64CuCl2 PET Imaging of 4T1-Related Allograft of Triple-Negative Breast Cancer in Mice
Abstract
:1. Introduction
2. Results
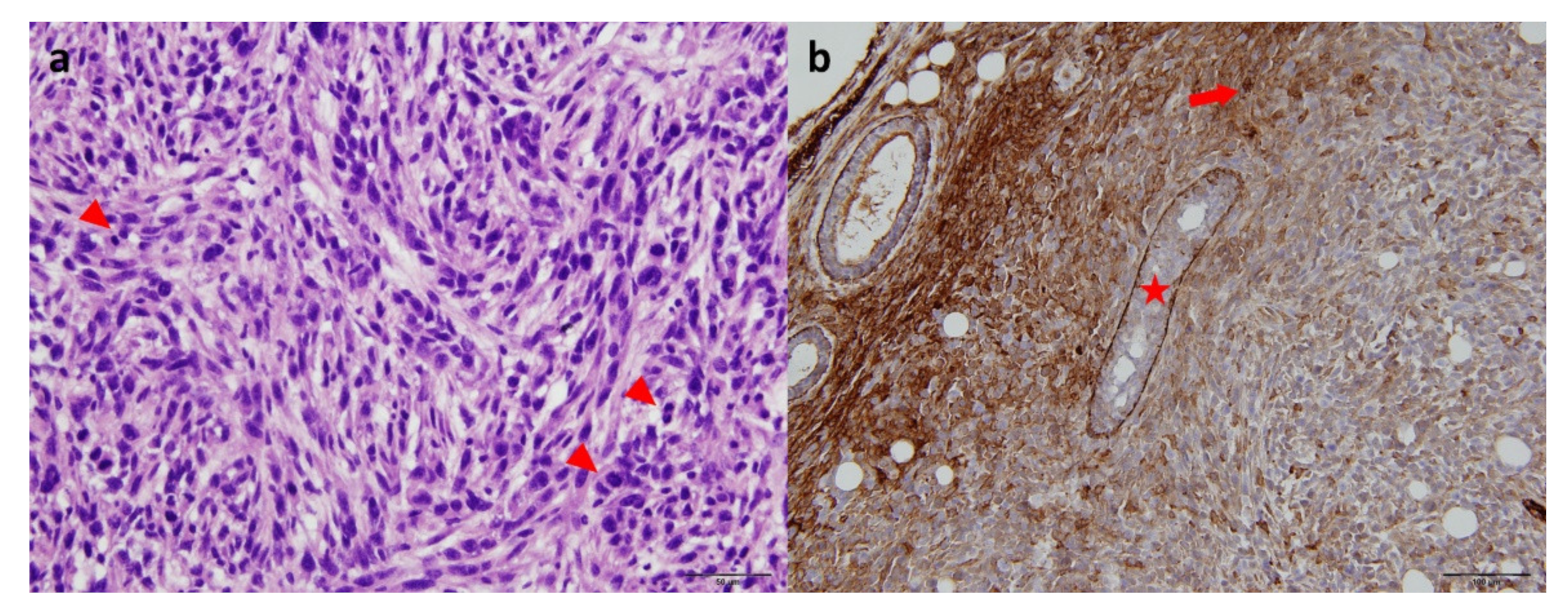
2.1. Tumor Size and Histology
2.2. 64CuCl2 Dynamic µPET/CT Acquisitions
2.3. 64CuCl2 µPET/CT Static Acquisitions
2.4. 64CuCl2 Ex Vivo Biodistribution Study
2.5. 18F-FDG µPET/CT and Ex Vivo Biodistribution Study
3. Discussion
4. Materials and Methods
4.1. Radiotracer Production
4.2. 4T1 Cell Culture and Animal Model
4.3. PET/CT Imaging Acquisition and Analysis
4.4. Data Presentation
5. Conclusions
Author Contributions
Funding
Institutional Review Board Statement
Informed Consent Statement
Data Availability Statement
Acknowledgments
Conflicts of Interest
References
- Inesi, G. Molecular features of copper binding proteins involved in copper homeostasis: Copper Binding Proteins. IUBMB Life 2017, 69, 211–217. [Google Scholar] [CrossRef] [PubMed]
- Devi, S.R.B.; Dhivya, M.A.; Sulochana, K.N. Copper transporters and chaperones: Their function on angiogenesis and cellular signalling. J. Biosci. 2016, 41, 487–496. [Google Scholar] [CrossRef] [PubMed]
- Boschi, A.; Martini, P.; Janevik-Ivanovska, E.; Duatti, A. The emerging role of copper-64 radiopharmaceuticals as cancer theranostics. Drug Discov. Today 2018, 23, 1489–1501. [Google Scholar] [CrossRef] [PubMed]
- Fuchs, A.G.; de Lustig, E.S. Localization of Tissue Copper in Mouse Mammary Tumors. Oncology 1989, 46, 183–187. [Google Scholar] [CrossRef]
- Ishida, S.; Andreux, P.; Poitry-Yamate, C.; Auwerx, J.; Hanahan, D. Bioavailable copper modulates oxidative phosphorylation and growth of tumors. Proc. Natl. Acad. Sci. USA 2013, 110, 19507–19512. [Google Scholar] [CrossRef] [Green Version]
- Denoyer, D.; Masaldan, S.; La Fontaine, S.; Cater, M.A. Targeting copper in cancer therapy: ‘Copper That Cancer’. Metallomics 2015, 7, 1459–1476. [Google Scholar] [CrossRef]
- Brasse, D.; Nonat, A. Radiometals: Towards a new success story in nuclear imaging? Dalton Trans. 2015, 44, 4845–4858. [Google Scholar] [CrossRef]
- Gutfilen, B.; Souza, S.; Valentini, G. Copper-64: A real theranostic agent. Drug Des. Dev. Ther. 2018, 12, 3235–3245. [Google Scholar] [CrossRef] [Green Version]
