Abstract
Chinese cabbage, a major crop in Korea, shows self-incompatibility (SI). SI is controlled by the type 2A serine/threonine protein phosphatases (PP2As). The PP2A gene is controlled by regulatory subunits that comprise a 36 kDa catalyst C subunit, a 65 kDa regulatory A subunit, and a variety of regulatory B subunits (50–70 kDa). Among them, the PP2A 55 kDa B regulatory subunit (PR55/B) gene located in the A05 chromosome has 13 exons spanning 2.9 kb, and two homologous genes, Bra018924 and Bra014296, were found to be present on the A06 and A08 chromosome, respectively. In this study, we performed a functional analysis of the PR55/B gene using clustered regularly interspaced short palindromic repeats/CRISPR-associated system 9 (CRISPR/Cas9)-mediated gene mutagenesis. CRISPR/Cas9 technology can be used to easily introduce mutations in the target gene. Tentative gene-edited lines were generated by the Agrobacterium-mediated transfer and were selected by PCR and Southern hybridization analysis. Furthermore, pods were confirmed to be formed in flower pollination (FP) as well as bud pollination (BP) in some gene-edited lines. Seed fertility of gene-edited lines indicated that the PR55/B gene plays a key role in SI. Finally, self-compatible T-DNA-free T2 gene-edited plants and edited sequences of target genes were secured. The self-compatible Chinese cabbage developed in this study is expected to contribute to Chinese cabbage breeding.
1. Introduction
Self-incompatibility (SI) is the most important system for preventing inbreeding in many flowering plants. Representative SI plants include the Brassica genus, which includes cabbage, radish, and Chinese cabbage. As the mechanism of SI has been utilized in F1 hybrid breeding, many studies have been conducted on the relevant practical aspects. Many relevant types of research have also been conducted on pollen stigma interactions, cell-cell interactions, and signal transduction [1,2,3]. Two closely linked polymorphic genes, the S-locus glycoprotein gene (SLG) and the S receptor kinase gene (SRK), located at the S-locus, function together, resulting in an SI response. The phosphorylation stage of SRK leading to the SI response depends on the activity of both the kinase and protein phosphatase (PP). Thus, inhibition of PP increases the phosphorylation level of SRK substrates and inactivates arm repeat-containing 1 (ARC1), resulting in self-compatibility [4,5].
Reversible protein phosphorylation, an essential regulatory mechanism in many cellular processes, can modify the properties of key regulatory proteins in specific pathways. In addition to protein kinases, PP is a highly regulated enzyme that plays an equally important role in controlling protein phosphorylation [6]. PP is grouped by substrate specificity as serine/threonine (Ser/Thr), tyrosine, and dual-specificity classes. The Ser/Thr-specific PPs are divided into four groups in eukaryotes: type 1 PP, type 2A PP (PP2A), type 2B PP (PP2B), and type 2C [7].
Functional genomics is an important research area that identifies the process by which genes are related to the phenotypes of organisms and provides biological and industrial value to determine gene availability [8,9]. Research directions for the functional analysis of genes include expression profiling, forward genetics, and reverse genetics. Expression profiling is the analysis of gene function through mRNA and protein expression levels. Forward genetics is the discovery of mutations in the genome and the identification of mutations associated with the target phenotype [10,11]. Reverse genetics mutates target genes to confirm the results. A line of mutant plants containing mutated copies of certain genes is then developed to confirm the gene function through the systematic suspension of target gene expression. These methods are particularly useful in analyzing genes whose functions are unclear because of the redundancy of functions among genes closely related to a single phenotype [12,13].
The development of knockdown mutations using T-DNA tagging or RNA interference (RNAi) is mainly used in reverse genetics, which reduces the transcription level of endogenous genes to analyze their function [14,15]. However, alternative technologies are needed because of the associated nonspecific insertion and unstable inheritance of T-DNA.
Clustered regularly interspaced short palindromic repeats/CRISPR-associated system 9 (CRISPR/Cas9) technology can be used to easily knock out the function of a specific gene because it does not have a complicated protein structure. The CRISPR/Cas9 system involves a single guide RNA (sgRNA), which includes a 20-nt sequence with a protospacer adjacent motif (PAM) and Cas9 protein. The sgRNA specifically binds the desired sequence, and Cas9 nuclease cuts 3 nucleotides upstream of the guide sequence [16,17,18].
Further, T-DNA can be isolated by generation advancement. Plasmids containing the CRISPR/Cas9 system have been successfully introduced into the mammalian genome [19,20]; the CRISPR/Cas9 system has also been applied to zebrafish [21] and Caenorhabditis elegans [22]. The CRISPR/Cas9 system has been reported to introduce sequence changes in several plants [23,24], including the model plants Nicotiana benthamiana [25] and Arabidopsis thaliana [26].
Chinese cabbage (Brassica rapa ssp. pekinensis) has been cultivated for a long time as an important vegetable crop in many Asian countries. Functional inhibition of SI is essential for breeding Chinese cabbage, which is a high-demand crop in Korea. SI is a phenomenon in which self-pollination cannot occur even though each reproductive organ is normal, and this is a common trait in Brassica crops. Currently, carbon dioxide or sodium chloride treatment [27,28] is performed to overcome SI, but new methods are needed considering the associated practicality, personal expenses, and environmental problems. Therefore, in this study, we examined the knockout of the PP2A 55 kDa B regulatory subunit (PR55/B) gene related to SI using gene-editing technology. The CRISPR/Cas9 system targeted the PR55/B gene related to SI. Molecular biological analysis was performed to confirm the change in the targeted sequence. Consequently, the CRISPR/Cas9 system functioned normally, and self-compatible Chinese cabbage was identified.
In this study, we confirmed that the PP2A 55 kDa B regulatory subunit, PR55/B gene, is closely related to the SI of Chinese cabbage using the CRISPR/Cas9 technique.
2. Results
2.1. Vector Construction and Agrobacterium-Mediated Transformation of Chinese Cabbage
The sgRNA cassettes were designed, based on the ‘CT001′ genome sequence, to construct the gene-editing vector (Figure 1A). Analysis of the PR55/B gene (Bra030425) located on the A05 chromosome of ‘CT001′ was identified, and two homologous genes, Bra018924 and Bra014296, were found to be present on the A06 and A08 chromosome, respectively.
Figure 1.
Vector structure and position of sgRNAs. (A) Detailed schematic representation of T-DNA. LB, left border; HygR, hygromycin resistance gene; Cas9hc:NLS:HA, human-codon-optimized Cas9 with the nuclear localization signal and an HA epitope; T1, NOS terminator; T2, 35S terminator. RB, right border. HygR, sgRNA, and Cas9hc:NLS:HA are under the control of NOS promoter (P1), Arabidopsis U6 promoter (P2), and 35S promoter (P3), respectively. (B) Summary of the genomic structure of the PR55/B gene and two homologous genes. Black box, exon regions; black line, intron regions; yellow bar, target site of sgRNA1; blue bar, target site of sgRNA3.
sgRNA1 (5′-AAG ACA CTG ATC ACC CAC TG-3′) was designed to target the PR55/B gene in the A05 chromosome, and sgRNA3 (5′-GAC ATC AAA TTT GCA AAA GA-3′) was designed to target the PR55/B gene and the two homologous genes, Bra018924 in the A06 chromosome and Bra014296 in the A08 chromosome (Figure 1B). Using the BioEdit program and FSTVAL, sgRNAs were confirmed to not target the exonic regions of other genes in ‘CT001′; thus, the probability of off-target effects was low. The T-DNA in the pHAtC vector, pPR55-Tra1 (PT1) and pPR55-Tra3 (PT3) with the designed sgRNA1 and sgRNA3 cassette, respectively, was inserted into inbred line ‘CT001′ by Agrobacterium tumefaciens mediated transformation.
