Endlicheria bracteolata (Meisn.) Essential Oil as a Weapon Against Leishmania amazonensis: In Vitro Assay
Abstract
1. Introduction
2. Results
2.1. Gas Chromatography/Mass Spectrometry (GC/MS) Analysis
2.2. Antileishmanial Activity Against Leishmania amazonensis Promastigote Forms and Cytotoxicity of E. bracteolata Essential Oil
2.3. Antileishmanial Activity Against L. amazonensis Intracellular Amastigotes Forms of E. bracteolata Essential Oil
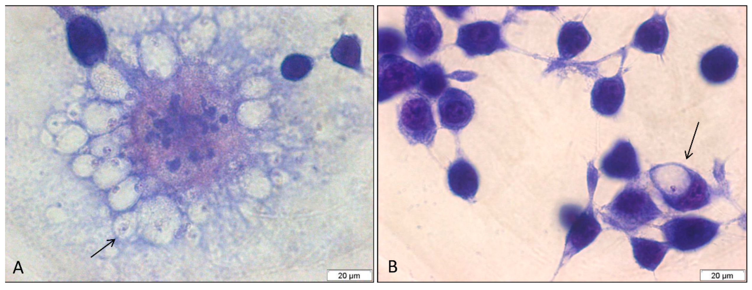
2.4. Transmission Electron Microscopy of the Promastigote Forms
2.5. Transmission Electron Microscopy of Intracellular Amastigote Forms
2.6. Flow Cytometric Analysis
3. Discussion
4. Materials and Methods
4.1. Plant Material
4.2. Extraction of the Essential Oil
4.3. Gas Chromatography Analysis
4.4. Cytotoxicity Assay
4.5. In Vitro Antileishmanial Activity of E. bracteolata Essential Oil Against L. amazonensis Promastigote Forms
4.6. In Vitro Antileishmanial Activity of E. bracteolata Essential Oil Against Intracellular Amastigote Forms
4.7. Transmission Electron Microscopy of Promastigotes and Intracellular Amastigotes
4.8. Flow Cytometric Assay
4.9. Statistical Analysis
Author Contributions
Funding
Acknowledgments
Conflicts of Interest
References
- Herwaldt, B.L. Leishmaniasis. Lancet 1999, 354, 1191–1199. [Google Scholar] [CrossRef]
- Murray, H.W.; Berman, J.D.; Davies, C.R.; Saravia, N.G. Advances in leishmaniasis. Lancet 2005, 366, 1561–1577. [Google Scholar] [CrossRef]
- Ait-Oudhia, K.; Gazanion, E.; Vergnes, B.; Oury, B.; Sereno, D. Leishmania antimony resistance: what we know what we can learn from the field. Parasitol. Res. 2011, 109, 1225–1232. [Google Scholar] [CrossRef] [PubMed]
- Brasil. Casos de Leishmaniose Tegumentar Americana. Brasil, Grandes Regiões e Unidades Federadas. 1990 a 2014. Sinan/SVS/MS, Ed. 2015.
- World Health Organization. Status of endemicity of cutaneous leishmaniasis worldwide. Available online: https://www.who.int/leishmaniasis/burden/Status_of_endemicity_of_CL_worldwide_2015_with_imported_cases.pdf?ua=1&ua=1 (accessed on 10 January 2019).
