Sixty-Month Follow Up of Clinical MRONJ Cases Treated with CGF and Piezosurgery
Abstract
1. Introduction
- Bone turnover in the maxilla is 10 times faster than in the long bones, especially in the alveolar process of the post-extraction alveoli, the postero-lingual area, the maxillary sinus, and the torus [10];
- The mandibular vascularization is terminal;
- The mucosa and underlying periosteum are intrinsically exposed to trauma during masticatory phases;
- There is a high concentration of bacteria in the salivary biofilm;
- Bisphosphonates (BPs): BPs are pyrophosphate analogues that form strong bonds with hydroxyapatite, which is the mineral component of bone. They are commonly used for the treatment of osteoporosis, bone metastases, and other bone-related conditions. However, long-term use of BPs has been linked to an increased risk of developing MRONJ [13].
- Tyrosine kinase inhibitors (such as sunitinib): these drugs are used in the treatment of various cancers, including kidney cancer and gastrointestinal stromal tumors. They work by inhibiting the activity of specific enzymes involved in cell signaling pathways. While they have shown efficacy in cancer treatment, they have also been associated with the development of MRONJ [14].
- Monoclonal antibodies (such as denosumab): monoclonal antibodies are designed to target specific proteins or receptors involved in disease processes. Denosumab, for example, is a monoclonal antibody used for the treatment of osteoporosis and bone metastases. However, like the other drugs on this list, denosumab has been linked to an increased risk of MRONJ [15].
- Angiogenesis inhibitors (such as bevacizumab): these drugs inhibit the formation of new blood vessels, which can be beneficial in the treatment of cancer and other conditions. However, they can also interfere with the normal healing process of the jawbone, leading to the development of MRONJ [16].
- Fusion proteins (such as aflibercept): fusion proteins are created by combining different protein components to target specific molecules involved in disease processes. Aflibercept, for instance, is a fusion protein used in the treatment of certain cancers. However, its use has been associated with an increased risk of MRONJ [17].
- mTOR inhibitors (such as Everolimus): mTOR inhibitors are a class of drugs that inhibit the mammalian target of rapamycin (mTOR), a protein involved in cell growth and division. These drugs have shown efficacy in cancer treatment, but they have also been associated with an increased risk of MRONJ [18].
- Radiopharmaceuticals (such as radium-223): radiopharmaceuticals are drugs that contain radioactive substances used for diagnostic or therapeutic purposes. Radium-223, for example, is used in the treatment of metastatic prostate cancer. However, its use has been linked to an increased risk of MRONJ [19].
- Estrogen inhibitors (such as raloxifene): estrogen inhibitors are drugs used in the treatment of hormone-receptor-positive breast cancer and osteoporosis. Raloxifene, for instance, is an estrogen inhibitor that has been associated with an increased risk of MRONJ [20].
- Immunomodulators (such as methotrexate and corticosteroids): immunomodulators are drugs that modify the immune response. Methotrexate, a commonly used immunosuppressive drug, and corticosteroids, which have potent anti-inflammatory properties, have both been linked to an increased risk of MRONJ [21].
- Stage 0: this stage is characterized by the presence of clinical symptoms and nonspecific radiological signs, but there is no exposure of the underlying bone.
- Stage 1: in this stage, there is exposed bone measuring less than 2 cm, with or without associated pain.
- Stage 2: here, the exposed bone measures between 2 and 4 cm, and there is pain that can be managed with non-steroidal anti-inflammatory drugs (NSAIDs).
- Stage 3: this is the most advanced stage, where the exposed bone measures more than 4 cm. The pain experienced in this stage is not responsive to NSAIDs. Additionally, complications such as fistulae (abnormal openings) or the involvement of the maxillary sinus or the inferior alveolar nerve may be present.
