Semaphorin 6C Suppresses Proliferation of Pancreatic Cancer Cells via Inhibition of the AKT/GSK3/β-Catenin/Cyclin D1 Pathway
Abstract
:1. Introduction
2. Results
2.1. Semaphorin 6C Is Downregulated in Pancreatic Cancer and Is Associated with Reduced Patient Survival
2.2. RNA Sequencing Reveals the Alteration of Cell Cycle Progression in SEMA6C-Low Pancreatic Cancer
2.3. SEMA6C Inhibited the Growth of Pancreatic Cancer Cells
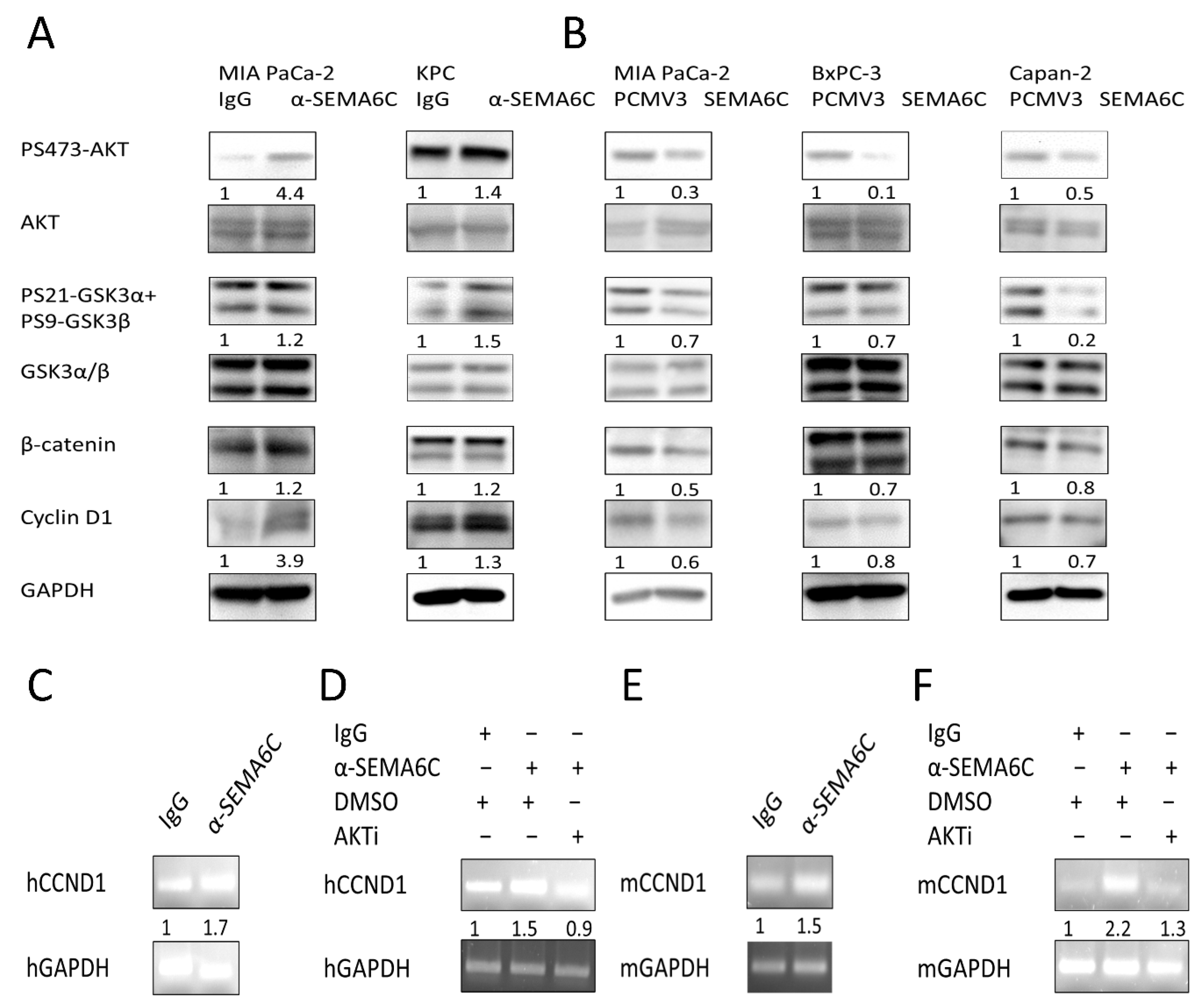
2.4. SEMA6C Affects Cell Proliferation via the AKT/GSK3/β-Catenin/Cyclin D1 Axis
2.5. CDK4/6 Inhibitor Palbociclib Suppresses Proliferation in SEMA6C-Low Pancreatic Cancer
2.6. miR-124-3p Inhibitor Suppresses Pancreatic Cancer Proliferation via SEMA6C Upregulation
3. Discussion
4. Materials and Methods
4.1. Oncomine and PROGgene Analyses
4.2. cBioPortal, AmiGO, Geneset Enrichment Analysis (GSEA), and Network Analyst Analyses
4.3. RNA Sequencing
4.4. L1000CDS2 Analysis
4.5. Cell Culture and Treatment
4.6. Antibody Internalization Assay
4.7. Flow Cytometry
4.8. Proliferation and Colony Formation Assays
4.9. Cell Death Assay
4.10. Immunofluorescence
4.11. Western Blotting
4.12. RNA Extraction and Reverse Transcription-Polymerase Chain Reaction (RT-PCR)
4.13. miRNA and KM Plotter Analyses
4.14. Tissue Array and Immunohistochemistry Staining
4.15. Statistical Analysis
Supplementary Materials
Author Contributions
Funding
Institutional Review Board Statement
Informed Consent Statement
Data Availability Statement
Conflicts of Interest
References
- Limoni, G.; Niquille, M. Semaphorins and Plexins in central nervous system patterning: The key to it all? Curr. Opin. Neurobiol. 2021, 66, 224–232. [Google Scholar] [CrossRef] [PubMed]
 - Oleari, R.; Lettieri, A.; Paganoni, A.; Zanieri, L.; Cariboni, A. Semaphorin signaling in GnRH neurons: From development to disease. Neuroendocrinology 2019, 109, 193–199. [Google Scholar] [CrossRef] [PubMed]
 - Carulli, D.; De Winter, F.; Verhaagen, J. Semaphorins in adult nervous system plasticity and disease. Front. Synaptic Neurosci. 2021, 13, 672891. [Google Scholar] [CrossRef] [PubMed]
 - Iyer, A.S.; Chapoval, S.P. Neuroimmune semaphorin 4A in cancer angiogenesis and inflammation: A promoter or a suppressor? Int. J. Mol. Sci. 2019, 20, 124. [Google Scholar] [CrossRef] [PubMed] [Green Version]
 - Han, L.; Zheng, C.; Wu, S. Long non-coding RNA NEAT1 promotes the malignancy of laryngeal squamous cell carcinoma by regulating the microRNA-204-5p/SEMA4B axis. Oncol. Lett. 2021, 22, 1–16. [Google Scholar] [CrossRef]
