Evaluation of Major Constituents of Medicinally Important Plants for Anti-Inflammatory, Antidiabetic and AGEs Inhibiting Properties: In Vitro and Simulatory Evidence
Abstract
1. Introduction
2. Results
2.1. Molecular Docking Results
2.2. α-Glucosidase Assay
2.3. Antiglycation Assays
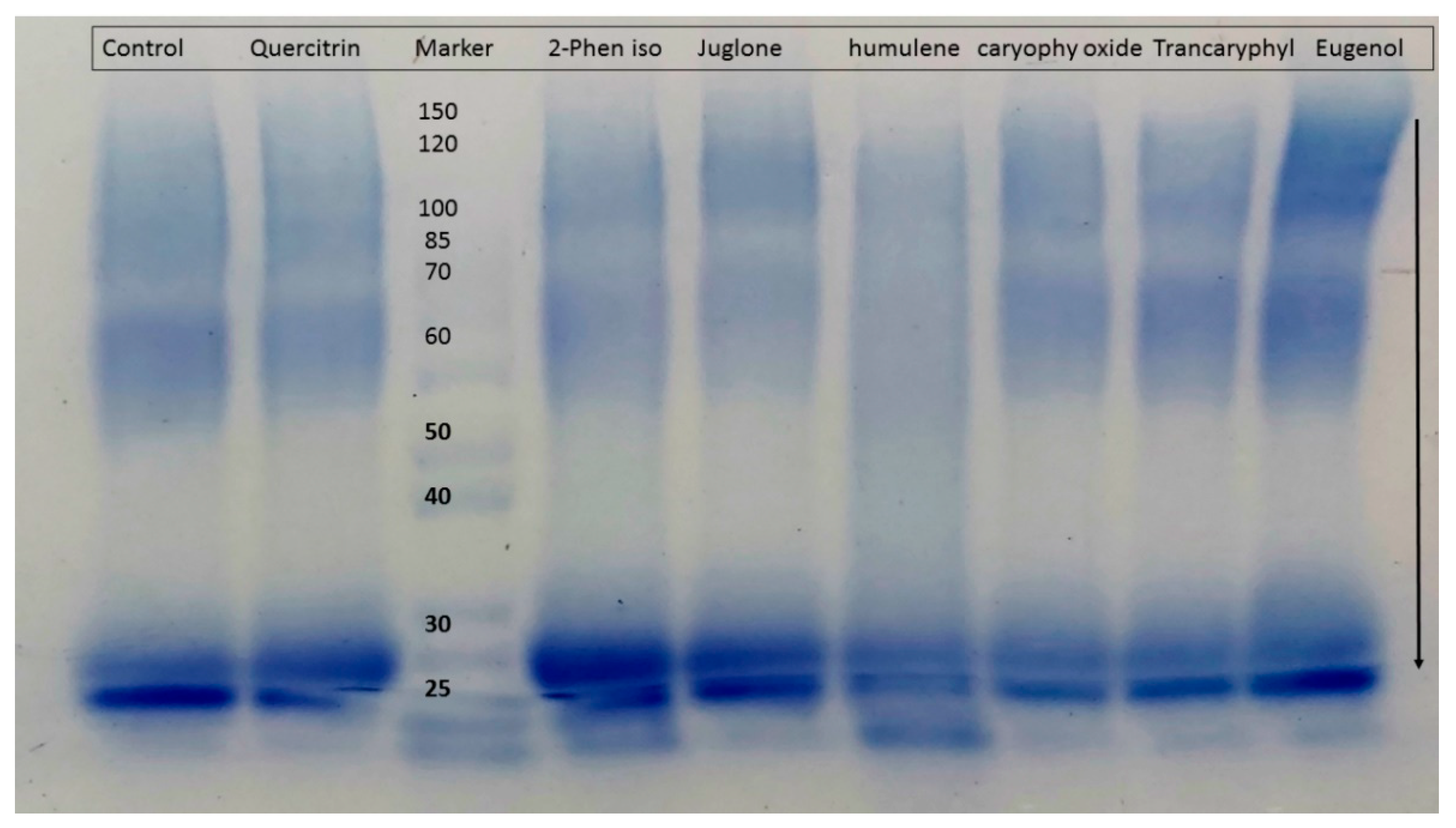
2.4. Protein Cross-Linking Assasy
3. Discussion
4. Materials and Methods
4.1. Plant Materials
4.2. Extraction and Drying
4.3. Chemicals Reagents and Solvents
4.4. Molecular Docking
4.5. Antidiabetic Assays
4.5.1. α-Glucosidase Inhibition Assay
4.5.2. AGEs Assay (BSA-Glucose Assay)
4.5.3. BSA-MGO Assay
4.5.4. Protein Cross-Linking Assay
4.5.5. SDS-PAGE Gels Image Analysis
4.6. 15-Lipoxygenase Assay
4.7. Statistical Analysis
5. Conclusions
Supplementary Materials
Author Contributions
Funding
Institutional Review Board Statement
Informed Consent Statement
Data Availability Statement
Acknowledgments
Conflicts of Interest
Sample Availability
References
- Lin, Y.; Sun, Z. Current views on type 2 diabetes. J. Endocrinol. 2010, 204, 1. [Google Scholar] [CrossRef]
- Kharroubi, A.T.; Darwish, H.M. Diabetes mellitus: The epidemic of the century. World J. Diabetes 2015, 6, 850–867. [Google Scholar] [CrossRef]
- Seaquist, E.R.; Anderson, J.; Childs, B.; Cryer, P.; Dagogo-Jack, S.; Fish, L.; Heller, S.; Rodriguez, H.; Rosenzweig, J.; Vigersky, R. Hypoglycemia and diabetes: A report of a workgroup of the American Diabetes Association and the Endocrine Society. Diabetes Care 2013, 36, 1384–1395. [Google Scholar] [CrossRef] [PubMed]
- Tamarat, R.; Silvestre, J.S.; Huijberts, M.; Benessiano, J.; Ebrahimian, T.G.; Duriez, M.; Lévy, B.I. Blockade of advanced glycation end-product formation restores ischemia-induced angiogenesis in diabetic mice. Proc. Natl. Acad. Sci. USA 2003, 100, 8555–8560. [Google Scholar] [CrossRef] [PubMed]
- Negi, G.; Kumar, A.; Joshi, R.P.; Ruby, P.K.; Sharma, S.S. Oxidative stress and diabetic neuropathy: Current status of antioxidants. Inst. Integr. Omics Appl. Biotechnol. J. 2011, 2, 71–78. [Google Scholar]
