Hybrid Surgery to Manage Aortic Arch Pathology
Abstract
1. Introduction
2. Materials and Methods
2.1. Surgical Technique
2.2. Type I Debranching
2.3. Type II Debranching
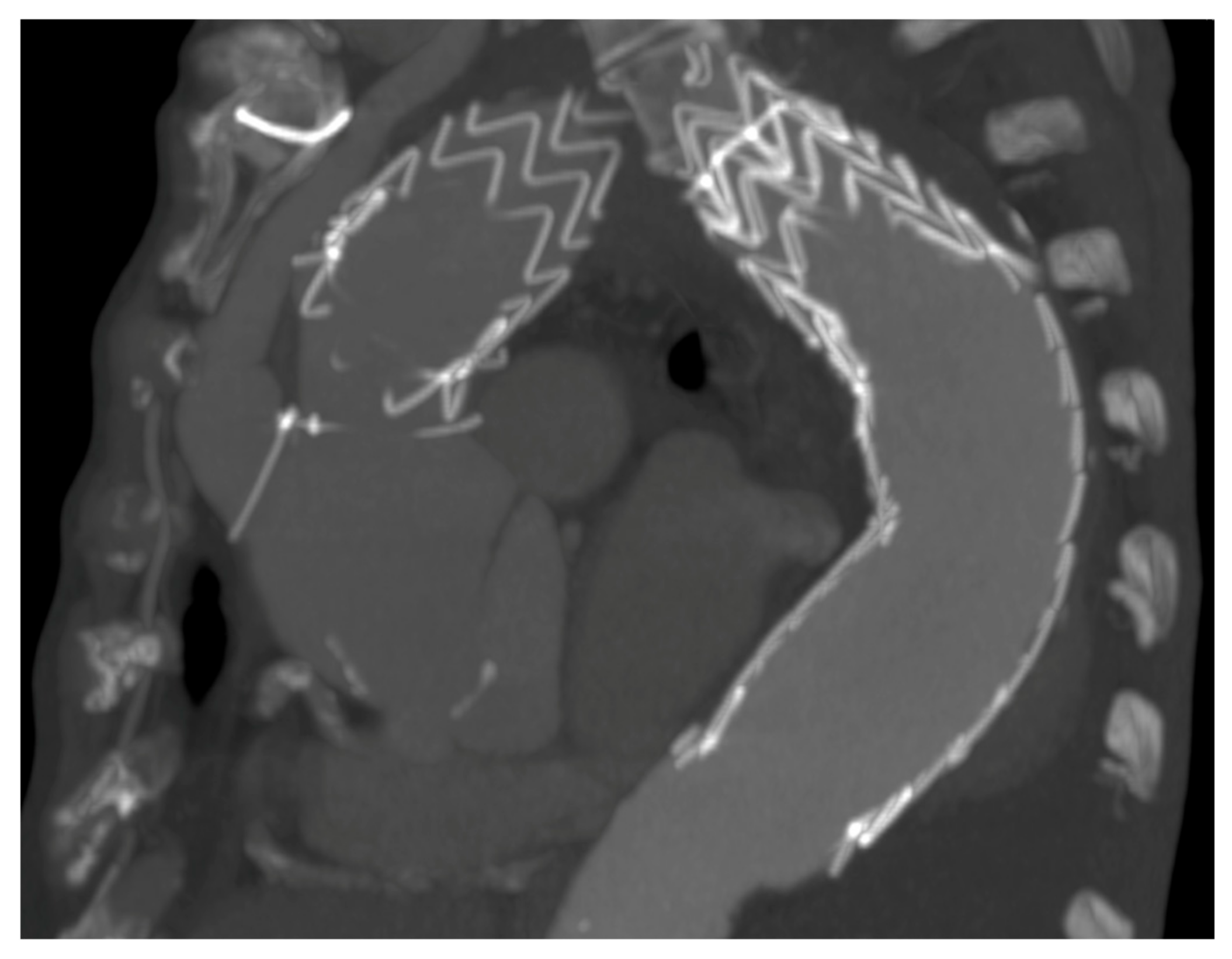
2.4. Branched Graft Position
2.5. Left Subclavian Artery Debranching
2.6. Radiopaque Markers
2.7. Endovascular Technique
3. Results
4. Discussion
5. Conclusions
Author Contributions
Funding
Institutional Review Board Statement
Informed Consent Statement
Data Availability Statement
Conflicts of Interest
References
- Coselli, J.S.; Green, S.Y. Aortic arch repair today: Open repair is best for most arch lesions. J. Cardiovasc. Surg. 2015, 56, 531–546. [Google Scholar]
- Tian, D.H.; Wan, B.; Bannon, P.G.; Misfeld, M.; Lemaire, S.A.; Kazui, T.; Kouchoukos, N.T.; Elefteriades, J.A.; Bavaria, J.E.; Coselli, J.S.; et al. A meta-analysis of deep hypothermic circulatory arrest alone versus with adjunctive selective antegrade cerebral perfusion. Ann. Cardiothorac. Surg. 2013, 2, 261–270. [Google Scholar] [CrossRef] [PubMed]
- Ishimaru, S. Endografting of the aortic arch. J. Endovasc. Ther. 2004, 11 (Suppl. S2), II62e71. [Google Scholar] [CrossRef]
- Bavaria, J.; Milewski, R.K.; Baker, J.; Moeller, P.; Szeto, W.; Pochettino, A. Classic hybrid evolving approach to distal arch aneurysms: Toward the zone zero solution. J. Thorac. Cardiovasc. Surg. 2010, 140, S77–S80. [Google Scholar] [CrossRef]
- Gelpi, G.; Vanelli, P.; Mangini, A.; Danna, P.; Contino, M.; Antona, C. Hybrid Aortic Arch Repair Procedure: Reinforcement of the Aorta for a Safe and Durable Landing Zone. Eur. J. Vasc. Endovasc. Surg. 2010, 40, 709–714. [Google Scholar] [CrossRef] [PubMed]
- Antona, C.; Vanelli, P.; Petullà, M.; Gelpi, G.; Danna, P.; Lemma, M.; Inglese, L. Hybrid Technique for Total Arch Repair: Aortic Neck Reshaping for Endovascular-Graft Fixation. Ann. Thorac. Surg. 2007, 83, 1158–1161. [Google Scholar] [CrossRef]
- Davies, R.; Goldstein, L.J.; Coady, M.A.; Tittle, S.L.; Rizzo, J.A.; Kopf, G.S.; Elefteriades, J.A. Yearly rupture or dissection rates for thoracic aortic aneurysms: Simple prediction based on size. Ann. Thorac. Surg. 2002, 73, 17–28. [Google Scholar] [CrossRef]
- Younes, H.K.; Davies, M.G.; Bismuth, J.; Naoum, J.; Peden, E.K.; Reardon, M.J.; Lumsden, A.B. Hybrid thoracic endovascular aortic repair: Pushing the envelope. J. Vasc. Surg. 2010, 51, 259–266. [Google Scholar] [CrossRef][Green Version]
- Erbel, R.; Aboyans, V.; Boileau, C.; Bossone, E.; Di Bartolomeo, R.; Eggebrecht, H.; Evangelista, A.; Falk, V.; Frank, H.; Gaemperli, O.; et al. ESC committee for practice guidelines. 2014 ESC Guidelines on the diagnosis and treatment of aortic diseases: Document covering acute and chronic aortic diseases of the thoracic and abdominal aorta of the adult. The Task Force for the Diagnosis and Treatment of Aortic Diseases of the European Society of Cardiology (ESC). Eur. Heart J. 2014, 35, 2873–2926. [Google Scholar]
