Novel Compound MMV1804559 from the Global Health Priority Box Exhibits In Vitro and In Vivo Activity against Madurella mycetomatis
Abstract
1. Introduction
2. Results
2.1. Twenty-Two Compounds Were Able to Inhibit the Growth of Both M. mycetomatis and F. senegalensis in In Vitro Susceptibility Testing
2.2. MMV1593278, MMV020335, and MMV1804559 from the MMV Global Health Priority Box Had an IC50 below 8 µM for M. mycetomatis
2.3. In Vivo Efficacy of MMV020335, MMV1593278 and MMV1804559 from the MMV Global Health Priority Box
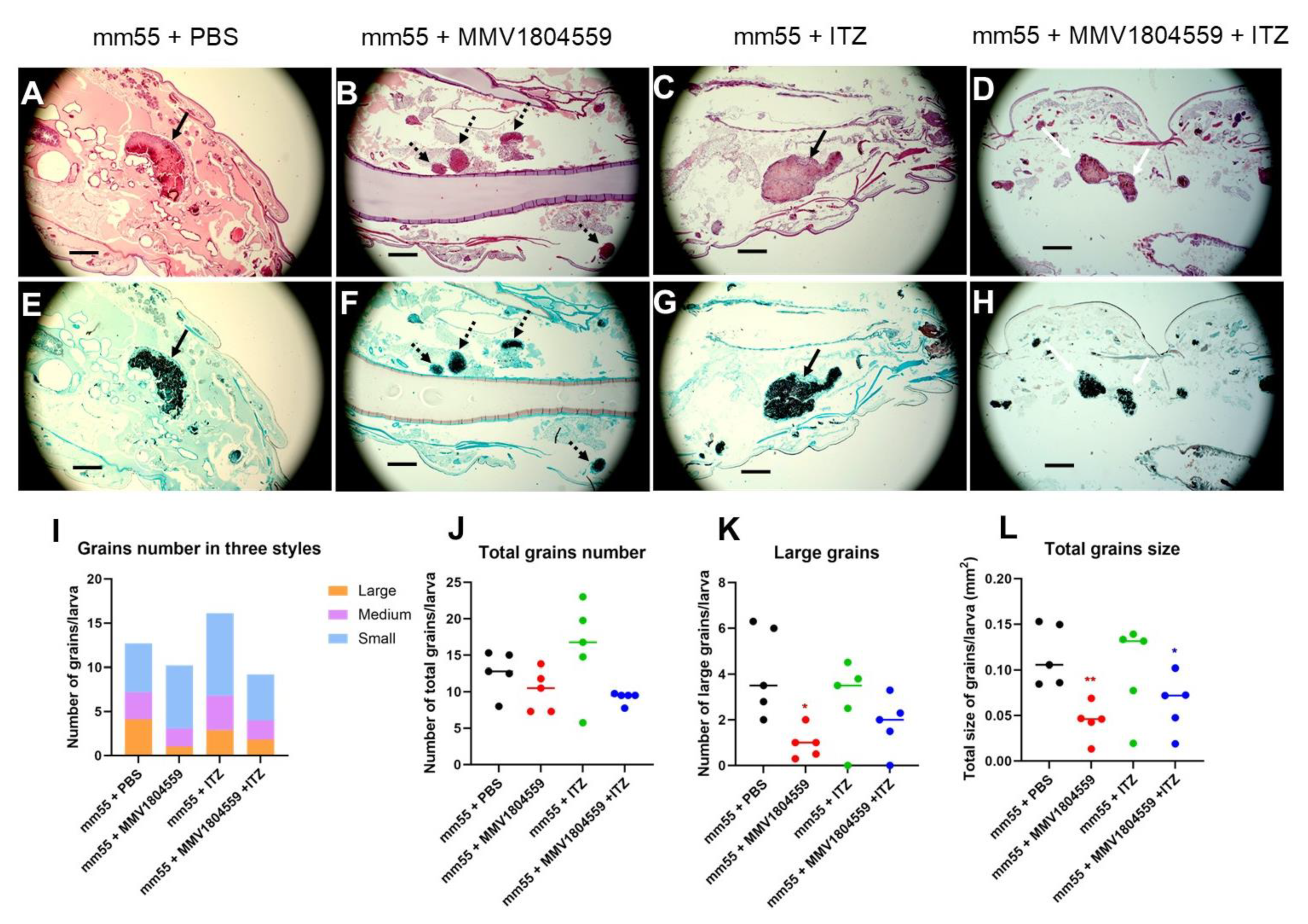
2.4. Smaller Grains Were Observed in Larvae Treated with MMV1804559
3. Discussion
4. Materials and Methods
4.1. Strains
4.2. Compound Boxes
4.3. In Vitro Susceptibility Assay
4.4. Toxicity of Compounds in Galleria Mellonella Larvae
4.5. In Vivo Grain Model in Galleria Mellonella Larvae
4.6. Histology
4.7. Data Analysis
5. Conclusions
Supplementary Materials
Author Contributions
Funding
Data Availability Statement
Acknowledgments
Conflicts of Interest
References
- Van de Sande, W.W.J. Global burden of human mycetoma: A systematic review and meta-analysis. PLoS Neglected Trop. Dis. 2013, 7, e2550. [Google Scholar] [CrossRef] [PubMed]
- Oladele, R.O.; Ly, F.; Sow, D.; Akinkugbe, A.O.; Ocansey, B.K.; Fahal, A.H.; van de Sande, W.W.J. Mycetoma in West Africa. Trans. R. Soc. Trop. Med. Hyg. 2021, 115, 328–336. [Google Scholar] [CrossRef] [PubMed]
- Van de Sande, W.; Fahal, A.; Ahmed, S.A.; Serrano, J.A.; Bonifaz, A.; Zijlstra, E.; Eumycetoma Working Group. Closing the mycetoma knowledge gap. Med. Mycol. 2018, 56 (Suppl. 1), 153–164. [Google Scholar] [CrossRef] [PubMed]
- Welsh, O.; Al-Abdely, H.M.; Salinas-Carmona, M.C.; Fahal, A.H. Mycetoma Medical Therapy. PLoS Neglected Trop. Dis. 2014, 8, e3218. [Google Scholar] [CrossRef] [PubMed]
- Scolding, P.; Fahal, A.; Yotsu, R.R. Drug therapy for Mycetoma. Cochrane Database Syst. Rev. 2018, 2018, CD013082. [Google Scholar] [CrossRef]
- Fahal, A.; Rahman, I.; El-Hassan, A.; Rahman, M.A.E.; Zijlstra, E. The safety and efficacy of itraconazole for the treatment of patients with eumycetoma due to Madurella mycetomatis. Trans. R. Soc. Trop. Med. Hyg. 2011, 105, 127–132. [Google Scholar] [CrossRef] [PubMed]
- Nyuykonge, B.; Siddig, E.E.; Mhmoud, N.A.; Nyaoke, B.A.; Zijlstra, E.E.; Verbon, A.; Bakhiet, S.; Fahal, A.H.; van de Sande, W.W.J. Epidemiological cut-off values for itraconazole and ravuconazole for Madurella mycetomatis, the most common causative agent of mycetoma. Mycoses 2022, 65, 1170–1178. [Google Scholar] [CrossRef] [PubMed]