- Colosia, A.D.; Palencia, R.; Khan, S. Prevalence of hypertension and obesity in patients with type 2 diabetes mellitus in observational studies: A systematic literature review. Diabetes Metab. Syndr. Obes. Targets Ther. 2013, 6, 327. [Google Scholar] [CrossRef]
- Chan, G.C.; Tang, S.C. Diabetic nephropathy: Landmark clinical trials and tribulations. Nephrol. Dial. Transpl. 2013, 31, 359–368. [Google Scholar] [CrossRef]
- Brownlee, M. The pathobiology of diabetic complications: A unifying mechanism. Diabetes 2005, 54, 1615–1625. [Google Scholar] [CrossRef]
- Nursten, H.E. The Maillard Reaction. Chemistry, Biochemistry, and Implications; Royal Society of Chemistry: Cambridge, UK, 2005. [Google Scholar]
- Sharma, C.; Kaur, A.; Thind, S.S.; Singh, B.; Raina, S. Advanced glycation End-products (AGEs): An emerging concern for processed food industries. J. Food Sci. Technol. 2015, 52, 7561–7576. [Google Scholar] [CrossRef]
- Lapolla, A.; Traldi, P.; Fedele, D. Importance of measuring products of non-enzymatic glycation of proteins. Clin. Biochem. 2005, 38, 103–115. [Google Scholar] [CrossRef]
- Pollack, R.M.; Marc, Y.; Donath, R.; LeRoith, D.; Leibowitz, G. Anti-inflammatory Agents in the Treatment of Diabetes and Its Vascular Complications. Diabetes Care 2016, 39, S244–S252. [Google Scholar] [CrossRef] [PubMed]
- Nichols, C.G.; Remedi, M.S. The diabetic β-cell: Hyperstimulated vs. hyperexcited. Diabetes Obes. Metab. 2012, 14, 129–135. [Google Scholar] [CrossRef]
- Zhou, R.; Tardivel, A.; Thorens, B.; Choi, I.; Tschopp, J. Thioredoxin-interacting protein links oxidative stress to inflammasome activation. Nat. Immunol. 2010, 11, 136–140. [Google Scholar] [CrossRef] [PubMed]
- Böni-Schnetzler, M.; Boller, S.; Debray, S.; Bouzakri, K.; Meier, D.T.; Prazak, R.; Kerr-Conte, J.; Pattou, F.; Ehses, J.A.; Schuit, F.C.; et al. Free fatty acids induce a proinflammatory response in islets via the abundantly expressed interleukin-1 receptor I. Endocrinology 2009, 150, 5218–5229. [Google Scholar] [CrossRef]
- Masters, S.L.; Dunne, A.; Subramanian, S.L.; Hull, R.L.; Tannahill, G.M.; Sharp, F.A.; Becker, C.; Franchi, L.; Yoshihara, E.; Chen, Z.; et al. Activation of the NLRP3 inflammasome by islet amyloid polypeptide provides a mechanism for enhanced IL-1b in type 2 diabetes. Nat. Immunol. 2010, 11, 897–904. [Google Scholar] [CrossRef] [PubMed]
