Abstract
Calcineurin (or PP2B) has been reported to be involved in an array of physiological process in insects, and the calcineurin subunit A (CNA) plays a central role in calcineurin activity. We cloned the CNA gene from Plutella xylostella (PxCNA). This gene contains an ORF of 1488 bp that encodes a 495 amino acid protein, showing 98%, and 80% identities to the CNA of Bombyx mori, and humans respectively. The full-length of PxCNA and its catalytic domain (CNA1–341, defined as PxCNα) were both expressed in Escherichia coli. Purified recombinant PxCNA displayed no phosphatase activity, whereas recombinant PxCNα showed high phosphatase activity with a Km of 4.6 mM and a kcat of 0.66 S−1 against pNPP. It could be activated at different degrees by Mn2+, Ni2+, Mg2+, and Ca2+. The optimum reaction pH was about 7.5 and the optimum reaction temperature was around 45 °C. An in vitro inhibition assay showed that okadaic acid (OA) and cantharidin (CTD) competitively inhibited recombinant PxCNα activity with the IC50 values of 8.95 μM and 77.64 μM, respectively. However, unlike previous reports, pyrethroid insecticides were unable to inhibit recombinant PxCNα, indicating that the P. xylostella calcineurin appears not to be sensitive to class II pyrethroid insecticides.
1. Introduction
Calcineurin, also known as protein phosphatase 2B or PP2B, is a Ca2+/CaM-dependent protein serine/threonine phosphatase (PSP) playing an essential role in numerous calcium-dependent intracellular biological processes, including neurodevelopment and memory, immune response, cardiac hypertrophy, signal transduction, and skeletal muscle development [1,2]. Calcineurin is composed of the catalytic subunit A (CNA) and the regulatory subunit B (CNB) [2]. CNA contains an N-terminal catalytic domain responsible for dephosphorylation of the substrates, and three non-catalytic domains [1]. The phosphatase domain of CNA is structurally similar to the catalytic subunit of other PSPs and shows the same pattern of metal ion coordination [3]. The three non-catalytic domains are identified as the CNB-binding domain (BBH), the CaM-binding domain (CBD) and the autoinhibitory domain (AI) from mapping of CNA using limited proteolysis and structural analysis [4]. Calcineurin is inactive alone and only gains full phosphatase activity upon association with Ca2+-calmodulin (Ca2+-CaM) [1].
To date, calcineurin has been suggested as playing a role in a diversity of physiological processes in insects. In Drosophila, calcineurin is most abundant in the early embryo indicating its involvement in embryonic development [5]. Two calcineurin heterosubunits isolated from the Bombyx mori pheromone gland are localized in the cytoplasm of pheromone-producing cells [6], and are found to participate in the signal transduction of pheromone biosynthesis activating neuropeptide (PBAN) [7]. It has been reported that calcineurin inhibits the process of synaptic vesicle endocytosis at nerve terminals in Drosophila larvae [8], is required for completion of meiosis [9] and flight muscle formation [10], and is even involved in sleep and memory regulation [11,12]. Calcineurin also mediates cAMP/PKA signaling pathways and activates V-ATPase in blowfly salivary glands [13]. However, few attempts have been made to characterize and uncover the functions of other insect calcineurins. In addition, no in vitro properties of any insect calcineurin have been reported.
In this study, we isolated the catalytic subunit of calcineurin from Plutella xylostella. Both the recombinant full-length and phosphatase domain of P. xylostella CNA (PxCNα) were expressed in Escherichia coli and purified to apparent homogeneity. Moreover, the in vitro properties of the recombinant protein were studied.
2. Results and Discussion
2.1. Cloning and Sequence Analysis of PxCNA
To date, CNA genes from several insect species have been identified [5,6]. Based on RT-PCR and RACE, we obtained the full-length of PxCNA, which contains a 1488 bp ORF that encodes a protein of 495 amino acids with the predicted molecular mass of 56,036 Da and theoretical isoelectric point of 6.04. The nucleotide sequence of PxCNA cDNA was deposited in the GenBank database under the accession number KF425265.
BLAST analysis of PxCNA deduced an amino acid sequence on NCBI that showed a strong similarity with CNAs from other insect species with the highest identity being 98% to the CNA of B. mori. It also shared an 80% identity to humans CNA. The phylogenetic tree showed CNA of P. xylostella, B. mori, and D. plexippus from Lepidoptera formed a small cluster (Figure 1A). Analysis of the amino acid sequence of PxCNA revealed that it contained a phosphatase domain at the N-terminus and its C-terminus consisted of three characteristic sequence motifs: a CNB-binding domain (BBH), a CaM-binding domain (CBD) and an autoinhibitory domain (AI) (Figure 1B).
Figure 1.
