Next Article in Journal
Short Peptides Make a Big Difference: The Role of Botany-Derived AMPs in Disease Control and Protection of Human Health
Next Article in Special Issue
Inhibition of Sphingosine-1-Phosphate Receptor 2 by JTE013 Promoted Osteogenesis by Increasing Vesicle Trafficking, Wnt/Ca2+, and BMP/Smad Signaling
Previous Article in Journal
Hepatocarcinogenesis Prevention by Pirfenidone Is PPARγ Mediated and Involves Modification of Nuclear NF-kB p65/p50 Ratio
Previous Article in Special Issue
The Development of Molecular Biology of Osteoporosis
 
 
Font Type:
Arial Georgia Verdana
Font Size:
Aa Aa Aa
Line Spacing:
Column Width:
Background:
Article

Calycosin-7-O-β-Glucoside Isolated from Astragalus membranaceus Promotes Osteogenesis and Mineralization in Human Mesenchymal Stem Cells

1
Department of Oral and Maxillofacial Pathology, School of Dentistry, Kyung Hee University, Seoul 02447, Korea
2
Medical Device Research Center, Medical Science Research Institute, Kyung Hee University Medical Center, Seoul 02447, Korea
3
National Institute for Korean Medicine Development, Gyeongsan 38540, Korea
4
Department of Dental Materials, School of Dentistry, Kyung Hee University, Seoul 02447, Korea
5
College of Pharmacy and Medical Research Center, Chungbuk National University, Cheongju-si 28160, Korea
*
Authors to whom correspondence should be addressed.
Int. J. Mol. Sci. 2021, 22(21), 11362; https://doi.org/10.3390/ijms222111362
Submission received: 20 September 2021 / Revised: 15 October 2021 / Accepted: 19 October 2021 / Published: 21 October 2021

Abstract

Stem cells have received attention in various diseases, such as inflammatory, cancer, and bone diseases. Mesenchymal stem cells (MSCs) are multipotent stem cells that are critical for forming and repairing bone tissues. Herein, we isolated calycosin-7-O-β-glucoside (Caly) from the roots of Astragalus membranaceus, which is one of the most famous medicinal herbs, and investigated the osteogenic activities of Caly in MSCs. Caly did not affect cytotoxicity against MSCs, whereas Caly enhanced cell migration during the osteogenesis of MSCs. Caly increased the expression and enzymatic activities of ALP and the formation of mineralized nodules during the osteogenesis of MSCs. The osteogenesis and bone-forming activities of Caly are mediated by bone morphogenetic protein 2 (BMP2), phospho-Smad1/5/8, Wnt3a, phospho-GSK3β, and phospho-AKT, inducing the expression of runt-related transcription factor 2 (RUNX2). In addition, Caly-mediated osteogenesis and RUNX2 expression were attenuated by noggin and wortmannin. Moreover, the effects were validated in pre-osteoblasts committed to the osteoblast lineages from MSCs. Overall, our results provide novel evidence that Caly stimulates osteoblast lineage commitment of MSCs by triggering RUNX2 expression, suggesting Caly as a potential anabolic drug to prevent bone diseases.

1. Introduction

Mesenchymal stem cells (MSCs) are adult stem cells that are found in tissues including bone marrow, fat, and dental pulp [1]. MSCs are also multipotent stem cells that are capable of self-renewing and differentiating into diverse cell types through symmetric and asymmetric cell divisions, which have become a major source of stem cell therapeutics [2]. MSCs are physiologically and pathologically important cells for forming, remodeling, and repairing bone tissues [1]. In osteogenic conditions, human MSCs are committed to the osteoblast lineages that are the major cellular component of bone tissues, and the osteogenesis of MSCs leads to increases in alkaline phosphatase (ALP) activities and the mineralization of the bone matrix with apatite crystals [3]. The osteogenesis of MSCs is mainly mediated by BMP2 and Wnt3a, and their intracellular signaling molecules that regulate runt-related transcription factor 2 (RUNX2) expression [3]. Therefore, these osteogenic factors and signaling pathways are important targets for the treatment of bone diseases, such as osteoporosis and periodontitis, which are the main hallmarks of osteoblast dysfunction, including proliferation, migration, differentiation, and mineralization.
Astragalus membranaceus, known as Huangqi, is one of the oldest and most frequently used herbs for oriental medicine in Asian countries, including Korea, China, and Japan [4,5]. A. membranaceus possesses a variety of pharmaceutical properties and contains bioactive compounds to improve overall health and to prevent and cure disease including neurodegenerative diseases, diabetes, and cancers [6]. The main active compounds of A. membranaceus include polysaccharides, saponins, and flavonoids [7,8,9]. It was reported that Astragaloside I from A. membranaceus enhances osteoblast differentiation via Wnt/β-catenin signaling [10]. More recently, Astragaloside IV from A. membranaceus increases osteogenesis and alleviates osteoporosis via vitamin D/FGF23/Klotho signaling [11]. A bioactive compound, calycosin-7-O-β-glucoside (Caly), is an isoflavane belonging to flavonoids in A. membranaceus [6]. To date, the molecular mechanisms of Caly in human MSCs have not yet been reported.
In the present study, the bioactive compound Caly was obtained from the roots of A. membranaceus, and the beneficial effects of Caly on ostogenesis and bone-forming activities were investigated in human MSCs.

2. Results

2.1. Isolation of Bioactive Compound Caly from the Roots of A. membranaceus and Its Effects on Cytotoxicity against Human MSCs

A. membranaceus (1 kg) was extracted twice with MeOH (3 L, 6 h) by refluxing in a heating mantle. The crude extract (150 g) was suspended in distilled water (DW), and then solvent partitioned using n-Hexane, EtOAc, and n-BuOH. The EtOAc fractions (4.9 g) were divided into 14 fractions through the MPLC system (puriFlashTM430, interchim, Los Angeles, CA, USA, silica gel 230–400 mesh, 500 g, 20 mL/min, CHCl3:MeOH = 1:0~0:1). The 10 fraction was subjected to a prepLC (SpotⅡ, Armen, France, YMC SIL, 250 × 20 mm, 5 μM, 6 mL/min, CHCl3:MeOH:DW = 7:3:1 lower phase). The active compound (63.04 mg) was obtained from four subfractions (Figure 1A). The structure of calycosin-7-O-β-glucoside was identified by comparing it to the spectral data in [12]. The 1H and 13C nuclear magnetic resonance (NMR) spectra, high-performance liquid chromatography (HPLC) chromatogram, and chemical structure of Caly (>95% purity) are shown in Figure 1B–D. Caly was treated in MSCs for 24 h to evaluate cell toxicity at concentrations ranging from 0.1 to 30 μM using a 3-[4,5-dimethylthiazol-2-yl]-2,5-diphenyltetrazolium bromide (MTT) assay. The measurements showed that the concentrations of Caly did not influence cytotoxicity against MSCs (Figure 1E).

