Molecular Profiling of SYT-SSX Fusion Transcripts for Enhanced Diagnosis of Synovial Sarcomas
Abstract
1. Introduction
2. Materials and Methods
2.1. Study Design and Patients
2.2. Immunohistochemical Analysis
2.3. Fluorescence in Situ Hybridization
2.4. RNA Extraction and RT-PCR Assay
2.5. Sequencing Analysis
2.6. Statistical Analysis
3. Results
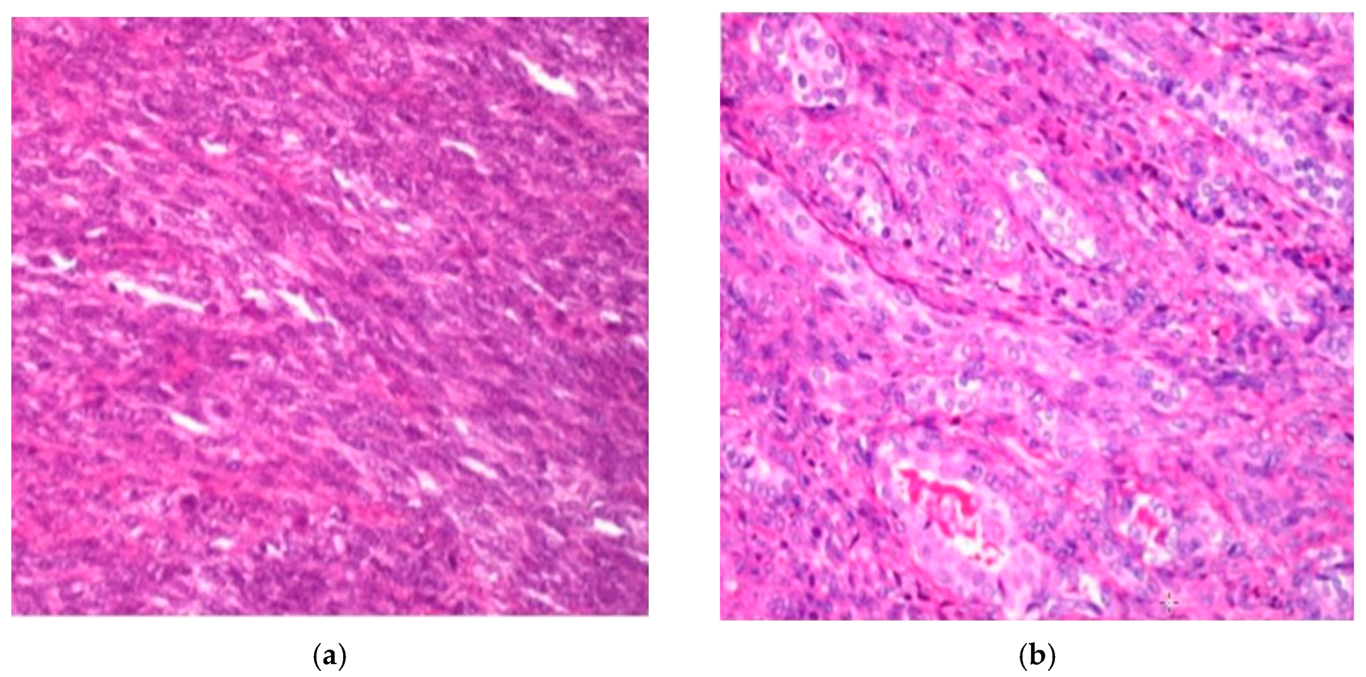
3.1. Clinical and Histological Features
3.2. Immunohistochemistry Analysis
3.3. Detection of the Presence of the Rearrangement by FISH
3.4. Detection of SS18-SSX Fusion Transcripts by RT-PCR and Sequencing Analysis
3.5. Statistical Results
3.5.1. Statistical Analysis of Clinicopathological Associations in Synovial Sarcoma: Fusion Type, Tumor Grade, and Sex
3.5.2. Analyzing Tumor Location Patterns in Relation to SYT-SSX Fusion Types
3.5.3. Differential Expression of EMA and CK Markers by Tumor Morphology and Patient Sex
3.5.4. Multidimensional Scaling Analysis of SYT-SSX Fusion Types by Tumor Grade and Sex
4. Discussion
5. Conclusions
Supplementary Materials
Author Contributions
Funding
Institutional Review Board Statement
Informed Consent Statement
Data Availability Statement
Acknowledgments
Conflicts of Interest
Abbreviations
| β-2M | Beta-2 Microglobulin |
| BLAST | Basic Local Alignment Search Tool |
| CK | Cytokeratin |
| cDNA | Complementary DNA |
| DAB | 3,3′-diaminobenzidine tetrahydrochloride |
| DNA | Deoxyribonucleic acid |
| EMA | epithelial membrane antigen |
| FFPE | formalin-fixed, paraffin-embedded |
| FISH | Fluorescence In Situ Hybridization |
| FNCLCC | Fédération Nationale des Centres de Lutte contre le Cancer |
| H&E | hematoxylin and eosin |
| HIER | Heat-induced epitope retrieval |
| IHC | Immunohistochemistry |
| LSI | Locus-Specific Identifier |
| OR | Odds ratio |
| MDS | Multidimensional Scaling |
| PCR | Polymerase Chain Reaction |
| RNA | Ribonucleic acid |
| RT-PCR | Reverse transcription–polymerase chain reaction |
| SS | Synovial sarcoma |
| SYT | Synovial Sarcoma Translocation |
References
- Zhu, D.; Zheng, W.; Zhu, Z.; Chen, F.; Wang, X. Epidemiology, incidence, and survival of synovial sarcoma of children: A SEER database analysis. Transl. Pediatr. 2024, 13, 1179–1189. [Google Scholar] [CrossRef] [PubMed]
- Anderson, W.J.; Doyle, L.A. Updates from the 2020 World Health Organization Classification of Soft Tissue and Bone Tumours. Histopathology 2021, 78, 644–657. [Google Scholar] [CrossRef] [PubMed]
