
 - De Martini, I.V.; Pfammatter, T.; Puippe, G.; Clavien, P.-A.; Alkadhi, H. Frequency and causes of delayed diagnosis of visceral artery pseudoaneurysms with CT: Lessons learned. Eur. J. Radiol. Open 2020, 7, 100221. [Google Scholar] [CrossRef] [PubMed]
 - Cartelle, A.L.; Uy, P.P.; Yap, J.E.L. Acute Gastric Hemorrhage due to Gastric Cancer Eroding Into a Splenic Artery Pseudoaneurysm: Two Dangerously Rare Etiologies of Upper Gastrointestinal Bleeding. Cureus 2020, 12, e10685. [Google Scholar] [CrossRef] [PubMed]
 - Hoilat, G.J.; Mathew, G.; Ahmad, H. Pancreatic Pseudoaneurysm. In StatPearls [Internet]; StatPearls Publishing: Treasure Island, FL, USA, 2021. [Google Scholar]
 - Sano, S.; Ito, T.; Ihara, N. Stent graft migration with massive hemorrhage following pancreaticoduodenectomy: A serious complication of endovascular pseudoaneurysm repair. J. Hepato-Biliary-Pancreat. Sci. 2022. Online ahead of print. [Google Scholar] [CrossRef] [PubMed]
 - Balthazar, E.J. Complications of acute pancreatitis: Clinical and CT evaluation. Radiol. Clin. N. Am. 2002, 40, 1211–1227. [Google Scholar] [CrossRef]
 - Maatman, T.K.; Heimberger, M.A.; Lewellen, K.A.; Roch, A.M.; Colgate, C.L.; House, M.G.; Nakeeb, A.; Ceppa, E.P.; Schmidt, C.M.; Zyromski, N.J. Visceral artery pseudoaneurysm in necrotizing pancreatitis: Incidence and outcomes. Can. J. Surg. 2020, 63, E272–E277. [Google Scholar] [CrossRef] [PubMed]
 - Sawicki, M.; Marlicz, W.; Czapla, N.; Łokaj, M.; Skoczylas, M.; Donotek, M.; Kołaczyk, K. Massive Upper Gastrointestinal Bleeding from a Splenic Artery Pseudoaneurysm Caused by a Penetrating Gastric Ulcer: Case Report and Review of Literature. Pol. J. Radiol. 2015, 80, 384–387. [Google Scholar] [CrossRef] [PubMed]
 - Xu, H.; Jing, C.; Zhou, J.; Min, X.; Zhao, J.; Yang, L.; Ren, Y. Application of interventional embolization in the treatment of iatrogenic pseudoaneurysms. Exp. Ther. Med. 2020, 20, 248. [Google Scholar] [CrossRef]
 - Copin, A.; Jenard, S.; Chasse, E. Pseudoaneurysm of the Splenic Artery Following Bariatric Surgery. Obes. Surg. 2021, 31, 2295–2297. [Google Scholar] [CrossRef]
 - Feng, J.; Chen, Y.L.; Dong, J.H.; Chen, M.Y.; Cai, S.W.; Huang, Z.Q. Post-pancreaticoduodenectomy hemorrhage: Risk factors, managements and outcomes. Hepatobiliary Pancreat. Dis. Int. 2014, 13, 513–522. [Google Scholar] [CrossRef]
 - Gabelmann, A.; Gorich, J.; Merkle, E.M. Endovascular treatment of visceral artery aneurysms. J. Endovasc. Ther. 2002, 9, 38–47. [Google Scholar] [CrossRef]
 - Khurram, R.; Al-Obudi, Y.; Glover, T.E.; Shah, R.; Khalifa, M.; Davies, N. Splenic artery pseudoaneurysm: Challenges of non-invasive and endovascular diagnosis and management. Radiol. Case Rep. 2021, 16, 1395–1399. [Google Scholar] [CrossRef] [PubMed]
 - Wojtaszek, M.; Lamparski, K.; Wnuk, E.; Ostrowski, T.; Maciąg, R.; Rix, T.; Maj, E.; Milczarek, K.; Korzeniowski, K.; Rowinski, O. Selective occlusion of splenic artery aneurysms with the coil packing technique: The impact of packing density on aneurysm reperfusion correlated between contrast-enhanced MR angiography and digital subtraction angiography. Radiol. Med. 2019, 124, 450–459. [Google Scholar] [CrossRef] [PubMed]