- Kumar, S.; Dobos, G.J.; Rampp, T. The Significance of Ayurvedic Medicinal Plants. J. Evid. Based Complement. Altern. Med. 2017, 22, 494–501. [Google Scholar] [CrossRef]
- Hosseini, S.; Huseini, H.F.; Larijani, B.; Mohammad, K.; Najmizadeh, A.; Nourijelyani, K.; Jamshidi, L. The hypoglycemic effect of Juglans regia leaves aqueous extract in diabetic patients: A first human trial. Daru J. Pharm. Sci. 2014, 22, 19. [Google Scholar] [CrossRef]
- Rahman, M.A.; Mossa, J.S.; Al-Said, M.S.; Al-Yahya, M.A. Medicinal plant diversity in the flora of Saudi Arabia 1: A report on seven plant families. Fitoterapia 2004, 75, 149–161. [Google Scholar] [CrossRef]
- Amaral, J.S.; Seabra, R.M.; Andrade, P.B.; Valent, A.O.P.; Pereira, J.A.; Ferreres, F. Phenolic profile in the quality control of walnut (Juglans regia L.) leaves. J. Food Chem. 2004, 88, 373–379. [Google Scholar] [CrossRef]
- Farag, M.; Abdel-Mageed, M.; El Gamal, A.A.; Basudan, O.A. Salvadora persica L.: Toothbrush tree with health benefits and industrial applications—An updated evidence-based review. Saudi Pharm. J. 2021, 29, 751–763. [Google Scholar] [CrossRef]
- Hooda, M.S.; Pal, R.; Bhandari, A.; Singh, J. Antihyperglycemic and antihyperlipidemic effects of Salvadora persica in streptozotocin-induced diabetic rats. Pharm. Biol. 2014, 52, 745–749. [Google Scholar] [CrossRef] [PubMed]
- Bader, A.; Flamini, G. The composition of the root oil of Salvadora persica Linn. J. Essent. Oil Res. 2002, 14, 128–129. [Google Scholar] [CrossRef]
- Adefegha, S.A.; Oboh, G. In vitro inhibition activity of polyphenol-rich extracts from Syzygium aromaticum (L.) Merr. and Perry (Clove) buds against carbohydrate hydrolyzing enzymes linked to type 2 diabetes and Fe(2+)-induced lipid peroxidation in rat pancreas. Asian Pac. J. Trop. Biomed. 2012, 2, 774–781. [Google Scholar] [CrossRef]
- Syzygium aromaticum (L.) Merr. and L.M.Perry. Available online: http://powo.science.kew.org/taxon/urn:lsid:ipni.org:names:601421-1 (accessed on 6 June 2022).
