Lower Limb Tendinopathy Tissue Changes Assessed through Ultrasound: A Narrative Review
Abstract
1. Introduction
2. Methods
3. Result
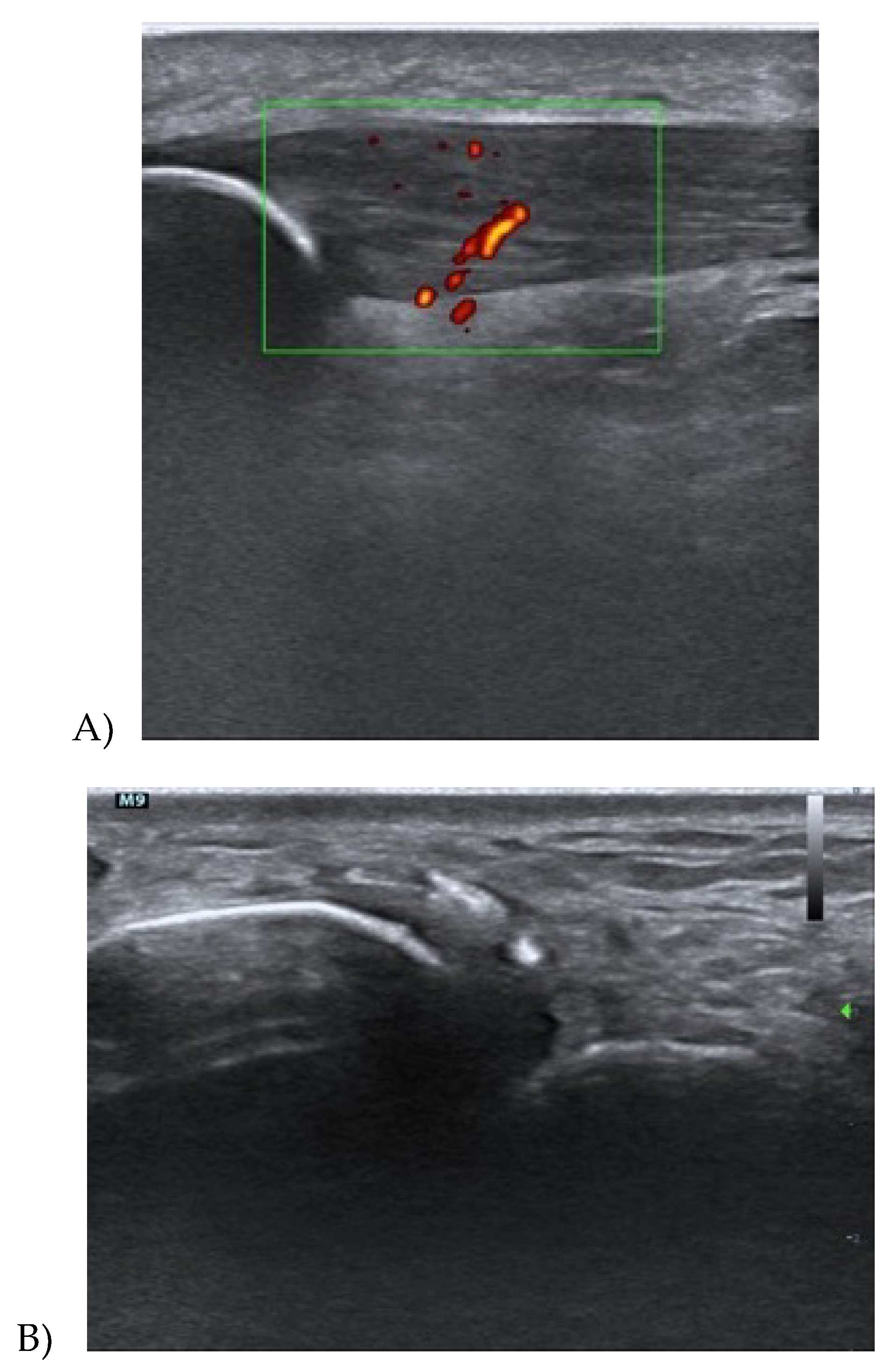
3.1. Achilles Tendinopathy
3.2. Patellar Tendinopathy
3.3. Quadriceps Tendinopathy
3.4. Proximal Hamstring Tendinopathy
3.5. Gluteus Tendinopathy
3.6. Treatments Using Ultrasound Imaging
4. Discussion
Limitations
5. Conclusions
Author Contributions
Funding
Acknowledgments
Conflicts of Interest
References
- Florit, D.; Pedret, C.; Casals, M.; Malliaras, P.; Sugimoto, D.; Rodas, G. Incidence of tendinopathy in team sports in a multidisciplinary sports club over 8 seasons. J. Sports Sci. Med. 2019, 18, 780–788. [Google Scholar] [PubMed]
- Lian, O.B.; Engebretsen, L.; Bahr, R. Prevalence of jumper’s knee among elite athletes from different sports: A cross-sectional study. Am. J. Sports Med. 2005, 33, 561–567. [Google Scholar] [CrossRef] [PubMed]
- Waldén, M.; Hägglund, M.; Ekstrand, J. Injuries in Swedish elite football—A prospective study on injury definitions, risk for injury and injury pattern during 2001. Scand. J. Med. Sci. Sports 2005, 15, 118–125. [Google Scholar] [CrossRef] [PubMed]
- Zwerver, J.; Bredeweg, S.W.; van den Akker-Scheek, I. Prevalence of jumper’s knee among nonelite athletes from different sports: A cross-sectional survey. Am. J. Sports Med. 2011, 39, 1984–1988. [Google Scholar] [CrossRef] [PubMed]
- Lysholm, J.; Wiklander, J. Injuries in runners. Am. J. Sports Med. 1987, 15, 168–171. [Google Scholar] [CrossRef]
- Goom, T.S.; Malliaras, P.; Reiman, M.P.; Purdam, C.R. Proximal hamstring tendinopathy: Clinical aspects of assessment and management. J. Orthop. Sports Phys. Ther. 2016, 46, 483–493. [Google Scholar] [CrossRef]
- Grimaldi, A.; Fearon, A. Gluteal tendinopathy: Integrating pathomechanics and clinical features in its management. J. Orthop. Sports Phys. Ther. 2015, 45, 910–922. [Google Scholar] [CrossRef]
- Boesen, A.P.; Hansen, R.; Boesen, M.I.; Malliaras, P.; Langberg, H. Effect of high-volume injection, platelet-rich plasma, and sham treatment in chronic midportion achilles tendinopathy: A randomized double-blinded prospective study. Am. J. Sports Med. 2017, 45, 2034–2043. [Google Scholar] [CrossRef]
- Mousavi, S.H.; Hijmans, J.M.; Rajabi, R.; Diercks, R.; Zwerver, J.; van der Worp, H. Kinematic risk factors for lower limb tendinopathy in distance runners: A systematic review and meta-analysis. Gait Posture 2019, 69, 13–24. [Google Scholar] [CrossRef]
- Ahmad, Z.; Parkar, A.; Shepherd, J.; Rushton, N. Revolving doors of tendinopathy: Definition, pathogenesis and treatment. Postgrad. Med. J. 2020, 96, 94–101. [Google Scholar] [CrossRef]
- Józsa, L.; Kannus, P. Histopathological findings in spontaneous tendon ruptures. Scand. J. Med. Sci. Sports 1997, 7, 113–118. [Google Scholar] [CrossRef]
