Colon Cancer Diagnosis Based on Machine Learning and Deep Learning: Modalities and Analysis Techniques
Abstract
1. Introduction
2. Research Methodology
2.1. Keywords
2.2. Data Sources
2.3. Inclusion and Exclusion of Article Criteria
2.4. Selection of The Articles
3. Colon Cancer Diagnosis
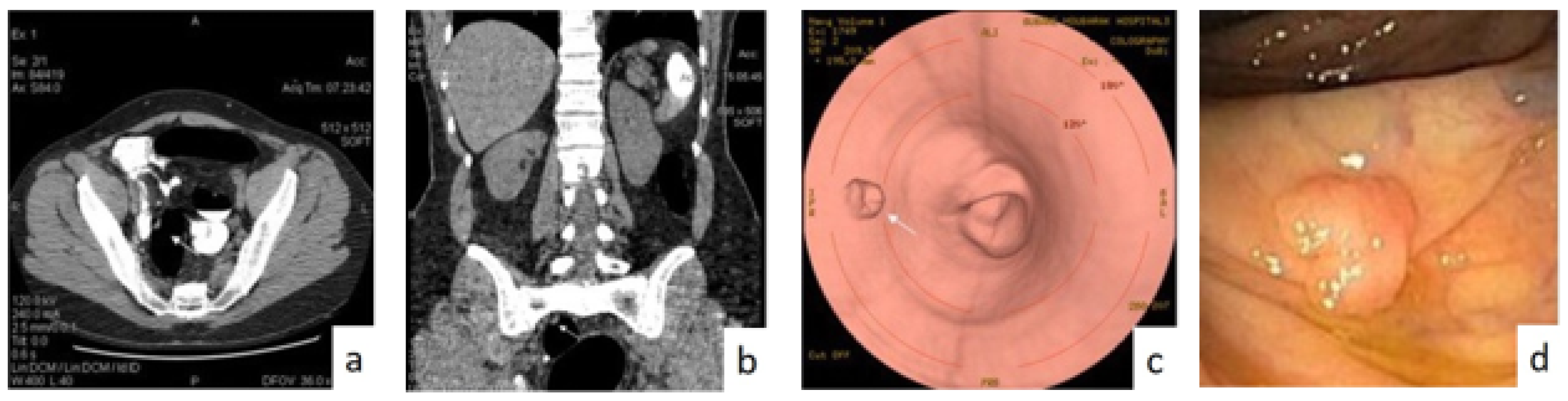
3.1. Imaging Modalities
3.1.1. Virtual Computed Tomography Colonoscopy (CTC)
3.1.2. Magnetic Resonance Imaging (MRI) and Endorectal Ultrasound (ERUS)
| No. | Image Modality | Characteristics | Diagnosis Applications | CONS. | PROS. |
|---|---|---|---|---|---|
| 1 | Computed Tomography Colonoscopy (CTC) [31]. | To obtain the images uses magnets and radio waves to create [32]. |
|
|
|
| 2 | Magnetic Resonance Imaging (MRI) [33]. | Uses radio waves and magnetic [34]. |
|
| |
| 3 | Histopathology Images (HI) [36,37]. | Using glass slides and braces on surgical specimens or microscopy to examine a biopsy [38]. |
|
|
|
| 4 | Positron Emission Tomography (PET) [39]. | Showing activity using a radioactive drug (tracer) [40]. |
|
|
|
3.1.3. Histopathology Images (HIs)
3.1.4. Positron Emission Tomography (PET)
3.2. Common Diagnosis Systems Based on HI Analysis
3.2.1. Computer-Aided Diagnosis (CAD) Systems
3.2.2. Content-Based Image Retrieval (CBIR) Systems
3.2.3. Finding New Clinicopathological Association Systems
3.3. Datasets
- CRC Grading DatasetThe CRC [56] Grading Dataset contains 38 H&E stained histological WSIs with a resolution 4548 × 7548.
- PanNuke DatasetPanNuke [57] includes 200,000 nuclei divided into five main classes to challenge the approaches of classifying and segmenting nuclei in WSIs with a resolution of 224 × 224.
- The Warwick-QU DatasetIn this dataset [58] are 16 slides of H&E stained histological WSIs of colon histology; this dataset is being created as category of the GlaS challenge with resolutions of 430 × 575 (14 images) and 520 × 775 (151 images).
- CoNSeP DatasetCoNSeP [59] contains 41 H&E stained image slides with a resolution of 1000 × 1000 pixels at 40× magnification of objective: generally 24,319 annotated nuclei with labeled classes.
- ETIS-LARIB
- CRCHistoPhenotypes–Labeled Cell Nuclei DatasetThis dataset [61] has 100 H&E CRC. For the process of detection, there are 29,756 nuclei; for classification, 22,444 nuclei (miscellaneous, fibroblast, and epithelial); and 7312 unlabeled with a resolution of 500 × 500.
- Kent Integrated Dataset (KID)The KID [62] is responsible for the health and welfare system for the entire population of Medway and Kent. This dataset is rich and unique for researchers seeking health and care on a large scale. This also provides an overview of the patient journey, care, and needs.
- CVC-ColonDB and CVC-ClinicDB
- Colonoscopy DatasetThe dataset [63] contains 76 videos, containing both WL and NBI. The database contains 40 adenomas with SD resolution of 768 × 576, 21 hyperplastic lesions, and 15 serrated adenomas.
- Extended CRC Grading Dataset (KID) In this dataset [64] are 300 images that are non-overlapping. These were labeled by expert pathologists as high grade (Grade 3) tumors, low grade (Grade 2) tumors, or normal tissue (Grade 1) with a resolution of 4548 × 7548.
- ASU-Mayo ClinicCurrently, there are numerous research programs based on co-funded acceleration, seed research, and team science grants [65]. This means that more than 20–30 cohorts of senior nursing students in their clinical training by Mayo Clinic nursing faculty on the Mayo campus are expected to be completed. Due to this effort and cooperation, the seed grant program has added joint, cutting-edge research collaborations, a host of dual degree opportunities, and others. In 2016 and in the summer of 2010, the relationships of the Mayo Clinic became enterprise-wide, and the ASU Alliance for Health Care was formed.
| Author | Dataset Name | No. of Images | Resolution | Task | Modality |
|---|---|---|---|---|---|
| Awan et al. [56] | CRC Grading Dataset | 139 | 4548 × 7548 | Classification, Cancer grading, | Histology |
| Gamper et al. [57] | PanNuke Dataset | 20K WSI | 224 × 224 | Classification, Segmentation | Histology |
| Sirinukunwattana et al. [58] | The Warwick-QU Dataset | 165 | 430 × 575 (14 images), 520 × 775 (151 images), | Gland segmentation | Histology |
| Leenhardt et al. [66] | CAD-CAP | 25,000 | Various resolutions | Detection, classification | Capsule endoscopy (CE) |
| Graham et al. [59] | CoNSeP dataset | 41 | 1000 × 1000 | Classification, Nuclear instance segmentation | Histology |
| Bernal et al. [67] | ETIS-Laribv | 196 | HD,1225 × 966 | Polyp detection, localization | Colonoscopy |
| Vázquez et al. [68] | CVC-ColonDB | 300 | SD, 574 × 500 | Polyp segmentation, localization | Colonoscopy |
| Sirinukunwattana et al. [61] | CRCHistoPhenotypes–Labeled Cell Nuclei Dataset | 100 | 500 × 500 | Nucleus detection, classification | Histology |
| Bernal et al. [69] | CVC-ClinicDB | 612 | SD, 384 ×b288 | Polyp detection, localization, segmentation | Colonoscopy |
| Jha et al. [60] | Kvasir-SEG | 1000 | Various resolutions | Polyp segmentation | Colonoscopy |
| Mesejo et al. [63] | Colonoscopy Dataset | 76 | SD, 768 × 576 | Classification | Colonoscopy |
| Javed et al. [70] | CRC Tissue Phenotyping (CRC-TP) Dataset | 256 | 500 × 500 | Nucleus detection, classification | Histology |
| Kather et al. [71] | CRC-VAL-HE-7K CRC-VAL-HE-7K | 7180 image patches | 224 × 224 | Predicting survival, classification, detection | Histology |
| Shaban et al. [64] | Extended CRC Grading Dataset | 300 | 4548 × 7548 | Cancer Grading | Histology |
3.4. Performance Evaluation Metrics
- The Accuracy measures the proportion of true observations to the number of samples measured, which can be calculated as:
- The Rate of Error shows the proportion of inaccurate observations to the number of measured samples, which can be calculated as:
- The Precision measures the true classified positive estimates of the total classified estimates in a correct category, which can be calculated as:
- The Recall is employed for measuring the ratio of correct estimates that are correctly predicted. This can be calculated as:
- The Specificity is presented for measuring the positive observations rate of false samples and can be calculated as:
- The Sensitivity measures the number of correct samples that are classified as true and can be calculated as:
- The ROC curve presents the ratio of false positives to the ratio of TPs by showing the performances of the possible threshold values used and can be calculated as:
4. Literature Review
4.1. Conventional Machine-Learning Methods
4.1.1. Preprocessing
4.1.2. Segmentation
4.1.3. Feature Extraction
4.1.4. Image Classification
4.2. Deep-Learning Methods
| Author (Year) | Topic | Imaging Modality | DL Architecture | Datasets Availability | Results |
|---|---|---|---|---|---|
| Hou et al. [50] (2019) | Polyp segmentation | HIs | CNN | Public | Reduce the error of segmentation by 7.8%, 5.4%, and 3.2%. |
| Janowczyk et al. [53] (2016) | Polyp Detection | Digital-Pathology (DP) | NIA | Public | TPR: 86% PPV: 64% |