2.2. Caly Enhances the Cell Migration, ALP Staining and Activity, and ARS Staining during the Osteogenesis of Human MSCs

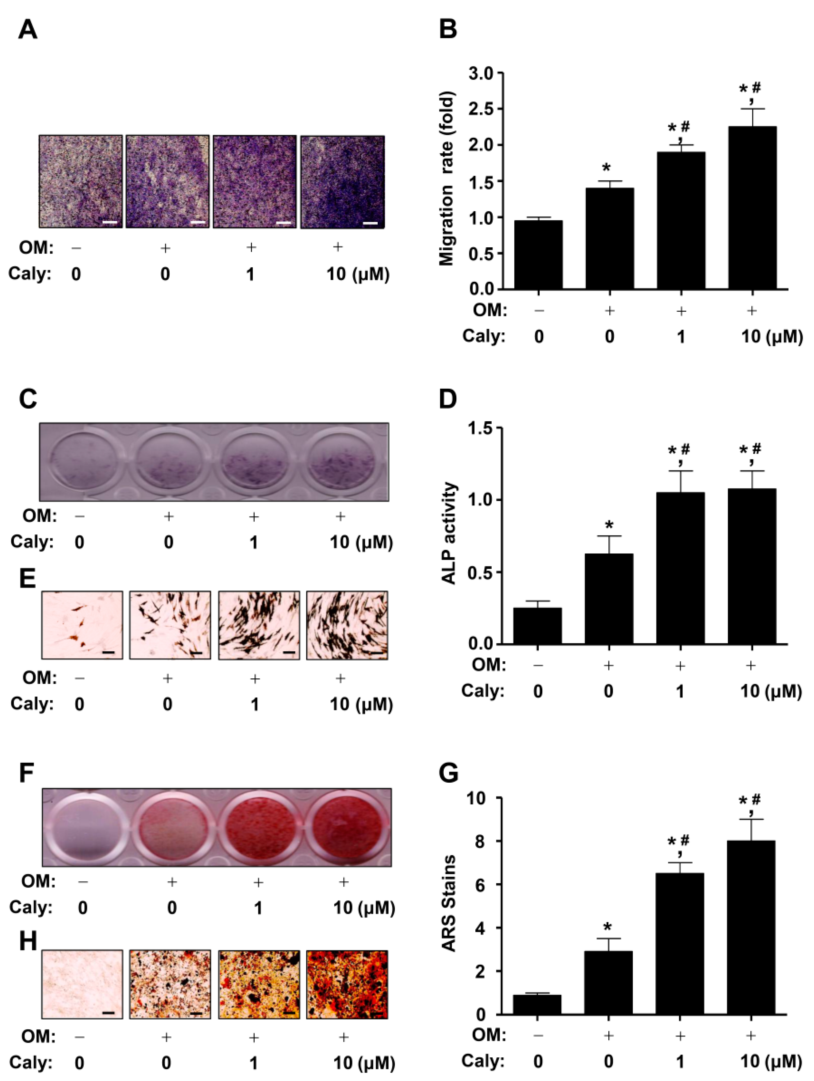
The osteogenesis of MSCs and osteoblast lineages are initiated by the migration to bone formation and repair sites. To determine whether Caly influences cell migration, we caused the osteogenic differentiation of human MSCs using osteogenic supplement medium (OM) with or without Caly for 24 h, after which the migration was evaluated using a Boyden chamber assay. The assay exhibited that 1–10 μM Caly significantly promoted the mobility, compared to OM alone (Figure 2A,B). Next, to examine the biological effects of Caly in early osteogenesis, we measured the effects on the osteogenic differentiation of Caly using alkaline phosphatase (ALP) staining, which is used as an early phase marker during osteogenesis, after cultivating MSCs in OM with or without Caly for 7 days. The results exhibited that 1–10 μM Caly elevated the staining of ALP (Figure 2C). Subsequently, we carried out an ALP activity assay in response to 1–10 μM Caly treatment using a spectrophotometer. The results exhibited that 1–10 μM Caly significantly elevated the activity of ALP (Figure 2D). The ALP-positive expressing cells were confirmed using a light microscope (Figure 2E). Mineralized nodule formation was further evaluated using Alizarin red S (ARS) staining to monitor the degree of matrix mineralization, which is used as a late phase marker during osteogenesis, after MSCs were cultivated in OM with or without Caly for 21 days. The mineralization was detected using a scanner, and the results exhibited that 1–10 μM Caly promotes the late osteogenesis of MSCs (Figure 2F). Quantitatively, the Caly-stimulated late osteogenesis was validated using a spectrophotometer (Figure 2G). In addition, the mineralized nodules were observed using a light microscope (Figure 2H).

2.3. Caly Activates the BMP2, Wnt3a, and AKT Signaling Pathways during the Osteogenesis of Human MSCs

To elucidate the signaling pathways associated with the Caly-stimulated osteogenesis in MSCs, BMP2, Wnt3a, and AKT were evaluated by Western blot analysis to detect the levels of protein expression and phosphorylation. The results showed that first, 1–10 μM Caly enhanced BMP2 expression and Smad1/5/8 phosphorylation, compared to that with OM alone (Figure 3A). Second, 1–10 μM Caly enhanced Wnt3a expression and GSK3β phosphorylation, compared to that with OM alone (Figure 3B). Third, 1–10 μM Caly enhanced AKT phosphorylation, compared to that with OM alone (Figure 3C). These data imply that Caly will regulate RUNX2, which is a key protein for the osteogenesis of MSCs.

2.4. Caly-Activated Signaling Increases RUNX2 Expression and Promotes the Osteogenesis of Human MSCs

Since RUNX2 is a main convergence protein of the BMP2, Wnt3a, and AKT signaling pathways that cause the osteogenesis of human MSCs, we clarified whether Caly influenced RUNX2 expression. As shown in Figure 4A, 1–10 μM Caly enhanced the expression of RUNX2, compared to that with OM alone (Figure 4A). To demonstrate the functional association of the expression of RUNX2 with Caly-activated signaling, MSCs were incubated with 10 μM Caly in the pretreatment of Noggin, a BMP2 inhibitor, and Wortmannin (Wort), an AKT inhibitor. The increased expression of RUNX2 was significantly inhibited by Noggin and Wort during the osteogenesis of MSCs (Figure 4B,C). Moreover, we demonstrated that Noggin and Wort significantly abolished Caly-stimulated ALP activity and mineralized nodule formation during the early and late osteogenesis of MSC (Figure 4D,E).

2.5. Caly Promotes RUNX2 Expression and Osteogenesis in Pre-Osteoblasts Committed to the Osteoblast Lineages from MSCs

In addition, we investigated whether Caly influences osteogenesis in pre-osteoblasts committed to the osteoblast lineages from MSCs. The migration was carried out after inducing osteoblast differentiation using osteogenic supplement medium (OS) with or without Caly for 24 and 48 h. The migration assay exhibited that 1–10 μM Caly significantly enhanced the mobility at 24 h, compared to OS alone (Supplementary Figure S1A,B). As shown in Supplementary Figure S1C,D, 1–10 μM Caly significantly increased osteogenesis in pre-osteoblasts (Supplementary Figure S1C,D). In addition, Western blot analysis and immunofluorescence observation exhibited that 1–10 μM Caly increased the total and nuclear RUNX2 expression during osteogenesis in pre-osteoblasts (Supplementary Figure S2A,B), suggesting that Caly also stimulates RUNX2 expression and osteogenesis in pre-osteoblasts committed to the osteoblast lineages from MSCs.