2. Materials and Methods
2.1. Patient Selection and Treatment Protocol
2.2. Clinical Assessment and Follow-Up
2.3. Results
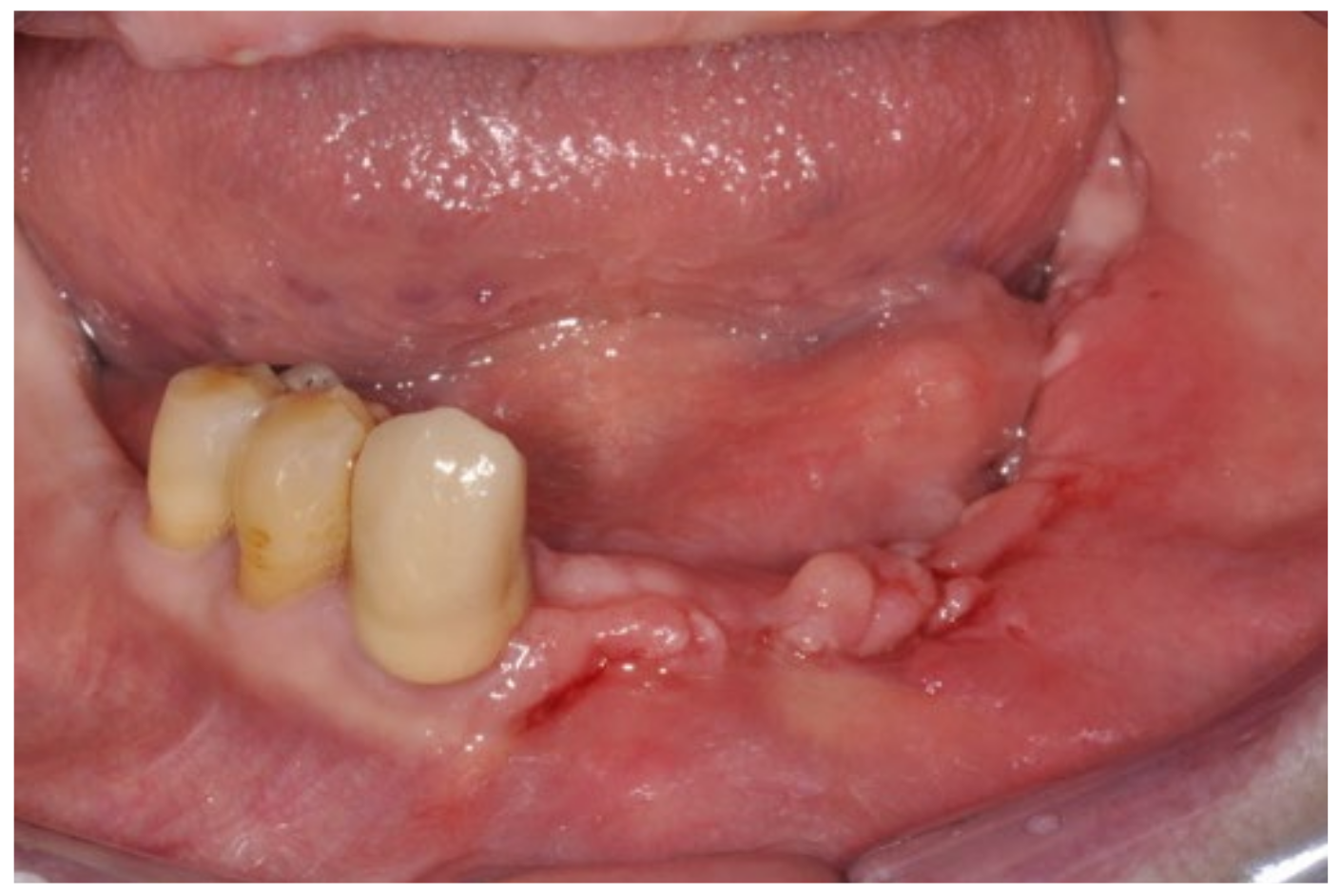
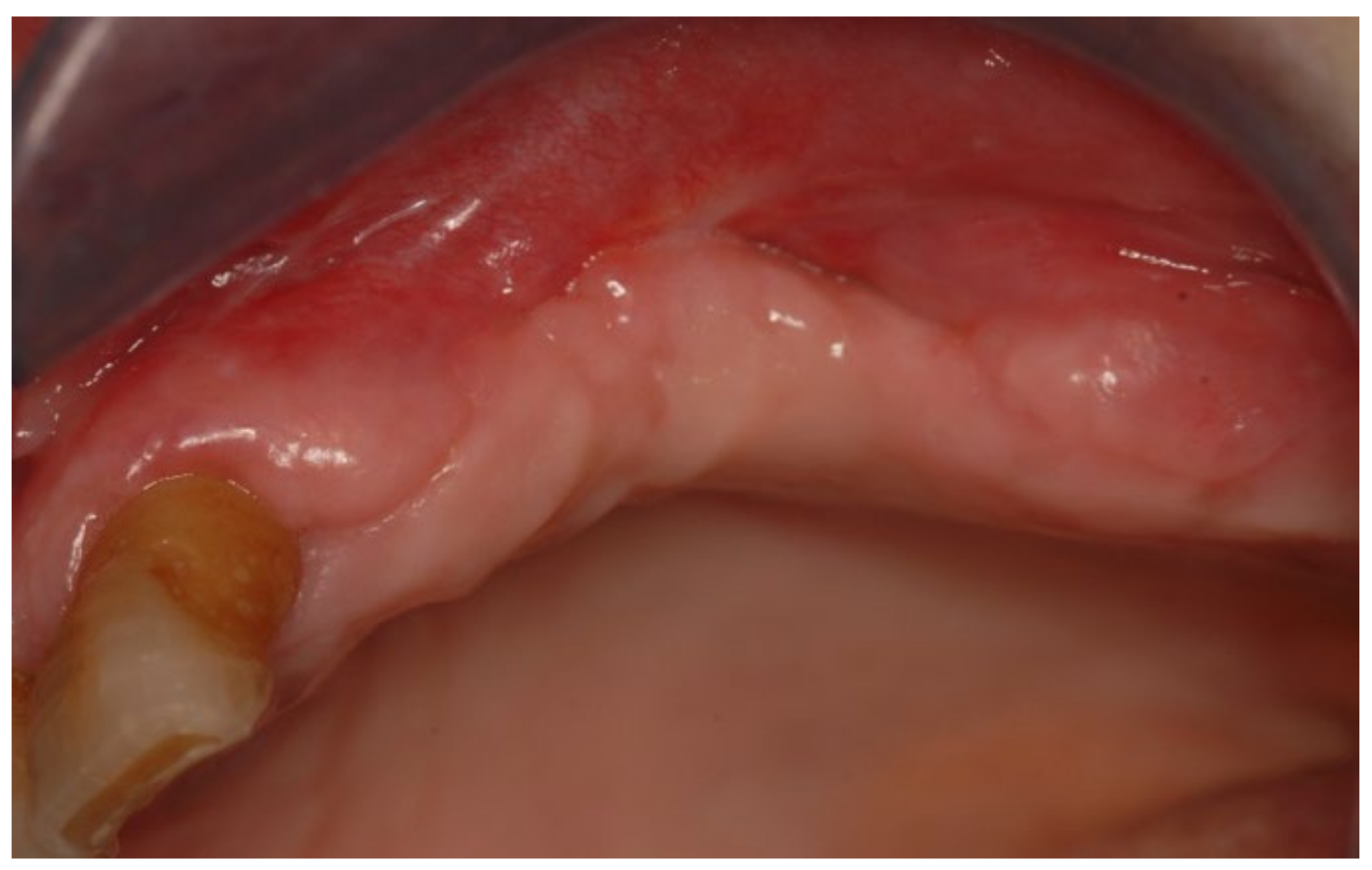
3. Case Descriptions
3.1. Clinical Case 1
3.2. Clinical Case 2
3.3. Clinical Case 3
3.4. Clinical Case 4
3.5. Clinical Case 5
3.6. Clinical Case 6
4. Discussion
4.1. Challenges and Treatment Approaches
4.2. Efficacy and Success Rates
4.3. Complications and Side Effects
4.4. Impact on Quality of Life
5. Limits
6. Conclusions
Author Contributions
Funding
Institutional Review Board Statement
Informed Consent Statement
Data Availability Statement
Conflicts of Interest
Abbreviations
| ARAs | Anti-resorptive agents |
| APC | Autologous platelet concentrates |
| BRONJ | Bisphosphonate-related osteonecrosis of the jaw |
| BPs | Bisphosphonates |
| CGF | Concentrated growth factor |
| MRONJ | Medication-related osteonecrosis of the jaws |
| MMF | Mylohyoid muscle flap |
| NSAIDs | Non-steroidal anti-inflammatory drugs |
| ONJ | Osteonecrosis of the jaws |
| OPG | Osteoprotegerin |
| ORN | Osteoradionecrosis |
| PZ | Piezosurgery |
| PRF | Platelet rich fibrin |
| PRP | Platelet-rich plasma |
| RANK | Reactive activator of nuclear κb |
| ST | Surgical treatment |
References
- Hellstein, J.W.; Marek, C.L. Bisphosphonate Osteochemonecrosis (Bis-Phossy Jaw): Is This Phossy Jaw of the 21st Century? J. Oral Maxillofac. Surg. 2005, 63, 682–689. [Google Scholar] [CrossRef] [PubMed]
- Rosella, D.; Papi, P.; Giardino, R.; Cicalini, E.; Piccoli, L.; Pompa, G. Medication-Related Osteonecrosis of the Jaw: Clinical and Practical Guidelines. J. Int. Soc. Prev. Community Dent. 2016, 6, 97–104. [Google Scholar] [CrossRef] [PubMed]
- AlDhalaan, N.A.; BaQais, A.; Al-Omar, A. Medication-Related Osteonecrosis of the Jaw: A Review. Cureus 2012, 12, e6944. [Google Scholar] [CrossRef] [PubMed]
- He, L.; Sun, X.; Liu, Z.; Qiu, Y.; Niu, Y. Pathogenesis and Multidisciplinary Management of Medication-Related Osteonecrosis of the Jaw. Int. J. Oral Sci. 2020, 12, 30. [Google Scholar] [CrossRef] [PubMed]
- Buckley, K.A.; Fraser, W.D. Receptor Activator for Nuclear Factor KappaB Ligand and Osteoprotegerin: Regulators of Bone Physiology and Immune Responses/Potential Therapeutic Agents and Biochemical Markers. Ann. Clin. Biochem. 2002, 39, 551–556. [Google Scholar] [CrossRef] [PubMed]
- Aghaloo, T.L.; Kang, B.; Sung, E.C.; Shoff, M.; Ronconi, M.; Gotcher, J.E.; Bezouglaia, O.; Dry, S.M.; Tetradis, S. Periodontal Disease and Bisphosphonates Induce Osteonecrosis of the Jaws in the Rat. J. Bone Miner. Res. 2011, 26, 1871–1882. [Google Scholar] [CrossRef]
