Optimization of Enzymatic Hydrolysis of Perilla Meal Protein for Hydrolysate with High Hydrolysis Degree and Antioxidant Activity
Abstract
:1. Introduction
2. Materials and Methods
2.1. Chemicals
2.2. Preparation of Defatted Perilla Meal Powder
2.3. Determination of Protein Content in the Perilla Meal
2.4. Enzymatic Hydrolysis of Perilla Meal Protein
2.5. Determination of Degree of Hydrolysis
2.6. Evaluation of Antioxidant Activity
2.7. Optimization of Enzymatic Hydrolysis of Perilla Meal Protein
2.7.1. Single-Factor Experiments
2.7.2. Response Surface Methodology (RSM) Design
2.8. Evaluation of Soluble Protein Concentration
2.9. SDS-PAGE
2.10. Statistical Analysis
3. Results and Discussion
3.1. The Content of Protein in the Perilla Meal
3.2. Selection of the Optimal Protease
3.3. Single-Factor Experiments to Assess DH and DPPH· Radical Scavenging Ability
3.3.1. Effect of Liquid-Solid Ratio
3.3.2. Effect of Enzyme Concentration
3.3.3. Effect of Hydrolysis Temperature
3.3.4. Effect of Hydrolysis Time
3.4. Optimization of Enzymatic Hydrolysis with DH as Response Value by RSM
3.4.1. Model Fitting and Statistical Analysis
3.4.2. Analysis of Interaction between Factors
3.5. Optimization of Enzymatic Hydrolysis with DPPH· Scavenging Capacity as Response Value by RSM
3.5.1. Model Fitting and Statistical Analysis
3.5.2. Analysis of Interaction between Factors
3.6. Optimal Solution and Validation with Two Response Values
3.7. Determination of Soluble Protein/Peptide Concentration in the Hydrolysate
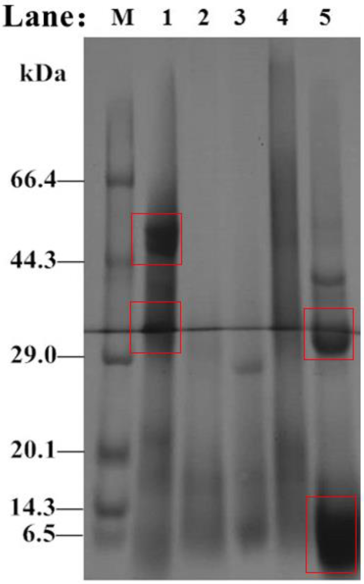
3.8. SDS-PAGE Results for the Hydrolysate
4. Conclusions
Author Contributions
Funding
Institutional Review Board Statement
Informed Consent Statement
Data Availability Statement
Conflicts of Interest
Sample Availability
References
- Rouphael, Y.; Kyriacou, M.; Carillo, P.; Pizzolongo, F.; Romano, R.; Sifola, M. Chemical Eustress Elicits Tailored Responses and Enhances the Functional Quality of Novel Food Perilla Frutescens. Molecules 2019, 24, 185. [Google Scholar] [CrossRef] [Green Version]
- Li, N.; Zhang, Z.J.; Li, X.J.; Li, H.Z.; Cui, L.X.; He, D.L. Microcapsules biologically prepared using Perilla frutescens (L.) Britt. essential oil and their use for extension of fruit shelf life. J. Sci. Food Agric. 2017, 98, 1033–1040. [Google Scholar] [CrossRef] [PubMed]
- Li, H.Z.; Zhang, Z.J.; Hou, T.Y.; Li, X.J.; Chen, T. Optimization of ultrasound-assisted hexane extraction of perilla oil using response surface methodology. Ind. Crop. Prod. 2015, 76, 18–24. [Google Scholar] [CrossRef]
- Uemura, T.; Yashiro, T.; Oda, R.; Shioya, N.; Nakajima, T.; Hachisu, M.; Kobayashi, S.; Nishiyama, C.; Arimura, G.I. The intestinal anti-inflammatory activity of perillaldehyde. J. Agric. Food Chem. 2018, 66, 3443–3448. [Google Scholar] [CrossRef]