3. Discussion

Bone is continuously regenerated by bone cells including osteoblast lineages, which maintain a healthy skeleton throughout life [13,14]. MSCs are differentiated into osteoblast lineages to regulate bone development, regeneration, and repair processes through bone protein synthesis and matrix mineralization [14,15]. Abnormalities of the physiological process cause bone diseases, including osteoporosis and periodontitis [16,17,18]. As anabolic drugs, compounds isolated from plants have been investigated to prevent and cure bone diseases [19,20,21]. Previously, our group demonstrated the beneficial effects of various natural compounds from plants on osteoblast lineages [22,23,24,25,26,27]. In the present study, we demonstrated the osteogenic function of Caly obtained from A. membranaceus in human MSCs.
The differentiation of MSCs is caused by complex processes including cell migration, proliferation, commitment to osteoblast lineages, and the maturation and mineralization of osteoblast leading to bone formation and repair in target areas [28,29]. Our present results demonstrated that Caly potentiates the cell migration, the activity and expression of ALP, and the formation of mineralized nodules by osteoblast lineages differentiated from MSCs. The recruitment of MSCs from various locations including the bone marrow, periosteum, and circulating blood to target areas is necessary during bone formation and repair [28,29,30]. It was reported that ALP expression and activity are elevated in osteoblast lineages differentiated from MSCs, and the calcium deposition of the organic bone matrix is increased during osteoblast maturation [31,32,33,34,35,36]. Therefore, the findings suggest that Caly has biological effects on the migration of MSCs, and their commitment to the osteoblast lineage, and the maturation of osteoblasts, triggering the processes of bone formation and repair.
The BMP2, Wnt3a, and AKT signaling pathways are involved in osteogenesis and bone formation [37,38,39,40]. The interaction of BMP2 with BMP receptors stimulates the phosphorylation of Smad1/5/8 proteins. The phosphorylated Smad1/5/8 proteins form complexes with Smad4, translocate from cytosol into nucleus, and then cause gene transcription [41]. The interaction of Wnt3a with Frizzled and LRP5/6 receptors increases the phosphorylation of GSK3β protein, inhibits the activities of GSK3β that lead to β-catenin degradation, and then causes gene transcription in the nucleus [42]. In addition, BMP2 and Wnt3a stimulated AKT serine/threonine kinase activity in a PI 3-kinase-dependent manner, respectively, and AKT signaling promotes osteogenesis [43,44,45]. Previous papers have also demonstrated osteogenic effects in rat calvarial osteoblasts [46,47]. Consistent with the previous literature, our present results demonstrated that Caly stimulates the BMP2, Wnt3a, and AKT signaling pathways for osteogenic differentiation and bone-forming activities. It was reported that these signaling pathways consequently modulate RUNX2 expression and are functionally integrated for osteogenesis [48,49,50,51]. In vivo and in vitro studies demonstrated that RUNX2 is a core transcription factor for bone-specific gene expression and matrix mineralization during osteogenesis and bone formation [52]. Moreover, in the present study, we validated the osteogenic effects of Caly on pre-osteoblasts committed to the osteoblast lineages from MSCs. These findings suggest that the functional cross-talks of Caly stimulated these signaling pathways to induce osteogenesis and bone formation through RUNX2 expression in MSCs and osteoblast lineages.
In conclusion, the safety and efficiency of natural compounds have received attention in various diseases, including bone diseases [53,54,55,56,57]. Diet is also important in preventing the risk of osteoporosis and treating patients with osteoporosis [58,59,60]. In particular, isoflavone-rich cowpea has been reported to increase the proliferation and differentiation of human osteoblasts through the activation of the BMP2 pathway. Soybean isoflavone treatment has been reported to induce osteoblast differentiation and proliferation through the activation of the Wnt3 pathway [61]. It has been reported that Icariin exhibits estrogen-like properties to induce osteogenic effects through the activation of the AKT pathway [62]. In the present study, we demonstrated that Caly induces RUNX2 expression by regulating the BMP2, Wnt3a/GSK, and AKT pathways to cause osteogenesis in human MSCs. Previously, relevant papers have also demonstrated that Caly has osteogenic effects in mouse stromal ST2 cell lines and rat calvarial osteoblasts [46,47,63]. Based on the previous literature and our data, our findings suggest that Caly may be developed for the prevention and treatment of bone diseases as an anabolic agent or used by being incorporated into adequate dietary intake to stimulate the osteogenesis of MSCs.

4. Materials and Methods

4.1. General and Plant Materials

Nuclear magnetic resonance (NMR) spectra were obtained using a JEOL ECX-500 spectrometer (JEOL Ltd., Tokyo, Japan) operating at 1H-NMR (500 MHz) and 13C-NMR (125 MHz) with tetramethylsilane (TMS) as internal standard. High-performance liquid chromatography (HPLC) was performed using Agilent 1260 series (Agilent Technologies, Santa Clara, CA, USA). The MPLC system (puriFlashTM430, interchim, Los Angeles, CA, USA) and prep-LC equipment (SpotⅡ, Armen, France) and Silica gel 60 (230–400 mesh ASTM, Merck, Darmstadt, Germany) were used to separate the active compound. The A. membranaceus were purchased at a commercial herbal medicine market. A voucher specimen (P357) has been deposited in the Natural Products Bank, National Institute for Korean Medicine Development (NIKOM).

4.2. Calycosin-7-O-β-glucoside (Caly)

White powder, EI-MS m/z 446.40 [M]+, molecular formula C22H22O10; 1H-NMR (500 MHz, DMSO-d6) δ 3.27–3.34 (2H, m, H-2″, 3″), 3.16 (1H, t, J = 9.0 Hz, H-4″), 3.44 (1H, m, H-5″), 3.48 (1H, dd, J = 5.5, 11.5 Hz, H-6″a), 3.71 (1H, dd, J = 4.5, 11.5 Hz, H-6″b), 3.79 (3H, s, OCH3), 4.60 (1H, t, J = 6.0 Hz, 6″-OH), 5.08 (1H, t, J = 5.1 Hz, 4″-OH), 5.09 (1H, d, J = 7.8 Hz, H-1″), 5.14 (1H, d, J = 4.5 Hz, 3″-OH), 5.43 (1H, d, J = 4.8 Hz, 2″-OH), 6.96 (2H, br s, H-5′, 6′), 7.06 (1H, s, H-2′), 7.13 (1H, dd, J = 2.4, 8.7 Hz, H-6), 7.22 (1H, d, J = 2.4 Hz, H-8), 8.04 (1H, d, J = 8.7 Hz, H-5), 8.39 (1H, s, H-2), 9.02 (1H, s, 3-OH); 13C-NMR (125 MHz, DMSO-d6) δ 153.6 (C-2), 124.4 (C-3), 174.6 (C-4), 127.0 (C-5), 115.6 (C-6), 161.4 (C-7), 103.4 (C-8), 157.0 (C-9), 118.5 (C-10), 123.6 (C-1′), 116.4 (C-2′), 146.0 (C-3′), 147.6 (C-4′), 111.9 (C-5′), 119.7 (C-6′), 55.7 (OCH3), 100.0 (C-1″), 73.1 (C-2″), 76.5 (C-3″), 69.6 (C-4″), 77.2 (C-5″), 60.6 (C-6″). Caly powder was dissolved in 100% DMSO, and the stock was diluted at 1:1000. A final concentration of 0.1% DMSO was used as the control.

4.3. Human Mesenchymal Stem Cell (MSC) Culture

Human bone marrow-derived MSCs were purchased from ScienCell Research Laboratories (Carlsbad, CA, USA) and cultured in Mesenchymal Stem Cell Medium (Carlsbad, CA, USA) containing basal medium, fetal bovine serum (FBS), mesenchymal stem cell growth supplement, and penicillin/streptomycin solution. MSCs were then maintained at 37 °C in a humidified atmosphere with 5% CO2.