 - Hou, Y.; Wang, W.; Zeng, Z.; Gan, W.; Lv, S.; Li, T.; Yan, Z.; Zhang, R.; Yang, M. High SEMA4C expression promotes the epithelial-mesenchymal transition and predicts poor prognosis in colorectal carcinoma. Aging 2020, 12, 21992–22018. [Google Scholar] [CrossRef]
 - Tamagnone, L.; Franzolin, G. Targeting semaphorin 4D in cancer: A look from different perspectives. Cancer Res. 2019, 79, 5146–5148. [Google Scholar] [CrossRef] [Green Version]
 - Gurrapu, S.; Tamagnone, L. Semaphorins as regulators of phenotypic plasticity and functional reprogramming of cancer cells. Trends. Mol. Med. 2019, 25, 303–314. [Google Scholar] [CrossRef]
 - Mastrantonio, R.; You, H.; Tamagnone, L. Semaphorins as emerging clinical biomarkers and therapeutic targets in cancer. Theranostics 2021, 11, 3262–3277. [Google Scholar] [CrossRef]
 - Chen, L.H.; Liao, C.Y.; Lai, L.C.; Tsai, M.H.; Chuang, E.Y. Semaphorin 6A attenuates the migration capability of lung cancer cells via the NRF2/HMOX1 axis. Sci. Rep. 2019, 9, 1–9. [Google Scholar] [CrossRef] [Green Version]
 - Zhao, J.; Tang, H.; Zhao, H.; Che, W.; Zhang, L.; Liang, P. SEMA6A is a prognostic biomarker in glioblastoma. Tumour Biol. 2015, 36, 8333–8340. [Google Scholar] [CrossRef]
 - Lv, X.J.; Chen, X.; Wang, Y.; Yu, S.; Pang, L.; Huang, C. Aberrant expression of semaphorin 6B affects cell phenotypes in thyroid carcinoma by activating the Notch signalling pathway. Endokrynol. Pol. 2021, 72, 29–36. [Google Scholar] [CrossRef] [PubMed]
 - Kikuchi, K.; Chédotal, A.; Hanafusa, H.; Ujimasa, Y.; de Castro, F.; Goodman, C.S.; Kimura, T. Cloning and characterization of a novel class VI semaphorin, semaphorin Y. Mol. Cell. Neurosci. 1999, 13, 9–23. [Google Scholar] [CrossRef] [PubMed]
 - Burgaya, F.; Fontana, X.; Martínez, A.; Montolio, M.; Mingorance, A.; Simó, S.; del Río, J.A.; Soriano, E. Semaphorin 6C leads to GSK-3-dependent growth cone collapse and redistributes after entorhino-hippocampal axotomy. Mol. Cell. Neurosci. 2006, 33, 321–334. [Google Scholar] [CrossRef] [PubMed]
 - Yoshida, Y.; Han, B.; Mendelsohn, M.; Jessell, T.M. PlexinA1 signaling directs the segregation of proprioceptive sensory axons in the developing spinal cord. Neuron 2006, 52, 775–788. [Google Scholar] [CrossRef] [Green Version]
 - Svensson, A.; Libelius, R.; Tågerud, S. Semaphorin 6C expression in innervated and denervated skeletal muscle. J. Mol. Histol. 2008, 39, 5–13. [Google Scholar] [CrossRef]
