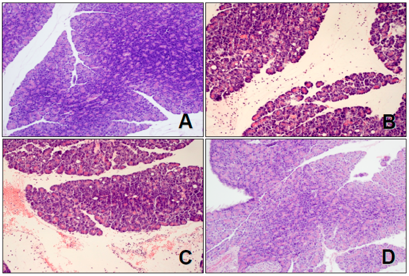
We would like to submit the correction to our published paper [1]. The reason for the correction is an error in the histological images presented in this article. Two histological images (old Figure 2A,D) are incorrect and for this reason they should be replaced with the correct new figure (Figure 1).
Figure 1.
Histological images of pancreatic tissues stained with hematoxylin and eosin, magnification 400×: (A) control sensory-nerves-intact rats treated with saline without cerulein-induced pancreatitis (CIP); (B) sensory-nerves-intact rats treated with saline followed by CIP development; (C) rats with capsaicin deactivation of sensory nerves treated with saline followed by CIP development; and (D) sensory-nerves-intact rats treated with ghrelin given at a dose of 50 µg/kg followed by CIP development.
The above errors were without material impact on the final results and conclusions of our papers. We apologize for this inconvenient situation.
Conflicts of Interest
The authors declare no conflict of interest.
Reference
- Bonior, J.; Warzecha, Z.; Ceranowicz, P.; Gajdosz, R.; Pierzchalski, P.; Kot, M.; Leja-Szpak, A.; Nawrot-Porąbka, K.; Link-Lenczowski, P.; Pędziwiatr, M.; et al. Capsaicin-Sensitive Sensory Nerves Are Necessary for the Protective Effect of Ghrelin in Cerulein-Induced Acute Pancreatitis in Rats. Int. J. Mol. Sci. 2017, 18, 1402. [Google Scholar] [CrossRef]
© 2019 by the authors. Licensee MDPI, Basel, Switzerland. This article is an open access article distributed under the terms and conditions of the Creative Commons Attribution (CC BY) license (http://creativecommons.org/licenses/by/4.0/).