- Eiras, D.P.; Kirkman, L.A.; Murray, H.W. Cutaneous Leishmaniasis: Current Treatment Practices in the USA for Returning Travelers. Curr. Treat. Opt. Infect. Dis. 2015, 7, 52–62. [Google Scholar] [CrossRef] [PubMed]
- Al Balushi, A.; Khamis, F.; Klaassen, C.H.W.; Gangneux, J.P.; Van Hellemond, J.J.; Petersen, E. Double Infection With Leishmania tropica and L. major in an HIV Patient Controlled with High Doses of Amphotericin B. Open Forum Infect. Dis. 2018, 5. [Google Scholar] [CrossRef] [PubMed]
- Oliveira, R.M.; Melo, S.A.; Penha-Silva, T.A.; Almeida-Souza, F.; Abreu-Silva, A.L. Alternative Treatment for Leishmaniasis. In Leishmaniases as Re-Emerging Diseases; Afrin, F., Ed.; InTech Open: London, UK, 2018. [Google Scholar]
- Almalki, D.A.; Alghamdi, S.A.; Al-Attar, A.M. Comparative Study on the Influence of Some Medicinal Plants on Diabetes Induced by Streptozotocin in Male Rats. Biomed. Res. Int. 2019, 2019. [Google Scholar] [CrossRef]
- Teles, A.M.; Rosa, T.; Mouchrek, A.N.; Abreu-Silva, A.L.; Calabrese, K.S.; Almeida-Souza, F. Cinnamomum zeylanicum, Origanum vulgare, and Curcuma longa Essential Oils: Chemical Composition, Antimicrobial and Antileishmanial Activity. Evid. Based Complement. Alternat. Med. 2019, 2019. [Google Scholar] [CrossRef]
- Silva, V.D.; Almeida-Souza, F.; Teles, A.M.; Neto, P.A.; Mondego-Oliveira, R.; Mendes Filho, N.E.; Taniwaki, N.N.; Abreu-Silva, A.L.; Calabrese, K.S. Chemical composition of Ocimum canum Sims. essential oil and the antimicrobial, antiprotozoal and ultrastructural alterations it induces in Leishmania amazonensis promastigotes. Indust. Crops Prod. 2018, 119, 201–208. [Google Scholar] [CrossRef]
- Andrade, P.M.; Melo, D.C.; Alcoba, A.E.T.; Ferreira Junior, W.G.; Pagotti, M.C.; Magalhaes, L.G.; Santos, T.; Crotti, A.E.M.; Alves, C.C.F.; Miranda, M.L.D. Chemical composition and evaluation of antileishmanial and cytotoxic activities of the essential oil from leaves of Cryptocarya aschersoniana Mez. (Lauraceae Juss.). An. Acad. Bras. Cienc. 2018, 90, 2671–2678. [Google Scholar] [CrossRef]
- Hamdi, A.; Bero, J.; Beaufay, C.; Flamini, G.; Marzouk, Z.; Vander Heyden, Y.; Quetin-Leclercq, J. In vitro antileishmanial and cytotoxicity activities of essential oils from Haplophyllum tuberculatum A. Juss leaves, stems and aerial parts. BMC Complement. Altern. Med. 2018, 18. [Google Scholar] [CrossRef]
- Silva, J.R.A.; Carmo, D.F.M.; Reis, E.M.; Machado, G.M.C.; Leon, L.L.; Silva, B.O.; Ferreira, J.L.P.; Amaral, A.C.F. Chemical and biological evaluation of essential oils with economic value from Lauraceae species. J. Brazilian Chem. Soc. 2009, 20, 1071–1076. [Google Scholar] [CrossRef]
- Costa, E.V.; Pinheiro, M.L.B.; Silva, J.R.d.A.; Maia, B.H.L.d.N.S.; Duarte, M.C.T.; Amaral, A.C.F.; Machado, G.M.C.; Leon, L.L. Antimicrobial and antileishmanial activity of essential oil from the leaves of Annona foetida (Annonaceae). New Chem. 2009, 32, 78–81. [Google Scholar] [CrossRef]
- Moura do Carmo, D.F.; Amaral, A.C.; Machado, G.M.; Leon, L.L.; Silva, J.R. Chemical and biological analyses of the essential oils and main constituents of Piper species. Molecules 2012, 17, 1819–1829. [Google Scholar] [CrossRef] [PubMed]
