Abstract
CDKL5 deficiency disorder (CDD) is an X-linked neurodevelopmental disorder characterised by early-onset drug-resistant epilepsy and impaired cognitive and motor skills. CDD is caused by mutations in cyclin-dependent kinase-like 5 (CDKL5), which plays a well-known role in regulating excitatory neurotransmission, while its effect on neuronal inhibition has been poorly investigated. We explored the potential role of CDKL5 in the inhibitory compartment in Cdkl5-KO male mice and primary hippocampal neurons and found that CDKL5 interacts with gephyrin and collybistin, two crucial organisers of the inhibitory postsynaptic sites. Through molecular and electrophysiological approaches, we demonstrated that CDKL5 loss causes a reduced number of gephyrin puncta and surface exposed γ2 subunit-containing GABAA receptors, impacting the frequency of miniature inhibitory postsynaptic currents, which we ascribe to a postsynaptic function of CDKL5. In line with previous data showing that CDKL5 loss impacts microtubule (MT) dynamics, we showed that treatment with pregnenolone-methyl-ether (PME), which promotes MT dynamics, rescues the above defects. The impact of CDKL5 deficiency on inhibitory neurotransmission might explain the presence of drug-resistant epilepsy and cognitive defects in CDD patients. Moreover, our results may pave the way for drug-based therapies that could bypass the need for CDKL5 and provide effective therapeutic strategies for CDD patients.
1. Introduction
Mutations in the X-linked cyclin-dependent kinase-like 5 (CDKL5) gene cause a severe neurodevelopmental disorder (Early Infantile Epileptic Encephalopahty, OMIM 300672), commonly referred to as CDKL5 deficiency disorder (CDD). CDD patients are characterised by intellectual disability, autistic features and drug-resistant epilepsy that normally manifest within the first three months of age [1]. CDKL5 is mutated in approximately 1:50.000 live births, making CDD one of the most frequent causes of genetic epilepsy.
CDKL5 is a serine-threonine kinase that is highly abundant in the brain and whose expression peaks in the first postnatal weeks [2]. The constitutive loss of CDKL5 in CDD mouse models causes impaired learning and memory, altered locomotion and autistic-like features [3,4,5,6]. Spontaneous epilepsy has only recently been observed in aged heterozygous female mice [7,8] and in male mice harbouring the conditional knock-out (KO) of Cdkl5 in glutamatergic forebrain neurons [9].
Various studies of Cdkl5 mouse models and CDKL5 deficient primary neurons converge on the role of CDKL5 in regulating excitatory neurotransmission [6]. Indeed, CDKL5 interacts with the scaffolding protein PSD95, and CDKL5 deficient neurons are characterised by morphological and molecular alterations linked to excitatory synapses [10,11,12]. These defects depend in part on altered microtubule (MT) dynamics leading to the impaired invasion of MTs into dendritic spines and reduced spine maturation. Indeed, we previously demonstrated that CDKL5 regulates the MT-binding of the plus-end tracking protein CLIP170, thus impacting MT dynamics [13,14,15]. Importantly, the modulation of MT dynamics in vitro and in vivo, mediated by treatment with the pregnenolone analogue pregnenolone-methyl-ether (PME), which promotes CLIP170 functioning, can restore several CDKL5-related defects, including spine maturation, expression of synaptic proteins and hippocampal-dependent learning and memory [13,14,15].
Notwithstanding the importance of maintaining a proper excitation/inhibition balance, the possible role of CDKL5 in regulating inhibitory neurotransmission has ‘til now been rather neglected. Mice with the conditional inactivation of Cdkl5 in their glutamatergic forebrain neurons display altered miniature inhibitory synaptic currents (mIPSCs) [16], but a molecular basis for such a defect is still unknown.
Here, we report that CDKL5 interacts with the inhibitory postsynaptic scaffolding complex containing gephyrin and collybistin (CB) and show that CDKL5 loss leads to reduced levels and functioning of the γ2 subunit-containing γ-aminobutyric acid type A receptors (GABAAR) in vitro and in vivo. GABAARs are heteropentameric Cl− permeable channels, generally composed of two α- and two β-subunits and a single γ- or δ-subunit [17]. Typically, synaptic GABAARs, which mediate phasic inhibition upon presynaptic GABA release, contain a γ-subunit; contrariwise, the extrasynaptic receptor complexes that mediate tonic inhibition as a response to low ambient GABA levels contain the δ-subunit [18]. Surface levels of synaptic GABAARs depend on a complex and dynamic regulation including transport, recycling and stabilisation, of which the latter relies on a scaffolding complex containing gephyrin and CB [19].
Alterations in any of the components linked to inhibitory neurotransmission are associated with various neurodevelopmental disorders characterised by cognitive defects, autism-like features and epilepsy [20]. The pharmacological targeting of the GABAergic system, based both on the allosteric modulation of GABAAR subtypes and on the functional control of GABAAR-associated proteins, represents an important interventional strategy against epilepsy and other clinical manifestations linked to the altered GABAAR levels or functioning [21].
We here show that treatment with PME can restore GABAAR γ2 expression and functioning in primary Cdkl5-KO neurons. Importantly, we also find that the synaptic GABAAR subunit γ2 is significantly reduced in hippocampi of Cdkl5-KO mice, but that its levels are normalised to those of WT animals upon treatment with PME. Altogether, these data suggest that CDKL5, through its interaction with the inhibitory scaffolding complex, regulates synaptic GABAAR levels and, importantly, that altered membrane insertion of GABAARs can be restored by the targeting of MT dynamics.
2. Results
2.1. CDKL5 Interacts with the Gephyrin-Collybistin Complex and Regulates the Number of Postsynaptic Gephyrin Clusters
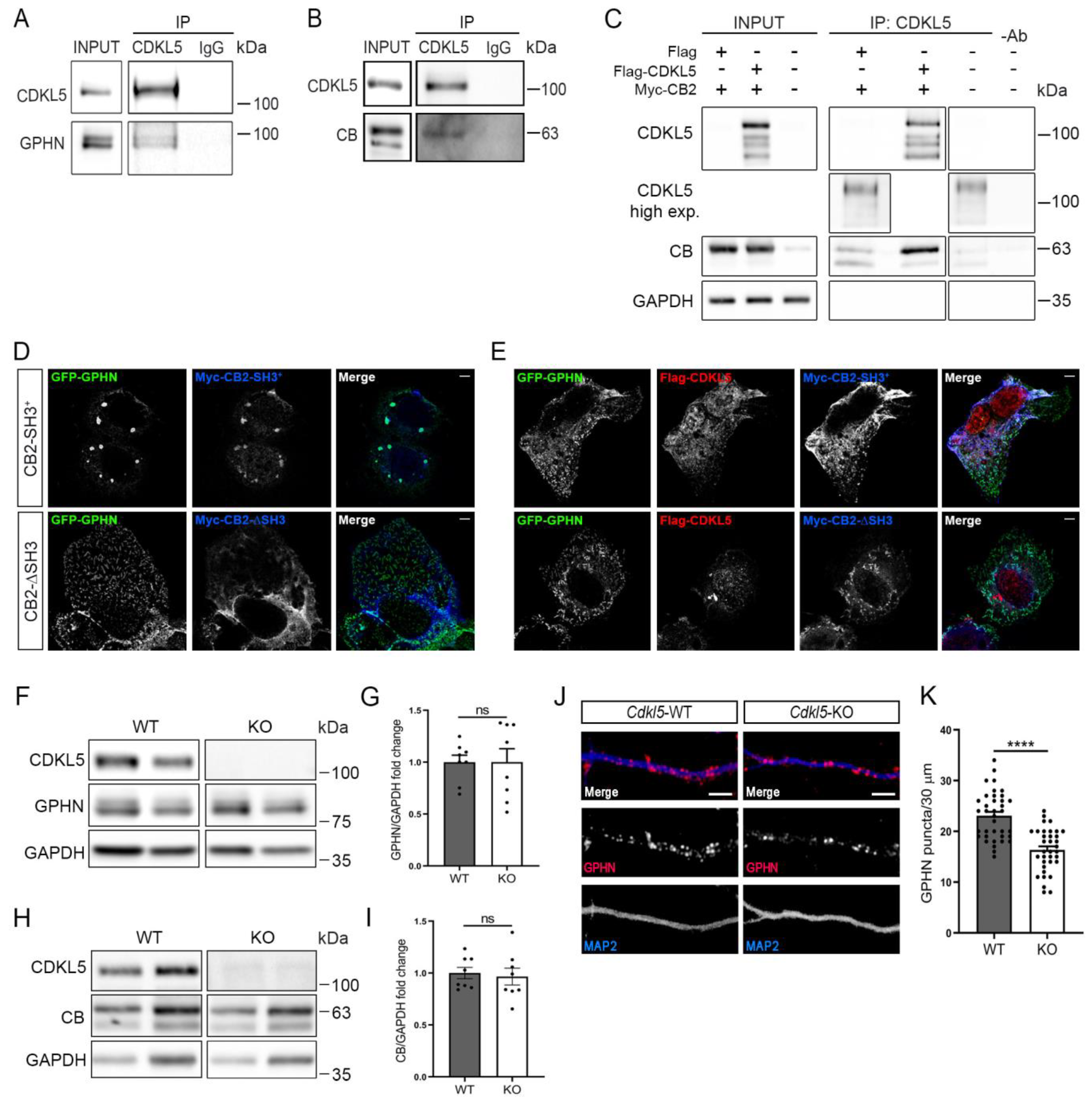
To investigate the possible role of CDKL5 at the inhibitory synapses, we examined its interaction with gephyrin and CB, two proteins playing a fundamental role in the organisation of the postsynaptic sites of these synapses. To this aim, brain lysates of young mice at postnatal day 20–30 (PND20-30) were used to immunoprecipitate CDKL5 using IgGs as negative control; through the subsequent western blotting (WB), both gephyrin and CB could be detected in the CDKL5 immunocomplexes (Figure 1A,B). We further confirmed the interaction in a heterologous system expressing Flag-tagged CDKL5 in HEK293T cells together with the Myc-tagged CB2 isoform (Figure 1C). Upon immunoprecipitation of CDKL5, allowing the precipitation of both exogenous and endogenous CDKL5, overexpressed CB2 could easily be detected through WB analysis. Interestingly, the weakly expressed endogenous CB could also be detected as interacting with endogenous CDKL5 that was visible upon a higher exposure of the membrane. These results confirm a recent report by Uezu et al. [22] in which CB was identified as a direct interactor of CDKL5 through a chemical-genetic proximity-labelling approach.