- Kraushaar, B.S.; Nirschl, R.P. Tendinosis of the elbow (tennis elbow). Clinical features and findings of histological, immunohistochemical, and electron microscopy studies. J. Bone Jt. Surg. Am. 1999, 81, 259–278. [Google Scholar] [CrossRef] [PubMed]
- Cook, J.L.; Purdam, C.R. Is tendon pathology a continuum? A pathology model to explain the clinical presentation of load-induced tendinopathy. Br. J. Sports Med. 2009, 43, 409–416. [Google Scholar] [CrossRef]
- Kubo, K.; Akima, H.; Ushiyama, J.; Tabata, I.; Fukuoka, H.; Kanehisa, H.; Fukunaga, T. Effects of 20 days of bed rest on the viscoelastic properties of tendon structures in lower limb muscles. Br. J. Sports Med. 2004, 38, 324–330. [Google Scholar] [CrossRef] [PubMed]
- Cook, J.L.; Rio, E.; Purdam, C.R.; Docking, S.I. Revisiting the continuum model of tendon pathology: What is its merit in clinical practice and research? Br. J. Sports Med. 2016, 50, 1187–1191. [Google Scholar] [CrossRef]
- Hottat, N.; Fumière, E.; Delcour, C. Calcific tendinitis of the gluteus maximus tendon: CT findings. Eur. Radiol. 1999, 9, 1104–1106. [Google Scholar] [CrossRef] [PubMed]
- Docking, S.I.; Ooi, C.C.; Connell, D. Tendinopathy: Is imaging telling us the entire story? J. Orthop. Sports Phys. Ther. 2015, 45, 842–852. [Google Scholar] [CrossRef] [PubMed]
- Hodgson, R.J.; O’Connor, P.J.; Grainger, A.J. Tendon and ligament imaging. Br. J. Radiol. 2012, 85, 1157–1172. [Google Scholar] [CrossRef] [PubMed]
- Sunding, K.; Fahlström, M.; Werner, S.; Forssblad, M.; Willberg, L. Evaluation of Achilles and patellar tendinopathy with greyscale ultrasound and colour Doppler: Using a four-grade scale. Knee Surg. Sports Traumatol. Arthrosc. 2016, 24, 1988–1996. [Google Scholar] [CrossRef]
- Cavanna, L.; Citterio, C.; Nunzio Camilla, D.; Orlandi, E.; Toscani, I.; Ambroggi, M. Central venous catheterization in cancer patients with severe thrombocytopenia: Ultrasound-guide improves safety avoiding prophylactic platelet transfusion. Mol. Clin. Oncol. 2020, 12, 435–439. [Google Scholar] [CrossRef]
- Pascual-Garrido, C.; Rolón, A.; Makino, A. Treatment of chronic patellar tendinopathy with autologous bone marrow stem cells: A 5-year-followup. Stem Cells Int. 2012, 2012, 953510. [Google Scholar] [CrossRef] [PubMed]
- Scott, A.; Docking, S.; Vicenzino, B.; Alfredson, H.; Zwerver, J.; Lundgreen, K.; Finlay, O.; Pollock, N.; Cook, J.L.; Fearon, A.; et al. Sports and exercise-related tendinopathies: A review of selected topical issues by participants of the second International Scientific Tendinopathy Symposium (ISTS) Vancouver 2012. Br. J. Sports Med. 2013, 47, 536–544. [Google Scholar] [CrossRef] [PubMed]