Sequence analysis of Plutella xylostella (PxCNA). (A) Phylogenetic analysis of PxCNA with other insect calcineurin subunit A (CNAs); (B) cDNA and deduced amino acid sequences of PxCNA. Phosphatase domain (gray shadow), CNB-binding domain (solid line), calmodulin-binding domain (broken line), and autoinhibitory domain (solid line with arrows) are indicated.
2.2. Developmental Stage and Tissue-Specific Expression Patterns
Stage-specific expression patterns of the P. xylostella CNA gene were determined in eggs, four different larval instars (1st, 2nd, 3rd and 4th), pupae and adults by using Real-Time PCR. The PxCNA gene was expressed in all stages. Expression levels were relatively high in larval stages and adults, and lower in the eggs and pupae (Figure 2A). Expression levels of PxCNA in various tissues were also analyzed. As shown in Figure 2B, the PxCNA transcript had higher expression in head and was less abundant in body wall muscle. When Drosophila CNA was first isolated, it was undetectable at any stage of development by northern blot, suggesting it was expressed at very low levels [14]. In B. mori, the CNA transcript could be detected in various tissues with relative high levels in the head, anterior-middle silk gland and testis of fifth instar larvae, and relatively high levels in flight muscle, ovary, and the pheromone gland of newly eclosed adults [6]. So far, the mechanisms behind different levels of CNA expression in a variety of tissues and among different species are undefined.
Figure 2.
Expression analysis of PxCNA. (A) Relative expression levels in different developmental stages: eggs (EG); first-(L1), second-(L2); third-(L3); and fourth-instar (L4) larvae; pupae (PU) and adults (AD); (B) Relative expression levels in various tissues: head (HA); midgut (MG); haemolymph (HL) and body wall muscle (BWM). The actin gene (PxActin) was used as the reference gene. Statistical differences were tested by ANOVA, and presented as a, b, c, and d.
2.3. Heterologous Expression and Purification of Recombinant Proteins
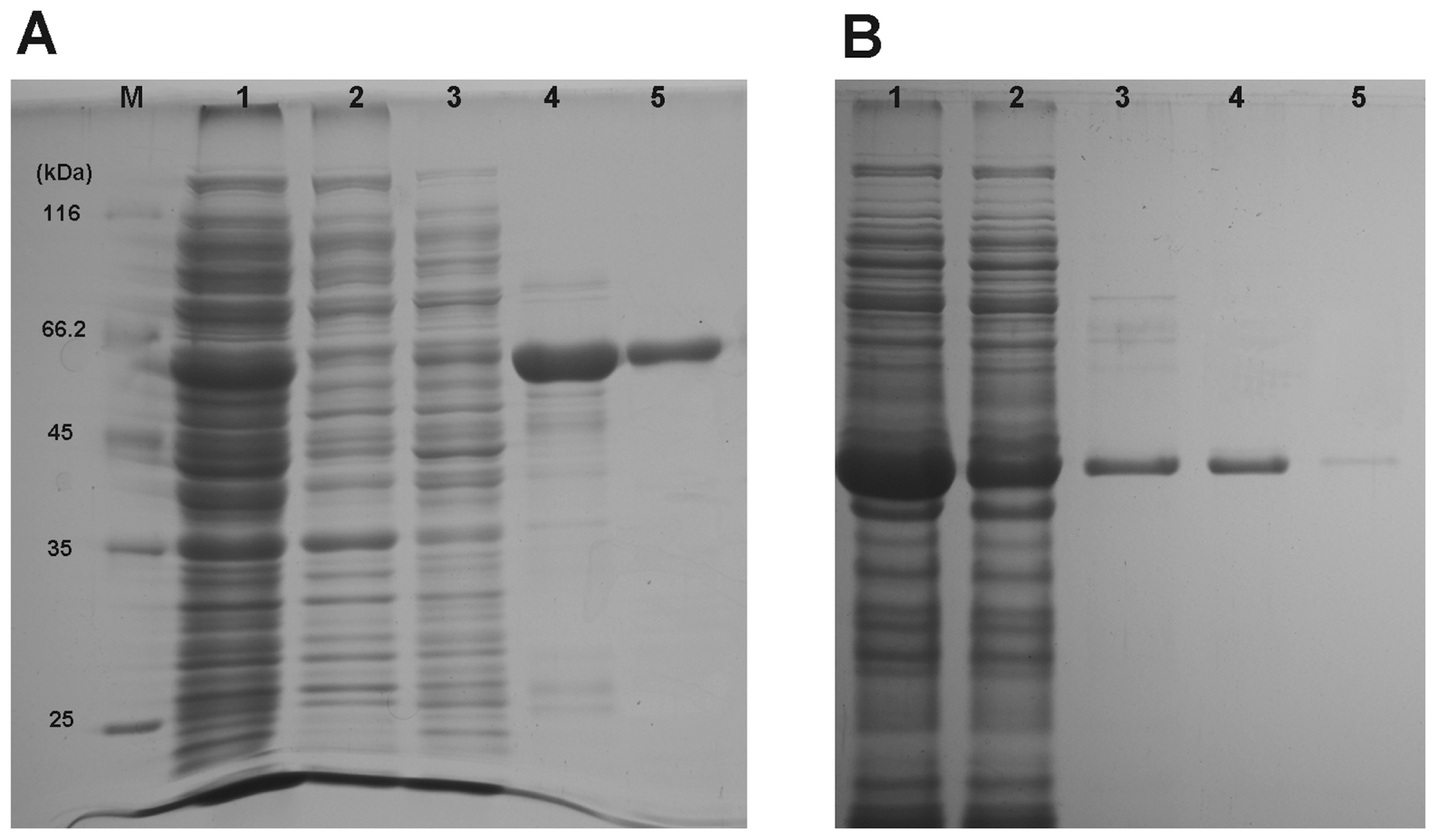
To our knowledge, there is no report about the heterologous expression of insect CNA so far. We tried to express the PxCNA and PxCNα in E. coli expression system which has been used for producing recombinant mammalian CNAs successfully [15]. Recombinant PxCNA (rPxCNA) and recombinant PxCNα (rPxCNα) expressed in E. coli were detected as the apparent molecular weights of ~60 kDa and ~40 kDa on 12% SDA-PAGE (Figure 2), respectively, and this is close to the predicted protein sizes from the deduced amino acid sequences. Since the rPxCNA and rPxCNα proteins have been poly-histidine tagged, a Ni-NTA affinity column was used to purify target proteins in soluble form. The majority of rPxCNA was eluted by 150 mM imidazole (Figure 3A), while a high purity of rPxCNα was obtained in 50 mM imidazole (Figure 3B). After being dialyzed overnight at 4 °C, the protein concentrations were determined. Approximately 1.71 mg and 1.33 mg of highly purified rPxCNA and rPxCNα were achieved from a 500 mL cell culture, respectively.
Figure 3.
Purification of rPxCNA (A) and rPxCNα (B). M: Protein marker; 1, Soluble cell lysate; 2, Flow-through elution; 3, Wash-out elution; 4, 50 mM imidazole elution; 5, 150 mM imidazole elution.
2.4. Properties of rPxCNA and rPxCNα
The phosphatase activities of rPxCNA and rPxCNα against pNPP were assayed. No phosphatase activity of rPxCNA was detected under our assay conditions, while rPxCNα displayed a high phosphatase activity. Enzyme-substrate reactions of Michaelis-Menten kinetics yielded a Km of 4.6 mM and a Vmax of 1.8 nmol/min/μg for rPxCNα using pNPP as substrate (Figure 4A). kcat and kcat/Km values were calculated as 0.66 S−1 and 143.48 M−1S−1, respectively. Because of the failure to acquire the phosphatase activity of rPxCNA, we did not determine its kinetics or other properties in this study. In most cases, the properties and function of calcineurin is directly determined by CNA, and the phosphatase domain plays a central role in CNA. CNA only exhibited full phosphatase activity binding with CNB and CaM in the presence of Ca2+ indicating the involvement of non-catalytic domains in the regulation of calcineurin [4]. Previous studies revealed that proteolytic cleavage of the auto-inhibitory and CaM-binding domains increased the native CNA phosphatase activity [4]. Increased phosphatase activity of CNA was also determined in the non-catalytic domain’s truncated recombinant CNA [15,16]. We found that, in the absence of CNB and CaM, rPxCNA had no phosphatase activity, whereas rPxCNα exhibited high phosphatase activity which is in agreement with previous reports.
Figure 4.
In vitro properties of rPxCNα. (A) Michaelis-Menten plot of rPxCNα toward pNPP; (B) Activation of rPxCNα phosphatase activity by different metal ions; (C) Optimum reaction pH curve; (D) Optimum reaction temperature curve. Each point is the mean ± S.D. of three independent experiments.