 - Matsuoka, R.L.; Sun, L.O.; Katayama, K.; Yoshida, Y.; Kolodkin, A.L. Sema6B, Sema6C, and Sema6D expression and function during mammalian retinal development. PLoS ONE 2013, 8, e63207. [Google Scholar] [CrossRef]
 - Zhou, S.; Yan, W.; Shen, W.; Cheng, J.; Xi, Y.; Yuan, S.; Fu, F.; Ding, T.; Luo, A.; Wang, S. Low expression of SEMA6C accelerates the primordial follicle activation in the neonatal mouse ovary. J. Cell. Mol. Med. 2018, 22, 486–496. [Google Scholar] [CrossRef] [Green Version]
 - Qie, S.; Diehl, J.A. Cyclin D1, cancer progression, and opportunities in cancer treatment. J. Mol. Med. 2016, 94, 1313–1326. [Google Scholar] [CrossRef] [Green Version]
 - Suski, J.M.; Braun, M.; Strmiska, V.; Sicinski, P. Targeting cell-cycle machinery in cancer. Cancer Cell 2021, 39, 759–778. [Google Scholar] [CrossRef]
 - Gao, X.; Leone, G.W.; Wang, H. Cyclin D-CDK4/6 functions in cancer. Adv. Cancer Res. 2020, 148, 147–169. [Google Scholar] [PubMed]
 - Wang, R.; Xu, K.; Gao, F.; Huang, J.; Guan, X. Clinical considerations of CDK4/6 inhibitors in triple-negative breast cancer. Biochim. Biophys. Acta. Rev. Cancer 2021, 1876, 188590. [Google Scholar] [CrossRef] [PubMed]
 - Yan, W.; Zhou, S.; Shen, W.; Cheng, J.; Yuan, S.; Ye, S.; Jin, Y.; Luo, A.; Wang, S. Suppression of SEMA6C promotes preantral follicles atresia with decreased cell junctions in mice ovaries. J. Cell. Physiol. 2019, 234, 4934–4943. [Google Scholar] [CrossRef] [PubMed]
 - Tetsu, O.; McCormick, F. β-Catenin regulates expression of cyclin D1 in colon carcinoma cells. Nature 1999, 398, 422–426. [Google Scholar] [CrossRef]
 - Fard, D.; Tamagnone, L. Semaphorins in health and disease. Cytokine Growth Factor Rev. 2021, 57, 55–63. [Google Scholar] [CrossRef]
 - Ahammad, I. A comprehensive review of tumor proliferative and suppressive role of semaphorins and therapeutic approaches. Biophys. Rev. 2020, 12, 1233–1247. [Google Scholar] [CrossRef]
 - Sadanandam, A.; Varney, M.L.; Singh, S.; Ashour, A.E.; Moniaux, N.; Deb, S.; Lele, S.M.; Batra, S.K.; Singh, R.K. High gene expression of semaphorin 5A in pancreatic cancer is associated with tumor growth, invasion and metastasis. Int. J. Cancer 2010, 127, 1373–1383. [Google Scholar] [CrossRef] [Green Version]
 - Sadanandam, A.; Sidhu, S.; Wullschleger, S.; Singh, S.; Varney, M.; Yang, C.; Ashour, A.; Batra, S.K.; Singh, R.K. Secreted semaphorin 5A suppressed pancreatic tumour burden but increased metastasis and endothelial cell proliferation. Br. J. Cancer 2012, 107, 501–507. [Google Scholar] [CrossRef] [Green Version]
