Metagenomic Sequencing for Diagnosing Listeria-Induced Rhombencephalitis in Patient and Contaminated Cheese Samples: A Case Report
Abstract
1. Introduction
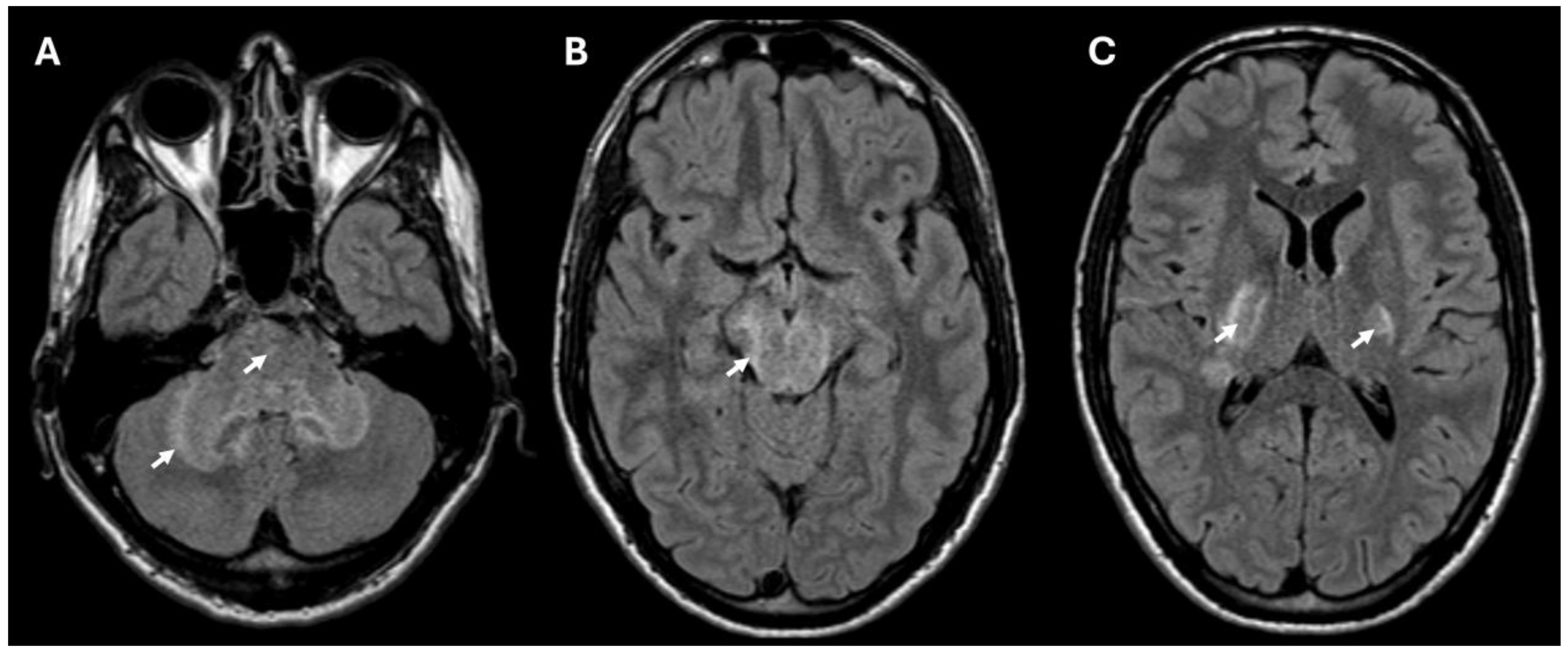
2. Case Presentation
3. Metagenomic Sequencing: Materials and Methods
4. Results
5. Discussion
6. Conclusions
Author Contributions
Funding
Institutional Review Board Statement
Informed Consent Statement
Data Availability Statement
Conflicts of Interest
References
- Cleaver, J.; James, R.; Rice, C.M. Rhomboencephalitis. Pract. Neurol. 2020, 21, 108–118. [Google Scholar] [CrossRef] [PubMed]
- Jubelt, B.; Mihai, C.; Li, T.M.; Veerapaneni, P. Rhombencephalitis/brainstem encephalitis. Curr. Neurol. Neurosci. Rep. 2011, 11, 543–552. [Google Scholar] [CrossRef] [PubMed]
- Xing, X.-W.; Zhang, J.-T.; Ma, Y.-B.; He, M.-W.; Yao, G.-E.; Wang, W.; Qi, X.-K.; Chen, X.-Y.; Wu, L.; Wang, X.-L.; et al. Metagenomic Next-Generation Sequencing for Diagnosis of Infectious Encephalitis and Meningitis: A Large, Prospective Case Series of 213 Patients. Front. Cell. Infect. Microbiol. 2020, 10, 88. [Google Scholar] [CrossRef] [PubMed]
- Miao, Q.; Ma, Y.; Wang, Q.; Pan, J.; Zhang, Y.; Jin, W.; Yao, Y.; Su, Y.; Huang, Y.; Wang, M.; et al. Microbiological Diagnostic Performance of Metagenomic Next-generation Sequencing When Applied to Clinical Practice. Clin. Infect. Dis. 2018, 67, S231–S240. [Google Scholar] [CrossRef] [PubMed]
- Wilson, M.R.; Sample, H.A.; Zorn, K.C.; Arevalo, S.; Yu, G.; Neuhaus, J.; Federman, S.; Stryke, D.; Briggs, B.; Langelier, C.; et al. Clinical Metagenomic Sequencing for Diagnosis of Meningitis and Encephalitis. N. Engl. J. Med. 2019, 380, 2327–2340. [Google Scholar] [CrossRef] [PubMed]
- Lan, Z.W.; Xiao, M.J.; Guan, Y.L.; Zhan, Y.J.; Tang, X.Q. Detection of Listeria monocytogenes in a patient with meningoencephalitis using next-generation sequencing: A case report. BMC Infect. Dis. 2020, 20, 721. [Google Scholar] [CrossRef] [PubMed]
- Stefanova, P.; Taseva, M.; Georgieva, T.; Gotcheva, V.; Angelov, A. A Modified Ctab Method for DNA Extraction from Soybean and Meat Products. Biotechnol. Biotechnol. Equip. 2013, 27, 3803–3810. [Google Scholar] [CrossRef]
- Chrzastek, K.; Lee, D.H.; Smith, D.; Sharma, P.; Suarez, D.L.; Pantin-Jackwood, M.; Kapczynski, D.R. Use of Sequence-Independent, Single-Primer-Amplification (SISPA) for rapid detection, identification, and characterization of avian RNA viruses. Virology 2017, 509, 159–166. [Google Scholar] [CrossRef] [PubMed]
- Bosilj, M.; Suljic, A.; Zakotnik, S.; Slunecko, J.; Kogoj, R.; Korva, M. MetaAll: Integrative bioinformatics workflow for analysing clinical metagenomic data. Brief. Bioinform. 2024, 25, bbae597. [Google Scholar] [CrossRef] [PubMed]
