Abstract
Reefal limestones of the Štramberk Carbonate Platform are preserved as olistoliths and pebbles in deep-water flysch of the Outer Carpathians (Czech Republic, Poland). They contain the richest coral assemblages of the Jurassic/Cretaceous transition (Tithonian–Berriasian). Symbiotic associations between corals and tube-dwelling macroorganisms were recognized only in the branching scleractinian corals Calamophylliopsis flabellum and Calamophylliopsis sp. One to seven calcareous tubes were recognized either in coral calyces, embedded in the wall, or attached to it. Two types of tubes were recognized: Type 1: tubes with a diameter of 0.3–0.6 mm and a very thin wall (ca. 0.05 mm), mostly occurring inside corallites, and nearly exclusively in the Štramberk-type limestone of Poland; Type 2: tubes with an outer diameter of 0.8–2.0 mm and a thick wall (ca. 0.1 mm, some even up to 0.2 mm), mostly found in the Štramberk Limestone of the Czech Republic. Growth lamellae were observed in some thick walls. Most tubes are almost straight, some are curved. The tubes were probably produced by serpulids or by embedment of organic-walled sabellid polychaete worms. It is likely the oldest record of a sabellid–coral association. Modification of the coral skeleton in contact with tubes indicates that the worms were associated with live corals. For many modern and fossil worm–coral associations, this symbiotic association is interpreted as mutualistic or commensal.
1. Introduction
Coral reefs are among the world’s marine ecosystems with the highest biodiversity. Research on coral-associated organisms in terms of their diversity and functioning is urgent [1,2]. Corals themselves form highly diverse habitats for other organisms. Some coral-associated macro- and microorganisms have fossilization potential and are recorded in extinct corals. Even coral-associated microendoliths, as part of the coral microbiome, are reported from fossil material [3].
Worms of various taxa of the phylum Annelida are the most common macroorganisms reported as in vivo associated organisms in modern [4] and fossil corals, both in Paleozoic Rugosa and Tabulata, Mesozoic–Cenozoic scleractinian corals (Refs. [5,6,7] and references therein), as well as in stromatoporoid sponges, which were the most important reef builders in the Paleozoic (e.g., Ref. [8]). Palaeontological studies of coral-associated polychaetes and other organisms provide insight into the evolution of corals and reef ecosystems.
The title of this paper has been inspired by a conference presentation by Martinell et al. [9] about associations between Pliocene solitary corals and worms. Long groove-shaped bioerosional structures running along the surface of the coral skeleton were left by eunicid polychaetes. This case of symbiosis was interpreted as commensalism [6]. In fact, many coral–worm associations are interpreted as not detrimental for the host coral, although there are exceptions [10,11].
The association from the uppermost Jurassic–lowermost Cretaceous described here—based on some samples from the Štramberk-type limestones (Poland)—was previously reported in the conference presentation [12], and a published illustration (Figure 1B in [13]). Corals from the Štramberk Limestone (Czech Republic) were subject of many taxonomic papers (most of them published in the 1960s–1970s, see [14,15]). However, the genus Calamophylliopsis (together with other genera from the family Dermosmillidae) was not subject of recent publications. Recent studies allowed to collect and study specimens of this coral genus. Limestone of the Štramberk Carbonate Platform contains some of the world’s most diversified reef coral assemblages of the Jurassic/Cretaceous transition [16,17]. However, apart from the here described symbiosis and an earlier encrusting symbiosis [18], other symbiotic associations between corals and organisms were not recognized in highly diversified corals from these limestones. The purpose of this paper is (1) to describe in detail the intergrowth between host corals and tubeworms from the Jurassic/Cretaceous transition of the Štramberk Carbonate Platform; (2) to assess the palaeoecology of this tubeworm–coral association; and (3) to compare its fossil record with modern tubeworm–coral associations.
2. Materials and Methods
The biotic association studied here was recognized in the Štramberk Limestone (Czech Republic) and in the Štramberk-type limestone (Poland). These limestones were deposited during the Tithonian (mostly) and Berriasian (Jurassic/Cretaceous transition) on the Štramberk Carbonate Platform. Until the 1960s, the Štramberk Limestone was considered as only of Tithonian age, based on the available biostratigraphic data. The Štramberk Carbonate Platform is a collective term for small, narrow platforms that were attached to intra-basinal ridges in the Carpathian Basin of the Tethys Ocean. It is called a lost carbonate platform, because these limestones occur in the Cretaceous–Paleogene deep-water flysch deposits of the Outer Western Carpathians as olistoliths (megablocks) and pebbles [16]. Olistoliths of the Štramberk Limestone in a large Kotouč Quarry in Štramberk (Moravia, Czech Republic) occur in the Cretaceous flysch of the Silesian Nappe [19,20,21]. The Štramberk-type limestones (Poland) occur as pebbles and small blocks in many localities in the Cretaceous (locally uppermost Jurassic)–Paleogene flysch [16]. These limestones are represented by various facies of the carbonate platform and its slope. They are mainly known for reef sediments, with the world’s most diverse fossil coral assemblages on record (ca. 120 species of 50 genera; especially numerous in Štramberk), in reefs developed at the Jurassic/Cretaceous boundary, which were studied already in the 19th century [13,14,15,16,17]. It is also one of the richest coral communities of Jurassic reefs, which developed mainly in the Oxfordian–Kimmeridgian. Other groups of macrofossils are also common in the Štramberk Limestone [14].