4.4. Pre-Osteoblast Culture

Pre-osteoblast MC3T3-E1 cells were purchased from the American Type Culture Collection (ATCC, CRL-2593) (Manassas, VA, USA) and cultured in α-minimum essential medium (WELGEME, Inc., Seoul, Republic of Korea) without L-AA containing 10% FBS and 1 X Gibco® Antibiotic-Antimycotic (Thermo Fisher Scientific, Waltham, MA, USA) at 37 °C in a humidified atmosphere of 5% CO2 and 95% air, as previously described [64].

4.5. Osteogenesis of MSCs and Pre-Osteoblasts

The osteogenesis of MSCs was induced by changing to OM containing 10 mM β-glycerophosphate (β-GP), 50 μg/mL L-ascorbic acid (L-AA), and 10 nM dexamethasone (DEX) (Sigma-Aldrich, St. Louis, MO, USA). The medium was replaced every 2 days during the incubation period.
The osteogenesis of pre-osteoblasts was induced using OS containing 10 mM β-GP and 50 μg/mL L-AA. The medium was replaced every 2 days during the incubation period, as previously described [64].

4.6. Cell Viability Assay

Cells (1 × 104 cells/well) were seeded onto 96-well plates, and cell viability was measured by performing an MTT assay to detect NADH-dependent dehydrogenase activity retained in living cells as previously described [64]. Briefly, cells were incubated with MTT solution for 2 h, and formazan was solubilized using 100% DMSO. The absorbance was monitored at 540 nm using the Multiskan GO Microplate Spectrophotometer (Thermo Fisher Scientific).

4.7. Migration Assays

Boyden chamber assay and wound-healing assay were performed as previously described [64]. Briefly, for Boyden chamber assay, a nucleopore filter was coated with Matrigel, and the 2 × 104 cells were incubated in the Boyden chamber for 4 h at 37 °C in a humidified atmosphere of 5% CO2 and 95% air. Then, the cells were fixed and stained with 0.5% crystal violet. For wound-healing assay, cells (1 × 106 cells/well) were seeded, wounded, and incubated for 24 h at 37 °C in a humidified atmosphere of 5% CO2 and 95% air. Cell migration was visualized using light microscopy.

4.8. ALP Staining Assay and ALP Activity Assay

Osteogenesis was induced for 7 days, and the assays were performed as previously described [64]. Briefly, for ALP staining assay, cells (2 × 104 cells/well) were seeded, fixed, and incubated for 1 h at 37 °C with ALP reaction solution (Takara Bio Inc., Tokyo, Japan). The level of ALP staining was observed using a scanner and colorimetric detector (ProteinSimple Inc., Santa Clara, CA, USA). ALP activity assay was carried out using an alkaline phosphatase activity colorimetric assay kit, and the activity was quantitatively monitored at 405 nm using the Multiskan GO Microplate Spectrophotometer (Thermo Fisher Scientific).

4.9. ARS Staining Assay

The osteogenesis of MSCs was induced for 21 days, and the assay was performed as previously described [64]. Briefly, cells (2 × 104 cells/well) were seeded, fixed, and stained with 2% Alizarin red S (pH 4.2) (Sigma-Aldrich) for 10 min. For quantification, stains were dissolved in 100% DMSO, and the absorbance was monitored at 590 nm using the Multiskan GO Microplate Spectrophotometer (Thermo Fisher Scientific).

4.10. Western Blot Analysis

Western blot analysis was performed as previously described [65]. Briefly, proteins were transferred to polyvinylidene difluoride membranes (Millipore, Bedford, MA, USA), and the membranes were blocked for 1 h at room temperature and incubated overnight at 4 °C with the primary antibodies as follows: AKT (1:1000, #4691, Cell Signaling Technology, Beverly, MA, USA), p-AKT (1:1000, #4060, Cell Signaling Technology), β−actin (1:1000, #sc-47778, Santa Cruz Biotechnology, Santa Cruz, CA, USA), BMP2 (CUSABIO, #CSB-PAO9419AORb, Houston, TX, USA), Smad1/5/8 (1 : 1000, #sc-6031-R, Santa Cruz Biotechnology), p-Smad1/5/8 (1:2000, 13820, Cell Signaling), GSK3β (1:1000, #12456, Cell Signaling), p-GSK3β (1:1000, #9336, Cell Signaling), RUNX2 (1:1000, #12556, Cell Signaling Technology), and Wnt3a (1:1000, #2721, Cell Signaling). Then, the membrane was incubated with horseradish peroxidase-conjugated secondary antibodies (1:10,000, Jackson ImmunoResearch, West Grove, PA, USA) for 1 h at room temperature. The protein signals were monitored in the ProteinSimple detection system (ProteinSimple Inc., Santa Clara, CA, USA).

4.11. Immunofluorescence

Immunofluorescence assay was performed as previously described [64]. Briefly, cells (1 × 104 cells/well) were seeded onto 8-well chamber slides (Thermo Fisher Scientific), fixed with 10% formalin for 10 min at room temperature, permeabilized with 0.2% Triton X-100 for 20 min, and blocked with 3% BSA for 1 h. The cells were incubated with anti-RUNX2 antibody (1:200, Cell Signaling Technology) overnight at 4 °C, followed by incubation with Alexa Fluor 568-conjugated secondary antibody (1:500, Invitrogen, Carlsbad, CA, USA) for 2 h and stained with DAPI (Sigma-Aldrich, St. Louis, MO, USA) for 10 min at room temperature. The slides were washed three times and mounted using FluoromountTM Aqueous Mounting Medium (Sigma-Aldrich).

4.12. Statistical Analysis

Data were analyzed using an unpaired Student’s t-test in the GraphPad Prism Version 5 program (GraphPad Software, Inc., San Diego, CA, USA). A value of p < 0.05 was considered to be statistically significant.

Supplementary Materials

The following are available online at https://www.mdpi.com/article/10.3390/ijms222111362/s1.

Author Contributions

Conceptualization, K.-R.P.; software, K.-R.P.; formal analysis, K.-R.P. and J.E.P.; investigation, K.-R.P.; validation, K.-R.P. and J.E.P.; resources, K.-R.P., J.E.P., I.K.K., J.T.H. and B.K.; writing—original draft preparation, K.-R.P.; writing—review and editing, K.-R.P., I.K.K., J.T.H. and H.-M.Y.; supervision, H.-M.Y.; project administration, H.-M.Y. and J.T.H.; funding acquisition, I.K.K. and H.-M.Y. All authors have read and agreed to the published version of the manuscript.

Funding

This work was supported by the National Research Foundation of Korea (NRF) grant funded by the Korea government (MSIP) (2017R1A5A2015541; 2018R1D1A1B07043282). This research was supported by the Bio & Medical Technology Development Program of the National Research Foundation (NRF) funded by the Korean government (MSIT) (no. 2017M3A9E4048170).

Institutional Review Board Statement

Not applicable.

Informed Consent Statement

Not applicable.

Data Availability Statement

Data are contained within the article or supplementary material.

Acknowledgments

We thank the Bioevaluation Center (Korea Research Institute of Bioscience and Biotechnology, Korea) for experimental assistance. All individuals included in this section have consented to the acknowledgement.

Conflicts of Interest

The authors declare no conflict of interest.