- Oevermann, A.; Zurbriggen, A.; Vandevelde, M. Rhombencephalitis Caused by Listeria monocytogenes in Humans and Ruminants: A Zoonosis on the Rise? Interdiscip. Perspect. Infect. Dis. 2010, 2010, 632513. [Google Scholar] [CrossRef] [PubMed]
- Mansbridge, C.T.; Grecu, I.; Li Voon Chong, J.S.; Vandervelde, C.; Saeed, K. Two cases of listeria rhombencephalitis. IDCases 2018, 11, 22–25. [Google Scholar] [CrossRef] [PubMed]
- Yao, M.; Zhou, J.; Zhu, Y.; Zhang, Y.; Lv, X.; Sun, R.; Shen, A.; Ren, H.; Cui, L.; Guan, H.; et al. Detection of Listeria monocytogenes in CSF from Three Patients with Meningoencephalitis by Next-Generation Sequencing. J. Clin. Neurol. 2016, 12, 446–451. [Google Scholar] [CrossRef] [PubMed]
- van de Beek, D.; Cabellos, C.; Dzupova, O.; Esposito, S.; Klein, M.; Kloek, A.T.; Leib, S.L.; Mourvillier, B.; Ostergaard, C.; Pagliano, P.; et al. ESCMID guideline: Diagnosis and treatment of acute bacterial meningitis. Clin. Microbiol. Infect. 2016, 22 (Suppl. 3), S37–S62. [Google Scholar] [CrossRef] [PubMed]
- Hue, C.D.; Bullrich, M.B.; Lam Shin Cheung, V.C.; Sharma, A.K.; Syed, A.S.; Pandey, S.K.; Morrow, S.A.; Debicki, D.B. Pearls & Oysters: Trigeminal Nerve Dysfunction as the Key Diagnostic Clue to Listeria Rhombencephalitis. Neurology 2021, 97, e1457–e1460. [Google Scholar] [CrossRef] [PubMed]
- Li, J.; Zhang, Y.; Zhang, Q.; Lu, S.; Huang, F.; Wang, J. Application of metagenomic next-generation sequencing for the diagnosis of intracranial infection of Listeria monocytogenes. Ann. Transl. Med. 2022, 10, 672. [Google Scholar] [CrossRef] [PubMed]
- Yu, L.; Zhang, Y.; Qi, X.; Bai, K.; Zhang, Z.; Bu, H. Next-generation sequencing for the diagnosis of Listeria monocytogenes meningoencephalitis: A case series of five consecutive patients. J. Med. Microbiol. 2023, 72, 001641. [Google Scholar] [CrossRef] [PubMed]


| Sample | Pathogen (Reference) | Reads Number | Bases Coverage | Coverage (%) | Mean Depth |
|---|---|---|---|---|---|
| CSF | Listeria monocytogenes (NC_003210.1) | 9376 | 56,108 | 1.90 | 0.0580 |
| Epstein–Barr virus (NC_007605.1) | 272 | 1966 | 1.14 | 0.0296 | |
| enterovirus 71 (U22521.1) | 12 | 110 | 1.48 | 0.0294 | |
| human herpesvirus 6 (NC_000898.1) | 511 | 2684 | 1.65 | 0.0540 | |
| herpes simplex virus 1 (NC_001806.1) | 137 | 1004 | 0.66 | 0.0170 | |
| Serum | Listeria monocytogenes (NC_003210.1) | 13,617 | 88,060 | 2.99 | 0.0845 |
| Epstein–Barr virus (NC_007605.1) | 352 | 2352 | 1.37 | 0.0377 | |
| enterovirus 71 (U22521.1) | 6 | 57 | 0.77 | 0.0152 | |