- De Bakey, M.E.; Crawford, E.S.; Cooley, D.A.; Morris, G.C., Jr. Successful resection of fusiform aneurysm of aortic arch with re-placement by homograft. Surg. Gynecol. Obstet. 1957, 105, 657–664. [Google Scholar]
- Griepp, R.B.; Stinson, E.B.; Hollingsworth, J.F.; Buehle, R.D. Prosthetic replacement of the aortic arch. J. Thorac. Cardiovasc. Surg. 1975, 70, 1051–1063. [Google Scholar] [CrossRef]
- Borst, H.G.; Walterbusch, G.; Schaps, D. Extensive aortic replacement using “elephant trunk” prosthesis. Thorac. Cardiovasc. Surg. 1983, 31, 37–40. [Google Scholar] [CrossRef] [PubMed]
- Kazui, T. Total arch replacement with separated graft technique and selective antegrade cerebral perfusion. Ann. Cardiothorac. Surg. 2013, 2, 353–357. [Google Scholar] [CrossRef] [PubMed]
- Pacini, D.; Leone, A.; Di Marco, L.; Marsilli, D.; Sobaih, F.; Turci, S.; Masieri, V.; Di Bartolomeo, R. Antegrade selective cerebral perfusion in thoracic aorta surgery: Safety of moderate hypothermia. Eur. J. Cardio-Thorac. Surg. 2007, 31, 618–622. [Google Scholar] [CrossRef]
- Czerny, M.; Schmidli, J.; Adler, S.; van den Berg, J.C.; Bertoglio, L.; Carrel, T.; Chiesa, R.; Clough, R.E.; Eberle, B.; Etz, C.; et al. Choice-Current Options and Recommendations for the Treatment of Thoracic Aortic Pathologies Involving the Aortic Arch: An Expert Consensus Document of the European Association for Cardio-Thoracic Surgery (EACTS) & the European Society for Vascular Surgery (ESVS). Eur. J. Vasc. Endovasc. Surg. 2019, 57, 165–198. [Google Scholar] [PubMed]
- Kato, M.; Ohnishi, K.; Kaneko, M.; Ueda, T.; Kishi, D.; Mizushima, T.; Matsuda, H. New graft-implanting method for thoracic aortic aneurysm or dissection with a stented graft. Circulation 1996, 94, 188–193. [Google Scholar]
- Suto, Y.; Yasuda, K.; Shiiya, N.; Murashita, T.; Kawasaki, M.; Imamura, M.; Takigami, K.; Sasaki, S.; Matsui, Y.; Sakuma, M. Stented elephant trunk procedure for an extensive aneurysm involving distal aortic arch and descending aorta. J. Thorac. Cardiovasc. Surg. 1996, 112, 1389–1390. [Google Scholar] [CrossRef]
- Fleck, T.; Hutschala, D.; Czerny, M.; Ehrlich, M.P.; Kasimir, M.-T.; Cejna, M.; Wolner, E.; Grabenwoger, M. Combined Surgical and Endovascular Treatment of Acute Aortic Dissection Type A: Preliminary Results. Ann. Thorac. Surg. 2002, 74, 761–765. [Google Scholar] [CrossRef]
- Herold, U.; Piotrowski, J.; Baumgart, D.; Eggebrecht, H.; Erbel, R.; Jakob, H. Endoluminal stent graft repair for acute and chronic type B aortic dissection and atherosclerotic aneurysm of the thoracic aorta: An interdisciplinary task. Eur. J. Cardio-Thorac. Surg. 2002, 22, 891–897. [Google Scholar] [CrossRef][Green Version]