- Khanaree, C.; Pintha, K.; Tantipaiboonwong, P.; Suttajit, M.; Chewonarin, T. The effect of Perilla frutescens leaf on 1, 2-dimethylhydrazine-induced initiation of colon carcinogenesis in rats. J. Food Biochem. 2018, 42, 124–133. [Google Scholar] [CrossRef]
- Yang, J.H.; Yoo, J.M.; Lee, E.; Lee, B.H.; Cho, W.K.; Park, K.I.; Yeul Ma, J. Anti-Inflammatory effects of Perillae Herba ethanolic extract against TNF-α/IFN-γ-stimulated human keratinocyte HaCaT cells. J. Ethnopharmacol. 2017, 211, 217–223. [Google Scholar] [CrossRef]
- Lee, K.Y.; Rahman, M.S.; Kim, A.N.; Jeong, E.J.; Choi, S.G. Effect of superheated steam treatment on yield, physicochemical properties and volatile profiles of perilla seed oil. LWT-Food Sci. Technol. 2021, 135, 110–118. [Google Scholar] [CrossRef]
- Chumphukam, O.; Pintha, K.; Khanaree, C.; Chewonarin, T.; Khantamat, O. Potential anti-mutagenicity, antioxidant, and anti-inflammatory capacities of the extract from perilla seed meal. J. Food Biochem. 2018, 42, 125–134. [Google Scholar] [CrossRef]
- Li, W.; Fan, Y.; Zhang, S.; Li, J.; Wu, H. Extraction of rosmarinic acid from Perilla seeds using green protic ionic liquids. Microchem. J. 2021, 170, 106667. [Google Scholar] [CrossRef]
- Zhao, Q.; Wang, L.; Hong, X.; Liu, Y.; Li, J. Structural and functional properties of perilla protein isolate extracted from oilseed residues and its utilization in Pickering emulsions. Food Hydrocolloid. 2020, 113, 106412. [Google Scholar] [CrossRef]
- Zhao, Q.; Yan, W.; Liu, Y.; Li, J. Modulation of the structural and functional properties of perilla protein isolate from oilseed residues by dynamic high-pressure microfluidization. Food Chem. 2021, 365, 130497. [Google Scholar] [CrossRef]
- Zhao, Y.; Kong, H.; Zhang, X.; Hu, X.; Wang, M. The effect of Perilla ( Perilla frutescens) leaf extracts on the quality of surimi fish balls. Food Sci. Nutr. 2019, 7, 1–8. [Google Scholar] [CrossRef] [PubMed] [Green Version]
- Zhang, J.; Sun-Waterhouse, D.; Su, G.; Zhao, M. New insight into umami receptor, umami/umami-enhancing peptides and their derivatives: A review. Trends Food Sci. Technol. 2019, 88, 1016–1024. [Google Scholar] [CrossRef]
- Wren, A.M.; Small, C.J.; Ward, H.L.; Murphy, K.G.; Dakin, C.L.; Taheri, S.; Kennedy, A.R.; Roberts, G.H.; Morgan, D.; Ghatei, M.A. The Novel Hypothalamic Peptide Ghrelin Stimulates Food Intake and Growth Hormone Secretion. Endocrinology 2000, 141, 4325–4328. [Google Scholar] [CrossRef] [PubMed]
- Alvira, P.; Tomás-Pejó, E.; Ballesteros, M.; Negro, M.J. Pretreatment technologies for an efficient bioethanol production process based on enzymatic hydrolysis: A review—ScienceDirect. Bioresour. Technol. 2010, 101, 4851–4861. [Google Scholar] [CrossRef]