- Vijayasteltar, L.; Nair, G.G.; Maliakel, B.; Kuttan, R.M.K. Safety assessment of a standardized polyphenolic extract of clove buds: Subchronic toxicity and mutagenicity studies. Toxicol. Rep. 2016, 3, 439–449. [Google Scholar] [CrossRef]
- Zulcafli, A.S.; Lim, C.; Ling, A.P.; Chye, S.; Koh, R. Antidiabetic Potential of Syzygium sp.: An Overview. Yale J. Biol. Med. 2020, 93, 307–325. [Google Scholar]
- Nikolic, V.; Nikolic, L.; Dinic, A.; Gajic, I.; Urosevic, M.; Stanojevic, L.; Stanojevic, J.; Danilovic, B. Chemical Composition, Antioxidant and Antimicrobial Activity of Nutmeg (Myristica Fragrans Houtt.) Seed Essential Oil. J. Essent. Oil Bear. Plants 2021, 24, 218–227. [Google Scholar] [CrossRef]
- Du, S.S.; Yang, K.; Wang, C.F.; You, C.X.; Geng, Z.F.; Guo, S.S.; Deng, Z.W.; Liu, Z.L. Chemical constituents and activities of the essential oil from Myristica fragrans against cigarette beetle Lasioderma serricorne. Chem. Biodivers. 2014, 11, 1449–1456. [Google Scholar] [CrossRef]
- Naeem, N.; Rehman, R.; Mushtaq, A.; Ghania, J. Ben Nutmeg: A Review on Uses and Biological Properties. Int. J. Chem. Biochem. Sci. 2016, 9, 107–110. [Google Scholar]
- Matulyte, I.; Jekabsone, A.; Jankauskaite, L.; Zavistanaviciute, P.; Sakiene, V.; Bartkiene, E.; Ruzauskas, M.; Kopustinskiene, D.M.; Santini, A.; Bernatoniene, J. The Essential Oil and Hydrolats from Myristica fragrans Seeds with Magnesium Aluminometasilicate as Excipient: Antioxidant, Antibacterial, and Anti-Inflammatory Activity. Foods 2020, 9, 37. [Google Scholar] [CrossRef]
- Karimi, M.; Sadeghi, R.; Kokini, J. Pomegranate as a promising opportunity in medicine and nanotechnology. Trends Food Sci. Technol. 2017, 69, 59–73. [Google Scholar] [CrossRef]
- Singh, B.; Singh, J.P.; Kaur, A.; Singh, N. Phenolic compounds as beneficial phytochemicals in pomegranate (Punica granatum L.) peel: A review. Food Chem. 2018, 261, 75–86. [Google Scholar] [CrossRef] [PubMed]
- Xiao, J. Dietary flavonoid aglycones and their glycosides: Which show better biological significance? Crit. Rev. Food Sci. Nutr. 2017, 57, 1874–1905. [Google Scholar] [CrossRef] [PubMed]
- Khan, H.; Jawad, M.; Kamal, M.A.; Baldi, A.; Xiao, J.; Nabavi, S.M.; Daglia, M. Evidence and prospective of plant derived flavonoids as antiplatelet agents: Strong candidates to be drugs of future. Food Chem. Toxicol. 2018, 119, 355–367. [Google Scholar] [CrossRef] [PubMed]
- Subapriya, R.; Nagini, S. Medicnal properties of neem leaves: A review. Curr. Med. Chem. Anticancer Agents 2005, 5, 146–149. [Google Scholar] [CrossRef]
- Quelemes, P.V.; Perfeito, M.L.; Guimarães, M.A.; dos Santos, R.C.; Lima, D.F.; Nascimento, C.; Silva, M.P.; Soares, M.J.; Ropke, C.D.; Eaton, P.; et al. Effect of neem (Azadirachta indica A. Juss) leaf extract on resistant Staphylococcus aureus biofilm formation and Schistosoma mansoni worms. J. Ethnopharmacol. 2015, 175, 287–294. [Google Scholar] [CrossRef]
- Biswas, K.; Chattopadhyay, R.K.; Banerjee, R.K.; Bandyopadhyay, U. Biological activities and medicinal properties of neem (Azadirachta indica). Curr. Sci. 2002, 82, 1336–1345. [Google Scholar]
- Pandey, K.B.; Rizvi, S.I. Plant polyphenols as dietary antioxidants in human health and disease. Oxid. Med. Cell. Longev. 2009, 2, 270–278. [Google Scholar] [CrossRef]
- Xiao, J.B.; Hogger, P. Dietary polyphenols and type 2 diabetes: Current insights and future perspectives. Curr. Med. Chem. 2015, 22, 23–38. [Google Scholar] [CrossRef]
