A 30-Month Complete Urinary Obstruction Resulting from Trapped and Incarcerated Uterus: A Case Report
Abstract
1. Introduction
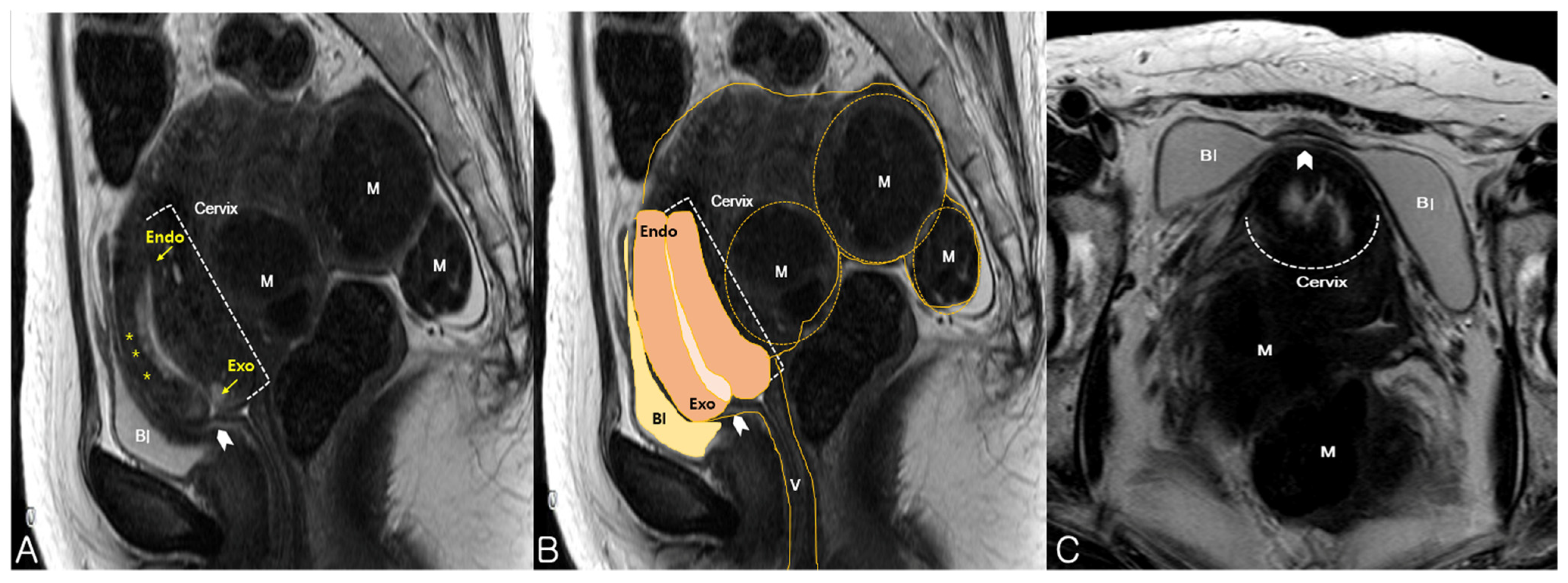
2. Case Presentation
3. Discussion
4. Conclusions
Author Contributions
Funding
Institutional Review Board Statement
Informed Consent Statement
Data Availability Statement
Conflicts of Interest
References
- Frei, K.A.; Duwe, D.G.; Bonel, H.M.; Dürig, P.; Schneider, H. Posterior sacculation of the uterus in a patient presenting with flank pain at 29 weeks of gestation. Obstet. Gynecol. 2005, 105, 639–641. [Google Scholar] [CrossRef] [PubMed]
- Shnaekel, K.L.; Wendel, M.P.; Rabie, N.Z.; Magann, E.F. Incarceration of the gravid uterus. Obstet. Gynecol. Surv. 2016, 71, 613–619. [Google Scholar] [CrossRef] [PubMed]
- Fernandes, D.D.; Sadow, C.A.; Economy, K.E.; Benson, C.B. Sonographic and magnetic resonance imaging findings in uterine incarceration. J. Ultrasound. Med. 2012, 31, 645–650. [Google Scholar] [CrossRef] [PubMed]
- Mahdy, A.; Faruqui, N.; Ghoniem, G. Objective cure of urinary retention following laparoscopic hysterectomy for a large uterine fibroid. Int. Urogynecol. J. 2010, 21, 609–611. [Google Scholar] [CrossRef] [PubMed]
- Newell, S.D.; Crofts, J.F.; Grant, S.R. The incarcerated gravid uterus: Complications and lessons learned. Obstet. Gynecol. 2014, 123, 423–427. [Google Scholar] [CrossRef] [PubMed]
- Love, J.N.; Howell, J.M. Urinary retention resulting from incarceration of a retroverted, gravid uterus. J. Emerg. Med. 2000, 19, 351–354. [Google Scholar] [CrossRef]
- Dierickx, I.; Mesens, T.; Van Holsbeke, C.; Meylaerts, L.; Voets, W.; Gyselaers, W. Recurrent incarceration and/or sacculation of the gravid uterus: A review. J. Matern. Fetal. Neonat. Med. 2010, 23, 776–780. [Google Scholar] [CrossRef] [PubMed]
- Dierickx, I.; Delens, F.; Backaert, T.; Pauwels, W.; Gyselaers, W. Case report: Incarceration of the gravid uterus: A radiologic and obstetric challenge. J. Radiol. Case Rep. 2014, 8, 28–36. [Google Scholar] [CrossRef] [PubMed]
- Kim, S.C.; Lee, Y.J.; Jeong, J.E.; Joo, J.K.; Lee, K.S. Incarceration of gravid uterus by growing subserosal myoma: Case report. Clin. Exp. Obstet. Gynecol. 2016, 43, 131–133. [Google Scholar] [PubMed]
- BOTOX® Botulinum Toxin Product Information (Version 10.0). Available online: https://media.allergan.com/actavis/actavis/media/allergan-pdf-documents/product-prescribing/20190620-BOTOX-100-and-200-Units-v3-0USPI1145-v2-0MG1145.pdf (accessed on 1 February 2020).