- Piccardo, A.; Paparo, F.; Puntoni, M.; Righi, S.; Bottoni, G.; Bacigalupo, L.; Zanardi, S.; DeCensi, A.; Ferrarazzo, G.; Gambaro, M.; et al. 64CuCl2 PET/CT in Prostate Cancer Relapse. J. Nucl. Med. 2018, 59, 444–451. [Google Scholar] [CrossRef] [Green Version]
- Pulaski, B.A.; Ostrand-Rosenberg, S. Mouse 4T1 Breast Tumor Model. Curr. Protoc. Immunol. 2000, 39, 20–22. [Google Scholar] [CrossRef]
- Schrörs, B.; Boegel, S.; Albrecht, C.; Bukur, T.; Bukur, V.; Holtsträter, C.; Ritzel, C.; Manninen, K.; Tadmor, A.; Vormehr, M.; et al. Multi-Omics Characterization of the 4T1 Murine Mammary Gland Tumor Model. Front. Oncol. 2020, 10, 1195. [Google Scholar] [CrossRef]
- Capozza, M.; Anemone, A.; Dhakan, C.; Della Peruta, M.; Bracesco, M.; Zullino, S.; Villano, D.; Terreno, E.; Longo, D.R.; Aime, S. GlucoCEST MRI for the Evaluation Response to Chemotherapeutic and Metabolic Treatments in a Murine Triple-Negative Breast Cancer: A Comparison with [18F]F-FDG-PET. Mol. Imaging Biol. 2022, 24, 126–134. [Google Scholar] [CrossRef]
- Kaloudi, A.; Lymperis, E.; Giarika, A.; Dalm, S.; Orlandi, F.; Barbato, D.; Tedesco, M.; Maina, T.; de Jong, M.; Nock, B.A. NeoBOMB1, a GRPR-Antagonist for Breast Cancer Theragnostics: First Results of a Preclinical Study with [67Ga]NeoBOMB1 in T-47D Cells and Tumor-Bearing Mice. Molecules 2017, 22, 1950. [Google Scholar] [CrossRef] [Green Version]
- Ding, F.; Huang, C.; Liang, C.; Wang, C.; Liu, J.; Tang, D. 68Ga-FAPI-04 vs. 18F-FDG in a longitudinal preclinical PET imaging of metastatic breast cancer. Eur. J. Nucl. Med. Mol. Imaging 2021, 49, 290–300. [Google Scholar] [CrossRef]
- Chakravarty, R.; Chakraborty, S.; Dash, A. 64Cu2+ Ions as PET Probe: An Emerging Paradigm in Molecular Imaging of Cancer. Mol. Pharm. 2016, 13, 3601–3612. [Google Scholar] [CrossRef]
- Qin, C.; Liu, H.; Chen, K.; Hu, X.; Ma, X.; Lan, X.; Zhang, Y.; Cheng, Z. Theranostics of Malignant Melanoma with 64CuCl2. J. Nucl. Med. 2014, 55, 812–817. [Google Scholar] [CrossRef] [Green Version]
- Jørgensen, J.T.; Persson, M.; Madsen, J.; Kjær, A. High tumor uptake of 64Cu: Implications for molecular imaging of tumor characteristics with copper-based PET tracers. Nucl. Med. Biol. 2013, 40, 345–350. [Google Scholar] [CrossRef]
- Tchou, J.; Sonnad, S.S.; Bergey, M.R.; Basu, S.; Tomaszewski, J.; Alavi, A.; Schnall, M. Degree of Tumor FDG Uptake Correlates with Proliferation Index in Triple Negative Breast Cancer. Mol. Imaging Biol. 2010, 12, 657–662. [Google Scholar] [CrossRef]