Figure 1.
CDKL5 interacts with the gephyrin-collybistin complex. (A,B) Representative WBs showing the coimmuniprecipitation of CDKL5 and gephyrin (GPHN; A) or collybistin (CB; B) from PND20-30 mouse brain lysates. Unrelated IgGs were used as negative control. Whole brain lysate (input; 2.5%) and immunocomplexes were analysed through WB with antibodies against CDKL5, GPHN (A) and CB (B). n = 3. (C) Flag-CDKL5 was expressed in HEK293T cells together with Myc-CB2 and immunoprecipitated with a monoclonal anti-CDKL5 antibody. Whole cell lysates (input; 3%) and immunoprecipitated proteins were analysed through WB using antibodies against CDKL5, CB and, as loading control, GAPDH. n = 3. (D,E) Representative confocal images of COS7 cells expressing GFP-tagged gephyrin (GFP-GPHN, green) and Myc-CB2-SH3+ or Myc-CB2-∆SH3 (blue) together with Flag-CDKL5 (red). Scale bar: 5 µm. (F,H) Representative WB of whole cell lysates of Cdkl5-WT/KO primary hippocampal neurons at DIV14. Antibodies against GPHN and CB were used together with anti-CDKL5 and, as loading control, GAPDH. (G,I) The graphs show the quantification of normalised GPHN (G) and CB (I) levels. n = 8 biological replicates. Mean ± SEM. Not significant (ns), p > 0.05. Unpaired Student’s t-test. (J) Representative images of DIV14 Cdkl5-WT/KO hippocampal neurons stained with antibodies against GPHN (red) and the dendritic marker MAP2 (blue). Scale bar, 5 μm. (K) Graph showing the quantification of GPHN puncta along 30 μm long segments. n = 7 biological replicates, N = 37/35 WT/KO neurons. Mean ± SEM. **** p < 0.0001. Unpaired Student’s t-test.
Gephyrin is a key protein in the organisation of inhibitory synapses through the formation of submembranous clusters that regulate the accumulation of GABAARs at the postsynaptic sites [23]. The accumulation of gephyrin under the cell membrane depends on the guanine nucleotide exchange factor CB that can recruit gephyrin to the postsynaptic sites. CB exists in a closed inactive conformation, which depends on its N-terminal SH3 domain [24]. When GFP-tagged gephyrin is expressed together with the SH3-containing CB2 derivative (CB2-SH3+) in a heterologous system, it therefore accumulates in cytoplasmic deposits (Figure 1D), whereas deletion of the SH3 domain (CB-∆SH3) renders CB constitutively active, leading to the translocation of gephyrin to submembranous microaggregates. Interestingly, the exogenous expression of Flag-tagged CDKL5 in cells expressing CB2-SH3+ causes GFP-gephyrin to accumulate under the cell membrane, suggesting that CDKL5 is capable of activating CB through the interaction of the two proteins (Figure 1E).
We further evaluated whether CDKL5 loss influences the total levels of gephyrin or CB in neurons. WB analyses on neuronal lysates from primary hippocampal cultures of Cdkl5-WT and -KO neurons, cultured for 14 days in vitro (DIV), did not reveal any changes in the expression of either gephyrin or CB (Figure 1F–I). We next examined whether CDKL5 loss affects the capacity of gephyrin to form the typical submembranous clusters in primary hippocampal neurons. Interestingly, we observed a significantly reduced number of gephyrin puncta in the dendritic segments of Cdkl5-KO neurons (Figure 1J,K). The interaction of CDKL5 with the gephyrin-CB complex, together with the reduced number of gephyrin clusters in Cdkl5-KO neurons, indicate that CDKL5 might play a hitherto undescribed role in the organisation of the postsynaptic sites of inhibitory synapses.
2.2. CDKL5 Loss Affects the Membrane Levels of γ2 Subunit-Containing GABAARs and Impairs mIPSCs
Gephyrin deficiency impacts the surface accumulation of γ2-containing GABAARs [25,26,27]. We therefore speculated that the reduced number of gephyrin clusters in Cdkl5-KO neurons might influence the cell-surface expression of the GABAAR subunit γ2. To address this, we performed a cell-surface biotinylation assay. Briefly, upon biotinylation of hippocampal neurons, labelled proteins were affinity purified, and the amount of the synaptic GABAAR subunit γ2 was analysed through WB in parallel with a fraction of the total cell extract (Figure 2A). The proportion of the total receptor pool that resides in the neuronal surface was determined by quantifying the ratio of the biotinylated fraction (surface) over the amount in the total lysate (total). As control of the biotinylation procedure, we verified that the cytoplasmic protein GAPDH was barely present in the pool of affinity-purified proteins. As illustrated in the graph in Figure 2B, we found that Cdkl5-KO neurons displayed reduced surface levels of the γ2 subunit, whereas its total levels were unaltered (Figure 2C,D). We further examined the surface expression of the γ2 subunit through the immunofluorescence staining of hippocampal Cdkl5-WT and -KO neurons performed under non-permeabilising conditions. In accordance with the biotinylation experiment, Cdkl5-KO neurons displayed significantly reduced surface levels of the γ2 subunit (Figure 2E,F).
Figure 2.
CDKL5 loss affects surface expression of synaptic GABAARs in primary hippocampal neurons. (A) Representative WB of a biotinylation experiment on Cdkl5-WT/KO primary hippocampal neurons at DIV14. Levels of GABAAR subunit γ2 were analysed together with GAPDH in the surface fraction, obtained from 500 µg of lysate, and in 30 µg of whole cell lysate. (B) Graph showing the ratio of surface/total levels of GABAAR γ2. N = 5 biological replicates. Mean ± SEM * p < 0.05. Unpaired Student’s t-test. (C) Representative WB analysis of whole cell lysates of Cdkl5-WT/KO primary hippocampal neurons at DIV14. GAPDH was used as loading control. (D) Graph showing the quantification of normalised GABAAR γ2 levels. N = 8 biological replicates. Mean ± SEM ns, p > 0.05. Unpaired Student’s t-test. (E) Surface exposed GABAAR γ2 (green, sGABAAR γ2) was detected through immunostaining of Cdkl5-WT/KO primary hippocampal neurons at DIV14 under non-permeabilising conditions. MAP2 (blue) was used as dendritic marker. Scale bar, 5 µm. (F) Graph showing the quantification of the fluorescence intensity of sGABAAR γ2 staining of 30 µm long dendritic segments. n = 6 biological replicates, N = 33/42 WT/KO neurons. Mean ± SEM **** p < 0.0001. Unpaired Student’s t-test.