We examined about 15 specimens of Calamophylliopsis flabellum (Blainville, 1830) and Calamophylliopsis sp. Coral-associated worms were recognized in four coral specimens from the Štramberk Limestone (Czech Outer Carpathians) and in three coral specimens from the Štramberk-type limestones. Samples from the Štramberk Limestone are from huge olitoliths in the Kotouč Quarry in Štramberk [20,21]. Samples from the Štramberk-type limestones (clasts of pebble size from the Cretaceous flysch deposits) are from localities Woźniki, Jastrzębia and Lusina (Polish Outer Carpathians; see localities 7, 10 and 14 in [16]; and Figure 1 based on [22]). Seventeen standard thin sections (4 × 2.7 cm) were studied under petrographic and binocular microscopes. All specimens are stored in the Institute of Geological Sciences, Jagiellonian University in Kraków.
Figure 1.
Geological map (simplified after [22]) showing the general location of sampling sites. 1: Štramberk; 2–4: Woźniki, Jastrzębia, Lusina.
3. Results
Some of the branching Calamophylliopsis corals (larger corallite diameter: 7–11 mm, smaller corallite diameter: 3–8 mm) contain calcareous tubes. They usually range from one to five, very rarely up to seven, in a single corallite, either inside the inner part of a calyx, embedded in the corallite wall, or attached outside the wall. The tubes are mostly oriented along the growth direction of the corallite. Some of them are slightly curved.
Two types of tube wall were recognized. Type 1: tubes with a diameter of 0.3–0.6 mm and a very thin wall (ca. 0.05 mm), occurring mostly in the inner part of corallites (Figure 2). The walls of these tubes are calcareous, but they lack internal structure in the form of growth lamellae. The tube walls are free of macroscopic remnants of organic matter, which would differ from the calcareous skeleton by their dark colour (i.e., carbonaceous composition). The series of sections through different growth stadia of coral indicate that the tubes are almost straight and not U-shaped. Type 2: tubes with a thick wall (ca. 0.1 mm, some even up to 0.2 mm) with a diameter of 0.8–2 mm (Figure 3). They were recognized more commonly in the wall region. Tubes of Type 1 are much more numerous in a corallite (one coral branch) and were recognized nearly exclusively in the Štramberk-type limestones of Poland. Tubes of Type 2 occur mostly in samples from the Štramberk Limestone of the Czech Republic and are mostly associated with the corallite wall, but may also occur in the inner part of a corallite. In some corallites, there is only one tube of Type 2. The growth lamellae are observed in some thick walls of large tubes. The series of sections through different growth stadia of coral indicate that these tubes are almost straight or somewhat undulating, and with a single entrance. The distances between the tubes are rather large and tubes do not cluster, with the exception of one corallite to which a cluster of four tubes is attached (which modified the growth of the coral wall).
Figure 2.
Coral–worm association in the Štramberk-type limestones (Poland). (a,b) Thin-walled tubes (Type 1) in the coral calyx, transverse section. (c) Relatively thin wall of tubes of Type 2 in the peripheral region of the calyx, transverse section. (d) Thin-walled tubes in the calyx; serpulid tubes attached to the exterior of the corallite, transverse section. (a,b,d)—Calamophylliopsis flabellum, (c)—Calamophylliopsis sp. (a,b,d)—Woźniki, (c)—Lusina.
Figure 3.
Coral–worm association in the Štramberk Limestone (Czech Republic). (a) Thin walled-tubes (Type 1) in the calyx and thick-walled tube (Type 2) at the edge of the corallite, transverse section. Note: wall modification induced by the worm. (b) Thick-walled tube in the middle of the calyx and serpulid tubes attached to the coral wall (note skeleton aberrations), transverse section. (c) Thin-walled tube in oblique section. (d) Thick-walled tubes in the middle of the calyx, transverse section. (e) Thick-walled tube with growth lamellae, oblique section. (f) Thick-walled tubes in the transverse section. (a,b,d)—Calamophylliopsis flabellum, (c)—Calamophylliopsis sp. (a,b,d,f)—Calamophylliopsis sp., (c)—Calamophylliopsis flabellum.
4. Discussion
4.1. Coral
Among corals from the Štramberk Carbonate Platform, symbiotic worms were recognized only in the species Calamophylliopsis flabellum and Calamophylliopsis sp. (order Scleractinia, family Dermosmiliidae). Calamophylliopsis flabellum, showing a phaceloid colony growth form, was common in the Late Jurassic [23]. Other species of the genus Calamophylliopsis Alloiteau, 1952 were also common during the Late Jurassic–Early Cretaceous [24]. Phaceloid colonies are branching with a low degree of corallite integration. Coral polyps occur only on the top of coral branches, which were only connected during budding. Phaceloid corals are rare in Cenozoic reefs, but were common during the Jurassic, where they inhabited low-energy reef environments with fine-grained sedimentation [25].
4.2. Nature of Tubes
The walls of thin-walled bioclaustrations are too thin for calcareous tubeworms, such as serpulids. The study of the tube wall under a light microscope did not reveal any dark-coloured remains of supposed organic tubes, although a complete decay of organic material is common in fossils that are millions of years old. The tube walls of calcareous Mesozoic tubeworms of such diameters are usually about 0.1 mm thick or even thicker (O. Vinn personal observations). They likely result from embedment of organic-walled tubeworms, such as sabellids in modern corals [26] or represent a bioclaustration of a soft-bodied worm, though likely a polychaete. The thin walls of bioclaustrations are likely composed of coral skeleton and are analogous to those of Chaetosalpinx in Paleozoic corals [7]. Such bioclaustrations formed during the process of embedment of a non-biomineralized endobiont in a living coral. The organic walls of sabellids usually do not fossilize and their absence in the studied corals is not surprising. However, the dimensions of the thin-walled bioclaustrations fit well with the sizes of modern sabellid tubes and make the sabellid affinity of the bioclaustratons very likely [27].