2.2. Selection and Fertility Analysis of T0 Gene-Edited Chinese Cabbage Lines
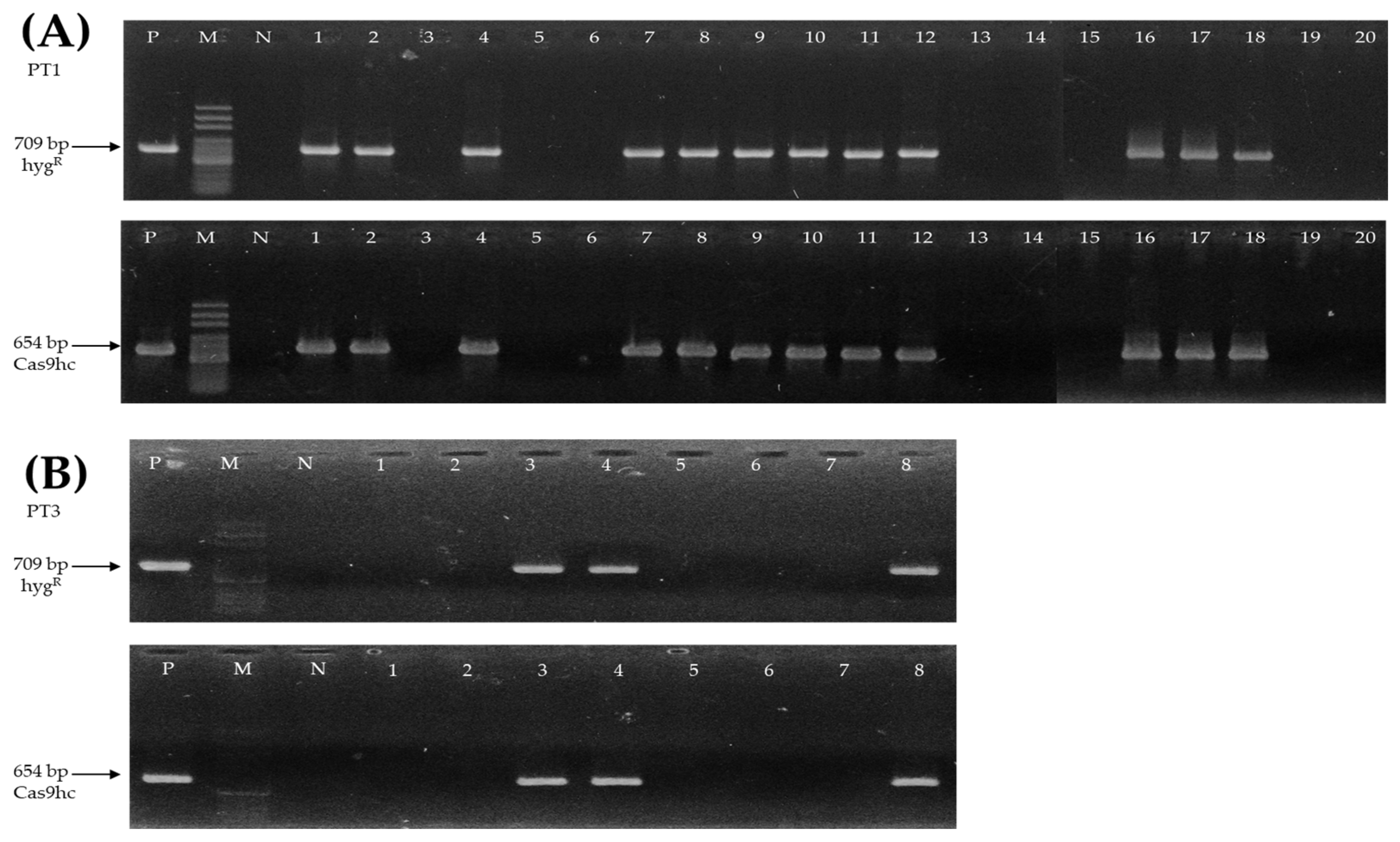
We obtained 20 and 8 tentative gene-edited lines for PT1 and PT3, respectively. PCR analysis was performed to select these lines. To confirm T-DNA insertion, two primer sets that could identify both hygR and Cas9hc:NLS:HA (Cas9hc) regions were used for PCR analysis. The 709 bp and 654 bp PCR amplicons were produced using the hygR and Cas9hc region primer sets. A total of 12 of 20 PT1 (Figure 2A) and 3 of the 8 PT3 (Figure 2B) gene-edited lines were identified.
Figure 2.
Selection of T0 gene-edited lines by PCR analysis. (A) PCR analysis with hygR and Cas9hc primer sets of T0 PT1 gene-edited lines. (B) PCR analysis with hygR and Cas9hc primer sets of T0 PT3 gene-edited lines. The 709 bp and 654 bp expected PCR products are indicated with an arrow, respectively. P, positive control; M, 100 bp DNA ladder; N, negative control; Numbering lane, tentative gene-edited lines.
To confirm the seed fertility of PT1 and PT3 gene-edited lines, flower pollination (FP) and bud pollination (BP) were conducted. While the inbred line, ‘CT001′, did not form pods upon FP in nature, the gene-edited lines showed the self-compatible phenotype when both BP and FP were carried out in this experiment. In ‘CT001′, pods were formed in BP, an SI-breaking method, but not in FP (Figure 3A,C). However, it was confirmed that gene-edited lines, particularly PT1-2, -4, -8, and PT3-3, formed pods in BP as well as in FP (Figure 3B,D). Furthermore, there was no significant difference in the seed setting between BP and FP. Analysis of the seed fertility in the inbred line ‘CT001′ and T0 gene-edited Chinese cabbage lines indicated that ‘CT001′ showed no seed fertility in FP and high fertility in the BP. In contrast, PT1-2, -4, -8, and PT3-3 lines showed higher seed fertility than ‘CT001′ in both BP and FP (Table 1). Based on the self-compatibility analysis, these lines were advanced to the T1 generation.
Figure 3.
Self-compatibility analysis by FP and BP of inbred line ‘CT001′ and T0 gene-edited Chinese cabbage lines. (A) Pods of inbred line ‘CT001′ using FP and BP. (B) Pods of T0 gene-edited lines (PT1-2, -4, -8, and PT3-3) using FP and BP. (C) Seed formations of inbred line ‘CT001′ using FP and BP. (D) Seed formations of T0 gene-edited lines (PT1-2, -4, -8, and PT3-3) using FP and BP.
Table 1.
Seed fertilities of inbred line ‘CT001′ and T0 gene-edited Chinese cabbage lines.
2.3. Confirmation of Sequence Change and Fertility Analysis in T1 Gene-Edited Chinese Cabbage Lines
The selection of T1 gene-edited lines was performed using the same method as the selection for T0 gene-edited lines (Figure S1 in Supplementary Materials). Some of the selected T1 gene-edited lines were analyzed for the target gene mutation, and self-compatibility was confirmed.
PCR and RT-PCR amplicons were analyzed by the Sanger sequencing method. As a result, a single nucleotide deletion (PT1-2-2 and PT1-4-1) and insertion (PT1-8-3) were found in PT1. The deletion mutation introduces a stop codon, causing nonsense mutations. In addition, the insertion mutation changed leucine to threonine, resulted in a frameshift, and formed a stop codon in PT1-8 (Figure 4A). In PT3-3-3, no mutation was found in Bra014296, but a mutation was observed in both the PR55/B gene and Bra018924 (Figure 4B). This mutation changed the amino acid sequence. A stop codon appeared in both the PR55/B gene and Bra018924 following the indel mutations. Such an unexpected frameshift can interfere with the gene function.
Figure 4.