To evaluate the functional consequences of the reduced levels of the γ2-containing GABAARs on the neuronal surface, we measured mIPSCs from Cdkl5-WT and -KO hippocampal neurons at DIV14. Notably, in Cdkl5-KO neurons, mIPSCs were less frequent, while the amplitude was unaltered (Figure 3A–C). The reduced frequency of mIPSCs points to possible presynaptic deficits in the Cdkl5-KO neurons, and we therefore analysed the presynaptic markers bassoon and vesicular GABA transporter (VGAT). Bassoon is localised at the active zone of both excitatory and inhibitory presynaptic terminals, while VGAT is specific for the inhibitory presynaptic sites. Immunofluorescence staining showed reduced numbers of both bassoon and VGAT puncta in Cdkl5-KO hippocampal neurons (Figure 3D–G).
Figure 3.
CDKL5 loss leads to a reduction in the frequency of mIPSCs and in presynaptic inhibitory markers. (A) Representative traces of mIPSCs recorded from Cdkl5-WT/KO primary hippocampal neurons at DIV14 patching at +10 mV. (B,C) Graphs showing mIPSC frequency (B) and amplitude (C) in Cdkl5-WT/KO cultures. n = 3 biological replicates; frequency: N = 16/11 WT/KO neurons. Mean ± SEM * p < 0.05, not significant (ns), p > 0.05. mIPSC frequency: Mann Whitney U test; mIPSC amplitude: Unpaired Student’s t-test. (D,F) Representative images of Cdkl5-WT/KO neurons at DIV14 stained for Bassoon (red, D), VGAT (green, F) and MAP2 (blue). Scale bar, 5 μm. (E,G) Graphs showing the quantification of bassoon and VGAT puncta along 30 μm long dendritic segments. Bassoon: n = 7 biological replicates, N = 40/44 neurons. VGAT: n = 3 biological replicates, N = 30/26 neurons. Mean ± SEM ** p < 0.01, **** p < 0.0001. Unpaired Student’s t-test. (H) Representative traces of mIPSCs recorded from CDKL5-silenced neurons (shCDKL5) and controls (shLacZ). Neurons were transfected with GFP-expressing shRNA vectors at DIV11 and mIPSCs were recorded at DIV14 patching at +10 mV. (I,J) Graphs showing mIPSC frequency (I) and amplitude (J) upon acute CDKL5-silencing. n = 3 biological replicates; N = 11/16 shLacZ/shCDKL5 neurons. Mean ± SEM * p < 0.05; ns, p > 0.05. Unpaired Student’s t-test.
The interaction of CDKL5 with the postsynaptic scaffolding proteins led us to test whether the ablation of CDKL5 at the postsynaptic site would be sufficient to generate the observed reduction in mIPSC frequency. We therefore recorded the mIPSCs in neurons transfected with a construct expressing a short-hairpin RNA specific for CDKL5 (shCDKL5) or, as control, against LacZ (shLacZ). Transfected neurons are easily detectable thanks to the concomitant expression of GFP from these vectors; moreover, due to the low transfection efficiency (below 5%), the synaptic input to transfected neurons is generated from non-silenced cells. Interestingly, the mIPSC frequency was reduced in shCDKL5 neurons as compared to the shLacZ controls (Figure 3H–J), thus supporting a postsynaptic CDKL5-dependent effect on presynaptic inputs.
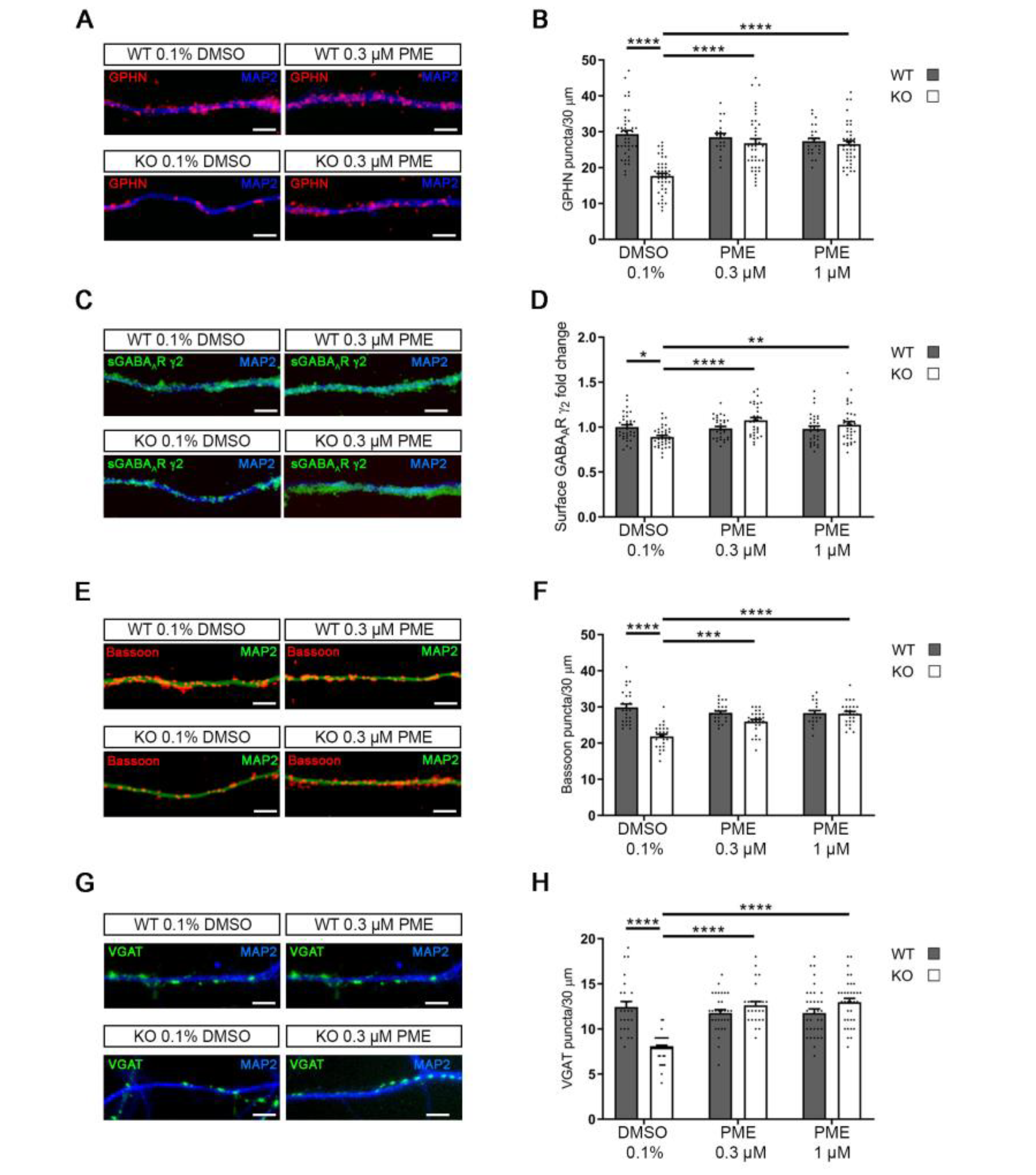
2.3. GABAergic Defects in Cdkl5-KO Neurons Are Normalised upon Treatment with PME
The presence of GABAARs on the neuronal membrane is determined by the dynamic balance of delivery, recycling and degradation, which altogether depends on complex regulatory mechanisms involving the interaction of various proteins, including gephyrin, with MTs [28,29]. We previously showed that various neuronal defects linked to CDKL5 deficiency in vitro and in vivo can be restored through treatment with PME, which promotes MT dynamics [13,14,15]. We therefore found it intriguing to analyse whether the treatment of Cdkl5-KO neurons with PME could restore the observed defects at the inhibitory synapse. Cdkl5-WT and -KO neurons were treated with 0.3 and 1 µM PME at DIV11 and stained at DIV14 for gephyrin, GABAAR γ2, bassoon or VGAT (Figure 4A–H). Whereas treatment with PME affected neither of the pre- and postsynaptic markers in WT neurons, we observed a significant effect already with 0.3 µM of PME in Cdkl5-KO neurons. Indeed, at the postsynaptic site, both the gephyrin and the GABAAR γ2 levels were restored to those in WT neurons (Figure 4A–D); a similar positive effect was observed also with the presynaptic markers bassoon and VGAT (Figure 4E–H). In line with this, treatment with PME could also normalise the frequency of mIPSCs in Cdkl5-KO neurons, whereas no effect was observed on the amplitude (Figure 4I–K).