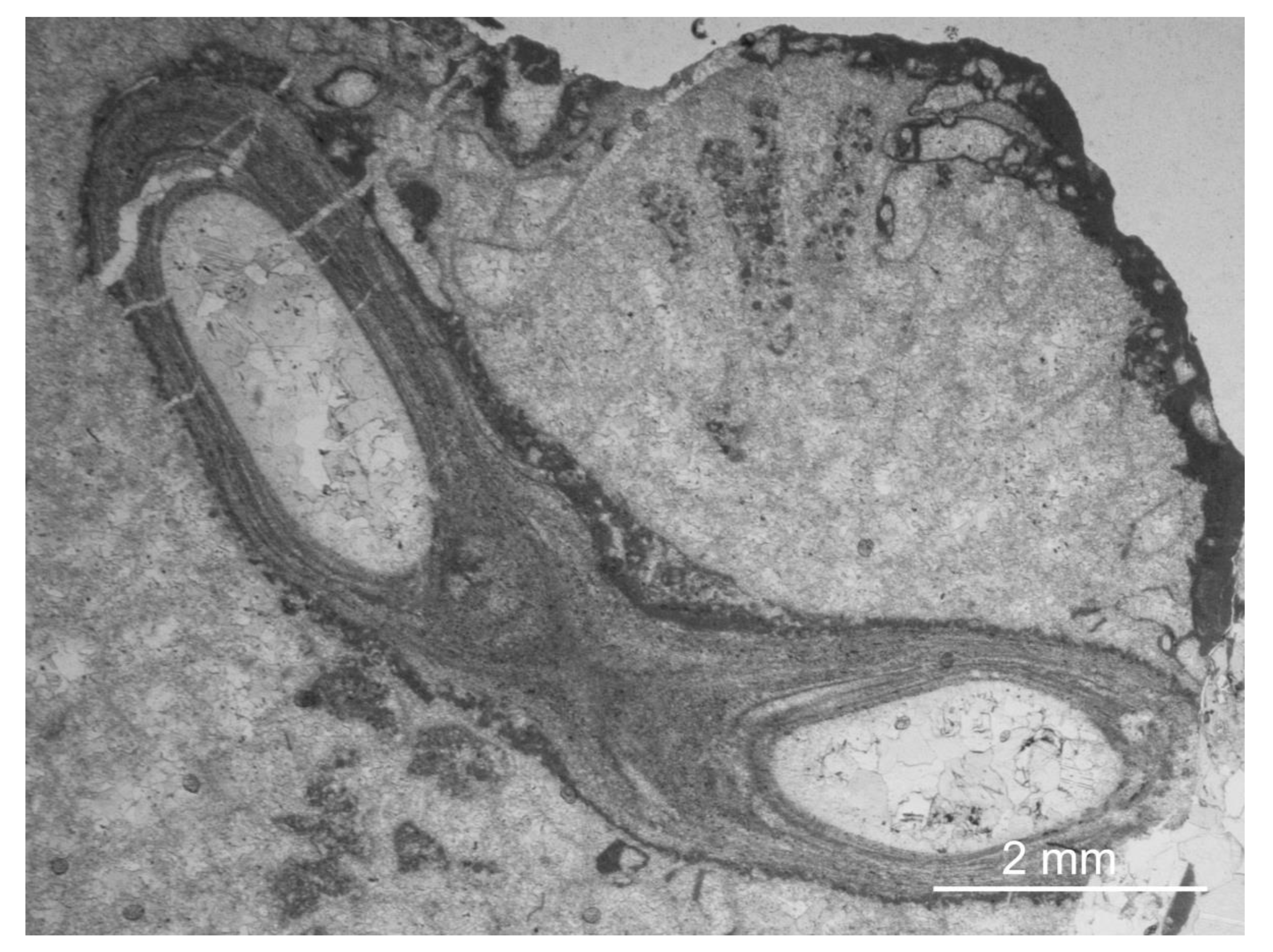
The lamellae of thick-walled tubes (Figure 4) resemble serpulid growth lamellae that are chevron-shaped in the longitudinal section. The morphology and microstructure of thick-walled calcareous tubes indicate that they likely belong to serpulid tubeworms. The dwellings of modern endobiotic serpulids such as Spirobranchus spp. in tropical corals [28,29,30,31] very much resemble those of thick-walled tubes in Calamophylliopsis, studied here. The morphology of thick-walled tubes does not allow the identification at genus level as a large number of serpulid genera contain species with smooth unornamented tubes with circular cross-section [32]. The modification of the coral skeleton observed at the contact with tubes indicates that the worms were associated with live corals. Similar tubes are also produced by coral-dwelling worm snails [33], but it is unclear if these already existed during the Jurassic/Cretaceous boundary since worm snail-like tubes older than the Upper Cretaceous lack preserved protoconchs [34]. Therefore, we do not consider worm snails plausible as possible producers of the tubes in our study.
Figure 4.
Growth lamellae in the thick-walled worm tube in Calamophylliopsis sp.; Štramberk.