- Del Baño-Aledo, M.E.; Martínez-Payá, J.J.; Ríos-Díaz, J.; Mejías-Suárez, S.; Serrano-Carmona, S.; de Groot-Ferrando, A. Ultrasound measures of tendon thickness: Intra-rater, Inter-rater and Inter-machine reliability. Muscles Ligaments Tendons J. 2017, 7, 192–199. [Google Scholar] [CrossRef] [PubMed]
- Peers, K.H.; Brys, P.P.; Lysens, R.J. Correlation between power Doppler ultrasonography and clinical severity in Achilles tendinopathy. Int. Orthop. 2003, 27, 180–183. [Google Scholar] [CrossRef]
- Bakkegaard, M.; Johannsen, F.E.; Højgaard, B.; Langberg, H. Ultrasonography as a prognostic and objective parameter in Achilles tendinopathy: A prospective observational study. Eur. J. Radiol. 2015, 84, 458–462. [Google Scholar] [CrossRef]
- McAuliffe, S.; McCreesh, K.; Culloty, F.; Purtill, H.; O’Sullivan, K. Can ultrasound imaging predict the development of Achilles and patellar tendinopathy? A systematic review and meta-analysis. Br. J. Sports Med. 2016, 50, 1516–1523. [Google Scholar] [CrossRef]
- Gellhorn, A.C.; Morgenroth, D.C.; Goldstein, B. A novel sonographic method of measuring patellar tendon length. Ultrasound Med. Biol. 2012, 38, 719–726. [Google Scholar] [CrossRef]
- Romero-Morales, C.; Martín-Llantino, P.J.; Calvo-Lobo, C.; Palomo-López, P.; López-López, D.; Pareja-Galeano, H.; Rodríguez-Sanz, D. Comparison of the sonographic features of the Achilles Tendon complex in patients with and without achilles tendinopathy: A case-control study. Phys. Ther. Sport 2019, 35, 122–126. [Google Scholar] [CrossRef]
- Rasmussen, O.S. Sonography of tendons. Scand. J. Med. Sci. Sports 2000, 10, 360–364. [Google Scholar] [CrossRef]
- Gisslén, K.; Alfredson, H. Neovascularisation and pain in jumper’s knee: A prospective clinical and sonographic study in elite junior volleyball players. Br. J. Sports Med. 2005, 39, 423–428. [Google Scholar] [CrossRef]
- Matthews, W.; Ellis, R.; Furness, J.; Hing, W. Classification of tendon matrix change using ultrasound imaging: A systematic review and meta-analysis. Ultrasound Med. Biol. 2018, 44, 2059–2080. [Google Scholar] [CrossRef] [PubMed]
- Finnamore, E.; Waugh, C.; Solomons, L.; Ryan, M.; West, C.; Scott, A. Transverse tendon stiffness is reduced in people with Achilles tendinopathy: A cross-sectional study. PLoS ONE 2019, 14, e0211863. [Google Scholar] [CrossRef] [PubMed]
- Sengkerij, P.M.; de Vos, R.-J.; Weir, A.; van Weelde, B.J.G.; Tol, J.L. Interobserver reliability of neovascularization score using power Doppler ultrasonography in midportion achilles tendinopathy. Am. J. Sports Med. 2009, 37, 1627–1631. [Google Scholar] [CrossRef]
- Docking, S.I.; Cook, J. Pathological tendons maintain sufficient aligned fibrillar structure on ultrasound tissue characterization (UTC). Scand. J. Med. Sci. Sports 2016, 26, 675–683. [Google Scholar] [CrossRef] [PubMed]