 - Marjara, J.; Al Juboori, A.; Aggarwal, A.; Davis, R.M.; Bhat, A.P. Metalophagia: Splenic artery pseudoaneurysm after foreign body ingestion and retrieval. Radiol. Case Rep. 2020, 15, 1149–1154. [Google Scholar] [CrossRef] [PubMed]
 - Tsai, M.-J.; Liao, K.-S.; Shih, P.M.-C.; Lee, K.-T.; Chuang, W.-L.; Chiu, Y.-J.; Lin, Z.-Y. Relapsed acute pancreatitis as the initial presentation of pancreatic cancer in a young man: A case report. Kaohsiung J. Med. Sci. 2010, 26, 448–455. [Google Scholar] [CrossRef]
 - Minato, Y.; Kamisawa, T.; Tabata, T.; Hara, S.; Kuruma, S.; Chiba, K.; Kuwata, G.; Fujiwara, T.; Egashira, H.; Koizumi, K.; et al. Pancreatic cancer causing acute pancreatitis: A comparative study with cancer patients without pancreatitis and pancreatitis patients without cancer. J. Hepato-Biliary-Pancreat. Sci. 2013, 20, 628–633. [Google Scholar] [CrossRef] [PubMed]
 - Hoshimoto, S.; Aiura, K.; Shito, M.; Kakefuda, T.; Sugiura, H. Successful resolution of a hemorrhagic pancreatic pseudocyst ruptured into the stomach complicating obstructive pancreatitis due to pancreatic cancer: A case report. World J. Surg. Oncol. 2016, 14, 46. [Google Scholar] [CrossRef][Green Version]
 - Yagmur, Y.; Akbulut, S.; Gumus, S.; Demircan, F. Giant Splenic Artery Pseudoaneurysm: A Case Report and Literature Review. Int. Surg. 2015, 100, 1244–1248. [Google Scholar] [CrossRef] [PubMed]
 - Slavin, R.E.; Gonzalez-Vitale, J.C. Segmental mediolytic arteritis: A clinical pathologic study. Lab. Investig. 1976, 35, 23–29. [Google Scholar]
 - Kim, H.S.; Min, S.-I.; Han, A.; Choi, C.; Min, S.-K.; Ha, J. Longitudinal Evaluation of Segmental Arterial Mediolysis in Splanchnic Arteries: Case Series and Systematic Review. PLoS ONE 2016, 11, e0161182. [Google Scholar] [CrossRef]
 - Shenouda, M.; Riga, C.; Naji, Y.; Renton, S. Segmental arterialmediolysis: A systematic review of 85 cases. Ann. Vasc. Surg. 2014, 28, 269–277. [Google Scholar] [CrossRef]
 - Pang, T.C.Y.; Maher, R.; Gananadha, S.; Hugh, T.J.; Samra, J.S. Peripancreatic pseudoaneurysms: A management-based classification system. Surg. Endosc. 2014, 28, 2027–2038. [Google Scholar] [CrossRef] [PubMed]
 - Sato, N.; Yamaguchi, K.; Shimizu, S.; Morisaki, T.; Yokohata, K.; Chijiiwa, K.; Tanaka, M. Coil embolization of bleeding visceral pseudoaneurysms following pancreatectomy: The importance of early angiography. Arch. Surg. 1998, 133, 1099–1102. [Google Scholar] [CrossRef] [PubMed]
 - Koukoutsis, I.; Bellagamba, R.; Morris-Stiff, G.; Wickremesekera, S.; Coldham, C.; Wigmore, S.; Mayer, A.; Mirza, D.; Buckels, J.; Bramhall, S. Haemorrhage following pancreaticoduodenectomy: Risk factors and the importance of sentinel bleed. Dig. Surg. 2006, 23, 224–228. [Google Scholar] [CrossRef] [PubMed]