Figure 4.
Treatment with PME normalises CDKL5-dependent inhibitory synaptic defects. (A,C,E,G) Representative images of Cdkl5-WT/KO primary hippocampal neurons stained for MAP2 together with gephyrin (GPHN, red; A), GABAAR γ2 (green, C), bassoon (red, E) or VGAT (green, G) upon treatment with 0.3 or 1 µM of PME or vehicle (0.1% DMSO) at DIV11 for 72 h. Scale bar, 5 µm. (B,D,F,H) Graphs showing the quantification of GPHN puncta (B), sGABAAR γ2 fluorescence intensity (D), bassoon puncta (F), VGAT puncta (H) along 30 µm long dendritic segments. GPHN: n = 6 biological replicates, N ≥ 19 neurons; sGABAAR γ2: n ≥ 5 biological replicates, N ≥ 32 neurons; bassoon: n = 3 biological replicates, N ≥ 20 neurons; VGAT: n = 3 biological replicates, N ≥ 25 neurons. Mean ± SEM * p < 0.05; ** p < 0.01; *** p < 0.001; **** p < 0.0001. Two-way ANOVA, followed by Tukey’s post-hoc. (I) Representative traces of mIPSCs in Cdkl5-WT and -KO primary hippocampal neurons treated as indicated with either vehicle (0.1% DMSO) or 0.3 µM PME for 72 h starting at DIV11. (J,K) Graphs showing mIPSC frequency (J) and amplitude (K) of Cdkl5-WT and -KO neurons treated as indicated. n = 3 biological replicates, N ≥ 22. Mean ± SEM. mIPSC frequency: *** p < 0.001, **** p < 0.0001. Kruskal-Wallis test, followed by Dunn’s multiple comparisons test. mIPSC amplitude: ns, p > 0.05. One-way ANOVA, followed by Tukey’s post-hoc.
By treating symptomatic Cdkl5-KO mice with PME, we previously found that CDKL5-related hippocampal-dependent behavioural and excitatory synaptic defects benefit from increased MT dynamics in vivo [15]. Intrigued by the positive effect of PME on inhibitory synapses in vitro, we proceeded to evaluate its effect in vivo, also. With this aim, we subjected hippocampal sections of Cdkl5-WT and -KO mice treated with 10 mg/kg of PME for 7 days (starting at PND60) to immunofluorescence staining against GABAAR γ2. As shown in Figure 5 we observed a dramatic decrease in the density of GABAAR γ2 clusters in the dentate gyrus of the vehicle-treated Cdkl5-KO mice with respect to the WT mice; interestingly, upon treatment with PME, the number of GABAAR γ2 clusters was similar between the two genotypes.
Figure 5.
Reduced levels of synaptic GABAAR γ2 in hippocampi of Cdkl5-KO mice are normalised upon treatment with PME. (A) Hippocampal slices (dentate gyrus) from Cdkl5-WT/KO male mice treated with PME (10 mg/kg, s.c. for seven days starting from PND60) or sesame oil (vehicle) were stained for GABAAR γ2. Scale bar, 5 µm. (B) Representative image of a hippocampal section stained with the nuclear dye DAPI. Images from the molecular layer (MOL) of the dentate gyrus (DG) were used for the analyses shown in panels A and C. (C) Graph showing the quantification of GABAAR γ2 clusters/100 µm2. n ≥ 3. Mean±SEM, ** p < 0.01, *** p < 0.001. Two-way ANOVA followed by Tukey’s post-hoc.
3. Discussion
In this study, we investigated the possible role of CDKL5 in the inhibitory synapse. Beyond the well-established role of CDKL5 at glutamatergic synapses, the results of this study reveal a hitherto undescribed function of CDKL5 in the inhibitory compartment. Our results suggest that CDKL5, through its interaction with the inhibitory scaffolding complex containing gephyrin and CB, regulates membrane levels of synaptic γ2-containing GABAARs. Deranged GABAAR levels are frequently linked to cognitive deficits and epilepsy, and we speculate that our results may help in explaining the seizure phenotype observed in CDD patients.
3.1. CDKL5 Deficiency Leads to Dysfunctions in the Inhibitory Synapse
GABAARs are ion channels permeable to chloride and bicarbonate ions and are, in the mammalian CNS, localised at postsynaptic inhibitory specialisations or at extrasynaptic sites, where they mediate inhibitory neurotransmission [29,30].
Herein, we analysed the synaptic GABAARs, focusing our attention on the γ2 subunit, which is the most abundant GABAAR subunit in the rat brain [17]. Our immunofluorescence analyses showed a significant reduction of GABAAR γ2 surface expression in both the hippocampal neurons and hippocampal slices of Cdkl5-KO mice. This defect was corroborated by biochemical approaches. Indeed, through the highly sensitive cell-surface biotinylation assay, we showed that the absence of CDKL5 influenced surface levels of γ2-containing GABAARs in primary cultures of Cdkl5-KO neurons. Since the absence of CDKL5 did not affect the total levels of the GABAAR γ2 subunit, the reduced surface levels might be a consequence of an altered transport or recycling.
The cell membrane distribution of synaptic GABAARs is dynamically regulated through various mechanisms, including the subsynaptic scaffolding factor gephyrin, which binds and clusters synaptic GABAARs at sites directly opposite to GABA-releasing axon terminals [23]. Through in vitro and ex vivo immunoprecipitation experiments, we found that CDKL5 forms a complex with both CB and gephyrin. Furthermore, the reduction of surface expressed synaptic GABAARs was accompanied by a reduction in the number of gephyrin-positive puncta in the Cdkl5-KO primary cultures.
The molecular interaction between CDKL5 and the cytoplasmic CB-gephyrin complex is likely a key mechanism through which CDKL5 exerts its control on synaptic GABAARs. In particular, gephyrin takes part in the aggregation, but not in the surface insertion or stabilisation, of α2 and γ2 subunit-containing GABAARs [31]. CB is a brain-specific GDP/GTP-exchange factor, which interacts with gephyrin and regulates its recruitment from intracellular deposits to postsynaptic membranes [32]. The loss of CB leads to a strong reduction in gephyrin and synaptic GABAAR clusters in several regions of the forebrain, including the hippocampus, amygdala and cerebellum [33,34]. Normally, CB is present in an auto-inhibited conformation and depends on other neuronal factors such as neuroligin 2 (NL2), GABAAR subunit α2 or the Rho-like GTPase TC-10 for its activation [35,36]. Our results, showing that exogenous CDKL5 expression is sufficient for localising gephyrin under the cell membrane when coexpressed with full-length CB, suggest that CDKL5 may also be capable of relieving CB from the inhibited conformation. Our data also support a previous study by Uezu et al. [22] that identified CDKL5 as a direct interactor of CB. The presence of gephyrin in the immunocomplexes is likely caused by an indirect interaction mediated by CB. Since CB is required for inhibitory receptor clustering and function, via the recruitment of gephyrin [37], we speculate that CDKL5 plays a direct role in the stabilisation of the key components of the inhibitory synapse by the above interaction. Future studies will be performed to address how CDKL5 loss affects the gephyrin-CB complex and which GABAAR subunits are affected.
3.2. CDKL5 Deficiency Impairs the Functional GABAergic Synapse
The postsynaptic inhibitory defects were accompanied by a reduction in the frequency of mIPSCs in Cdkl5-KO neurons. Various mechanisms can underlie the reduced frequency, such as reduced number of synapses at the pre- and postsynaptic levels, a reduced neurotransmitter release and a reduced number of presynaptic vesicles. Even if we cannot rule out a direct role for CDKL5 at the presynaptic level, we find it relevant to consider that a similar result was observed when CDKL5 expression was acutely silenced through the transfection of a CDKL5-silencing construct also expressing GFP. Our experimental settings allowed the recording of the mIPSCs of CDKL5-silenced neurons that were innervated by non-silenced cells. Therefore, the altered inhibitory neurotransmission could be ascribed to a direct role for CDKL5 at the postsynaptic site, given that the presynaptic compartment is normal. The major phenotype of CDKL5 deficiency in both Cdkl5-KO and silenced neurons was a remarkable decrease in mIPSC frequency, hence reflecting a strong reduction in the number of functional GABAergic synapses. We speculate that the loss of CDKL5 at the postsynaptic site influences GABAergic innervation in Cdkl5-KO cultures similar to what has been reported for γ2-containing GABAAR clusters in cortical neurons silenced for GODZ, which is implicated in trafficking and postsynaptic accumulation of γ2 subunit-containing GABAARs [38]. In support of our hypothesis, we observed a significantly reduced number of both bassoon- and VGAT-positive puncta in the primary cultures of Cdkl5-KO neurons, which indicates a presynaptic defect.