- Kloezen, W.; van Helvert-van Poppel, M.; Fahal, A.H.; Van De Sande, W.W.J. A Madurella mycetomatis Grain Model in Galleria mellonella Larvae. PLoS Neglected Trop. Dis. 2015, 9, e0003926. [Google Scholar] [CrossRef] [PubMed]
- Van de Sande, W.W.; van Vianen, W.; ten Kate, M.; Fahal, A.; Bakker-Woudenberg, I. Amphotericin B but not itraconazole is able to prevent grain formation in experimental Madurella mycetomatis mycetoma in mice. Br. J. Dermatol. 2015, 173, 1561–1562. [Google Scholar] [CrossRef] [PubMed]
- Lim, W.; Melse, Y.; Konings, M.; Duong, H.P.; Eadie, K.; Laleu, B.; Perry, B.; Todd, M.H.; Ioset, J.-R.; van de Sande, W.W.J. Addressing the most neglected diseases through an open research model: The discovery of fenarimols as novel drug candidates for eumycetoma. PLoS Neglected Trop. Dis. 2018, 12, e0006437. [Google Scholar] [CrossRef] [PubMed]
- Samby, K.; Willis, P.A.; Burrows, J.N.; Laleu, B.; Webborn, P.J.H. Actives from MMV Open Access Boxes? A suggested way forward. PLoS Pathog. 2021, 17, e1009384. [Google Scholar] [CrossRef] [PubMed]
- Lim, W.; Nyuykonge, B.; Eadie, K.; Konings, M.; Smeets, J.; Fahal, A.; Bonifaz, A.; Todd, M.; Perry, B.; Samby, K.; et al. Screening the pandemic response box identified benzimidazole carbamates, Olorofim and ravuconazole as promising drug candidates for the treatment of eumycetoma. PLoS Neglected Trop. Dis. 2022, 16, e0010159. [Google Scholar] [CrossRef] [PubMed]
- Lim, W.; Verbon, A.; van de Sande, W. Identifying novel drugs with new modes of action for neglected tropical fungal skin diseases (fungal skinNTDs) using an Open Source Drug discovery approach. Expert Opin. Drug Discov. 2022, 17, 641–659. [Google Scholar] [CrossRef] [PubMed]
- Kim, T.; Hanh, B.-T.; Heo, B.; Quang, N.; Park, Y.; Shin, J.; Jeon, S.; Park, J.-W.; Samby, K.; Jang, J. A Screening of the MMV Pandemic Response Box Reveals Epetraborole as A New Potent Inhibitor against Mycobacterium abscessus. Int. J. Mol. Sci. 2021, 22, 5936. [Google Scholar] [CrossRef] [PubMed]
- MMV about the COVID Box. Available online: https://www.mmv.org/mmv-open/covid-box/about-covid-box (accessed on 30 January 2024).
- MMV about the Global Health Priority Box. Available online: https://www.mmv.org/mmv-open/global-health-priority-box/about-global-health-priority-box (accessed on 30 January 2024).
- Wang, X.; Frye, S. Preparation of Pyrazolopyrimidine Compounds as Mer Tyrosine Kinase Inhibitors Useful for Treatment of Cancer, Infections, and Other Diseases. WO/2015/157125, 15 October 2015. [Google Scholar]
- Liu, J.; Yang, C.; Simpson, C.; Deryckere, D.; Van Deusen, A.; Miley, M.J.; Kireev, D.; Norris-Drouin, J.; Sather, S.; Hunter, D.; et al. Discovery of Novel Small Molecule Mer Kinase Inhibitors for the Treatment of Pediatric Acute Lymphoblastic Leukemia. ACS Med. Chem. Lett. 2012, 3, 129–134. [Google Scholar] [CrossRef] [PubMed]