Abbreviations

ALPAlkaline phosphatase
ARSAlizarin red S
β-GPβ-glycerophosphate
BMPBone morphogenetic protein
CalyCalycosin-7-O-β-glucoside
L-AAL-ascorbic acid
MSCsMesenchymal stem cells
MTT3-[4,5-dimethylthiazol-2-yl]-2,5-diphenyltetrazolium bromide
OMOsteogenic supplement medium for the osteogenesis of MSCs containing 10 mM β-glycerophosphate (β-GP), 50 μg/mL L-ascorbic acid (L-AA), and 10 nM dexamethasone (DEX)
OSOsteogenic supplement medium for the osteogenesis of pre-osteoblasts containing 10 mM β-glycerophosphate (β-GP) and 50 μg/mL L-ascorbic acid (L-AA)
RUNX2Runt-related transcription factor 2

References

  1. Hu, L.; Yin, C.; Zhao, F.; Ali, A.; Ma, J.; Qian, A. Mesenchymal Stem Cells: Cell Fate Decision to Osteoblast or Adipocyte and Application in Osteoporosis Treatment. Int. J. Mol. Sci. 2018, 19, 360. [Google Scholar] [CrossRef] [PubMed]
  2. Pittenger, M.F.; Discher, D.E.; Peault, B.M.; Phinney, D.G.; Hare, J.M.; Caplan, A.I. Mesenchymal stem cell perspective: Cell biology to clinical progress. NPJ Regen. Med. 2019, 4, 22. [Google Scholar] [CrossRef] [PubMed]
  3. Fakhry, M.; Hamade, E.; Badran, B.; Buchet, R.; Magne, D. Molecular mechanisms of mesenchymal stem cell differentiation towards osteoblasts. World J. Stem Cells 2013, 5, 136–148. [Google Scholar] [CrossRef] [PubMed]
  4. Shi, Y.; Ji, J.; Yang, X.; Shu, Y.C.; Liu, X.; Jin, J.J.; Qin, K.M.; Li, W.D. Simultaneous quantification of two active compounds in raw and honey-processed Radix Astragali by high-performance thin-layer chromatography. JPC—J. Planar Chromat. 2020, 33, 321–326. [Google Scholar] [CrossRef]
  5. Fu, J.; Wang, Z.; Huang, L.; Zheng, S.; Wang, D.; Chen, S.; Zhang, H.; Yang, S. Review of the botanical characteristics, phytochemistry, and pharmacology of Astragalus membranaceus (Huangqi). Phytother. Res. 2014, 28, 1275–1283. [Google Scholar] [CrossRef]
  6. Ny, V.; Houska, M.; Pavela, R.; Triska, J. Potential benefits of incorporating Astragalus membranaceus into the diet of people undergoing disease treatment: An overview. J. Funct. Foods 2021, 77, 104339. [Google Scholar] [CrossRef]
  7. Li, X.; Qu, L.; Dong, Y.; Han, L.; Liu, E.; Fang, S.; Zhang, Y.; Wang, T. A review of recent research progress on the astragalus genus. Molecules 2014, 19, 18850–18880. [Google Scholar] [CrossRef]
  8. Li, Y.; Guo, S.; Zhu, Y.; Yan, H.; Qian, D.W.; Wang, H.Q.; Yu, J.Q.; Duan, J.A. Comparative analysis of twenty-five compounds in different parts of Astragalus membranaceus var. mongholicus and Astragalus membranaceus by UPLC-MS/MS. J. Pharm. Anal. 2019, 9, 392–399. [Google Scholar] [CrossRef]
  9. Li, Y.; Guo, S.; Zhu, Y.; Yan, H.; Qian, D.W.; Wang, H.Q.; Yu, J.Q.; Duan, J.A. Flowers of Astragalus membranaceus var. mongholicus as a Novel High Potential By-Product: Phytochemical Characterization and Antioxidant Activity. Molecules 2019, 24, 434. [Google Scholar] [CrossRef]
  10. Cheng, X.; Wei, B.; Sun, L.; Hu, X.; Liang, J.; Chen, Y. Astragaloside I Stimulates Osteoblast Differentiation Through th Wnt/beta-catenin Signaling Pathway. Phytother. Res. 2016, 30, 1680–1688. [Google Scholar] [CrossRef]
  11. Chai, Y.; Pu, X.; Wu, Y.; Tian, X.; Li, Q.; Zeng, F.; Wang, J.; Gao, J.; Gong, H.; Chen, Y. Inhibitory effect of Astragalus Membranaceus on osteoporosis in SAMP6 mice by regulating vitaminD/FGF23/Klotho signaling pathway. Bioengineered 2021, 12, 4464–4474. [Google Scholar] [CrossRef]
  12. Yu, D.H.; Bao, Y.M.; Wei, C.L.; An, L.J. Studies of chemical constituents and their antioxidant activities from Astragalus mongholicus Bunge. Biomed. Environ. Sci. 2005, 18, 297–301. [Google Scholar]
  13. Feng, X.; McDonald, J.M. Disorders of bone remodeling. Annu. Rev. Pathol. 2011, 6, 121–145. [Google Scholar] [CrossRef]
  14. Rucci, N. Molecular biology of bone remodelling. Clin. Cases Miner. Bone Metab. 2008, 5, 49–56. [Google Scholar]
  15. Marie, P.J. Osteoblast dysfunctions in bone diseases: From cellular and molecular mechanisms to therapeutic strategies. Cell Mol. Life Sci. 2015, 72, 1347–1361. [Google Scholar] [CrossRef] [PubMed]
  16. Mori, G.; Brunetti, G.; Colucci, S.; Ciccolella, F.; Coricciati, M.; Pignataro, P.; Oranger, A.; Ballini, A.; Farronato, D.; Mastrangelo, F.; et al. Alteration of activity and survival of osteoblasts obtained from human periodontitis patients: Role of TRAIL. J. Biol. Reg. Homeos Agents 2007, 21, 105–114. [Google Scholar]
  17. Mori, G.; Brunetti, G.; Colucci, S.; Oranger, A.; Ciccolella, F.; Sardone, F.; Pignataro, P.; Mori, C.; Karapanou, V.; Ballini, A.; et al. Osteoblast Apoptosis in Periodontal Disease: Role of Tnf-Related Apoptosis-Inducing Ligand. Int. J. Immunopath. Pharmacol. 2009, 22, 95–103. [Google Scholar] [CrossRef]
  18. Cantore, S.; Crincoli, V.; Boccaccio, A.; Uva, A.E.; Fiorentino, M.; Monno, G.; Bollero, P.; Derla, C.; Fabiano, F.; Ballini, A.; et al. Recent Advances in Endocrine, Metabolic and Immune Disorders: Mesenchymal Stem Cells (MSCs) and Engineered Scaffolds. Endocr. Metab. Immune Disord. Drug Targets 2018, 18, 466–469. [Google Scholar] [CrossRef] [PubMed]
  19. Mishra, B.B.; Tiwari, V.K. Natural products: An evolving role in future drug discovery. Eur. J. Med. Chem. 2011, 46, 4769–4807. [Google Scholar] [CrossRef]
  20. Dias, D.A.; Urban, S.; Roessner, U. A historical overview of natural products in drug discovery. Metabolites 2012, 2, 303–336. [Google Scholar] [CrossRef]
  21. Di Benedetto, A.; Posa, F.; De Maria, S.; Ravagnan, G.; Ballini, A.; Porro, C.; Trotta, T.; Grano, M.; Lo Muzio, L.; Mori, G. Polydatin, Natural Precursor of Resveratrol, Promotes Osteogenic Differentiation of Mesenchymal Stem Cells. Int. J. Med. Sci. 2018, 15, 944–952. [Google Scholar] [CrossRef] [PubMed]
  22. Park, K.R.; Kim, S.; Cho, M.; Kang, S.W.; Yun, H.M. Effects of PIN on Osteoblast Differentiation and Matrix Mineralization through Runt-Related Transcription Factor. Int. J. Mol. Sci. 2020, 21, 9579. [Google Scholar] [CrossRef] [PubMed]
  23. Park, K.R.; Kwon, Y.J.; Park, J.E.; Yun, H.M. 7-HYB, a Phenolic Compound Isolated from Myristica fragrans Houtt Increases Cell Migration, Osteoblast Differentiation, and Mineralization through BMP2 and beta-catenin Signaling. Int. J. Mol. Sci. 2020, 21, 59. [Google Scholar] [CrossRef] [PubMed]
  24. Park, K.R.; Leem, H.H.; Cho, M.; Kang, S.W.; Yun, H.M. Effects of the amide alkaloid piperyline on apoptosis, autophagy, and differentiation of pre-osteoblasts. Phytomedicine 2020, 79, 153347. [Google Scholar] [CrossRef] [PubMed]
  25. Park, K.R.; Lee, J.Y.; Kim, B.M.; Kang, S.W.; Yun, H.M. TMARg, a Novel Anthraquinone Isolated from Rubia cordifolia Nakai, Increases Osteogenesis and Mineralization through BMP2 and beta-Catenin Signaling. Int. J. Mol. Sci. 2020, 21, 5332. [Google Scholar] [CrossRef]
  26. Park, K.R.; Lee, H.; Cho, M.; Yun, H.M. A Phytochemical Constituent, (E)-Methyl-Cinnamate Isolated from Alpinia katsumadai Hayata Suppresses Cell Survival, Migration, and Differentiation in Pre-Osteoblasts. Int. J. Mol. Sci. 2020, 21, 3700. [Google Scholar] [CrossRef] [PubMed]
  27. Park, K.R.; Lee, J.Y.; Cho, M.; Hong, J.T.; Yun, H.M. Biological Mechanisms of Paeonoside in the Differentiation of Pre-Osteoblasts and the Formation of Mineralized Nodules. Int. J. Mol. Sci. 2021, 22, 6899. [Google Scholar] [CrossRef]
  28. Infante, A.; Rodriguez, C.I. Osteogenesis and aging: Lessons from mesenchymal stem cells. Stem Cell Res. Ther. 2018, 9, 244. [Google Scholar] [CrossRef]