3.3. PME Treatment Ameliorates CDKL5-Related Defects
Various recent data have shown that CDKL5 is involved in regulating MT dynamics [13,39,40,41]. Interestingly, the possibility of targeting MT interacting proteins, the function of which is impaired in the absence of CDKL5, seems to represent an interesting disease modifying therapeutic strategy for CDD [14,15,42].
Here we show that treatment in vitro with the neuroactive synthetic steroid PME restores CDKL5-dependent GABAAR defects both molecularly and functionally. Indeed, the decreased frequency of mIPSCs in primary Cdkl5-KO cultures was normalised, together with the surface exposure of synaptic GABAARs and the number of gephyrin, bassoon and VGAT puncta. Intriguingly, we also found that the number of γ2 subunit-containing GABAAR clusters was restored in the hippocampal slices of Cdkl5-KO mice treated with subcutaneous injections of PME (10 mg/kg) for seven consecutive days starting from PND60. Of relevance, this treatment schedule restored hippocampal-dependent learning and memory defects in Cdkl5-KO mice [15].
At present, we can only speculate about the precise mechanism through which PME can promote synaptic GABAAR accumulation. Our previous data showed that PME activates the +TIP CLIP170 by inducing its open conformation, thus promoting MT dynamics [15]. CLIP170 was found to be involved in the efficient loading of dynein-bound cargoes for retrograde transport in axons [43]. Dynein is central for minus-end directed transport of various cargoes and, by activating CLIP170, PME may therefore promote dynein-dependent transport. Indeed, gephyrin interacts directly with dynein and transports glycine receptor-containing vesicles in dendrites [28]. Moreover, forward trafficking of γ2-containing GABAARs is mediated by GABARAP-containing complexes, which interact with dynein [44]. Future studies will allow us to reveal the effect of PME on dynein-dependent transport.
In conclusion, we have demonstrated for the first time that CDKL5 plays a direct role in the expression of functional GABAARs at synaptic sites, in part through its interaction with the cytoplasmic CB-gephyrin complex. Importantly, treatment with the synthetic neuroactive steroid PME can bypass the need for CDKL5 and restore GABAAR expression and GABAAR functioning. Currently, there are no approved therapies for CDD and any pharmacological strategies that reduce the frequency, duration or severity of seizures may positively impact the quality of life for CDD patients. PME might represent an important breakthrough in the CDD field, as the restoration of GABAAR expression might be beneficial also for the cognitive defects and autistic-like features present in CDD patients.
4. Materials and Methods
4.1. Mice
Protocols and use of animals were approved by the Animal Ethics Committee of the University of Insubria and in accordance with the guidelines released by the Italian Ministry of Health (D.L. 2014/26) and the European Community directives regulating animal research (2010/63/EU). Adult mice were euthanised by cervical dislocation, while neonates were sacrificed by exposure to CO2 followed by decapitation.
Male Cdkl5-KO mice [4] on the genetic background CD1 were used. Littermate controls were used for all experiments. The day of birth was designated as postnatal day (PND) zero. After weaning, three to five animals belonging to the same litter were housed in activity enriched cages on a 12 h light/dark cycle in a temperature-controlled environment with food and water provided ad libitum and checked daily for general health conditions. Genotyping was performed through PCR on genomic DNA from tail biopsies using the Rapid Extract PCR Kit (PCRBIO, [15]).
4.2. Plasmids
pEGFP-GPHN, pRK5 Myc-CB2-SH3+, and pRK5 Myc-CB2-∆SH3 were kindly provided by Dr. Theophilos Papadopoulos’s laboratory (Max-Planck Institute for Brain Research, Göttingen) and were generated as described previously [45]. pFlag-CDKL5 encoding the 107 kDa splice variant was generated as described elsewhere [46].
4.3. Cell Cultures and Transfections
African green monkey kidney cells (COS7) and human embryonic kidney 293T (HEK293T) cells were maintained in DMEM (Euroclone) supplemented with 10% fetal bovine serum (Euroclone), 2 mM L-glutamine (Euroclone) and penicillin/streptomycin (100 units/mL and 100 µg/mL respectively, Euroclone) at 37 °C with 5% CO2. Cells were transfected with LipofectamineTM 3000 (Life Technologies Incorporated).
Primary hippocampal cultures were prepared from embryonic day 17 (E17) mouse embryos considering the day of the vaginal plug as E0, as described previously [47], and plated on poly-L-lysine (Sigma-Aldrich, Sant Louis, MO 63103, USA) coated plates.
CDKL5 expression was abruptly silenced in primary hippocampal neurons at DIV11 through the transfection of a shCDKL5 targeting the sequence GCAGAGTCGGCACAGCTAT, using as negative control a shRNA against LacZ (shLacZ). Plasmid transfection was performed with LipofectamineTM 2000 transfection reagent (Life Technologies Incorporated).
4.4. Pharmacological Treatment
For treatment in vitro, 0.3 or 1 μM of PME or 0.1% DMSO (vehicle) was added to the primary cultures at DIV11, and neurons were harvested after 72 h. For treatment in vivo, mice received daily subcutaneous injections from PND60 to PND66 of 10 mg/kg of PME or sesame oil (vehicle) between 9:00–11:00 as described in Barbiero et al. [15]. For neuroanatomical experiments, mice were sacrificed 24 h after ended treatment and processed as described below. PME was suspended in sesame oil and freshly prepared each day.
4.5. Antibodies
The following primary antibodies were used in immunofluorescence and western blotting experiments: mouse anti-bassoon (Santa Cruz, sc-58509), rabbit anti-CDKL5 (Sigma, HPA002847), mouse anti-CDKL5 (Santa Cruz, sc-376314), rabbit anti-collybistin (SYSY, 261003), rabbit anti-GABAAR γ2 (SYSY, 224003), goat anti-GABAAR γ2 (Invitrogen, PA5-19299), rabbit anti-GAPDH (Sigma, G9545), mouse anti-gephyrin (Santa Cruz, sc-25311), anti-GFP (chicken, Molecular Probes, A10262), chicken anti-MAP2 (SYSY, 188006), mouse anti-c-myc (clone 9E10), rabbit anti-VGAT (SYSY, 131003). Secondary Alexa Fluor anti-rabbit, -mouse and -chicken were purchased from Abcam or Invitrogen. HRP-conjugated goat anti-mouse, goat anti-rabbit and donkey anti-goat secondary antibodies for western blottings were purchased from Jackson Immunoresearch.
4.6. Immunofluorescence
COS7 cells and hippocampal neurons: neurons were grown on poly-L-lysine (1 mg/mL; Sigma-Aldrich) coated coverslips (300 cells/mm2) until DIV14. After fixation in 4% formaldehyde (PierceTM) with 4% sucrose (Sigma-Aldrich, Sant Louis, MO 63103, USA), cells were blocked in 1X PBS, 5% goat serum (Euroclone) and 0.2% Triton X-100. Surface exposed γ2 subunit-containing GABAAR were immunostained under non-permeabilising conditions with blocking in 1X PBS, 5% goat serum. Incubation with the primary antibody was performed overnight at 4 °C and with the secondary antibody for 1 h at room temperature. Slides were mounted with ProLong Gold antifade reagent (Life Technologies).
To quantify gephyrin, bassoon and VGAT puncta as well as surface expressed GABAAR γ2 along MAP2-positive dendrites, images were captured with a 60X objective coupled to an Olympus BX51 fluorescence microscope equipped with Retiga R1 (QImaging) CCD camera. The number of gephyrin, bassoon and VGAT puncta, along with the fluorescence intensity of GABAAR γ2 staining, were measured along 30 µm long segments (proximal part of secondary branches) using the software Fiji ImageJ (function: analyse particles or measure). Primary antibodies were used: bassoon, 1:50; CDKL5, 1:50; GABAAR γ2, 1:150; gephyrin, 1:50; GFP, 1:100; MAP2 chicken, 1:500; MAP2 rabbit and mouse, 1:1000; Myc, 1:200; VGAT, 1:1000.