- Liu, J.; Zhang, W.; Stashko, M.A.; DeRyckere, D.; Cummings, C.T.; Hunter, D.; Yang, C.; Jayakody, C.N.; Cheng, N.; Simpson, C.; et al. UNC1062, a new and potent Mer inhibitor. Eur. J. Med. Chem. 2013, 65, 83–93. [Google Scholar] [CrossRef] [PubMed]
- Wang, X.; Frye, S. MerTK-Specific Pyrazolopyrimidine Compounds. WO/2015/157122, 15 October 2015. [Google Scholar]
- Ji, N.; Mainolfi, N.; Weiss, M. MerTK Degraders and Uses Thereof. WO/2020/010210, 9 January 2020. [Google Scholar]
- Hoffman-La Roche, F.; Liu, W.; Luk, K.-C.T.; Zhang, X. Pyrazolo Pyrimidines as DYRK1A and DYRK1B Inhibitors. WO/2012/098068, 26 July 2012. [Google Scholar]
- Kosti, I.; Mandel-Gutfreund, Y.; Glaser, F.; Horwitz, B.A. Comparative analysis of fungal protein kinases and associated domains. BMC. Genom. 2010, 11, 133. [Google Scholar] [CrossRef] [PubMed]
- MacAlpine, J.; Liu, Z.; Hossain, S.; Whitesell, L.; Robbins, N.; Cowen, L.E. DYRK-family kinases regulate Candida albicans morphogenesis and virulence through the Ras1/PKA pathway. mBio 2023, 14, e0218323. [Google Scholar] [CrossRef] [PubMed]
- Van Rhijn, N.; Zhao, C.; Al-Furajij, N.; Storer, I.; Valero, C.; Gago, S.; Chown, H.; Baldin, C.; Fortune-Grant, R.; Bin Shuraym, H.; et al. Functional analysis of the Aspergillus fumigatus kinome reveals a DYRK kinase involved in septal plugging is a novel antifungal drug target. Res. Sq. 2023, rs-2960526. [Google Scholar]
- MacAlpine, J.; Daniel-Ivad, M.; Liu, Z.L.; Yano, J.; Revie, N.M.; Todd, R.T.; Stogios, P.J.; Sanchez, H.; O’Meara, T.R.; Tompkins, T.A.; et al. A small molecule produced by Lactobacillus species blocks Candida albicans filamentation by inhibiting a DYRK1-family kinase. Nat. Commun. 2021, 12, 6151. [Google Scholar] [CrossRef] [PubMed]
- Elgemeie, G.H.; Azzam, R.A.; Zaghary, W.A.; Khedr, M.A.; Elsherif, G.E. Medicinal Chemistry of Pyrazolopyrimidine Scaffolds Substituted with Different Heterocyclic Nuclei. Curr. Pharm. Des. 2022, 28, 3374–3403. [Google Scholar] [CrossRef] [PubMed]
- Pan, B.; Weerasinghe, H.; Sezmis, A.; McDonald, M.J.; Traven, A.; Thompson, P.; Simm, C. Leveraging the MMV Pathogen Box to Engineer an Antifungal Compound with Improved Efficacy and Selectivity against Candida auris. ACS Infect. Dis. 2023, 9, 1901–1917. [Google Scholar] [CrossRef] [PubMed]
- Ubil, E.; Zahid, K.R. Structure and functions of Mer, an innate immune checkpoint. Front. Immunol. 2023, 14, 1244170. [Google Scholar] [CrossRef] [PubMed]