 - Borghese, O.; Ganimede, M.P.; Vangosa, A.B.; Pisani, A.; Vidali, S.; Di Stasi, C.; Burdi, N.; Semeraro, V. The Minimally Invasive Treatment of Visceral Artery Pseudoaneurysms: A Retrospective Observational Single Centre Cohort Study on Glue Embolization. Vasc. Endovasc. Surg. 2021, 55, 831–837. [Google Scholar] [CrossRef]
 - Liu, C.-F.; Kung, C.-T.; Liu, B.-M.; Ng, S.-H.; Huang, C.-C.; Ko, S.-F. Splenic artery aneurysms encountered in the ED: 10 years’ experience. Am. J. Emerg. Med. 2007, 25, 430–436. [Google Scholar] [CrossRef]
 - Kawakubo, K.; Kawakami, H.; Kuwatani, M.; Sakamoto, N. Hepatobiliary and pancreatic: A splenic artery aneurysm presenting as a calcified pancreatic mass. J. Gastroenterol. Hepatol. 2015, 30, 655. [Google Scholar] [CrossRef]
 - Saad, N.E.A.; Davies, M.G.; Waldman, D.L.; Fultz, P.J.; Rubens, D.J. Pseudoaneurysms and the role of minimally invasive techniques in their management. Radiographics 2005, 25 (Suppl. 1), S173–S189. [Google Scholar] [CrossRef]
 - Zhao, H.; Wu, Z.-Z.; Ou, J.-L.; Rao, M.; Makamure, J.; Xia, H.-X.; Hu, H.-Y. Splenic Artery Pseudoaneurysm in Chronic Pancreatitis Causing Obstructive Jaundice: Endovascular Management. Ann. Vasc. Surg. 2021, 76, 599.e1–599.e5. [Google Scholar] [CrossRef]
 - Chaer, R.A.; Abularrage, C.J.; Coleman, D.M.; Eslami, M.H.; Kashyap, V.; Rockman, C.; Murad, M.H. The Society for Vascular Surgery clinical practice guidelines on the management of visceral aneu-rysms. J. Vasc. Surg. 2020, 72, 3S–39S. [Google Scholar] [CrossRef]
 - Corvino, A.; Catalano, O.; Corvino, F.; Sandomenico, F.; Setola, S.V.; Petrillo, A. Superficial temporal artery pseudoaneurysm: What is the role of ultrasound? J. Ultrasound 2016, 19, 197–201. [Google Scholar] [CrossRef]
 - Corvino, A.; Catalano, O.; De Magistris, G.; Corvino, F.; Giurazza, F.; Raffaella, N.; Vallone, G. Usefulness of doppler techniques in the diagnosis of peripheral iatrogenic pseudoaneurysms secondary to minimally invasive interventional and surgical procedures: Imaging findings and diagnostic performance study. J. Ultrasound 2020, 23, 563–573. [Google Scholar] [CrossRef] [PubMed]
 - Borzelli, A.; Amodio, F.; Pane, F.; Coppola, M.; Silvestre, M.; Di Serafino, M.; Corvino, F.; Giurazza, F.; Niola, R. Successful endovascular embolization of a giant splenic artery pseudoaneurysm secondary to a huge pancreatic pseudocyst with concomitant spleen invasion. Pol. J. Radiol. 2021, 86, e489–e495. [Google Scholar] [CrossRef] [PubMed]
 - Corvino, A.; Sandomenico, F.; Setola, S.V.; Corvino, F.; Pinto, F.; Catalano, O. Added value of contrast-enhanced ultrasound (CEUS) with Sonovue® in the diagnosis of inferior epigastric artery pseudoaneurysm: Report of a case and review of literature. J. Ultrasound 2019, 22, 485–489. [Google Scholar] [CrossRef] [PubMed]
 - Tulsyan, N.; Kashyap, V.S.; Greenberg, R.K.; Sarac, T.P.; Clair, D.G.; Pierce, G.; Ouriel, K. The endovascular management of visceral artery aneurysms and pseudoaneurysms. J. Vasc. Surg. 2007, 45, 276–283. [Google Scholar] [CrossRef]