- Eiblmaier, M.; Meyer, L.A.; Anderson, C.J. The role of p53 in the trafficking of copper-64 to tumor cell nuclei. Cancer Biol. Ther. 2008, 7, 63–69. [Google Scholar] [CrossRef] [Green Version]
- Ferrari, C.; Niccoli Asabella, A.; Villano, C.; Giacobbi, B.; Coccetti, D.; Panichelli, P.; Rubini, G. Copper-64 Dichloride as Theranostic Agent for Glioblastoma Multiforme: A Preclinical Study. Biomed Res. Int. 2015, 2015, 129764. [Google Scholar] [CrossRef] [Green Version]
- Pinto, C.I.G.; Bucar, S.; Alves, V.; Fonseca, A.; Abrunhosa, A.J.; da Silva, C.L.; Guerreiro, J.F.; Mendes, F. Copper-64 Chloride Exhibits Therapeutic Potential in Three-Dimensional Cellular Models of Prostate Cancer. Front. Mol. Biosci. 2020, 7, 609172. [Google Scholar] [CrossRef]
- Kjærgaard, K.; Sandahl, T.D.; Frisch, K.; Vase, K.H.; Keiding, S.; Vilstrup, H.; Ott, P.; Gormser, L.C.; Munk, O.L. Intravenous and oral copper kinetics, biodistribution and dosimetry in healthy humans studied by [64Cu]copper PET/CT. EJNMMI Radiopharm. Chem. 2020, 5, 15. [Google Scholar] [CrossRef]
- Bass, L.A.; Wang, M.; Welch, M.J.; Anderson, C.J. In Vivo Transchelation of Copper-64 from TETA-Octreotide to Superoxide Dismutase in Rat Liver. Bioconjug. Chem. 2000, 11, 527–532. [Google Scholar] [CrossRef]
- Avila-Rodriguez, M.A.; Rios, C.; Carrasco-Hernandez, J.; Manrique-Arias, J.C.; Martinez-Hernandez, R.; García-Pérez, F.O.; Jalilian, A.R.; Martinez-Rodriguez, E.; Romero-Piña, M.E.; Diaz-Ruiz, A. Biodistribution and radiation dosimetry of [64Cu] copper dichloride: First-in-human study in healthy volunteers. EJNMMI Res. 2017, 7, 98. [Google Scholar] [CrossRef]
- Manrique-Arias, J.C.; Carrasco-Hernández, J.; Reyes, P.G.; Ávila-Rodríguez, M.A. Biodistribution in rats and estimates of doses to humans from 64CuCl2, a potential theranostic tracer. Appl. Radiat. Isot. 2016, 115, 18–22. [Google Scholar] [CrossRef]
- Iyer, R. Radiation injury: Imaging findings in the chest, abdomen and pelvis after therapeutic radiation. Cancer Imaging 2006, 6, S131–S139. [Google Scholar] [CrossRef] [Green Version]