| Tripathi et al. [113] (2020) | Polyp Detection | HIs | AlexNet VGG16 VGG19 ResNet50 DenseNet121 InceptionV3 | Public | Precision: 0.62% Recall: 0.63% AUC: 0.03% Loss: 0.0043 |
| Shapcott et al. [101] (2019) | Polyp detection | HIs | CNNs | Private | Accuracy: 65% |
| Ben Hamida et al. [117] (2021) | Polyp detection | Digital pathology (DP) | ALEXNET | Public | CRC-5000-Accuracy: 98.66% NCT-CRC-HE-Accuracy: 99.12% |
| Liewa et al. [118] (2021) | Polyp Detection CVC-ClinicDB | Endoscopic Images | ResNet-50 | Public | Accuracy: 99.10% Sensitivity: 98.82% Precision: 99.37% Specificity: 99.38% |
| Pacal et al. [20] (2020) | Polyp Detection | CT | RNNs, Autoencoders (AEs) | Public | sensitivity: 0.91 |
| De et al. [103] (2019) | Polyp Segmentation | Colonoscopy Images | CNNs | Public | F1-Score: 91.4% FPR: 0.079 |
| Javed et al. [70] (2020) | Detection of Polyp | Colonoscopy Images | CNN | Public | Specificity: 920% Accuracy: 89.8% F1: 91.4% Recall: 89.8% Precision: 93.6% |
| Sikder et al. [119] (2021) | Polyp Detection | MRI | CNN | Private | Accuracy: 93% |
| Kang et al. [104] (2019) | Polyp Segmentation | Colonoscopy | CNN | Public | Dataset results of Etis-Larib: recall: 74.37%, precision: 73.84%, IoU: 66.07% |
| Sornapudi et al. [105] (2019) | Detection of Polyp | WCE + Colonoscopy | CNN | Public | Dataset results of ResNet-101: F2: 78.70% recall: 80.29%, F1: 76.43%, precision: 72.93%. Dataset results of ResNet-50: recall: 67.79%, F2: 66.57%, precision: 62.11%, F1: 64.83% |
| Jia et al. [112] (2020) | Segmentation of Polyp | Colonoscopy | CNN | Public | recall: 81.7%, Precision: 63.9%, F2: 77.4%, F1: 71.7% |
| Ozawa et al. [116] (2020) | Polyp classification of colorectal and automated detection of endoscopic | Colonoscopy | CNN | Private | Detection: PPV: 86%, sensitivity: 92% Narrow-band images classification: 81% Conventional white-light Classification images: 83% |
| Zhang et al. [106] (2019) | Detection of Polyps | Colonoscopy | CNN | Private | F1: 84.24%, recall: 76.37%, Precision: 93.92% |
| Zobel et al. [107] (2019) | Polyp Detection | Colonoscopy | CNN | Private | F1: 89%, precision: 86%, Recall: 93% |
| Ma et al. [108] (2019) | Polyp Localization | Colonoscopy | CNN | Private | sensitivity: 93.67%, accuracy: 96%, AP: 94.92%, specificity: 98.36% |
| Shaban et al. [64] (2020) | Polyp Detection and Classification | Colonoscopy | CNN | Private | F2: 66.07%, F1: 68.72% |
| Blanes-Vidal et al. [109] (2019) | Polyp detection | WCE | CNN | Private | sensitivity: 97.1%, Accuracy: 96.4%, specificity: 93.3% |
| Wang et al. [110] (2019) | Real-time automatic detection system | Colonoscopy | CNN | Private | ADR Increment 9.1% vs. 20.3%, p < 0.001) |
| Mostafiz et al. [115] (2020) | Polyp Detection | Colonoscopy | CNN + CEMD | Public | sensitivity: 99.91%, Accuracy: 99.53%, specificity: 99.15% |
| Yuan et al. [111] (2019) | Polyp Recognition | WCE | CNN | Private | Accuracy: 0.9319, precision: 74.51%, recall: 90.21%, F1: 81.83% |
| Nadimi et al. [114] (2020) | Colorectal polyps Localization and Autonomous Detection | WCE | CNN | Private | sensitivity: 98.1%, Accuracy: 98%, specificity: 96.3% |
| Javed et al. [70] (2020) | Detection of Cellular Community for Issue Phenotyping | Histopathology | Handcrafted, CNN | Public | Patch level separation: average F-score for CCT dataset: 94.5%, average F-score for CRC-TP dataset: 91% Patient level separation: average F-score for CRC-TP dataset: 84% |
| Author | Strengths | Limitations |
|---|---|---|
| Hou et al. [50] (2019) |
|
|
| Shapcott et al. [101] (2019) |
|
|
| Ben Hamida et al. [117] (2021) |
|
|
| Liewa et al. [118] (2021) | Their approaches are robust enough to assist in CAD | Their classification system can misclassify images taken by colonoscopy/endoscopy according to the structure and image color characteristics, which are naturally irregular in the colon. |
| Pacal et al. [20] (2020) | Presented a comprehensive survey with all overviews. | Their model did not determine a common experimental setup and evaluation criteria. |
| Sikder et al. [119] (2021) |
|
|
| Kang et al. [104] (2019) |
|
|
| Sornapudi et al. [105] (2019) |
|
|
| Jia et al., [112] (2020) |
|
|
| Zobel et al. [107] (2019) |
|
|
| Ma et al. [108] (2019) |
|
|
| Shaban et al. [64] (2020) |
|
|
| Blanes-Vidal et al. [109] (2019) |
|
|
| Wang et al. [120] (2020) |
|
|
| Mostafiz et al. [115] (2020) |
|
|
| Yuan et al. [111] (2019) |
|
|
| Nadimi et al. [114] (2020) |
|
|
| Ozawa et al. [116] (2020) |
|
|
5. Current Challenges
5.1. Challenges Related to Image Modalities
- CTC Images:These have several challenges when isolating and enumerating. The first is that the cells have various structures, which creates various results for each tool in the image’s manual review. Thus, we demand a consistent and clear explanation of classification of the CTC [121].
- MRI Images:MRI has a challenge, which is the discomfort for patients while capturing these images, particularly in the anal stenosis case as well as to the movement of the rectal wall, which also has effects on these images. In routine cancer grading, the use of phased array coils is recommended to handle these motifs because the pelvic coil has been shown to produce high accuracy rates of 59–95% in rectal cancer [122,123].
- PET Images:The challenge with PET is that it only works by absorbing glucose. Although glucose is widespread in most body cells and can be absorbed and predicted, unlike malignant cells, it is difficult to detect in certain other tissues using the PET modality [124].The use of a combination of CT with PET produces better results, particularly in oncology, to diagnose and detect the stage of cancer. However, this combination leads to several errors, such as:
- –
- Misdiagnosis of cancer or even its stage results from an unknown spatial shift between the PET and CT images. For example, it is difficult to identify whether a tumor in the lung is pleural, close to the chest wall, or invasive.
- –
- If any tissues absorb the radiation out of the PET, a second error occurs. This error is due to the large difference in attenuation, which is diverted to correct the attenuation, such as the skin’s surface or the upper part of the liver.
- HIs Images:Handling gray-scale images is considered a challenging issue of HIs. This can be handled with certain processes, such as the transformation between the color spaces, the change in the image sizes to adapt to the GPU, and the change in the resolution of the images [16]. There are other challenges in the analysis process of HIs, such as a few images to train, the representation of feature complexity, and the size of the HI being extremely large [125,126]. These challenges are briefly discussed in the following points:
- –
- The variance in histopathology from one cancer case to another points to a tangible variance in distributions of color, texture, scale, and morphology [127]. This makes it challenging to find a clear and consistent structure for the diagnosis of cancer and for all cases of cancer. Hence, one of the primary functions in high-level MIA is the feature representation as well as classification and segmentation.