- Hussain, T.; Tan, B.; Yin, Y.; Blachier, F.; Tossou, M.C.; Rahu, N. Oxidative Stress and Inflammation: What Polyphenols Can Do for Us? Oxid. Med. Cell. Longev. 2016, 2016, 7432797. [Google Scholar] [CrossRef]
- Terra, W.R.; Ferreira, C. Biochemistry of digestion. In Comprehensive Molecular Insect Science; Gilbert, L.I., Iatrov, K., Gill, S., Eds.; Elsevier: Oxford, UK, 2005; Volume 4, pp. 171–224. [Google Scholar]
- Liu, S.K.; Hao, H.; Bian, Y.; Ge, Y.X.; Lu, S.; Xie, H.X.; Wang, K.M.; Tao, H.; Yuan, C.; Zhang, J.; et al. Discovery of New α-Glucosidase Inhibitors: Structure-Based Virtual Screening and Biological Evaluation. Front. Chem. 2021, 9, 639279. [Google Scholar] [CrossRef]
- Proença, C.; Freitas, M.; Ribeiro, D.; Oliveira, E.; Sousa, J.; Tomé, S.M.; Ramos, M.J.; Silva, A.; Fernandes, P.A.; Fernandes, E. α-Glucosidase inhibition by flavonoids: An in vitro and in silico structure-activity relationship study. J. Enzym. Inhib. Med. Chem. 2017, 32, 1216–1228. [Google Scholar] [CrossRef] [PubMed]
- Sell, H.C.; Habich, C.; Eckel, J. Adaptive immunity in obesity and insulin resistance. Nat. Rev. Endocrinol. 2012, 8, 709–716. [Google Scholar] [CrossRef] [PubMed]
- Nikolajczyk, B.S.; Jagannathan-Bogdan, M.; Shin, H.; Gyurko, R. State of the union between metabolism and the immune system in type 2 diabetes. Genes Immunol. 2011, 12, 239–250. [Google Scholar] [CrossRef] [PubMed]
- Ma, K.; Nunemaker, C.S.; Wu, R.; Chakrabarti, S.K.; Taylor-Fishwick, D.A.; Nadler, J.L. 12-Lipoxygenase Products Reduce Insulin Secretion and {beta}-Cell Viability in Human Islets. J. Clin. Endocrinol. Metab. 2010, 95, 887–893. [Google Scholar] [CrossRef] [PubMed]
- Ribeiro, D.; Freitas, M.; Lima, J.L.; Fernandes, E. Pro inflammatory pathways: The modulation by flavonoids. Med. Res. Rev. 2015, 35, 877–936. [Google Scholar] [CrossRef]
- Song, Q.; Liu, J.; Dong, L.; Wang, X.; Zgang, X. Novel advances in inhibiting advanced glycation end product formation using natural. Biomed. Pharmacother. 2021, 140, 111750. [Google Scholar] [CrossRef]
- Kosmopoulos, M.; Drekolias, D.; Zavras, P.D.; Piperi, C.; Papavassiliou, A.G. Impact of advanced glycation end products (AGEs) signaling in coronary artery disease. Biochim. Biophys. Acta (BBA) Mol. Basis Dis. 2019, 1865, 611–619. [Google Scholar] [CrossRef]
- Wu, G. Amino acids: Metabolism, functions, and nutrition. Amino Acids 2009, 37, 1–17. [Google Scholar] [CrossRef]
- Deetae, P.; Parichanon, P.; Trakunleewatthana, P.; Chanseetis, C.; Lertsiri, S. Antioxidant and anti-glycation properties of Thai herbal teas in comparison with conventional teas. Food Chem. 2012, 133, 953–959. [Google Scholar] [CrossRef]
- Deluyker, D.; Evens, L.; Bito, V. Advanced glycation end products (AGEs) and cardiovascular dysfunction: Focus on high molecular weight AGEs. Amino Acids 2017, 49, 1535–1541. [Google Scholar] [CrossRef]
- Wu, C.H.; Yen, G.C. Inhibitory Effect of Naturally Occurring Flavonoids on the Formation of Advanced Glycation Endproducts. J. Agric. Food Chem. 2005, 53, 3167–3173. [Google Scholar] [CrossRef] [PubMed]
- Matough, F.A.; Budin, S.B.; Hamid, Z.A.; Alwahaibi, N.; Mohamed, J. The role of oxidative stress and antioxidants in diabetic complications. Sultan Qaboos Univ. Med. J. 2012, 12, 5–18. [Google Scholar] [CrossRef] [PubMed]