- Thompson, R.F.; Valdes, G.; Fuller, C.D.; Carpenter, C.M.; Morin, O.; Aneja, S.; Lindsay, W.D.; Aerts, H.J.W.L.; Agrimson, B.; Deville, C.; et al. Artificial Intelligence in Radiation Oncology Imaging. Int. J. Radiat. Oncol. Biol. Phys. 2018, 102, 1159–1161. [Google Scholar] [CrossRef] [PubMed]
- Xue, X.; Qu, H.; Li, Y. Stimuli-Responsive Crosslinked Nanomedicine for Cancer Treatment. In Exploration; John Wiley & Sons, Inc.: Hoboken, NJ, USA, 2022; p. 20210134. [Google Scholar]
- Wesley, W.A.; Carey, J.W. The Electrodeposition of Nickel from Nickel Chloride Solutions. Trans. Electrochem. Soc. 1939, 75, 209. [Google Scholar] [CrossRef]
- Belcari, N.; Camarlinghi, N.; Ferretti, S.; Iozzo, P.; Panetta, D.; Salvadori, P.A.; Sportelli, G.; Del Guerra, A. NEMA NU-4 Performance Evaluation of the IRIS PET/CT Preclinical Scanner. IEEE Trans. Radiat. Plasma Med. Sci. 2017, 1, 301–309. [Google Scholar] [CrossRef]





| Publisher’s Note: MDPI stays neutral with regard to jurisdictional claims in published maps and institutional affiliations. | 
© 2022 by the authors. Licensee MDPI, Basel, Switzerland. This article is an open access article distributed under the terms and conditions of the Creative Commons Attribution (CC BY) license (https://creativecommons.org/licenses/by/4.0/).
Share and Cite
Latgé, A.; Boisson, F.; Ouadi, A.; Averous, G.; Thomas, L.; Imperiale, A.; Brasse, D. 64CuCl2 PET Imaging of 4T1-Related Allograft of Triple-Negative Breast Cancer in Mice. Molecules 2022, 27, 4869. https://doi.org/10.3390/molecules27154869
Latgé A, Boisson F, Ouadi A, Averous G, Thomas L, Imperiale A, Brasse D. 64CuCl2 PET Imaging of 4T1-Related Allograft of Triple-Negative Breast Cancer in Mice. Molecules. 2022; 27(15):4869. https://doi.org/10.3390/molecules27154869
Chicago/Turabian StyleLatgé, Adrien, Frédéric Boisson, Ali Ouadi, Gerlinde Averous, Lionel Thomas, Alessio Imperiale, and David Brasse. 2022. "64CuCl2 PET Imaging of 4T1-Related Allograft of Triple-Negative Breast Cancer in Mice" Molecules 27, no. 15: 4869. https://doi.org/10.3390/molecules27154869
APA StyleLatgé, A., Boisson, F., Ouadi, A., Averous, G., Thomas, L., Imperiale, A., & Brasse, D. (2022). 64CuCl2 PET Imaging of 4T1-Related Allograft of Triple-Negative Breast Cancer in Mice. Molecules, 27(15), 4869. https://doi.org/10.3390/molecules27154869
 
         
                                                