Hippocampal slices: 24 h after treatment, mice were decapitated (upon dislocation) and brain hemispheres were rapidly excised and frozen in liquid nitrogen. Cryosections (30 μm) were cut and mounted onto coated slides (SuperFrost® Plus, Thermo Scientific, 38116 Braunschweig, Germany) and stored at −80 °C. The samples were fixed in 2% paraformaldehyde (4 °C) for 90 s, rinsed thrice with 1X PBS and blocked for 1 h in blocking solution (0.05% goat serum, 3% Triton X-100 in 1X PBS). Upon incubation with anti-GABAAR γ2 antibody (1:1000) in a humid chamber overnight at 4 °C, the slices were incubated with the secondary antibody (Alexa Fluor goat anti-rabbit 488 nm) in blocking solution for 1 h at room temperature, rinsed thrice with 1X PBS and mounted with ProLong Gold antifade reagent (Life Technologies). As negative control, a sample was incubated with only the secondary antibody.
Images from the molecular layer of the dentate gyrus were acquired with a LEICA TCS SL confocal microscope (LEITZ; Leica Mycrosystems, Wetzlar, Germany) with objective 63X (NA 1.32; zoom factor = 8) and the pinhole set at 1 Airy unit. Four slices per animal were analysed, and the number of GABAAR γ2 clusters was quantified using the software Fiji ImageJ (plugin: analyse particles). Optimised threshold values and size filters were applied for all the images to identify GABAAR γ2 clusters. The number of GABAAR γ2 puncta was calculated in four identical sections for each slice (to have a mean of four separate zones of the dentate gyrus per single slice) and expressed per μm2.
4.7. Western Blotting and Immunoprecipitation
Primary hippocampal neurons were lysed in 3X Laemmli buffer, and samples were separated by 10% SDS-PAGE, transferred to nitrocellulose membranes and blocked in 5% non-fat milk in TBS-T (20 mM of Tris-HCl pH 7.4, 150 mM of NaCl, 0.2% Tween-20). Blots were incubated with primary antibodies overnight at 4 °C, washed in TBS-T and incubated with appropriate secondary antibodies for 1 h at room temperature. Blots were developed with protein detection system-ECL (Genespin) coupled to G:BOX Chemi Imaging System (Syngene). Densitometric expression analyses were performed using ImageJ software.
CDKL5 was immunoprecipitated from 400 μg of HEK293T cells or 1 mg of a mouse brain extract (PND20-30) lysed in lysis buffer [mM: 50 Tris-HCl pH 7.4, 150 NaCl, 1 EDTA, 1 EGTA, 1% Triton X-100, 1X protease inhibitor cocktail (PIC, Sigma-Aldrich, Sant Louis, MO 63103, USA) and 1X PhosSTOP (Roche)] and incubated overnight at 4 °C with 1 µg of anti-CDKL5 or unrelated IgGs as control. The immunocomplexes were precipitated with protein-G agarose (Life Technologies), washed several times with lysis buffer and analysed by SDS-PAGE and western blotting.
4.8. Biotinylation Assays
Biotinylation assays were performed according to previously described protocols [48,49] with slight modifications. Primary hippocampal neurons were plated in 6-well plates coated with 0.5 mg/mL poly-L-lysine (Sigma-Aldrich, 400,000 neurons/well) and used at DIV14. Neurons were washed twice with HBSS/Ca2+/Mg2+, followed by incubation with 0.5 mg/mL of Sulfo-NHS-SS-Biotin (Cyanagen). Quenching was performed using HBSS/Ca2+/Mg2+ supplemented with glycine (50 mM) and BSA (0.5%), after which cells were lysed with standard radio-immunoprecipitation assay (RIPA) buffer (mM: 50 Tris-HCl pH 7.4, 150 NaCl, 1 EDTA, 2 EGTA, 1% NP40, 0.1% SDS, 0.5% SDC, 1X PhosSTOP, 1X PIC). After correction for protein content using a BCA protein assay kit (PierceTM), biotinylated proteins were purified on StreptAvidin UltraLink Resin (PierceTM) and resolved by SDS-PAGE and western blotting. Surface expression was evaluated as the ratio between the biotinylated fraction (surface) and the total cell lysate normalised with GAPDH.
4.9. In Vitro Electrophysiological Recordings
GABA-mediated inhibitory postsynaptic currents in miniature (mIPSCs) were recorded using the patch-clamp technique in the whole cell voltage-clamp configuration in the presence of 1 µM tetrodotoxin (TTX, Tocris) to block the generation of action potentials. Recordings were obtained from primary hippocampal neurons at DIV14 (plated on poly-L-lysine coated coverslips at the density of 234 cells/mm2) using the Axopatch 200B amplifier and the pClamp-10 software (Axon Instruments). Recordings were performed in Krebs’-Ringer’s-HEPES (KRH) external solution (mM: 125 NaCl, 5 KCl, 1.2 MgSO4, 1.2 KH2PO4, 2 CaCl2, 6 glucose, 25 HEPES-NaOH pH 7.4). Recording pipettes were pulled from glass capillary (World Precision Instrument) using a two-stage puller (Narishige) and had tip resistances of 3–5 MΩ when filled with the intracellular solution (mM: 130 Cs-gluconate, 8 CsCl, 2 NaCl, 10 HEPES, 4 EGTA, 4 MgATP, 0.3 GTP pH 7.3). Voltage-clamp recordings were performed at holding potentials of +10 mV. The recorded traces were analysed using Clapfit-pClamp 10 software, after choosing an appropriate threshold. In particular, events that exceeded at least twice the standard deviation of the baseline noise were considered as mIPSCs and included in our analyses.
4.10. Statistical Analyses
All experiments and analyses were performed knowing the respective genotypes of the animals. Data were analysed with Prism software (GraphPad), and all values were expressed as the mean ± SEM. Data that were identified as significant outliers by the software were removed from the datasets. The significance of the western blotting and immunofluorescence results was evaluated using Unpaired Student’s t-test, One-way ANOVA followed by Tukey’s multiple comparisons test and Two-way ANOVA followed by Tukey’s multiple comparisons test. The significance of in vitro electrophysiological studies was evaluated by Mann Whitney U test, Kruskal-Wallis test followed by Dunn’s multiple comparisons test, One-way ANOVA followed by Tukey’s multiple comparisons test and Unpaired Student’s t-test. Probability values of p < 0.05 were considered as statistically significant.
Author Contributions
Conceptualization, R.D.R., M.T. and C.K.-N.; methodology, R.D.R., F.A. and C.K.-N.; investigation, R.D.R., S.V., C.C., I.B., C.P., M.T. and S.R.; resources, M.B.; formal analysis, R.D.R., C.P., M.T., F.A. and I.B.; writing—original draft preparation, R.D.R.; writing—review and editing, C.K.-N.; supervision, C.K.-N.; project administration, R.D.R. and C.K.-N.; funding acquisition, C.K.-N. All authors have read and agreed to the published version of the manuscript.
Funding
This research was funded by Fondazione Telethon [GGP20024], AIRETT onlus and the Italian parents’ association Albero di Greta (to CKN).
Institutional Review Board Statement
The animal study protocol was approved by the Ethics Committee of the University of Insubria and by the Italian Council on Animal Care, the Italian Government decree No. 28/2019.
Informed Consent Statement
Not applicable.
Data Availability Statement
Not applicable.
Acknowledgments
We thank Theophilos Papadopoulos (Max-Planck Institute for Brain Research, Göttingen) for the CB and gephyrin constructs.
Conflicts of Interest
The authors declare no conflict of interest.