  29. Granero-Molto, F.; Weis, J.A.; Miga, M.I.; Landis, B.; Myers, T.J.; O’Rear, L.; Longobardi, L.; Jansen, E.D.; Mortlock, D.P.; Spagnoli, A. Regenerative effects of transplanted mesenchymal stem cells in fracture healing. Stem Cells 2009, 27, 1887–1898. [Google Scholar] [CrossRef]
  30. Ichida, M.; Yui, Y.; Yoshioka, K.; Tanaka, T.; Wakamatsu, T.; Yoshikawa, H.; Itoh, K. Changes in cell migration of mesenchymal cells during osteogenic differentiation. FEBS Lett. 2011, 585, 4018–4024. [Google Scholar] [CrossRef]
  31. Guntur, A.R.; Rosen, C.J. The skeleton: A multi-functional complex organ: New insights into osteoblasts and their role in bone formation: The central role of PI3Kinase. J. Endocrinol. 2011, 211, 123–130. [Google Scholar] [CrossRef] [PubMed]
  32. Lee, H.S.; Jung, E.Y.; Bae, S.H.; Kwon, K.H.; Kim, J.M.; Suh, H.J. Stimulation of osteoblastic differentiation and mineralization in MC3T3-E1 cells by yeast hydrolysate. Phytother. Res. 2011, 25, 716–723. [Google Scholar] [CrossRef] [PubMed]
  33. Kim, M.B.; Song, Y.; Hwang, J.K. Kirenol stimulates osteoblast differentiation through activation of the BMP and Wnt/beta-catenin signaling pathways in MC3T3-E1 cells. Fitoterapia 2014, 98, 59–65. [Google Scholar] [CrossRef] [PubMed]
  34. Karsenty, G.; Kronenberg, H.M.; Settembre, C. Genetic control of bone formation. Annu. Rev. Cell Dev. Biol. 2009, 25, 629–648. [Google Scholar] [CrossRef]
  35. Zheng, X.; Dai, J.; Zhang, H.; Ge, Z. MicroRNA-221 promotes cell proliferation, migration, and differentiation by regulation of ZFPM2 in osteoblasts. Braz J. Med. Biol. Res. 2018, 51, e7574. [Google Scholar] [CrossRef]
  36. Karsenty, G.; Wagner, E.F. Reaching a genetic and molecular understanding of skeletal development. Dev. Cell 2002, 2, 389–406. [Google Scholar] [CrossRef]
  37. Peng, X.D.; Xu, P.Z.; Chen, M.L.; Hahn-Windgassen, A.; Skeen, J.; Jacobs, J.; Sundararajan, D.; Chen, W.S.; Crawford, S.E.; Coleman, K.G.; et al. Dwarfism, impaired skin development, skeletal muscle atrophy, delayed bone development, and impeded adipogenesis in mice lacking Akt1 and Akt2. Genes Dev. 2003, 17, 1352–1365. [Google Scholar] [CrossRef]
  38. Garcia, J.; Delany, A.M. MicroRNAs regulating TGFbeta and BMP signaling in the osteoblast lineage. Bone 2021, 143, 115791. [Google Scholar] [CrossRef]
  39. Lotz, E.M.; Berger, M.B.; Boyan, B.D.; Schwartz, Z. Regulation of mesenchymal stem cell differentiation on microstructured titanium surfaces by semaphorin 3A. Bone 2020, 134, 115260. [Google Scholar] [CrossRef]
  40. Wang, M.; Li, J.; Ye, Y.; He, S.; Song, J. SHED-derived conditioned exosomes enhance the osteogenic differentiation of PDLSCs via Wnt and BMP signaling in vitro. Differentiation 2020, 111, 1–11. [Google Scholar] [CrossRef]
  41. Miyazono, K.; Kamiya, Y.; Morikawa, M. Bone morphogenetic protein receptors and signal transduction. J. Biochem. 2010, 147, 35–51. [Google Scholar] [CrossRef]
  42. MacDonald, B.T.; He, X. Frizzled and LRP5/6 receptors for Wnt/beta-catenin signaling. Cold Spring Harb. Perspect. Biol. 2012, 4. [Google Scholar] [CrossRef]
  43. Ghosh-Choudhury, N.; Abboud, S.L.; Nishimura, R.; Celeste, A.; Mahimainathan, L.; Choudhury, G.G. Requirement of BMP-2-induced phosphatidylinositol 3-kinase and Akt serine/threonine kinase in osteoblast differentiation and Smad-dependent BMP-2 gene transcription. J. Biol. Chem. 2002, 277, 33361–33368. [Google Scholar] [CrossRef] [PubMed]
  44. Mukherjee, A.; Wilson, E.M.; Rotwein, P. Selective signaling by Akt2 promotes bone morphogenetic protein 2-mediated osteoblast differentiation. Mol. Cell. Biol. 2010, 30, 1018–1027. [Google Scholar] [CrossRef][Green Version]
  45. Dong, J.; Xu, X.; Zhang, Q.; Yuan, Z.; Tan, B. The PI3K/AKT pathway promotes fracture healing through its crosstalk with Wnt/beta-catenin. Exp. Cell Res. 2020, 394, 112137. [Google Scholar] [CrossRef] [PubMed]
  46. Kong, X.; Wang, F.; Niu, Y.; Wu, X.; Pan, Y. A comparative study on the effect of promoting the osteogenic function of osteoblasts using isoflavones from Radix Astragalus. Phytother. Res. 2018, 32, 115–124. [Google Scholar] [CrossRef] [PubMed]
  47. Fang, Y.; Xue, Z.; Zhao, L.; Yang, X.; Yang, Y.; Zhou, X.; Feng, S.; Chen, K. Calycosin stimulates the osteogenic differentiation of rat calvarial osteoblasts by activating the IGF1R/PI3K/Akt signaling pathway. Cell Biol. Int. 2019, 43, 323–332. [Google Scholar] [CrossRef] [PubMed]
  48. Gaur, T.; Lengner, C.J.; Hovhannisyan, H.; Bhat, R.A.; Bodine, P.V.; Komm, B.S.; Javed, A.; van Wijnen, A.J.; Stein, J.L.; Stein, G.S.; et al. Canonical WNT signaling promotes osteogenesis by directly stimulating Runx2 gene expression. J. Biol. Chem. 2005, 280, 33132–33140. [Google Scholar] [CrossRef]
  49. Rawadi, G.; Vayssiere, B.; Dunn, F.; Baron, R.; Roman-Roman, S. BMP-2 controls alkaline phosphatase expression and osteoblast mineralization by a Wnt autocrine loop. J. Bone Miner. Res. 2003, 18, 1842–1853. [Google Scholar] [CrossRef] [PubMed]
  50. Chen, G.; Deng, C.; Li, Y.P. TGF-beta and BMP signaling in osteoblast differentiation and bone formation. Int. J. Biol. Sci. 2012, 8, 272–288. [Google Scholar] [CrossRef]
  51. Artigas, N.; Urena, C.; Rodriguez-Carballo, E.; Rosa, J.L.; Ventura, F. Mitogen-activated protein kinase (MAPK)-regulated interactions between Osterix and Runx2 are critical for the transcriptional osteogenic program. J. Biol. Chem. 2014, 289, 27105–27117. [Google Scholar] [CrossRef]
  52. Liu, T.M.; Lee, E.H. Transcriptional regulatory cascades in Runx2-dependent bone development. Tissue Eng. Part B Rev. 2013, 19, 254–263. [Google Scholar] [CrossRef] [PubMed]
  53. Lee, W.C.; Guntur, A.R.; Long, F.; Rosen, C.J. Energy Metabolism of the Osteoblast: Implications for Osteoporosis. Endocr. Rev. 2017, 38, 255–266. [Google Scholar] [CrossRef]
  54. Russow, G.; Jahn, D.; Appelt, J.; Mardian, S.; Tsitsilonis, S.; Keller, J. Anabolic Therapies in Osteoporosis and Bone Regeneration. Int. J. Mol. Sci. 2018, 20, 83. [Google Scholar] [CrossRef] [PubMed]
  55. Gu, S.M.; Park, M.H.; Yun, H.M.; Han, S.B.; Oh, K.W.; Son, D.J.; Yun, J.S.; Hong, J.T. CCR5 knockout suppresses experimental autoimmune encephalomyelitis in C57BL/6 mice. Oncotarget 2016, 7, 15382–15393. [Google Scholar] [CrossRef]
  56. Soelaiman, I.N.; Das, S.; Shuid, A.N.; Mo, H.; Mohamed, N. Use of medicinal plants and natural products for treatment of osteoporosis and its complications. Evid.-Based Complement Altern. Med. 2013, 2013, 764701. [Google Scholar] [CrossRef] [PubMed]
  57. Whelan, A.M.; Jurgens, T.M.; Bowles, S.K. Natural health products in the prevention and treatment of osteoporosis: Systematic review of randomized controlled trials. Ann. Pharm. 2006, 40, 836–849. [Google Scholar] [CrossRef]
  58. Kanis, J.A.; Cooper, C.; Rizzoli, R.; Reginster, J.Y. Correction to: European guidance for the diagnosis and management of osteoporosis in postmenopausal women. Osteoporos Int. 2020, 31, 801. [Google Scholar] [CrossRef]
  59. Matsumoto, Y.; Tousen, Y.; Nishide, Y.; Tadaishi, M.; Kato, K.; Ishimi, Y. Combined effects of soy isoflavones and milk basic protein on bone mineral density in hind-limb unloaded mice. J. Clin. Biochem. Nutr. 2016, 58, 141–145. [Google Scholar] [CrossRef]
  60. Tousen, Y.; Ichimaru, R.; Kondo, T.; Inada, M.; Miyaura, C.; Ishimi, Y. The Combination of Soy Isoflavones and Resveratrol Preserve Bone Mineral Density in Hindlimb-Unloaded Mice. Nutrients 2020, 12, 2043. [Google Scholar] [CrossRef]