 - Hyare, H.; Desigan, S.; Nicholl, H.; Guiney, M.J.; Brookes, J.A.; Lees, W.R. Multi-section CT angiography compared with digital subtraction angiography in diagnosing major arterial hemorrhage in inflammatory pancreatic disease. Eur. J. Radiol. 2006, 59, 295–300. [Google Scholar] [CrossRef]
 - Mascia, D.; Salvatii, S.; Carta, N.; Kahlberg, A.; Santoro, A.; Melissano, G.; Chiesa, R. Endovascular Oriented Classification and Treatment of Celiac Trunk Aneurysms: 10 Years Experience. Ann. Vasc. Surg. 2022, 79, 219–225. [Google Scholar] [CrossRef]
 - Jesinger, R.A.; Thoreson, A.A.; Lamba, R. Abdominal and pelvic aneurysms and pseudoaneurysms: Imaging review with clinical, radiologic, and treatment correlation. Radiographics 2013, 33, 71–96. [Google Scholar] [CrossRef]
 - Barrionuevo, P.; Malas, M.B.; Nejim, B.; Haddad, A.; Morrow, A.; Ponce, O.; Hasan, B.; Seisa, M.; Chaer, R.; Murad, M.H. A systematic review and meta-analysis of the management of visceral artery aneurysms. J. Vasc. Surg. 2020, 72, 40S–45S. [Google Scholar] [CrossRef]
 - Walkoff, L.; Nagpal, P.; Khandelwal, A. Imaging primer for CT angiography in peripheral vascular trauma. Emerg. Radiol. 2021, 28, 143–152. [Google Scholar] [CrossRef]
 - Evans, R.P.; Mourad, M.M.; Pall, G.; Fisher, S.G.; Bramhall, S.R. Pancreatitis: Preventing catastrophic haemorrhage. World J. Gastroenterol. 2017, 23, 5460–5468. [Google Scholar] [CrossRef]
 - Naidu, S.G.; Menias, C.O.; Oklu, R.; Hines, R.S.; Alhalabi, K.; Makar, G.; Shamoun, F.E.; Henkin, S.; McBane, R.D. Segmental Arterial Mediolysis: Abdominal Imaging of and Disease Course in 111 Patients. AJR Am. J. Roentgenol. 2018, 210, 899–905. [Google Scholar] [CrossRef] [PubMed]
 - Tan, R. Segmental Arterial Mediolysis: A Case Study and Review of the Literature in Accurate Diagnosis and Management. Vasc. Spec. Int. 2019, 35, 174–179. [Google Scholar] [CrossRef] [PubMed]
 - Karaosmanoglu, A.D.; Uysal, A.; Akata, D.; Ozmen, M.N.; Karcaaltincaba, M. Role of imaging in visceral vascular emergencies. Insights Imaging 2020, 11, 112. [Google Scholar] [CrossRef] [PubMed]
 - Sueyoshi, E.; Sakamoto, I.; Nakashima, K.; Minami, K.; Hayashi, K. Visceral and peripheral arterial pseudoaneurysms. AJR Am. J. Roentgenol. 2005, 185, 741–749. [Google Scholar] [CrossRef]
 - Kapoor, B.S.; Haddad, H.L.; Saddekni, S.; Lockhart, M.E. Diagnosis and management of pseudoaneurysms: An update. Curr. Probl. Diagn. Radiol. 2009, 38, 170–188. [Google Scholar] [CrossRef] [PubMed]
 - Sousa, J.; Costa, D.; Mansilha, A. Visceral artery aneurysms: Review on indications and current treatment strategies. Int. Angiol. 2019, 38, 381–394. [Google Scholar] [CrossRef]
 - He, Y.X.; Li, G.; Liu, Y.; Tang, H.; Chong, Z.Y.; Wu, X.J.; Jin, X.; Zhang, S.Y.; Wang, M. Endovascular treatment of visceral aneurysms and pseudoaneurysms. J. Biol. Regul. Homeost. Agents 2021, 35, 131–140. [Google Scholar] [CrossRef]
 - Shreve, L.; Jarmakani, M.; Javan, H.; Babin, I.; Nelson, K.; Katrivesis, J.; Lekawa, M.; Kuncir, E.; Fernando, D.; Abi-Jaoudeh, N. Endovascular management of traumatic pseudoaneurysms. CVIR Endovasc. 2020, 3, 88. [Google Scholar] [CrossRef]