References
- Olson, H.E.; Demarest, S.T.; Pestana-Knight, E.M.; Swanson, L.C.; Iqbal, S.; Lal, D.; Leonard, H.; Cross, J.H.; Devinsky, O.; Benke, T.A. Cyclin-dependent kinase-like 5 deficiency disorder: Clinical review. Pediatr. Neurol. 2019, 97, 18–25. [Google Scholar] [CrossRef] [PubMed]
- Rusconi, L.; Salvatoni, L.; Giudici, L.; Bertani, I.; Kilstrup-Nielsen, C.; Broccoli, V.; Landsberger, N. CDKL5 expression is modulated during neuronal development and its subcellular distribution is tightly regulated by the C-terminal tail. J. Biol. Chem. 2008, 283, 30101–30111. [Google Scholar] [CrossRef]
- Wang, I.T.J.; Allen, M.; Goffin, D.; Zhu, X.; Fairless, A.H.; Brodkin, E.S.; Siegel, S.J.; Marsh, E.D.; Blendy, J.A.; Zhou, Z. Loss of CDKL5 disrupts kinome profile and event-related potentials leading to autistic-like phenotypes in mice. Proc. Natl. Acad. Sci. USA 2012, 109, 21516–21521. [Google Scholar] [CrossRef] [PubMed]
- Amendola, E.; Zhan, Y.; Mattucci, C.; Castroflorio, E.; Calcagno, E.; Fuchs, C.; Lonetti, G.; Silingardi, D.; Vyssotski, A.L.; Farley, D.; et al. Mapping pathological phenotypes in a mouse model of CDKL5 disorder. PLoS ONE 2014, 9, e91613. [Google Scholar] [CrossRef] [PubMed]
- Okuda, K.; Kobayashi, S.; Fukaya, M.; Watanabe, A.; Murakami, T.; Hagiwara, M.; Sato, T.; Ueno, H.; Ogonuki, N.; Komano-Inoue, S.; et al. CDKL5 controls postsynaptic localization of GluN2B-containing NMDA receptors in the hippocampus and regulates seizure susceptibility. Neurobiol. Dis. 2017, 106, 158–170. [Google Scholar] [CrossRef] [PubMed]
- Zhou, A.; Han, S.; Zhou, Z.J. Molecular and genetic insights into an infantile epileptic encephalopathy—CDKL5 disorder. Front. Biol. 2017, 12, 1–6. [Google Scholar] [CrossRef]
- Mulcahey, P.J.; Tang, S.; Takano, H.; White, A.; Portillo, D.R.D.; Kane, O.M.; Marsh, E.D.; Zhou, Z.; Coulter, D.A. Aged heterozygous Cdkl5 mutant mice exhibit spontaneous epileptic spasms. Exp. Neurol. 2020, 332, 113388. [Google Scholar] [CrossRef]
- Terzic, B.; Cui, Y.; Edmondson, A.C.; Tang, S.; Sarmiento, N.; Zaitseva, D.; Marsh, E.D.; Coulter, D.A.; Zhou, Z. X-linked cellular mosaicism underlies age-dependent occurrence of seizure-like events in mouse models of CDKL5 deficiency disorder. Neurobiol. Dis. 2021, 148, 105176. [Google Scholar] [CrossRef]
- Wang, H.T.; Zhu, Z.A.; Li, Y.Y.; Lou, S.S.; Yang, G.; Feng, X.; Xu, W.; Huang, Z.L.; Cheng, X.; Xiong, Z.Q. CDKL5 deficiency in forebrain glutamatergic neurons results in recurrent spontaneous seizures. Epilepsia 2021, 62, 517–528. [Google Scholar] [CrossRef]
- Ricciardi, S.; Ungaro, F.; Hambrock, M.; Rademacher, N.; Stefanelli, G.; Brambilla, D.; Sessa, A.; Magagnotti, C.; Bachi, A.; Giarda, E.; et al. CDKL5 ensures excitatory synapse stability by reinforcing NGL-1-PSD95 interaction in the postsynaptic compartment and is impaired in patient iPSC-derived neurons. Nat. Cell Biol. 2012, 14, 911–923. [Google Scholar] [CrossRef]
- Sala, G.D.; Putignano, E.; Chelini, G.; Melani, R.; Calcagno, E.; Ratto, G.M.; Amendola, E.; Gross, C.T.; Giustetto, M.; Pizzorusso, T. Dendritic spine instability in a mouse model of CDKL5 disorder is rescued by insulin-like growth factor 1. Biol. Psychiatry 2016, 80, 302–311. [Google Scholar] [CrossRef]
- Tramarin, M.; Rusconi, L.; Pizzamiglio, L.; Barbiero, I.; Peroni, D.; Scaramuzza, L.; Guilliams, T.; Cavalla, D.; Antonucci, F.; Kilstrup-Nielsen, C. The antidepressant tianeptine reverts synaptic AMPA receptor defects caused by deficiency of CDKL5. Hum. Mol. Genet. 2018, 27, 2052–2063. [Google Scholar] [CrossRef]
- Barbiero, I.; Peroni, D.; Tramarin, M.; Chandola, C.; Rusconi, L.; Landsberger, N.; Kilstrup-Nielsen, C. The neurosteroid pregnenolone reverts microtubule derangement induced by the loss of a functional CDKL5-IQGAP1 complex. Hum. Mol. Genet. 2017, 26, 3520–3530. [Google Scholar] [CrossRef] [PubMed]
- Barbiero, I.; Peroni, D.; Siniscalchi, P.; Rusconi, L.; Tramarin, M.; De Rosa, R.; Motta, P.; Bianchi, M.; Kilstrup-Nielsen, C. Pregnenolone and pregnenolone-methyl-ether rescue neuronal defects caused by dysfunctional CLIP170 in a neuronal model of CDKL5 Deficiency Disorder. Neuropharmacology 2020, 164, 107897. [Google Scholar] [CrossRef] [PubMed]
- Barbiero, I.; Zamberletti, E.; Tramarin, M.; Gabaglio, M.; Peroni, D.; De Rosa, R.; Baldin, S.; Bianchi, M.; Rubino, T.; Kilstrup-Nielsen, C. Pregnenolone-methyl-ether enhances CLIP170 and microtubule functions improving spine maturation and hippocampal deficits related to CDKL5 deficiency. Hum. Mol. Genet. 2022, 31, 2738–2750. [Google Scholar] [CrossRef] [PubMed]
- Tang, S.; Wang, I.T.J.; Yue, C.; Takano, H.; Terzic, B.; Pance, K.; Lee, J.Y.; Cui, Y.; Coulter, D.A.; Zhou, Z. Loss of CDKL5 in glutamatergic neurons disrupts hippocampal microcircuitry and leads to memory impairment in mice. J. Neurosci. 2017, 37, 7420–7437. [Google Scholar] [CrossRef]
- Olsen, R.W.; Sieghart, W. GABAA receptors: Subtypes provide diversity of function and pharmacology. Neuropharmacology 2009, 56, 141–148. [Google Scholar] [CrossRef] [PubMed]
- Tretter, V.; Moss, S.J. GABAA receptor dynamics and constructing GABAergic synapses. Front. Mol. Neurosci. 2008, 1, 7. [Google Scholar] [CrossRef] [PubMed]
- Krueger-Burg, D.; Papadopoulos, T.; Brose, N. Organizers of inhibitory synapses come of age. Curr. Opin. Neurobiol. 2017, 45, 66–77. [Google Scholar] [CrossRef]
- Rodriguez, R.A.; Joya, C.; Hines, R.M. Common ribs of inhibitory synaptic dysfunction in the umbrella of neurodevelopmental disorders. Front. Mol. Neurosci. 2018, 11, 132. [Google Scholar] [CrossRef]
- Schulte, C.; Maric, H.M. Expanding GABAAR pharmacology via receptor-associated proteins. Curr. Opin. Pharmacol. 2021, 57, 98–106. [Google Scholar] [CrossRef] [PubMed]
- Uezu, A.; Kanac, J.; Bradshaw, T.W.A.; Soderblom, E.J.; Catavero, C.M.; Burette, A.C.; Weinberg, R.J.; Soderling, S.H. Identification of an elaborate complex mediating postsynaptic inhibition. Science 2016, 353, 1123–1129. [Google Scholar] [CrossRef]
- Tyagarajan, S.K.; Fritschy, J.M. Gephyrin: A master regulator of neuronal function? Nat. Rev. Neurosci. 2014, 15, 141–156. [Google Scholar] [CrossRef] [PubMed]
- Soykan, T.; Schneeberger, D.; Tria, G.; Buechner, C.; Bader, N.; Svergun, D.; Tessmer, I.; Poulopoulos, A.; Papadopoulos, T.; Varoqueaux, F.; et al. A conformational switch in collybistin determines the differentiation of inhibitory postsynapses. EMBO J. 2014, 33, 2113–2133. [Google Scholar] [CrossRef]
- Essrich, C.; Lorez, M.; Benson, J.A.; Fritschy, J.M.; Lüscher, B. Postsynaptic clustering of major GABAA receptor subtypes requires the γ2 subunit and gephyrin. Nat. Neurosci. 1998, 1, 563–571. [Google Scholar] [CrossRef] [PubMed]
- Kneussel, M.; Brandstätter, J.H.; Laube, B.; Stahl, S.; Müller, U.; Betz, H. Loss of postsynaptic GABAA receptor clustering in gephyrin-deficient mice. J. Neurosci. 1999, 19, 9289–9297. [Google Scholar] [CrossRef]