The in vitro activation of native calcineurin, recombinant CNA and CNα dependent on the exogenous metal ions, such as Mn2+, Ni2+, Co2+, Mg2+, have been reported [17,18]. The phosphatase activity of rPxCNα was tested in the assaying buffer for different metal ions. Mn2+ was found to be the most effective activator of rPxCNα in our assay. Ni2+ and Mg2+ were 87.37% and 73.61%, respectively, as effective as Mn2+ in stimulation of rPxCNα. The activation of rPxCNα by Ca2+ was 12.22% as effective as by Mn2+. No activation by Zn2+, Cu2+ or Fe3+ was observed (Figure 4B). Consequently, the sequence of tested metal ions on rPxCNα activity stimulation was Mn2+ > Ni2+ > Mg2+ > Ca2+. Ca2+ was stated to be critical for the activity of calcineurin or CNA [1]; however, we found it has little effect on the activity of rPxCNα. Moreover, no activation effect was measured on recombinant rat CNα by Ca2+[17]. Our result with Zn2+, Cu2+, and Fe3+ exhibiting no activation on rPxCNα is consistent with a previous report [18], but the mechanism is still illusive. A previous study of direct metal ion binding demonstrated that Mn2+ and Ni2+ activated CNA activity mainly through binding at distinct metal ion binding sites on CNA [19]. Yet, these binding sites have not been identified. It was also implicated that metal ions activated CNA mainly via affecting the interaction between enzyme and substrate by having an effect upon the conformational changes from a native state to a hydrolysis state in an enzyme-ion-substrate complex [20]. More research is needed to explore this mechanism of exogenous metal ion activation of CNA.
The optimal reaction pH and temperature were estimated from a series of reactions in different pH assaying buffer and in pH 7.4 assaying buffer at different temperatures. The phosphatase activity of rPxCNα first increased and then decreased with ascending pH or temperature. The optimum reaction pH is about 7.5 and the optimum reaction temperature is around 45 °C (Figure 4C,D).
2.5. Effect of Pyrethroids and Phosphatase Inhibitors on rPxCNα
It was previously concluded that class II pyrethroid insecticides were potent inhibitors of bovine brain calcineurin with IC50 values of 10−9 to 10−11 M [21]. Three kinds of class II pyrethroid insecticides, cypermethrin, deltamethrin and beta-cyfluthrin, were investigated for their effect on rPxCNα. With insecticide concentrations of 2 nM, 2 μM and 2 mM, no inhibitory action was detected indicating these insecticides are not effective inhibitors of rPxCNA (Figure 5A). This discrepancy of our result with the previously published data might be explained as follows: (1) different sources for tested protein; (2) only the phosphatase domain of CNA was tested in this study; or (3) there were differences in experimental methodology. However, another independent inhibitory study showed that none of the class II pyrethroid insecticides were able to inhibit purified bovine or rat brain calcineurin. This supports the conclusion that they are not effective inhibitors of calcineurin [22]. Further investigation is needed to determine whether class II pyrethroid insecticides could inhibit insect calcineurin.
Figure 5.
Inhibition assay of chemicals on rPxCNα. (A) Relative activity of rPxCNα in presence of 1 nM, 1 μM and 1 mM of pyrethroid insecticides; (B) Inhibition of rPxCNα by okadaic acid (OA); (C) Inhibition of rPxCNα by CTD; (D) Inhibition model of OA and cantharidin (CTD) on rPxCNα. Each point is the mean ± S.D. of three independent assays. The S.D. is omitted in panel D.
In our study, OA and CTD were found to be effective inhibitors of rPxCNα activity, with IC50 values of 8.95 μM and 77.64 μM, respectively (Figure 5B,C). An enzyme kinetics study in the presence of OA or CTD showed that both act on rPxCNα in a competitive inhibition mode with the Km decreasing and Vmax unchanged (Figure 4D). OA and CTD have been reported as potent inhibitors of PP1, PP2A, PP4 and PP5, but are relative weak inhibitors of calcineurin [23]. We found the IC50 values of these two chemicals on rPxCNα (OA, IC50 = 11.6 μM; CTD, IC50 = 58.7 μM) were higher than those on human calcineurin (OA, IC50 ~ 4 μM; CTD, IC50 > 10 μM) indicating that P. xylostella calcineurin may be less sensitive, in contrast to human calcineurin, to protein phosphatase inhibitors. However, what causes the affinity differences of OA or CTD toward human calcineurin and P. xylostella calcineurin needs to be investigated. Comparison of predicted three-dimensional structures of P. xylostella calcineurin obtained by homology modeling with resolved human calcineurin structure would be an alternative approach.
OA was found to bind to the hydrophobic groove on the surface of PP1 or PP2A occupying the active-site pocket [24,25], and CTD was reported binding to the active-site pocket of PP5 [26]. The results of enzymatic reactions with OA and CTD revealed that both competitively inhibit rPxCNα activity suggesting they bind the active site of rPxCNα. Thus, we propose that OA or CTD share the same binding modes in P. xylostella calcineurin with those in human protein phosphatases. Since specific inhibitors of enzymes have been proven to be a valuable tool to investigate the function of targeting proteins in vivo [27], we anticipate the use of other more-specific CNA inhibitors for studying the physiological roles of CNA in insects.
3. Experimental Section
3.1. Insects and Chemicals
Insecticide-susceptible strains of P. xylostella were reared at 25 ± 2 °C, 50% relative humidity and a photoperiod of 16L:8D, and fed on pakchoi cabbage.