- Inchingolo, F.; Tatullo, M.; Marrelli, M.; Inchingolo, A.M.; Inchingolo, A.D.; Dipalma, G.; Flace, P.; Girolamo, F.; Tarullo, A.; Laino, L.; et al. Regenerative Surgery Performed with Platelet-Rich Plasma Used in Sinus Lift Elevation before Dental Implant Surgery: An Useful Aid in Healing and Regeneration of Bone Tissue. Eur. Rev. Med. Pharmacol. Sci. 2012, 16, 1222–1226. [Google Scholar]
- Abtahi, J.; Agholme, F.; Sandberg, O.; Aspenberg, P. Bisphosphonate-Induced Osteonecrosis of the Jaw in a Rat Model Arises First after the Bone Has Become Exposed. No Primary Necrosis in Unexposed Bone. J. Oral Pathol. Med. 2012, 41, 494–499. [Google Scholar] [CrossRef]
- Inchingolo, A.M.; Malcangi, G.; Ferrara, I.; Patano, A.; Viapiano, F.; Netti, A.; Azzollini, D.; Ciocia, A.M.; de Ruvo, E.; Campanelli, M.; et al. MRONJ Treatment Strategies: A Systematic Review and Two Case Reports. Appl. Sci. 2023, 13, 4370. [Google Scholar] [CrossRef]
- Lindhe, J.; Cecchinato, D.; Bressan, E.A.; Toia, M.; Araújo, M.G.; Liljenberg, B. The Alveolar Process of the Edentulous Maxilla in Periodontitis and Non-Periodontitis Subjects. Clin. Oral Implant. Res. 2012, 23, 5–11. [Google Scholar] [CrossRef]
- Marx, R.E. Pamidronate (Aredia) and Zoledronate (Zometa) Induced Avascular Necrosis of the Jaws: A Growing Epidemic. J. Oral Maxillofac. Surg. 2003, 61, 1115–1117. [Google Scholar] [CrossRef] [PubMed]
- Ahdi, H.S.; Wichelmann, T.A.; Pandravada, S.; Ehrenpreis, E.D. Medication-Induced Osteonecrosis of the Jaw: A Review of Cases from the Food and Drug Administration Adverse Event Reporting System (FAERS). BMC Pharmacol. Toxicol. 2023, 24, 15. [Google Scholar] [CrossRef] [PubMed]
- Cremers, S.; Drake, M.T.; Ebetino, F.H.; Bilezikian, J.P.; Russell, R.G.G. Pharmacology of Bisphosphonates. Br. J. Clin. Pharmacol. 2019, 85, 1052–1062. [Google Scholar] [CrossRef] [PubMed]
- Pottier, C.; Fresnais, M.; Gilon, M.; Jérusalem, G.; Longuespée, R.; Sounni, N.E. Tyrosine Kinase Inhibitors in Cancer: Breakthrough and Challenges of Targeted Therapy. Cancers 2020, 12, 731. [Google Scholar] [CrossRef] [PubMed]
- Kroupova, K.; Palicka, V.; Rosa, J. Monoclonal Antibodies for Treatment of Osteoporosis. Drugs Today 2023, 59, 195–204. [Google Scholar] [CrossRef]
- Zhao, N.; Li, Q.; Wang, Y.; Qiao, Q.; Huang, H.; Guo, C.; Guo, Y. Anti-Angiogenic Drug Aggravates the Degree of Anti-Resorptive Drug-Based Medication-Related Osteonecrosis of the Jaw by Impairing the Proliferation and Migration Function of Gingival Fibroblasts. BMC Oral Health 2023, 23, 330. [Google Scholar] [CrossRef]
- De Oliveira Dias, J.R.; de Andrade, G.C.; Novais, E.A.; Farah, M.E.; Rodrigues, E.B. Fusion Proteins for Treatment of Retinal Diseases: Aflibercept, Ziv-Aflibercept, and Conbercept. Int. J. Retin. Vitr. 2016, 2, 3. [Google Scholar] [CrossRef]