- Schie, H.T.M.; van Vos, R.J.; de Jonge, S.; de Bakker, E.M.; Heijboer, M.P.; Verhaar, J.A.N.; Tol, J.L.; Weinans, H. Ultrasonographic tissue characterisation of human Achilles tendons: Quantification of tendon structure through a novel non-invasive approach. Br. J. Sports Med. 2010, 44, 1153–1159. [Google Scholar] [CrossRef] [PubMed]
- Docking, S.I.; Rosengarten, S.D.; Cook, J. Achilles tendon structure improves on UTC imaging over a 5-month pre-season in elite Australian football players. Scand. J. Med. Sci. Sports 2016, 26, 557–563. [Google Scholar] [CrossRef]
- Docking, S.I.; Rosengarten, S.D.; Daffy, J.; Cook, J. Structural integrity is decreased in both Achilles tendons in people with unilateral Achilles tendinopathy. J. Sci. Med. Sport 2015, 18, 383–387. [Google Scholar] [CrossRef]
- Rosengarten, S.D.; Cook, J.L.; Bryant, A.L.; Cordy, J.T.; Daffy, J.; Docking, S.I. Australian football players’ Achilles tendons respond to game loads within 2 days: An ultrasound tissue characterisation (UTC) study. Br. J. Sports Med. 2015, 49, 183–187. [Google Scholar] [CrossRef]
- Matthews, W.; Ellis, R.; Furness, J.W.; Rathbone, E.; Hing, W. Staging achilles tendinopathy using ultrasound imaging: The development and investigation of a new ultrasound imaging criteria based on the continuum model of tendon pathology. BMJ Open Sport Exerc. Med. 2020, 6, e000699. [Google Scholar] [CrossRef]
- Lee, W.-C.; Ng, G.Y.-F.; Zhang, Z.-J.; Malliaras, P.; Masci, L.; Fu, S.-N. Changes on tendon stiffness and clinical outcomes in athletes are associated with patellar tendinopathy after eccentric exercise. Clin. J. Sport Med. 2017. [Google Scholar] [CrossRef]
- Cook, J.L.; Khan, K.M.; Harcourt, P.R.; Kiss, Z.S.; Fehrmann, M.W.; Griffiths, L.; Wark, J.D. Patellar tendon ultrasonography in asymptomatic active athletes reveals hypoechoic regions: A study of 320 tendons. Victorian Institute of Sport Tendon Study Group. Clin. J. Sport Med. 1998, 8, 73–77. [Google Scholar] [CrossRef]
- Cook, J.L.; Khan, K.M.; Kiss, Z.S.; Griffiths, L. Patellar tendinopathy in junior basketball players: A controlled clinical and ultrasonographic study of 268 patellar tendons in players aged 14–18 years. Scand. J. Med. Sci. Sports 2000, 10, 216–220. [Google Scholar] [CrossRef] [PubMed]
- Van Ark, M.; Rabello, L.M.; Hoevenaars, D.; Meijerink, J.; van Gelderen, N.; Zwerver, J.; van den Akker-Scheek, I. Inter- and intra-rater reliability of ultrasound tissue characterization (UTC) in patellar tendons. Scand. J. Med. Sci. Sports 2019, 29, 1205–1211. [Google Scholar] [CrossRef] [PubMed]
- Sprague, A.; Epsley, S.; Silbernagel, K.G. Distinguishing quadriceps tendinopathy and patellar tendinopathy: Semantics or significant? J. Orthop. Sports Phys. Ther. 2019, 49, 627–630. [Google Scholar] [CrossRef] [PubMed]
- Giombini, A.; Dragoni, S.; Di Cesare, A.; Di Cesare, M.; Del Buono, A.; Maffulli, N. Asymptomatic Achilles, patellar, and quadriceps tendinopathy: A longitudinal clinical and ultrasonographic study in elite fencers. Scand. J. Med. Sci. Sports 2013, 23, 311–316. [Google Scholar] [CrossRef]