- –
- The size of HIs is huge. This grows the database of this modality of image and, therefore, the computation complexity, making it a challenge to analyze the images. For a 100,000 × 100,000 pixel image, a full scan of the histopathology part of the model can be performed. This modality also includes two million objects. Generally, for every patient, 12 to 20 screen images are performed under the pathological section process. Furthermore, because the database range is large for HIs, a good model with high efficiency both in memory and time is required, and the algorithm for learning should be able to obtain a large amount of data from it [128,129].
5.2. Challenges Related to Datasets
- The image size is the first obstacle if it is little or not enough to train, specifically in the medical field.
- The medical image database is often small, making the available applications that use ML algorithms inefficient for handling new medical images.
- The process of collecting medical images is expensive due to the two following factors: [130]:
- The first is that the injury rate has decreased recently, and the size of MIs is associated with the number of injury cases directly; thus, it is also difficult to obtain the images.
- The other purpose is that MIs require manual feedback for clarity, which requires a great deal of effort. Furthermore, manual comments can also be vague, even if experts write them.
6. Future Research Directions
- MIA is an active topic to research in the ML area. For colorectal cancer screening using the common HI modality, it can be handled with certain processes, such as:
- –
- The transformation between the color spaces and the change resolution of the images to adapt them to the GPU.
- –
- The change in the resolution of the images to decrease the computation complexity, making it less complicated to analyze.
- –
- We need a consistent and clear of features definition due to the histopathology difference from one cancer stage to another. This results in a significant distribution difference of the color texture, morphology, and scale as well as segmentation and classification.
- We need available applications and platforms that use ML and DL algorithms efficiently for handling new medical images.
- A retroactive study in more than one institute.
- Applying the emerging DL techniques, such as transfer learning, autoencoders, and generative adversarial networks.
7. Conclusions
Author Contributions
Funding
Institutional Review Board Statement
Informed Consent Statement
Data Availability Statement
Conflicts of Interest
References
- Allison, J.E. Colorectal cancer screening guidelines: The importance of evidence and transparency. Gastroenterology 2010, 138, 1648–1652. [Google Scholar] [CrossRef] [PubMed]
- An, F.P.; Liu, J.E. Medical Image Segmentation Algorithm Based on Optimized Convolutional Neural Network-Adaptive Dropout Depth Calculation. Complexity 2020, 2020, 1645479. [Google Scholar] [CrossRef]
- Araghi, M.; Soerjomataram, I.; Jenkins, M.; Brierley, J.; Morris, E.; Bray, F.; Arnold, M. Global trends in colorectal cancer mortality: Projections to the year 2035. Int. J. Cancer 2019, 144, 2992–3000. [Google Scholar] [CrossRef] [PubMed]
- Barish, M.A.; Soto, J.A.; Ferrucci, J.T. Consensus on current clinical practice of virtual colonoscopy. Am. J. Roentgenol. 2005, 184, 786–792. [Google Scholar] [CrossRef] [PubMed]
- Thun, M.J.; Calle, E.E.; Namboodiri, M.M.; Flanders, W.D.; Coates, R.J.; Byers, T.; Boffetta, P.; Garfinkel, L.; Heath, C.W., Jr. Risk factors for fatal colon cancer in a large prospective study. JNCI J. Natl. Cancer Inst. 1992, 84, 1491–1500. [Google Scholar] [CrossRef] [PubMed]
- Rathore, S.; Hussain, M.; Ali, A.; Khan, A. A recent survey on colon cancer detection techniques. IEEE/ACM Trans. Comput. Biol. Bioinform. 2013, 10, 545–563. [Google Scholar] [CrossRef] [PubMed]
- Baxter, N.N.; Goldwasser, M.A.; Paszat, L.F.; Saskin, R.; Urbach, D.R.; Rabeneck, L. Association of colonoscopy and death from colorectal cancer. Ann. Intern. Med. 2009, 150, 1–8. [Google Scholar] [CrossRef] [PubMed]
- Bera, K.; Schalper, K.A.; Rimm, D.L.; Velcheti, V.; Madabhushi, A. Artificial intelligence in digital pathology—New tools for diagnosis and precision oncology. Nat. Rev. Clin. Oncol. 2019, 16, 703–715. [Google Scholar] [CrossRef] [PubMed]
- Kitayama, J.; Nagawa, H.; Tsuno, N.; Osada, T.; Hatano, K.; Sunami, E.; Saito, H.; Muto, T. Laminin mediates tethering and spreading of colon cancer cells in physiological shear flow. Br. J. Cancer 1999, 80, 1927–1934. [Google Scholar] [CrossRef]
- Burdan, F.; Sudol-Szopinska, I.; Staroslawska, E.; Kolodziejczak, M.; Klepacz, R.; Mocarska, A.; Caban, M.; Zelazowska-Cieslinska, I.; Szumilo, J. Magnetic resonance imaging and endorectal ultrasound for diagnosis of rectal lesions. Eur. J. Med. Res. 2015, 20, 1–14. [Google Scholar] [CrossRef] [PubMed]
- Bychkov, D.; Linder, N.; Turkki, R.; Nordling, S.; Kovanen, P.E.; Verrill, C.; Walliander, M.; Lundin, M.; Haglund, C.; Lundin, J. Deep learning based tissue analysis predicts outcome in colorectal cancer. Sci. Rep. 2018, 8, 3395. [Google Scholar] [CrossRef] [PubMed]
- Levin, B.; Lieberman, D.A.; McFarland, B.; Andrews, K.S.; Brooks, D.; Bond, J.; Dash, C.; Giardiello, F.M.; Glick, S.; Johnson, D.; et al. Screening and surveillance for the early detection of colorectal cancer and adenomatous polyps, 2008: A joint guideline from the American Cancer Society, the US Multi-Society Task Force on Colorectal Cancer, and the American College of Radiology. Gastroenterology 2008, 134, 1570–1595. [Google Scholar] [CrossRef] [PubMed]
- Chaddad, A.; Tanougast, C.; Dandache, A.; Al Houseini, A.; Bouridane, A. Improving of colon cancer cells detection based on Haralick’s features on segmented histopathological images. In Proceedings of the 2011 IEEE International Conference on Computer Applications and Industrial Electronics (ICCAIE), Penang, Malaysia, 21–22 May 2011; pp. 87–90. [Google Scholar]
- Hur, C.; Chung, D.C.; Schoen, R.E.; Gazelle, G.S. The management of small polyps found by virtual colonoscopy: Results of a decision analysis. Clin. Gastroenterol. Hepatol. 2007, 5, 237–244. [Google Scholar] [CrossRef] [PubMed]
- Gunduz-Demir, C.; Kandemir, M.; Tosun, A.B.; Sokmensuer, C. Automatic segmentation of colon glands using object-graphs. Med. Image Anal. 2010, 14, 1–12. [Google Scholar] [CrossRef] [PubMed]
- Wang, D.; Foran, D.J.; Ren, J.; Zhong, H.; Kim, I.Y.; Qi, X. Exploring automatic prostate histopathology image gleason grading via local structure modeling. In Proceedings of the 2015 37th Annual International Conference of the IEEE Engineering in Medicine and Biology Society (EMBC), Milano, Italy, 25–29 August 2015; pp. 2649–2652. [Google Scholar]
- Dal Molin, M.; Matthaei, H.; Wu, J.; Blackford, A.; Debeljak, M.; Rezaee, N.; Wolfgang, C.L.; Butturini, G.; Salvia, R.; Bassi, C.; et al. Clinicopathological correlates of activating GNAS mutations in intraductal papillary mucinous neoplasm (IPMN) of the pancreas. Ann. Surg. Oncol. 2013, 20, 3802–3808. [Google Scholar] [CrossRef]