OA and pNPP were purchased form Sigma Chemical Corporation (St. Louis, Missouri, USA). CTD was extracted from Mylabris phalerata (Chinese blister beetle) (purity >95%) and stored in our lab. Cypermethrin, deltamethrin and beta-cyfluthrin were purchased from Jingchun Co. Ltd., Shanghai, China. All other chemicals were of research grade or better and were obtained from commercial sources.
3.2. Cloning and Sequence Analysis of PxCNA
Total RNA was extracted from 4th-instar larvae using Trizol plus (TaKaRa, Dalian, China) according to manufacture’s instructions, and treated with DNase using a DNase I kit (Fermentas, Ontario, Canada). Then cDNA was synthesized using a First Strand cDNA Synthesis kit (Fermentas, Ontario, Canada). Degenerate primers were designed based on the CNA amino acid sequences from Anopheles gambiae (XP_321872), Bombus impatiens (XP_003492281), B. mori (NP_001037025), D. melanogaster (NP_523373), Tribolium castaneum (XP_968705) Danaus plexippus (EHJ68122), Apis florae (XP_003689692), Nasonia vitripennis (XP_001602102), Pediculus humanus (XP_002432635), Acyrthosiphon pisum (XP_001945831), and Daphnia pulex (EFX87567) by using two online tools, Blocks WWW Server ( http://blocks.fhcrc.org/blocks/) and CODEHOP ( http://bioinformatics.weizmann.ac.il/blocks/codehop.html). A pair of primers, a forward one: 5′-GCGACATCCACGGCCARTTYTAYGA-3′ and a reverse one: 5′-GGGGCAGGGCGCCNGTNGGNGT-3′, were used in PCR with first strand cDNA as the template under the following PCR conditions: 94 °C for 3 min, 35 cycles of 94 °C for 30 s, 60 °C for 30 s, 72 °C for 1 min, followed by final extension at 72 °C for 7 min. The purified fragment was inserted into pMD 19-T vector (TaKaRa, Dalian, China) and transformed into E. coli DH5α (TaKaRa, Dalian, China), then sequenced (AuGCT, Inc., Beijing, China).
Rapid amplification of cDNA ends (RACE) was conducted using the BD SMART™ RACE kit (Clontech, Palo Alto, CA, USA) following manufacturer’s instructions. 5′-RACE specific primer 5′-TCAGTCAGATGTCGGCACTCGTGG-3′ and 3′-RACE specific primer 5′-GCTGCAGCTG AAGGGCTTGACTCC-3′ were designed from the obtained PxCNA fragment. PCR conditions were as follows: 94 °C for 3 min, 35 cycles of 94 °C for 30 s, 60 °C for 30 s, 72 °C for 2 min, and final extension at 72 °C for 7 min. PCR products were sequenced as mentioned above.
The open reading frame (ORF) of PxCNA was predicted using ORF Finder ( http://www.ncbi.nlm.nih.gov/gorf/gorf.html). Primers used to amplify the ORF were a sense primer 5′-CATATGCACCACCACCACCACCACTCCGGGAGC AATGATAAAGTG-3′ with Nde I restriction site (underlined) and 6 histidine codons (italic), and an antisense primer 5′-AAGCTTTCACGAGTG TGCATTGCTGTTGAC-3′, containing the Hind III restriction site (underlined). PCR conditions were as follows: 94 °C for 3 min, 35 cycles of 94 °C for 30 s, 60 °C for 30 s, 72 °C for 1.5 min, followed by a final extension at 72 °C for 7 min. PCR products were sequenced as mentioned above.
The similarity analysis of deduced amino acid sequences was performed by using BLAST programs ( http://blast.ncbi.nlm.nih.gov/Blast.cgi). The phylogenetic analyses were conducted by MEGA 5.0 ( http://www.megasoftware.net/) by the maximum parsimony method using amino acid sequences of other insect CNAs and the human CNA (NP_001124163) as an outgroup. The ExPASy Compute pI/Mw tool ( http://web.expasy.org/compute_pi/), was used to predict the molecular weight and isoelectric points of PxCNA.