- Kim, M.J.; Cha, H.H.; Seong, W.J. Incarceration of a pedunculated uterine fibroid in an umbilical hernia. Obstet. Gynecol. Sci. 2017, 60, 318–321. [Google Scholar] [CrossRef] [PubMed]
- Wu, C.Q.; Lefebvre, G.; Frecker, H.; Husslein, H. Urinary retention and uterine leiomyomas: A case series and systematic review of the literature. Int. Urogynecol. J. 2015, 26, 1277–1284. [Google Scholar] [CrossRef] [PubMed]
- Ramsey, S.; Palmer, M. The management of female urinary retention. Int. Urol. Nephrol. 2006, 38, 533–535. [Google Scholar] [CrossRef] [PubMed]
- Gottschalk, E.; Siedentopf, J.P.; Schoenborn, I.; Gartenschlaeger, S.; Dudenhausen, J.W.; Henrich, W. Prenatal sonographic and MRI findings in a pregnancy complicated by uterine sacculation: Case report and review of the literature. Ultrasound Obstet. Gynecol. 2008, 32, 582–586. [Google Scholar] [CrossRef]
- Dietz, H.P. Pelvic floor ultrasound in incontinence: What’s in it for the surgeon? Int. Urogynecol. J. 2011, 22, 1085–1097. [Google Scholar] [CrossRef] [PubMed]
- van Beekhuizen, H.J.; Bodewes, H.W.; Tepe, E.M.; Oosterbaan, H.P.; Kruitwagen, R.; Nijland, R. Role of magnetic resonance imaging in the diagnosis of incarceration of the gravid uterus. Obstet. Gynecol. 2003, 102, 1134–1137. [Google Scholar] [CrossRef] [PubMed]
- Lettieri, L.; Rodis, J.F.; McLean, D.A.; Campbell, W.A.; Vintzileos, A.M. Incarceration of the gravid uterus. Obstet. Gynecol. Surv. 1994, 49, 642–646. [Google Scholar] [CrossRef]
- Jacobsson, B.; Wide-Swensson, D. Incarceration of the retroverted gravid uterus—A review. Acta Obstet. Gynecol. Scand. 1999, 78, 665–668. [Google Scholar] [PubMed]
- Patterson, E.; Herd, A.M. Incarceration of the uterus in pregnancy. Am. J. Emerg. Med. 1997, 15, 49–51. [Google Scholar] [CrossRef]
- Sutter, R.; Frauenfelder, T.; Marincek, B.; Zimmermann, R. Recurrent posterior sacculation of the pregnant uterus and placenta increta. Clin. Rad. 2006, 61, 527–530. [Google Scholar] [CrossRef]



Publisher’s Note: MDPI stays neutral with regard to jurisdictional claims in published maps and institutional affiliations. |
© 2021 by the authors. Licensee MDPI, Basel, Switzerland. This article is an open access article distributed under the terms and conditions of the Creative Commons Attribution (CC BY) license (http://creativecommons.org/licenses/by/4.0/).
Share and Cite
Nam, G.; Lee, S.R.; Kim, S.H.; Chae, H.D. A 30-Month Complete Urinary Obstruction Resulting from Trapped and Incarcerated Uterus: A Case Report. Medicina 2021, 57, 207. https://doi.org/10.3390/medicina57030207
Nam G, Lee SR, Kim SH, Chae HD. A 30-Month Complete Urinary Obstruction Resulting from Trapped and Incarcerated Uterus: A Case Report. Medicina. 2021; 57(3):207. https://doi.org/10.3390/medicina57030207
Chicago/Turabian StyleNam, Gina, Sa Ra Lee, Sung Hoon Kim, and Hee Dong Chae. 2021. "A 30-Month Complete Urinary Obstruction Resulting from Trapped and Incarcerated Uterus: A Case Report" Medicina 57, no. 3: 207. https://doi.org/10.3390/medicina57030207
APA StyleNam, G., Lee, S. R., Kim, S. H., & Chae, H. D. (2021). A 30-Month Complete Urinary Obstruction Resulting from Trapped and Incarcerated Uterus: A Case Report. Medicina, 57(3), 207. https://doi.org/10.3390/medicina57030207