- Klümpen, H.-J.; Beijnen, J.H.; Gurney, H.; Schellens, J.H.M. Inhibitors of MTOR. Oncologist 2010, 15, 1262–1269. [Google Scholar] [CrossRef]
- Brady, D.; Parker, C.C.; O’Sullivan, J.M. Bone-Targeting Radiopharmaceuticals Including Radium-223. Cancer J. 2013, 19, 71–78. [Google Scholar] [CrossRef]
- O’Regan, R.M.; Jordan, V.C. Tamoxifen to Raloxifene and Beyond. Semin. Oncol. 2001, 28, 260–273. [Google Scholar] [CrossRef]
- Ruggiero, S.L.; Dodson, T.B.; Aghaloo, T.; Carlson, E.R.; Ward, B.B.; Kademani, D. American Association of Oral and Maxillofacial Surgeons’ Position Paper on Medication-Related Osteonecrosis of the Jaws-2022 Update. J. Oral Maxillofac. Surg. 2022, 80, 920–943. [Google Scholar] [CrossRef] [PubMed]
- Wessel, J.H.; Dodson, T.B.; Zavras, A.I. Zoledronate, Smoking, and Obesity Are Strong Risk Factors for Osteonecrosis of the Jaw: A Case-Control Study. J. Oral Maxillofac. Surg. 2008, 66, 625–631. [Google Scholar] [CrossRef]
- Ruggiero, S.; Gralow, J.; Marx, R.E.; Hoff, A.O.; Schubert, M.M.; Huryn, J.M.; Toth, B.; Damato, K.; Valero, V. Practical Guidelines for the Prevention, Diagnosis, and Treatment of Osteonecrosis of the Jaw in Patients with Cancer. J. Oncol. Pract. 2006, 2, 7–14. [Google Scholar] [CrossRef] [PubMed]
- On, S.-W.; Cho, S.-W.; Byun, S.-H.; Yang, B.-E. Various Therapeutic Methods for the Treatment of Medication-Related Osteonecrosis of the Jaw (MRONJ) and Their Limitations: A Narrative Review on New Molecular and Cellular Therapeutic Approaches. Antioxidants 2021, 10, 680. [Google Scholar] [CrossRef] [PubMed]
- Aguirre, J.; Castillo, E.; Kimmel, D. Preclinical Models of Medication-Related Osteonecrosis of the Jaw (MRONJ). Bone 2021, 153, 116184. [Google Scholar] [CrossRef]
- Favia, G.; Tempesta, A.; Limongelli, L.; Crincoli, V.; Maiorano, E. Medication-Related Osteonecrosis of the Jaws: Considerations on a New Antiresorptive Therapy (Denosumab) and Treatment Outcome after a 13-Year Experience. Int. J. Dent. 2016, 2016, 1801676. [Google Scholar] [CrossRef]
- Ruggiero, S.L. Diagnosis and Staging of Medication-Related Osteonecrosis of the Jaw. Oral Maxillofac. Surg. Clin. N. Am. 2015, 27, 479–487. [Google Scholar] [CrossRef]
- Inchingolo, A.M.; Malcangi, G.; Ferrante, L.; Del Vecchio, G.; Viapiano, F.; Mancini, A.; Inchingolo, F.; Inchingolo, A.D.; Di Venere, D.; Dipalma, G.; et al. Damage from Carbonated Soft Drinks on Enamel: A Systematic Review. Nutrients 2023, 15, 1785. [Google Scholar] [CrossRef]
- Francini, F.; Pascucci, A.; Francini, E.; Miano, S.T.; Bargagli, G.; Ruggiero, G.; Petrioli, R. Osteonecrosis of the Jaw in Patients with Cancer Who Received Zoledronic Acid and Bevacizumab. J. Am. Dent. Assoc. 2011, 142, 506–513. [Google Scholar] [CrossRef]