- Chen, C.; Sun-Waterhouse, D.; Zhang, Y.; Zhao, M.; Sun, W. The Chemistry behind the Antioxidant Actions of Soy Protein Isolate Hydrolysates in a Liposomal System: Their Performance in Aqueous Solutions and Liposomes. Food Chem. 2020, 323, 126789. [Google Scholar] [CrossRef]
- Su, G.; Lin, Z.; Cui, C.; Bao, Y.; Ren, J.; Zhao, M. Characterization of antioxidant activity and volatile compounds of Maillard reaction products derived from different peptide fractions of peanut hydrolysate. Food Res. Int. 2011, 44, 3250–3258. [Google Scholar] [CrossRef]
- Zhang, Z.; Su, G.; Zho, F.; Lin, L.; Liu, X.; Zhao, M. Alcalase-hydrolyzed oyster (Crassostrea rivularis) meat enhances antioxidant and aphrodisiac activities in normal male mice. Food Res. Int. 2019, 120, 178–187. [Google Scholar] [CrossRef]
- Zhao, M.; Shi, J.; Wang, J.; Jiang, Y.; Cui, C.; Kakuda, Y.; Xue, S.J. Purification and identification of antioxidant peptides from grass carp muscle hydrolysates by consecutive chromatography and electrospray ionization-mass spectrometry. Food Chem. 2008, 108, 727–736. [Google Scholar]
- You, L.; Zhao, M.; Regenstein, J.M.; Ren, J. In vitro antioxidant activity and in vivo anti-fatigue effect of loach (Misgurnus anguillicaudatus) peptides prepared by papain digestion. Food Chem. 2011, 124, 188–194. [Google Scholar] [CrossRef]
- Shuhui, M.; Xuejun, L.; Yongxin, S.; Rui, M.; Yajie, L.; Zhixin, W.; Nan, M.; Li, Y.; Xingfan, D.; Shuying, L. Enzymatic Hydrolysis of Defatted Antheraea pernyi (Lepidoptera: Saturniidae) Pupa Protein by Combined Neutral Protease Yield Peptides With Antioxidant Activity. J. Insect Sci. 2021, 21, 13–21. [Google Scholar]
- Finkel, T.; Holbrook, N.J. Oxidants, oxidative stress and the biology of ageing. Nature 2000, 408, 239–247. [Google Scholar] [CrossRef] [PubMed]
- Storz, G.; Imlay, J.A. Oxidative stress. Curr. Opin. Microbiol. 1999, 2, 188–194. [Google Scholar] [CrossRef]
- Corrochano, A.R.; Ferraretto, A.; Arranz, E.; Stuknyt, M.; Giblin, L. Bovine whey peptides transit the intestinal barrier to reduce oxidative stress in muscle cells. Food Chem. 2019, 288, 9–18. [Google Scholar] [CrossRef] [PubMed] [Green Version]
- Defaix, C.; Aymes, A.; Slabi, S.A.; Basselin, M.; Kapel, R. A new size-exclusion chromatography method for fast rapeseed albumin and globulin quantification. Food Chem. 2019, 287, 151–159. [Google Scholar] [CrossRef] [PubMed]
- Kim, J.; Liceaga, A.; Yoon, K. Purification and identification of an antioxidant peptide from perilla seed (perilla frutescens) meal protein hydrolysate. Food Sci. Nutr. 2019, 7, 1–11. [Google Scholar] [CrossRef] [Green Version]
- He, W.; He, K.; Sun, F.; Mu, L.; Wu, X. Effect of heat, enzymatic hydrolysis and acid-alkali treatment on the allergenicity of silkworm pupa protein extract. Food Chem. 2020, 343, 128461. [Google Scholar] [CrossRef]