 - Pan, G.; Lv, H.; Ren, H.; Wang, Y.; Liu, Y.; Jiang, H.; Wen, J. Elevated expression of semaphorin 5A in human gastric cancer and its implication in carcinogenesis. Life Sci. 2010, 86, 139–144. [Google Scholar] [CrossRef]
 - Ko, P.H.; Lenka, G.; Chen, Y.A.; Chuang, E.Y.; Tsai, M.H.; Sher, Y.P.; Lai, L.C. Semaphorin 5A suppresses the proliferation and migration of lung adenocarcinoma cells. Int. J. Oncol. 2020, 56, 165–177. [Google Scholar] [CrossRef]
 - Correa, R.; Sasahara, R.; Bengtson, M.; Katayama, M.; Salim, A.; Brentani, M.M.; Sogayar, M.; De Souza, S.; Simpson, A. Human semaphorin 6B [(HSA) SEMA6B], a novel human class 6 semaphorin gene: Alternative splicing and all-trans-retinoic acid-dependent downregulation in glioblastoma cell lines. Genomics 2001, 73, 343–348. [Google Scholar] [CrossRef] [PubMed]
 - Zhao, X.Y.; Chen, L.; Xu, Q.; Li, Y.H. Expression of semaphorin 6D in gastric carcinoma and its significance. World J. Gastroenterol. 2006, 12, 7388–7390. [Google Scholar] [CrossRef] [PubMed]
 - Lu, Y.; Xu, Q.; Chen, L.; Zuo, Y.; Liu, S.; Hu, Y.; Li, X.; Li, Y.; Zhao, X. Expression of semaphorin 6D and its receptor plexin-A1 in gastric cancer and their association with tumor angiogenesis. Oncol. Lett. 2016, 12, 3967–3974. [Google Scholar] [CrossRef] [PubMed] [Green Version]
 - Ettl, T.; Schulz, D.; Bauer, R.J. The renaissance of cyclin dependent kinase inhibitors. Cancers 2022, 14, 293. [Google Scholar] [CrossRef]
 - Lamb, Y.N.; Scott, L.J. Liposomal irinotecan: A review in metastatic pancreatic adenocarcinoma. Drugs 2017, 77, 785–792. [Google Scholar] [CrossRef]
 - Calin, G.A.; Croce, C.M. MicroRNA signatures in human cancers. Nat. Rev. Cancer 2006, 6, 857–866. [Google Scholar] [CrossRef]
 - Smolarz, B.; Durczyński, A.; Romanowicz, H.; Hogendorf, P. The role of microRNA in pancreatic cancer. Biomedicines 2021, 9, 1322. [Google Scholar] [CrossRef]
 - Lim, H.S.; Kim, C.S.; Kim, J.S.; Yu, S.K.; Go, D.S.; Lee, S.A.; Moon, S.M.; Chun, H.S.; Kim, S.G.; Do Kyung, K. Suppression of oral carcinoma oncogenic activity by microRNA-203 via down-regulation of SEMA6A. Anticancer Res. 2017, 37, 5425–5433. [Google Scholar]
 - Dong, L.; Qu, F. CircUBAP2 promotes SEMA6D expression to enhance the cisplatin resistance in osteosarcoma through sponging miR-506-3p by activating Wnt/β-catenin signaling pathway. J. Mol. Histol. 2020, 51, 329–340. [Google Scholar] [CrossRef]
 - Lee, Y.; Kim, S.J.; Choo, J.; Heo, G.; Yoo, J.W.; Jung, Y.; Rhee, S.H.; Im, E. miR-23a-3p is a key regulator of IL-17C-induced tumor angiogenesis in colorectal cancer. Cells 2020, 9, 1363. [Google Scholar] [CrossRef]