Analysis of mutation patterns in T1 gene-edited lines. (A) Confirmation of each nucleic and amino acid sequence of the PR55/B gene in PT1-2-2, -4-1, and -8-3. (B) Confirmation of each nucleic and amino acid sequence of the PR55/B gene, Bra018924, and Bra014296 in PT3-3-3, respectively. The underline indicates sgRNA, and the blue font indicates the PAM sequence; the red font represents the presence of indel mutations and the resulting change of amino acid sequence.
Southern hybridization analysis was performed to determine the T-DNA copy number of T1 gene-edited lines using a probe targeting the hpt gene of 709 bp; a non-transgenic gene-edited line was used as a negative control. In this analysis, no signal was detected in the negative control line, whereas one signal of 6.3–9.4 kb was clearly detected in PT1-2-2, -4-1, -8-3, and PT3-3-3 (Figure 5). Therefore, we concluded that the selected T1 gene-edited lines with one copy of T-DNA have a low probability of affecting other genes.
Figure 5.
Southern hybridization analysis for identifying the copy number of T-DNA in the T1 gene-edited lines genome. A total of 30 μg genomic DNA was digested with EcoRI, then separated on a 1.0% agarose gel and blotted onto a Hybond N+ nylon membrane for hybridization with a probed [32P]-labeled 709 bp of hygR from a gene-editing vector. An approximate DNA molecular size marker is indicated on the left. M, λ HindIII molecular ladder; N, negative control; Lane, T1 gene-edited lines showing self-compatible phenotype and sequence mutations.
After confirmation of sequence changes and T-DNA insertion, the selected T1 gene-edited lines were subjected to cold treatment for 2 months. FP and BP were conducted using the same method as for T0 gene-edited lines. When both FP and BP were conducted on ‘CT001′, pods were formed in BP (Table 1), an SI-breaking method, but none were formed in FP (Figure 6A,C). However, the T1 generation, especially PT1-2-2, -4-1, -8-3, and PT3-3-3 lines, showed a good formation of pods with both BP and FP (Figure 6B,D).
Figure 6.
Self-compatibility analysis by FP and BP of T1 gene-edited Chinese cabbage lines. (A) Pods of inbred line ‘CT001′ using FP and BP. (B) Pods of T1 gene-edited lines (PT1-2-2, -4-1, -8-3, and PT3-3-3) using FP and BP. (C) Seed formations of inbred line ‘CT001′ using FP and BP. (D) Seed formations of T1 gene-edited lines (PT1-2-2, -4-1, -8-3, and PT3-3-3) using FP and BP.
The seed fertility of the gene-edited lines was higher than that of inbred line ‘CT001′ (Table 2). When FP and BP were performed in the gene-edited lines, there was no significant difference in the shape or number of pods between FP and BP. There was also no external phenotypic difference in the gene-edited lines compared to the inbred line ‘CT001′. This phenomenon of T1 gene-edited lines was derived from the acquisition of self-compatibility caused by PR55/B gene inhibition. These results confirmed that using the CRISPR/Cas9 system with the PR55/B gene-editing vector allowed the development of self-compatible Chinese cabbage.
Table 2.
Seed fertilities of inbred line ‘CT001′ and T1 gene-edited Chinese cabbage lines.
2.4. Inheritance of Sequence Change in T-DNA-Free T2 Gene-Edited Chinese Cabbage Lines
Two primer sets targeting hygR and Cas9hc regions were used for the PCR analysis of T2 plants to select T-DNA-free self-compatible lines. The PCR amplicons showed that 8 (12.1%) of 66 T2 plants could not be amplified from the transferred pPR55-Tra1 construct (Figure S2A,B in Supplementary Materials). Likewise, no hygR amplicon was generated in 2 (9.1%) out of 22 T2 plants derived from the pPR55-Tra3 construct (Figure S2A,B in Supplementary Materials). As with the DNA sequence change identified at the target site of the T1 generation, the sequence change was confirmed to be the same in the T2 lines, but it was confirmed that there was no T-DNA (Figure 7). These T-DNA-free T2 gene-edited lines also showed self-compatibility, and it was confirmed that pods and seeds were normally formed in both BP and FP. These findings suggest that genetic segregation could be efficiently used to acquire T-DNA-free gene-edited plants during the generation process.
Figure 7.
Analysis of mutation patterns in T2 gene-edited lines. (A) Confirmation of each nucleic and amino acid sequence of PR55/B gene, Bra018924 and Bra014296 in PT1-2-2-8, -4-1-4, and -8-3-15, respectively. (B) Confirmation of each nucleic and amino acid sequence of PR55/B gene, Bra018924, and Bra014296 in PT3-3-3-5. The underline indicates sgRNA, and the blue font indicates the PAM sequence; the red font represents the presence of indel mutations and the resulting change of amino acid sequence.
3. Discussion
From an evolutionary viewpoint, SI benefits evolution through cross-fertilization. Plants with other genetic material are crossed, increasing their chances of surviving in nature. However, this characteristic poses difficulties to humans during crop handling. When breeding inbred lines and F1 hybrids, it is necessary to overcome SI [29,30]. The methods currently used to break SI involve dealing with carbon dioxide, sodium chloride, or BP [27,28]. However, chemical methods can cause environmental issues; further, they are difficult to sustain and require alternative management. Thus, various studies of genes associated with the SI mechanism have been conducted to control SI [31,32,33,34,35]. In Chinese cabbage, studies have been conducted on the SI mechanisms, mainly with the SLG and SRK genes. To our knowledge, the present study is the first to target PR55/B genes using the CRISPR/Cas9 system.
The PP2A protein can control cell metabolism and biological processes, such as the cell cycle, transcription, translation, and signal transduction [36,37]. The PP2A protein comprises a 36 kDa catalyst C subunit, a 65 kDa regulatory A subunit, and a variety of regulatory B subunits (50–70 kDa) [38,39,40] and is strictly controlled by regulatory subunits [39,41]. The PP2A protein is identified from B. napus seeds, preferentially dephosphorylates the α-subunit of phosphorylase kinase and is strongly inhibited by in vitro okadaic acid (OA) [42,43]. OA is a naturally occurring phosphatase inhibitor that can penetrate living cells and is the most widely used phosphatase inhibitor [44]. Treatment with OA completely overcomes SI, indicating that the PP2A protein is involved in the SI mechanism [45].
The PP2A protein is associated with the interaction between pollen and pistil during pollination. The SI reaction appears as the activation signal of the SRK kinase domain and is transmitted to the stigma, where it interacts between SRK and ARC1. The SRK activation occurs by the dephosphorylation of SRK and phosphorylation of ARC1 by PP [4,5,46]. Therefore, among various types of PPs, loss of function of the PP2A protein negatively affects the SRK and ARC1 activation. In gene-edited Chinese cabbage lines, SI was thought to be triggered by inactivated ARC1. Phenotype analysis related to the SI caused by the PP2A gene was performed at the BP and FP stages in the PR55/B gene knock-out and wild type [46]. The PR55/B gene knock-out line-producing seeds could be regarded as the loss of SI due to inhibition of the PP2A gene and inactivation of ARC1, suggesting that the PR55/B gene was closely related to the SI in Chinese cabbage.
In this study, the PR55/B gene located in the A05 chromosome has 13 exons spanning 2.9 kb, and the homologous genes of the PR55/B gene were identified. Bra018924 located in the A06 chromosome has 14 exons, and Bra014296 located in the A08 chromosome has 13 exons. Two gene-editing vectors were constructed with sgRNAs targeting different exons; sgRNA1 and sgRNA3 targeted the PR55/B gene and all three homologous genes, respectively. Random mutations were produced by non-homologous end-joining in T1 plants that exhibited self-compatible phenotypes. Most mutations that occurred were point mutations, including insertion, deletion, and transversion. The occurrence of an indel mutation in the PR55/B gene produced an early stop codon, resulting in the loss of function of the PR55/B protein. Further, the occurrence of frame-shift mutations in PT3 3-3 causes structural transitions and introduces an early stop codon in the PR55/B protein (Figure 4).