- Rafey, A.; Amin, A.; Kamran, M.; Haroon, U.; Farooq, K.; Foubert, K.; Pieters, L. Analysis of Plant Origin Antibiotics against Oral Bacterial Infections Using In Vitro and In Silico Techniques and Characterization of Active Constituents. Antibiotics 2021, 10, 1504. [Google Scholar] [CrossRef] [PubMed]
- Ren, L.; Qin, X.; Cao, X.; Wang, L.; Bai, F.; Bai, G.; Shen, Y. Structural insight into substrate specificity of human intestinal maltase-glucoamylase. Protein Cell 2011, 2, 827–836. [Google Scholar] [CrossRef]
- Serzypczak-Jankun, E.; Zhou, K.; Jankun, J. Inhibition of lipoxygenase by (-)-epigallocatechin gallate: X-ray analysis at 2.1 A reveals degradation of EGCG and shows soybean LOX-3 complex with EGC instead. Int. J. Mol. Med. 2003, 12, 415–420. [Google Scholar]
- Accelrys Software Inc. Discovery Studio Modelling Environment, Release 3.5; Accelrys Discovery Studio (Accelrys Software Inc.): San Diego, CA, USA, 2002. [Google Scholar]
- Trott, O.; Olson, A.J. AutoDock Vina: Improving the speed and accuracy of docking with a new scoring function, efficient optimization, and multithreading. J. Comput. Chem. 2010, 31, 455–461. [Google Scholar] [CrossRef]
- Choudhary, M.I.; Shah, S.A.; Atta-ur-Rahman; Khan, S.N.; Khan, M.T. α-glucosidase and tyrosinase inhibitors from fungal hydroxylation of tibolone and hydroxytibolones. Steroids 2010, 75, 956–966. [Google Scholar] [CrossRef]
- Matsuura, N.; Aradate, T.; Sasaki, C.; Kojima, H.; Ohara, M.; Hasegawa, J. Screening system for the Maillard reaction inhibitor from natural product extracts. J. Health Sci. 2002, 48, 520–526. [Google Scholar] [CrossRef]
- Harris, C.S.; Beaulieu, L.P.; Fraser, M.H.; Mcintyre, K.L.; Owen, P.L.; Martineau, L.C. Inhibition of advanced glycation end product formation by medicinal plant extracts correlates with phenolic metabolites and antioxidant activity. Planta Med. 2011, 77, 196–204. [Google Scholar] [CrossRef]
- Elosta, A.; Slevin, M.; Rahman, K.; Ahmed, N. Aged garlic has more potent antiglycation and antioxidant properties compared to fresh garlic extract in vitro. Sci. Rep. 2017, 7, 39613. [Google Scholar] [CrossRef]
- Malterud, K.E.; Rydland, K.M. Inhibitors of 15-lipoxygenase from orange peel. J. Agric. Food Chem. 2000, 48, 5576–5580. [Google Scholar] [CrossRef] [PubMed]
- Raafa, K. Phytochemical analysis of Juglans regia oil and kernel exploring their antinociceptive and anti-inflammatory potentials utilizing combined bio-guided GC–FID, GC–MS and HPLC analyses. Rev. Bras. Farmacogn. 2018, 3, 358–368. [Google Scholar] [CrossRef]
- Alma, M.H.; Ertas, M.; Nitz, S.; Kollmannsberger, H. Chemical composition and content of essential oil from the bud of cultivated Turkish clove (Syzygium aromaticum L.). Bio Resour. 2007, 2, 265–269. [Google Scholar] [CrossRef]
- Khoobchandani, M.; Ojeswi, B.K.; Ganesh, N.; Srivastava, M.M.; Gabbanini, S.; Matera, R.; Iori, R.; Valgimigli, R. Antimicrobial properties and analytical profile of traditional Eruca sativa seed oil: Comparison with various aerial and root plant extracts. Food Chem. 2010, 120, 217–224. [Google Scholar] [CrossRef]
- Shafiq, M.I.; Ahmed, M.; Rasul, A.; Samra, Z.Q.; Qadir, M.A.; Mazhar, S.; Ali, A. Chemical Composition of the Essential Oils of Nutmeg and Mace by GC-FID/MS Indigenous to Pakistan and Evaluation of their Biological Activities. Lat. Am. J. Pharm. 2016, 35, 2176–2184. [Google Scholar]