- Masud, M.; Sikder, N.; Nahid, A.A.; Bairagi, A.K.; AlZain, M.A. A machine learning approach to diagnosing lung and colon cancer using a deep learning-based classification framework. Sensors 2021, 21, 748. [Google Scholar] [CrossRef]
- Demir, C.; Yener, B. Automated Cancer Diagnosis Based on Histopathological Images: A Systematic Survey; Dept. of Computer Science, Rensselaer Polytechnic Inst.: New York, NY, USA, 2005. [Google Scholar]
- Pacal, I.; Karaboga, D.; Basturk, A.; Akay, B.; Nalbantoglu, U. A comprehensive review of deep learning in colon cancer. Comput. Biol. Med. 2020, 126, 104003. [Google Scholar] [CrossRef]
- Davri, A.; Birbas, E.; Kanavos, T.; Ntritsos, G.; Giannakeas, N.; Tzallas, A.T.; Batistatou, A. Deep Learning on Histopathological Images for Colorectal Cancer Diagnosis: A Systematic Review. Diagnostics 2022, 12, 837. [Google Scholar] [CrossRef] [PubMed]
- Elazab, N.; Soliman, H.; El-Sappagh, S.; Islam, S.; Elmogy, M. Objective Diagnosis for Histopathological Images Based on Machine Learning Techniques: Classical Approaches and New Trends. Mathematics 2020, 8, 1863. [Google Scholar] [CrossRef]
- Bar-Shalom, R.; Valdivia, A.Y.; Blaufox, M.D. PET imaging in oncology. Semin. Nucl. Med. 2000, 30, 150–185. [Google Scholar] [CrossRef] [PubMed]
- DeBarros, M.; Steele, S.R. Colorectal cancer screening in an equal access healthcare system. J. Cancer 2013, 4, 270. [Google Scholar] [CrossRef]
- Horton, K.M.; Abrams, R.A.; Fishman, E.K. Spiral CT of colon cancer: Imaging features and role in management. Radiographics 2000, 20, 419–430. [Google Scholar] [CrossRef]
- Ding, H.; Pan, Z.; Cen, Q.; Li, Y.; Chen, S. Multi-scale fully convolutional network for gland segmentation using three-class classification. Neurocomputing 2020, 380, 150–161. [Google Scholar] [CrossRef]
- Hartmann, D.; Bassler, B.; Schilling, D.; Adamek, H.E.; Jakobs, R.; Pfeifer, B.; Eickhoff, A.; Zindel, C.; Riemann, J.F.; Layer, G. Colorectal polyps: Detection with dark-lumen MR colonography versus conventional colonoscopy. Radiology 2006, 238, 143–149. [Google Scholar] [CrossRef] [PubMed]
- Kekelidze, M.; D’Errico, L.; Pansini, M.; Tyndall, A.; Hohmann, J. Colorectal cancer: Current imaging methods and future perspectives for the diagnosis, staging and therapeutic response evaluation. World J. Gastroenterol. 2013, 19, 8502. [Google Scholar] [CrossRef] [PubMed]
- Esgiar, A.N.; Naguib, R.N.; Sharif, B.S.; Bennett, M.K.; Murray, A. Fractal analysis in the detection of colonic cancer images. IEEE Trans. Inf. Technol. Biomed. 2002, 6, 54–58. [Google Scholar] [CrossRef] [PubMed]
- Geiger, T.M.; Ricciardi, R. Screening options and recommendations for colorectal cancer. Clin. Colon Rectal Surg. 2009, 22, 209. [Google Scholar] [CrossRef] [PubMed]
- Rathore, S.; Iftikhar, M.A.; Hussain, M.; Jalil, A. Classification of colon biopsy images based on novel structural features. In Proceedings of the 2013 IEEE ninth International Conference on Emerging Technologies (ICET), Islamabad, Pakistan, 9–10 December 2013; pp. 1–6. [Google Scholar]
- Li, J.; Ye, G.; Das, A.; Zhao, R.; Gong, Y. Advancing acoustic-to-word CTC model. In Proceedings of the 2018 IEEE International Conference on Acoustics, Speech and Signal Processing (ICASSP), Calgary, AB, Canada, 15–20 April 2018; pp. 5794–5798. [Google Scholar]
- Lustig, M.; Donoho, D.L.; Santos, J.M.; Pauly, J.M. Compressed sensing MRI. IEEE Signal Process. Mag. 2008, 25, 72–82. [Google Scholar] [CrossRef]
- Nerad, E.; Lambregts, D.M.; Kersten, E.L.; Maas, M.; Bakers, F.C.; van den Bosch, H.C.; Grabsch, H.I.; Beets-Tan, R.G.; Lahaye, M.J. MRI for local staging of colon cancer: Can MRI become the optimal staging modality for patients with colon cancer? Dis. Colon Rectum 2017, 60, 385–392. [Google Scholar] [CrossRef] [PubMed]
- Hanasono, M.M.; Kunda, L.D.; Segall, G.M.; Ku, G.H.; Terris, D.J. Uses and limitations of FDG positron emission tomography in patients with head and neck cancer. Laryngoscope 1999, 109, 880–885. [Google Scholar] [CrossRef]
- Sena, P.; Fioresi, R.; Faglioni, F.; Losi, L.; Faglioni, G.; Roncucci, L. Deep learning techniques for detecting preneoplastic and neoplastic lesions in human colorectal histological images. Oncol. Lett. 2019, 18, 6101–6107. [Google Scholar] [CrossRef] [PubMed]
- Noorbakhsh, J.; Farahmand, S.; Namburi, S.; Caruana, D.; Rimm, D.; Soltanieh-ha, M.; Zarringhalam, K.; Chuang, J.H. Deep learning-based cross-classifications reveal conserved spatial behaviors within tumor histological images. Nat. Commun. 2020, 11, 6367. [Google Scholar] [CrossRef] [PubMed]
- Babu, T.; Singh, T.; Gupta, D.; Hameed, S. Colon cancer prediction on histological images using deep learning features and Bayesian optimized SVM. J. Intell. Fuzzy Syst. 2021, 41, 5275–5286. [Google Scholar] [CrossRef]
- Goggi, J.L.; Hartimath, S.V.; Xuan, T.Y.; Khanapur, S.; Jieu, B.; Chin, H.X.; Ramasamy, B.; Cheng, P.; Rong, T.J.; Fong, Y.F.; et al. Granzyme B PET Imaging of Combined Chemotherapy and Immune Checkpoint Inhibitor Therapy in Colon Cancer. Mol. Imaging Biol. 2021, 23, 714–723. [Google Scholar] [CrossRef] [PubMed]
- Salvatore, L.; Imperatori, M.; Arnoldi, E.; Carnaghi, C.; Cordio, S.; Cosimelli, M.; Cremolini, C.; Maiello, E.; Martinelli, E.; Normanno, N.; et al. Management of patients with early-stage colon cancer: Guidelines of the Italian Medical Oncology Association. ESMO Open 2020, 5, e001001. [Google Scholar] [CrossRef] [PubMed]
- Hodolic, M.; Ambrosini, V.; Fanti, S. Potential use of radiolabelled neurotensin in PET imaging and therapy of patients with pancreatic cancer. Nucl. Med. Commun. 2020, 41, 411–415. [Google Scholar] [CrossRef] [PubMed]
- Godkhindi, A.M.; Gowda, R.M. Automated detection of polyps in CT colonography images using deep learning algorithms in colon cancer diagnosis. In Proceedings of the 2017 International Conference on Energy, Communication, Data Analytics and Soft Computing (ICECDS), Chennai, India, 1–2 August 2017; pp. 1722–1728. [Google Scholar]
- Mukai, K.; Ishida, Y.; Okajima, K.; Isozaki, H.; Morimoto, T.; Nishiyama, S. Usefulness of preoperative FDG-PET for detection of gastric cancer. Gastric Cancer 2006, 9, 192–196. [Google Scholar] [CrossRef] [PubMed]
- Moroz, M.A.; Kochetkov, T.; Cai, S.; Wu, J.; Shamis, M.; Nair, J.; De Stanchina, E.; Serganova, I.; Schwartz, G.K.; Banerjee, D.; et al. Imaging colon cancer response following treatment with AZD1152: A preclinical analysis of [18F] fluoro-2-deoxyglucose and fluorothymidine imaging. Clin. Cancer Res. 2011, 17, 1099–1110. [Google Scholar] [CrossRef] [PubMed]
- Kalkan, H.; Nap, M.; Duin, R.P.; Loog, M. Automated classification of local patches in colon histopathology. In Proceedings of the Proceedings of the 21st International Conference on Pattern Recognition (ICPR2012); Tsukuba, Japan, 11–15 November 2012, pp. 61–64.