- Favia, G.; Tempesta, A.; Limongelli, L.; Crincoli, V.; Maiorano, E. Medication-Related Osteonecrosis of the Jaw: Surgical or Non-Surgical Treatment? Oral Dis. 2018, 24, 238–242. [Google Scholar] [CrossRef]
- Khan, A.A.; Morrison, A.; Hanley, D.A.; Felsenberg, D.; McCauley, L.K.; O’Ryan, F.; Reid, I.R.; Ruggiero, S.L.; Taguchi, A.; Tetradis, S.; et al. Diagnosis and Management of Osteonecrosis of the Jaw: A Systematic Review and International Consensus. J. Bone Miner. Res. 2015, 30, 3–23. [Google Scholar] [CrossRef]
- Lončar Brzak, B.; Horvat Aleksijević, L.; Vindiš, E.; Kordić, I.; Granić, M.; Vidović Juras, D.; Andabak Rogulj, A. Osteonecrosis of the Jaw. Dent. J. 2023, 11, 23. [Google Scholar] [CrossRef] [PubMed]
- Otto, S.; Aljohani, S.; Fliefel, R.; Ecke, S.; Ristow, O.; Burian, E.; Troeltzsch, M.; Pautke, C.; Ehrenfeld, M. Infection as an Important Factor in Medication-Related Osteonecrosis of the Jaw (MRONJ). Medicina 2021, 57, 463. [Google Scholar] [CrossRef] [PubMed]
- Schiodt, M.; Vadhan-Raj, S.; Chambers, M.S.; Nicolatou-Galitis, O.; Politis, C.; Coropciuc, R.; Fedele, S.; Jandial, D.; Zhang, J.; Ma, H.; et al. A Multicenter Case Registry Study on Medication-Related Osteonecrosis of the Jaw in Patients with Advanced Cancer. Support. Care Cancer 2018, 26, 1905–1915. [Google Scholar] [CrossRef] [PubMed]
- Kaibuchi, N.; Hoshi, K.; Yamazaki, A.; Miyamoto-Sangu, N.; Akagi, Y.; Okamoto, T. The Progress of Medication-Related Osteonecrosis of the Jaw with Conservative Initial Treatment: A 12-Year Retrospective Study of 129 Patients. Bone Rep. 2021, 14, 101072. [Google Scholar] [CrossRef]
- Hallmer, F.; Andersson, G.; Götrick, B.; Warfvinge, G.; Anderud, J.; Bjørnland, T. Prevalence, Initiating Factor, and Treatment Outcome of Medication-Related Osteonecrosis of the Jaw-a 4-Year Prospective Study. Oral Surg. Oral Med. Oral Pathol. Oral Radiol. 2018, 126, 477–485. [Google Scholar] [CrossRef]
- Hoefert, S.; Yuan, A.; Munz, A.; Grimm, M.; Elayouti, A.; Reinert, S. Clinical Course and Therapeutic Outcomes of Operatively and Non-Operatively Managed Patients with Denosumab-Related Osteonecrosis of the Jaw (DRONJ). J. Cranio-Maxillofac. Surg. 2017, 45, 570–578. [Google Scholar] [CrossRef]
- Lorenzo-Pouso, A.I.; Bagán, J.; Bagán, L.; Gándara-Vila, P.; Chamorro-Petronacci, C.M.; Castelo-Baz, P.; Blanco-Carrión, A.; Blanco-Fernández, M.Á.; Álvarez-Calderón, Ó.; Carballo, J.; et al. Medication-Related Osteonecrosis of the Jaw: A Critical Narrative Review. J. Clin. Med. 2021, 10, 4367. [Google Scholar] [CrossRef]
- Pichardo, S.E.C.; van Merkesteyn, J.P.R. Evaluation of a Surgical Treatment of Denosumab-Related Osteonecrosis of the Jaws. Oral Surg. Oral Med. Oral Pathol. Oral Radiol. 2016, 122, 272–278. [Google Scholar] [CrossRef]