- Jacob, T.C.; Bogdanov, Y.D.; Magnus, C.; Saliba, R.S.; Kittler, J.T.; Haydon, P.G.; Moss, S.J. Gephyrin regulates the cell surface dynamics of synaptic GABAA receptors. J. Neurosci. 2005, 25, 10469–10478. [Google Scholar] [CrossRef]
- Maas, C.; Tagnaouti, N.; Loebrich, S.; Behrend, B.; Lappe-Siefke, C.; Kneussel, M. Neuronal cotransport of glycine receptor and the scaffold protein gephyrin. J. Cell Biol. 2006, 172, 441–451. [Google Scholar] [CrossRef]
- Bogdanov, Y.D. Dynamic regulation of GABAA receptor biosynthesis and transport. Neurosci. Behav. Physiol. 2019, 49, 838–846. [Google Scholar] [CrossRef]
- Comenencia-Ortiz, E.; Moss, S.J.; Davies, P.A. Phosphorylation of GABAA receptors influences receptor trafficking and neurosteroid actions. Psychopharmacology 2014, 231, 3453–3465. [Google Scholar] [CrossRef]
- Groeneweg, F.L.; Trattnig, C.; Kuhse, J.; Nawrotzki, R.A.; Kirsch, J. Gephyrin: A key regulatory protein of inhibitory synapses and beyond. Histochem. Cell Biol. 2018, 150, 489–508. [Google Scholar] [CrossRef] [PubMed]
- Papadopoulos, T.; Soykan, T. The role of collybistin in gephyrin clustering at inhibitory synapses: Facts and open questions. Front. Cell Neurosci. 2011, 5. [Google Scholar] [CrossRef] [PubMed]
- Papadopoulos, T.; Korte, M.; Eulenburg, V.; Kubota, H.; Retiounskaia, M.; Harvey, R.J.; Harvey, K.; O’Sullivan, G.A.; Laube, B.; Hülsmann, S.; et al. Impaired GABAergic transmission and altered hippocampal synaptic plasticity in collybistin-deficient mice. EMBO J. 2007, 26, 3888–3899. [Google Scholar] [CrossRef] [PubMed]
- Papadopoulos, T.; Eulenburg, V.; Reddy-Alla, S.; Mansuy, I.M.; Li, Y.; Betz, H. Collybistin is required for both the formation and maintenance of GABAergic postsynapses in the hippocampus. Mol. Cell Neurosci. 2008, 39, 161–169. [Google Scholar] [CrossRef]
- Poulopoulos, A.; Aramuni, G.; Meyer, G.; Soykan, T.; Hoon, M.; Papadopoulos, T.; Zhang, M.; Paarmann, I.; Fuchs, C.; Harvey, K.; et al. Neuroligin 2 drives postsynaptic assembly at perisomatic inhibitory synapses through gephyrin and collybistin. Neuron 2009, 63, 628–642. [Google Scholar] [CrossRef]
- Mayer, S.; Kumar, R.; Jaiswal, M.; Soykan, T.; Ahmadian, M.R.; Brose, N.; Betz, H.; Rhee, J.S.; Papadopoulos, T. Collybistin activation by GTP-TC10 enhances postsynaptic gephyrin clustering and hippocampal GABAergic neurotransmission. Proc. Natl. Acad. Sci. USA 2013, 110, 20795–20800. [Google Scholar] [CrossRef]
- Körber, C.; Richter, A.; Kaiser, M.; Schlicksupp, A.; Mükusch, S.; Kuner, T.; Kirsch, J.; Kuhse, J. Effects of distinct collybistin isoforms on the formation of GABAergic synapses in hippocampal neurons. Mol. Cell Neurosci. 2012, 50, 250–259. [Google Scholar] [CrossRef]
- Fang, C.; Deng, L.; Keller, C.A.; Fukata, M.; Fukata, Y.; Chen, G.; Lüscher, B. GODZ-mediated palmitoylation of GABAA receptors is required for normal assembly and function of GABAergic inhibitory synapses. J. Neurosci. 2006, 26, 12758–12768. [Google Scholar] [CrossRef]
- Barbiero, I.; De Rosa, R.; Kilstrup-Nielsen, C. Microtubules: A key to understand and correct neuronal defects in CDKL5 deficiency disorder? Int. J. Mol. Sci. 2019, 20, 4075. [Google Scholar] [CrossRef]
- Baltussen, L.L.; Negraes, P.D.; Silvestre, M.; Claxton, S.; Moeskops, M.; Christodoulou, E.; Flynn, H.R.; Snijders, A.P.; Muotri, A.R.; Ultanir, S.K. Chemical genetic identification of CDKL5 substrates reveals its role in neuronal microtubule dynamics. EMBO J. 2018, 37, e99763. [Google Scholar] [CrossRef]
- Muñoz, I.M.; Morgan, M.E.; Peltier, J.; Weiland, F.; Gregorczyk, M.; Brown, F.C.; Macartney, T.; Toth, R.; Trost, M.; Rouse, J. Phosphoproteomic screening identifies physiological substrates of the CDKL5 kinase. EMBO J. 2018, 37, e99559. [Google Scholar] [CrossRef] [PubMed]
- Barbiero, I.; Bianchi, M.; Kilstrup-Nielsen, C. Therapeutic potential of pregnenolone and pregnenolone methyl ether on depressive and CDKL5 deficiency disorders: Focus on microtubule targeting. J. Neuroendocrinol. 2022, 34, e13033. [Google Scholar] [CrossRef] [PubMed]
- Nirschl, J.J.; Magiera, M.M.; Lazarus, J.E.; Janke, C.; Holzbaur, E.L.F. α-Tubulin tyrosination and CLIP-170 phosphorylation regulate the initiation of dynein-driven transport in neurons. Cell Rep. 2016, 14, 2637–2652. [Google Scholar] [CrossRef]
- Nakamura, T.; Arima-Yoshida, F.; Sakaue, F.; Nasu-Nishimura, Y.; Takeda, Y.; Matsuura, K.; Akshoomoff, N.; Mattson, S.N.; Grossfeld, P.D.; Manabe, T.; et al. PX-RICS-deficient mice mimic autism spectrum disorder in Jacobsen syndrome through impaired GABAA receptor trafficking. Nat. Commun. 2016, 7, 10861. [Google Scholar] [CrossRef] [PubMed]
- Harvey, K.; Duguid, I.C.; Alldred, M.J.; Beatty, S.E.; Ward, H.; Keep, N.H.; Lingenfelter, S.E.; Pearce, B.R.; Lundgren, J.; Owen, M.J.; et al. The GDP-GTP exchange factor collybistin: An essential determinant of neuronal gephyrin clustering. J. Neurosci. 2004, 24, 5816–5826. [Google Scholar] [CrossRef]
- Williamson, S.L.; Giudici, L.; Kilstrup-Nielsen, C.; Gold, W.; Pelka, G.J.; Tam, P.P.L.; Grimm, A.; Prodi, D.; Landsberger, N.; Christodoulou, J. A novel transcript of cyclin-dependent kinase-like 5 (CDKL5) has an alternative C-terminus and is the predominant transcript in brain. Hum. Genet. 2012, 131, 187–200. [Google Scholar] [CrossRef] [PubMed]
- Rusconi, L.; Kilstrup-Nielsen, C.; Landsberger, N. Extrasynaptic N-Methyl-D-aspartate (NMDA) receptor stimulation induces cytoplasmic translocation of the CDKL5 kinase and its proteasomal degradation. J. Biol. Chem. 2011, 286, 36550–36558. [Google Scholar] [CrossRef]
- Arancibia-Cárcamo, I.L.; Fairfax, B.P.; Moss, S.J.; Kittler, J.T. Studying the localization, surface stability and endocytosis of neurotransmitter receptors by antibody labeling and biotinylation approaches. In The Dynamic Synapse: Molecular Methods in Ionotropic Receptor Biology, Chapter 6, 1st ed.; Kittler, J.T., Moss, S.J., Eds.; CRC Press/Taylor & Francis: Boca Raton, FL, USA, 2006; ISBN 9780849318917. [Google Scholar]
- Ferreira, J.S.; Schmidt, J.; Rio, P.; Águas, R.; Rooyakkers, A.; Li, K.W.; Smit, A.B.; Craig, A.M.; Carvalho, A.L. GluN2B-containing NMDA receptors regulate AMPA receptor traffic through anchoring of the synaptic proteasome. J. Neurosci. 2015, 35, 8462–8479. [Google Scholar] [CrossRef]
Disclaimer/Publisher’s Note: The statements, opinions and data contained in all publications are solely those of the individual author(s) and contributor(s) and not of MDPI and/or the editor(s). MDPI and/or the editor(s) disclaim responsibility for any injury to people or property resulting from any ideas, methods, instructions or products referred to in the content. |
© 2022 by the authors. Licensee MDPI, Basel, Switzerland. This article is an open access article distributed under the terms and conditions of the Creative Commons Attribution (CC BY) license (https://creativecommons.org/licenses/by/4.0/).