4.3. Type of the Coral–Worm Association
Activity of polychaete worms has modified the coral morphology, which indicates that it was an in vivo relationship. Thus, it was a symbiosis in a broad sense (living together), an original meaning of this term, accepted by most researchers. Symbiotic relationships can represent parasitism (− +), commensalism (0 +), mutualism (+ +) or amensalism (00) [6]. In a fossil record, it is usually difficult or impossible to determine the exact nature of the association. Some interactions are strongly affected by environmental conditions. Recent studies revealed that an archetypal model of symbiosis (mutualism), namely the association of corals and dinoflagellate algae from the family Symbiodiniaceae (originally attributed to Symbiodinium), is a continuum of interactions from mutualism to parasitism [35]. Endosymbionts usually benefit from the feeding currents of host organism, such as many endobiotic symbionts in bryozoans [36]. However, corals do not produce feeding currents and as micropredators, they feed on other organisms than serpulids and sabellids, which are suspension feeders. Thus, kleptoparasitism can be ruled out for tubeworm–coral associations. In contrast, tubeworms are active suspension feeders and could have provided host corals with a nutrient flow. The question under debate is whether poorly integrated (phaceloid) scleractinian corals were photosymbiotic by their zooxanthellate. Recent corals showing such morphology are rare and asymbiotic. There is, however. evidence that Late Triassic phaceloid corals were zooxanthellate [37]. The host coral also benefitted from increased water circulation to adjacent polyps facilitating coral recovery in zooxanthellate coral colonies. The worms in turn found protection against predators within a coral that protected them with nematocysts. There is a possibility that such tubeworm–coral associations may have been mutualistic. Fossil coral macrosymbioses are classified into intergrowth, encrusting and boring categories [5]. Some tubeworms studied here encrusted coral skeletons in vivo, but most coral–worm relationships as this one recognized here represent an intergrowth symbiosis.
4.4. Coral–Worm Symbiosis in a Fossil Record
The symbiotic relationships between corals and worms have a long evolutionary history. Worms colonized rugose and tabulate corals already since the Late Ordovician, in the Paleozoic [7,38,39,40]. However, the polychaete affinity of some of these worm bioclaustrations is problematic. A symbiotic relation between the solitary rugose corals ?Yuanophyllum and ?Dibunophyllum and a large soft-bodied worm-like endobiont has been described from the Hezhou Formation (Serpukhovian) of South China. This endobiotic symbiont lived in a U-shaped tube, probably with a horizontally sideways bent base connecting the vertical shafts, which differed from the straight or undulating single-entrance calcareous worm tubes known from the Mesozoic [41]. The earliest confirmed polychaete fossils are associated with Mesozoic corals. In the Lower Cretaceous of Argentina, serpulids have been found to be embedded within a coral skeleton, suggesting an in vivo interaction between the coral and the worm [42]. The symbiotic association between the serpulid Propomatoceros sulcicarinata Ware, 1974 and ramose corals of the scleractinians Stereocaenia triboleti (Koby, 1896) and Columastrea antiqua (Gerth, 1928) has been described from the early Hauterivian of the Neuquén Basin, Argentina [43]. Propomatoceros sulcicarinata tubes grew parallel to the coral branches reaching their upper tips and they were bioimmured within the coral as they grew upwards, similarly to our serpulid–coral association. The symbiotic relationship between P. sulcicarinata and two species of corals has been interpreted as a mutualism as both members of the association probably benefitted from each other [43]. It is possible that serpulids in the latter association obtained protection against predators such as fish and crabs [44,45] while being bio-immured by an organism having tentacles with protective nematocysts, whereas the polychaetes, by actively creating water currents for feeding, would have improved water flow around coral surface, thus improving the elimination of waste products and/or the increasing availability of nutrients [44,46,47]. In the Miocene of Poland, the serpulid polychaete Josephella commensalis Bałuk & Radwański, 1997, encrusted the calyces of the living Tarbellastraea reussiana (Milne Edwards & Haime, 1850) [48], but this association differs from our serpulid–coral association by the lack of full intergrowth of the two partner organisms. Tarbellastraea corals participated in two different in vivo associations with serpulids in the Miocene of Central Paratethys of Moravia (T. Kočí personal communication).
4.5. Polychaete Worms Symbiotically Associated with Modern Corals
The larvae of various polychaetes settle on living corals (e.g., [49,50]). After metamorphosis, they either bore into the coral skeleton [51,52] or alternatively will act as fouling organisms [53], which eventually may become embedded by coral tissue [10,11,28,29]. Among polychaetes, serpulids and sabellids are the most famous coral associates. The serpulids Spirobranchus spp. and Floriprotis sabiuraensis Uchida, 1978 are endobiotic symbionts in various modern corals [30,31,54,55]. The Caribbean feather duster worm Anamobaea sp. (Sabellidae) has been found as an associate of 27 stony coral species (Scleractinia spp. and Millepora spp.) [26]. Serpula vermicularis Linnaeus, 1767 tube aggregations are sometimes intergrown with the deep-sea coral Madrepora oculata Linnaeus, 1758 [56] and Filograna sp. has been reported from Desmophyllum pertusum (Linnaeus, 1758) [57]. Caribbean Christmas tree worms of the genus Spirobranchus are considered common host generalists in their associations with anthozoan (Scleractinia) and hydrozoan (Millepora) stony corals in depths less than 30 m [31,44,58]. Secondary hosts of S. giganteus (Pallas, 1766) (overgrowing the primary hosts) include various octocorals [30], the zoantharian Palythoa caribaeorum [31], the ascidian Trididemnum solidum (Van Name, 1902) [30] and numerous sponge species [59]. The serpulid Spiropbranchus giganteus and sabellid feather duster worm Anamobaea sp. both form a secondary association with the Caribbean encrusting octocoral Erythropodium caribaeorum (Duchassaing & Michelotti, 1864) [26,30]. An aggregated distribution in serpulids occurs in an undescribed species of Vermiliopsis Saint-Joseph, 1894 from corals of the Caribbean scleractinian genus Stephanocenia Milne Edwards & Haime, 1848 [4]. The tubes of this serpulid are surrounded by coral tissue and the crowns are regularly distributed on the coral surface [4].