- Greenspan, H.; Van Ginneken, B.; Summers, R.M. Guest editorial deep learning in medical imaging: Overview and future promise of an exciting new technique. IEEE Trans. Med. Imaging 2016, 35, 1153–1159. [Google Scholar] [CrossRef]
- Doi, K. Computer-aided diagnosis in medical imaging: Historical review, current status and future potential. Comput. Med. Imaging Graph. 2007, 31, 198–211. [Google Scholar] [CrossRef] [PubMed]
- Hamilton, P.W.; Bartels, P.H.; Thompson, D.; Anderson, N.H.; Montironi, R.; Sloan, J.M. Automated location of dysplastic fields in colorectal histology using image texture analysis. J. Pathol. J. Pathol. Soc. Great Br. Irel. 1997, 182, 68–75. [Google Scholar] [CrossRef]
- Jia, X.; Xing, X.; Yuan, Y.; Xing, L.; Meng, M.Q.H. Wireless capsule endoscopy: A new tool for cancer screening in the colon with deep-learning-based polyp recognition. Proc. IEEE 2019, 108, 178–197. [Google Scholar] [CrossRef]
- Hou, L.; Agarwal, A.; Samaras, D.; Kurc, T.M.; Gupta, R.R.; Saltz, J.H. Robust histopathology image analysis: To label or to synthesize? In Proceedings of the IEEE/CVF Conference on Computer Vision and Pattern Recognition, Long Beach, CA, USA, 15–20 June 2019; pp. 8533–8542. [Google Scholar]
- Cheng, A.S.; Leung, S.C.; Gao, D.; Burugu, S.; Anurag, M.; Ellis, M.J.; Nielsen, T.O. Mismatch repair protein loss in breast cancer: Clinicopathological associations in a large British Columbia cohort. Breast Cancer Res. Treat. 2020, 179, 3–10. [Google Scholar] [CrossRef]
- Kim, H.O.; Kim, J.S.; Kim, S.O.; Chae, S.Y.; Oh, S.J.; Seo, M.; Lee, S.H.; Oh, J.S.; Ryu, J.S.; Huh, J.r.; et al. Clinicopathological characteristics of primary central nervous system lymphoma with low 18F-fludeoxyglucose uptake on brain positron emission tomography. Medicine 2020, 99, e20140. [Google Scholar] [CrossRef]
- Janowczyk, A.; Madabhushi, A. Deep learning for digital pathology image analysis: A comprehensive tutorial with selected use cases. J. Pathol. Inform. 2016, 7, 9. [Google Scholar] [CrossRef] [PubMed]
- Burt, R.W. Strategies for colon cancer screening with considerations of cost and access to care. J. Natl. Compr. Cancer Netw. 2010, 8, 2–5. [Google Scholar] [CrossRef]
- Fakoor, R.; Ladhak, F.; Nazi, A.; Huber, M. Using deep learning to enhance cancer diagnosis and classification. In Proceedings of the International Conference on Machine Learning, New York, NY, USA, 15–20 July 2013; Volume 28. [Google Scholar]
- Awan, R.; Sirinukunwattana, K.; Epstein, D.; Jefferyes, S.; Qidwai, U.; Aftab, Z.; Mujeeb, I.; Snead, D.; Rajpoot, N. Glandular morphometrics for objective grading of colorectal adenocarcinoma histology images. Sci. Rep. 2017, 7, 1–12. [Google Scholar] [CrossRef]
- Gamper, J.; Koohbanani, N.A.; Benes, K.; Graham, S.; Jahanifar, M.; Khurram, S.A.; Azam, A.; Hewitt, K.; Rajpoot, N. Pannuke dataset extension, insights and baselines. arXiv 2020, arXiv:2003.10778. [Google Scholar]
- Sirinukunwattana, K.; Snead, D.R.; Rajpoot, N.M. A stochastic polygons model for glandular structures in colon histology images. IEEE Trans. Med. Imaging 2015, 34, 2366–2378. [Google Scholar] [CrossRef]
- Graham, S.; Vu, Q.D.; Raza, S.E.A.; Azam, A.; Tsang, Y.W.; Kwak, J.T.; Rajpoot, N. Hover-net: Simultaneous segmentation and classification of nuclei in multi-tissue histology images. Med. Image Anal. 2019, 58, 101563. [Google Scholar] [CrossRef] [PubMed]
- Jha, D.; Smedsrud, P.H.; Riegler, M.A.; Halvorsen, P.; de Lange, T.; Johansen, D.; Johansen, H.D. Kvasir-seg: A segmented polyp dataset. In Proceedings of the International Conference on Multimedia Modeling, Daejeon, Republic of Korea, 5–8 January 2020; pp. 451–462. [Google Scholar]
- Sirinukunwattana, K.; Raza, S.E.A.; Tsang, Y.W.; Snead, D.R.; Cree, I.A.; Rajpoot, N.M. Locality sensitive deep learning for detection and classification of nuclei in routine colon cancer histology images. IEEE Trans. Med. Imaging 2016, 35, 1196–1206. [Google Scholar] [CrossRef] [PubMed]
- Lewer, D.; Bourne, T.; George, A.; Abi-Aad, G.; Taylor, C.; George, J. Data Resource: The Kent Integrated Dataset (KID). Int. J. Popul. Data Sci. 2018, 3, 427. [Google Scholar] [CrossRef]
- Mesejo, P.; Pizarro, D.; Abergel, A.; Rouquette, O.; Beorchia, S.; Poincloux, L.; Bartoli, A. Computer-aided classification of gastrointestinal lesions in regular colonoscopy. IEEE Trans. Med. Imaging 2016, 35, 2051–2063. [Google Scholar] [CrossRef] [PubMed]
- Shaban, M.; Awan, R.; Fraz, M.M.; Azam, A.; Tsang, Y.W.; Snead, D.; Rajpoot, N.M. Context-aware convolutional neural network for grading of colorectal cancer histology images. IEEE Trans. Med. Imaging 2020, 39, 2395–2405. [Google Scholar] [CrossRef] [PubMed]
- Pogorelov, K.; Randel, K.R.; Griwodz, C.; Eskeland, S.L.; de Lange, T.; Johansen, D.; Spampinato, C.; Dang-Nguyen, D.T.; Lux, M.; Schmidt, P.T.; et al. Kvasir: A multi-class image dataset for computer aided gastrointestinal disease detection. In Proceedings of the eighth ACM on Multimedia Systems Conference, Taipei, Taiwan, 20–23 June 2017; pp. 164–169. [Google Scholar]
- Leenhardt, R.; Li, C.; Le Mouel, J.P.; Rahmi, G.; Saurin, J.C.; Cholet, F.; Boureille, A.; Amiot, X.; Delvaux, M.; Duburque, C.; et al. CAD-CAP: A 25,000-image database serving the development of artificial intelligence for capsule endoscopy. Endosc. Int. Open 2020, 8, E415–E420. [Google Scholar] [CrossRef] [PubMed]
- Bernal, J.; Tajkbaksh, N.; Sanchez, F.J.; Matuszewski, B.J.; Chen, H.; Yu, L.; Angermann, Q.; Romain, O.; Rustad, B.; Balasingham, I.; et al. Comparative validation of polyp detection methods in video colonoscopy: Results from the MICCAI 2015 endoscopic vision challenge. IEEE Trans. Med. Imaging 2017, 36, 1231–1249. [Google Scholar] [CrossRef] [PubMed]
- Vázquez, D.; Bernal, J.; Sánchez, F.J.; Fernández-Esparrach, G.; López, A.M.; Romero, A.; Drozdzal, M.; Courville, A. A benchmark for endoluminal scene segmentation of colonoscopy images. J. Healthc. Eng. 2017, 2017, 4037190. [Google Scholar] [CrossRef]
- Bernal, J.; Sánchez, F.J.; Fernández-Esparrach, G.; Gil, D.; Rodríguez, C.; Vilariño, F. WM-DOVA maps for accurate polyp highlighting in colonoscopy: Validation vs. saliency maps from physicians. Comput. Med. Imaging Graph. 2015, 43, 99–111. [Google Scholar] [CrossRef] [PubMed]
- Javed, S.; Mahmood, A.; Fraz, M.M.; Koohbanani, N.A.; Benes, K.; Tsang, Y.W.; Hewitt, K.; Epstein, D.; Snead, D.; Rajpoot, N. Cellular community detection for tissue phenotyping in colorectal cancer histology images. Med. Image Anal. 2020, 63, 101696. [Google Scholar] [CrossRef]
- Kather, J.N.; Krisam, J.; Charoentong, P.; Luedde, T.; Herpel, E.; Weis, C.A.; Gaiser, T.; Marx, A.; Valous, N.A.; Ferber, D.; et al. Predicting survival from colorectal cancer histology slides using deep learning: A retrospective multicenter study. PLoS Med. 2019, 16, e1002730. [Google Scholar] [CrossRef] [PubMed]
- Kainz, P.; Pfeiffer, M.; Urschler, M. Segmentation and classification of colon glands with deep convolutional neural networks and total variation regularization. PeerJ 2017, 5, e3874. [Google Scholar] [CrossRef] [PubMed]
- Puig, D. Assessing the Impact of a Preprocessing Stage on Deep Learning Architectures for Breast Tumor Multi-class Classification with Histopathological Images. In Proceedings of the High Performance Computing: Sixth Latin American Conference, CARLA 2019, Turrialba, Costa Rica, 25–27 September 2019; Revised Selected Papers. Springer Nature: Cham, Switzerland, 2020; Volume 1087, p. 262. [Google Scholar]