Similarly, the production of early stop codons in drought-responsive RING Protein 1 (DRR1) damages drought stress resistance by causing the accumulation of ubiquitous insoluble proteins in Arabidopsis [47]. The introduction of a premature stop codon in the open reading frame of Solanum lycopersicum SRFR1 (SlSRFR1) was reported to increase the expression of defense genes in the salicylic acid pathway and to enhance resistance to Pseudomonas syringae in tomato [48]. In addition, another study obtained the desired phenotype with prolonged basic vegetative growth periods at low latitudes in japonica rice through frameshift and frame deletion mutations of the early heading date 1 gene (EHd1) [49].
To increase the possibility of frameshift occurring through the generation of indels, multiple sites may be targeted using two or more sgRNAs [50,51,52]. Targeting multiple sites has been suggested to improve the genome editing efficiency in various crops such as maize [53], grape [54], and cabbage [55]. Further, targeting gene families with similar functions increases the efficiency of gene editing. Multiple gene editing was performed efficiently in the KARRIKIN INSENSITIVE 2 LIKE (PpKAI2L) gene family, which encodes the receptors and candidate receptors of butenolide compounds such as strigolactones or karrikins [56]. However, some previous reports have suggested that targeting multiple genes with a single sgRNA can reduce the genome editing efficiency because of a variety of reasons [57,58]. Similarly, sgRNA3, which targets three genes, was found to have worked normally for only two genes, PR55/B and Bra018924, in this study. However, it is possible that the indels caused by a single sgRNA produced a frameshift of the target gene, resulting in phenotypic defects. The editing of multiple sites using a single sgRNA has also been reported in poplar [59]. In this study, we used the CRISPR/Cas9 system to successfully target multiple sites of the PR55/B gene in Brassica rapa using a single sgRNA. Indel mutations, which lead to a frameshift, were detected in the PR55/B gene and Bra018924 (Figure 4B). Thus, we consider the CRISPR/Cas9 system to be effective because it can edit target gene sequences and can be applied for the sequence editing of gene families.
Using PCR analysis, we confirmed that many gene-edited plants still had T-DNA (Figure S1 in Supplementary Materials). Because T-DNA insertion occurs randomly for the number of T-DNA copies and insertion locations, unexpected genetic mutations are possible [52,60,61]. It is easier to analyze the insertion location when a single copy of T-DNA is inserted compared to when multiple copies of T-DNA are inserted [61,62]; furthermore, we were able to isolate T-DNA fragments from the plant genome. T-DNA-free genome-edited plants can be produced through generational advancement. T-DNA-separated plants are more likely to be free from GMO issues and can be evaluated positively by the seed industry.
Genetic analysis of ‘CT001′ identified each off-targeting region targeted by sgRNA, and the off-targeting probability was also very low in the program; therefore, it would not have targeted other genes. Further, when CRISPR/Cas9 is applied to plants, the off-targeting probability is very low, and many studies have demonstrated the precision of CRISPR/Cas9 [63,64]. Regardless of the pollination method, the T0 and T1 generations of the gene-edited lines formed pods and seeds almost normally. Therefore, we concluded that the region where the CRISPR/Cas9 vector was destroyed was stably maintained and that SI was broken. The results of this study also confirmed that CRISPR/Cas9 is effective in gene function analysis and can be applied to breed useful Chinese cabbage and other useful crops as well.
Stable insertion and inheritance of T-DNA into plant genomes are essential for useful traits. In addition, the downregulation of genes based on principles such as RNA interference is caused by T-DNA insertion. In particular, a self-compatible phenotype has been introduced using the RNAi technique to regulate the PR55/B gene in Chinese cabbage [46]. This technique is an effective way to control the gene expression level but cannot achieve the genetic stability of GM crops owing to the insertion of T-DNA into the plant genome [65]. However, with simple principles and excellent precision, the CRISPR/Cas9 method enables T-DNA-free gene modification, which is not possible with conventional genetic engineering. T-DNA, including the sgRNA cassette, can be easily removed from the plant genome by separation in the next generation after gene-editing events induced by CRISPR/Cas9. Gene editing, especially the CRISPR/Cas9 system, is an innovative technology for the development of non-GM crops and has been used in all types of crops, including vegetables, fruit trees, and flowers [26,58,66]. The CRISPR/Cas9 system is a useful technique for modifying various characteristics in plants. There are studies on T-DNA-free gene mutations in various traits, such as inducing early flowering [67,68] or acquiring disease resistance [69,70,71] using the CRISPR/Cas9 system. Thus, T-DNA-free plants produced using the CRISPR/Cas9 system can mitigate biological safety issues and facilitate regulatory approval for commercial applications.
4. Materials and Methods
4.1. Target Site Selection and Construction of PR55/B Gene-Editing Vectors
To regulate the SI of Chinese cabbage (Brassica rapa ssp. pekinensis), the PR55/B gene was selected as the target gene. To design sgRNAs targeting the PR55/B gene, the number of PR55/B gene copies in the ‘CT001′ genome was confirmed using FSTVAL (http://bioinfo.mju.ac.kr/fstval/ accessed on 2 May 2018). The homology of each copy and the PR55/B gene were analyzed using the Brassica database (http://brassicadb.cn/#/ accessed on 2 May 2018). The exon and intron regions of each identified homologous gene were analyzed to design sgRNA with target regions affecting the gene expression using Softberry (http://www.softberry.com/ accessed on 10 May 2018). Further, candidate sgRNAs in exons containing PAM sequences were designed using CRISPR direct (http://crispr.dbcls.jp/ accessed on 11 May 2018). The off-targeting probability was analyzed using FSTVAL (http://bioinfo.mju.ac.kr/fstval/ accessed on 16 May 2018) and the BioEdit program based on the pseudomolecules of ‘CT001′ to ensure that sgRNAs could not affect the expression of other genes.
sgRNA1 was designed to target the third exon of the B. rapa PR55/B gene, and sgRNA3 was designed to target all three homologous genes of the PR55/B gene to break out of SI. The sgRNA cassette comprising the AtU6 promoter and sgRNA with the scaffold was cloned into the pHAtC plasmid vector [72] (Figure 1A). The designed 369 bp sgRNA cassettes were synthesized by Macrogen Co. (Seoul, Korea) and cloned into the SacI site of the binary vector. The hygromycin phosphotransferase (hpt) gene was inserted as a selection marker to select gene-edited lines. The modified freeze-thaw method [73] was used to transfer the constructed gene-editing vectors into Agrobacterium tumefaciens LBA4404.
4.2. PCR and RT-PCR Analysis of Gene-Edited Chinese Cabbage Lines
The inbred line ‘CT001′ of Chinese cabbage was used to develop gene-edited Chinese cabbage lines. The seeds of ‘CT001′ were sterilized with 70% EtOH and 30% sodium hypochlorite solution and then sown in an MS basal medium [74]. Chinese cabbage transformation was conducted using effective methods [9,75]. The tentative gene-edited plants were grown in a greenhouse at Kyung Hee University (Yongin, Korea). Genomic DNA (gDNA) was extracted from the leaves of inbred line ‘CT001′ and from the tentative gene-edited plants using a modified method [76]. Two primer sets targeting the hygR, and Cas9hc regions of the gene-editing vector were used for the PCR analysis (Table S1 in Supplementary Materials). For PCR analysis, gDNA and specific primer sets were used with the Maxime PCR PreMix Kit (iNtRON Biotechnology, Seongnam, Korea). The PCR conditions were as follows: initial denaturation at 95 °C for 10 min, 35 cycles of 95 °C for 30 s, 62 °C for 1 min, 72 °C for 40 s, and a final extension step at 72 °C for 5 min. The PCR products were analyzed by electrophoresis with 1% agarose gel with ethidium bromide staining.