- Pietrzak, J.R.; Kayani, B.; Tahmassebi, J.; Haddad, F.S. Proximal hamstring tendinopathy: Pathophysiology, diagnosis and treatment. Br. J. Hosp. Med. Lond. Engl. 2005 2018, 79, 389–394. [Google Scholar] [CrossRef]
- Zissen, M.H.; Wallace, G.; Stevens, K.J.; Fredericson, M.; Beaulieu, C.F. High hamstring tendinopathy: MRI and ultrasound imaging and therapeutic efficacy of percutaneous corticosteroid injection. AJR Am. J. Roentgenol. 2010, 195, 993–998. [Google Scholar] [CrossRef] [PubMed]
- Connell, D.A.; Bass, C.; Sykes, C.A.J.; Young, D.; Edwards, E. Sonographic evaluation of gluteus medius and minimus tendinopathy. Eur. Radiol. 2003, 13, 1339–1347. [Google Scholar] [CrossRef]
- Kong, A.; van der Vliet, A.; Zadow, S. MRI and US of gluteal tendinopathy in greater trochanteric pain syndrome. Eur. Radiol. 2007, 17, 1772–1783. [Google Scholar] [CrossRef]
- Docking, S.I.; Cook, J.; Chen, S.; Scarvell, J.; Cormick, W.; Smith, P.; Fearon, A. Identification and differentiation of gluteus medius tendon pathology using ultrasound and magnetic resonance imaging. Musculoskelet. Sci. Pract. 2019, 41, 1–5. [Google Scholar] [CrossRef]
- Fitzpatrick, J.; Bulsara, M.K.; O’Donnell, J.; McCrory, P.R.; Zheng, M.H. The effectiveness of platelet-rich plasma injections in gluteal tendinopathy: A randomized, double-blind controlled trial comparing a single platelet-rich plasma injection with a single corticosteroid injection. Am. J. Sports Med. 2018, 46, 933–939. [Google Scholar] [CrossRef] [PubMed]
- Scott, A.; LaPrade, R.F.; Harmon, K.G.; Filardo, G.; Kon, E.; Della Villa, S.; Bahr, R.; Moksnes, H.; Torgalsen, T.; Lee, J.; et al. Platelet-rich plasma for patellar tendinopathy: A randomized controlled trial of leukocyte-rich prp or leukocyte-poor prp versus saline. Am. J. Sports Med. 2019, 47, 1654–1661. [Google Scholar] [CrossRef] [PubMed]
- Krogh, T.P.; Ellingsen, T.; Christensen, R.; Jensen, P.; Fredberg, U. Ultrasound-guided injection therapy of achilles tendinopathy with platelet-rich plasma or saline: A randomized, blinded, placebo-controlled trial. Am. J. Sports Med. 2016, 44, 1990–1997. [Google Scholar] [CrossRef]
- Langer, P.R. Two emerging technologies for Achilles tendinopathy and plantar fasciopathy. Clin. Podiatr. Med. Surg. 2015, 32, 183–193. [Google Scholar] [CrossRef] [PubMed]
- Nanos, K.N.; Malanga, G.A. Treatment of patellar tendinopathy refractory to surgical management using percutaneous ultrasonic tenotomy and platelet-rich plasma injection: A case presentation. PM&R 2015, 7, 1300–1305. [Google Scholar] [CrossRef]