- Ladanyi, M.; Bridge, J.A. Contribution of molecular genetic data to the classification of sarcomas. Hum. Pathol. 2000, 31, 532–538. [Google Scholar] [CrossRef] [PubMed]
- Fisher, C. Synovial sarcoma. Ann. Diagn. Pathol. 1998, 2, 401–421. [Google Scholar] [CrossRef]
- Fiore, M.; Sambri, A.; Spinnato, P.; Zucchini, R.; Giannini, C.; Caldari, E.; Pirini, M.G.; De Paolis, M. The Biology of Synovial Sarcoma: State-of-the-Art and Future Perspectives. Curr. Treat. Options Oncol. 2021, 22, 109. [Google Scholar] [CrossRef] [PubMed]
- Fisher, C. Synovial sarcoma: Ultrastructural and immunohistochemical features of epithelial differentiation in monophasic and biphasic tumors. Hum. Pathol. 1986, 17, 996–1008. [Google Scholar] [CrossRef]
- Abenoza, P.; Manivel, J.C.; Swanson, P.E.; Wick, M.R. Synovial sarcoma: Ultrastructural study and immunohistochemical analysis by a combined peroxidase-antiperoxidase/avidin-biotin-peroxidase complex procedure. Hum. Pathol. 1986, 17, 1107–1115. [Google Scholar] [CrossRef]
- Clark, J.; Rocques, P.J.; Crew, A.J.; Gill, S.; Shipley, J.; Chan, A.M.-L.; Gusterson, B.A.; Cooper, C.S. Identification of novel genes, SYT and SSX, involved in the t(X; 18)(p11.2; q11.2) translocation found in human synovial sarcoma. Nat. Genet. 1994, 7, 502–508. [Google Scholar] [CrossRef]
- Saito, T. The SYT-SSX fusion protein and histological epithelial differentiation in synovial sarcoma: Relationship with extracellular matrix remodeling. Int. J. Clin. Exp. Pathol. 2013, 6, 2272–2279. [Google Scholar]
- Przybyl, J.; Sciot, R.; Rutkowski, P.; Siedlecki, J.A.; Vanspauwen, V.; Samson, I.; Debiec-Rychter, M. Recurrent and novel SS18-SSX fusion transcripts in synovial sarcoma: Description of three new cases. Tumor Biol. 2012, 33, 2245–2253. [Google Scholar] [CrossRef]
- Feng, X.; Huang, Y.-L.; Zhang, Z.; Wang, N.; Yao, Q.; Pang, L.-J.; Li, F.; Qi, Y. The role of SYT-SSX fusion gene in tumorigenesis of synovial sarcoma. Pathol.-Res. Pract. 2021, 222, 153416. [Google Scholar] [CrossRef]
- Xiong, L.; Chen, Z.; Zhou, Y.; Li, H.; Xiao, T. The survival and prognosis analysis of synovial sarcoma subtypes: A Surveillance, Epidemiology, and End Results population-based analysis. Int. Orthop. 2020, 44, 2779–2786. [Google Scholar] [CrossRef]