- Jang, H.J.; Lee, A.; Kang, J.; Song, I.H.; Lee, S.H. Prediction of clinically actionable genetic alterations from colorectal cancer histopathology images using deep learning. World J. Gastroenterol. 2020, 26, 6207. [Google Scholar] [CrossRef]
- Kaminski, M.F.; Regula, J.; Kraszewska, E.; Polkowski, M.; Wojciechowska, U.; Didkowska, J.; Zwierko, M.; Rupinski, M.; Nowacki, M.P.; Butruk, E. Quality indicators for colonoscopy and the risk of interval cancer. N. Engl. J. Med. 2010, 362, 1795–1803. [Google Scholar] [CrossRef]
- Khatun, R.; Chatterjee, S. Machine learning approach for segmenting glands in colon histology images using local intensity and texture features. In Proceedings of the 2018 IEEE eighth International Advance Computing Conference (IACC), Greater Noida, India, 14–15 December 2018; pp. 314–320. [Google Scholar]
- Constantinescu, A.F.; Ionescu, M.; Rogoveanu, I.; Ciurea, M.E.; Streba, C.T.; Iovanescu, V.F.; Artene, S.A.; Vere, C.C. Analysis of wireless capsule endoscopy images using local binary patterns. Appl. Med. Inform. 2015, 36, 31–42. [Google Scholar]
- Alwan, M.G.; AL-Brazinji, S.M.; Mosslah, A.A. Automatic panoramic medical image stitching improvement based on feature-based approach. Period. Eng. Nat. Sci. 2022, 10, 155–163. [Google Scholar] [CrossRef]
- Wargnier-Dauchelle, V.; Chane, C.S.; Histace, A. Saliency maps of video-colonoscopy images for the analysis of their content and the prevention of colorectal cancer risks. In Proceedings of the Biosignals 2020, Valetta, Malta, 6–7 May 2020. [Google Scholar]
- Kieffer, B.; Babaie, M.; Kalra, S.; Tizhoosh, H.R. Convolutional neural networks for histopathology image classification: Training vs. using pre-trained networks. In Proceedings of the 2017 Seventh International Conference on Image Processing Theory, Tools and Applications (IPTA), Montreal, QC, Canada, 28 November–1 December 2017; pp. 1–6. [Google Scholar]
- Niazi, M.K.K.; Parwani, A.V.; Gurcan, M.N. Digital pathology and artificial intelligence. Lancet Oncol. 2019, 20, e253–e261. [Google Scholar] [CrossRef]
- Rasti, P.; Wolf, C.; Dorez, H.; Sablong, R.; Moussata, D.; Samiei, S.; Rousseau, D. Machine Learning-Based Classification of the Health State of Mice Colon in Cancer Study from Confocal Laser Endomicroscopy. Sci. Rep. 2019, 9, 20010. [Google Scholar] [CrossRef]
- Na, K.S. Prediction of future cognitive impairment among the community elderly: A machine-learning based approach. Sci. Rep. 2019, 9, 3335. [Google Scholar] [CrossRef]
- Singh, S.P.; Janjuha, S.; Chaudhuri, S.; Reinhardt, S.; Kränkel, A.; Dietz, S.; Eugster, A.; Bilgin, H.; Korkmaz, S.; Zararsız, G.; et al. Machine learning based classification of cells into chronological stages using single-cell transcriptomics. Sci. Rep. 2018, 8, 17156. [Google Scholar] [CrossRef] [PubMed]
- Min, X.; Yu, B.; Wang, F. Predictive modeling of the hospital readmission risk from patients’ claims data using machine learning: A case study on COPD. Sci. Rep. 2019, 9, 2362. [Google Scholar] [CrossRef] [PubMed]
- Rathore, S.; Iftikhar, M.A.; Chaddad, A.; Niazi, T.; Karasic, T.; Bilello, M. Segmentation and grade prediction of colon cancer digital pathology images across multiple institutions. Cancers 2019, 11, 1700. [Google Scholar] [CrossRef]
- Dragicevic, A.; Matija, L.; Krivokapic, Z.; Dimitrijevic, I.; Baros, M.; Koruga, D. Classification of healthy and cancer states of colon epithelial tissues using opto-magnetic imaging spectroscopy. J. Med. Biol. Eng. 2019, 39, 367–380. [Google Scholar] [CrossRef]
- Shanmuga Sundaram, P.; Santhiyakumari, N. An enhancement of computer aided approach for colon cancer detection in WCE images using ROI based color histogram and SVM2. J. Med. Syst. 2019, 43, 29. [Google Scholar] [CrossRef] [PubMed]
- Babu, T.; Singh, T.; Gupta, D. Colon cancer prediction using 2DR e CA segmentation and hybrid features on histopathology images. IET Image Process. 2020, 14, 4144–4157. [Google Scholar] [CrossRef]
- Fahami, M.A.; Roshanzamir, M.; Izadi, N.H.; Keyvani, V.; Alizadehsani, R. Detection of effective genes in colon cancer: A machine learning approach. Inform. Med. Unlocked 2021, 24, 100605. [Google Scholar] [CrossRef]
- Jansen-Winkeln, B.; Barberio, M.; Chalopin, C.; Schierle, K.; Diana, M.; Köhler, H.; Gockel, I.; Maktabi, M. Feedforward artificial neural network-based colorectal cancer detection using hyperspectral imaging: A step towards automatic optical biopsy. Cancers 2021, 13, 967. [Google Scholar] [CrossRef] [PubMed]
- Talukder, M.A.; Islam, M.M.; Uddin, M.A.; Akhter, A.; Hasan, K.F.; Moni, M.A. Machine learning-based lung and colon cancer detection using deep feature extraction and ensemble learning. Expert Syst. Appl. 2022, 205, 117695. [Google Scholar] [CrossRef]
- Hage Chehade, A.; Abdallah, N.; Marion, J.M.; Oueidat, M.; Chauvet, P. Lung and colon cancer classification using medical imaging: A feature engineering approach. Phys. Eng. Sci. Med. 2022, 45, 729–746. [Google Scholar] [CrossRef]
- Alqudah, A.M.; Alqudah, A. Improving machine learning recognition of colorectal cancer using 3D GLCM applied to different color spaces. Multimed. Tools Appl. 2022, 81, 10839–10860. [Google Scholar] [CrossRef]
- Deng, J.; Dong, W.; Socher, R.; Li, L.J.; Li, K.; Fei-Fei, L. Imagenet: A large-scale hierarchical image database. In Proceedings of the 2009 IEEE Conference on Computer Vision and Pattern Recognition, Miami, FL, USA, 20–21 June 2009; pp. 248–255. [Google Scholar]
- Sutskever, I.; Vinyals, O.; Le, Q.V. Sequence to sequence learning with neural networks. Adv. Neural Inf. Process. Syst. 2014, 27, 1–9. [Google Scholar]
- Sarraf, S.; Tofighi, G. Deep learning-based pipeline to recognize Alzheimer’s disease using fMRI data. In Proceedings of the 2016 Future Technologies Conference (FTC), San Francisco, CA, USA, 6–7 December 2016; pp. 816–820. [Google Scholar]
- Shan, H.; Padole, A.; Homayounieh, F.; Kruger, U.; Khera, R.D.; Nitiwarangkul, C.; Kalra, M.K.; Wang, G. Competitive performance of a modularized deep neural network compared to commercial algorithms for low-dose CT image reconstruction. Nat. Mach. Intell. 2019, 1, 269–276. [Google Scholar] [CrossRef] [PubMed]
- Liu, Y.; Gadepalli, K.; Norouzi, M.; Dahl, G.E.; Kohlberger, T.; Boyko, A.; Venugopalan, S.; Timofeev, A.; Nelson, P.Q.; Corrado, G.S.; et al. Detecting cancer metastases on gigapixel pathology images. arXiv 2017, arXiv:1703.02442. [Google Scholar]
- Min, J.K.; Kwak, M.S.; Cha, J.M. Overview of deep learning in gastrointestinal endoscopy. Gut Liver 2019, 13, 388. [Google Scholar] [CrossRef] [PubMed]
- Shapcott, M.; Hewitt, K.J.; Rajpoot, N. Deep learning with sampling in colon cancer histology. Front. Bioeng. Biotechnol. 2019, 7, 52. [Google Scholar] [CrossRef]
- Esgiar, A.N.; Naguib, R.N.; Sharif, B.S.; Bennett, M.K.; Murray, A. Microscopic image analysis for quantitative measurement and feature identification of normal and cancerous colonic mucosa. IEEE Trans. Inf. Technol. Biomed. 1998, 2, 197–203. [Google Scholar] [CrossRef]
- de Almeida Thomaz, V.; Sierra-Franco, C.A.; Raposo, A.B. Training data enhancements for robust polyp segmentation in colonoscopy images. In Proceedings of the 2019 IEEE 32nd International Symposium on Computer-Based Medical Systems (CBMS), Córdoba, Spain, 5–7 June 2019; pp. 192–197. [Google Scholar]