Non-tubicolous polychaetes also form symbiotic associations with modern corals. Such polychaetes may either construct their own refuges on the host’s surface or stimulate their hosts to build protective structures around them. Among tubeless polychaetes, the eunicid Eunice floridana (Pourtalès, 1867) and the scaleworms Harmothoe melanicornis Britaev, 1981, Malmgreniella dicirra Hartman, 1967, Gorgoniapolynoe uschakovi (Britaev, 1981) and several species of Gorgonyapolynoe Pettibone, 1991 live inside tunnels or gall-like cavities formed by coenenchymal walls of gorgonian or hydrocoral hosts [4]. A boring polychaete Polydora villosa Radashevsky & Hsieh, 2000 colonizes corals of the scleractinian genera Montipora and Porites [60]. The lumbrinerid Lumbrineris flabellicola Fage, 1936 associated with scleractinian corals lives in membranous transparent tubes attached to the side of the host coral [61,62]. Wright and Woodwick [63] reported blisters formed by the small syllid Proceraea penetrans (Wright & Woodwick, 1977) on the hydrocoral Stylaster californicus (Verrill, 1866) [4]. This worm penetrates the surface of the host resulting in a hyperplasia of cellular and calcareous material, which produces a characteristic vermiform mound [4].
The relationships between polychaetes and corals can be mutualistic, commensal or parasitic [4]. Modern serpulid–coral associations have the strongest analogy with the presently described fossil association. The relationships in Spirobranchus giganteus–coral associations range from commensalism to mutualism [46]. Spirobranchus giganteus protects the host coral from predation [64] and increases water circulation to adjacent polyps facilitating coral recovery in algal dominated coral colonies [46]. Such relationships illustrate the importance of associated species on coral reefs [47]. Symbiotic sabellids of the genus Anamobaea Krøyer, 1856 can cause distinct injuries in most host coral species and morphological deformities in a few of them. Since these tubeworms can form high densities, they have the potential to become a pest species on Caribbean coral reefs when environmental conditions become more favourable for them [26].
5. Conclusions
Two types of tubes occur in corals: Calamophylliopsis flabellum and Calamophylliopsis sp. The thin-walled bioclaustrations are surrounded by skeleton of the host coral and likely lack their own mineral tube wall. Thin-walled bioclaustrations were formed around soft-bodied worms or worms with organic tubes, such as sabellids. The dimensions of the thin-walled bioclaustrations fit well with the sizes of modern sabellid tubes and make the sabellid affinity of the bioclaustrations very likely. These specimens are likely the oldest record of sabellid–scleractinian associations. Thick-walled tubes likely belong to serpulids and are similar to the modern endobiotic serpulids such as Spirobranchus species. They have their own biomineral wall as do serpulids. The tubeworms are active suspension feeders and could have provided the host coral with nutrient flow, which could have been important if the Jurassic corals were azooxanthellate. If the corals were zooxanthellate and received most of nutrients from photosymbionts, then they still would have benefitted from the improved elimination of waste products and the prevention of algal settlement. The worms may have found protection against predators within a coral that protected them with nematocysts. Alternatively, the worms could have protected host coral similarly to modern Spirobranchus–coral associations. It is likely that such tubeworm–coral associations may have been mutualistic. The coral–worm intergrowth symbiosis described here was recognized only in the Štramberk Limestone and the Štramberk-type limestones, although Calamophylliopsis was a common coral genus during the Late Jurassic–Early Cretaceous. This supports linking sedimentary areas of studied limestones from the Czech Republic and Poland into a single palaeogeographic unit of the Štramberk Carbonate Platform.
Author Contributions
Conceptualization, B.K. and O.V.; field studies, B.K. and Z.K.; writing—all authors. All authors have read and agreed to the published version of the manuscript.
Funding
This research received no external funding.
Institutional Review Board Statement
Not applicable.
Data Availability Statement
Not applicable.
Acknowledgments
We are grateful to two anonymous reviewers for their comments and suggestions.
Conflicts of Interest
The authors declare no conflict of interest.