 - Gao, J.; Aksoy, B.A.; Dogrusoz, U.; Dresdner, G.; Gross, B.; Sumer, S.O.; Sun, Y.; Jacobsen, A.; Sinha, R.; Larsson, E. Integrative analysis of complex cancer genomics and clinical profiles using the cBioPortal. Sci. Signal. 2013, 6, pl1. [Google Scholar] [CrossRef] [Green Version]
 - Duan, Q.; Reid, S.P.; Clark, N.R.; Wang, Z.; Fernandez, N.F.; Rouillard, A.D.; Readhead, B.; Tritsch, S.R.; Hodos, R.; Hafner, M. L1000CDS2: LINCS L1000 characteristic direction signatures search engine. NPJ Syst. Biol. Appl. 2016, 2, 1–12. [Google Scholar] [CrossRef] [PubMed]
 - Hsu, C.C.; Liao, W.Y.; Chan, T.S.; Chen, W.Y.; Lee, C.T.; Shan, Y.S.; Huang, P.J.; Hou, Y.C.; Li, C.R.; Tsai, K.K. The differential distributions of ASPM isoforms and their roles in Wnt signaling, cell cycle progression, and pancreatic cancer prognosis. J. Pathol. 2019, 249, 498–508. [Google Scholar] [CrossRef] [PubMed]
 - Li, W.; Chen, C.; Zhao, X.; Ye, H.; Zhao, Y.; Fu, Z.; Pan, W.; Zheng, S.; Wei, L.; Nong, T. HIF-2α regulates non-canonical glutamine metabolism via activation of PI 3K/mTORC 2 pathway in human pancreatic ductal adenocarcinoma. J. Cell. Mol. Med. 2017, 21, 2896–2908. [Google Scholar] [CrossRef] [PubMed]
 - Riedl, T.; van Boxtel, E.; Bosch, M.; Parren, P.W.; Gerritsen, A.F. High-throughput screening for internalizing antibodies by homogeneous fluorescence imaging of a pH-activated probe. J. Biomol. Screen. 2016, 21, 12–23. [Google Scholar] [CrossRef] [Green Version]
 - Nath, N.; Godat, B.; Zimprich, C.; Dwight, S.J.; Corona, C.; McDougall, M.; Urh, M. Homogeneous plate based antibody internalization assay using pH sensor fluorescent dye. J. Immunol. Methods 2016, 431, 11–21. [Google Scholar] [CrossRef] [Green Version]
 - Hung, Y.H.; Huang, H.L.; Chen, W.C.; Yen, M.C.; Cho, C.Y.; Weng, T.Y.; Wang, C.Y.; Chen, Y.L.; Chen, L.T.; Lai, M.D. Argininosuccinate lyase interacts with cyclin A2 in cytoplasm and modulates growth of liver tumor cells. Oncol. Rep. 2017, 37, 969–978. [Google Scholar] [CrossRef] [Green Version]
 - Chen, Y.; Wang, X. miRDB: An online database for prediction of functional microRNA targets. Nucleic Acids Res. 2020, 48, D127–D131. [Google Scholar] [CrossRef] [Green Version]
 - Lewis, B.P.; Burge, C.B.; Bartel, D.P. Conserved seed pairing, often flanked by adenosines, indicates that thousands of human genes are microRNA targets. Cell 2005, 120, 15–20. [Google Scholar] [CrossRef] [Green Version]