- Connolly, A.; Cermeno, M.; Crowley, D.; O’Callaghan, Y.; O’Brien, N.M.; Fitzgerald, R.J. Characterisation of the in vitro bioactive properties of alkaline and enzyme extracted brewers’ spent grain protein hydrolysates. Food Res. Int. 2019, 121, 524–532. [Google Scholar] [CrossRef]
- Ezquerra, J.M.; García-Carreo, F.L.; Civera, R.; Haard, N.F. pH-stat method to predict protein digestibility in white shrimp (Penaeus vannamei). Aquaculture 1997, 157, 251–262. [Google Scholar] [CrossRef]
- Nielsen, P.M.; Petersen, D.; Dambmann, C. Improved Method for Determining Food Protein Degree of Hydrolysis. J. Food Sci. 2006, 66, 642–646. [Google Scholar] [CrossRef]
- Jamdar, S.N.; Rajalakshmi, V.; Pednekar, M.D.; Juan, F.; Yardi, V.; Sharma, A. Influence of degree of hydrolysis on functional properties, antioxidant activity and ace inhibitory activity of peanut protein hydrolysate. Food Chem. 2010, 121, 178–184. [Google Scholar] [CrossRef]
- Balti, R.; Bougatef, A.; Ali, E.H.; Zekri, D.; Barkia, A.; Nasri, M. Influence of degree of hydrolysis on functional properties and angiotensin I-converting enzyme-inhibitory activity of protein hydrolysates from cuttlefish (Sepia officinalis) by-products. J. Sci. Food Agric. 2010, 90, 2006–2014. [Google Scholar] [CrossRef] [PubMed]
- Noman, A.; Xu, Y.; Al-Bukhaiti, W.Q.; Abed, S.M.; Ali, A.H.; Ramadhan, A.H.; Xia, W. Influence of enzymatic hydrolysis conditions on the degree of hydrolysis and functional properties of protein hydrolysate obtained from Chinese sturgeon (Acipenser sinensis) by using papain enzyme. Process Biochem. 2018, 67, 19–28. [Google Scholar] [CrossRef]
- Hong, Y.; Wang, Z.; Barrow, C.J.; Dunshea, F.R.; Suleria, H. High-Throughput Screening and Characterization of Phenolic Compounds in Stone Fruits Waste by LC-ESI-QTOF-MS/MS and Their Potential Antioxidant Activities. Antioxidants 2021, 10, 234. [Google Scholar] [CrossRef] [PubMed]
- Kim, S.E.; Lee, C.J.; Park, S.U.; Lim, Y.H.; Kim, H.S. Overexpression of the Golden SNP-Carrying Orange Gene Enhances Carotenoid Accumulation and Heat Stress Tolerance in Sweetpotato Plants. Antioxidants 2021, 10, 51. [Google Scholar] [CrossRef]
- Xu, Y.; Han, M.; Huang, M.; Xu, X. Enhanced heat stability and antioxidant activity of myofibrillar protein-dextran conjugate by the covalent adduction of polyphenols. Food Chem. 2021, 352, 129376. [Google Scholar] [CrossRef]
- Sharma, O.P.; Bhat, T.K. DPPH antioxidant assay revisited. Food Chem. 2009, 113, 1202–1205. [Google Scholar] [CrossRef]
- Hou, M.; Hu, W.; Wang, A.; Xiu, Z.; Sun, J. Ultrasound-Assisted Extraction of Total Flavonoids from Pteris cretica L.: Process Optimization, HPLC Analysis, and Evaluation of Antioxidant Activity. Antioxidants 2019, 8, 425. [Google Scholar] [CrossRef] [Green Version]