| Compound | Binding Free Energy ΔG (kJ mol−1) | Pose No | H Bond | H Bond Interaction Residues | Neighbor Interacting Residues | |
|---|---|---|---|---|---|---|
| 3TOP | ||||||
| 1 | Eugenol | −5.3 | 3 | 3 | Ser129, Gln96, Leu92 | Thr91, Thr15, Leu89, Thr131, Val17, His142 |
| 2 | Caryophyllene | −7.6 | 1 | 0 | 0 | Lys545, Val539, Cys145, Asn146, Val144, His548, Trp791, Pro789, Asn788, Pro549, Tyr544 |
| 3 | Caryophyllene oxide | −6.6 | 1 | 0 | - | Leu154, Glu 199, Trp198, Arg200, Asn186, Ser157, Phe155, |
| 4 | α-Humulene | −6.4 | 1 | 0 | - | Lys388, Val589, Asp592, Tyr512, Pro432, Val588, Asp431, Lys388 |
| 5 | Juglone | −6.3 | 3 | 3 | Asn146, Val539, Lys545 | Cys145, Trp791, Val144 |
| 6 | 2-Phenylethyl-isothiocyanate | −5.5 | 1 | 1 | Lys545 | Pro549, Trp791, Asp 787, Val144, Val539 |
| 7 | Quercetin | −7.9 | 4 | 7 | Pro686, Trp685, Glu682, Asn681, Gln665, Gln689, Met688. | Lys687, Lys680, Trp668, Lys669 |
| 8 | Quercitrin | −8.2 | 4 | 6 | Ala163, Lys545, His548, Tyr544, Asp261, Asn146 | Phe 264, Phe161, Cys145, Val539, Val544, Pro549 Asn788, Val144, |
| 9 | Apigenin | −7.4 | 5 | 4 | Glu197, Asn556, Thr274, Lys 278 | Tyr257, Arg260, Val256, Leu258, Tyr275, Ala263 |
| Compound | Binding Free Energy ΔG (kJ mol−1) | Pose No | H Bond | H Bond Interaction Residues | Neighbor Interacting Residues | |
|---|---|---|---|---|---|---|
| 1IK3 | ||||||
| 1 | Eugenol | −6.1 | 2 | 2 | Glu1400, Glu1397 | Phe1289, Pro1405, Asn1404, Leu1412, Leu1401, |
| 2 | Caryophyllene | −6.3 | 1 | 0 | 0 | Asp1157, Trp1355 Asp1526, Phe1560, Tyr1251, Thr1586 Trp1369, Phe1427, |
| 3 | Caryophyllene oxide | −6.1 | 1 | 2 | Gln1372, Arg1377 | Ile1587, Tyr1251, Ile1280, Asp1281, Gln 1286, Asp1357 |
| 4 | α-Humulene | −6.1 | 1 | 0 | 0 | Pro1159, Phe1427, Asp1157, Asp1526 Phe1560, Trp1355 Trp1369 |
| 5 | Juglone | −5.2 | 8 | 2 | Asp1157, Lys1460 | Phe1427, Trp1355, Trp1369 |
| 6 | 2-Phenylethyl-isothiocyanate | −4.4 | 1 | 0 | 0 | Pro1327, Pro1329, Glu1397, Glu1400, Leu1401, Phe1289, |
| 7 | Quercetin | −8.9 | 1 | 5 | His1584, Asp1279, Thr1586, Asp1157 Asp1526 | Phe1559, Trp1418, Trp1355, Phe1427 Trp1369, Phe1560, Tyr1251, |
| 8 | Quercitrin | −8.2 | 4 | 7 | Glu970, Asp969, Tyr967, Asp965 Trp985, Cys996 Ser990 | Gly992, Val993, Ser991 Phe995, Ala973, Pro968 |
| 9 | Apigenin | −7.6 | 7 | 5 | Glu1284, Glu1397, Arg1333, Glu1400, Leu1291 | Phe1289, Pro1239, Thr1290, |
| Compound | Binding Free Energy ΔG (kJ mol−1) | Pose No | H Bond | H Bond Interaction Residues | Neighbor Interacting Residues | |
|---|---|---|---|---|---|---|
| 4F5S | ||||||
| 1 | Eugenol | −5.3 | 1 | 1 | Glu125 | Phe133, Tyr137, Tyr160, Leu115, Leu122, |
| 2 | Caryophyllene | −7.6 | 1 | 0 | 0 | Val481, Leu346, Ala212, Ala209, Arg208, Phe205, Leu480, |
| 3 | Caryophyllene oxide | −5.7 | 1 | 0 | 0 | Gln203, Ile202, Cys245, His246, Lys242, |
| 4 | α-Humulene | −6.9 | 1 | 0 | 0 | Leu112, Glu125, Lys136, Phe133, Tyr160, Tyr137, Glu140, Leu115, Leu122 |
| 5 | Juglone | −6.0 | 5 | 3 | Thr421, Ser418, Lys465 | Pro420, Ser109, Thr466, Leu462, |
| 6 | 2-Phenylethyl-isothiocyanate | −4.7 | 1 | 0 | 0 | Lys132, Lys131, Leu24, Gly21, Val43, Lys20 |
| 7 | Quercetin | −7.3 | 4 | 7 | Tyr340, Val342, Gln220, Lys221, Lys294, Ala290, Pro338, | Ala341, Arg217, Glu291, |
| 8 | Quercitrin | −7.2 | 5 | 6 | Glu339, Lys294, Lys221, Ala290, Lys439, Pro338, | Pro446, Arg217, Asp450, Tyr451, Cys447, |