 - Mallick, B.; Malik, S.; Gupta, P.; Gorsi, U.; Kochhar, S.; Gupta, V.; Yadav, T.D.; Dhaka, N.; Sinha, S.K.; Kochhar, R. Arterial pseudoaneurysms in acute and chronic pancreatitis: Clinical profile and outcome. JGH Open 2018, 3, 126–132. [Google Scholar] [CrossRef]
 - Jovanovic, M.M.; Tadic, B.; Jankovic, A.; Stosic, K.; Lukic, B.; Cvetic, V.; Knezevic, D. Endovascular treatment of a pseudoaneurysm of the posterior inferior pancreaticoduodenal artery as a complication of chronic pancreatitis: A case report. J. Int. Med. Res. 2022, 50, 3000605221083441. [Google Scholar] [CrossRef]
 - Quencer, K.B.; Smith, T.A. Review of proximal splenic artery embolization in blunt abdominal trauma. CVIR Endovasc. 2019, 2, 11. [Google Scholar] [CrossRef] [PubMed]
 - Venturini, M.; Marra, P.; Colarieti, A.; Agostini, G.; Lanza, C.; Augello, L.; Gusmini, S.; Salvioni, M.; Melissano, G.; Fiorina, P.; et al. Covered stenting and transcatheter embolization of splenic artery aneurysms in diabetic patients: A review of endovascular treatment of visceral artery aneurysms in the current era. Pharmacol. Res. 2018, 135, 127–135. [Google Scholar] [CrossRef] [PubMed]
 - Venturini, M.; Marra, P.; Colombo, M.; Alparone, M.; Agostini, G.; Bertoglio, L.; Sallemi, C.; Salvioni, M.; Gusmini, S.; Balzano, G.; et al. Endovascular Treatment of Visceral Artery Aneurysms and Pseudoaneurysms in 100 Patients: Covered Stenting vs Transcatheter Embolization. J. Endovasc. Ther. 2017, 24, 709–717. [Google Scholar] [CrossRef] [PubMed]
 




Publisher’s Note: MDPI stays neutral with regard to jurisdictional claims in published maps and institutional affiliations.  | 
© 2022 by the authors. Licensee MDPI, Basel, Switzerland. This article is an open access article distributed under the terms and conditions of the Creative Commons Attribution (CC BY) license (https://creativecommons.org/licenses/by/4.0/).
Share and Cite
Corvino, F.; Giurazza, F.; Ierardi, A.M.; Lucatelli, P.; Basile, A.; Corvino, A.; Niola, R. Splenic Artery Pseudoaneurysms: The Role of ce-CT for Diagnosis and Treatment Planning. Diagnostics 2022, 12, 1012. https://doi.org/10.3390/diagnostics12041012
Corvino F, Giurazza F, Ierardi AM, Lucatelli P, Basile A, Corvino A, Niola R. Splenic Artery Pseudoaneurysms: The Role of ce-CT for Diagnosis and Treatment Planning. Diagnostics. 2022; 12(4):1012. https://doi.org/10.3390/diagnostics12041012
Chicago/Turabian StyleCorvino, Fabio, Francesco Giurazza, Anna Maria Ierardi, Pierleone Lucatelli, Antonello Basile, Antonio Corvino, and Raffaella Niola. 2022. "Splenic Artery Pseudoaneurysms: The Role of ce-CT for Diagnosis and Treatment Planning" Diagnostics 12, no. 4: 1012. https://doi.org/10.3390/diagnostics12041012
APA StyleCorvino, F., Giurazza, F., Ierardi, A. M., Lucatelli, P., Basile, A., Corvino, A., & Niola, R. (2022). Splenic Artery Pseudoaneurysms: The Role of ce-CT for Diagnosis and Treatment Planning. Diagnostics, 12(4), 1012. https://doi.org/10.3390/diagnostics12041012
        
                                                