- Rudarakanchana, N.; Jenkins, M.P. Hybrid and total aìendovascular repair of the aortic arch. J. Br. Surg. 2018, 105, 315–327. [Google Scholar] [CrossRef] [PubMed]
- Papakonstantinou, N.A.; Antonopoulos, C.N.; Baikoussis, N.G.; Kakisis, J.; Geroulakos, G. Aortic Arch Reconstruction: Are Hybrid Debranching Procedures a Good Choice? Heart Lung Circ. 2018, 27, 1335–1349. [Google Scholar] [CrossRef] [PubMed]
- Volodos, N.L.; Karpovich, I.P.; Troyan, V.I.; Kalashnikova, Y.V.; Shekhanin, V.E.; Ternyuk, N.E.; Neoneta, A.S.; Ustinov, N.I.; Yako-venko, L.F. Clinical experience of the use of self-fixing synthetic prostheses for remote endo-prosthetics of the thoracic and the abdominal aorta and iliac arteries through the femoral artery and as intraoperative endo-prosthesis for aorta reconstruction. VASA Suppl. 1991, 33, 93–95. [Google Scholar] [PubMed]
- Mitchell, R.S.; Ishimaru, S.; Ehrlich, M.P.; Iwase, T.; Lauterjung, L.; Shimono, T.; Fattori, R.; Yutani, C. First International Summit on Thoracic Aortic Endografting: Roundtable on thoracic aortic dissection as an indication for endografting. J. Endovasc. Ther. 2002, 9, 98–105. [Google Scholar] [CrossRef]
- Sultan, I.; Bavaria, J.E.; Szeto, W. Hybrid Techniques for Aortic Arch Aneurysm Repair. Semin. Cardiothorac. Vasc. Anesth. 2016, 20, 327–332. [Google Scholar] [CrossRef] [PubMed]
- Parodi, J.; Palmaz, J.; Barone, H. Transfemoral Intraluminal Graft Implantation for Abdominal Aortic Aneurysms. Ann. Vasc. Surg. 1991, 5, 491–499. [Google Scholar] [CrossRef] [PubMed]
- Czerny, M.; Rylski, B.; Morlock, J.; Schröfel, H.; Beyersdorf, F.; Lebes, B.S.; Meyrignac, O.; Mokrane, F.; Lescan, M.; Schlensak, C.; et al. Orthotopic branched endovascular aortic arch repair in patients who cannot undergo classical surgery. Eur. J. Cardio-Thorac. Surg. 2018, 53, 1007–1012. [Google Scholar] [CrossRef]
- Larzon, T.; Gruber, G.; Friberg, O.; Geijer, H.; Norgren, L. Experiences of intentional carotid stenting in endovascular repair of aortic arch aneurysmsetwo case reports. Eur. J. Vasc. Endovasc. Surg. 2005, 30, 147e51. [Google Scholar] [CrossRef][Green Version]
- Inoue, K.; Hosokawa, H.; Iwase, T.; Sato, M.; Yoshida, Y.; Ueno, K.; Tsubokawa, A.; Tanaka, T.; Tamaki, S.; Suzuki, T. Aortic arch reconstruction by transluminally placed endovascular branched stent graft. Circulation 1999, 100. [Google Scholar] [CrossRef]
- Glorion, M.; Coscas, R.; McWilliams, R.G.; Javerliat, I.; Goëau-Brissonniere, O.; Coggia, M. A comprehensive review of In Situ fenestrationof aortic endografts. Eur. J. Vasc. Endovasc. Surg. 2016, 52, 787–800. [Google Scholar] [CrossRef]