  61. Yu, F.; Liu, Z.; Tong, Z.; Zhao, Z.; Liang, H. Soybean isoflavone treatment induces osteoblast differentiation and proliferation by regulating analysis of Wnt/beta-catenin pathway. Gene 2015, 573, 273–277. [Google Scholar] [CrossRef]
  62. Ho, M.X.; Poon, C.C.; Wong, K.C.; Qiu, Z.C.; Wong, M.S. Icariin, but Not Genistein, Exerts Osteogenic and Anti-apoptotic Effects in Osteoblastic Cells by Selective Activation of Non-genomic ERalpha Signaling. Front. Pharmacol. 2018, 9, 474. [Google Scholar] [CrossRef] [PubMed]
  63. Jian, J.; Sun, L.; Cheng, X.; Hu, X.; Liang, J.; Chen, Y. Calycosin-7-O-beta-d-glucopyranoside stimulates osteoblast differentiation through regulating the BMP/WNT signaling pathways. Acta Pharm. Sin. B 2015, 5, 454–460. [Google Scholar] [CrossRef] [PubMed]
  64. Park, K.R.; Lee, J.Y.; Cho, M.; Hong, J.T.; Yun, H.M. Paeonolide as a Novel Regulator of Core-Binding Factor Subunit Alpha-1 in Bone-Forming Cells. Int. J. Mol. Sci. 2021, 22, 4924. [Google Scholar] [CrossRef] [PubMed]
  65. Park, K.R.; Kim, E.C.; Hong, J.T.; Yun, H.M. Dysregulation of 5-hydroxytryptamine 6 receptor accelerates maturation of bone-resorbing osteoclasts and induces bone loss. Theranostics 2018, 8, 3087–3098. [Google Scholar] [CrossRef] [PubMed]
Figure 1. Isolation of Caly from the roots of A. membranaceus, and its effects on cytotoxicity against MSCs. (A) Roadmap of Caly isolated from root of A. membranaceus. (B,C) 1H and 13C NMR of Caly. (D) HPLC and chemical structure of Caly. (E) Caly (0.1, 1, 5, 10, 20, and 30 μM) was treated for 24 h in MSCs, and cell viability was analyzed using an MTT assay. Data are representative of three separate experiments.
Figure 1. Isolation of Caly from the roots of A. membranaceus, and its effects on cytotoxicity against MSCs. (A) Roadmap of Caly isolated from root of A. membranaceus. (B,C) 1H and 13C NMR of Caly. (D) HPLC and chemical structure of Caly. (E) Caly (0.1, 1, 5, 10, 20, and 30 μM) was treated for 24 h in MSCs, and cell viability was analyzed using an MTT assay. Data are representative of three separate experiments.
Ijms 22 11362 g001
Figure 2. Effects of Caly on the osteogenesis of human MSCs. (A) Cell migration was measured by the Boyden chamber assay. The migrated cells were stained with 0.1% crystal violet and visualized under a light microscope. Scale bar: 50 μM. (B) The bar graph shows cell migration rate (fold) normalized to the control. (CE) Early osteogenesis was measured by the ALP staining and activity assay at 7 days. The early osteogenic cells were stained with ALP reaction solution. The staining was visualized under a scanner (C). ALP activity was quantitatively measured using a spectrophotometer (D). ALP-positive expressing cells were visualized under a light microscope (E). Scale bar: 50 μM. (FH) Late osteogenesis was measured by ARS staining assay at 21 days. After staining with 2% ARS solution, the mineralization was visualized under a scanner (F), quantitatively analyzed using a spectrophotometer (G), and visualized under a light microscope (H). Scale bar: 100 μm. Data are expressed as the mean ± S.E.M. from three separate experiments (* p < 0.05 compared to the control, and # p < 0.05 compared to OM).
Figure 2. Effects of Caly on the osteogenesis of human MSCs. (A) Cell migration was measured by the Boyden chamber assay. The migrated cells were stained with 0.1% crystal violet and visualized under a light microscope. Scale bar: 50 μM. (B) The bar graph shows cell migration rate (fold) normalized to the control. (CE) Early osteogenesis was measured by the ALP staining and activity assay at 7 days. The early osteogenic cells were stained with ALP reaction solution. The staining was visualized under a scanner (C). ALP activity was quantitatively measured using a spectrophotometer (D). ALP-positive expressing cells were visualized under a light microscope (E). Scale bar: 50 μM. (FH) Late osteogenesis was measured by ARS staining assay at 21 days. After staining with 2% ARS solution, the mineralization was visualized under a scanner (F), quantitatively analyzed using a spectrophotometer (G), and visualized under a light microscope (H). Scale bar: 100 μm. Data are expressed as the mean ± S.E.M. from three separate experiments (* p < 0.05 compared to the control, and # p < 0.05 compared to OM).
Ijms 22 11362 g002
Figure 3. Effects of Caly on the BMP2, Wnt3a, and AKT signaling pathways during the osteogenesis of human MSCs. (AC) BMP2 expression, Smad1/5/8 phosphorylation (p-Smad1/5/8), β-actin expression (A), Wnt3a expression, GSK3β phosphorylation (p-GSK3β), β-actin expression (B), AKT phosphorylation (p-AKT), and AKT expression (C) were analyzed using Western blot analysis. The bar graph shows relative expression level (%) normalized to the control (right). Data are expressed as the mean ± S.E.M. from three separate experiments (* p < 0.05 compared to the control, and # p < 0.05 compared to OM).
Figure 3. Effects of Caly on the BMP2, Wnt3a, and AKT signaling pathways during the osteogenesis of human MSCs. (AC) BMP2 expression, Smad1/5/8 phosphorylation (p-Smad1/5/8), β-actin expression (A), Wnt3a expression, GSK3β phosphorylation (p-GSK3β), β-actin expression (B), AKT phosphorylation (p-AKT), and AKT expression (C) were analyzed using Western blot analysis. The bar graph shows relative expression level (%) normalized to the control (right). Data are expressed as the mean ± S.E.M. from three separate experiments (* p < 0.05 compared to the control, and # p < 0.05 compared to OM).
Ijms 22 11362 g003
Figure 4. Caly potentiates RUNX2 expression during the osteogenesis of human MSCs. (A) RUNX2 and β-actin expressions were analyzed using Western blot analysis at 2 days. The bar graph shows relative RUNX2 level (%) normalized to the control (right). (B,C) After the pretreatment of Noggin and Wort, RUNX2 and β-actin expressions were analyzed using Western blot analysis at 2 days (B) The bar graph shows relative RUNX2 level (%) normalized to the control (C). (D,E) After the pretreatment of Noggin and Wort, ALP activity at 7 days (D) and ARS stains at 21 days (E) were quantitatively measured using a spectrophotometer. Data are expressed as the mean ± S.E.M. from three separate experiments (* p < 0.05 compared to the control, # p < 0.05 compared to OM, and $ p < 0.05 compared to OM + Caly).
Figure 4. Caly potentiates RUNX2 expression during the osteogenesis of human MSCs. (A) RUNX2 and β-actin expressions were analyzed using Western blot analysis at 2 days. The bar graph shows relative RUNX2 level (%) normalized to the control (right). (B,C) After the pretreatment of Noggin and Wort, RUNX2 and β-actin expressions were analyzed using Western blot analysis at 2 days (B) The bar graph shows relative RUNX2 level (%) normalized to the control (C). (D,E) After the pretreatment of Noggin and Wort, ALP activity at 7 days (D) and ARS stains at 21 days (E) were quantitatively measured using a spectrophotometer. Data are expressed as the mean ± S.E.M. from three separate experiments (* p < 0.05 compared to the control, # p < 0.05 compared to OM, and $ p < 0.05 compared to OM + Caly).
Ijms 22 11362 g004
Publisher’s Note: MDPI stays neutral with regard to jurisdictional claims in published maps and institutional affiliations.