The total RNA was extracted from the leaves of ‘CT001′ and the gene-edited lines using the TaKaRa MiniBEST Plant RNA Extraction kit (Takara, Otsu, Japan), according to the manufacturer’s instructions. The RNA purity and concentration were measured using a Nanodrop ND-1000 spectrophotometer (NanoDrop Technologies, Wilmington, SA, Australia). The extracted RNA was used to synthesize cDNA with the HiSenScript RH[-] RT PreMix Kit (iNtRON Biotechnology, Seongnam, Korea). The cDNA synthesis conditions were as follows: reverse transcription at 42 °C for 1 h and RNase inactivation extension at 85 °C for 10 min. Specific primer sets targeting each exon were used for RT-PCR analysis (Table S1 in Supplementary Materials). For RT-PCR analysis, cDNA and specific primer sets were used with the Maxime PCR PreMix Kit (iNtRON Biotechnology, Seongnam, Korea). RT-PCR conditions were as follows: initial denaturation at 95 °C for 10 min, 35 cycles of 95 °C for 30 s, 56 °C for 30 s, 72 °C for 20 s, and a final extension step at 72 °C for 5 min. Electrophoresis with 1% agarose gel and ethidium bromide staining was used to analyze the results.
4.3. Southern Hybridization Analysis for Identifying the Number of T-DNA Copies
To determine the T-DNA copy number in the genome of gene-edited Chinese cabbage lines by Southern hybridization analysis, 30 μg of genomic DNA were digested with 3 μL of HindIII overnight at 37 °C. The digested genomic DNA was separated by size on a 1% agarose gel with a lambda HindIII molecular marker to estimate the size accurately. After electrophoresis was carried out for 8 h at 30 V, the gel was depurinated, denatured, and neutralized. Denatured DNA was blotted onto a Hybond N+ nylon membrane (Amersham Pharmacia, Buckinghamshire, Little Chalfont, UK). The 709 bp fragment of hygR was used as a probe, which was labeled with 32P-dCTP using the BcaBEST Labelling kit (TaKaRa, Otsu, Japan). The hybridized membrane was washed in a shaking incubator at 60 °C. The washed nylon membrane was then exposed to an X-ray film at −80 °C for 72 h for autoradiography and then visualized.
4.4. Self-Compatibility Analysis of Gene-Edited Chinese Cabbage Lines
To examine the self-compatibility of gene-edited lines, plants were cultivated in a greenhouse at ‘Hankookseed’ Company (Pyeongtaek, Korea). The environmental conditions for pollination were the same as those in a previous study [46]. The selected gene-edited Chinese cabbage lines progressed to the T1 generation by FP and BP. BP was conducted by opening the bud before flowering and pollinating pollen from an open flower of the same individual line to the stigma of the opened bud. FP was carried out by transferring pollen from the anther to the stigma of the same flower after flowering. For each gene-edited line and control, seed fertility was calculated by dividing the number of seeds by the number of pods. using the following formula: seed fertility = number of seeds ÷ number of pods.
4.5. Sequence Change Analysis of Gene-Edited Chinese Cabbage Lines
To confirm the sequence change of target genes, DNAs and RNAs isolated from gene-edited lines were used for PCR and RT-PCR analysis, respectively. PCR and RT-PCR analyses were conducted with cSEQ primer sets (Table S1 in Supplementary Materials), and the amplicons were produced at expected sizes (Figure S1 in Supplementary Materials). The amplicons were eluted using the P&C Multiple Elution Kit (Biosolution, Suwon, Korea). The sequences were obtained from BTSeq (Celemics, Seoul, Korea) and analyzed. Through the alignment of nucleic and amino acid sequences, the sequences of ‘CT001’ and gene-edited lines were compared and analyzed.
5. Conclusions
In this study, using CRISPR/Cas9 targeting the PR55/B gene family, self-compatible gene-edited lines of Chinese cabbage were developed, and molecular analysis was conducted. The gene-editing vector was constructed, and T-DNA was inserted into Chinese cabbage through Agrobacterium-mediated transformation. Self-compatibility analysis was also performed using FP and BP in the gene-edited lines selected by the PCR analysis. Finally, it was confirmed that one copy of T-DNA was inserted into the plant genome, which introduced indel mutations in the target gene. In this study, indel mutation caused a stop codon or frameshift occurrence. The occurrence of an indel mutation in the PR55/B gene produced an early stop codon, resulting in the loss of function of the PR55/B protein. Furthermore, the occurrence of frameshift mutations in PT3-3-3 triggered structural transitions and introduced an early stop codon. T1 generation, especially the PT1-2-2, -4-1, -8-3, and the PT3-3-3 lines, showed no significant difference in the shape or number of pods between FP and BP. In addition, it was confirmed that the DNA sequence changes were the same in T1 and T2 plants, which were T-DNA free. Consequently, we confirmed that the PR55/B gene was an important factor in SI and that the CRISPR/Cas9 system worked stably in Chinese cabbage. Therefore, it was possible to develop self-compatible Chinese cabbage lines by targeting the PR55/B genes related to SI through the CRISPR/Cas9 system. The results of this study can be directly applied to the breeding program and will be helpful in the development of new breeding techniques.
6. Patents
We are in the process of obtaining a patent for the data on the method of using a plant transformation vector for gene editing SI characteristics in Chinese cabbage and their applications in Korea (patent number 10-2019-0127450).
Supplementary Materials
The following are available online at https://www.mdpi.com/article/10.3390/ijms23095062/s1.
Author Contributions
Conceptualization, N.-R.S., Y.-H.S., and Y.-D.P.; investigation and writing—original draft preparation, N.-R.S. and Y.-H.S.; construction of gene-editing vectors, N.-R.S.; molecular biological characteristics analysis, Y.-H.S.; experimental implementation, H.-S.K.; and conceptualization, supervision, writing—review and editing, and funding acquisition, Y.-D.P. All authors have read and agreed to the published version of the manuscript.
Funding
This research was funded by the National Research Foundation (NRF-2021M3E5E6025387).
Data Availability Statement
The constructed gene-editing vectors generated during the current study were deposited in the National Agricultural Biotechnology Information Center (NABIC) (http://nabic.rda.go.kr) in Rural Development Administration (RDA), Korea, with the accession numbers, pPR55-Tra1:NU-1244 and pPR55-Tra3:NU-1304. The nucleotide information is publicly available.
Acknowledgments
This work was supported by the National Research Foundation (NRF-2021M3E5E6025387).
Conflicts of Interest
The authors declare no conflict of interest.