References
- Montano, S. The extraordinary importance of coral-associated fauna. Diversity 2020, 12, 357. [Google Scholar] [CrossRef]
- Montano, S. Diversity of coral-associated fauna: An urgent call for research. Diversity 2022, 14, 765. [Google Scholar] [CrossRef]
- Salamon, K.; Kołodziej, B. Unravelling the microbiome of fossil corals: A message from microborings. Hist. Biol. 2022, 34, 1228–1239. [Google Scholar] [CrossRef]
- Martin, D.; Britayev, T.A. Symbiotic polychaetes: Review of known species. Oceanogr. Mar. Biol. Ann. Rev. 1998, 36, 217–340. [Google Scholar]
- Darrell, J.G.; Taylor, P.D. Macrosymbiosis in corals: A review of fossil and potentially fossilizable examples. Cour. Forsch. Senckenberg 1993, 164, 185–198. [Google Scholar]
- Martinell, J.; Domènech, R. Commensalism in the fossil record: Eunicid polychaete bioerosion on Pliocene solitary corals. Acta Palaeontol. Pol. 2009, 54, 143–154. [Google Scholar] [CrossRef]
- Tapanila, L. Palaeoecology and diversity of endosymbionts in Palaeozoic marine invertebrates. Trace fossil evidence. Lethaia 2005, 38, 89–99. [Google Scholar] [CrossRef]
- Vinn, O. Symbiotic endobionts in Paleozoic stromatoporoids. Palaeogeogr. Palaeoclimatol. Palaeoecol. 2016, 453, 146–153. [Google Scholar] [CrossRef]
- Martinell, J.; Domènech, R.; Vera, J.L.; Lozano, M.C. When a worm loves a coral: Meandropolydora on solitary corals in Western Mediterraenan Pliocene. In Proceedings of the VI International Bioerosion Workshop; Programme & Abstracts, Erlangen, Germany, 29 October–3 November 2006; p. 28. [Google Scholar]
- Hoeksema, B.W.; van der Schoot, R.J.; Wels, D.; Scott, C.M.; ten Hove, H.A. Filamentous turf algae on tube worms intensify damage in massive Porites corals. Ecology 2019, 100, e02668. [Google Scholar] [CrossRef]
- Hoeksema, B.W.; Wels, D.; van der Schoot, R.J.; ten Hove, H.A. Coral injuries caused by Spirobranchus opercula with and without epibiotic turf algae at Curaçao. Mar. Biol. 2019, 166, 60. [Google Scholar] [CrossRef]
- Kołodziej, B. A symbiosis between scleractinian coral Calamophylliopsis and polychaete (Tithonian–Berriasian). Publ. Serv. Géol. Luxemb. 1995, 29, 121–122. [Google Scholar]
- Kołodziej, B. Corals of the Štramberk-type limestones from Poland: Taxonomic and palaeoecological aspects. Neues. Jahrb. Geol. Palaontol. Abh. 2015, 276, 189–200. [Google Scholar] [CrossRef]
- Vašíček, Z.; Skupien, P. The Štramberk fossil site (Uppermost Jurassic/Lower Cretaceous, Outer Western Carpathians)—Two centuries of the geological and paleontological research. Sb. Věd. Pr. Vysoké Šk. Báň.-Tech. Univ. Ostrava Řada Hut-Geol. 2004, 50, 83–102, (In Czech, with English Summary). [Google Scholar]
- Eliášová, H. Corals from the Štramberk Limestone (Silesian Unit, Western Outer Carpathians, Czech Republic). In: Krobicki, M. Ed, Utwory przełomu jury i kredy w zachodnich Karpatach fliszowych polsko-czeskiego pogranicza. Jurassica VII, Żywiec/Štramberk. Geologia 2008, 34, 151–160. [Google Scholar]
- Hoffmann, M.; Kołodziej, B.; Kowal-Kasprzyk, J. A lost carbonate platform deciphered from clasts embedded in flysch: Štramberk-type limestones, Polish Outer Carpathians. Ann. Soc. Geol. Pol. 2021, 91, 203–251. [Google Scholar] [CrossRef]
- Kozlová, Z. Corals from the Štramberk Carbonate Platform (Tithonian–Berriasian, Czech Republic, Poland, Carpathians): An overview. In Proceedings of the 11th International Congress on the Jurassic System; Abstracts, Program and Field Trip Guide, Budapest, Hungary, 29 August–2 September 2022; Pálfy, J., Főzy, I., Eds.; p. 64. [Google Scholar]
- Kołodziej, B. Encrusting and intergrowth symbioses between Stylosmilia corallina and calcified sponges (Late Jurassic). In Proceedings of the Berichte des Institutes für Geologie und Paläontologie der Karl-Franzens-Universität Graz; Abstracts of the 8th International Symposium on Fossil Cnidaria and Porifera, Graz, Austria, 3–7 August 2003; Volume 7, p. 42. [Google Scholar]
- Eliáš, M.; Eliášová, H. Facies and palaeogeography of the Jurassic in the western part of the Outer Flysch Carpathians in Czechoslovakia. Sbor. Geol. Vĕd. 1984, 39, 105–170. [Google Scholar]
- Vaňková, L.; Elbra, T.; Pruner, P.; Vašíček, Z.; Skupien, P.; Reháková, D.; Schnabl, P.; Košťák, M.; Švábenická, L.; Svobodová, A.; et al. Integrated stratigraphy and palaeoenvironment of the Berriasian peri-reefal limestones at Štramberk (Outer Western Carpathians, Czech Republic). Palaeogeogr. Palaeoclimatol. Palaeoecol. 2019, 532, 109256. [Google Scholar] [CrossRef]
- Hoffmann, M.; Kołodziej, B.; Skupien, P. Microencruster-microbial framework and synsedimentary cements in the Štramberk Limestone (Carpathians, Czech Republic): Insights into reef zonation. Ann. Soc. Geol. Pol. 2017, 87, 325–347. [Google Scholar] [CrossRef]
- Castelluccio, A.; Mazzoli, S.; Andreucci, B.; Jankowski, L.; Szaniawski, R.; Zattin, M. Building and exhumation of the Western Carpathians: New constraints from sequentially restored, balanced cross sections integrated with low-temperature thermochronometry. Tectonics 2016, 35, 2698–2733. [Google Scholar] [CrossRef]