- Kawaguchi, S.; Yokoi, Y.; Shimazaki, T.; Koide, K.; Matsumoto, M.; Shigematsu, H. Thoracic endovascular aneurysm repair in Japan: Experience with fenestrated stent grafts in the treatment of distal arch aneurysms. J. Vasc. Surg. 2008, 48, 24S–29S. [Google Scholar] [CrossRef]
- Yang, J.; Xiong, J.; Liu, X.; Jia, X.; Zhu, Y.; Guo, W. Endovascular Chimney Technique of Aortic Arch Pathologies: A Systematic Review. Ann. Vasc. Surg. 2012, 26, 1014–1021. [Google Scholar] [CrossRef] [PubMed]
- Hogendoorn, W.; Schlösser, F.J.; Moll, F.L.; Sumpio, B.E.; Muhs, B.E. Thoracic endovascular aortic repair with the chimney graft technique. J. Vasc. Surg. 2013, 58, 502–511. [Google Scholar] [CrossRef] [PubMed]





| Demographic | N | % |
|---|---|---|
| Age, median years | 72 (56–78) | |
| Male gender | 29 | 76.3 |
| Polyvascular disease | 21 | 55.3 |
| Chronic renal failure | 13 | 34.2 |
| COPD | 12 | 31.6 |
| Previous myocardial infarction | 10 | 26.3 |
| Previous cerebrovascular accident | 5 | 13.2 |
| Euroscore, mean ± SD | 11.5 ± 5.1 | |
| Aortic aneurysm diameter, mean ± SD | 5.70 ± 0.80 cm | |
| Aortic arch pathology Ishimaru zone 0 | 8 | 21.1 |
| Aortic arch pathology Ishimaru zone 1 | 18 | 47.4 |
| Aortic arch pathology Ishimaru zone 2 | 12 | 31.5 |
| Complications | N | % |
|---|---|---|
| Early | ||
| Intra-operative deaths, n (%) | 0 | 0% |
| Re-exploration for bleeding | 3 | 8 |
| Minor stroke | 1 | 3 |
| Paraplegia/paraparesis | 0 | 0 |
| Endoleaks | 0 | 0 |
| Axillary vein thrombosis | 1 | 3 |
| Late | ||
| Inter-procedural deaths | 1 | 3 |
| Endoleaks | 0 | 0 |
| Ascending aorta pseudoaneurysm | 1 | 3 |
| Ascending aorta dissection | 1 | 3 |
| Left carotid artery closure | 1 | 3 |
| TEVAR flair and bulging (treated) | 1 | 3 |
Publisher’s Note: MDPI stays neutral with regard to jurisdictional claims in published maps and institutional affiliations. |
© 2021 by the authors. Licensee MDPI, Basel, Switzerland. This article is an open access article distributed under the terms and conditions of the Creative Commons Attribution (CC BY) license (https://creativecommons.org/licenses/by/4.0/).
Share and Cite
Gelpi, G.; Romagnoni, C.; Epifani, F.; Contino, M.; Antona, C. Hybrid Surgery to Manage Aortic Arch Pathology. Medicina 2021, 57, 909. https://doi.org/10.3390/medicina57090909
Gelpi G, Romagnoni C, Epifani F, Contino M, Antona C. Hybrid Surgery to Manage Aortic Arch Pathology. Medicina. 2021; 57(9):909. https://doi.org/10.3390/medicina57090909
Chicago/Turabian StyleGelpi, Guido, Claudia Romagnoni, Francesco Epifani, Monica Contino, and Carlo Antona. 2021. "Hybrid Surgery to Manage Aortic Arch Pathology" Medicina 57, no. 9: 909. https://doi.org/10.3390/medicina57090909
APA StyleGelpi, G., Romagnoni, C., Epifani, F., Contino, M., & Antona, C. (2021). Hybrid Surgery to Manage Aortic Arch Pathology. Medicina, 57(9), 909. https://doi.org/10.3390/medicina57090909