- Kang, J.; Gwak, J. Ensemble of instance segmentation models for polyp segmentation in colonoscopy images. IEEE Access 2019, 7, 26440–26447. [Google Scholar] [CrossRef]
- Sornapudi, S.; Meng, F.; Yi, S. Region-based automated localization of colonoscopy and wireless capsule endoscopy polyps. Appl. Sci. 2019, 9, 2404. [Google Scholar] [CrossRef]
- Zhang, X.; Chen, F.; Yu, T.; An, J.; Huang, Z.; Liu, J.; Hu, W.; Wang, L.; Duan, H.; Si, J. Real-time gastric polyp detection using convolutional neural networks. PLoS ONE 2019, 14, e0214133. [Google Scholar] [CrossRef]
- Wittenberg, T.; Zobel, P.; Rathke, M.; Mühldorfer, S. Computer aided detection of polyps in whitelight-colonoscopy images using deep neural networks. Curr. Dir. Biomed. Eng. 2019, 5, 231–234. [Google Scholar] [CrossRef]
- Ma, Y.; Li, Y.; Yao, J.; Chen, B.; Deng, J.; Yang, X. Polyp location in colonoscopy based on deep learning. In Proceedings of the 2019 eighth international symposium on next generation electronics (ISNE), Zhengzhou, China, 9–10 October 2019; pp. 1–3. [Google Scholar]
- Blanes-Vidal, V.; Baatrup, G.; Nadimi, E.S. Addressing priority challenges in the detection and assessment of colorectal polyps from capsule endoscopy and colonoscopy in colorectal cancer screening using machine learning. Acta Oncol. 2019, 58, S29–S36. [Google Scholar] [CrossRef]
- Wang, P.; Berzin, T.M.; Brown, J.R.G.; Bharadwaj, S.; Becq, A.; Xiao, X.; Liu, P.; Li, L.; Song, Y.; Zhang, D.; et al. Real-time automatic detection system increases colonoscopic polyp and adenoma detection rates: A prospective randomised controlled study. Gut 2019, 68, 1813–1819. [Google Scholar] [CrossRef] [PubMed]
- Yuan, Y.; Qin, W.; Ibragimov, B.; Zhang, G.; Han, B.; Meng, M.Q.H.; Xing, L. Densely connected neural network with unbalanced discriminant and category sensitive constraints for polyp recognition. IEEE Trans. Autom. Sci. Eng. 2019, 17, 574–583. [Google Scholar] [CrossRef]
- Jia, X.; Mai, X.; Cui, Y.; Yuan, Y.; Xing, X.; Seo, H.; Xing, L.; Meng, M.Q.H. Automatic polyp recognition in colonoscopy images using deep learning and two-stage pyramidal feature prediction. IEEE Trans. Autom. Sci. Eng. 2020, 17, 1570–1584. [Google Scholar] [CrossRef]
- Tripathi, S.; Singh, S.K. Ensembling handcrafted features with deep features: An analytical study for classification of routine colon cancer histopathological nuclei images. Multimed. Tools Appl. 2020, 79, 34931–34954. [Google Scholar] [CrossRef]
- Nadimi, E.S.; Buijs, M.M.; Herp, J.; Kroijer, R.; Kobaek-Larsen, M.; Nielsen, E.; Pedersen, C.D.; Blanes-Vidal, V.; Baatrup, G. Application of deep learning for autonomous detection and localization of colorectal polyps in wireless colon capsule endoscopy. Comput. Electr. Eng. 2020, 81, 106531. [Google Scholar] [CrossRef]
- Mostafiz, R.; Hasan, M.; Hossain, I.; Rahman, M.M. An intelligent system for gastrointestinal polyp detection in endoscopic video using fusion of bidimensional empirical mode decomposition and convolutional neural network features. Int. J. Imaging Syst. Technol. 2020, 30, 224–233. [Google Scholar] [CrossRef]
- Ozawa, T.; Ishihara, S.; Fujishiro, M.; Kumagai, Y.; Shichijo, S.; Tada, T. Automated endoscopic detection and classification of colorectal polyps using convolutional neural networks. Ther. Adv. Gastroenterol. 2020, 13, 1756284820910659. [Google Scholar] [CrossRef] [PubMed]
- Hamida, A.B.; Devanne, M.; Weber, J.; Truntzer, C.; Derangère, V.; Ghiringhelli, F.; Forestier, G.; Wemmert, C. Deep learning for colon cancer histopathological images analysis. Comput. Biol. Med. 2021, 136, 104730. [Google Scholar] [CrossRef] [PubMed]
- Liew, W.S.; Tang, T.B.; Lin, C.H.; Lu, C.K. Automatic colonic polyp detection using integration of modified deep residual convolutional neural network and ensemble learning approaches. Comput. Methods Programs Biomed. 2021, 206, 106114. [Google Scholar] [CrossRef]
- Sikder, J.; Das, U.K.; Chakma, R.J. Supervised learning-based cancer detection. Int. J. Adv. Comput. Sci. Appl. 2021, 12, 863–869. [Google Scholar] [CrossRef]
- Wang, W.; Tian, J.; Zhang, C.; Luo, Y.; Wang, X.; Li, J. An improved deep learning approach and its applications on colonic polyp images detection. BMC Med. Imaging 2020, 20, 83. [Google Scholar] [CrossRef]
- Tellez, D.; Litjens, G.; Bándi, P.; Bulten, W.; Bokhorst, J.M.; Ciompi, F.; van der Laak, J. Quantifying the effects of data augmentation and stain color normalization in convolutional neural networks for computational pathology. Med. Image Anal. 2019, 58, 101544. [Google Scholar] [CrossRef]
- Tjoa, M.P.; Krishnan, S.M. Feature extraction for the analysis of colon status from the endoscopic images. Biomed. Eng. Online 2003, 2, 9. [Google Scholar] [CrossRef]
- van Roon, A.H.; van Dam, L.; Spaander, M.C.; Lansdorp-Vogelaar, I.; Dekker, E.; van Leerdam, M.E. Different modalities for colorectal cancer screening: Experiences in The Netherlands so far. Color. Cancer 2016, 5, 9–19. [Google Scholar] [CrossRef]
- Griffeth, L.K. Use of PET/CT scanning in cancer patients: Technical and practical considerations. Proc. (Bayl. Univ. Med. Cent.) 2005, 18, 321–330. [Google Scholar] [CrossRef]
- Winawer, S.J.; Zauber, A.G.; Ho, M.N.; O’brien, M.J.; Gottlieb, L.S.; Sternberg, S.S.; Waye, J.D.; Schapiro, M.; Bond, J.H.; Panish, J.F.; et al. Prevention of colorectal cancer by colonoscopic polypectomy. N. Engl. J. Med. 1993, 329, 1977–1981. [Google Scholar] [CrossRef] [PubMed]
- Xu, Y.; Jia, Z.; Wang, L.B.; Ai, Y.; Zhang, F.; Lai, M.; Eric, I.; Chang, C. Large scale tissue histopathology image classification, segmentation, and visualization via deep convolutional activation features. BMC Bioinform. 2017, 18, 281. [Google Scholar] [CrossRef] [PubMed]
- Yao, Y.; Gou, S.; Tian, R.; Zhang, X.; He, S. Automated Classification and Segmentation in Colorectal Images Based on Self-Paced Transfer Network. BioMed Res. Int. 2021, 2021, 6683931. [Google Scholar] [CrossRef] [PubMed]
- Zauber, A.G.; van Ballegooijen, M.; Petitti, D.; Lansdorp-Vogelaar, I. United States Preventive Services Task Force recommendations: Age to end screening misunderstood. Dis. Colon Rectum 2010, 53, 1453. [Google Scholar] [CrossRef] [PubMed]
- Zhang, X.; Liu, W.; Dundar, M.; Badve, S.; Zhang, S. Towards large-scale histopathological image analysis: Hashing-based image retrieval. IEEE Trans. Med. Imaging 2014, 34, 496–506. [Google Scholar] [CrossRef]
- Xu, Y.; Mo, T.; Feng, Q.; Zhong, P.; Lai, M.; Eric, I.; Chang, C. Deep learning of feature representation with multiple instance learning for medical image analysis. In Proceedings of the 2014 IEEE International Conference on Acoustics, Speech and Signal Processing (ICASSP), Florence, Italy, 4–9 May 2014; pp. 1626–1630. [Google Scholar]











| No. | Spread to Various Organs | Symptoms |
|---|---|---|
| 1 | Liver |
|
| 2 | Lung |
|
| 3 | Bone |
|
| 4 | Lymph nodes |
|
| Abbreviation | Definition | Abbreviation | Definition |
|---|---|---|---|
| ML | Machine Learning | DL | Deep Learning |
| ACS | American Cancer Society | MIA | Medical Image Analysis |
| AI | Artificial Intelligence | DIP | Digital Image Processing |
| HC | Hand Crafted | CT | Computed Tomography |
| ERUS | Endorectal Ultrasound | CTC | Computed Tomography Colonoscopy |
| PET | Positron Emission Tomography | CRC | Colorectal Cancer |
| CAD | Computer-Aided Diagnosis | CBIR | Content Based Image Retrieval |