- Ricci, C.; Lathuiliere, B.; Rusciadelli, G. Coral communities, zonation and paleoecology of an Upper Jurassic reef complex (Ellipsactinia Limestones, central Apennines, Italy). Riv. Ital. Paleontol. Stratigr. 2018, 124, 433–508. [Google Scholar] [CrossRef]
- Löser, H. Catalogue of Cretaceous Corals, Volume 4: Systematic Part; CPress Verlag: Dresden, Germany, 2016; 710p. [Google Scholar]
- Roniewicz, E.; Stolarski, J. Evolutionary trends in the epithecate scleractinian corals. Acta Palaeontol. Pol. 1999, 44, 131–166. [Google Scholar]
- Hoeksema, B.W.; Timmerman, R.F.; Spaargaren, R.; Smith-Moorhouse, A.; van der Schoot, R.J.; Langdon-Down, S.J.; Harper, C.E. Morphological modifications and injuries of corals caused by symbiotic feather duster worms (Sabellidae) in the Caribbean. Diversity 2022, 14, 332. [Google Scholar] [CrossRef]
- Tovar-Hernández, M.A.; ten Hove, H.A.; Vinn, O.; Zatoń, M.; de León-González, J.A.; García-Garza, M.E. Fan worms (Annelida: Sabellidae) from Indonesia collected by the Snellius II Expedition (1984) with descriptions of three new species and tube microstructure. PeerJ 2020, 8, e9692. [Google Scholar] [CrossRef] [PubMed]
- Nishi, E.; Nishihira, M. Age-estimation of the Christmas tree worm Spirobranchus giganteus (Polychaeta, Serpulidae) living buried in the coral skeleton from the coral-growth band of the host coral. Fish. Sci. 1996, 62, 400–403. [Google Scholar] [CrossRef]
- Nishi, E.; Nishihira, M. Use of annual density banding to estimate longevity of infauna of massive corals. Fish. Sci. 1999, 65, 48–56. [Google Scholar] [CrossRef]
- Hoeksema, B.W.; Lau, Y.W.; ten Hove, H.A. Octocorals as secondary hosts for Christmas tree worms off Curaçao. Bull. Mar. Sci. 2015, 91, 489–490. [Google Scholar] [CrossRef]
- Hoeksema, B.W.; García-Hernández, J.E.; van Moorsel, G.W.N.M.; Olthof, G.; ten Hove, H.A. Extension of the recorded host range of Caribbean Christmas tree worms (Spirobranchus spp.) with two scleractinians, a zoantharian, and an ascidian. Diversity 2020, 12, 115. [Google Scholar] [CrossRef]
- ten Hove, H.A.; Kupriyanova, E.K. Taxonomy of Serpulidae (Annelida, Polychaeta): The state of affairs. Zootaxa 2009, 2036, 1–126. [Google Scholar] [CrossRef]
- Hoeksema, B.W.; Harper, C.E.; Langdon-Down, S.J.; van der Schoot, R.J.; Smith-Moorhouse, A.; Spaargaren, R.; Timmerman, R.F. Host range of the coral-associated worm snail Petaloconchus sp. (Gastropoda: Vermetidae), a newly discovered cryptogenic pest species in the southern Caribbean. Diversity 2022, 14, 196. [Google Scholar] [CrossRef]
- Bandel, K.; Kowalke, T. Cretaceous Laxispira and a discussion on the monophyly of vermetids and turritellids (Caenogastropoda, Mollusca). Geol. Palaeontol. 1997, 31, 257–274. [Google Scholar]
- Lesser, M.P.; Stat, M.; Gates, R.D. The endosymbiotic dinoflagellates (Symbiodinium sp.) of corals are parasites and mutualists. Coral Reefs 2013, 32, 603–611. [Google Scholar] [CrossRef]
- Bogdanov, E.A.; Vishnyakov, A.E.; Ostrovsky, A.N. From Procaryota to Eumetazoa: Symbiotic associations in fossil and recent bryozoans. Paleontol. J. 2022, 56, 836–851. [Google Scholar] [CrossRef]
- Frankowiak, K.; Wang, X.T.; Sigman, D.M.; Gothmann, A.M.; Kitahara, M.V.; Mazur, M.; Meibom, A.; Stolarski, J. Photosymbiosis and the expansion of shallow-water corals. Sci. Adv. 2016, 2, e1601122. [Google Scholar] [CrossRef] [PubMed]
- Oliver, W.A., Jr. Symbioses of Devonian rugose corals. Mem. Assoc. Australas. Palaeontol. 1983, 1, 261–274. [Google Scholar] [CrossRef]
- Elias, R.J. Symbiotic relationships between worms and solitary rugose corals in the Late Ordovician. Paleobiology 1986, 12, 32–45. [Google Scholar] [CrossRef]
- Zapalski, M.K. Parasitism versus commensalism: The case of tabulate endobionts. Palaeontology 2007, 50, 1375–1380. [Google Scholar] [CrossRef]
- Lin, W.; Herbig, H.G. A soft-bodied endosymbiont in Serpukhovian (Late Mississippian, Carboniferous) rugose corals from South China. Boll. Soc. Paleontol. Ital. 2020, 59, 235–245. [Google Scholar] [CrossRef]
- Luci, L.; Garberoglio, R.M.; Lazo, D.G.; Manceñido, M.O. Sclerobionts on soft-bottom, free-living Stylomaeandra Fromentel corals from the Lower Cretaceous Agrio Formation, Neuquén Basin, Argentina: Palaeobiological implications for umbrella-shaped colonies. Hist. Biol. 2021, 33, 3542–3560. [Google Scholar] [CrossRef]
- Garberoglio, R.M.; Lazo, D.G. Post-mortem and symbiotic sabellid and serpulid-coral associations from the Lower Cretaceous of Argentina. Rev. Bras. Paleontol. 2011, 14, 215–228. [Google Scholar] [CrossRef]
- Hoeksema, B.W.; ten Hove, H.A. Attack on a Christmas tree worm by a Caribbean sharpnose pufferfish at St. Eustatius, Dutch Caribbean. Bull. Mar. Sci. 2017, 93, 1023–1024. [Google Scholar] [CrossRef]