- Das, A.; Sarkar, S.; Karanjai, M.; Sutradhar, G. RSM Based Study on the Influence of Sintering Temperature on MRR for Titanium Powder Metallurgy Products using Box-Behnken Design. Mater. Today Proc. 2018, 5, 6509–6517. [Google Scholar] [CrossRef]
- Cheng, Y.; Liu, Y.; Wei, H.; Sun, R.; Tian, Z.; Zheng, X. Quantitation of low concentrations of polysorbates 80 in protein formulations by Coomassie brilliant blue. Anal. Biochem. 2019, 573, 67–72. [Google Scholar] [CrossRef]
- Sharma, N.; Sharma, R.; Rajput, Y.S.; Mann, B.; Gandhi, K. Distinction between glycomacropeptide and β-lactoglobulin with ‘stains all’ dye on Tricine SDS-PAGE gels. Food Chem. 2020, 340, 127923. [Google Scholar] [CrossRef] [PubMed]
- Koyande, A.; Chew, K.; Rambabu, K.; Tao, Y.; Chu, D.; Show, P. Microalgae: A potential alternative to health supplementation for humans. Food Sci. Hum. Wellness 2019, 8, 16–24. [Google Scholar] [CrossRef]







| Factors | Levels | ||
|---|---|---|---|
| −1 | 0 | 1 | |
| A: Enzyme concentration | 6% | 7% | 8% |
| B: Hydrolysis temperature | 55 | 60 | 65 |
| C: Liquid-solid ratio | 15 | 20 | 25 |
| No. | A: Enzyme Concentration | B: Hydrolysis Temperature | C: Liquid-Solid Ratio | Response 1 DH |
|---|---|---|---|---|
| (%) | (°C) | (%) | ||
| 1 | 8.00 | 60.00 | 25.00 | 24.96 |
| 2 | 6.00 | 60.00 | 15.00 | 24.96 |
| 3 | 7.00 | 6s0.00 | 20.00 | 26.92 |
| 4 | 7.00 | 60.00 | 20.00 | 25.94 |
| 5 | 6.00 | 55.00 | 20.00 | 19.70 |
| 6 | 8.00 | 60.00 | 15.00 | 24.96 |
| 7 | 7.00 | 65.00 | 25.00 | 25.94 |
| 8 | 6.00 | 60.00 | 25.00 | 25.35 |
| 9 | 7.00 | 65.00 | 15.00 | 23.60 |
| 10 | 7.00 | 55.00 | 25.00 | 19.89 |
| 11 | 7.00 | 60.00 | 20.00 | 26.14 |
| 12 | 6.00 | 65.00 | 20.00 | 23.60 |
| 13 | 7.00 | 55.00 | 15.00 | 20.87 |
| 14 | 8.00 | 65.00 | 20.00 | 24.77 |
| 15 | 7.00 | 60.00 | 20.00 | 25.94 |
| 16 | 7.00 | 60.00 | 20.00 | 25.94 |
| 17 | 8.00 | 55.00 | 20.00 | 22.53 |
| Source | Sum of Squares | Df | Mean Square | F-Value | p-Value | Significance |
|---|---|---|---|---|---|---|
| Model | 75.93 | 9 | 8.44 | 14.34 | 0.0010 | *** |
| A | 1.63 | 1 | 1.63 | 2.77 | 0.1401 | |
| B | 27.83 | 1 | 27.83 | 47.28 | 0.0002 | *** |
| C | 0.38 | 1 | 0.38 | 0.65 | 0.4465 | |
| A2 | 1.15 | 1 | 1.15 | 1.95 | 0.2055 | |
| B2 | 38.00 | 1 | 38.00 | 64.57 | 0.0001 | *** |
| C2 | 1.50 | 1 | 1.50 | 2.55 | 0.1545 | |
| AB | 0.69 | 1 | 0.690 | 1.170 | 0.3151 | |
| AC | 0.038 | 1 | 0.038 | 0.065 | 0.8067 | |
| BC | 2.76 | 1 | 2.760 | 4.680 | 0.0672 | |
| Residual | 4.12 | 7 | 0.59 | |||
| Lack of fit | 3.40 | 3 | 1.13 | 6.28 | 0.0541 | |
| Pure error | 0.72 | 4 | 0.18 | |||
| Cor total | 80.05 | 16 | ||||
| R 2 = 0.9785 | ||||||
| R 2Adj = 0.9424 | ||||||
| No. | A: Enzyme Concentration | B: Hydrolysis Temperature | C: Liquid-Solid Ratio | Response 2 DPPH Scavenging Ability |
|---|---|---|---|---|
| (%) | (°C) | (%) | ||
| 1 | 8.00 | 60.00 | 25.00 | 92.84 |