- Chaudhry, F.A. Effectiveness of dry needling and high-volume image-guided injection in the management of chronic mid-portion Achilles tendinopathy in adult population: A literature review. Eur. J. Orthop. Surg. Traumatol. 2017, 27, 441–448. [Google Scholar] [CrossRef]
- Yeo, A.; Kendall, N.; Jayaraman, S. Ultrasound-guided dry needling with percutaneous paratenon decompression for chronic Achilles tendinopathy. Knee Surg. Sports Traumatol. Arthrosc. 2016, 24, 2112–2118. [Google Scholar] [CrossRef]
- Roy, J.-S.; Braën, C.; Leblond, J.; Desmeules, F.; Dionne, C.E.; MacDermid, J.C.; Bureau, N.J.; Frémont, P. Diagnostic accuracy of ultrasonography, MRI and MR arthrography in the characterisation of rotator cuff disorders: A systematic review and meta-analysis. Br. J. Sports Med. 2015, 49, 1316–1328. [Google Scholar] [CrossRef]
- Warden, S.J.; Kiss, Z.S.; Malara, F.A.; Ooi, A.B.T.; Cook, J.L.; Crossley, K.M. Comparative accuracy of magnetic resonance imaging and ultrasonography in confirming clinically diagnosed patellar tendinopathy. Am. J. Sports Med. 2007, 35, 427–436. [Google Scholar] [CrossRef]
- Cenni, F.; Bar-On, L.; Monari, D.; Schless, S.-H.; Kalkman, B.M.; Aertbeliën, E.; Desloovere, K.; Bruyninckx, H. Semi-automatic methods for tracking the medial gastrocnemius muscle–tendon junction using ultrasound: A validation study. Exp. Physiol. 2020, 105, 120–131. [Google Scholar] [CrossRef]



© 2020 by the authors. Licensee MDPI, Basel, Switzerland. This article is an open access article distributed under the terms and conditions of the Creative Commons Attribution (CC BY) license (http://creativecommons.org/licenses/by/4.0/).
Share and Cite
Sánchez Romero, E.A.; Pollet, J.; Martín Pérez, S.; Alonso Pérez, J.L.; Muñoz Fernández, A.C.; Pedersini, P.; Barragán Carballar, C.; Villafañe, J.H. Lower Limb Tendinopathy Tissue Changes Assessed through Ultrasound: A Narrative Review. Medicina 2020, 56, 378. https://doi.org/10.3390/medicina56080378
Sánchez Romero EA, Pollet J, Martín Pérez S, Alonso Pérez JL, Muñoz Fernández AC, Pedersini P, Barragán Carballar C, Villafañe JH. Lower Limb Tendinopathy Tissue Changes Assessed through Ultrasound: A Narrative Review. Medicina. 2020; 56(8):378. https://doi.org/10.3390/medicina56080378
Chicago/Turabian StyleSánchez Romero, Eleuterio A., Joel Pollet, Sebastián Martín Pérez, José Luis Alonso Pérez, Alberto Carlos Muñoz Fernández, Paolo Pedersini, Carlos Barragán Carballar, and Jorge Hugo Villafañe. 2020. "Lower Limb Tendinopathy Tissue Changes Assessed through Ultrasound: A Narrative Review" Medicina 56, no. 8: 378. https://doi.org/10.3390/medicina56080378
APA StyleSánchez Romero, E. A., Pollet, J., Martín Pérez, S., Alonso Pérez, J. L., Muñoz Fernández, A. C., Pedersini, P., Barragán Carballar, C., & Villafañe, J. H. (2020). Lower Limb Tendinopathy Tissue Changes Assessed through Ultrasound: A Narrative Review. Medicina, 56(8), 378. https://doi.org/10.3390/medicina56080378