- Fleisher, K.E.; Pham, S.; Raad, R.A.; Friedman, K.P.; Ghesani, M.; Chan, K.C.; Amintavakoli, N.; Janal, M.; Levine, J.P.; Glickman, R.S. Does Fluorodeoxyglucose Positron Emission Tomography with Computed Tomography Facilitate Treatment of Medication-Related Osteonecrosis of the Jaw? J. Oral Maxillofac. Surg. 2016, 74, 945–958. [Google Scholar] [CrossRef]
- Lopez-Jornet, P.; Sanchez Perez, A.; Amaral Mendes, R.; Tobias, A. Medication-Related Osteonecrosis of the Jaw: Is Autologous Platelet Concentrate Application Effective for Prevention and Treatment? A Systematic Review. J. Cranio-Maxillofac. Surg. 2016, 44, 1067–1072. [Google Scholar] [CrossRef]
- Inchingolo, A.D.; Carpentiere, V.; Piras, F.; Netti, A.; Ferrara, I.; Campanelli, M.; Latini, G.; Viapiano, F.; Costa, S.; Malcangi, G.; et al. Orthodontic Surgical Treatment of Impacted Mandibular Canines: Systematic Review and Case Report. Appl. Sci. 2022, 12, 8008. [Google Scholar] [CrossRef]
- Mamilos, A.; Spörl, S.; Spanier, G.; Ettl, T.; Brochhausen, C.; Klingelhöffer, C. The First Quantitative Histomorphological Analyses of Bone Vitality and Inflammation in Surgical Specimens of Patients with Medication-Related Osteonecrosis of the Jaw. J. Oral Pathol. Med. 2021, 50, 76–84. [Google Scholar] [CrossRef]
- Bellocchio, L.; Patano, A.; Inchingolo, A.D.; Inchingolo, F.; Dipalma, G.; Isacco, C.G.; de Ruvo, E.; Rapone, B.; Mancini, A.; Lorusso, F.; et al. Cannabidiol for Oral Health: A New Promising Therapeutical Tool in Dentistry. Int. J. Mol. Sci. 2023, 24, 9693. [Google Scholar] [CrossRef]
- Kumar, B.P.; Venkatesh, V.; Kumar, K.A.J.; Yadav, B.Y.; Mohan, S.R. Mandibular Reconstruction: Overview. J. Maxillofac. Oral. Surg. 2016, 15, 425–441. [Google Scholar] [CrossRef]
- Alqarni, H.; Alfaifi, M.; Ahmed, W.M.; Almutairi, R.; Kattadiyil, M.T. Classification of Maxillectomy in Edentulous Arch Defects, Algorithm, Concept, and Proposal Classifications: A Review. Clin. Exp. Dent. Res. 2023, 9, 45. [Google Scholar] [CrossRef] [PubMed]
- Hayashida, S.; Soutome, S.; Yanamoto, S.; Fujita, S.; Hasegawa, T.; Komori, T.; Kojima, Y.; Miyamoto, H.; Shibuya, Y.; Ueda, N.; et al. Evaluation of the Treatment Strategies for Medication-Related Osteonecrosis of the Jaws (MRONJ) and the Factors Affecting Treatment Outcome: A Multicenter Retrospective Study with Propensity Score Matching Analysis. J. Bone Miner. Res. 2017, 32, 2022–2029. [Google Scholar] [CrossRef] [PubMed]