- Zizzo, G.; Hilliard, B.A.; Monestier, M.; Cohen, P.L. Efficient Clearance of Early Apoptotic Cells by Human Macrophages Requires M2c Polarization and MerTK Induction. J. Immunol. 2012, 189, 3508–3520. [Google Scholar] [CrossRef] [PubMed]
- Scott, R.S.; McMahon, E.J.; Pop, S.M.; Reap, E.A.; Caricchio, R.; Cohen, P.L.; Earp, H.S.; Matsushima, G.K. Phagocytosis and clearance of apoptotic cells is mediated by MER. Nature 2001, 411, 207–211. [Google Scholar] [CrossRef] [PubMed]
- Cai, B.; Thorp, E.B.; Doran, A.C.; Subramanian, M.; Sansbury, B.E.; Lin, C.-S.; Spite, M.; Fredman, G.; Tabas, I. MerTK cleavage limits proresolving mediator biosynthesis and exacerbates tissue inflammation. Proc. Natl. Acad. Sci. USA 2016, 113, 6526–6531. [Google Scholar] [CrossRef] [PubMed]
- Blom, K.; Rubin, J.; Berglund, M.; Jarvius, M.; Lenhammar, L.; Parrow, V.; Andersson, C.; Loskog, A.; Fryknas, M.; Nygren, P.; et al. Mebendazole-induced M1 polarisation of THP-1 macrophages may involve DYRK1B inhibition. BMC Res. Notes 2019, 12, 234. [Google Scholar] [CrossRef] [PubMed]
- Ma, J.; Konings, M.; Verbon, A.; van de Sande, W.W.J. A Falciformispora senegalensis grain model in Galleria mellonella larvae. Med. Mycol. 2023, 61, myad070. [Google Scholar] [CrossRef] [PubMed]
- Sheehan, G.; Konings, M.; Lim, W.; Fahal, A.; Kavanagh, K.; van de Sande, W.W.J. Proteomic analysis of the processes leading to Madurella mycetomatis grain formation in Galleria mellonella larvae. PLoS Neglected Trop. Dis. 2020, 14, e0008190. [Google Scholar] [CrossRef] [PubMed]
- Smit, S.; Derks, M.F.; Bervoets, S.; Fahal, A.; van Leeuwen, W.; van Belkum, A.; van de Sande, W.W. Genome Sequence of Madurella mycetomatis mm55, Isolated from a Human Mycetoma Case in Sudan. Genome Announc. 2016, 4, e00418-16. [Google Scholar] [CrossRef] [PubMed]
- Nyuykonge, B.; Eadie, K.; Zandijk, W.H.A.; Ahmed, S.A.; Desnos-Ollivier, M.; Fahal, A.H.; de Hoog, S.; Verbon, A.; van de Sande, W.W.J.; Klaassen, C.H.W. A Short-Tandem-Repeat Assay (MmySTR) for Studying Genetic Variation in Madurella mycetomatis. J. Clin. Microbiol. 2021, 59, 10–1128. [Google Scholar] [CrossRef] [PubMed]
- Van de Sande, W.W.J. In vitro susceptibility testing for black grain eumycetoma causative agents. Trans. R. Soc. Trop. Med. Hyg. 2021, 115, 343–354. [Google Scholar] [CrossRef] [PubMed]
- Lim, W.; Konings, M.; Parel, F.; Eadie, K.; Strepis, N.; Fahal, A.; Verbon, A.; van de Sande, W.W.J. Inhibiting DHN- and DOPA-melanin biosynthesis pathway increased the therapeutic value of itraconazole in Madurella mycetomatis infected Galleria mellonella. Med. Mycol. 2022, 60, myac003. [Google Scholar] [CrossRef] [PubMed]