- Crowley, L.C.; Christensen, M.E.; Waterhouse, N.J. Measuring Mitochondrial Transmembrane Potential by TMRE Staining. Cold Spring Harb. Protoc. 2016, 2016. [Google Scholar] [CrossRef] [PubMed]
- Oliveira, I.; Moragas Tellis, C.J.; Chagas, M.; Behrens, M.D.; Calabrese, K.D.S.; Abreu-Silva, A.L.; Almeida-Souza, F. Carapa guianensis Aublet (Andiroba) Seed Oil: Chemical Composition and Antileishmanial Activity of Limonoid-Rich Fractions. Biomed. Res. Int. 2018, 2018. [Google Scholar] [CrossRef] [PubMed]
- Ueda-Nakamura, T.; Mendonca, R.R.; Morgado-Diaz, J.A.; Maza, P.K.; Dias, B.P.; Cortez, D.A.G.; Alviano, D.S.; Rosa, M.D.S.; Lopes, A.; Alviano, C.S. Antileishmanial activity of Eugenol-rich essential oil from Ocimum gratissimum. Parasit. Int. 2006, 55, 99–105. [Google Scholar] [CrossRef] [PubMed]
- Santin, M.R.; Santos, A.O.; Nakamura, C.V.; Dias Filho, B.P.; Ferreira, I.C.; Ueda-Nakamura, T. In vitro activity of the essential oil of Cymbopogon citratus and its major component (citral) on Leishmania amazonensis. Parasit. Res. 2009, 105, 1489–1496. [Google Scholar] [CrossRef]
- Medeiros, M.; Silva, A.C.; Citó, A.M.; Borges, A.R.; Lima, S.G.; Lopes, J.A.; Figueiredo, R.C. In vitro antileishmanial activity and cytotoxicity of essential oil from Lippia sidoides Cham. Parasit. Int. 2011, 60, 237–241. [Google Scholar] [CrossRef]
- Sifaoui, I.; Lopez-Arencibia, A.; Martin-Navarro, C.M.; Ticona, J.C.; Reyes-Batlle, M.; Mejri, M.; Jimenez, A.I.; Lopez-Bazzocchi, I.; Valladares, B.; Lorenzo-Morales, J.; et al. In vitro effects of triterpenic acids from olive leaf extracts on the mitochondrial membrane potential of promastigote stage of Leishmania spp. Phytomedicine 2014, 21, 1689–1694. [Google Scholar] [CrossRef]
- Almeida-Souza, F.; Taniwaki, N.N.; Amaral, A.C.F.; Souza, C.S.; Calabrese, K.S.; Abreu-Silva, A.L. Ultrastructural changes and death of Leishmania infantum promastigotes induced by Morinda citrifolia Linn. fruit (Noni) juice treatment. Evid. Based Complement. Alternat. Med. 2016, 2016. [Google Scholar] [CrossRef]
- Brennand, A.; Rico, E.; Michels, P.A. Autophagy in trypanosomatids. Cells 2012, 1, 346–371. [Google Scholar] [CrossRef] [PubMed]
- Adams, R.P. Identification of Essential Oil Components by Gas Chromatography/Mass Spectrometry, 4th ed.; Corp, A.P., Ed.; Allured Pub Corp: Carol Stream, IL, USA, 2007. [Google Scholar]
- Rottini, M.M.; Amaral, A.C.F.; Ferreira, J.L.; Silva, J.R.; Taniwaki, N.N.; Souza, C.S.; d’Escoffier, L.N.; Almeida-Souza, F.; Hardoim, D.J.; Gonçalves da Costa, S.C. In vitro evaluation of (−)α-bisabolol as a promising agent against Leishmania amazonensis. Exp. Parasit. 2015, 148, 66–72. [Google Scholar] [CrossRef] [PubMed]
- Almeida-Souza, F.; de Souza, C.S.; Taniwaki, N.N.; Silva, J.J.; de Oliveira, R.M.; Abreu-Silva, A.L.; Calabrese, K.S. Morinda citrifolia Linn. fruit (Noni) juice induces an increase in NO production and death of Leishmania amazonensis amastigotes in peritoneal macrophages from BALB/c. Nitric Oxide 2016, 58, 51–58. [Google Scholar] [CrossRef] [PubMed]
Sample Availability: Samples of the compounds are available from the authors. |






| Compounds | Retention Index | Total Area (%) |
|---|---|---|
| Monoterpenes | ||
| α-thujene | 930 | 0.1 |