References
- Takayama, S.; Isogai, A. Self-incompatibility in plants. Annu. Rev. Plant Biol. 2005, 56, 467–489. [Google Scholar] [CrossRef] [Green Version]
- Hiscock, S.J.; Allen, A.M. Diverse cell signalling pathways regulate pollen-stigma interactions: The search for consensus. New Phytol. 2008, 179, 286–317. [Google Scholar] [CrossRef]
- Igic, B.; Lande, R.; Kohn, J.R. Loss of self-incompatibility and its evolutionary consequences. Int. J. Plant Sci. 2008, 169, 93–104. [Google Scholar] [CrossRef] [Green Version]
- Vanoosthuyse, V.; Tichtinsky, G.; Dumas, C.; Gaude, T.; Cock, J.M. Interaction of calmodulin, a sorting nexin and kinase-associated protein phosphatase with the Brassica oleracea S locus receptor kinase. Plant Physiol. 2003, 133, 919–929. [Google Scholar] [CrossRef] [PubMed] [Green Version]
- Sehgal, N.; Singh, S. Progress on deciphering the molecular aspects of cell-to-cell communication in Brassica self-incompatibility response. 3 Biotech 2018, 8, 1–17. [Google Scholar] [CrossRef]
- Janssens, V.; Goris, J. Protein phosphatase 2A: A highly regulated family of serine/threonine phosphatases implicated in cell growth and signalling. Biochem. J. 2001, 353, 417–439. [Google Scholar] [CrossRef] [PubMed]
- Rundle, S.J.; Nasrallah, M.E.; Nasrallah, J.B. Effects of inhibitors of protein serine/threonine phosphatases on pollination in Brassica. Plant Physiol. 1993, 103, 1165–1171. [Google Scholar] [CrossRef] [Green Version]
- Ku, J.J.; Park, Y.H.; Park, Y.D. A non-antibiotic selection system uses the phosphomannose-isomerase (PMI) gene for Agrobacterium-mediated transformation of Chinese cabbage. J. Plant Biol. 2006, 49, 115–122. [Google Scholar] [CrossRef]
- Yu, J.G.; Lee, G.H.; Kim, J.S.; Shim, E.J.; Park, Y.D. An insertional mutagenesis system for analyzing the Chinese cabbage genome using Agrobacterium T-DNA. Mol. Cells. 2010, 29, 267–275. [Google Scholar] [CrossRef]
- Singh, V.K.; Khan, A.W.; Saxena, R.K.; Sinha, P.; Kale, S.M.; Parupalli, S.; Kumar, V.; Chitikineni, A.; Vechalapu, S.; Kumar, C.V.S.; et al. Indel-seq: A fast-forward genetics approach for identification of trait-associated putative candidate genomic regions and its application in pigeonpea (Cajanus cajan). Plant Biotechnol. J. 2017, 15, 906–914. [Google Scholar] [CrossRef] [Green Version]
- Gajewska, P.; Janiak, A.; Kwasniewski, M.; Kędziorski, P.; Szarejko, I. Forward genetics approach reveals a mutation in bHLH transcription factor-encoding gene as the best candidate for the root hairless phenotype in barley. Front. Plant Sci. 2018, 9, 1229. [Google Scholar] [CrossRef]
- Gilchrist, E.; Haughn, G. Reverse genetics techniques: Engineering loss and gain of gene function in plants. Brief. Funct. Genom. 2010, 9, 103–110. [Google Scholar] [CrossRef] [PubMed] [Green Version]
- Lloyd, J.; Meinke, D. A comprehensive dataset of genes with a loss-of-function mutant phenotype in Arabidopsis. Plant Physiol. 2012, 158, 1115–1129. [Google Scholar] [CrossRef] [PubMed] [Green Version]
- An, S.; Park, S.; Jeong, D.H.; Lee, D.Y.; Kang, H.G.; Yu, J.H.; Hur, J.H.; Kim, S.R.; Kim, Y.H.; Lee, M.O.; et al. Generation and analysis of end sequence database for T-DNA tagging lines in rice. Plant Physiol. 2003, 133, 2040–2047. [Google Scholar] [CrossRef] [PubMed] [Green Version]
- Yu, J.G.; Lee, G.H.; Park, Y.D. Comparison of RNA interference-mediated gene silencing and T-DNA integration techniques for gene function analysis in Chinese cabbage. Hortic. Sci. Technol. 2012, 30, 734–742. [Google Scholar]
- Jinek, M.; Chylinski, K.; Ronfara, I.; Hauer, M.; Doudna, J.A.; Charpentier, E.A. programmable dual-RNA-guided DNA endonuclease in adaptive bacterial immunity. Science 2012, 337, 816–821. [Google Scholar] [CrossRef]
- Jinek, M.; Jiang, F.; Taylor, D.W.; Sternberg, S.H.; Kaya, E.; Ma, E.; Anders, C.; Hauer, M.; Zhou, K.; Lin, S.; et al. Structures of Cas9 endonucleases reveal RNA-mediated conformational activation. Science 2014, 343, 1247997. [Google Scholar] [CrossRef] [Green Version]
- Nishimasu, H.; Ran, F.A.; Hsu, P.D.; Konermann, S.; Shelata, S.I.; Dohmae, N.; Ishitani, R.; Zhang, F.; Nureki, O. Crystal structure of Cas9 in complex with guide RNA and target DNA. Cell 2014, 156, 935–949. [Google Scholar] [CrossRef] [Green Version]
- Cong, L.; Ran, F.A.; Cox, D.; Lin, S.; Barretto, R.; Habib, N.; Hsu, P.D.; Wu, X.; Jiang, W.; Marraffini, L.A.; et al. Multiplex genome engineering using CRISPR/Cas systems. Science 2013, 339, 819–823. [Google Scholar] [CrossRef] [Green Version]
- Mali, P.; Yang, L.; Esvelt, K.M.; Aach, J.; Guell, M.; DiCarlo, J.E.; Julie, E.N.; Church, G.M. RNA-guided human genome engineering via Cas9. Science 2013, 339, 823–826. [Google Scholar] [CrossRef] [Green Version]
- Hrusha, A.; Krawitz, P.; Rechenberg, A.; Heinrich, V.; Hecht, J.; Haass, C.; Schmid, B. Efficient CRISPR/Cas9 genome editing with low off-target effects in zebrafish. Development 2013, 140, 4982–4987. [Google Scholar] [CrossRef] [PubMed] [Green Version]
- Friedland, A.E.; Tzur, Y.B.; Esvelt, K.M.; Colaiacovo, M.P.; Church, G.M.; Calarco, J.A. Heritable genome editing in C. elegans via a CRISPR-Cas9 system. Nat. Methods 2013, 10, 741–743. [Google Scholar]
- Zhou, H.; He, M.; Li, J.; Chen, L.; Huang, Z.; Zheng, S.; Zhu, L.; Ni, E.; Jiang, D.; Zhao, B.; et al. Development of commercial thermos-sensitive genic male sterile rice accelerates hybrid rice breeding using the CRISPR/Cas9-mediated TMS5 editing system. Sci. Rep. 2016, 6, 37395. [Google Scholar] [CrossRef] [PubMed] [Green Version]
- Qin, X.; Li, W.; Liu, Y.; Tan, M.; Ganal, M.; Chetelat, R.T. A farnesyl pyrophosphate synthase gene expressed in pollen functions in S-RNase-independent unilateral incompatibility. Plant J. 2018, 93, 417–430. [Google Scholar] [CrossRef]
- Nekrasov, V.; Staskawicz, B.; Weigel, D.; Jones, J.D.; Kamoun, S. Targeted mutagenesis in the model plant Nicotiana benthamiana using Cas9 RNA-guided endonuclease. Nat. Biotechnol. 2013, 31, 691–693. [Google Scholar] [CrossRef]
- Mao, Y.; Zhang, H.; Xu, N.; Zhang, B.; Gou, F.; Zhu, J.K. Application of the CRISPR-Cas system for efficient genome engineering in plants. Mol. Plant 2013, 6, 2008–2011. [Google Scholar] [CrossRef] [Green Version]