3.3. Stage- and Tissue-Specific Expression of PxCNA
P. xylostella eggs, larvae of 1st instar to 4th instars, pupae and adults were collected. Various tissues, such as head, midgut, and body wall muscle, were dissected from the 4th instar larvae on ice. The haemolymph leaked out after puncturing the abdoments of the larvae, and was collected with a 20 μL pipette; then centrifuged at 12,000 × g for 30 min at 4 °C to remove haemocytes and cell debris, and the supernatant was stored at −80 °C until use. Total RNA isolation and cDNA synthesis were performed as described above. The forward primer, 5′-TCCAAGGGTTCTCACCAAAC-3′, and the reverse primer, 5′-GAGGATCAGGAGTACGCTGC-3′, were designed using Primer 3 ( http://www.simgene.com/Primer3). The P. xylostella actin gene (accession: JN410820) was used as a reference for RT-PCR analysis, with the forward primer, 5′-GCGACTTGACCGACTACC-3′, and the reverse primer, 5′-GGAATGAGGGCTGGAACA-3′. Using 100-fold diluted cDNA as template, the Real-time quantitative PCR reactions were carried out in triplicate on a thermal cycler (iQ 5, Bio-Rad, Philadelphia, PA, USA) using the Ultra SYBR Mixture (CWBIO, Beijing China) according to the manufacture’s instructions. Thermal cycling conditions were 95 °C for 10 min, 40 cycles of 95 °C for 15 s, and 60 °C for 1 min, then followed by dissociation analysis to check the homogeneity of the PCR product. Relative transcript levels of PxCNA gene was determined by the 2−ΔCt equation: 2−[Cttar −Ctref] (Cttar, Ct value of PxCNA gene; Ctref, Ct value of PxActin gene). The PxCNA data were expression as means ± stardard deviation (SD) and were analyzed by One-Way ANOVA.
3.4. E. coli Expression and Purification
Both the open reading frame (ORF) and phosphatase domain of PxCNA (PxCNα) with 6 histidine codons and Nde I site at N-terminal, and the Hind III site at the C-terminal, were cloned into Nde I and Hind III (TaKaRa, Dalian, China) double-digested pET43.1b expression vector (Novagen, Madison, WI, USA), and transformed into the E. coli strain BL21(DE3) (Novagen, Madison, WI, USA). Positive transformants were grown in LB medium at 37 °C until OD600 reached 0.6, then induced with 0.1 mM IPTG for 48 h at 18 °C.
Cells were collected by centrifugation at 7000 × g for 10 min at 4 °C. The pellet cells were re-suspended in Buffer A (20 mM Tris-HCl, pH = 8.0, 20 mM imidazole, 300 mM NaCl, 0.1% β-mercaptoethanol, 1.0 mg/mL iysozyme and 1 mM PMSF) and incubated for 30 min at room temperature followed by sonication for 5 min on ice; the debris was then pelleted by centrifugation (20,000 × g for 20 min at 4 °C). The soluble fraction was loaded onto a Buffer B (20 mM Tris-HCl, pH = 8.0, 20 mM imidazole, 300 mM NaCl) pre-equilibrated Ni-NTA affinity column (Transgen, Beijing, China) to bind the 6× His tagged protein; the non-specific proteins were washed out with Buffer B. The target protein was eluted with Buffer B containing serial concentrations of imidazole. Eluted solutions were subjected to 12% SDS-PAGE and stained with Coomassie brilliant blue. The target protein was dialyzed against Buffer C (Buffer B + 50% glycerol) overnight and stored at −20 °C. The protein concentration was assessed using the method of Bradford [28].
3.5. Phosphatase Activity Determination In Vitro
Phosphatase activity was determined using pNPP as the substrate as described by Wei and Li [29] with slight modification. The assay buffer contained 20 mM Tris, pH 7.4, 0.1% β-mercaptoethanol, 20 mM pNPP, 0.2 mg/mL BSA, and 0.5 mM MnCl2. Reactions were initiated after adding 1 μg of purified protein into the assaying buffer in a final volume of 200 μL and incubated at 35 °C for 20 min, then terminated with 1.8 mL 0.5 M Na2CO3, 20 mM EDTA. Control reactions were assayed without enzyme. The sample absorbance was measured at A410. Kinetic parameters of the enzyme were determined by using a Michaelis-Menten plot analysis of data obtained under the above assay conditions with pNPP concentrations of 1, 2, 5, 10, 20, 40, and 80 mM.
A metal ion activation assay was carried out in the presence of 0.5 mM of Mn2+, Ca2+, Mg2+, Cu2+, Ni2+, Zn2+ or Fe3+. The optimum reaction temperature was assayed at different temperatures and optimum reaction pH was determined in various pH substation solutions.
3.6. In Vitro Inhibition Assay
OA and CTD were dissolved in dimethyl sulphoxide (DMSO) to provide 10 mM and 100 mM stock solutions, respectively. Cypermethrin, deltamethrin and beta-cyfluthrin were dissolved in ethanol to give 50 mM stock solutions. All solutions were diluted to the desired concentrations with assay buffer before use. Before starting the reaction, the enzyme was incubated with the chemicals for 5 min at room temperature. A dose-response assay was used to determine the IC50. The non-enzyme reaction was taken as the background control, while the non-pyrethroid/inhibitor reaction was used as the full-activity control. An inhibition ratio was calculated as the percentage of A410 values of the inhibition assay reaction divided by the full-activity control, having subtracted the background control A410 value for both.