| α-pinene | 939 | 1.1 |
| β-pinene | 979 | 0.7 |
| myrcene | 990 | 0.1 |
| α-phellandrene | 1002 | 3.4 |
| ρ-cymene | 1024 | 2.0 |
| limonene | 1029 | 0.3 |
| Sesquiterpenes | ||
| α-copaene | 1376 | 0.2 |
| β-elemene | 1390 | 0.5 |
| (E)-caryophyllene | 1419 | 3.8 |
| β-gurjunene | 1433 | 0.3 |
| γ-elemene | 1436 | 0.2 |
| α-guaiene | 1438 | 0.6 |
| aromadendrene | 1441 | 0.2 |
| premnaspirodiene | 1451 | 0.2 |
| β-selinene | 1490 | 1.1 |
| δ-selinene | 1492 | 0.1 |
| viridiflorene | 1496 | 0.1 |
| Isodaucene | 1499 | 0.5 |
| α-muurolene | 1500 | 0.2 |
| α-bulnesene | 1509 | 1.3 |
| δ-cadinene | 1523 | 0.1 |
| selina-3,7(11)diene | 1546 | 0.1 |
| rosifoliol | 1548 | 0.6 |
| elemol | 1549 | 2.6 |
| occidentalol | 1552 | 0.1 |
| germacrene B | 1561 | 3.0 |
| guaiol | 1600 | 46.4 |
| 10-epi- γ-eudesmol | 1622 | 17.9 |
| γ-eudesmol | 1632 | 1.0 |
| α-eudesmol | 1653 | 1.2 |
| α-cadinol | 1654 | 0.1 |
| bulnesol | 1671 | 3.7 |
| Terpenoids Class | ||
| Monoterpenes | 7.7 | |
| Hydrocarbon sesquiterpenes | 12.5 | |
| Oxygenated sesquiterpenes | 73.6 | |
| Identified Compounds | 93.8 |
| Compounds | Leishmania amazonensis IC50 (µg/mL) | J774.G8 CC50 (µg/mL) | SI | |
|---|---|---|---|---|
| Promastigote | Intracelular Amastigote | |||
| Endlicheria bracteolata essential oil | 7.945 ± 1.285 | 3.546 ± 1.184 | 15.14 ± 0.090 | 4.27 |
| Amphotericin B | 1.521 ± 1.500 | 0.869 ± 0.774 | 19.97 ± 1.462 | 22.9 |
© 2019 by the authors. Licensee MDPI, Basel, Switzerland. This article is an open access article distributed under the terms and conditions of the Creative Commons Attribution (CC BY) license (http://creativecommons.org/licenses/by/4.0/).
Share and Cite
Rottini, M.M.; Amaral, A.C.F.; Ferreira, J.L.P.; Oliveira, E.S.C.; Silva, J.R.d.A.; Taniwaki, N.N.; dos Santos, A.R.; Almeida-Souza, F.; de Souza, C.d.S.F.; Calabrese, K.d.S. Endlicheria bracteolata (Meisn.) Essential Oil as a Weapon Against Leishmania amazonensis: In Vitro Assay. Molecules 2019, 24, 2525. https://doi.org/10.3390/molecules24142525
Rottini MM, Amaral ACF, Ferreira JLP, Oliveira ESC, Silva JRdA, Taniwaki NN, dos Santos AR, Almeida-Souza F, de Souza CdSF, Calabrese KdS. Endlicheria bracteolata (Meisn.) Essential Oil as a Weapon Against Leishmania amazonensis: In Vitro Assay. Molecules. 2019; 24(14):2525. https://doi.org/10.3390/molecules24142525
Chicago/Turabian StyleRottini, Mariana Margatto, Ana Claudia Fernandes Amaral, José Luiz Pinto Ferreira, Edinilze Souza Coelho Oliveira, Jefferson Rocha de Andrade Silva, Noemi Nosomi Taniwaki, Arith Ramos dos Santos, Fernando Almeida-Souza, Celeste da Silva Freitas de Souza, and Kátia da Silva Calabrese. 2019. "Endlicheria bracteolata (Meisn.) Essential Oil as a Weapon Against Leishmania amazonensis: In Vitro Assay" Molecules 24, no. 14: 2525. https://doi.org/10.3390/molecules24142525
APA StyleRottini, M. M., Amaral, A. C. F., Ferreira, J. L. P., Oliveira, E. S. C., Silva, J. R. d. A., Taniwaki, N. N., dos Santos, A. R., Almeida-Souza, F., de Souza, C. d. S. F., & Calabrese, K. d. S. (2019). Endlicheria bracteolata (Meisn.) Essential Oil as a Weapon Against Leishmania amazonensis: In Vitro Assay. Molecules, 24(14), 2525. https://doi.org/10.3390/molecules24142525