- Kim, Y.G.; Kim, D.H.; Park, C.G.; Yeo, J.H.; Ahn, Y.S.; Park, H.K. Effect on Breaking of Self-Incompatibility by Old-Flower Pollination, NaCl and CO2 Treatment in Astragalus membranaceus Bunge. Korean J. Plant Res. 2009, 22, 467–472. [Google Scholar]
- Lao, X.; Suwabe, K.; Niikura, S.; Kakita, M.; Iwano, M.; Takayama, S. Physiological and genetic analysis of CO2-induced breakdown of self-incompatibility in Brassica rapa. J. Exp. Bot. 2014, 65, 939–951. [Google Scholar] [CrossRef] [Green Version]
- Lv, H.; Miyaji, N.; Osabe, K.; Akter, A.; Mehraj, H.; Shea, D.J.; Fujimoto, R. The importance of genetic and epigenetic research in the Brassica vegetables in the face of climate change. In Genomic Designing of Climate-Smart Vegetable Crops; Kole, C., Ed.; Springer: Berlin/Heidelberg, Germany, 2020; pp. 161–255. [Google Scholar]
- Muñoz-Sanz, J.V.; Zuriaga, E.; Cruz-García, F.; McClure, B.; Romero, C. Self-(In) compatibility systems: Target traits for crop-production, plant breeding, and biotechnology. Front. Plant Sci. 2020, 11, 195. [Google Scholar] [CrossRef] [Green Version]
- Nasrallah, J.B.; Kao, T.H.; Goldberg, M.L.; Nasrallah, M.E. A cDNA encoding an S-locus specific glycoprotein from Brassica oleracea. Nature 1985, 318, 263–267. [Google Scholar]
- Takasaki, T.; Hatakeyama, K.; Suzuki, G.; Watanabe, M.; Isogai, A.; Hinata, K. The S receptor kinase determines self-incompatibility in brassica stigma. Nature 2000, 403, 913–916. [Google Scholar] [CrossRef] [PubMed]
- Chen, F.; Yang, Y.; Li, B.; Liu, Z.; Khan, F.; Zhang, T.; Zhou, G.; Tu, J.; Shen, J.; Yi, B.; et al. Functional analysis of M-locus protein kinase revealed a novel regulatory mechanism of self-incompatibility in Brassica napus L. Int. J. Mol. Sci. 2019, 20, 3303. [Google Scholar] [CrossRef] [PubMed] [Green Version]
- Azibi, T.; Hadj-Arab, H.; Lodé, M.; de Carvalho, J.F.; Trotoux, G.; Nègre, S.; Gilet, M.M.; Boutte, J.; Lucas, J.; Vekemans, X.; et al. Impact of whole genome triplication on the evolutionary history and the functional dynamics of regulatory genes involved in Brassica self-incompatibility signalling pathway. Plant Reprod. 2020, 33, 43–58. [Google Scholar] [CrossRef]
- Dou, S.; Zhang, T.; Tu, J.; Shen, J.; Yi, B.; Wen, J.; Fu, T.; Dai, C.; Ma, C. Generation of novel self-incompatible Brassica napus by CRISPR/Cas9. Plant Biotechnol. J. 2021, 19, 875. [Google Scholar] [CrossRef] [PubMed]
- Tung, H.L.; Alemany, S.; Cohen, P. The protein phosphatases involved in cellular regulation: 2. Purification, subunit structure and properties of protein phosphatases-2Ao, 2A1, and 2A2 from rabbit skeletal muscle. Eur. J. Biochem. 1985, 148, 253–263. [Google Scholar] [CrossRef]
- Seshacharyulu, P.; Pandey, P.; Datta, K.; Batra, S.K. Phosphatase: PP2A structural importance, regulation and its aberrant expression in cancer. Cancer Lett. 2013, 335, 9–18. [Google Scholar] [CrossRef] [PubMed] [Green Version]
- Cohen, P. The structure and regulation of protein phosphatases. Annu. Rev. Biochem. 1989, 58, 453–508. [Google Scholar] [CrossRef]
- Mayer-Jaekel, R.E.; Hemmings, B.A. Protein phosphatase 2A−a ‘menage a trois’. Trends Cell Biol. 1994, 4, 287–291. [Google Scholar] [CrossRef]
- Smith, R.D.; Walker, J.C. Plant protein phosphatases. Annu. Rev. Plant Biol. 1996, 47, 101–125. [Google Scholar] [CrossRef] [Green Version]
- Luan, S. Protein phosphatases in plants. Annu. Rev. Plant Biol. 2003, 54, 63–92. [Google Scholar] [CrossRef]
- MacKintosh, C.; Cohen, P. Identification of high levels of type 1 and type 2A protein phosphatases in high levels of type 1 and type 2A protein phosphatases in higher plants. Biochem. J. 1989, 262, 335–339. [Google Scholar] [CrossRef] [Green Version]
- Jagiello, I.; Donella-Deana, A.; Szczegielnia, J.; Pinna, L.A.; Muszyńska, G. Identification of protein phosphatase activities in maize seedlings. Biochim. Biophys. Acta—Mol. Cell Res. 1992, 1134, 129–136. [Google Scholar] [CrossRef]
- Bialojan, C.; Takai, A. Inhibitory effect of a marine-sponge toxin, okadaic acid, on protein phosphatases. Biochem. J. 1988, 256, 283–290. [Google Scholar] [CrossRef] [PubMed]
- Scutt, C.P.; Fordham-Skelton, A.P.; Croy, R.R.D. Okadaic acid causes breakdown of self-incompatibility in Brassica oleracea: Evidence for the involvement of protein phosphatases in the incompatible response. Sex. Plant Reprod. 1993, 6, 282–285. [Google Scholar] [CrossRef]
- Lee, G.H.; Shin, N.R.; Park, Y.D. Reverse genetics analysis of the 55-kDa B regulatory subunit of 2A serine/threonine protein phosphatase (PP2A) related to self-incompatibility in Chinese cabbage. Hortic. Sci. Technol. 2020, 61, 127–137. [Google Scholar] [CrossRef]
- Yu, S.G.; Cho, N.H.; Kim, J.H.; Oh, T.R.; Kim, W.T. Suppression of DRR1 results in the accumulation of insoluble ubiquitinated proteins, which impairs drought stress tolerance. J. Integr. Plant Biol. 2021, 63, 431–437. [Google Scholar] [CrossRef] [PubMed]
- Son, G.H.; Moon, J.; Shelake, R.M.; Vuong, U.T.; Ingle, R.A.; Gassmann, W.; Kim, J.Y.; Kim, S.H. Conserved Opposite Functions in Plant Resistance to Biotrophic and Necrotrophic Pathogens of the Immune Regulator SRFR1. Int. J. Mol. Sci. 2021, 22, 6427. [Google Scholar] [CrossRef] [PubMed]
- Wu, M.; Liu, H.; Lin, Y.; Chen, J.; Fu, Y.; Lou, J.; Wang, F. In-frame and frame-shift editing of the EHd1 gene to develop ja-ponica rice with prolonged basic vegetative growth periods. Front. Plant Sci. 2020, 11, 307. [Google Scholar] [CrossRef] [Green Version]
- Fan, D.; Liu, T.; Li, C.; Jiao, B.; Li, S.; Hou, Y.; Luo, K. Efficient CRISPR/Cas9-mediated targeted mutagenesis in Populus in the first generation. Sci. Rep. 2015, 5, 1–7. [Google Scholar] [CrossRef]
- Enciso-Rodriguez, F.; Manrique-Carpintero, N.C.; Nadakuduti, S.S.; Buell, C.R.; Zarka, D.; Douches, D. Overcoming self-incompatibility in diploid potato using CRISPR-Cas9. Front. Plant Sci. 2019, 10, 376. [Google Scholar] [CrossRef] [PubMed]
- Xu, Z.S.; Feng, K.; Xiong, A.S. CRISPR/Cas9-mediated multiply targeted mutagenesis in orange and purple carrot plants. Mol. Biotechnol. 2019, 61, 191–199. [Google Scholar] [CrossRef] [PubMed]