Share and Cite

MDPI and ACS Style

Park, K.-R.; Park, J.E.; Kim, B.; Kwon, I.K.; Hong, J.T.; Yun, H.-M. Calycosin-7-O-β-Glucoside Isolated from Astragalus membranaceus Promotes Osteogenesis and Mineralization in Human Mesenchymal Stem Cells. Int. J. Mol. Sci. 2021, 22, 11362. https://doi.org/10.3390/ijms222111362

AMA Style

Park K-R, Park JE, Kim B, Kwon IK, Hong JT, Yun H-M. Calycosin-7-O-β-Glucoside Isolated from Astragalus membranaceus Promotes Osteogenesis and Mineralization in Human Mesenchymal Stem Cells. International Journal of Molecular Sciences. 2021; 22(21):11362. https://doi.org/10.3390/ijms222111362

Chicago/Turabian Style

Park, Kyung-Ran, Ji Eun Park, Bomi Kim, Il Keun Kwon, Jin Tae Hong, and Hyung-Mun Yun. 2021. "Calycosin-7-O-β-Glucoside Isolated from Astragalus membranaceus Promotes Osteogenesis and Mineralization in Human Mesenchymal Stem Cells" International Journal of Molecular Sciences 22, no. 21: 11362. https://doi.org/10.3390/ijms222111362

APA Style

Park, K.-R., Park, J. E., Kim, B., Kwon, I. K., Hong, J. T., & Yun, H.-M. (2021). Calycosin-7-O-β-Glucoside Isolated from Astragalus membranaceus Promotes Osteogenesis and Mineralization in Human Mesenchymal Stem Cells. International Journal of Molecular Sciences, 22(21), 11362. https://doi.org/10.3390/ijms222111362

Note that from the first issue of 2016, this journal uses article numbers instead of page numbers. See further details here.

Article Metrics

Back to TopTop