- Su, L.; Sampaio, A.V.; Jones, K.B.; Pacheco, M.; Goytain, A.; Lin, S.; Poulin, N.; Yi, L.; Rossi, F.M.; Kast, J.; et al. Deconstruction of the SS18-SSX fusion oncoprotein complex: Insights into disease etiology and therapeutics. Cancer Cell 2012, 21, 333–347. [Google Scholar] [CrossRef] [PubMed]
- Banito, A.; Li, X.; Laporte, A.N.; Roe, J.S.; Sanchez-Vega, F.; Huang, C.H.; Dancsok, A.R.; Hatzi, K.; Chen, C.C.; Tschaharganeh, D.F.; et al. The SS18-SSX Oncoprotein Hijacks KDM2B-PRC1.1 to Drive Synovial Sarcoma. Cancer Cell 2018, 33, 527–541.e8. [Google Scholar] [CrossRef] [PubMed]
- McBride, M.J.; Pulice, J.L.; Beird, H.C.; Ingram, D.R.; D’Avino, A.R.; Shern, J.F.; Charville, G.W.; Hornick, J.L.; Nakayama, R.T.; Garcia-Rivera, E.M.; et al. The SS18-SSX Fusion Oncoprotein Hijacks BAF Complex Targeting and Function to Drive Synovial Sarcoma. Cancer Cell 2018, 33, 1128–1141.e7. [Google Scholar] [CrossRef]
- Oda, Y.; Tsuneyoshi, M. Recent advances in the molecular pathology of soft tissue sarcoma: Implications for diagnosis, patient prognosis, and molecular target therapy in the future. Cancer Sci. 2009, 100, 200–208. [Google Scholar] [CrossRef]
- Fletcher, C.; Bridge, J.A.; Hogendoorn, P.C.W.; Mertens, F. World Health Organization Classification of Tumours of Soft Tissue and Bone. In WHO Classification of Tumours, 4th ed.; World Health Organization: Geneva, Switzerland, 2013; Volume 5. [Google Scholar]
- Pan, M.; Merchant, M. Risk Factors Including Age, Stage and Anatomic Location that Impact the Outcomes of Patients with Synovial Sarcoma. Med. Sci. 2018, 6, 21. [Google Scholar] [CrossRef] [PubMed]
- Bianchi, G.; Sambri, A.; Righi, A.; Dei Tos, A.P.; Picci, P.; Donati, D. Histology and grading are important prognostic factors in synovial sarcoma. Eur. J. Surg Oncol. 2017, 43, 1733–1739. [Google Scholar] [CrossRef]
- Wang, A.X.; Jones, K.B.; Nielsen, T.O. Molecular and epigenetic oncogenesis in synovial sarcoma: Implications for cancer biology, diagnosis and treatment. Oncogene 2025, 44, 3527–3536. [Google Scholar] [CrossRef]
- Ortiz Requena, D.; Longacre, T.A.; Rosenberg, A.E.; Velez Torres, J.M.; Yanchenko, N.; Garcia-Buitrago, M.T.; Voltaggio, L.; Montgomery, E.A. Synovial Sarcoma of the Gastrointestinal Tract. Mod Pathol. 2024, 37, 100383. [Google Scholar] [CrossRef]
- Güre, A.O.; Wei, I.J.; Old, L.J.; Chen, Y.T. The SSX Gene Family; Characterization of 9 complete genes. J. Cancer 2002, 101, 448–453. [Google Scholar] [CrossRef] [PubMed]