| human herpesvirus 6 (NC_000898.1) | 584 | 3904 | 2.41 | 0.0634 | |
| herpes simplex virus 1 (NC_001806.1) | 124 | 907 | 0.59 | 0.0146 | |
| Urine | Listeria monocytogenes (NC_003210.1) | 64,747 | 317,859 | 10.79 | 0.3971 |
| Epstein–Barr virus (NC_007605.1) | 1498 | 8538 | 4.97 | 0.1611 | |
| enterovirus 71 (U22521.1) | 44 | 333 | 4.49 | 0.1057 | |
| human herpesvirus 6 (NC_000898.1) | 2976 | 13,512 | 8.33 | 0.3122 | |
| herpes simplex virus 1 (NC_001806.1) | 546 | 3106 | 2.04 | 0.0643 |
Disclaimer/Publisher’s Note: The statements, opinions and data contained in all publications are solely those of the individual author(s) and contributor(s) and not of MDPI and/or the editor(s). MDPI and/or the editor(s) disclaim responsibility for any injury to people or property resulting from any ideas, methods, instructions or products referred to in the content. |
© 2025 by the authors. Licensee MDPI, Basel, Switzerland. This article is an open access article distributed under the terms and conditions of the Creative Commons Attribution (CC BY) license (https://creativecommons.org/licenses/by/4.0/).
Share and Cite
Resman Rus, K.; Bosilj, M.; Triglav, T.; Jereb, M.; Zalaznik, M.; Klešnik, M.; Češljarac, D.; Matičič, M.; Avšič-Županc, T.; Rus, T.; et al. Metagenomic Sequencing for Diagnosing Listeria-Induced Rhombencephalitis in Patient and Contaminated Cheese Samples: A Case Report. Int. J. Mol. Sci. 2025, 26, 655. https://doi.org/10.3390/ijms26020655
Resman Rus K, Bosilj M, Triglav T, Jereb M, Zalaznik M, Klešnik M, Češljarac D, Matičič M, Avšič-Županc T, Rus T, et al. Metagenomic Sequencing for Diagnosing Listeria-Induced Rhombencephalitis in Patient and Contaminated Cheese Samples: A Case Report. International Journal of Molecular Sciences. 2025; 26(2):655. https://doi.org/10.3390/ijms26020655
Chicago/Turabian StyleResman Rus, Katarina, Martin Bosilj, Tina Triglav, Matjaž Jereb, Mateja Zalaznik, Maša Klešnik, Danilo Češljarac, Mojca Matičič, Tatjana Avšič-Županc, Tomaž Rus, and et al. 2025. "Metagenomic Sequencing for Diagnosing Listeria-Induced Rhombencephalitis in Patient and Contaminated Cheese Samples: A Case Report" International Journal of Molecular Sciences 26, no. 2: 655. https://doi.org/10.3390/ijms26020655
APA StyleResman Rus, K., Bosilj, M., Triglav, T., Jereb, M., Zalaznik, M., Klešnik, M., Češljarac, D., Matičič, M., Avšič-Županc, T., Rus, T., & Korva, M. (2025). Metagenomic Sequencing for Diagnosing Listeria-Induced Rhombencephalitis in Patient and Contaminated Cheese Samples: A Case Report. International Journal of Molecular Sciences, 26(2), 655. https://doi.org/10.3390/ijms26020655