| 9 | Apigenin | −7.8 | 3 | 4 | Lys431, Arg458, Asn457, Leu454, | Arg435, Leu189, His145, Arg196, Ala193, |
| Assay Type | |||
|---|---|---|---|
| Name | α-Glucosidase * | 15-Lox Assay * | |
| 1 | Juglans regia | 61.0 ± 0.1% | 14.0 ± 0.2% |
| 2 | Syzygium aromaticum | Inactive | 70.0 ± 0.1% |
| 3 | Eruca sativa | Inactive | 45.0 ± 0.1% |
| 4 | Myristica fragrans | Inactive | 62.00 ± 0.04% |
| 5 | Punica granatum | 52.0 ± 0.1% | 10.00 ± 0.04% |
| 6 | Azadirachta indica | Inactive | 45.0 ± 0.1% |
| Standard | 72.0 a ± 0.1% | 62.0 b ± 0.1% | |
| Compound | Assay Type | ||
|---|---|---|---|
| α-Glucosidase (IC50) (µg/mL) | 15-LOX Assay (% Inhibition) | ||
| 1 | Eugenol | Inactive | 51.0 ± 0.2% 4 |
| 2 | Caryophyllene | Inactive | Inactive 6 |
| 3 | Caryophyllene oxide | Inactive | 50.0± 0.1% 2 |
| 4 | α-Humulene | Inactive | 60.0 ± 0.1% 3 |
| 5 | Juglone | 5.7 ± 0.1 | 57.0 ± 0.1% 1 |
| 6 | 2-Phenylethylisothiocyanate | 28.9 ± 0.1 | Inactive 5 |
| 7 | Quercetin | 21.2 ± 0.1 | 62.0 ± 0.1% 7 |
| 8 | Quercitrin | 7.6 ± 0.1 | 65.0± 0.1% 9 |
| 9 | Apigenin | 24.4 ± 0.1 | 53.0 ± 0.1% 8 |
| 10 | Standard | 6.49 ± a 0.02 | 62.0 ± 0.1% b |
| Compound | Protein Glycation | ||
|---|---|---|---|
| BSA-Glucose (IC50) (µg/mL) | BSA-MGO (IC50) (µg/mL) | ||
| 1 | Eugenol | 0.040 ± 0.007 | Inactive |
| 2 | Caryophyllene | Inactive | Inactive |
| 3 | Caryophyllene oxide | Inactive | Inactive |
| 4 | α-Humulene | Inactive | Inactive |
| 5 | Juglone | 0.060 ± 0.004 | 0.11 ± 0.04 |
| 6 | 2-Phenylethylisothiocyanate | Inactive | Inactive |
| 7 | Quercetin | 0.040 ± 0.004 | 0.050 ± 0.005 |
| 8 | Quercitrin | 0.090 ± 0.008 | 0.34 ± 0.06 |
| 9 | Apigenin | 0.45 ± 0.02 | Inactive |
| 10 | Standard 1 | 0.030 ± 0.001 | 1.02 ± 0.21 |
Publisher’s Note: MDPI stays neutral with regard to jurisdictional claims in published maps and institutional affiliations. |
© 2022 by the authors. Licensee MDPI, Basel, Switzerland. This article is an open access article distributed under the terms and conditions of the Creative Commons Attribution (CC BY) license (https://creativecommons.org/licenses/by/4.0/).
Share and Cite
Rafey, A.; Amin, A.; Kamran, M.; Aziz, M.I.; Athar, V.; Niaz, S.I.; Pieters, L. Evaluation of Major Constituents of Medicinally Important Plants for Anti-Inflammatory, Antidiabetic and AGEs Inhibiting Properties: In Vitro and Simulatory Evidence. Molecules 2022, 27, 6715. https://doi.org/10.3390/molecules27196715
Rafey A, Amin A, Kamran M, Aziz MI, Athar V, Niaz SI, Pieters L. Evaluation of Major Constituents of Medicinally Important Plants for Anti-Inflammatory, Antidiabetic and AGEs Inhibiting Properties: In Vitro and Simulatory Evidence. Molecules. 2022; 27(19):6715. https://doi.org/10.3390/molecules27196715
Chicago/Turabian StyleRafey, Abdul, Adnan Amin, Muhammad Kamran, Muhammad Imran Aziz, Varda Athar, Shah Iram Niaz, and Luc Pieters. 2022. "Evaluation of Major Constituents of Medicinally Important Plants for Anti-Inflammatory, Antidiabetic and AGEs Inhibiting Properties: In Vitro and Simulatory Evidence" Molecules 27, no. 19: 6715. https://doi.org/10.3390/molecules27196715
APA StyleRafey, A., Amin, A., Kamran, M., Aziz, M. I., Athar, V., Niaz, S. I., & Pieters, L. (2022). Evaluation of Major Constituents of Medicinally Important Plants for Anti-Inflammatory, Antidiabetic and AGEs Inhibiting Properties: In Vitro and Simulatory Evidence. Molecules, 27(19), 6715. https://doi.org/10.3390/molecules27196715