- Doll, N.M.; Gilles, L.M.; Gérentes, M.F.; Richard, C.; Just, J.; Fierlej, Y.; Borrelli, V.M.G.; Gendrot, G.; Ingram, G.C.; Rogowsky, P.M.; et al. Single and multiple gene knockouts by CRISPR–Cas9 in maize. Plant Cell Rep. 2019, 38, 487–501. [Google Scholar] [CrossRef] [PubMed]
- Ren, C.; Liu, Y.; Guo, Y.; Duan, W.; Fan, P.; Li, S.; Liang, Z. Optimizing the CRISPR/Cas9 system for genome editing in grape by using grape promoters. Hortic. Res. 2021, 8, 1–12. [Google Scholar] [CrossRef] [PubMed]
- Ma, C.; Liu, M.; Li, Q.; Si, J.; Ren, X.; Song, H. Efficient BoPDS gene editing in cabbage by the CRISPR/Cas9 system. Hortic. Plant J. 2019, 5, 164–169. [Google Scholar]
- Lopez-obando, M.; Hoffmann, B.; Géry, C.; Guyon-Debast, A.; Téoulé, E.; Rameau, C.; Bonhomme, S.; Nogué, F. Simple and efficient targeting of multiple genes through CRISPR-Cas9 in physcomitrella patens. G3 Genes Genomes Genet. 2016, 6, 3647–3653. [Google Scholar] [CrossRef] [Green Version]
- Shan, S.; Soltis, P.S.; Soltis, D.E.; Yang, B. Considerations in adapting CRISPR/Cas9 in nongenetic model plant systems. Appl. Plant Sci. 2020, 8, e11314. [Google Scholar] [CrossRef]
- Pramanik, D.; Shelake, R.M.; Park, J.; Kim, M.J.; Hwang, I.; Park, Y.; Kim, J.Y. CRISPR/Cas9-mediated generation of pathogen-resistant tomato against tomato yellow leaf curl virus and powdery mildew. Int. J. Mol. Sci. 2021, 22, 1878. [Google Scholar] [CrossRef]
- Elorriaga, E.; Klocko, A.L.; Ma, C.; Strauss, S.H. Variation in mutation spectra among CRISPR/Cas9 mutagenized poplars. Front. Plant Sci. 2018, 9, 594. [Google Scholar] [CrossRef] [Green Version]
- Zhang, J.; Guo, D.; Chang, Y.; You, C.; Li, X.; Dai, X.; Weng, Q.; Zhang, J.; Chen, G.; Li, X.; et al. Non-random distribution of T-DNA insertions at various levels of the genome hierarchy as revealed by analyzing 13 804 T-DNA flanking sequences from an enhancer-trap mutant library. Plant J. 2007, 9, 947–959. [Google Scholar] [CrossRef]
- Pla, M. Insert stability and transgenic plant risk. In Encyclopedia of Biotechnology in Agriculture and Food; CRC Press Inc.: London, UK, 2012. [Google Scholar]
- Forsbach, B.; Schubert, D.; Lechtenberg, B.; Gils, M.; Schmidt, R. A comprehensive characterization of single copy T-DNA insertions in the Arabidopsis thaliana genome. Plant Mol. Biol. 2003, 52, 161–176. [Google Scholar] [CrossRef]
- Peterson, B.A.; Haak, D.C.; Nishimura, M.T.; Teixeira, P.J.P.L.; James, S.R.; Dangl, J.L.; Nimchuk, Z.L. Genome-wide assessment of efficiency and specificity in CRISPR/Cas9 mediated multiple site targeting in Arabidopsis. PLoS ONE 2016, 11, e0162169. [Google Scholar] [CrossRef] [PubMed]
- Hahn, F.; Nekrasov, V. CRISPR/Cas precision: Do we need to worry about off-targeting in plants? Plant Cell Rep. 2018, 38, 437–441. [Google Scholar] [CrossRef] [PubMed] [Green Version]
- Tripathi, L.; Ntui, V.O.; Tripathi, J.N. RNA interference and CRISPR/Cas9 applications for virus resistance. In CRISPR and RNAi Systems: Nanobiotechnology Approaches to Plant Breeding and Protection; Elsevier: Amsterdam, The Netherlands, 2021; pp. 162–182. [Google Scholar]
- Nishihara, M.; Higuchi, A.; Watanabe, A.; Tasaki, K. Application of the CRISPR/Cas9 system for modification of flower color in Torenia fournieri. BMC Plant Biol. 2018, 18, 1–9. [Google Scholar] [CrossRef] [PubMed] [Green Version]
- Charrier, A.; Vergne, E.; Dousset, N.; Richer, A.; Petiteau, A.; Chevreau, E. Efficient targeted mutagenesis in apple and first time edition of pear using the CRISPR-Cas9 system. Front. Plant Sci. 2019, 10, 40. [Google Scholar] [CrossRef] [Green Version]
- Zhou, E.; Zhang, Y.; Wang, H.; Jia, Z.; Wang, X.; Wen, J.; Shen, J.; Fu, T.; Yi, B. Identification and Characterization of the MIKC-Type MADS-Box Gene Family in Brassica napus and Its Role in Floral Transition. Int. J. Mol. Sci. 2022, 23, 4289. [Google Scholar] [CrossRef]
- Martínez, M.I.S.; Bracuto, V.; Koseoglou, E.; Appiano, M.; Jacobsen, E.; Visser, R.G.; Wolters, A.M.A.; Bai, Y. CRISPR/Cas9-targeted mutagenesis of the tomato susceptibility gene PMR4 for resistance against powdery mildew. BMC Plant Biol. 2020, 20, 1–13. [Google Scholar]
- Navet, N.; Tian, M.Y. Efficient targeted mutagenesis in allotetraploid sweet basil by CRISPR/Cas9. Plant Direct 2020, 4, e00233. [Google Scholar] [CrossRef]
- Wan, D.Y.; Guo, Y.; Cheng, Y.; Hu, Y.; Xiao, S.; Wang, Y.; Wen, Y.Q. CRISPR/Cas9-mediated mutagenesis of VvMLO3 results in enhanced resistance to powdery mildew in grapevine (Vitis vinifera). Hort. Res. 2020, 7, 116. [Google Scholar] [CrossRef]
- Kim, H.R.; Kim, S.T.; Ryu, J.H.; Choi, M.K.; Kweon, J.Y.; Kang, B.C.; Ahn, H.M.; Bae, S.J.; Kim, J.G.; Kim, J.S.; et al. A simple, flexible and high-throughput cloning system for plant genome editing via CRISPR-Cas system. J. Integr. Plant Biol. 2016, 58, 705–712. [Google Scholar] [CrossRef]
- Jyothishwaran, G.; Kotresha, D.; Selvaraj, T.; Srideshikan, S.H.; Rajvanshi, P.K.; Jayabaskaran, C. A modified freeze-thaw method for efficient transformation of Agrobacterium tumefaciens. Curr. Sci. 2007, 93, 770–772. [Google Scholar]
- Murashige, T.; Skoog, F. A revised medium for rapid growth and bio assays with tobacco tissue cultures. Physiol. Plant 1962, 15, 473–497. [Google Scholar] [CrossRef]
- Lee, M.K.; Kim, H.S.; Kim, J.S.; Kim, S.H.; Park, Y.D. Agrobacterium-mediated transformation system for large-scale producion of transgenic Chinese cabbage (Brassica rapa L. ssp. pekinensis) plants for insertional mutagenesis. J. Plant Biol. 2004, 47, 300–306. [Google Scholar] [CrossRef]
- McCouch, S.R.; Kochert, G.; Yu, Z.H.; Wang, Z.Y.; Khush, G.S.; Coffman, W.R.; Tanksley, S.D. Molecular mapping of rice chromosomes. Theor. Appl. Genet. 1988, 76, 815–829. [Google Scholar] [CrossRef] [PubMed]
Publisher’s Note: MDPI stays neutral with regard to jurisdictional claims in published maps and institutional affiliations. |
© 2022 by the authors. Licensee MDPI, Basel, Switzerland. This article is an open access article distributed under the terms and conditions of the Creative Commons Attribution (CC BY) license (https://creativecommons.org/licenses/by/4.0/).