| PACs | Polycyclic Aromatic Compounds | WSIs | Whole-Slide Images |
| CNN | Convolutional Neural Network | MMR | Mismatch Repair |
| PCNSL | Primary Central Nervous System Lymphomas | FDG | Fluoro-2-Deoxy-d-Glucose |
| GlaS | Gland Segmentation | KID | Kent Integrated Dataset |
| NBI | Narrow-Band Imaging | TP | True Positive |
| FP | False Positive | TN | True Negative |
| FN | False Negative | FPR | False positive rate |
| PPV | Positive Predictive Value | ROC | Receiver Operating Characteristic |
| H&E | Hematoxylin Eosin | LBP | Local Binary Patterns |
| SIFT | Scale Invariant Feature Transform | HOG | Histogram Of Gradient |
| GBM | Glioblastoma | SVM | Support Vector Machine |
| OMIS | Opto-magnetic Imaging Spectro-scop | WCE | Wireless Capsule Endo-scop |
| ROI | Region of Interest | SGLDM | Spatial Gray Level Dependence Matrices |
| 2DReCA | Two-dimensional entropy with a Cultural Algorithm | KNN | K-Nearest Neighbor |
| HSI | Hyper-Spectral Imaging | LDA | Linear Discriminant Analysis |
| MLP | Multi-Layer Perceptron | RF | Random Forest |
| GLCM | Gray Level Co-occurrence Matrix | ANN | Artificial Neural Network |
| QDA | Quadratic Discriminant Analysis | CDT | Decision Tree |
| NLP | Natural Language Processing | TCGA | The Cancer Genome Atlas |
| R-CNN | Region-based Convolutional Neural Network | SSD | Single Shot Multi-Box Detector |
| RNN | Recurrent Neural Network | PCA | Principal Component Analysis |
| No. | Academic Journals | Link (Accessed on 1 November 2022) |
|---|---|---|
| 1 | MDPI | https://www.mdpi.com/ |
| 2 | IEEE Explore | https://ieeexplore.ieee.org/Xplore/home.jsp |
| 3 | HINDAWI | https://www.hindawi.com/ |
| 4 | ELSEVIER | https://www.elsevier.com/en-xm |
| 5 | SPRINGER | https://jast-journal.springeropen.com/ |
| 6 | NATURE | https://www.nature.com/ |
| 7 | THE SCIENCE AND INFORMATION | https://thesai.org/ |
| 8 | FRONTIERS | https://www.frontiersin.org/ |
| Author (Year) | Imaging Modality | Pre-Processing | Feature Extraction | Classification | Dataset | Results |
|---|---|---|---|---|---|---|
| Niazi et al. [81] (2019) | Microscopy Images | Stain Normalization, Contrast enhancement using Limited Adaptive Histogram Equalization | K-means, clustering | MLP, SVM, KNNs, Kernel Discriminant model | CRCHisto-Phenotypes | Accuracy: 99.8% |
| Rasti et al. [82] (2019) | Endomicroscopy Images | mean, standard deviation, variance, and the skewness of the raw pixel values | clustering | SVM | ImageNet/ILSVRC | Accuracy: 99.93% |
| Na et al. [83,84,85] (2019) | Neuro-imaging | SMOTE technique | GBM | Decision tree classifier | KLoSA | Sensitivity: 96.7% Specificity: 0.825 AUC: 92.1% |
| Rathore et al. [86] (2019) | Colon tissue histology images | Segmentation using | Qualification of tissue morphology on the basis of image, local, and gland features | Detection: RBF kernel of SVM Classification: using majority voting based on the predictions of linear, RBF, and sigmoid kernel of SVM. | -GlaS, -RMC | For Detection (Train GlaS − Test RMC = 93.7%, Train RMC − Test GlaS = 94.5%), For Classification: (Train GlaS −Test RMC = 95%, Train RMC − Test GlaS = 95%) |
| Dragicevic et al. [87] (2019) | Opto-magnetic Imaging Spectroscopy (OMIS) | Spectral image processing | N/A | Detection: Multilayer Perceptron Neural Network and Naïve Bayes | The First Surgical Clinic, Clinical Centre of Belgrade, Serbia. | Accuracy of 92.59% using Multilayer Perceptron Neural Network Accuracy of 89.87% using Naïve Bayes |
| Sundaram et al. [88] (2019) | Wireless Capsule Endoscopy (WCE) | Weiner filtering, ROI-based color histogram | Segmentation: K-means clustering Feature Extraction: Spatial gray level dependence matrices (SGLDM) | Detection: SVM Classification: SVM | N/A | Sensitivity 96% Specificity 95.4% Accuracy 95.7% |
| Babu et al. [89] (2020) | Colon biopsy images | Stain Normalization. Contrast enhancement using Limited Adaptive Histogram Equalization. | Segmentation: 2DReCA entropy-based thresholding Feature Extraction: Shape and texture descriptors. | A random forest classifier | GlaS. | Accuracy of: dataset A 98.50% dataset B 96.48% dataset C 95% dataset D 96% |
| Fahami et al. [90] (2021) | HIs | Normalization, Dimension reduction | Clustering | KNNs, Decision Tree | HTSeq-FPKM-UQ | Accuracy: 97.49 ± 2.92% Percision: 100.0 ± 90.00% Recall: 95.00 ± 5.83% |
| Jansen-Winkeln et al. [91] (2021) | Hyper-spectral imaging (HSI) | Image smoothing using Savitzky–Golay filter normalization, balancing using down-sampling | N/A | Detection: Multilayer Perceptron Neural Network, SVM, and RF. | Paper-specific dataset | Sensitivity of 86% Specificity of 95% With Multilayer Perceptron Neural Network |
| Talukder et al. [92] (2022) | HIs. | Image Resizing Feature scaling | Feature Extraction: Transfer learning, such as VGG16, VGG19, DenseNet169, DenseNet201 | RF, SVM, LR, MLP, XGB, and LGB | LC25000 | Accuracy of colon: 99.05%, lung: 100%, colon and lung: 99.30% |
| Chehade et al. [93] (2022) | HIs. | Unsharp masking, Stain normalization | Feature Extraction: First order statistics GLCM, Hu invariant moments Feature Selection: Recursive feature elimination (RFE) | SVM RF, XGBoost LightGBM, LDA, MLP | LC25000 | F1-score of 98.8%, Accuracy of 99% |
| Alqudah et al. [94] (2022) | HIs. | Represent input images in three different color spaces: RGB, HSV, and L*A*B* color spaces | Feature Extraction: 3D GLCM of RGB, HSV, and L*A*B | SVM, ANN, KNN, QDA, and CDT. | Multi-class colorectal histology images | Accuracy and sensitivity using RGB color space:QDA: 97.32, 97.30KNN: 92.10, 91.71SVM: 94.68, 94.62ANN: 92.58, 92.40CDT: 91.92, 91.75 |
| Author (Year) | Strengths | Limitations |
|---|---|---|
| Rasti et al. [82] (2019) |
|
|
| Rathore et al. [86] (2019) |
|
|
| Sundaram et al. [88] (2019) |
|
|
| Babu et al. [89] (2020) |
|
|
| Fahami et al. [90] (2021) |
|
|
| Jansen-Winkeln et al. [91] (2021) |
|
|
| Talukder et al. [92] (2022) |
|
|
| Chehade et al. [93] (2022) |
|
|
| Alqudah et al. [94] (2022) |
|
|
Publisher’s Note: MDPI stays neutral with regard to jurisdictional claims in published maps and institutional affiliations. |
© 2022 by the authors. Licensee MDPI, Basel, Switzerland. This article is an open access article distributed under the terms and conditions of the Creative Commons Attribution (CC BY) license (https://creativecommons.org/licenses/by/4.0/).
Share and Cite
Tharwat, M.; Sakr, N.A.; El-Sappagh, S.; Soliman, H.; Kwak, K.-S.; Elmogy, M. Colon Cancer Diagnosis Based on Machine Learning and Deep Learning: Modalities and Analysis Techniques. Sensors 2022, 22, 9250. https://doi.org/10.3390/s22239250
Tharwat M, Sakr NA, El-Sappagh S, Soliman H, Kwak K-S, Elmogy M. Colon Cancer Diagnosis Based on Machine Learning and Deep Learning: Modalities and Analysis Techniques. Sensors. 2022; 22(23):9250. https://doi.org/10.3390/s22239250
Chicago/Turabian StyleTharwat, Mai, Nehal A. Sakr, Shaker El-Sappagh, Hassan Soliman, Kyung-Sup Kwak, and Mohammed Elmogy. 2022. "Colon Cancer Diagnosis Based on Machine Learning and Deep Learning: Modalities and Analysis Techniques" Sensors 22, no. 23: 9250. https://doi.org/10.3390/s22239250
APA StyleTharwat, M., Sakr, N. A., El-Sappagh, S., Soliman, H., Kwak, K.-S., & Elmogy, M. (2022). Colon Cancer Diagnosis Based on Machine Learning and Deep Learning: Modalities and Analysis Techniques. Sensors, 22(23), 9250. https://doi.org/10.3390/s22239250