4. Conclusions
In summary, we isolated the CNA gene from P. xylostella and found that it was expressed in all developmental stages but the expression levels were relatively low. Both the full-length and phosphatase domain of PxCNA were expressed in E. coli. The recombinant PxCNA displayed no phosphatase activity; whereas the recombinant phosphatase domain (PxCNα) showed high phosphatase activity, which could be activated at different degrees by Mn2+, Ni2+, Mg2+, and Ca2+. Two protein phosphatase inhibitors, okadaic acid and cantharidin, strong inhibited recombinant PxCNα activity in a competitive mode. Three kinds of pyrethroid insecticides, which have been regarded as mammalian calaineurin/CNA inhibitors, exhibited no inhibitory effect on recombinant PxCNα, indicating the P. xylostella calcineurin/CNA appears insensitive to class II pyrethroid insecticides. This might be the first report of in vitro characterizations of heterologous expressed insect CNA.
Acknowledgments
We sincerely appreciate J.R. Schrock (Emporia State University, Emporia, KS, USA) for revising the manuscript. This research was supported by the Special Fund for the Public Interest (Agriculture) by The Ministry of Science and Technology and The Ministry of Agriculture of China (200903052) and the “13115” Sci-Tech Innovation Project of Shaanxi Province (2007ZDKG-14).
Conflicts of Interest
The authors declare no conflict of interest.
References
- Rusnak, F.; Mertz, P. Calcineurin: Form and function. Physiol. Rev 2000, 80, 1483–1521. [Google Scholar]
- Aramburu, J.; Rao, A.; Klee, C.B. Calcineurin: From structure to function. Curr. Top. Cell. Regul 2001, 36, 237–295. [Google Scholar]
- Grifith, J.P.; Kim, J.L.; Kim, E.E.; Sintchak, M.D.; Thomson, J.A.; Fitzgibbon, M.J.; Fleming, M.A.; Caron, P.R.; Hsiao, K.; Navia, M.A. X-ray structure of calcineurin inhibited by the immunophilin-immunosuppressant FKBP12-FK506 complex. Cell 1995, 82, 507–522. [Google Scholar]
- Hubbard, M.J.; Klee, C.B. Functional domain structure of calcineurin A: Mapping by limited proteolysis. Biochemistry 1989, 28, 1868–1874. [Google Scholar]
- Brown, L.; Chen, M.X.; Cohen, P.T. Identification of a cDNA encoding a Drosophila calcium/calmodulin regulated protein phosphatase, which has its most abundant expression in the early embryo. FEBS Lett 1994, 339, 124–128. [Google Scholar]
- Yoshiga, T.; Yokoyama, N.; Imai, N.; Ohnishi, A.; Moto, K.; Matsumoto, S. cDNA cloning of calcineurin heterosubunits from the pheromone gland of the silk moth Bombyx mori. Insect Biochem. Mol. Biol 2002, 32, 477–486. [Google Scholar]
- Fónagy, A.; Yokoyama, N.; Ozawa, R.; Okano, K.; Tatsuki, S.; Maeda, S.; Matsumoto, S. Involvement of calcineurin in the signal transduction of PBAN in the silkworm, Bombyx mori (Lepidoptera). Comp. Biochem. Phys. B 1999, 124, 51–60. [Google Scholar]
- Kuromi, H.; Yoshihara, M.; Kidokoro, Y. An inhibitory role of calcineurin in endocytosis of synaptic vesicles at nerve terminals of Drosophila larvae. Neurosci. Res 1997, 27, 101–113. [Google Scholar]
- Takeo, S.; Hawley, R.S.; Aigaki, T. Calcineurin and its regulation by Sra/RCAN is required for completion of meiosis in Drosophila. Dev. Biol 2010, 344, 957–967. [Google Scholar]
- Gajewski, K.; Wang, J.; Molkentin, J.D.; Chen, E.H.; Olson, E.N.; Schulz, R.A. Requirement of the calcineurin subunit gene canB2 for indirect flight muscle formation in Drosophila. Proc. Natl. Acad. Sci. USA 2003, 100, 1040–1045. [Google Scholar]
- Nakai, Y.; Horiuchi, J.; Tsuda, M.; Takeo, S.; Akahori, S.; Matsuo, T.; Kume, K.; Aigaki, T. Calcineurin and its regulator sra/DSCR1 are essential for sleep in Drosophila. J. Neurosci 2011, 31, 12759–12766. [Google Scholar]