- Yoshida, A.; Arai, Y.; Satomi, K.; Kubo, T.; Ryo, E.; Matsushita, Y.; Hama, N.; Sudo, K.; Komiyama, M.; Yatabe, Y.; et al. Identification of novel SS1 fusions in synovial sarcoma. MdernPath 2022, 35, 228–239. [Google Scholar]
- Argani, P.; Zhang, L.; Sung, Y.S.; Bacchi, C.; Swanson, D.; Dickson, B.C.; Antonescu, C.R. Novel SS18-NEDD4gene fusion in a primary renal synovial sarcoma. Genes Chrom. Cancer 2019, 59, 203–208. [Google Scholar]








Disclaimer/Publisher’s Note: The statements, opinions and data contained in all publications are solely those of the individual author(s) and contributor(s) and not of MDPI and/or the editor(s). MDPI and/or the editor(s) disclaim responsibility for any injury to people or property resulting from any ideas, methods, instructions or products referred to in the content. |
© 2025 by the authors. Licensee MDPI, Basel, Switzerland. This article is an open access article distributed under the terms and conditions of the Creative Commons Attribution (CC BY) license (https://creativecommons.org/licenses/by/4.0/).
Share and Cite
Louati, S.; Bentayebi, K.; Saad, I.; Gloor, Y.; Senhaji, N.; Elmrini, A.; Belyamani, L.; Eljaoudi, R.; Ansari, M.; Bennis, S.; et al. Molecular Profiling of SYT-SSX Fusion Transcripts for Enhanced Diagnosis of Synovial Sarcomas. J. Pers. Med. 2025, 15, 455. https://doi.org/10.3390/jpm15100455
Louati S, Bentayebi K, Saad I, Gloor Y, Senhaji N, Elmrini A, Belyamani L, Eljaoudi R, Ansari M, Bennis S, et al. Molecular Profiling of SYT-SSX Fusion Transcripts for Enhanced Diagnosis of Synovial Sarcomas. Journal of Personalized Medicine. 2025; 15(10):455. https://doi.org/10.3390/jpm15100455
Chicago/Turabian StyleLouati, Sara, Kaoutar Bentayebi, Ibtissam Saad, Yvonne Gloor, Nadia Senhaji, Abdelmajid Elmrini, Lahcen Belyamani, Rachid Eljaoudi, Marc Ansari, Sanae Bennis, and et al. 2025. "Molecular Profiling of SYT-SSX Fusion Transcripts for Enhanced Diagnosis of Synovial Sarcomas" Journal of Personalized Medicine 15, no. 10: 455. https://doi.org/10.3390/jpm15100455
APA StyleLouati, S., Bentayebi, K., Saad, I., Gloor, Y., Senhaji, N., Elmrini, A., Belyamani, L., Eljaoudi, R., Ansari, M., Bennis, S., & Daali, Y. (2025). Molecular Profiling of SYT-SSX Fusion Transcripts for Enhanced Diagnosis of Synovial Sarcomas. Journal of Personalized Medicine, 15(10), 455. https://doi.org/10.3390/jpm15100455