- Yoshiga, D.; Nakamichi, I.; Yamashita, Y.; Yamamoto, N.; Yamauchi, K.; Nogami, S.; Kaneuji, T.; Mitsugi, S.; Tanaka, K.; Kataoka, Y.; et al. Prognosis Factors in the Treatment of Bisphosphonate-Related Osteonecrosis of the Jaw—Prognostic Factors in the Treatment of BRONJ. J. Clin. Exp. Dent. 2014, 6, e22–e28. [Google Scholar] [CrossRef] [PubMed]
- Ristow, O.; Hürtgen, L.; Moratin, J.; Smielowski, M.; Freudlsperger, C.; Engel, M.; Hoffmann, J.; Rückschloß, T. A Critical Assessment of the Medication-Related Osteonecrosis of the Jaw Classification in Stage I Patients: A Retrospective Analysis. J. Korean Assoc. Oral Maxillofac. Surg. 2021, 47, 99–111. [Google Scholar] [CrossRef]
- Sarkarat, F.; Kalantar Motamedi, M.H.; Jahanbani, J.; Sepehri, D.; Kahali, R.; Nematollahi, Z. Platelet-Rich Plasma in Treatment of Zoledronic Acid-Induced Bisphosphonate-Related Osteonecrosis of the Jaws. Trauma. Mon. 2014, 19, e17196. [Google Scholar] [CrossRef]
- Inchingolo, F.; Tatullo, M.; Marrelli, M.; Inchingolo, A.M.; Scacco, S.; Inchingolo, A.D.; Dipalma, G.; Vermesan, D.; Abbinante, A.; Cagiano, R. Trial with Platelet-Rich Fibrin and Bio-Oss Used as Grafting Materials in the Treatment of the Severe Maxillar Bone Atrophy: Clinical and Radiological Evaluations. Eur. Rev. Med. Pharmacol. Sci. 2010, 14, 1075–1084. [Google Scholar]
- Mijiritsky, E.; Assaf, H.D.; Kolerman, R.; Mangani, L.; Ivanova, V.; Zlatev, S. Autologous Platelet Concentrates (APCs) for Hard Tissue Regeneration in Oral Implantology, Sinus Floor Elevation, Peri-Implantitis, Socket Preservation, and Medication-Related Osteonecrosis of the Jaw (MRONJ): A Literature Review. Biology 2022, 11, 1254. [Google Scholar] [CrossRef]
- Viapiano, F.; Viapiano, F.; Viapiano, F.; Viapiano, F. Oralbiotica/Oralbiotics: The Impact of Oral Microbiota on Dental Health and Demineralization: A Systematic Review of the Literature. Children 2022, 9, 1014. [Google Scholar] [CrossRef]
- Qiao, J.; An, N.; Ouyang, X. Quantification of Growth Factors in Different Platelet Concentrates. Platelets 2017, 28, 774–778. [Google Scholar] [CrossRef]
- Inchingolo, A.D.; Inchingolo, A.M.; Malcangi, G.; Avantario, P.; Azzollini, D.; Buongiorno, S.; Viapiano, F.; Campanelli, M.; Ciocia, A.M.; De Leonardis, N.; et al. Effects of Resveratrol, Curcumin and Quercetin Supplementation on Bone Metabolism-A Systematic Review. Nutrients 2022, 14, 3519. [Google Scholar] [CrossRef] [PubMed]
- Rapone, B.; Ferrara, E.; Qorri, E.; Inchingolo, F.; Isola, G.; Dongiovanni, P.; Tartaglia, G.M.; Scarano, A. Research Efficacy of Gaseous Ozone Therapy as an Adjuvant to Periodontal Treatment on Oxidative Stress Mediators in Patients with Type 2 Diabetes: A Randomized Clinical Trial. BMC Oral Health 2023, 23, 278. [Google Scholar] [CrossRef] [PubMed]