- Tomita, J.; Mitsuyoshi, M.; Ueno, T.; Aso, Y.; Tanimoto, H.; Nakai, Y.; Aigaki, T.; Kume, S.; Kume, K. Pan-neuronal knockdown of calcineurin reduces sleep in the fruit fly Drosophila melanogaster. J. Neurosci 2011, 31, 13137–13146. [Google Scholar]
- Voss, M.; Fechner, L.; Walz, B.; Baumann, O. Calcineurin activity augments cAMP/PKA-dependent activation of V-ATPase in blowfly salivary glands. Am. J. Physiol. Cell Physiol 2010, 298, C1047–C1056. [Google Scholar]
- Guerini, D.; Montell, C.; Klee, C.B. Molecular cloning and characterization of the genes encoding the two subunits of Drosophila melanogaster calcineurin. J. Biol. Chem 1992, 267, 22542–22549. [Google Scholar]
- Liu, P.; Huang, C.; Jia, Z.; Yi, F.; Yu, D.Y.; Wei, Q. Non-catalytic domains of subunit A negatively regulate the activity of calcineurin. Biochemistry 2005, 87, 215–221. [Google Scholar]
- Xiang, B.; Liu, P.; Jiang, G.; Zou, K.; Yi, F.; Yang, S.; Wei, Q. The catalytically active domain in the A subunit of calcineurin. Biol. Chem 2003, 384, 1429–1434. [Google Scholar]
- Liu, P.; Zhou, K.; Xiang, B.Q.; Wei, Q. Effect of metal ions on the activity of the catalytic domain of calcineurin. Biometals 2004, 17, 157–165. [Google Scholar]
- Pallen, C.J.; Wang, J.H. Regulation of calcineurin by metal ions. Mechanism of activation by Ni2+ and an enhanced response to Ca2+/calmodulin. J. Biol. Chem 1984, 259, 6134–6141. [Google Scholar]
- Pallen, C.J.; Wang, J.H. Stoichiometry and dynamic interaction of metal ion activators with calcineurin phosphatase. J. Biol. Chem 1986, 261, 16115–16120. [Google Scholar]
- Martin, B.L.; Jurado, L.A.; Hengge, A.C. Comparison of the reaction progress of calcineurin with Mn2+ and Mg2+. Biochemistry 1999, 38, 3386–3392. [Google Scholar]
- Enan, E.; Matsumura, F. Specific inhibition of calcineurin by type II synthetic pyrethroid insecticides. Biochem. Pharmacol 1992, 43, 1777–1784. [Google Scholar]
- Dean, D.A.; Urban, G.; Aragon, I.V.; Swingle, M.; Swingle, M.; Miler, B.; Rusconi, S.; Bueno, M.; Dean, N.M.; Honkanen, R.E. Serine/threonine protein phosphatase 5 (PP5) participates in the regulation of glucocorticoid receptor nucleocytoplasmic shuttling. BMC Cell Biol 2001, 2, 6. [Google Scholar]
- Honkanen, R.E.; Golden, T. Regulators of serine/threonine protein phosphatases at the dawn of a clinical era? Curr. Med. Chem 2002, 9, 2055–2075. [Google Scholar]
- Maynes, J.T.; Bateman, K.S.; Cherney, M.M.; Das, A.K.; Luu, H.A.; Holmes, C.F.; James, M.N. Crystal structure of the tumor-promoter okadaic acid bound to protein phosphatase-1. J. Biol. Chem 2001, 276, 44078–44082. [Google Scholar]
- Xing, Y.; Xu, Y.; Chen, Y.; Jeffrey, P.D.; Chao, Y.; Lin, Z.; Li, Z.; Strack, S.; Stock, J.B.; Shi, Y. Structure of protein phosphatase 2A core enzyme bound to tumor-inducing toxins. Cell 2006, 127, 341–353. [Google Scholar]
- Bertini, I.; Calderone, V.; Fragai, M.; Luchinat, C.; Talluri, E. Structural basis of serine/threonine phosphatase inhibition by the archetypal small molecules cantharidin and norcantharidin. J. Med. Chem 2009, 52, 4838–4843. [Google Scholar]
- Bajsa, J; Pan, Z.; Duke, S.O. Transcriptional responses to cantharidin, a protein phosphatase inhibitor, in Arabidopsis thaliana reveal the involvement of multiple signal transduction pathways. Physiol. Plant 2011, 143, 188–205. [Google Scholar]
- Bradford, M.M. A rapid and sensitive method for the quantitation of microgram quantities of protein utilizing the principle of protein-dye binding. Anal. Biochem 1976, 72, 248–254. [Google Scholar]
- Wei, Q.; Lee, E.Y. Expression and reconstitution of calcineurin A and B subunits. IUBMB Life 1997, 41, 169–177. [Google Scholar]
© 2013 by the authors; licensee MDPI, Basel, Switzerland This article is an open access article distributed under the terms and conditions of the Creative Commons Attribution license (http://creativecommons.org/licenses/by/3.0/).