| 2 | 6.00 | 60.00 | 15.00 | 93.68 |
| 3 | 7.00 | 60.00 | 20.00 | 92.68 |
| 4 | 7.00 | 60.00 | 20.00 | 95.33 |
| 5 | 6.00 | 55.00 | 20.00 | 88.80 |
| 6 | 8.00 | 60.00 | 15.00 | 92.52 |
| 7 | 7.00 | 65.00 | 25.00 | 92.94 |
| 8 | 6.00 | 60.00 | 25.00 | 90.94 |
| 9 | 7.00 | 65.00 | 15.00 | 89.21 |
| 10 | 7.00 | 55.00 | 25.00 | 89.63 |
| 11 | 7.00 | 60.00 | 20.00 | 94.56 |
| 12 | 6.00 | 65.00 | 20.00 | 92.12 |
| 13 | 7.00 | 55.00 | 15.00 | 90.04 |
| 14 | 8.00 | 65.00 | 20.00 | 88.80 |
| 15 | 7.00 | 60.00 | 20.00 | 94.00 |
| 16 | 7.00 | 60.00 | 20.00 | 94.80 |
| 17 | 8.00 | 55.00 | 20.00 | 87.55 |
| Source | Sum of Squares | Df | Mean Square | F-Value | p-Value | Significance |
|---|---|---|---|---|---|---|
| Model | 80.27 | 9 | 8.92 | 5.080 | 0.0217 | * |
| A | 1.83 | 1 | 1.83 | 1.050 | 0.3406 | |
| B | 6.21 | 1 | 6.21 | 3.540 | 0.1019 | |
| C | 0.10 | 1 | 0.10 | 0.058 | 0.8170 | |
| A2 | 8.95 | 1 | 8.950 | 5.1000 | 0.0584 | |
| B2 | 51.53 | 1 | 51.530 | 29.3800 | 0.0010 | *** |
| C2 | 0.43 | 1 | 0.430 | 0.2500 | 0.6345 | |
| AB | 1.07 | 1 | 1.070 | 0.6100 | 0.4601 | |
| AC | 2.34 | 1 | 2.340 | 1.3300 | 0.2859 | |
| BC | 4.28 | 1 | 4.280 | 2.4400 | 0.1620 | |
| Residual | 12.28 | 7 | 1.75 | |||
| Lack of fit | 8.19 | 3 | 2.7300 | 2.6700 | 0.1832 | |
| Pure error | 4.09 | 4 | 1.02 | |||
| Cor total | 92.54 | 16 | ||||
| R2 = 0.9373 | ||||||
| R2Adj = 0.9126 | ||||||
Publisher’s Note: MDPI stays neutral with regard to jurisdictional claims in published maps and institutional affiliations. |
© 2022 by the authors. Licensee MDPI, Basel, Switzerland. This article is an open access article distributed under the terms and conditions of the Creative Commons Attribution (CC BY) license (https://creativecommons.org/licenses/by/4.0/).
Share and Cite
Zhang, H.; Zhang, Z.; He, D.; Li, S.; Xu, Y. Optimization of Enzymatic Hydrolysis of Perilla Meal Protein for Hydrolysate with High Hydrolysis Degree and Antioxidant Activity. Molecules 2022, 27, 1079. https://doi.org/10.3390/molecules27031079
Zhang H, Zhang Z, He D, Li S, Xu Y. Optimization of Enzymatic Hydrolysis of Perilla Meal Protein for Hydrolysate with High Hydrolysis Degree and Antioxidant Activity. Molecules. 2022; 27(3):1079. https://doi.org/10.3390/molecules27031079
Chicago/Turabian StyleZhang, Henghui, Zhijun Zhang, Dongliang He, Shuying Li, and Yongping Xu. 2022. "Optimization of Enzymatic Hydrolysis of Perilla Meal Protein for Hydrolysate with High Hydrolysis Degree and Antioxidant Activity" Molecules 27, no. 3: 1079. https://doi.org/10.3390/molecules27031079
APA StyleZhang, H., Zhang, Z., He, D., Li, S., & Xu, Y. (2022). Optimization of Enzymatic Hydrolysis of Perilla Meal Protein for Hydrolysate with High Hydrolysis Degree and Antioxidant Activity. Molecules, 27(3), 1079. https://doi.org/10.3390/molecules27031079