- Giudice, A.; Barone, S.; Giudice, C.; Bennardo, F.; Fortunato, L. Can Platelet-Rich Fibrin Improve Healing after Surgical Treatment of Medication-Related Osteonecrosis of the Jaw? A Pilot Study. Oral Surg. Oral Med. Oral Pathol. Oral Radiol. 2018, 126, 390–403. [Google Scholar] [CrossRef]
- Curi, M.M.; Cossolin, G.S.I.; Koga, D.H.; Zardetto, C.; Christianini, S.; Feher, O.; Cardoso, C.L.; dos Santos, M.O. Bisphosphonate-Related Osteonecrosis of the Jaws—An Initial Case Series Report of Treatment Combining Partial Bone Resection and Autologous Platelet-Rich Plasma. J. Oral Maxillofac. Surg. 2011, 69, 2465–2472. [Google Scholar] [CrossRef] [PubMed]
- Oneto, P.; Zubiry, P.R.; Schattner, M.; Etulain, J. Anticoagulants Interfere with the Angiogenic and Regenerative Responses Mediated by Platelets. Front. Bioeng. Biotechnol. 2020, 8, 223. [Google Scholar] [CrossRef]

























Disclaimer/Publisher’s Note: The statements, opinions and data contained in all publications are solely those of the individual author(s) and contributor(s) and not of MDPI and/or the editor(s). MDPI and/or the editor(s) disclaim responsibility for any injury to people or property resulting from any ideas, methods, instructions or products referred to in the content. |
© 2023 by the authors. Licensee MDPI, Basel, Switzerland. This article is an open access article distributed under the terms and conditions of the Creative Commons Attribution (CC BY) license (https://creativecommons.org/licenses/by/4.0/).
Share and Cite
Dipalma, G.; Inchingolo, A.M.; Malcangi, G.; Ferrara, I.; Viapiano, F.; Netti, A.; Patano, A.; Isacco, C.G.; Inchingolo, A.D.; Inchingolo, F. Sixty-Month Follow Up of Clinical MRONJ Cases Treated with CGF and Piezosurgery. Bioengineering 2023, 10, 863. https://doi.org/10.3390/bioengineering10070863
Dipalma G, Inchingolo AM, Malcangi G, Ferrara I, Viapiano F, Netti A, Patano A, Isacco CG, Inchingolo AD, Inchingolo F. Sixty-Month Follow Up of Clinical MRONJ Cases Treated with CGF and Piezosurgery. Bioengineering. 2023; 10(7):863. https://doi.org/10.3390/bioengineering10070863
Chicago/Turabian StyleDipalma, Gianna, Angelo Michele Inchingolo, Giuseppina Malcangi, Irene Ferrara, Fabio Viapiano, Anna Netti, Assunta Patano, Ciro Gargiulo Isacco, Alessio Danilo Inchingolo, and Francesco Inchingolo. 2023. "Sixty-Month Follow Up of Clinical MRONJ Cases Treated with CGF and Piezosurgery" Bioengineering 10, no. 7: 863. https://doi.org/10.3390/bioengineering10070863
APA StyleDipalma, G., Inchingolo, A. M., Malcangi, G., Ferrara, I., Viapiano, F., Netti, A., Patano, A., Isacco, C. G., Inchingolo, A. D., & Inchingolo, F. (2023). Sixty-Month Follow Up of Clinical MRONJ Cases Treated with CGF and Piezosurgery. Bioengineering, 10(7), 863. https://doi.org/10.3390/bioengineering10070863