| Compound ID | Location | Compound Name or Chemical Class | IC50 of mm55 (µM) | IC50 of CBS197.79 (µM) |
|---|---|---|---|---|
| Global Health Priority Box | ||||
| MMV1804559 | Global Health Priority Box MB2 plate | Pyrazolo [3,4-d]pyrimidine | 6.95 | 16.95 |
| MMV1593278 | Global Health Priority Box ZND plate | 2,4-Diaminopyrimidine | 7.38 | 17.94 |
| MMV020335 | Global Health Priority Box MB2 plate | Thieno[3,2-d]pyrimidine | 7.39 | 15.00 |
| MMV1542799 | Global Health Priority Box ZND plate | Purine-2,8-diamine | 8.81 | 17.20 |
| MMV1545674 | Global Health Priority Box ZND plate | 2,6-Diaminoimidazo[4,5-c]pyrimidine | 9.83 | 17.26 |
| MMV1542798 | Global Health Priority Box ZND plate | 2,8-Diaminopurine | 9.95 | 16.15 |
| MMV024638 | Global Health Priority Box MB2 plate | Pyrrolo[2,3-c]pyridine | 11.40 | 16.45 |
| COVID Box | ||||
| MMV637229 | COVID Box plate-B | Clemastine | 13.80 | 15.97 |
| MMV003461 | COVID Box plate-A | Niclosamide | 14.72 | 15.43 |
| MMV003162 | COVID Box plate-A | Astemizole | 15.22 | 16.21 |
| MMV1804244 | COVID Box plate-A | Triparanol | 15.97 | 15.51 |
| MMV000016 | COVID Box plate-B | (+)-Mefloquine | 16.37 | 20.44 |
| MMV001428 | COVID Box plate-B | Thiethylperazine | 16.60 | 16.28 |
| MMV638007 | COVID Box plate-B | Toremifene | 16.88 | 16.26 |
| MMV001871 | COVID Box plate-A | Chlorpromazine | 17.00 | 16.83 |
| MMV001829 | COVID Box plate-A | Fluphenazine | 17.07 | 16.48 |
| MMV1804190 | COVID Box plate-A | Bemcentinib | 17.25 | 15.18 |
| MMV001681 | COVID Box plate-B | Fluspirilene | 17.28 | 15.26 |
| MMV1580167 | COVID Box plate-B | Ponatinib | 17.51 | 16.42 |
| MMV1580492 | COVID Box plate-A | Ozanimod | 17.64 | 15.84 |
| MMV892669 | COVID Box plate-B | Desmethyl ferroquine | 18.19 | 16.24 |
| MMV690733 | COVID Box plate-B | Osimertinib | 18.21 | 16.61 |
| Strain | MMV1593278 MIC (µM) | MMV020335 MIC (µM) | MMV1804559 MIC (µM) |
|---|---|---|---|
| CBS132419 | 8 | 16 | 8 |
| CBS132588 | 8 | 32 | 8 |
| CBS132589 | 8 | 32 | 8 |
| p1 | 16 | 16 | 32 |
| PARIJS 15580 AL1 | 8 | 32 | 16 |
| SO1 | 8 | 16 | 16 |
| Peru72012 | 8 | 32 | 16 |
| CBS247.48 | 8 | 16 | 8 |
| MM55 | 8 | 32 | 8 |
| MIC50 | 8 | 32 | 8 |
| Number | In Vivo Significance (p-value) | AVERAGE Grain Number Per Size | Median of Total Grain Number | Mann–Whitney p-Value | Median of Large Grain Number | Mann–Whitney p-value | Median of Total Grain Size | Mann–Whitney p-Value | ||||
|---|---|---|---|---|---|---|---|---|---|---|---|---|
| Day 4 | Day 10 | Large (STDEV) | Medium (STDEV) | Small (STDEV) | Average (STDEV) | Average (STDEV) | Average (STDEV) | |||||
| Control | ||||||||||||
| PBS | 5 | 4.10 (1.93) | 3.10 (0.63) | 5.50 (2.57) | 12.70 (2.91) | 4.10 (1.93) | 0.12 (0.03) | |||||