- Muller, E.; de Gier, W.; ten Hove, H.A.; van Moorsel, G.W.M.N.; Hoeksema, B.W. Nocturnal predation of Christmas tree worms by a Batwing coral crab at Bonaire (Southern Caribbean). Diversity 2020, 12, 455. [Google Scholar] [CrossRef]
- Ben-Tzvi, O.; Einbinder, S.; Brokovich, E. A beneficial association between a polychaete worm and a scleractinian coral? Coral Reefs 2006, 25, 98. [Google Scholar] [CrossRef]
- Rowley, S. A critical evaluation of the symbiotic association between tropical tube-dwelling polychaetes and their hermatypic coral hosts, with a focus on Spirobranchus giganteus (Pallas, 1766). Plymouth Stud. Sci. 2008, 1, 335–353. [Google Scholar]
- Bałuk, W.; Radwański, A. The micropolychaete Josephella commensalis sp.n. commensal of the scleractinian coral Tarbellastraea reussiana (Milne-Edwards & Haime, 1850) from the Korytnica Clays (Middle Miocene; Holy Cross Mountains, Central Poland). Acta Geol. Pol. 1997, 47, 211–224. [Google Scholar]
- Marsden, J.R. Coral preference behaviour by planktotrophic larvae of Spirobranchus giganteus corniculatus (Serpulidae: Polychaeta). Coral Reefs 1987, 6, 71–74. [Google Scholar] [CrossRef]
- Hunte, W.; Conlin, B.E.; Marsden, J.R. Habitat selection in the tropical polychaete Spirobranchus giganteus. I. Distribution on corals. Mar. Biol. 1990, 104, 87–92. [Google Scholar] [CrossRef]
- Hutchings, P. Role of polychaetes in bioerosion of coral substrates. In Current Developments in Bioerosion; Springer: Berlin/Heidelberg, Germany, 2008; pp. 249–264. [Google Scholar] [CrossRef]
- Dee, S.; DeCarlo, T.; Lozić, I.; Nilsen, J.; Browne, N.K. Low bioerosion rates on inshore turbid reefs of Western Australia. Diversity 2023, 15, 62. [Google Scholar] [CrossRef]
- Samimi-Namin, K.; Risk, M.J.; Hoeksema, B.W.; Zohari, Z.; Rezai, H. Coral mortality and serpulid infestations associated with red tide, in the Persian Gulf. Coral Reefs 2010, 29, 509. [Google Scholar] [CrossRef]
- Nishi, E. Serpulid polychaetes associated with living and dead corals at Okinawa Island, Southwest Japan. Publ. Seto Mar. Biol. Lab. 1996, 36, 305–318. [Google Scholar] [CrossRef]
- Capa, M.; Kupriyanova, E.; Nogueira, J.M.D.M.; Bick, A.; Tovar-Hernández, M.A. Fanworms: Yesterday, today and tomorrow. Diversity 2021, 13, 130. [Google Scholar] [CrossRef]
- Sanfilippo, R.; Vertino, A.; Rosso, A.; Beuck, L.; Freiwald, A.; Taviani, M. Serpula vermicularis tube aggregations are intergown with Madrepora oculata and other stony corals including Desmophyllum dianthus. Facies 2013, 59, 663–677. [Google Scholar] [CrossRef]
- Rosso, A.; Vertino, A.; Di Geronimo, I.; Sanfilippo, R.; Sciuto, F.; Di Geronimo, R.; Violanti, D.; Corselli, C.; Taviani, M.; Mastrototaro, F.; et al. Hard and soft-bottom thanatofacies from the Santa Maria di Leuca deep-water coral province, Mediterranean. Deep Sea Res. II 2010, 57, 360–379. [Google Scholar] [CrossRef]
- van der Schoot, R.J.; Hoeksema, B.W. Abundance of coral-associated fauna in relation to depth and eutrophication along the leeward side of Curaçao, southern Caribbean. Mar. Environ. Res. 2022, 181, 105738. [Google Scholar] [CrossRef]
- García-Hernández, J.E.; Hoeksema, B.W. Sponges as secondary hosts for Christmas tree worms at Curaçao. Coral Reefs 2017, 36, 1243. [Google Scholar] [CrossRef]
- Liu, P.J.; Hsieh, H.L. Burrow architecture of the spionid polychaete Polydora villosa in the corals Montipora and Porites. Zool. Stud. 2000, 39, 47–54. [Google Scholar]
- Zibrowius, H.; Southward, E.C.; Day, J.H. New observations on a little-known species of Lumbrineris (Polychaeta) living on various cnidarians, with notes on its recent and fossil scleractinian hosts. J. Mar. Biol. Assoc. 1975, 55, 83–108. [Google Scholar] [CrossRef]
- Miura, T.; Shirayama, Y. Lumbrineris flabellicola (Fage, 1936), a lumbrinerid polychaete associated with a Japanese ahermatypic coral. Benthos Res. 1992, 43, 23–27. [Google Scholar] [CrossRef]
- Wright, J.D.; Woodwick, K.H. A new species of Autolytus (Polychaeta: Syllidae) commensal on a Californian hydrocoral. South. Calif. Acad. Sci. 1977, 76, 42–48. [Google Scholar] [CrossRef]
- DeVantier, L.M.; Reichelt, R.E.; Bradbury, R. Does Spirobranchus giganteus protect host Porites from predation by Acanthaster planci: Predator pressure as a mechanism of coevolution? Mar. Ecol. Prog. Ser. 1986, 32, 307–310. [Google Scholar] [CrossRef]
Disclaimer/Publisher’s Note: The statements, opinions and data contained in all publications are solely those of the individual author(s) and contributor(s) and not of MDPI and/or the editor(s). MDPI and/or the editor(s) disclaim responsibility for any injury to people or property resulting from any ideas, methods, instructions or products referred to in the content. |
© 2023 by the authors. Licensee MDPI, Basel, Switzerland. This article is an open access article distributed under the terms and conditions of the Creative Commons Attribution (CC BY) license (https://creativecommons.org/licenses/by/4.0/).