 - Sticht, C.; De La Torre, C.; Parveen, A.; Gretz, N. miRWalk: An online resource for prediction of microRNA binding sites. PLoS ONE 2018, 13, e0206239. [Google Scholar] [CrossRef]
 - Győrffy, B. Survival analysis across the entire transcriptome identifies biomarkers with the highest prognostic power in breast cancer. Comput. Struct. Biotechnol. J. 2021, 19, 4101–4109. [Google Scholar] [CrossRef] [PubMed]
 - Hou, Y.C.; Chao, Y.J.; Hsieh, M.H.; Tung, H.L.; Wang, H.C.; Shan, Y.S. Low CD8+ T cell infiltration and high PD-L1 expression are associated with level of CD44+/CD133+ cancer stem cells and predict an unfavorable prognosis in pancreatic cancer. Cancers 2019, 11, 541. [Google Scholar] [CrossRef] [PubMed] [Green Version]
 






Publisher’s Note: MDPI stays neutral with regard to jurisdictional claims in published maps and institutional affiliations.  | 
© 2022 by the authors. Licensee MDPI, Basel, Switzerland. This article is an open access article distributed under the terms and conditions of the Creative Commons Attribution (CC BY) license (https://creativecommons.org/licenses/by/4.0/).
Share and Cite
Hung, Y.-H.; Hsu, S.-H.; Hou, Y.-C.; Chu, P.-Y.; Su, Y.-Y.; Shan, Y.-S.; Hung, W.-C.; Chen, L.-T. Semaphorin 6C Suppresses Proliferation of Pancreatic Cancer Cells via Inhibition of the AKT/GSK3/β-Catenin/Cyclin D1 Pathway. Int. J. Mol. Sci. 2022, 23, 2608. https://doi.org/10.3390/ijms23052608
Hung Y-H, Hsu S-H, Hou Y-C, Chu P-Y, Su Y-Y, Shan Y-S, Hung W-C, Chen L-T. Semaphorin 6C Suppresses Proliferation of Pancreatic Cancer Cells via Inhibition of the AKT/GSK3/β-Catenin/Cyclin D1 Pathway. International Journal of Molecular Sciences. 2022; 23(5):2608. https://doi.org/10.3390/ijms23052608
Chicago/Turabian StyleHung, Yu-Hsuan, Shih-Han Hsu, Ya-Chin Hou, Pei-Yi Chu, Yung-Yeh Su, Yan-Shen Shan, Wen-Chun Hung, and Li-Tzong Chen. 2022. "Semaphorin 6C Suppresses Proliferation of Pancreatic Cancer Cells via Inhibition of the AKT/GSK3/β-Catenin/Cyclin D1 Pathway" International Journal of Molecular Sciences 23, no. 5: 2608. https://doi.org/10.3390/ijms23052608
APA StyleHung, Y.-H., Hsu, S.-H., Hou, Y.-C., Chu, P.-Y., Su, Y.-Y., Shan, Y.-S., Hung, W.-C., & Chen, L.-T. (2022). Semaphorin 6C Suppresses Proliferation of Pancreatic Cancer Cells via Inhibition of the AKT/GSK3/β-Catenin/Cyclin D1 Pathway. International Journal of Molecular Sciences, 23(5), 2608. https://doi.org/10.3390/ijms23052608
        
                                                