| Global Health Priority Box | ||||||||||||
| MMV1593278 | 5 | NS | NS | / | / | / | / | / | / | / | / | / |
| MMV020335 | 5 | NS | NS | / | / | / | / | / | / | / | / | / |
| MMV1804559 | 5 | Increase survival (0.0223 *) | Increase survival (0.0313 *) | 0.95 (0.67) | 2.10 (2.15) | 7.05 (1.24) | 10.10 (2.85) | NS | 0.95 (0.67) | 0.0159 * | 0.04 (0.02) | 0.0079 ** |
| ITZ | 5 | NS | NS | 2.85 (1.75) | 3.85 (1.92) | 9.03 (3.59) | 16.00 (6.52) | NS | 2.85 (1.75) | NS | 0.10 0.05) | NS |
| MMV1804559 + ITZ | 5 | Increase survival (0.0227 *) | Increase survival (0.0465 *) | 1.80 (1.19) | 2.20 (1.30) | 5.20 (1.69) | 9.20 (0.82) | NS | 1.80 (1.19) | NS | 0.06 (0.03) | 0.0317 * |
Disclaimer/Publisher’s Note: The statements, opinions and data contained in all publications are solely those of the individual author(s) and contributor(s) and not of MDPI and/or the editor(s). MDPI and/or the editor(s) disclaim responsibility for any injury to people or property resulting from any ideas, methods, instructions or products referred to in the content. |
© 2024 by the authors. Licensee MDPI, Basel, Switzerland. This article is an open access article distributed under the terms and conditions of the Creative Commons Attribution (CC BY) license (https://creativecommons.org/licenses/by/4.0/).
Share and Cite
Ma, J.; Eadie, K.; Schippers, M.; Fahal, A.; Laleu, B.; Verbon, A.; van de Sande, W.W.J. Novel Compound MMV1804559 from the Global Health Priority Box Exhibits In Vitro and In Vivo Activity against Madurella mycetomatis. Int. J. Mol. Sci. 2024, 25, 6227. https://doi.org/10.3390/ijms25116227
Ma J, Eadie K, Schippers M, Fahal A, Laleu B, Verbon A, van de Sande WWJ. Novel Compound MMV1804559 from the Global Health Priority Box Exhibits In Vitro and In Vivo Activity against Madurella mycetomatis. International Journal of Molecular Sciences. 2024; 25(11):6227. https://doi.org/10.3390/ijms25116227
Chicago/Turabian StyleMa, Jingyi, Kimberly Eadie, Marij Schippers, Ahmed Fahal, Benoît Laleu, Annelies Verbon, and Wendy W. J. van de Sande. 2024. "Novel Compound MMV1804559 from the Global Health Priority Box Exhibits In Vitro and In Vivo Activity against Madurella mycetomatis" International Journal of Molecular Sciences 25, no. 11: 6227. https://doi.org/10.3390/ijms25116227
APA StyleMa, J., Eadie, K., Schippers, M., Fahal, A., Laleu, B., Verbon, A., & van de Sande, W. W. J. (2024). Novel Compound MMV1804559 from the Global Health Priority Box Exhibits In Vitro and In Vivo Activity against Madurella mycetomatis. International Journal of Molecular Sciences, 25(11), 6227. https://doi.org/10.3390/ijms25116227

